نخر الأسنان
| نخر الأسنان | |
|---|---|
| Destruction of a tooth by cervical decay from dental caries | |
| التبويب والمصادر الخارجية | |
| التخصص | طب أسنان |
| ICD-10 | K02. |
| ICD-9-CM | 521.0 |
| DiseasesDB | 29357 |
| MedlinePlus | 001055 |
| Patient UK | فشل عرض الخاصية P1461: لم يتم العثور على الخاصية P1461. نخر الأسنان |
تسوس أو نخر الأسنان هو مرض يصيب النسيج الحي للاسنان. ويحدث نتيجة تضافر عدة عوامل هي: السكر والجراثيم واستعداد المضيف والوقت. إن الوقت اللازم لتطور آفة نخرية لهو قصير جداً في حال غياب العناية الفموية بتنظيف الأسنان وعند التعرض المتكرر للمواد الطعامية الحاوية على سكروز.
الرضاعة من الزجاجة Baby bottle-feeding خاصة ليلاً يسبب ما يسمى متلازمة الرضاعة من الزجاجة Baby bottle Syndrom. كما أن تناول الحلويات بكميات كبيرة يسبب حدوث النخر خلال فترة قصيرة من الزمن.
بالإضافة لذلك فإن تجمع اللويحة الجرثومية Bacterial plaque في الميازيب و الوهاد السنية يزيد خطر الإصابة بالنخر. لذلك من المهم تغطية هذه الميازيب بمادة سادة.
يقوم اللعاب بدور هام في المحافظة على توازن الشوارد على سطوح الأسنان. من هنا تنبع أهمية إعطاء اهتمام خاصا للمرضى الذين يتناولون أدوية أو يخضعون لمعالجة قد يكون لها تأثيرا على إفراز اللعاب.
النخر البدئي أو الانخساف الأولي للعناصر المعدنية للمينا يمكن إيقافه عن طريق تدعيم صحة فموية جيدة وتحنب الأطعمة الحاوية على السكر وتطبيق الفلوريد.
التعريف
هو تخرب يصيب نسج السن الصلبة بدءاً من طبقة الميناء enamel ثم يصل إلى طبقة العاج محدثاً حفرة قد تزداد اتساعاً وعمقاً لتصل إلى اللب الذي يحتوي الأوعية الدموية والأعصاب.
الأسباب
يرتبط حدوث التسوس بمشاركة ثلاثة عوامل أساسية هي: الجراثيم والسكريات (الكاربوهيدرات) ووجود الأسنان ذوات الاستعداد للإصابة بالتسوس بمرور الزمن.
اللويجة الجرثومية
تتوضع على سطوح الأسنان طبقة عضوية رقيقة تدعى اللويحة الجرثومية bacterial plaque تتألف من طبقات كثيفة ومتراصة من الجراثيم ومنتجاتها والخلايا والبقايا الطعامية، وهي ذات طبيعة سكرية بروتينية لا تنحل باللعاب ولا تزول بغسلها بالماء بل تحتاج إلى فرشاة الأسنان لإزالتها.
ووتكون اللويجة الجرثومية على مرحلتين:
- المرحلة الأولى: وتبدأ بعد 30 دقيقة من تنظيف الأسنان إذ يفرز اللعاب مواد سكرية بروتينية تلتصق بسطح السن وتكون غشاء رقيقاً غير جرثومي يدعى الجليدة أو القشيرة pellicle وهو غير قابل للانحلال ولا يرى بالعين المجردة.
- المرحلة الثانية: تأخذ الجراثيم، في غضون ساعة، وخاصة المكورات العقدية الإيجابية الغرام gram positive Streptococcus منها بالتوضع على الجليدة ثم تأخذ أنواع أخرى من الجراثيم بالتراكم تدريجياً في3 - 8 ساعات. وتضم العقديات: العقديات الدموية S.sanguis والعقديات الطافرة S.mutans التي يزداد وجودها في اللويحة الجرثومية لدى تناول السكريات (السكاروز) باستمرار عن طريق الغذاء، ويعزى للعقديات الطافرة قيامها بدور أساسي في بدء حدوث التسوس إذ تقوم باستقلاب السكاروز مكوّنةً حموضاً ومواد لاصقة من نوع متعدد السكريد كالدكستران. وتوجد أيضاً العقديات اللعابية S.salivarious والشعيات اللزجة viscous Actinomyces.
