خلية مجاورة للجريب
| Parafollicular cell | |
|---|---|
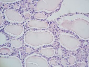
Microscopic section of the thyroid showing follicles lined by follicular epithelial cells, and in between them larger parafollicular cells. | |
| Details | |
| الموقع | Thyroid |
| الوظيفة | Calcitonin secretion |
| Identifiers | |
| TH | TH {{{2}}}.html HH3.08.02.4.00009 .{{{2}}}.{{{3}}} |
| FMA | 68653 |
| المصطلحات التشريحية | |
الخلايا المجاورة للجريب ، والتي تسمى أيضًا الخلايا C ، هي خلايا الغدد الصماء العصبية في الغدة الدرقية . الوظيفة الأساسية لهذه الخلايا هي إفراز الكالسيتونين . تقع بالقرب من بصيلات الغدة الدرقية وتوجد في النسيج الضام. هذه الخلايا كبيرة الحجم ولها صبغة شاحبة مقارنة بالخلايا الجريبية . في فصائل مكتملة العظام والطيور تحتل هذه الخلايا هيكل خارج الغدة الدرقية التي يطلق عليها الاجسام الخيشومية القصائية .
التركيب
الخلايا المجاورة للجريب هي خلايا ذات صبغة باهتة توجد بأعداد قليلة في الغدة الدرقية وعادة ما توجد بشكل أساسي في الظهارة ، دون اتصال مباشر مع التجويف الجريبي . توجد دائمًا داخل الغشاء القاعدي ، الذي يحيط بالجريب بأكمله.
التطور
تُشتق الخلايا المجاورة للجريب من الأديم الباطن البلعومي.[1][2] من الناحية الجنينية ، يرتبطون بالجسم الخيشومي القاصي ، وهو مشتق بطني من الجيب البلعومي الرابع (أو الخامس). كان يُعتقد سابقًا أن الخلايا المجاورة للجريب مشتقة من القمة العصبية بناءً على سلسلة من التجارب في صغار السمان..[3][4] ومع ذلك ، كشفت تجارب تتبع النسب في الفئران أن الخلايا المجاورة للجريب مشتقة من أصل الأديم الباطن.[5]
الوظيفة
تفرز الخلايا المجاورة للجريب الكالسيتونين ، وهو هرمون يشارك في تنظيم ايض الكالسيوم . يخفض الكالسيتونين مستويات الكالسيوم في الدم عن طريق تثبيط ارتشاف العظم بواسطة ناقضات العظم ، ويزيد إفرازه بالتناسب مع تركيز الكالسيوم.[6]
من المعروف أيضًا أن الخلايا المجاورة للجريب تفرز بكميات أصغر العديد من الببتيدات العصبية الصماوية مثل السيروتونين أو السوماتوستاتين أو ببتيد مرتبط بجين الكالسيتونين.[7][8][9] قد يكون لها أيضًا دور في تنظيم إنتاج هرمونات الغدة الدرقية محليًا ، لأنها تعبر عن هرمون مطلق للثيروتروبين.[10][11]
الاهمية السريرية
عندما تصبح الخلايا المجاورة للجريب سرطانية ، فإنها تؤدي إلى سرطان الغدة الدرقية النخاعي.[citation needed]
أنظر ايضاً
مراجع
- ^ Nilsson M, Williams D (July 2016). "On the Origin of Cells and Derivation of Thyroid Cancer: C Cell Story Revisited". European Thyroid Journal. 5 (2): 79–93. doi:10.1159/000447333. PMC 4949372. PMID 27493881.
- ^ Johansson, E., Andersson, L., Örnros, J., Carlsson, T., Ingeson-Carlsson, C., Liang, S., … Nilsson, M. (2015). Revising the embryonic origin of thyroid C cells in mice and humans. Development, 142(20), 3519–3528. http://doi.org/10.1242/dev.126581
- ^ Le Douarin N, Fontaine J, Le Lièvre C (March 1974). "New studies on the neural crest origin of the avian ultimobranchial glandular cells--interspecific combinations and cytochemical characterization of C cells based on the uptake of biogenic amine precursors". Histochemistry. 38 (4): 297–305. doi:10.1007/bf00496718. PMID 4135055. S2CID 7551942.
- ^ Barasch J, Gershon MD, Nunez EA, Tamir H, al-Awqati Q (December 1988). "Thyrotropin induces the acidification of the secretory granules of parafollicular cells by increasing the chloride conductance of the granular membrane". The Journal of Cell Biology. 107 (6 Pt 1): 2137–47. doi:10.1083/jcb.107.6.2137. PMC 2115661. PMID 2461947.
