الأمعاء الغليظة

(تم التحويل من قولون)
الأمعاء الغليظة
Gray1223.png
صورة أمامية للبطن، حيث يظهر الكبد (بالأحمر)، والمعدة والأمعاء الدقيقة (بالأزرق). الأمعاء الغليظة هي الجزء الذي يشبه حرف U مقلوب.
Details
جزء منالقناة الهضمية
الجهازالجهاز الهضمي
الشريانالشريان المساريقي العلوي، الشريان المساريقي السفلي والشريان الحرقفي الغائر
الوريدالوريد المساريقي العلوي والوريد المساريقي السفلي
لمفالعقد اللمفاوية المساريقية السفلية
Identifiers
اللاتينيةColon or intestinum crassum
MeSHD007420
TA98A05.7.01.001
TA22963
FMA7201
المصطلحات التشريحية


الأمعاء الغليظة (إنگليزية: large intestine) أو القولون، هي الجزء الأخير من القناة الهضمية والجهاز الهضمي في رباعيات الأرجل. يُمتص الماء في الأمعاء الغليظة وتُخزن الفضلات المتبقية في المستقيم على شكل براز قبل خروجها عن طريق التبرز.[1] القولون هو أكبر جزء في الأمعاء الغليظة، وغالبًا ما يستخدم المصطلحين بالتبادل المصطلحات، لكن معظم المصادر تحدد الأمعاء الغليظة على أنها تتكون من من الأعور والقولون والمستقيم والقناة الشرجية.[1][2][3] وتستثني بعض المصادر القناة الشرجية.[4][5][6]

في البشر، تبدأ الأمعاء الغليظة في الحفرة الحرقفية اليمنى من الحوض، عند أو أسفل الخصر مباشرة، حيث تتصل بنهاية الأمعاء الدقيقة عند الأعور، عبر الصمام اللفائفي. ثم يتابع القولون صعوداً في البطن، عبر التجويف البطني باعتباره القولون المستعرض، ثم نزولاً إلى المستقيم لينتهي عند القناة الشرجية.[7] لدى البشر، يبلغ الطول الإجمالي للأمعاء الغليظة حوالي 1.5 متر، أي ثلثي طول القناة الهضمية البشرية.[8]

البُنية

رسم توضيحي للأمعاء الغليظة.

القولون هو الجزء الأخير من الجهاز الهضمي. ويتميز بمظهره المتجزأ لاحتوائه على سلسلة من الكييسات تسمى القُبيبات.[9] القولون يستخرج الماء والملح من الفضلات الصلبة قبل خروجها من الجسم وهو الموقع الذي تتخمر فيه المواد الغير ممتصة بواسطة الفلورا المعوية. على عكس الأمعاء الدقيقة، لا يلعب القولون دورًا رئيسيًا في امتصاص الأطعمة والعناصر الغذائية. يصل إلى القولون يومياً حوالي 1.5 لتر من الماء.[10]

القولون هو أطول جزء من الأمعاء الغليظة ويبلغ متوسط طوله في الإنسان البالغ 166 سم (من 80 إلى 313 سم) في الذكور، و155 سم (من 80 إلى 214 سم) في الإناث.[11]

القطاعات

القطاعات الداخلية للقولون.

في الثدييات، تتكون الأمعاء الدقيقة من الأعور (ويشمل الزائدة الدودية)، والقولون (أطول جزء)، والمستقيم، والقناة الشرجية.[1]

يتكون القولون من أربع أقسام:

تلتف هذه القطاعات في الثنيات القولونية.

تكون قطاعات القولون إما داخل الصفاق أو خلفه في تجويف خلف الصفاق. بشكل عام، لا تحتوي الأعضاء خلف الصفاق على غطاء كامل من الصفاق، لذلك تكون ثابتة في موقعها. الأعضاء داخل الصفاق محاطة بالكامل بالغضاء البريتوني وبالتالي فهي متحركة.[12] يقع القولون الصاعد والقولون النازل والمستقيم خلف الصفاق، بينما يقع الأعور والزائدة الدودية والقولون المستعرض والقولون السيني داخل الصفاق.[13] ترجع أهمية هذا لتأثيره على الأعضاء التي يمكن الوصول إليها بسهولة أثناء الجراحة، مثل فتح البطن.

من حيث القطر، فإن الأعور هو الأوسع، بمتوسط أقل بقليل من 9 سم في الأفراد الأصحاء، ويبلغ متوسط قطر القولون المستعرض أقل من 6 سم.[14] القولون النازل والسيني أصغر قليلاً، حيث يبلغ متوسط قطر القولون السيني 4-5 سم.[14][15] يمكن تشخيص الأقطار الأكبر من قياسات معينة لكل قسم من أقسام القولون على أنها تضخم القولون.

صورة ثلاثية الأبعاد للأمعاء الغليظة.

الأعور والزائدة الدودية

الأعور هو القسم الأول من الأمعاء الغليظة ويشارك في عملية الهضم، في حين أن الزائدة الدودية التي تتطور بشكل جنيني منه، لا تشارك في عملية الهضم وتعتبر جزءًا منه النسيج اللمفاوي المرتبط بالأمعاء. وظيفة الزائدة غير مؤكدة، لكن بعض المصادر تعتقد أن لها دورًا في إيواء عينة من الفلورا المعوية، وهي قادرة على المساعدة في إعادة ملء القولون بالفلورا إذا استنفدت أثناء تفاعل مناعي. كما تبين أن الزائدة الدودية تحتوي على تركيز عالٍ من الخلايا الليمفاوية.

القولون الصاعد

القولون الصاعد هو أول الأقسام الرئيسية الأربعة من الأمعاء الغليظة. وهو متصل بالأمعاء الدقيقة عن طريق جزء من الأمعاء يسمى الأعور. يمتد القولون الصاعد لأعلى عبر تجويف البطن باتجاه القولون المستعرض لحوالي 20 سم.