وتأخذ أنواع أخرى من الجراثيم في 24 ساعة من بدء تكوّن اللويحة بالتوضع عليها مثل العقديات اللاهوائية السلبية الغرام والعصيات اللبنية Lactobacillus، وفي 3-7 أيام التالية تتراكم أحياء مجهرية أخرى مثل الحليزونيات Spirilla والعصيات المغزلية Fusiform Bacilli والملتويات Spirochetaceae والألياف وتصبح اللويحة في حالة نضج ويكون لها تأثير ضار على اللثة أيضاً إضافة إلى دورها في إحداث التسوس.
السكريات
تعد السكريات الغذاء الرئيسي للجراثيم وهي تساعد في نموها وتكاثرها. وتقوم الجراثيم عادة بتحويل السكريات إلى حموض مختلفة أهمها حمض اللبن lactic acid، يختزن قسم منها داخل اللويحة الجرثومية ويقوم بحل ميناء السن الذي يؤدي إلى حدوث التسوس البدئي، ويذهب قسم آخر إلى اللعاب. والسكر الأبيض (السكاروز)، أكثر الأنواع ضرراً في حدوث التسوس يليه الفركتوز والمالتوز والغلوكوز.
يزداد خطر السكاكر لدى تناولها عدة مرات في اليوم بين الوجبات الرئيسية، إذ يؤدي ذلك إلى استمرار تكوّن الحموض الضارة في الفم مما يسهل انحلال ميناء السن وحدوث التسوس. وللمشروبات السكرية الأضرار نفسها التي تحدثها المأكولات السكرية الصلبة.
===الأسنان===يتأثر حدوث التسوس بشكل الأسنان وتوضعها وتركيبها. فمن ناحية الشكل، تكون الأسنان ذات الشقوق والوهاد العميقة الموجودة على سطوحها أكثر عرضة للإصابة بالتسوس. وإن توضع الأسنان غير المنتظم وتزاحمها في الفم يعيقان توفير التنظيف الكامل لها وإزالة الجراثيم وبقايا الطعام مما يساعد في حدوث التسوس أيضاً. أما من ناحية تركيب السن فيعد الميناء من أقسى نسج جسم الإنسان وهو يتألف من عناصر معدنية بنسبة 96 % وهي الكلسيوم والفوسفات، وعناصر عضوية بنسبة 4 % يدخل فيها البروتين والماء. وهناك عادة تبادل ش اردي متوازن ومستمر بين الميناء واللعاب وفيه تخرج شوارد الكلسيوم والفسفات من الميناء إلى اللعاب (زوال التمعدن demineralization) ثم تعود ثانية إلى الميناء (عودة التمعدن remineralization)، وإن اختلال التوازن في هذه العملية وتغلُّب العوامل المحدثة لإحدى العمليتين على الأخرى يؤدي إلى حدوث التسوس (مثل تناول السكريات باستمرار) أو توقفه بعد الحدوث أو عدم حدوثه مطلقاً (حين تناول الفلوريدات موضعياً على سبيل المثال).
وقد لوحظ أن الأسنان المصابة بنقص التكلس تكون أكثر عرضة للإصابة بالتسوس من غيرها.
ويقوم اللعاب بدور مهم في عملية حدوث التسوس، فقد وجد أن لزوجته الكبيرة عند البعض وجفافه عند البعض الآخر يجعل الأسنان أكثر عرضة للتسوس.