- ^ Johansson E, Andersson L, Örnros J, Carlsson T, Ingeson-Carlsson C, Liang S, Dahlberg J, Jansson S, Parrillo L, Zoppoli P, Barila GO, Altschuler DL, Padula D, Lickert H, Fagman H, Nilsson M (October 2015). "Revising the embryonic origin of thyroid C cells in mice and humans". Development. 142 (20): 3519–28. doi:10.1242/dev.126581. PMC 4631767. PMID 26395490.
- ^ Melmed S, Polonsky KS, Larsen PR, Kronenberg HM (2011). Williams Textbook of Endocrinology (12th ed.). Saunders. pp. 1250–1252. ISBN 978-1437703245.
- ^ Zabel M (December 1984). "Ultrastructural localization of calcitonin, somatostatin and serotonin in parafollicular cells of rat thyroid". The Histochemical Journal. 16 (12): 1265–72. doi:10.1007/bf01003725. PMID 6152264. S2CID 7889687.
- ^ Barasch JM, Mackey H, Tamir H, Nunez EA, Gershon MD (September 1987). "Induction of a neural phenotype in a serotonergic endocrine cell derived from the neural crest". The Journal of Neuroscience. 7 (9): 2874–83. doi:10.1523/JNEUROSCI.07-09-02874.1987. PMC 6569149. PMID 3305802.
- ^ Bernd P, Gershon MD, Nunez EA, Tamir H (March 1981). "Separation of dissociated thyroid follicular and parafollicular cells: association of serotonin binding protein with parafollicular cells". The Journal of Cell Biology. 88 (3): 499–508. doi:10.1083/jcb.88.3.499. PMC 2112761. PMID 7217200.
- ^ Gkonos PJ, Tavianini MA, Liu CC, Roos BA (December 1989). "Thyrotropin-releasing hormone gene expression in normal thyroid parafollicular cells". Molecular Endocrinology. 3 (12): 2101–9. doi:10.1210/mend-3-12-2101. PMID 2516877.
- ^ Morillo-Bernal J, Fernández-Santos JM, Utrilla JC, de Miguel M, García-Marín R, Martín-Lacave I (August 2009). "Functional expression of the thyrotropin receptor in C cells: new insights into their involvement in the hypothalamic-pituitary-thyroid axis". Journal of Anatomy. 215 (2): 150–8. doi:10.1111/j.1469-7580.2009.01095.x. PMC 2740962. PMID 19493188.
قراءات إضافية
- Kameda Y (October 1987). "Localization of immunoreactive calcitonin gene-related peptide in thyroid C cells from various mammalian species". The Anatomical Record. 219 (2): 204–12. doi:10.1002/ar.1092190214. PMID 3120623. S2CID 12517073.
- Kameda Y, Nishimaki T, Miura M, Jiang SX, Guillemot F (January 2007). "Mash1 regulates the development of C cells in mouse thyroid glands". Developmental Dynamics. 236 (1): 262–70. doi:10.1002/dvdy.21018. PMID 17103415. S2CID 24848963.
- Kameda Y, Nishimaki T, Chisaka O, Iseki S, Sucov HM (October 2007). "Expression of the epithelial marker E-cadherin by thyroid C cells and their precursors during murine development". The Journal of Histochemistry and Cytochemistry. 55 (10): 1075–88. doi:10.1369/jhc.7a7179.2007. PMID 17595340.
- Kameda Y, Ito M, Nishimaki T, Gotoh N (March 2009). "FRS2alpha is required for the separation, migration, and survival of pharyngeal-endoderm derived organs including thyroid, ultimobranchial body, parathyroid, and thymus". Developmental Dynamics. 238 (3): 503–13. doi:10.1002/dvdy.21867. PMID 19235715. S2CID 13504555.
- Kameda Y (March 2016). "Cellular and molecular events on the development of mammalian thyroid C cells". Developmental Dynamics. 245 (3): 323–41. doi:10.1002/dvdy.24377. PMID 26661795. S2CID 12161896.
- Baber EC (1876). "Contributions to the Minute Anatomy of the Thyroid Gland of the Dog". Philosophical Transactions of the Royal Society of London. 166: 557–568. doi:10.1098/rstl.1876.0021. JSTOR 109205.