تتمثل إحدى الوظائف الرئيسية للقولون في إزالة الماء والعناصر الغذائية الرئيسية الأخرى من الفضلات وإعادة استخدامها. عندما تخرج مواد الفضلات من الأمعاء الدقيقة من خلال الصمام اللفائفي، فإنها ستنتقل إلى الأعور ثم إلى القولون الصاعد حيث تبدأ عملية الاستخراج هذه. تُضخ الفضلات إلى أعلى باتجاه القولون المستعرض بواسطة الحركة الدودية. يرتبط القولون الصاعد أحيانًا بالزائدة الدودية عبر صمام جيرلاخ. في المجترات، يُعرف القولون الصاعد باسم القولون الحلزوني .[16][17][18] مع الأخذ في الاعتبار جميع الأعمار والأجناس، يحدث سرطان القولون هنا في أغلب الأحيان (41٪).[19]

القولون المستعرض

القولون المستعرض هو جزء من القولون من الثنية الكبدية، المعروفة أيضًا باسم القولون الأيمن، (يلتف القولون بواسطة الكبد) إلى ثنية الطحال المعروفة أيضًا باسم القولون الأيسر، (يلتف القولون بواسطة الطحال). يتدلى القولون المستعرض من المعدة، مرتبطًا به بطية كبيرة من الصفاق تسمى الثرب الأكبر. على الجانب الخلفي، يتصل القولون المستعرض بجدار البطن الخلفي بواسطة مساريقا تعرف باسم المساريقا المستعرضة.

يُغلف القولون المستعرض داخل الصفاق، وبالتالي فهو متحرك (على عكس أجزاء القولون قبله وبعده مباشرة).

يحصل الثلثين القريبين من القولون المستعرض على إمداداتهما من الدم بواسطة الشريان المساريقي الأوسط، وهو فرع من الشريان المساريقي العلوي (SMA)، بينما يتم توفير الثلث الأخير من خلال فروع الشريان المساريقي السفلي (IMA). منطقة "مستجمعات المياه" بين هذين الإمداد بالدم، والتي تمثل الانقسام الجنيني بين المعي المتوسط والمعى الخلفي، هي منطقة حساسة لنقص التروية.

القولون النازل

القولون النازل هو جزء من القولون من الثنية الطحالية إلى بداية القولون السيني. تتمثل إحدى وظائف القولون النازل في الجهاز الهضمي في تخزين البراز الذي سيتم إفراغه في المستقيم. ويقع في تجويف خلف الصفاق لدى ثلثي البشر. في الثلث الآخر، يحتوي على المساريق (قصيرة عادة).[20] يأتي إمداد الشرايين عبر الشريان القولوني الأيسر. يُطلق على القولون النازل أيضًا اسم "القناة الهضمية البعيدة"، حيث يقع على طول القناة الهضمية أكثر من القناة الهضمية القريبة. الفلورا المعوية كثيفة جدًا في هذه المنطقة.

القولون السيني

القولون السيني هو جزء من الأمعاء الدقيقة بعد القولون النازل وقبل المستقيم. اسم السيني، يعني أنه يأخذ شكل حرف "S". جدران القولون السيني عضلية وتتقلص لزيادة الضغط داخل القولون، مما يتسبب في انتقال البراز إلى المستقيم.

يُزود القولون السيني بالدم من عدة أفرع (عادة ما بين 2 و6) من الشرايين السينية، وهي فرع من IMA. ينتهي IMA باسم الشريان المستقيمي العلوي.

التنظير السيني هي تقنية تشخيصية شائعة تستخدم لفحص القولون السيني.

المستقيم

المستقيم هو القسم الأخير من الأمعاء الغليظة. يحمل البراز المتشكل في انتظار التخلص منه عن طريق التبرز. يبلغ طول المستقيم حوالي 12 سم.[21]

المظهر

تمتد الشريطية القولونية على طول الأمعاء الغليظة. نظرًا لأن الشريطية القولونية أقصر من الأمعاء الغليظة نفسها، فإن القولون يصبح sacculated، مكونًا كييسات القولون وهي نتوءات داخلية دهنية صغيرة.[22]

إمدادات الدم

تأتي إمدادات الشرايين إلى القولون من فروع الشريان المساريقي العلوي (SMA) والشريان المساريقي السفلي (IMA). يتواصل التدفق بين هذين النظامين عبر شريان القولون الهامشي الذي يمتد بالتوازي مع القولون. تاريخيًا، كان يُعتقد أن الهيكل الذي تم تحديده بشكل مختلف على أنه قوس ريولان أو الشريان المساريقي المتعرج (لموسكوفيتز) يربط الشريان المساريقي العلوي القريب. سيكون هذا الهيكل الحالي المتغير هاماً إذا انسد أي من الوعاءين. ومع ذلك، فإن مراجعة واحدة على الأقل للأدبيات تتساءل عن وجود هذه الوعاء، حيث دعا بعض الخبراء إلى إلغاء هذه المصطلحات من الأدبيات الطبية المستقبلية.[23]

عادة ما يعكس التصريف الوريدي إمداد الشرايين القولونية، مع الوريد المساريقي السفلي في الوريد الطحالي، وينضم الوريد المساريقي العلوي إلى الوريد الطحال ليشكلا الوريد البابي الكبدي الذي يدخل بعد ذلك الكبد.

التصريف اللمفاوي

التصريف اللمفاوي من القولون الصاعد والثلثين القريبين من القولون المستعرض إلى العقد اللمفاوية اللفائفية القولونية والعقد اللمفاوية المساريقية العلوية، والتي تصرف في الصهريج الكيلوسي.[24]

يصرف اللمف في الثلث البعيد من القولون المستعرض، والقولون النازل، والقولون السيني، وأعلى المستقيم إلى العقد الليمفاوية المساريقية والقولونية السفلية.[24] المستقيم السفلي للقناة الشرجية فوق خط التصريف المسنن إلى العقد اللفائفية القولونية الداخلية.[25] تصرف القناة الشرجية أسفل الخط المسنن في العقد السطحية الأربية.[25] يشير الخط المسنن تقريباً فقط إلى هذا الانتقال.

إمدادات الأعصاب

  • إمدادات الودي: العقد المساريقية العلوية والسفلية؛
  • إمدادات اللاودي: العصب المبهم والحوض.