حدوث التسوس وتطوره
تقوم الحموض الناتجة من عملية تخمر السكاكر بحل العناصر المعدنية والعضوية التي تدخل في تركيب ميناء السن فتبدو المنطقة بيضاء طبشورية وذات ملمس خشن. ولدى تزايد إنتاج الحموض وعدم تطبيق الفلوريد الموضعي على الأسنان الذي يقوم عادة بإيقاف تطور التسوس، يتهدم الميناء وتصل الإصابة إلى العاج مشكلة حفرة التسوس التي يمكن ملاحظتها سريرياً ويبدأ الإحساس بالألم لدى التعرض إلى مؤثرات خارجية من سخونة وبرودة أو الضغط أثناء المضغ. عند إهمال معالجة التسوس في هذه المرحلة يزداد التخرب وتصل الإصابة إلى لب السن الذي يصاب بالالتهاب وترافقه موجات حادة من الألم وخاصة في أثناء الليل. إن عدم تطبيق المعالجة الملائمة في هذه المرحلة يؤدي إلى تموت اللب وإصابته بالتعفن وتتكون الخراجات الحادة والمزمنة والآفات الذروية التي تنتهي بقلع السن المصابة.
تتطور الجراثيم (البكتيريا) مع تواجد مكونات أو ترسبات من الغلوسيد على سطح الأسنان. تنتج عملية الايض التي تحدث للبكتيريا أحماض، وهذه الأخيرة هي المسئولة عن نخر الأسنان.
تاريخ
مقالة مفصلة: فرناندو رودريگز ڤارگاس
علم الأوبئة
المكان
Smooth-surface caries
There are three types of smooth-surface caries. Proximal caries, also called interproximal caries, form on the smooth surfaces between adjacent teeth. Root caries form on the root surfaces of teeth. The third type of smooth-surface caries occur on any other smooth tooth surface.
علم أسباب الأمراض
العلامات والأعراض
التشخيص
البكتريا
الفسيولوجيا المرضية
المينا
انتشار النخور عند الطلاب من 6-16سنة في جامايكا بعد 12 سنة من تطبيق الملح المفلور
الهدف من هذه الدراسة المقطعية الوصفية كان تقدير انتشار النخور عند الطلاب بعمر من 6- 16- سنة في المجتمع الريفي في جامايكا , بعد إنتاج الملح المفلور في عام 1987 م , القيم الأساسية لـ ((SD)dmfs/DMFS) , كان7,9 (10,7) للأطفال بعمر 6 سنوات , 4,1 (4,9) للطلاب بعمر 12 سنة و 8,2 (8,1) للأطفال بعمر 15 سنة , القيم المتوسطة الأساسية لـ (SD) dmft/DMFT كان 3,2 (3,5) , 2,2 (2,1) و 3,8 (3,3) على التوالي . مشعر المعالجة لم ينفذ لحوالي 88-99,9 % من الطلاب المفحوصين , الغموض كان لإصابة 48% من الأطفال المفحوصين بالانسمام الفلوري ، النتائج تشير إلى انخفاض انتشار النخور لكل الفئات العمرية منذ استخدام الملح المفلور، لكن ربما تكون الصيغ المتنوعة من الفلور هي التي ساهمت في تخفيض انتشار النخور . الاستنتاج : • بما إن الفلور الموجود في الملح المفلور يعتبر العامل الأساسي في الوقاية من النخر يجب أن يرافق استخدامه بالحذر . • تأثيرات الملح المفلور المستخدم في جامايكا يجب أن يعاد فحصها بتفصيل أكثر .
المصادر: Meyer-Lueckel H, Satzinger T,Kielbassa AM . قسم الوقاية السنية و حول السنية ,مدرسة طب الأسنان الجامعية , جامعة برلين , ألمانيا
دنتين
العلاج
معالجة تسوس الأسنان
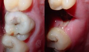
يقوم طبيب الأسنان بإزالة جميع أنسجة السن المتلينة والمصابة بالتسوس بوساطة الأدوات اليدوية وأجهزة حفر الأسنان الدوارة ثم تنظف حفرة التسوس جيداً وبعد ذلك ترمم بمواد حاشية معدنية كالملغم amalgam الذي يتألف من مزيج من الزئبق والفضة والقصدير والنحاس، أو بمواد مرممة بلون الأسنان من نوع الراتنج أو الإسمنت الزجاجي الذي يتميز بالالتصاق الجيد وإطلاق الفلوريد. لدى وصول آفة التسوس إلى لب السن يقوم طبيب الأسنان باستئصاله وحشوه بالمواد الملائمة وإتمام ترميم السن.
