ضلع
| Rib | |
|---|---|
Detail of a single human rib | |
![]() القفص الصدري البشري. الأضلاع تتصل بالعمود الفقري، ومنه تنحني للأسفل وللأمام لتشكل قفصًا واقيًا حول القلب والرئتين. ويوجد في جسم الإنسان 24 ضلعًا، 12 ضلعًا في كل جانب. (المصدر: Gray's Anatomy of the Human Body, 20th ed. 1918) | |
| Details | |
| Identifiers | |
| اللاتينية | costae |
| MeSH | D012272 |
| TA98 | A02.3.02.001%20Entity%20TA98%20EN.htm A02.3.01.001، A02.3.02.001 |
| TA2 | 1105 |
| FMA | 7574 |
| المصطلحات التشريحية | |
الضلع Rib واحد من العظام الأربعة والعشرين التي تحيط بالصدر في جسم الإنسان. وهناك اثنا عشر ضلعًا في كل جانب من جانبي الجسم، يَتصِل كل واحد منها بالعمود الفقري بوساطة وصلات تسمى الفقرات. وفي مقدمة الجسم، ترتبط الأضلاع السبعة العلوية في كل جانب مباشرة بالعظمة الصدرية بوساطة مادة صلبة مطاطية تسمى الغضاريف، وتُسمى هذه الأضلاع، الأضلاع الحقيقية. أما الأضلاع الخمسة التي تحتها وتُسمى الأضلاع الإضافية، فليست مُتصلة بعظمة الصدر بشكل مباشر، بل إن كل واحد من الأضلاع الثلاثة العلوية الإضافية، مُتصل بالضلع الذي يعلو الغضروف. أما الضلعان اللذان يقعان في الأسفل، فإنهما مُتَصلان بعظمة الظهر. ويُعرفان باسم الضلعين السائبين. وتحتوي الفراغات الموجودة بين الأضلاع، والتي تُسمَّى فراغات بين الأضلاع، على الشرايين والأوردة والعضلات والأعصاب.
ومعظم الفقاريات، وهي الحيوانات ذات العمود الفقري، لها أضلاع، ولكن عددها يختلف بشكلٍ ملحوظ. وفي الثدييات، يترواح عدد الأضلاع ما بين 9 أزواج، كما في بعض الحيتان، و24 زوجًا، كما في الدُّب الكسلان الثنائي الأصابع.
للأضلاع وظيفتان في الجسم، فهي تُشَكِل قفصًا حول تجويف الصدر الذي يحمي القلب والرئتين. كما أنها تتحرك للأعلى وللأسفل مع الحجاب الحاجز للتحَكُم في حركة دخول وخروج الهواء من وإلى الرئتين. فعندما تتحرك الأضلاع إلى أعلى، يتوسع التجويف الصدري، ويدخل الهواء إلى الرئتين. وعندما تتحرك إلى أسفل، يخرج الهواء من الرئتين.
ويمكن أن تؤدي ضربة قوية للصدر إلى كَسْر الأضلاع. وتُسبِّب الأضلاع المكسورة ألمًا شديدًا عندما يتنفس الشخص المصاب، وتؤدي إلى حدوث ليونة عندما يتم الضغط على الجزء المصاب. ويُنصَح باستدعاء الطبيب في حالة إصابة الصدر.
تقسيم الاضلاع في الإنسان
- أول سبعة أزواج من الاضلاع تسمى "الأضلاع الحقيقية". وهي متصلة بسشكل مباشر بعظم القص.
- ازواج الاضلاع الثلاثة التالية تسمى بالأضلاع الكاذبة " وهي تتصل بعظم القص بواسطة غضروف.
- اخر زوجين من الاضلاع تسمى " الأضلاع السابحة " وهي متصلة بالعمود الفقري ولا تتصل بعظم القص.
بين الأضلاع يوجد عضلات، أوعية دموية وأعصاب.
أجزاء الضلع
- رأس الضلع : وهو نهاية الضلع القريبة إلى العمود الفقري.
- المفصل الضلعي الفقري : وهو مكان تمفصل رأس الضلع مع الفقرة الصدرية.
- عنق الضلع : وهو جزء الضلع المسطح الذي يمتد على جانب جسم الإنسان.
- الحديبة الضلعية : وهو نتوء في السطح الخلفي للضلع.
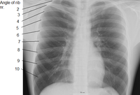
- زاوية الضلع : وهو المكان المنحني في الضلع.
- الثلم الضلعي : وهو شق بين السطح الداخلي للضلع وبين والحافة السفلى للضلع.