التطور

الأديم الباطن والأديم المتوسط والأديم الظاهر هي طبقات جرثومية تتطور في عملية تسمى تكون المعيدة (gastrulation). تحدث هذه العملية في وقت مبكر من التطور البشري. الجهاز الهضمي مشتق من هذه الطبقات.[26]

التغيرات

يحدث اختلاف واحد في التشريح الطبيعي للقولون عندما تتشكل حلقات إضافية، مما ينتج عنه القولون الذي يصل طوله إلى خمسة أمتار أطول من المعتاد. هذه الحالة، التي يُشار إليه باسم "القولون الزائد"، ليس لهذه الحالة عادةً عواقب صحية كبيرة مباشرة، على الرغم من أنه نادرًا ما يحدث انفتال، مما يؤدي إلى انسداد القولون ويتطلب رعاية طبية فورية.[27][28] تتمثل إحدى النتائج الصحية غير المباشرة الهامة في أن استخدام شخص بالغ منظار القولون المعياري هو أمر صعب وفي بعض الحالات مستحيل عند وجود القولون الزائد، على الرغم من أن المتغيرات المتخصصة على الأداة (بما في ذلك البديل الخاص بالأطفال) مفيدة في التغلب على هذه المشكلة.[29]

التشريح الدقيق

أقبية القولون

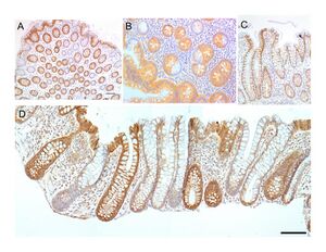
خبايا القولون (الغدد المعوية) ضمن أربعة أقسام من الأنسجة. الخلايا المصبوغة تظهر لونًا بنيًا برتقاليًا إذا كانت الخلايا تنتج پروتين متقدرة سيتوكروم سي أوكسيديز الوحدة الفرعية I (CCOI)، ونوى الخلايا (الموجودة على الحواف الخارجية للخلايا المبطنة لجدران الخبايا) مصبوغة باللون الأزرق الرمادي بالهيماتوكسيلين. قُطعت الألواح A و B عبر المحاور الطويلة للأقبية والألواح C و D بالتوازي مع المحاور الطويلة للأقبية. في اللوحة A، يظهر الشريط 100 ميكرومتر ويسمح بتقدير تواتر الخبايا في ظهارة القولون. تتضمن اللوحة B ثلاثة خبايا في المقطع العرضي، كل منها به جزء واحد ناقص لتعبير CCOI وقبو واحد على الأقل، على الجانب الأيمن، يخضع للانشطار في اثنين من الخبايا. تُظهر اللوحة C، على الجانب الأيسر، سرداب ينشطر إلى خبيئتين. تُظهر اللوحة D مجموعات صغيرة نموذجية من اثنين وثلاثة خبايا ناقصة CCOI (يظهر الشريط 50 ميكرومتر) صُنعت الصور من الصور المجهرية الأصلية، لكن تم أيضًا تضمين اللوحات A و B و D في إحدى المقالات[30] ونُشرت الرسوم التوضيحية مع ترخيص Creative Commons Attribution-Noncommercial License الذي يسمح بإعادة الاستخدام.

جدار الأمعاء الغليظة مبطن بظهارة عمودية بسيطة مع انغماد. تسمى تلك الانغمادات بالغدد المعوية أو خبايا القولون.


تتشكل خبايا القولون مثل أنابيب اختبار ذات جدران سميكة مجهرية مع وجود ثقب مركزي أسفل طول الأنبوب (خبايا تجويف الأنبوب). يُستعرض هنا أربعة أقسام من الأنسجة، اثنان منها مقطوعان عبر محاور طويلة من الخبايا واثنان مقطوعان بالتوازي مع المحاور الطويلة. في هذه الصور، صبغت الخلايا بواسطة الكيمياء المناعية لإظهار لون بني برتقالي إذا كانت الخلايا تنتج پروتين متقدرة سيتوكروم سي أوكسيديز الوحدة الفرعية I (CCOI). نوى الخلايا (الموجودة على الحواف الخارجية للخلايا المبطنة لجدران الخبايا) مصبوغة باللون الأزرق الرمادي بالهيماتوكسيلين. كما هو موضح في اللوحتين C و D، يبلغ طول الخبايا حوالي 75 إلى 110 خلية.[31] وجد بيكر وزملائه أن متوسط أن متوسط محيط الخبية هو 23 خلية. وبالتالي، من خلال الصور الموضحة هنا، يوجد في المتوسط حوالي 1725 إلى 2530 خلية لكل خبية قولونية. بينما وجد نوتيبوم وزملائه [32] أن قياس عدد الخلايا في عدد صغير من الخبايا سجل نطاقًا يتراوح من 1500 إلى 4900 خلية لكل سرداب القولون. تُنتج الخلايا في قاعدة الخبية وتهاجر لأعلى على طول محور الخبية قبل أن تُلقى في تجويف أنبوب القولون بعد أيام.[31]

كما تم تقديره من الصورة في اللوحة A، يوجد حوالي 100 خبايا القولون لكل مليمتر مربع من ظهارة القولون.[33]

حيث أن متوسط طول القولون البشري 160.5 سم[11] ويبلغ متوسط المحيط الداخلي للقولون 6.2 سم،[33] تبلغ مساحة السطح الداخلي الظهاري للقولون البشري حوالي 995 سم2، الذي يتضمن 9.950.000 (قرابة 10 مليون) خبية.

في أقسام الأنسجة الأربعة الموضحة هنا، تحتوي العديد من الغدد المعوية على خلايا بها طفرة دنا المتقدرة في جين "CCOI" وتظهر في الغالب بيضاء، ولونها الرئيسي هو صباغة النوى باللون الأزرق الرمادي. كما هو موضح في اللوحة B، يبدو أن جزءًا من الخلايا الجذعية لثلاثة خبايا لديه طفرة في "CCOI"، بحيث تشكل 40٪ إلى 50٪ من الخلايا الناشئة عن تلك الخلايا الجذعية قطعة بيضاء في منطقة المقطع العرضي.

