غرن شحمي
| غرن شحمي | |
|---|---|
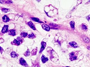
| صورة مجهرية للغرن الشحمي، H&E stain | |
| التخصص | الأمراض الجلدية، علم الأورام، الجراحة العامة |
| الأعراض | كتلة متنامية من الأنسجة تحت الجلد
الألم التورم ضعف الطرف المصاب |
| المسببات | أسباب غير معروفة. يعرف الأطباء أن الغرن الشحمي يتشكل عندما تصاب الخلية الدهنية بأخطاء (طفرات) في شفرتها الجينية. تخبر الطفرات الخلية أن تتكاثر بسرعة وأن تستمر في الحياة عندما تموت الخلايا الأخرى. تشكل الخلايا الشاذة المتراكمة كتلة (ورم). توجد عدة أنواع من الغرن الشحمي. ينمو بعضها ببطء وتبقى الخلايا في منطقة واحدة من الجسم. تنمو الأنواع الأخرى بسرعة كبيرة وقد تنتشر إلى مناطق أخرى من الجسم. |
الغرن الشحمي أو الساركوما الشحمية (إنگليزية: Liposarcoma)، هو أحد أنواع السرطان الذي ينشأ في الخلايا الدهنية بالأنسجة الرخوة، مثل داخل الفخذ أو التجويف خلف الصفاق.[1] وهو نوع نادر من السرطان يشبه الخلايا الدهنية عند فحصه تحت المجهر.[2] عادة ما يكون ورماً كبيراً ضخماً ويميل إلى امتلاك العديد من التوابع الأصغر التي تمتد إلى ما وراء الحدود الرئيسية للورم. الغرن الشحمي نادر، مثله مثل جميع أنواع الأغران.[3]
الأعراض والعلامات
عادة ما يلاحظ المرضى وجود كتلة عميقة في أنسجتهم الرخوة. فقط عندما يكون الورم كبيراً جداً، تحدث أعراض الألم أو الاضطرابات الوظيفية. قد تظهر أورام خلف الصفاق مع علامات فقدان الوزن والهزال وألم البطن. قد تضغط هذه الأورام أيضاً على الكلى أو الحالب، مما يؤدي إلى الفشل الكلوي.[بحاجة لمصدر]
التشخيص
يُحدد التشخيص بواسطة الفحص النسيجي، أي الخزعة أو استئصال. غالباً ما تكون الأغران موجودة؛ وهي خلايا بها سيتوپلازم متعدد الفقاعات ونواة مصبوغة بشكل غامق غريب الأطوار تتشكل بمسافة بادئة بواسطة الفجوات.[بحاجة لمصدر]
التصوير الطبي
قد لا يكون التصوير بالموجات فوق الصوتية قادراً على التمييز بين الغرن الشحي والورم الشحمي الحميد، وبالتالي، فإن التصوير بالرنين المغناطيسي هو التصوير الأولي المفضل.[4]
Medical ultrasonography of a liposarcoma: In this case a heterogeneous mass consisting of an upper hyperechoic portion, corresponding to lipomatous matrix, and areas of hypoechogenicity corresponding to nonlipomatous components.[5]
Ultrasonography of a liposarcoma mimicking a lipoma. A homogeneous hypoechoic mass presenting with the same appearance of lipoma. It was clinically distinguished as having rapid growth.[5]
MRI of myxoid liposarcoma of high grade, in left axillary region of 40 year old man. Highlighted by the white color. Horizontal section.
الأنواع
هناك عدد من الأنواع الفرعية للغرن الشحمي:
- غرن شحمي جيد التمايز إنگليزية: Well-differentiated liposarcoma، مرادف للورم الشحمي الغير نمطي - يستخدم المصطلح الاول تقريباً بشكل حصري للآفات في خلف الصفاق، بينما يستخدم الأخير للآفات التي تظهر في مكان آخر.
- غرن شحمي غير متمايزة-غرن شحمي جيد التمايز (درجة عالية) مجاورة لورم أقل تمايزاً.
- غرن شحمي خلوي مستدير/مخاطية
- الغرن الشحمي متعدد الأشكال
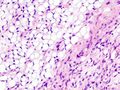
Micrograph of a myxoid liposarcoma, H&E stain
Micrograph of a dedifferentiated liposarcoma, H&E stain
العلاج
غالبًا ما يتكون علاج الغرن الشحمي هو الاستئصال الجراحي للورم ووالخلايا المحيطة، والإشعاع أحياناً، وربما العلاج الكيميائي أيضاً.[6]
مآل المرض
يختلف مآل المرض حسب موقع المنشأ ونوع الخلية السرطانية وحجم الورم والعمق والقرب من العقد الليمفاوية.
تختلف معدلات البقاء على قيد الحياة لخمس سنوات من 56 إلى 100% بناءً على نوع الغرن الشحمي النسيجي.[7]
علم الأوبئة
الغرن الشحمي أكثر شيوعاً بين البالغين في منتصف العمر وكبار السن (سن 40 وما فوق)، وهو ثاني أكثر أغران الأنسجة الرخوة شيوعاً، بعد أورام المنسجات الليفية الخبيثة. تحدث 2.5 حالة لكل مليون نسمة سنوياً.[بحاجة لمصدر]
الثقافة والمجتمع
أشهر الحالات
- تشاد براون (1961-2014)، لاعب پوكر، توفى من الغرن الشحمي.
- رتشارد فينمان (1918–1988)، عالم فيزياء نظرية، توفى في أعقاب جراحة لمعالجة المرض.
- روب فورد (1969-2016)، عمدة تورنتو ومستشار مدينة تورنتو السابق، توفى بالغرن الشحمي.
- هوكي گاجان (1959-2016)، لاعب كرة القدم الأمريكية السابق ومعلق الراديو للفريق، توفي بالغرن الشحمي.
- تشارلي ديڤيز (1986-)، لاعب كرة قدم في نادي فيلادلفيا يونيون.
- مارك ستراند، الحائز على جائزة الشاعر الأمريكي السابق والفائز بجائزة پوليتسر.
انظر أيضاً
- ورم دهني
- ذا وندي واك، منظمة غير ربحية مهمته رفع الوعي وجمع التبرعات من أجل الغرن الشحمي.
المصادر
- ^ Dei Tos AP (August 2000). "Liposarcoma: new entities and evolving concepts". Ann Diagn Pathol. 4 (4): 252–66. doi:10.1053/adpa.2000.8133. PMID 10982304.
- ^ Bell, Teresa (October 2012). "What is Liposarcoma?". The Liddy Shriver Sarcoma Initiative. Retrieved 2015-04-22.
- ^ Goldstein-Rice, E (2008). "The Importance of Treatment at a Specialty Center for Sarcomas". ESUN.
- ^ Rohit Sharma; Frank Gaillard; et al. "Lipoma". Radiopaedia. Retrieved 2018-09-27.
- ^ أ ب Content originally copied from: Mak, Chee-Wai; Tzeng, Wen-Sheng (2012). Sonography. doi:10.5772/27586. ISBN 978-953-307-947-9. from Kerry Thoirs (2012-02-03). "Sonography". doi:10.5772/27586.
{{cite journal}}: Cite journal requires|journal=(help) ISBN 978-953-307-947-9, Published: February 3, 2012, under the CC-BY-3.0 license. - ^ "Liposarcoma". Sarcoma UK. 2015-08-13. Retrieved September 20, 2018.
- ^ Gebhardt, M; Buecker, PJ (2004). "Liposarcoma". ESUN.
وصلات خارجية
| Classification | |
|---|---|
| External resources |