مينا الأسنان

(تم التحويل من Tooth enamel)
Labeledmolar.jpg

المينا (بالإنجليزية:Enamel) هو الجزء الأكثر صلابة في جسم الإنسان والأكثر تمعدنا (يحتوي على نسبة معادن عالية جدا).,[1] ويشكل بالإضافة للعاج (Dentin) واللب (dental pulp) والملاط (cementum) الأنسجة الأربعة الرئيسية المكونة للأسنان في الفقاريات. المينا هو الجزء السطحي من السن والذي نراه دائما عندما نراقب أشخاصا يتكلمون أو يبتسمون، وبهذا فإن العاج يلعب دورا مهما في دعم وحماية المينا. تشكل المعادن ما نسبته 96% من المينا، بينما تشكل جزيئات الماء والمواد العضوية النسبة المتبقية.[2] يكون اللون الطبيعي للمينا أبيضا مائلا إلى الصفرة التي يزداد وضوحها مع التقدم بالعمر.ويعود السبب في ظهور اللون الأصفر إلى شفافية المينا فهذا النسيج هو نسيج شبه شفاف يسمح بمرور الضوء إلى ما تحته وهو العاج الذي يكون لونه أصفر عادة، مما يعطي المظهر الأصفر للمينا. تكون سماكة المينا عند حدبات الأسنان كبيرة جدا (2.5 مم) مقارنة بالسماكة عند نقطة الإتصال بين المينا والملاط(cementoenamel junction).[3]

المعدن الأساسي الذي يدخل في تركيب المينا هو هيدروكسي أباتيت (hydroxylapatite)، وهدا المعدن بالذات ونسبة وجوه العالية هي المسؤولة عن قوة المينا وهشاشتها.[4] وبالعودة إلى مقياس موس لصلابة المواد نجد أن المينا تصنف في المرتبة الخامسة من حيث القوة، بينما يحتل العاج التصنيف بين الثالث والرابع وهذا يوفر الدعم الكافي لحماية المينا.

على عكس العظام أو العاج، وبدلا من أن يحتوي المينا على الكولاجين (collagen) فإنه يحتوي على نوعين من البروتينات هما أميلوجينن: (amelogenin) إيناميلن: (enamelin). وفي الحقيقة دور هذين النوعين من البروتينات لم يعرف بعد.[5]

البنية

Labeledandfulltooth.jpg

تسمى الوحدة الأساسية المكونة للمينا العصي (enamel rod)، هذه العصا هي عبارة عن جزيئات من الهيدروكسي أباتيت (كريستال) المجموعة مع بعضها بإحكام وبإنتظام شديدين.[1] وهذا التنظيم يظهر في المقاطع العرضية على شكل ثقب المفتاح، حيث يكون أعلى هذه الثقب بإتجاه التاج والذيل بإتجاه الجذر، وتظهر الكريستال في الأعلى (head) بشكل مواز لمحور العصا، بينما تكون في منطقة الذيل(tail) منحرفة قليلا عن هذا المحور.

تنتظم العصي عند تكوين المينا في شكل صفوف متعامدة مع العاج الذي يقع تحتها،[6] وفهم هذا الترتيب مهم جدا في الإستعاضات السنية، لأنه يوفر الدعم الأكبر للمينا، ويحميها من التعرض لخطر الكسر.[6] عند قطع السن بشكل عرضي ووضعه تحت المجهر تظهر خطوط دائرية تسمى.(Striae of Retzius)[6] وهي خطوط تبين خط نمو المينا وإتجاهه (هي شبيهة جدا بالخطوط الدائرية التي تظهر في المقاطع العرضية لجذوع الأشجار).ويستطيع أطباء الأسنان التفريق بين نوعين من هذه الخطوط؛أحدها يدل على المينا المكونة يوميا والآخر يدل على المينا الموكونة أسبوعيا، ويكون لهذين النوعين إتجاهين مختلفين. أحد هذه الخطوط والذي يكون ظاهرا بشكل ملفت يشكل نقطة الفصل بين المينا المكون قبل الولادة والمينا المكون بعد الولادة؛هذا الخط يسمى (Neonatal line).[7]

النمو والتطور

صورة تظهر سن في مراحل التطور، حيث يكون الفم في المساحة الموجودة في أعلى الصورة

حتى نفهم العملية التي تنتج من خلالها المينا لابد لنا من فهم العملية الكاملة التي تؤدي إلى نمو السن بشكل عام (tooth development). عند عرض انسجة الأسنان التي ما زالت تمر بمرحلة النمو، يمكن مشاهدة عدة مجموعات من المكونات الأساسية، مثل الجزء المكون للمينا (enamel organ) والصفيحة السنية (dental lamina)والحلمة السنية (dental papilla).[8] أما المراحل المتفق عليها عالميا لنمو السن فهي :

  • المرحلة البرعمية (bud stage)
  • المرحلة القبعية (cap stage)
  • المرحلة الجرسية (bell stage)
  • المرحلة التاجية (crown stage).