بشكل عام ، فإن النسبة المئوية للخبايا التي تعاني من نقص في CCOI أقل من 1٪ قبل عمر 40، لكنها تزداد بعد ذلك خطيًا مع تقدم العمر.[30] تصل خبايا القولون التي تعاني من نقص CCOI لدى النساء، في المتوسط، إلى 18٪ لدى النساء و23٪ لدى الرجال في عمر 80-84 سنة.[30]

يمكن أن تتكاثر خبايا القولون عن طريق الانشطار، كما هو موضح في اللوحة C، حيث تنشطر الخبايا لتشكيل خبيئتين، وفي اللوحة B حيث يبدو أن هناك خبيئة واحد على الأقل تنشطر. توجد معظم الخبايا الناقصة في CCOI في مجموعات من الخبايا (نسخ من الخبايا) مع اثنين أو أكثر من الخبايا التي تعاني من نقص CCOI المجاورة لبعضها البعض (انظر اللوحة D).[30]

الأغشية المخاطية

حوالي 150 من عدة آلاف من جينات ترميز الپروتين المعبر عنها في الأمعاء الغليظة، بعضها خاص بالغشاء المخاطي في مناطق مختلفة وتشمل CEACAM7.[34]

الوظيفة

قطاع نسيجي.

تمتص الأمعاء الغليظة الماء وأي مغذيات متبقية قابلة للامتصاص من الطعام قبل إرسال المادة غير القابلة للهضم إلى المستقيم. يمتص القولون الفيتامينات التي تنتجها بكتيريا القولون، مثل الثيامين والريبوفلافين وفيتامين ك (هام بشكل خاص لأن التناول اليومي لفيتامين ك لا يكفي عادة للحفاظ على تخثر الدم الكافي).[35][بحاجة لمصدر][36] كما أنهل تضغط البراز وتخزنه في المستقيم حتى يمكن إخراجه عبر فتحة الشرج أثناء التبرز.

تفرز الأمعاء الغليظة أيضًا K + و Cl-، ويزيد إفراز الكلوريد في التليف الكيسي. يعاد تدوير العناصر الغذائية المختلفة في القولون. تشمل الأمثلة تخمر الكربوهيدرات والأحماض الدهنية قصيرة السلسلة ودورة اليوريا.[37][بحاجة لمصدر]

تحتوي الزائدة الدودية على كمية صغيرة من الأنسجة اللمفاوية المرتبطة بالغشاء المخاطي مما يعطي الزائدة دورًا غير محدد في المناعة. ومع ذلك، من المعروف أن الزائدة الدودية هامة لحياة الجنين لأنها تحتوي على خلايا الغدد الصماء التي تطلق الأمينات الحيوية وهرمونات الپبتيد الهامة لاستتباب أثناء النمو والتطور المبكر.[38]

بحلول الوقت الذي وصل فيه الكيموس إلى هذا الأنبوب، يكون الجسم قد امتص معظم المغذيات و90٪ من الماء. في هذه المرحلة، تترك بعض الكاهرل مثل الصوديوم والمغنيسيوم والكلوريد وكذلك الأجزاء غير القابلة للهضم من الطعام المبتلع (على سبيل المثال، جزء كبير من الأميلوز المهضوم، النشا الذي كان محميًا من الهضم حتى الآن، والألياف الغذائية، وهي كربوهيدرات غير قابلة للهضم إلى حد كبير إما في شكل قابل للذوبان أو غير قابل للذوبان). عندما يتحرك الكيموس عبر الأمعاء الغليظة، يزال معظم الماء المتبقي، بينما يختلط الكيموس مع المخاط والبكتيريا (المعروفة باسم الفلورا المعوية)، ويصبح البراز. يستقبل القولون الصاعد البراز على شكل سائل. تقوم عضلات القولون بعد ذلك بتحريك الفضلات المائية للأمام وتمتص ببطء كل الماء الزائد، مما يتسبب في تصلب البراز تدريجيًا أثناء تحركه إلى القولون النازل.[39]

تقوم البكتيريا بتفكيك بعض الألياف لتغذيتها وتخلق أسيتات وپروپيونات والحمض الزبدي كمنتجات فضلات، والتي تستخدم بدورها بواسطة بطانة الخلايا في القولون للتغذية.[40] لا ينتج عن تلك العملية أي پروتينات. عند البشر، ربما تصبح نسبة 10٪ من الكربوهيدرات غير المهضومة متوفرة، على الرغم من أن هذا قد يختلف باختلاف النظام الغذائي؛[41] في الحيوانات، بما في ذلك القردة والرئيسيات الأخرى، التي لديها قولون أكبر نسبيًا، يتم توفير المزيد، مما يسمح بجزء أكبر من المواد النباتية في النظام الغذائي. لا تُنتج الأمعاء الغليظة[42] اي انزيمات هاضمة- الهضم الكيميائي يكتمل في الأمعاء الغليظة قبل وصول الكيموس إلى الأمعاء الغليظة. يتراوح الأس الهيدروجيني في القولون بين 5.5 و7 (حمضي قليلاً عن الطبيعي).[43]

التناضح التدريجي الدائم

Water absorption at the colon typically proceeds against a transmucosal osmotic pressure gradient. The standing gradient osmosis is the reabsorption of water against the osmotic gradient in the intestines. Cells occupying the intestinal lining pump sodium ions into the intercellular space, raising the osmolarity of the intercellular fluid. This hypertonic fluid creates an osmotic pressure that drives water into the lateral intercellular spaces by osmosis via tight junctions and adjacent cells, which then in turn moves across the basement membrane and into the capillaries, while more sodium ions are pumped again into the intercellular fluid.[44] Although water travels down an osmotic gradient in each individual step, overall, water usually travels against the osmotic gradient due to the pumping of sodium ions into the intercellular fluid. This allows the large intestine to absorb water despite the blood in capillaries being hypotonic compared to the fluid within the intestinal lumen.

