كيسة پنكرياسية

(تم التحويل من كيسة بنكرياسية)
الكيسة الپنكرياسية
Pancreatic cyst
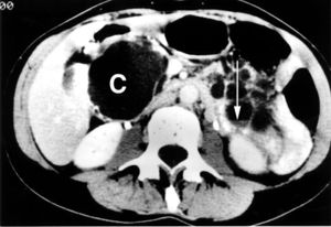
Large pancreatic cyst causing symptoms of early satiety.jpg
كيسة پنكرياس كبيرة عند الناتئ الشصي للپنكرياس.
التبويب والمصادر الخارجية
التخصصطب الجهاز الهضمي
ICD-10K86.2
ICD-9-CM{}
DiseasesDB9433
eMedicinemed/
Patient UK

فشل عرض الخاصية P1461: لم يتم العثور على الخاصية P1461.

كيسة پنكرياسية

الكيسة الپنكرياسية pancreatic cyst، هي جيوب كيسية من السوائل على الپنكرياس أو داخلها. الپنكرياس عضو كبير يقع خلف المعدة ينتج الهرمونات والإنزيمات التي تساعد على هضم الطعام.

معظم تكيسات الپنكرياس غير سرطانية، ولا يسبب العديد منها أي أعراض. يتم اكتشافها في أثناء الفحص بسبب مشاكل أخرى. بعضهم جيوب غير سرطانية (حميدة) من السوائل بها ندوب أو أنسجة ملتهبة، وليست من نفس نوع الخلايا الموجودة بالتكيسات الحقيقية (الكيسة الكاذبة).[1]

ولكن بعض تكيسات الپنكرياس قد تكون سرطانية أو تصبح كذلك. قد يأخذ الطبيب عينة من سوائل تكيسات الپنكرياس ليتحقق من وجود خلايا سرطانية. أو قد ينصح الطبيب بمراقبة التكيسات على مر الوقت لملاحظة التغيرات التي تثبت وجود السرطان.

الأعراض

قد لا يعاني المريض أعراض تكيسات الپنكرياس، التي غالباً ما يتم العثور عليها عند إجراء اختبارات التصوير في البطن لسبب آخر.

عندما تظهر علامات أو أعراض تكيسات الپنكرياس، فعادةً ما تشمل ما يلي:

  • الألم المستمر في البطن، والذي قد يصل للظهر.
  • تكتل يمكن الشعور به في الجزء العلوي من البطن
  • الغثيان والقيء.

التشخيص

يتم تشخيص تكيسات الپنكرياس بمعدل أكثر مما كان عليه في الماضي لأن تكنولوجيا التصوير المُحَسّنة تجدها بسهولة أكبر. ويتم العثور على العديد من تكيسات الپنكرياس في أثناء فحص البطن لمشكلات أخرى.

يتمثل التحدي الرئيسي للتشخيص في تحديد ما إذا كان التكيس قد يصبح سرطانيًا. غالبًا ما تُستخدم هذه الإجراءات للمساعدة في التشخيص وتخطيط العلاج:

  • التاريخ الطبي: قد تشير إصابة سابقة في البطن أو التهاب الپنكرياس إلى وجود تكيس كاذب.
  • الفحص بالتصوير المقطعي المحوسب قد يوفر اختبار التصوير معلومات مفصلة حول حجم تكيس الپنكرياس وبنيته.
  • الفحص بالتصوير بالرنين المغناطيسي يمكن أن يعمل اختبار التصوير على إظهار أدق التفاصيل لتكيس الپنكرياس، بما في ذلك ما إذا كان يحتوي على أي مكونات تشير إلى وجود خطر أكبر للإصابة بالسرطان.
  • تصوير تنظيري بالموجات فوق الصوتية: يمكن أن يوفر هذا الاختبار مثل التصوير بالرنين المغناطيسي صورة مفصلة للتكيس. بالإضافة إلى ذلك، يمكن أخذ عينة سائل من التكيس للتحليل في المختبر للبحث عن علامات محتملة للسرطان.

يمكن أن تساعد سمات تكيس الپنكرياس ومكانه إلى جانب النوع والسن الأطباء في تحديد نوع التكيس:

  • يمكن أن يصبح الورم الغدي الكيسي المصلي كبيرًا بما يكفي لإزاحة الأعضاء المحيطة، مما يؤدي إلى ألم في البطن والشعور بالامتلاء. تحدث الأورام الغدية الكيسية المصلية في أغلب الأحيان لدى النساء فوق سن 60 عامًا ولا تكون سرطانية إلا في حالات نادرة.
  • عادةً ما يقع الورم الغدي الكيسي الموسيني في جسم الپنكرياس أو ذيله ويحدث عند النساء في منتصف العمر في معظم الأحيان. يعتبر الورم الغدي الكيسي الموسيني محتمل التسرطن، مما يعني أنه قد يصبح سرطانًا إذا تُرك دون علاج. من الممكن أن تكون التكيسات الأكبر قد أصبحت سرطانية بالفعل عند العثور عليها.
  • يعتبر الورم الحليمي الموسيني داخل القناة (IPMN) نموًا في القناة الپنكرياسية الأساسية أو أحد فروعها الجانبية. قد يكون الورم الحليمي الموسيني داخل القناة محتمل التسرطن أو سرطانيًا. ويحدث في كثير من الأحيان عند الرجال والنساء الأكبر من سن 50 عامًا. قد يتطلب الورم الحليمي الموسيني داخل القناة إزالة جراحية، وذلك وفقًا لمكانه وعوامل أخرى.
  • عادةً ما يقع التورم الكيسي الحليمي في جسم الپنكرياس أو ذيله ويحدث عند النساء الأصغر من سن 35 عامًا في معظم الأحيان. ويُعرف أيضًا باسم الورم الكيسي الحليمي، وهو نادر وعادةً ما يكون سرطانيًا.
  • غالبًا ما يكون ورم الخلايا الجزيرية الكيسية صلبًا، لكن يمكن أن تكون به مكونات تشبه الأكياس. تعتبر أورام الخلايا الجزيرية الكيسية نادرة. من الممكن الخلط بينها وبين تكيسات الپنكرياس الأخرى وقد تكون محتملة التسرطن أو سرطانية.

العلاج

يعتمد العلاج أو الانتظار اليقظ على نوع التكيس الذي لديك وحجمه وخصائصه وما إذا كان يسبب عددًا من الأعراض.

الانتظار اليقظ

يمكن ترك التكيس الكاذب الحميد، حتى ولو كان كبيرًا، طالما أنه لا يزعجك. نادرًا ما يصبح الورم الغدي الكيسي المصلي من النوع السرطاني، لذلك يمكن تركه بمفرده ما لم ينمو أو يتسبب في ظهور أعراض. ولكن يجب مراقبة جميع تكيسات الپنكرياس.

النزح

يمكن نزح التكيس الكاذب الذي ينمو أو يسبب أعراضًا مزعجة. يتم تمرير أنبوب صغير مرن (منظار) عبر فمك إلى معدتك والأمعاء الدقيقة. يكون المنظار مُجهزًا بمسبار بالأشعة فوق الصوتية (الأشعة فوق الصوتية بالمنظار) وإبرة لنزح التكيس. في بعض الأحيان يكون النزح من خلال الجلد أمرًا ضروريًا.

الجراحة

قد يلزم الأمر إجراء عملية جراحية لإزالة تكيس كاذب متضخم أو ورم غدي كيسي مصلي يتسبب في الشعور الألم أو أعراض أخرى. هناك أنواع أخرى من تكيسات الپنكرياسية التي تتطلب بشكل عام إزالة جراحية بسبب خطر السرطان.

قد يتكرر وجود التكيس الكاذب إذا كان المريض يعاني من التهاب الپنكرياس المستمر.


الكيسة الكاذبة

يمكن أن تكون الكيسة الكاذبة الممزقة حالة طبية طارئة، ولكنها لحسن الحظ نادرة الحدوث. يمكن أن يتلف السائل الذي تنتجه الكيسة الكاذبة الأوعية الدموية المحيطة ويسبب النزيف الشديد. قد تسبب أيضًا كيسة كاذبة ممزقة عدوى في تجويف البطن (التهاب الصفاق).

يطب اللجوء للطبيب فوراً في حالة المعاناة من علامات أو أعراض النزيف الداخلي والصدمة، بما في ذلك:

  • إغماء.
  • ألم حاد في البطن.
  • انخفاض الإدراك.
  • نبضات قلب ضعيفة وسريعة.
  • القيء الدموي.

الأسباب

إن السبب في معظم حالات تكيسات الپنكرياس غير معروف. تتعلق بعض التكيسات بأمراض نادرة، بما فيها مرض فون هيبل لينداو، وهو اضطراب جيني يمكن أن يؤثر في الپنكرياس والأعضاء الأخرى.

تتبع التكيسات الكاذبة نوبة من حالة صحية مؤلمة تصبح فيها الإنزيمات الهضمية نشيطة بشكل مبكر وتؤدي إلى تهيج الپنكرياس (التهاب الپنكرياس). يمكن أن تنتج التكيسات الكاذبة أيضًا عن إصابة البطن، مثل التي قد تحدث بسبب حادث سيارة.

عوامل الخطر

يعتبر الإفراط في تناول الكحول وحصى المرارة من عوامل خطر التهاب الپنكرياس، والذي يعتبر بدوره ضمن عوامل خطر الكيسة الكاذبة. تعتبر إصابة البطن أيضًا ضمن عوامل خطر الكيسة الكاذبة.

الوقاية

أفضل طريقة لتجنب الإصابة بالكيسات الكاذبة هي تجنب التهاب الپنكرياس، والذي عادة ما يكون سببه الحصوات المرارية أو التناول الكثيف للكحول. إذا كانت الحصوات المرارية هي التي تسبب التهاب الپنكرياس، فقد تحتاج إلى إزالة المرارة. إذا كان التهاب الپنكرياس ناجمًا عن تناول الكحول، فقد يقلل عدم شرب الكحوليات الخطر.

المصادر