رجفان بطيني
| ECG lead showing VF | |
| ICD-10 | I49.0 |
| ICD-9 | 427.41 |
| DiseasesDB | failure.htm Heart failure |
| MeSH | D014693 |
الرجفان البطيني هو حالة توقف القلب عن العمل بسبب خلل في منظومة القلب تؤدي إلى ارتجاف البطينين بدل انقباضهما، الأمر الذي يؤدي إلى توقف الدورة الدموية ومن ثم إلى الوفاة بالسكتة القلبية إذا لم يتم تدارك الأمر علاجياً خلال دقائق معدودة من خلال عملية الإنعاش القلبي الرئوي.
الآلية المرضية
الحالة الطبيعية لانقباض عضلة البطين يتم تنظيمها عن طريق مايسمى بنظم القلب، وهو عبارة عن آلية تنظيم حركة الخلايا القلبية بشكل متزامن، بحيث تنقبض الخلايا في نفس اللحظة مشكلة مايسمى انقباضة قلبية إنگليزية: Systole، وانبساطها إنگليزية: Diastole بشكل متزامن. أما في حالة الرجفان البطيني فالوضع مختلف، حيث يوصف الرجفان البطيني بالحركة العشوائية، وذلك يعود إلى أن سبب توقف القلب عن الانقباض يعود إلى حدوث انقباض عشوائي لخلايا عضلات البطينين بحيث تكون محصلة الانقباضات رجفان يصيب جدران البطين ويظهر الرجفان على مخطط قلب كهربائي كموجات بتردد من 300-800\دقيقة بدون ظهور مركب QRS. تبدأ الانقباضات العشوائية كتحركات دائرية للشارة الناقلة ماتلبث أن تنهار لتصبح عشوائية تماماً.
الناحية الوظيفية
يشكل القلب ببطينيه المضخة الرئيسية للدورة الدموية، وتعتمد وظيفة القلب في الضخ على عوامل أساسية هي:
- قوة عضلة القلب.
- صمامات القلب.
- انتظام عملية الضخ وما يسمى بنظم القلب.
في حالة الرجفان البطيني فإن الخلل الذي يصيب القلب يكون في تنظيم الشارة الناقلة فيصبح القلب عاجزاً عن صخ الدم، فتتوقف الدورة الدموية تماماً، وهذا ما يسمى بالسكتة القلبية. من ناحية مبدئية فإن توقف القلب عن الضخ حين الرجفان البطيني لاعلاقة له بقوة العضلة القلبية ولا بالتروية القلبية، فمجرد حدوث الاضطراب النظمي المتمثل بالرجفان البطيني كافٍ لتوقف القلب عن العمل.
أسباب الرجفان البطيني
هناك عدد من الأسباب المؤدية للرجفان البطيني ومن ثم السكتة القلبية، واكتشاف هذه الحالات يتضمن إما إجراء الفحوصات على الناجين من السكتة القلبية أو التشريح لضحايا السكتة القلبية. ولكن يمكن القول أن 50% من حالات الرجفان البطيني تعود إلى النقص الحاد في التروية القلبية[1]، ويعود ذلك إلى التشويش على الخلايا الناقلة لالشارة الناقلة، وذلك لأن هذه الخلايا أكثر حساسية لنقص التروية الدموية من الخلايا العضلية الانقباضية في النسيج القلبي. لذا فإن خطر الإصابة بالسكتة القلبية يعتبر كبيراً في الفترة اللاحقة لاحتشاء عضل القلب.
نقص التروية القلبية
يعتبر نقص التروية القلبية الحاد أي احتشاء عضل القلب (الجلطة القلبية) أحد أهم الأسباب المؤدية للرجفان القلبي، وذلك يعود إلى حساسية نظام نقل الشارة المنظمة عبر خلايا القلب. تعتبر عملية نقل الشارة المنظمة - كما هو الحال في الأعصاب - من العمليات الشرهة للطاقة، وأي نقص حاد في التروية الدموية - ولو لفترة وجيزة - يمكن أن يؤدي إلى خلل في عملية نقل الشارة المنظمة، وبالتالي إلى انهيار سريع لانتظام خلايا القلب، مؤدياً للرجفان البطيني. يحدث ذلك في وقت قد تكون خلايا عضلة القلب مازالت على قيد الحياة، فالرجفان البطيني ينشأ من الخلايا الحية بسبب اعتلال وظيفي قبل أن تنفق الخلايا. كما يمكن أن ينشأ الخلل بعد حدوث الجلطة ونشأة الندبة في جدار القلب، وذلك بسبب دوران الشارة الناقلة حول الندبة التي تنشأ من نفوق خلايا العضلة القلبية كما هو موضح بالصورة.
نقص بوتاسيوم الدم
مقالة مفصلة: نقص بوتاسيوم الدم
في حالات اختلالات تركيز الكهارل في الدم فإن عملية نقل الشارة الناقلة يمكن أن تختل بشكل يؤدي إلى لانظميات خطرة. النقص الحاد للبوتاسيوم في الدم يمكن أن يؤدي إلى رجفان بطيني.