ينفصل التجويف الصدري عن البطن بواسطة الحجاب الحاجز الذي إذا تقلص أدى إلى انخفاض الضغط داخل التجويف الصدري وبالتالي الشهيق.
أضلاع غير نموذجية
- الضلع الأول : يكون عريض وتقريبا افقي الاتجاه، وله انحناءة حادة أكثر من غيره من الاضلاع السبعة الحقيقية. رأسه يتمفصل مع الفقرة الصدرية الأولى. وله شقين للاوعية ما تحت الترقوة.
- الضلع الثاني : يكون أرق واقل انحناءا وأطول من الضلع الأول. ويتمفصل مع الفقرة الصدرية الأولى والثانية. وله نتوء ترتبط به العضلات.
- الضلع الحادي عشر والثاني عشر : هما قصيران ووليس لهما عنق ولا نتوءات.
حالات طبية
- كسور الأضلاع : هي أكثر اصابة شائعة للقفص الصدري. أكثر ضلع معرض لهذه الاصابة هو الضلع الأوسط.
- عيوب خلقية في الاضلاع : مما يؤثر على شكل القفص الصدري.
- إزالة الضلع جراحيا : لأسباب تجميلية أو علاجية.
الحيوانات الأخرى
In fish, there are often two sets of ribs attached to the vertebral column. One set, the dorsal ribs, are found in the dividing septum between the upper and lower parts of the main muscle segments, projecting roughly sideways from the vertebral column. The second set, the ventral ribs arise from the vertebral column just below the dorsal ribs, and enclose the lower body, often joining at the tips. Not all species possess both types of rib, with the dorsal ribs being most commonly absent. Sharks, for example, have no dorsal ribs, and only very short ventral ribs, while lampreys have no ribs at all. In some teleosts, there may be additional rib-like bones within the muscle mass.[1]
Tetrapods, however, only ever have a single set of ribs which are probably homologous with the dorsal ribs of fishes. In the early tetrapods, every vertebra bore a pair of ribs, although those on the thoracic vertebrae are typically the longest. The sacral ribs were stout and short, since they formed part of the pelvis, connecting the backbone to the hip bones.[1]
In most subsequent forms, many of these early ribs have been lost, and in living amphibians and reptiles, there is great variation in rib structure and number. For example, turtles have only eight pairs of ribs, which are developed into a bony or cartilaginous carapace and plastron, while snakes have numerous ribs running along the full length of their trunk. Frogs typically have no ribs, aside from a sacral pair, which form part of the pelvis.[1]
In birds, ribs are present as distinct bones only on the thoracic region, although small fused ribs are present on the cervical vertebrae. The thoracic ribs of birds possess a wide projection to the rear; this uncinate process is an attachment for the shoulder muscles.[1] Usually dogs have 26 ribs. Mammals usually also only have distinct ribs on the thoracic vertebra, although fixed cervical ribs are also present in monotremes. In marsupials and placental mammals, the cervical and lumbar ribs are found only as tiny remnants fused to the vertebrae, where they are referred to as transverse processes. In general, the structure and number of the true ribs in humans is similar to that in other mammals. Unlike reptiles, caudal ribs are never found in mammals.[1]
Ribs as food
Ribs as food are widely used from many animals. The ribs are the less meaty part of the meat chop and they are often cooked as part of a slab; five or more is known as a rack, as in a rack of lamb. Short ribs are ribs of beef either served singly or several as a plate. A rib steak from beef is a popular choice used in many cuisines. Pork ribs, including spare ribs are popular in European and Asian cuisine.
Animated images
Human ribs (shown in red). It consists of 24 ribs. Left and right of first rib to twelfth rib.
انظر أيضا
المصادر
- Clinically Oriented Anatomy, 4th ed. Keith L. Moore and Robert F. Dalley. pp. 62–64
الرأس: جمجمة - جبهة – عين – أذن – أنف – فم – لسان – أسنان – فك – فك سفلي – وجه – خد – ذقن
الرقبة: حلق - حنجرة – تفاحة آدم
جذع: كتف – عمود فقري – ثدي – حلمة – صدر – قفص صدري – بطن – سرة
أطراف: ذراع – مرفق – ساعد – رسغ – يد – اصبع (إبهام - سبابة - وسطى - بنصر - خنصر) – رجل – حـِجر Lap – فخذ – ركبة – رَبـْلة الساق Calf muscle – كعب – كاحل – قدم – اصبع قدم (إبهام القدم Hallux)