الفلورا المعوية

تحتوي الأمعاء الغليظة على أكثر من 700 نوع من البكتيريا التي تؤدي مجموعة متنوعة من الوظائف، بالإضافة إلى الفطريات والأوليات والعتائق. يختلف تنوع الأنواع حسب الجغرافيا والنظام الغذائي.[45] غالبًا ما يبلغ عدد الميكروبات الموجودة في الأمعاء البعيدة للإنسان حوالي 100 تريليون، ويمكن أن تزن حوالي 200 جرام. مؤخرًا تم تسمية هذه الكتلة من الميكروبات التكافلية في الغالب بأحدث عضو بشري يتم "اكتشافه" أو بعبارة أخرى "العضو المنسي".[46]

تمتص الأمعاء الغليظة بعض المنتجات التي تشكلها البكتيريا التي تعيش في هذه المنطقة. تُستقلب السكريات (الألياف) الغير مهضومة إلى أحماض دهنية قصيرة السلسلة بواسطة البكتيريا في الأمعاء الغليظة وتمتص بواسطة الانتشار السلبي. تساعد البيكربونات التي تفرزها الأمعاء الغليظة على معادلة الحموضة المتزايدة الناتجة عن تكون هذه الأحماض الدهنية.[47]

تنتج هذه البكتيريا أيضًا كميات كبيرة من الفيتامينات، خاصة فيتامين ك والبيوتين (فيتامين ب، لامتصاصها في الدم. على الرغم من أن مصدر الفيتامينات هذا، بشكل عام، يوفر جزءًا صغيرًا فقط من الاحتياجات اليومية، إلا أنه يساهم بشكل كبير عندما تكون الفيتامينات الغذائية منخفضًا. قد يصاب الفرد الذي يعتمد على امتصاص الفيتامينات التي تشكلها البكتيريا في الأمعاء الغليظة بنقص الفيتامينات إذا عولج بالمضادات الحيوية التي تثبط أنواع البكتيريا المنتجة للفيتامينات وكذلك البكتيريا المستهدفة المسببة للأمراض.[48]

تشمل المنتجات البكتيرية الأخرى الغازات (ريح البطن) وهو خليط من النيتروجين وثاني أكسيد الكربون، وكميات صغيرة من غازات الهيدروجين والميثان وكبريتيد الهيدروجين. تنتج البكتيريا تخمر السكريات الغير مهضومة. بعض رائحة البراز ناتجة عن الإندولات، والتي تستقلب من حمض التربتوفان الأمينية. الفلورا الطبيعية ضرورية أيضًا في نمو بعض الأنسجة، بما في ذلك الأعور والأوعية اللمفاوية.[بحاجة لمصدر]

كما تشارك الفلورا المعوية في إنتاج الأجسام المضادة المتفاعلة. هذه هي الأجسام المضادة التي ينتجها الجهاز المناعي ضد الفلورا الطبيعية، وهي فعالة أيضًا ضد مسببات الأمراض ذات الصلة، وبالتالي تمنع العدوى أو الاجتياح.

أكثر شعبتي القولون انتشارًا هما متينات الجدار والعصوانيات. يبدو أن النسبة بين الاثنين تختلف على نطاق واسع كما ورد في مشروع الميكروبيوم البشري.[49] تساهم البكتريا العصوانية في بدء التهاب القولون وسرطان القولون. كما تتوافر Bifidobacteria، وغالبًا ما توصف بأنها "بكتيريا صديقة".[50][51]

تحمي طبقة المخاط الأمعاء الغليظة من هجمات البكتيريا المتعايشة القولونية.[52]

الأهمية السريرية

الأمراض

فيما يلي أكثر أمراض أو اضطرابات القولون الشائعة:

تنظير القولون

صورة من تنظير القولون للثنيات القولونية،
غشاء مخاطي طبيعي. يمكن رؤية الطحال من خلاله: الجزء الأسود.

تنظير القولون هو تنظير للأمعاء الغليظة والأجزاء البعيدة من الأمعاء الدقيقة باستخدام كاميرا اقتران الشحنة أو كاميرا ألياف بصرية على أنبوب مرن يمر عبر فتحة الشرج. يمكن لتنظير القولون أن يوفر تشخيصًا بصريًا (على سبيل المثال القرح والزوائد اللحمية) ويمنح الفرصة لأخذ خزعة أو إزالة آفات سرطان القولون والمستقيم المشتبه بها. يمكن أن يزيل تنظير القولون الزوائد اللحمية التي يصل حجمها إلى ملليمتر واحد أو أقل. بمجرد إزالة الأورام الحميدة، يمكن فحصها بمساعدة المجهر لتحديد ما إذا كانت سرطانية أم لا. يستغرق الأمر 15 عامًا أو أقل حتى تتحول السليلة إلى ورم سرطاني.

يتشابه تنظير القولون مع التنظير السيني - يرتبط الاختلاف بأجزاء القولون التي يمكن لكل منهما فحصها. يسمح تنظير القولون بفحص القولون بأكمله (1200-1500 ملم). يسمح التنظير السيني بفحص الجزء البعيد (حوالي 600 ملم) من القولون، والذي قد يكون كافياً لأن فوائد تنظير القولون لبقاء مرضى على قيد الحياة قد اقتصرت على اكتشاف الآفات في الجزء البعيد من القولون.[53][54][55]

غالبًا ما يستخدم التنظير السيني كإجراء فحص لتنظير القولون الكامل، وغالبًا ما يُجرى جنبًا إلى جنب مع اختبارات قائم على البراز مثل اختبار الدم الخفي في البراز (FOBT) أو اختبار الكيمياء المناعية للبراز (FIT) أو اختبار الحمض النووي للبراز متعدد الأهداف ( Cologuard) أو الاختبار المستند إلى الدم، اختبار مثيلة الحمض النووي SEPT9 (Epi proColon).[56] يحال حوالي 5٪ من هؤلاء المرضى الذين تم فحصهم إلى تنظير القولون.[57]

تنظير القولون الافتراضي، الذي يستخدم صورًا ثنائية وثلاثية الأبعاد أعيد بناؤها من التصوير المقطعي المحوسب أو من الرنين المغناطيسي النووي، ممكن أيضًا، إجراء اختبار طبي غير جراحي، على الرغم من أنه ليس معياريًا ولا يزال قيد التحقيق فيما يتعلق بقدراته التشخيصية. علاوة على ذلك، لا يسمح تنظير القولون الافتراضي بالمناورات العلاجية مثل إزالة الزوائد اللحمية/الأورام أو الخزعة ولا التحقق من الآفات التي يقل حجمها عن 5 ملم. إذا اكتشفت سليلة أو ورم باستخدام تصوير القولون بالأشعة المقطعية، فلا يزال يتعين إجراء تنظير القولون القياسي. بالإضافة إلى ذلك، استخدم الجراحون مؤخرًا مصطلح pouchoscopy للإشارة إلى تنظير القولون في مفاغرة الجيب اللفائفي.