الوقاية من تسوس الأسنان
تتضمن إجراءات وقاية الأسنان من التسوس مايلي:
1 ـ حفظ صحة الفم (التصحح الفموي): ويعني ذلك تنظيف الأسنان بطريقة فعالة وإزالة كل التراكمات الجرثومية والبقايا الطعامية باستخدام فرشاة الأسنان ومعجون الأسنان الذي يحتوي على الفلوريد مرتين يومياً على الأقل، صباحاً ومساءً قبل النوم. ومن الضروري أيضاً تنظيف السطوح بين الأسنان بوساطة الخيط السني أو عيدان الأسنان أو فرش خاصة صغيرة الرأس.
2 ـ ترشيد تناول السكاكر: يجب تناول المأكولات السكرية مع الوجبات الرئيسية فقط وعدم تناولها بكثرة في أثناء اليوم وبين الوجبات. وكذلك يجب تجنب تناول المأكولات السكرية اللصاقة وعدم إطالة بقاء المأكولات السكرية مدد طويلة في الفم. ويمكن أن يستبدل بالسكر الأبيض (السكاروز) مواد سكرية بديلة مثل الكزيليتول والسوربيتول التي تعطي الطعم الحلو نفسه ولكنها أقل ضرراً منه بسبب عدم قدرة الجراثيم على إنتاج الحموض منها.
3 ـ استخدام الفلوريدات Fluorides: الفلوريد هو عنصر هالوجيني يوجد في التربة والنباتات والمياه والخضار واللحوم بنسب متفاوتة، ويزداد وجوده في الشاي والأسماك. وهو يقو م بدور فعال في زيادة مقاومة الأسنان تجاه الإصابة بالتسوس قبل بزوغها وبعد البزوغ، ويكون أكثر فعالية لدى تناوله في مرحلة الطفولة.
يتم تناول الفلوريد عن طريق الفم أو بالتطبيق الموضعي على الأسنان. فعن طريق الفم يضاف إلى مياه الشرب بنسبة جزء واحد بالمليون أو أ قل (بحسب المناخ وكمية المياه المستهلكة) مما يخفض نسبة الإصابة بالتسوس بنسبة 50-60%. أو يضاف إلى ملح الطعام أو الحليب. ويمكن أيضاً تناوله بشكل أقراص أو قطرات. وأما التطبيق الموضعي على الأسنان فيتم في عيادة طبيب الأسنان ويطبق في محلول مائي كثيف أو هلام أو فرنيش مرة كل ستة أشهر، أو يطبق ذاتياً في مضامض فموية في المنزل أو المدرسة أو يستعمل عن طريق معجون الأسنان الذي يعد اليوم من أكثر الطرق الفعالة في الوقاية من التسوس وخاصة لدى الأطفال .
4 ـ تطبيق المواد السادة للشقوق: تحدث غالبية إصابات التسوس في الشقوق الموجودة على السطوح الطاحنة للأضراس. وتعد عملية سد هذه الشقوق بمواد راتنجية أو مواد زجاجية لاصقة من الطرق الفعالة في منع حدوث التسوس في هذه المناطق.
طالع أيضاً
الهامش
المصادر
|
مراجع مطبوعة
|
مصادر على الوب
|
وصلات خارجية
- What causes cavities; an indepth look
- Links to tooth decay pictures (Hardin MD/Univ of Iowa)
- Caries Diagnosis - Coronal Caries from the University of Michigan, School of Dentistry.
- Diet, Nutrition and the prevention of chronic diseases (including dental caries) by a Joint WHO/FAO Expert consultation (2003) .
- Image showing various stages of dental caries
- Global Oral Health - CaPP, a chart containing caries data from selected countries.
- Common questions on dental caries treatment