تبدأ عملية تكوين المينا أو ما يسمى (Amelogenesis) مباشرة بعد البدء في تكوين العاج. أي أن النسيج الذي يتكون أولا هو العاج ثم يحفز وجود العاج نمو خلايا خاصة تؤدي إلى البدء في تكوين المينا. وتبدأ هذه العملية ما بين الشهر الثالث والشهر الرابع من الحمل عند المواقع المستقبلية للحدبات،[6] وتكون نسبة تكوين المينا حوالي 4 (ميكرومتر/يوم). ومع أن عملية تكوين المينا هي عملية معقدة جدا وتتضمن العديد من التغييرات، إلا أنه تم تقسيم هذه العملية إلى مرحلتين لتسهيل دراستها،[9] وهاتين المرحلتين هما؛ مرحلة الإفراز (أو تكوين المينا البدائية) حيث تكون المينا في هذه المرحلة مكونة من مجموعة من البروتينات والنسيج العضوي الذي يسمى مينا متمعدنة جزئيا. أما المرحلة الثانية فهي مرحلة النضوج، حيث تبدا نسبة المعادن بالإزدياد على حساب نسبة المواد العضوية.

صورة توضح عملية تكوين المينا
  • المرحلة الإفرازية(Secretory stage): تكون الخلايا المفرزة للمينا والتي تسمى (Ameloblasts) خلايا عمودبة مستقطبة، حيث يتم في الشبكة إندوبلازمية الخشنة لهذه الخلايا إفراز البروتينات إلى المنطقة المحيطة للمشاركة في تكوين ما يسمى بشبكة المينا (enamel matrix).والتي يتم معدنتها عن طريق بروتين متخصص يدعى الكلاين فوسفتاز (alkaline phosphatase).[10]
  • مرحلة النضوج (Maturation stage):في هذه المرحلة تتحول وظيفة ال (Ameloblasts) من إفراز المينا إلى النقل، ويتم التعرف إلى هذه المرحلة بظهور الحواف المتعرجة (ruffled border) للخلايا المفرزة للمينا(Ameloblasts). وعند ظهور هذه الحواف لإغن هذا يعني تحول وظيفة الخلايا من الإفراز إلى النقل. وتشكل البروتينات التي تدخل في عمليات التمعدن النهائية للمينا المواد الرئيسية التي يتم نقلها.(هذه البروتينات هي amelogenins, ameloblastins, enamelins, and tuftelins).[11] وبنهاية هذه المرحلة تكون نسبة المعادن في طبقة المينا قد وصلت النسبة الطبيعية (96%).

في مرحلة ما قبل أن يبرز السن وبعد مرحلة النضوج تختفي الخلايا المفرزة للمينا (ِِِِAmeloblasts)، وهذا هو السبب وراء عدم قدرة هذا النسيج على التجدد عند التعرض للإصابات أو الحفر أو النخر.[12] حتى باستخدام أكثر الإجراءات الطبية تطورا. وهذا من الأمور التي تدفع أطباء الأسنان إلى الإهتمام كثيرا بهذه الطبقة وبحمايتها. حتى لا تفقد وبالتالي يصار إلى استخدام التعويضات السنية التي لا تعوض طبقة المينا القديمة التي تعرضت للضرر.


Progress of enamel formation for primary teeth[13]
  Amount of enamel formed at birth  Enamel mineralization completed 
Primary
maxillary
tooth
Central incisor 5/6 1.5 months after birth
Lateral incisor 2/3 2.5 months after birth
Canine 1/3 9 months after birth
1st molar Cusps united; occlusal completely calcified
and 1/2 to 3/4 crown height
6 months after birth
2nd molar Cusps united; occlusal incompletely calcified;
calcified tissue covers 1/5 to 1⁄4 crown height
11 months after birth
Primary
mandibular
tooth
Central incisor 3/5 2.5 months after birth
Lateral incisor 3/5 3 months after birth
Canine 1/3 9 months after birth
1st molar Cusps united; occlusal
completely calcified
5.5 months after birth
2nd molar Cusps united; occlusal
incompletely calcified
10 months after birth

تدمير المينا

Destruction of enamel by cervical decay from dental caries
Ca10(PO4)6(OH)2(s) + 8H+(aq) → 10Ca2+(aq) + 6HPO42-(aq) + 2H2O(l)
The effects of bruxism on an anterior tooth, revealing the dentin and pulp which are normally hidden by enamel

الصحة الفموية والفلوريد

Common dentistry trays filled with fluoride foam


تأثيرات عمليات الأسنان

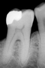
An X-ray showing enamel and dentin replaced by an amalgam restoration

استعادة الأسنان

Acid-etching techniques

تبييض الأسنان

انظر أيضاً

وصلات خارجية

الهامش

  1. ^ أ ب Ross et al., p. 441
  2. ^ Cate, p. 1
  3. ^ Cate, p. 219
  4. ^ Cate, p. 218
  5. ^ Cate, p. 198
  6. ^ أ ب ت ث Cate, p. 224
  7. ^ Cate, p. 76; Ross et al., p. 441
  8. ^ Ross et al., p. 443
  9. ^ Cate, p. 197
  10. ^ Ross et al., p. 445
  11. ^ Ross et al., p. 447
  12. ^ Ross et al., p. 3
  13. ^ Ash and Nelson, p. 54