في الحيوانات

الأمعاء الغليظة متميزة فعلياً فقط في رباعيات الأرجل، حيث تنفصل دائمًا تقريبًا عن الأمعاء الدقيقة بواسطة الصمام اللفائفي الأعوري. ومع ذلك، في معظم الفقاريات، تكون الأمعاء الغليظة عبارة عن هيكل قصير نسبيًا يمتد مباشرة إلى فتحة الشرج، على الرغم من أنه أوسع بشكل ملحوظ من الأمعاء الدقيقة. على الرغم من وجود الأعور في معظم الحيوانات البياضة، إلا في الثدييات فقط يتطور الجزء المتبقي من الأمعاء الغليظة إلى القولون الحقيقي.[58]

في بعض الثدييات الصغيرة، يكون القولون مستقيمًا، كما هو الحال في رباعيات الأرجل الأخرى، لكن في غالبية أنواع الثدييات، ينقسم إلى أجزاء صاعدة ونازلة؛ عادة ما يكون القولون المستعرض المميز موجودًا فقط في الرئيسيات. ومع ذلك، لم يُعثر على الشريطية القولونية والقباب القولونية المصاحبة في أي من آكلات اللحوم أو المجترات. مستقيم الثدييات (بخلاف أحاديات المذرق) مشتق من مذرق الفقاريات الأخرى، وبالتالي فهو ليس متنداد فعلياً مع وجود "المستقيم" في هذه الأنواع.[58]

في الأسماك، لا توجد الأمعاء الغليظة الحقيقية، لكن هناك ببساطة مستقيم قصير يربط نهاية الجزء الهضمي من القناة الهضمية بالمذرق. في أسماك القرش، يتضمن هذا "غدة مستقيمة" تفرز الملح لمساعدة الحيوان في الحفاظ على التوازن التناضحي مع مياه البحر. تشبه هذه الغدة إلى حد ما الأعور في تكوينها ولكنها ليست بنية متجانسة.[58]

انظر أيضاً

هذا المقال يستخدم مصطلحات التشريح؛ لنظرة عامة، انظر مصطلحات التشريح.

المصادر

'هذه المقالة تَعتمد على مَواد وَمعلومات ذات ملكية عامة، من للطبعة العِشرين لكتاب تشريح گرايز لعام 1918. .

