استبدال مفصل الورك

(تم التحويل من Hip replacement)
استبدال مفصل الورك
تدخل
صورة بأشعة إكس، مفصل المريض (يسار الصورة) تم استبداله، with the ball of this ball-and-socket joint replaced by a metal head that is set in the thighbone or femur and the socket replaced by a white plastic cup (clear in this X-ray). Pelvic anatomy consistent with that of a female (large infrapubic angle, large pelvic opening).
ICD-9-CM81.51-81.53
MeSHD019644

استبدال مفصل الورك Hip replacemen، هي عملية جراحية يتم فيها استبدال مفصل الورك بمزورعة طبية صناعية. يمكن أن تجرى جراحة استبدال مفصل الورك كاستبدال تام أو نصفي. تهدف هذه الجراحة بشكل عام إلى إزالة ألم التهاب المفصل أو لإصلاح تخرب المفصل الفيزيائي كجزء من علاج كسر مفصل الورك. يتألف استبدال مفصل الورك التام (رأب مفصل الورك التام) من استبدال كل من الحق acetabulum ورأس الفخذ في حين يستبدل بشكل عام في تصنيع المفصل النصفي (رأب المفصل النصفي) رأس الفخذ فقط. تعتبر عملية استبدال مفصل الورك حالياًً عملية الجراحة العظمية الأكثر نجاحاً و موثوقيةً حيث أبدى 97% من المرضى تحسناً ملحوظاً.

التاريخ

الاستطبابات

تجرى عمليات استبدال مفصل الورك التام لعلاج الفشل المفصلي الناجم عن الفصال العظمي osteoarthritis. تتضمن الاستطبابات الأخرى التهاب المفصل الرثياني ، النخرة الجافة (نخرة انعدام الأوعية) avascular necrosis، التهاب المفصل الرضي ، تبارز الحق protrusio acetabuli ، كسور ورك خاصة ، أورام العظم السليمة والخبيثة ، التهاب المفصل المرتبط بداء باجيت ، التهاب الفقار المقسط ، التهاب المفاصل الرثياني الشبابي. إن أهداف العملية هي إزالة الألم و تحسين وظيفة مفصل الورك. يلجأ عادة إلى تبديل الورك فقط عندما تفشل طرق العلاج الأخرى كالعلاج الفيزيائي والأدوية المسكنة للألم.

الجراحات الحديثة

A titanium hip prosthesis, with a ceramic head and polyethylene acetabular cup


حوادث

التقنيات

النهج الخلفي

النهج الوحشي

النهج الوحشي الداخلي

النهج الأمامي

Minimally invasive approach

المزروعات

Cement free implant 16 days after surgery. Femoral component is cobalt chromium combined with titanium which induces bone growth into the implant. Ceramic head. Acetabular cup coated with bone growth inducing material and held temporarily in place with a single screw.

المحجم الحقي

المكون الفخذي

سطح المفصل

الأخطار والمضاعفات

مفصل ورك صناعي مخلوع
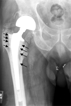
Hip prosthesis displaying aseptic loosening (arrows)


الخلع

انحلال العظم

الحساسية تجاه المعادن

شلل العصب

الألم المزمن

الوفاة

معدلات الوفاة لاستبدال مفصل الورك هي أقل بكثير من 1%.

سمية المعادن

اختلاف طول الرجلين

حلول بديلة لعمليات الستبدال

Conservative management

Hemiarthroplasty

Hip resurfacing

Viscosupplementation

انظر أيضاً

المصادر

وصلات خارجية