قصور القلب
مقالة مفصلة: قصور القلب
يتعرض مرضى قصور القلب المتقدم (المراحل المتقدمة من المرض) بنسبة أكثر من غيرهم لاضطرابات النظم ومن بينها التسارعات البطينية والرجفان البطيني، مما يعني أنه في الحالات المتقدمة فإنه يُنصح - بجانب العلاجات الدوائية والجراحية لتقوية عضلة القلب - بمعالجة اضطرابات النظم، وأحيانا بغرس مزيل الرجفان المغروس لتجنب حالات السكتة القلبية[2].
مضاعفات دوائية
هناك عدد من الأدوية التي تتسبب في مضاعفات نظمية مثل الرجفان البطيني، ومن هذه الأدوية تلك التي تعمل على إطالة فترة QT كما هو مبين لاحقاً، وتشتهر هذه الأدوية ب إنگليزية: QT-Drugs. إلا أن هناك أدوية مثل الأدوية مضادة اضطراب النظم، والتي يمكن لها جميعاً أن تسبب في اضطرابات النظم، وهناك أدوية دعم الدورة الدموية مثل الأدرينالين والتي إذا ما أعطيت بنسب عالية تسبب في اضطرابات نظمية وقد تتسبب في الرجفان البطيني.
طول فترة QT
في حالات طول فترة QT في مركب QRS فإن حدوث رجفان بطيني يمكن أن يحدث فجأة، ويتميز الرجفان في حالة طول فترة QT بأنه يظهر على شكل موجات منتظمة متلوية حول خط الصفر، وتدعى فرنسية: Torsade de Pointes. من أسباب طول فترة QT خلل وراثي في نقل الشارة الناقلة في خلايا عضلة القلب[3]، أو كأحد الأعراض الجانبية الخطيرة لعدد من الأدوية[4]. إعطاء مثل هذه الأدوية لمرضى طول فترة QT يتسبب بزيادة احتمالية تعرضهم للرجفان البطيني بشكل حاد.
المسارب الزائدة و"ظاهرة R على T"
في حالات وجود "مسارب زائدة" مابين الأذين والبطين مثلما يحدث في متلازمة وولف-باركينسون-هوايت إنگليزية: WPW-Syndrome فإنه يمكن أن تنتقل شارات سريعة من الأذين في حالات الرجفان الأذيني أو لرفرفة الأذينية إلى البطين متسببة في رجفان بطيني، أو في الحالات التي يكون انتقال الشارة فيها في فترة إعادة الاستقطاب الحرجة T متسببة بحدوث رجفان بطيني فيما يعرف (بظاهرة R على T) إنگليزية: R-on-T phenomenon. هذه الظاهرة يمكن لها أن تتسبب في الرجفان البطيني في الحالات التي يتم فيها استثارة خلايا العضلة القلبية في فترة إعادة الاستقطاب الحرجة بأي وسيلة كانت، كالاستثارة - بالخطأ - عن طريق جهاز مزيل الرجفان أو استثارة خاطئة لمنظم دقات القلب ... الخ.
متلازمة بروغادا
مقالة مفصلة: متلازمة بروغادا
هذه المتلازمة التي اكتشفت عام 1992 وسميت باسم الأخوين بروغادا (بالإسبانية: Brugada) الذين اكتشفا المرض، وهو مرض وراثي نادر، يتسبب برجفان بطيني مفاجئ وبالتالي سكتة قلبية، وهو متوارث، ويمكن للسيرة المرضية العائلية أن تشير إلى تكرار حالات موت الفجأة في الأجيال السابقة[5].
أمراض عضلة القلب والصمامات
في الحالات المتقدمة لتضيق الصمام الأبهري فإنه قد يحدث الرجفان البطيني بشكل مفاجئ، وذلك لأن تضيق الصمام الأبهري يسبب جهداً زائداً لعضلة القلب، ويؤدي إلى تضخمها.
- تشوهات خلقية في بناء عضلة القلب والتي تؤدي إلى انتقال غير طبيعي للشارة الناقلة، مما يسبب لانظميات مثل الرجفان البطيني.
- الداء القلبي الخلقي مثل عدد من أمراض قصور القلب يؤدي إلى لانظميات.
وغيرها من حالات أمراض القلب التي يمكن أن تؤدي إلى اضطرابات نظمية أخطرها دائماً الرجفان البطيني.
العلاج
الإنعاش
مقالة مفصلة: إنعاش قلبي رئوي
الرجفان البطيني ينجم عنه توقف عمل القلب (سكتة قلبية) وبالتالي الوفاة خلال دقائق إذا لم تتم المباشرة في الإنعاش القلبي الرئوي وطلب المساعدة (الإسعاف أو الطوارئ). هدف عملية الإنعاش هو إنقاذ حياة المريض، وينقسم الإنعاش إلى إنعاش ابتدائي، أو مايعرف بالإسعاف الأولي، والإنعاش المتقدم والذي يقوم به الفريق الطبي.
