ورم غدي مشرشر مفلطح

(تم التحويل من Sessile serrated adenoma)
ورم غدي مشرشر مفلطح
Sessile serrated adenoma

تصنيفات ومصادر خارجية
Sessile serrated adenoma 3 very high mag.jpg
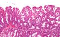
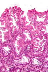
صورة مجهرية لورم غدي مشرشر مفلح.

في طب الجهاز الهضمي، الورم الغدي المشرشر المفلطح (sessile serrated adenoma ويُختصر SSA)، ويُعرف أيضاً بالسليلة الشرشرة المفلطحة (sessile serrated polyp وتُختضر SSP)، هو نسيج ورمي مسطح محتمل الخباثة في القولون، ويظهر عادة في الأعور والقولون الصاعد.

يعتقد أن الأورام الغدية المشرشرة المفلطحة تؤدي إلى سرطان القولون عبر المسار المشرشر (البديل).[1][2] تختلف هذه الأوراد عن معظم أنواع سرطانات القولون، والتي تنشأ بسبب طفرات تبدأ بتعطيل جين APC.

الأورام الغدية المشرشرة المفلطحة المتعددة قد تكون جزءاً من متلازمة السلائل القولونية.[3]

العلامات

الأورام الغدية المشرشرة المفلطحة بصفة عامة ليس لها أعراض. تكتشف عادة عند إجراء تنظير القولون وتشفى بالتشخيص المبكر والعلاج.

التشخيص

تشخص الأورام الغدية المشرشرة المفلطحة بظهورها المجهري؛ هستولوجياً، تتميز (1) بالتمدد القاعدي للخبايا، (2) تشرشر الخبايا القاعدية، (3) الخبايا الممتدة أفقياً حتى الغشاء القاعدي (الخبايا الأفقية)، و(4) تفرع الخبايا. أكثر الخصائص هذه الخصائص شيوعاً هو التمدد الجانبي للخبايا.

على عكس الأورام الغدية القولونية التقليدية، (مثل الورم الغدي الأنبوبي، الورم الغدي الزغبي)، ليس لديها (عادة) تغيرات نووية (فرط الانصباغ النووي، الاحتشاد النووي، النوية ذات الشكل البيضاوي/شكل السيجار).

متلازمة السلائل المشرشرة

متلازمة السلائل المشرشرة هي حالة طبية نادرة تتميز بالسلائل المشرشرة المتعددة و/أو الكبيرة في القولون. يتم تشخيص هذا المرض باتباع أي من المعايير السريرية لمنظمة الصحة العالمية.[4]

العلاج

الإزالة الكاملة للورم الغدي المشرشر المفلطح يعتبر علاجاً شافياً. تشكل الكثير من الأورام الغدية المشرشرة المفلطحة معامل خطر أعلى للإصابة اللاحقة بسرطان القولون مما يستوجب مراقبة أكثر تواتراً. المبادئ التوجيهية للمراقبة هي نفسها التي تتم في حالة الأورام الغدية القولونية. الفاصل الزمني للمراقبة يعتمد على (1) عدد الأورام الغدية، (2) حجم الأورام الغدية، و(3) السمات المجهرية عالية الوضوح.[5]

معرض الصور

انظر أيضاً

المصادر

  1. ^ Rüschoff J, Aust D, Hartmann A (2007). "[Colorectal serrated adenoma: diagnostic criteria and clinical implications]". Verh Dtsch Ges Pathol (in German). 91: 119–25. PMID 18314605.{{cite journal}}: CS1 maint: multiple names: authors list (link) CS1 maint: unrecognized language (link)
  2. ^ Mäkinen MJ (January 2007). "Colorectal serrated adenocarcinoma". Histopathology. 50 (1): 131–50. doi:10.1111/j.1365-2559.2006.02548.x. PMID 17204027.
  3. ^ Rosty, C.; Parry, S.; Young, JP. (2011). "Serrated polyposis: an enigmatic model of colorectal cancer predisposition". Patholog Res Int. 2011: 157073. doi:10.4061/2011/157073. PMC 3109311. PMID 21660283. {{cite journal}}: Cite has empty unknown parameter: |month= (help)CS1 maint: unflagged free DOI (link)
  4. ^ World J Gastroenterol 2012 May 28; 18(20): 2452-2461
  5. ^ Levine JS, Ahnen DJ (December 2006). "Clinical practice. Adenomatous polyps of the colon" (PDF). N. Engl. J. Med. 355 (24): 2551–7. doi:10.1056/NEJMcp063038. PMID 17167138.

وصلات خارجية