  1. ^ أ ب ت "large intestine". NCI Dictionary of Cancer Terms. National Cancer Institute, National Institutes of Health. 2011-02-02. Retrieved 2014-03-04.
  2. ^ Kapoor, Vinay Kumar (13 Jul 2011). Gest, Thomas R. (ed.). "Large Intestine Anatomy". Medscape. WebMD LLC. Retrieved 2013-08-20.
  3. ^ Gray, Henry (1918). Gray's Anatomy. Philadelphia: Lea & Febiger.
  4. ^ "large intestine". Mosby's Medical Dictionary (8th ed.). Elsevier. 2009. ISBN 9780323052900.
  5. ^ "intestine". Concise Medical Dictionary. Oxford University Press. 2010. ISBN 9780199557141.
  6. ^ "large intestine". A Dictionary of Biology. Oxford University Press. 2013. ISBN 9780199204625.
  7. ^ "Large intestine". Archived from the original on 2015-08-28. Retrieved 2016-07-24.
  8. ^ Drake, R.L.; Vogl, W.; Mitchell, A.W.M. (2010). Gray's Anatomy for Students. Philadelphia: Churchill Livingstone.
  9. ^ Azzouz, Laura; Sharma, Sandeep (2020). "Physiology, Large Intestine". NCBI Bookshelf. PMID 29939634.
  10. ^ David Krogh (2010), Biology: A Guide to the Natural World, Benjamin-Cummings Publishing Company, p. 597, ISBN 978-0-321-61655-5, https://books.google.com/books?id=Ph7NSAAACAAJ 
  11. ^ أ ب Hounnou G, Destrieux C, Desmé J, Bertrand P, Velut S (2002). "Anatomical study of the length of the human intestine". Surg Radiol Anat. 24 (5): 290–4. doi:10.1007/s00276-002-0057-y. PMID 12497219. S2CID 33366428.
  12. ^ "Peritoneum". Mananatomy.com. 2013-01-18. Archived from the original on 2018-10-08. Retrieved 2013-02-07.
  13. ^ "Untitled".
  14. ^ أ ب Horton, K. M.; Corl, F. M.; Fishman, E. K. (March 2000). "CT evaluation of the colon: inflammatory disease". Radiographics. 20 (2): 399–418. doi:10.1148/radiographics.20.2.g00mc15399. ISSN 0271-5333. PMID 10715339.
  15. ^ Rossini, Francesco Paolo (1975), "The normal colon", in Rossini, Francesco Paolo, Atlas of coloscopy, Springer New York, pp. 46–55, doi:10.1007/978-1-4615-9650-9_12, ISBN 9781461596509 
  16. ^ Medical dictionary, http://medical-dictionary.thefreedictionary.com/spiral+colon 
  17. ^ Spiral colon and caecum, http://faculty.ucc.edu/biology-potter/Pig_Digestive_System/sld009.htm, retrieved on 2014-04-02 
  18. ^ "Answers – The Most Trusted Place for Answering Life's Questions". Answers.com.
  19. ^ Siegel RL, Miller KD, Fedewa SA, Ahnen DJ, Meester RG, Barzi A, Jemal A (March 1, 2017). "Colorectal cancer statistics, 2017". CA Cancer J. Clin. 67 (3): 177–193. doi:10.3322/caac.21395. PMID 28248415.
  20. ^ Smithivas, T.; Hyams, P. J.; Rahal, J. J. (1971-12-01). "Gentamicin and ampicillin in human bile". The Journal of Infectious Diseases. 124 Suppl: S106–108. doi:10.1093/infdis/124.supplement_1.s106. ISSN 0022-1899. PMID 5126238.
  21. ^ "Anatomy of Colon and Rectum | SEER Training". training.seer.cancer.gov. Retrieved 2021-04-14.
  22. ^ Anatomy at a Glance by Omar Faiz and David Moffat
  23. ^ Lange, Johan F.; Komen, Niels; Akkerman, Germaine; Nout, Erik; Horstmanshoff, Herman; Schlesinger, Frans; Bonjer, Jaap; Kleinrensink, Gerrit-Jan (June 2007). "Riolan's arch: confusing, misnomer, and obsolete. A literature survey of the connection(s) between the superior and inferior mesenteric arteries". Am J Surg. 193 (6): 742–748. doi:10.1016/j.amjsurg.2006.10.022. PMID 17512289.
  24. ^ أ ب Snell, Richard S. (1992). Clinical Anatomy for Medical Students (4 ed.). Boston: Little, Brown, and Company. pp. 53–54.
  25. ^ أ ب Le, Tao; et al. (2014). First Aid for the USMLE Step 1. McGraw-Hill Education. p. 196.
  26. ^ Wilson, Danielle J.; Bordoni, Bruno (2022), Embryology, Bowel, Treasure Island (FL): StatPearls Publishing, PMID 31424831, http://www.ncbi.nlm.nih.gov/books/NBK545247/, retrieved on 2022-05-27 
  27. ^ Mayo Clinic Staff (2006-10-13). "Redundant colon: A health concern?". Ask a Digestive System Specialist. MayoClinic.com. Archived from the original on 2007-09-29. Retrieved 2007-06-11.
  28. ^ Mayo Clinic Staff. "Redundant colon: A health concern? (Above with active image links)". riversideonline.com. Retrieved 8 November 2013.
  29. ^ Lichtenstein, Gary R.; Peter D. Park; William B. Long; Gregory G. Ginsberg; Michael L. Kochman (18 August 1998). "Use of a Push Enteroscope Improves Ability to Perform Total Colonoscopy in Previously Unsuccessful Attempts at Colonoscopy in Adult Patients". The American Journal of Gastroenterology. 94 (1): 187–90. doi:10.1111/j.1572-0241.1999.00794.x. PMID 9934753. S2CID 24536782. Note: single use PDF copy provided free by Blackwell Publishing for purposes of Wikipedia content enrichment.
  30. ^ أ ب ت ث Bernstein C, Facista A, Nguyen H, Zaitlin B, Hassounah N, Loustaunau C, Payne CM, Banerjee B, Goldschmid S, Tsikitis VL, Krouse R, Bernstein H (2010). "Cancer and age related colonic crypt deficiencies in cytochrome c oxidase I". World J Gastrointest Oncol. 2 (12): 429–42. doi:10.4251/wjgo.v2.i12.429. PMC 3011097. PMID 21191537.{{cite journal}}: CS1 maint: unflagged free DOI (link)
  31. ^ أ ب Baker AM, Cereser B, Melton S, Fletcher AG, Rodriguez-Justo M, Tadrous PJ, Humphries A, Elia G, McDonald SA, Wright NA, Simons BD, Jansen M, Graham TA (2014). "Quantification of crypt and stem cell evolution in the normal and neoplastic human colon". Cell Rep. 8 (4): 940–7. doi:10.1016/j.celrep.2014.07.019. PMC 4471679. PMID 25127143.
  32. ^ Nooteboom M, Johnson R, Taylor RW, Wright NA, Lightowlers RN, Kirkwood TB, Mathers JC, Turnbull DM, Greaves LC (2010). "Age-associated mitochondrial DNA mutations lead to small but significant changes in cell proliferation and apoptosis in human colonic crypts". Aging Cell. 9 (1): 96–9. doi:10.1111/j.1474-9726.2009.00531.x. PMC 2816353. PMID 19878146.
  33. ^ أ ب Nguyen H, Loustaunau C, Facista A, Ramsey L, Hassounah N, Taylor H, Krouse R, Payne CM, Tsikitis VL, Goldschmid S, Banerjee B, Perini RF, Bernstein C (2010). "Deficient Pms2, ERCC1, Ku86, CcOI in field defects during progression to colon cancer". J Vis Exp (41). doi:10.3791/1931. PMC 3149991. PMID 20689513.