إنهاء الرجفان البطيني يتم باستخدام مايعرف بجهاز مزيل الرجفان. وظيفة هذا الجهاز تتمثل في توجيه صدمة كهربائية بتيار مستمر لمدة قصيرة لا تتعدى أجزاء الثانية. تعمل هذه الصدمة على استثارة جميع خلايا عضلة القلب (ما يعرف بإزالة الاستقطاب) في نفس اللحظة، الأمر الذي يُؤدي إلى دخول جميع خلايا القلب في دور الحران في نفس اللحظة، وتأتي فترة صمت قلبي لهنيهات، يتلوها عند نجاح العملية نظمٌ جيبيٌ في أحسن الأحوال. نجاح عملية "إزالة الرجفان" تتأثر بالفترة الزمنية التي مضت حتى تنفيذ أول صدمة كهربائية، وتنقص فرص النجاح في إزالة الرجفان بمضي الدقائق بنسبة 5-10% مع كل دقيقة تمر[1]!
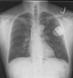
مزيل الرجفان المغروس
بعد النجاة من الرجفان البطيني فإن المرضى الذين عانوا من الرجفان البطيني لأسباب غير رجعية يجب حمايتهم من تكرار الرجفان البطيني عن طريق غرس جهاز مزيل الرجفان المغروس إنگليزية: ICD or implantable cardioverter defibrillator. هذا الجهاز شبيه بناظم الخطى، ويقوم بمراقبة مخطط القلب الكهربائي وتحليله، يقوم الجهاز بتوجيه صدمة كهربية للقلب عن طريق أقطاب مغروسة حول القلب منهياً بذلك الرجفان البطيني.
دواعي الاستعمال لمزيل الرجفان المغروس
لتحديد الحالات التي يُنصح بها بغراسة مزيل الرجفان تتبع تواصي جمعية القلب الأمريكية والتي تنصح بغراسة مزيل الرجفان في الحالات التالية[6][7]:
- حدوث رجفان بطيني لايمكن ربطه بسبب رجعي أو سبب مؤقت.
- إذا مضى على احتشاء عضلة القلب أو على إجراء مجازة أبهرية تاجية أكثر من شهر، واستمر قصور القلب (كسر قذفي أقل من 30%)
- حالات الإغماء غير معروفة السبب في مرضى القلب المتقدم، إذا لم يتم بعد التحريات الطبية اكتشاف وتحديد سبب للإغماء.
- حالات الإغماء غير المبررة بوجود سوابق عائلية "لموت الفجأة" إنگليزية: Sudden cardiac death، بخاصة في حالات متلازمة بروغادا والحالات الموروثة للانظميات.
الأسباب الرجعية والعلاجات الدوائية المساندة
في حالات الرجفان البطيني الرجعية مثل نقص التروية القلبية أو اختلالات الصمامات، أو نقص بوتاسيوم الدم ... الخ، فإن علاج هذه الحالات يتم بإزالة السبب الرجعي للاضطراب النظم، كتحسين التروية القلبية أو تعديل نقص البوتاسيوم أو إيقاف الدواء المتسبب في تغير فترة QT .. الخ. في حالات الرجفان البطيني المتكررة يمكن إعطاء أدوية مضادة لاضطرابات النظم إنگليزية: Antiarrhythmic drugs وهي تلك العقارات والأدوية التي تعمل على تثبيت نظم القلب من خلال التدخل المباشر في عملية انتقال الشارة الناقلة في خلايا عضلة القلب (مثل أميودارون والأجمالين أو الليدوكائين). كما يمكن رفع مستوى البوتاسيوم في الدم إلى أعلى المستوى الطبيعي، ورفع مستوى المغنيسيوم في الدم، باعتبارهما من الكهارل المساعدة في زيادة استقرار النظم القلبي.
انظر أيضاً
الهامش
وصلات خارجية
- الرجفان البطيني عن جمعية القلب الأمريكية (بحسب عرض 17.02.2009).

- شرح وافي عن الرجفان القلبي عن صفحة WebMD (بحسب عرض 17.02.2009).

- Interactive models and information on ventricular fibrillation and other arrhythmias
- When a child's heart stops, onset time of abnormal rhythms is crucial
مراجع
- ^ أ ب الرجفان البطيني عن صفحة WebMD (بحسب عرض 17.02.2009)
- ^ Implantable Cardioverter Defibrillator Therapy for Prevention of Death in Patients With Cardiomyopathy نقلاً عن صفحة Medscape (بتاريخ 4.3.2009).
- ^ شرح عن مرض طول فترة QT نقلاً عن صفحة WebMD بتاريخ 4.3.2009]
- ^ للنظر لقائمة الأدوية التي قد تتسبب في إطالة فترة QT انظر قائمة أدوية QT (بحسب عرض 4.3.2009)
- ^ The syndrome of right bundle branch block ST segment elevation in V1 to V3 and sudden death--the Brugada syndrome. Brugada J, Brugada P, Brugada R. Europace. 1999 Jul;1(3):156-66.قالب:بميد
- ^ استطبابات مزيل الرجفان المغروس عن صفحة WebMD (بحسب عرض 9.3.2009).
- ^ القائمة الكاملة لاستطبابات مزيل الرجفان المغروس قالب:وصلة بي دي إف نقلاً عن صفحة Modern Medicine