  34. ^ Gremel, Gabriela; Wanders, Alkwin; Cedernaes, Jonathan; Fagerberg, Linn; Hallström, Björn; Edlund, Karolina; Sjöstedt, Evelina; Uhlén, Mathias; Pontén, Fredrik (2015-01-01). "The human gastrointestinal tract-specific transcriptome and proteome as defined by RNA sequencing and antibody-based profiling". Journal of Gastroenterology. 50 (1): 46–57. doi:10.1007/s00535-014-0958-7. ISSN 0944-1174. PMID 24789573. S2CID 21302849.
  35. ^ Sellers, Rani S.; Morton, Daniel (2014). "The Colon: From Banal to Brilliant". Toxicologic Pathology. 42 (1): 67–81. doi:10.1177/0192623313505930. PMID 24129758. S2CID 20465985.
  36. ^ Booth, Sarah (April 2012). "Vitamin K: Food Consumption and Dietary Intakes". Food Nutrition Research. 56. doi:10.3402/fnr.v56i0.5505. PMC 3321250. PMID 22489217.
  37. ^ "The Large Intestine (Human)". News-Medical.net. 2009-11-17. Retrieved 2017-03-15.
  38. ^ Martin, Loren G. (1999-10-21). "What is the function of the human appendix? Did it once have a purpose that has since been lost?". Scientific American. Retrieved 2014-03-03.
  39. ^ La función de la hidroterapia de colon Retrieved on 2010-01-21
  40. ^ Terry L. Miller; Meyer J. Wolin (1996). "Pathways of Acetate, Propionate, and Butyrate Formation by the Human Fecal Microbial Flora". Applied and Environmental Microbiology. 62 (5): 1589–1592. Bibcode:1996ApEnM..62.1589M. doi:10.1128/AEM.62.5.1589-1592.1996. PMC 167932. PMID 8633856.
  41. ^ McNeil, NI (1984). "The contribution of the large intestine to energy supplies in man". The American Journal of Clinical Nutrition. 39 (2): 338–342. doi:10.1093/ajcn/39.2.338. PMID 6320630.
  42. ^ lorriben (2016-07-09). "What Side is Your Appendix Located – Maglenia". Maglenia. Archived from the original on 2016-10-09. Retrieved 2016-10-23.
  43. ^ Function Of The Large Intestine Archived 2013-11-05 at the Wayback Machine Retrieved on 2010-01-21
  44. ^ "Absorption of Water and Electrolytes".
  45. ^ Yatsunenko, Tanya; et al. (2012). "Human gut microbiome viewed across age and geography". Nature. 486 (7402): 222–227. Bibcode:2012Natur.486..222Y. doi:10.1038/nature11053. PMC 3376388. PMID 22699611.
  46. ^ O'Hara, Ann M.; Shanahan, Fergus (2006). "The gut flora as a forgotten organ". EMBO Reports. 7 (7): 688–693. doi:10.1038/sj.embor.7400731. PMC 1500832. PMID 16819463.
  47. ^ den Besten, Gijs; van Eunen, Karen; Groen, Albert K.; Venema, Koen; Reijngoud, Dirk-Jan; Bakker, Barbara M. (2013-09-01). "The role of short-chain fatty acids in the interplay between diet, gut microbiota, and host energy metabolism". Journal of Lipid Research. 54 (9): 2325–2340. doi:10.1194/jlr.R036012. ISSN 0022-2275. PMC 3735932. PMID 23821742.
  48. ^ Murdoch, Travis B.; Detsky, Allan S. (2012-12-01). "Time to Recognize Our Fellow Travellers". Journal of General Internal Medicine. 27 (12): 1704–1706. doi:10.1007/s11606-012-2105-6. ISSN 0884-8734. PMC 3509308. PMID 22588826.
  49. ^ Human Microbiome Project Consortium (Jun 14, 2012). "Structure, function and diversity of the healthy human microbiome". Nature. 486 (7402): 207–214. Bibcode:2012Natur.486..207T. doi:10.1038/nature11234. PMC 3564958. PMID 22699609.
  50. ^ Bloom, Seth M.; Bijanki, Vinieth N.; Nava, Gerardo M.; Sun, Lulu; Malvin, Nicole P.; Donermeyer, David L.; Dunne, W. Michael; Allen, Paul M.; Stappenbeck, Thaddeus S. (2011-05-19). "Commensal Bacteroides species induce colitis in host-genotype-specific fashion in a mouse model of inflammatory bowel disease". Cell Host & Microbe. 9 (5): 390–403. doi:10.1016/j.chom.2011.04.009. ISSN 1931-3128. PMC 3241010. PMID 21575910.
  51. ^ Bottacini, Francesca; Ventura, Marco; van Sinderen, Douwe; O'Connell Motherway, Mary (2014-08-29). "Diversity, ecology and intestinal function of bifidobacteria". Microbial Cell Factories. 13 (Suppl 1): S4. doi:10.1186/1475-2859-13-S1-S4. ISSN 1475-2859. PMC 4155821. PMID 25186128.{{cite journal}}: CS1 maint: unflagged free DOI (link)
  52. ^ Johansson, Malin E.V.; Sjövall, Henrik; Hansson, Gunnar C. (2013-06-01). "The gastrointestinal mucus system in health and disease". Nature Reviews. Gastroenterology & Hepatology. 10 (6): 352–361. doi:10.1038/nrgastro.2013.35. ISSN 1759-5045. PMC 3758667. PMID 23478383.
  53. ^ Baxter NN, Goldwasser MA, Paszat LF, Saskin R, Urbach DR, Rabeneck L (January 2009). "Association of colonoscopy and death from colorectal cancer". Ann. Intern. Med. 150 (1): 1–8. doi:10.7326/0003-4819-150-1-200901060-00306. PMID 19075198. as PDF Archived 2012-01-18 at the Wayback Machine
  54. ^ Singh H, Nugent Z, Mahmud SM, Demers AA, Bernstein CN (March 2010). "Surgical resection of hepatic metastases from colorectal cancer: a systematic review of published studies". Am J Gastroenterol. 105 (3): 663–673. doi:10.1038/ajg.2009.650. PMID 19904239. S2CID 11145247.
  55. ^ Brenner H, Hoffmeister M, Arndt V, Stegmaier C, Alterhofen L, Haug U (January 2010). "Protection from right- and left-sided colorectal neoplasms after colonoscopy: population-based study". J Natl Cancer Inst. 102 (2): 89–95. doi:10.1093/jnci/djp436. PMID 20042716. S2CID 1887714.
  56. ^ Tepus, M; Yau, TO (20 May 2020). "Non-Invasive Colorectal Cancer Screening: An Overview". Gastrointestinal Tumors. 7 (3): 62–73. doi:10.1159/000507701. PMC 7445682. PMID 32903904.
  57. ^ Atkin WS, Edwards R, Kralj-Hans I, et al. (May 2010). "Once-only flexible sigmoidoscopy screening in prevention of colorectal cancer: a multicentre randomised controlled trial". Lancet. 375 (9726): 1624–33. doi:10.1016/S0140-6736(10)60551-X. PMID 20430429. S2CID 15194212. as PDF Archived 2012-03-24 at the Wayback Machine
  58. ^ أ ب ت Romer, Alfred Sherwood; Parsons, Thomas S. (1977). The Vertebrate Body. Philadelphia, PA: Holt-Saunders International. pp. 351–354. ISBN 978-0-03-910284-5.

وصلات خارجية