تعذر الارتخاء المريئي
| تعذر الارتخاء المريئي | |
|---|---|
![]() | |
| تعذر الارتخاء المريئي | |
| التبويب والمصادر الخارجية | |
| التخصص | طب الجهاز الهضمي, جراحة القلب والصدر, جراحة عامة[*] |
| ICD-10 | K22.0 |
| ICD-9-CM | 530.0 |
| OMIM | 200400 |
| DiseasesDB | 72 |
| MedlinePlus | 000267 |
| eMedicine | radio/6 med/16 |
| Patient UK | فشل عرض الخاصية P1461: لم يتم العثور على الخاصية P1461. تعذر الارتخاء المريئي |
| MeSH | C06.405.117.119.500.432 |
تعذر الارتخاء المريئي أو اللا ارتخائية أو الأكالازيا أو تشنج الفؤاد إنگليزية: Achalasia هو أحد أمراض خلل حركية المريء يفقد فيه المريء قدرته الطبيعية على القيام بحركات التمعج وتفشل المصرة المريئية السفلية في الارتخاء استجابة لعملية البلع.[1]
الأعراض والعلامات
يعتبر عسر البلع العرض الأكثر شيوعا لدي مرضى تعذر الارتخاء المريئي، ويكون عسر البلع للمواد الصلبة والسوائل معا وعادة ما يكون موجودا لفترة طويلة وثابتا بعد كل وجبة طعام. من الأعراض الشائعة أيضا والتي من النادر أن يذكرها المريض صعوبة التجشؤ ويعزى ذلك إلى خلل في ارتخاء المصرة المريئية العلوية.[2][3][4]
من الأعراض الأخرى الأقل شيوعا قلس الطعام غير المهضوم ونقص الوزن وحرقة الفؤاد والألم الصدري. قد يؤدي قلس المواد الطعامية إلى السبيل التنفسي أثناء الاستلقاء ليلا إلى حدوث الاختناق أو ذات الرئة الشفطية (ذات الرئة بالارتشاف). غالبا ما يكون نقص الوزن خفيفا ما بين 5 إلى 10 كغ. يمكن أن يكون سبب حس حرقة الفؤاد لدى بعض المرضى هو وجود داء الجزر المعدي المريئي مستبطنا لديهم، وقد يكون بسبب التخريش المباشر للمواد الطعامية ومستقلباتها المحصورة في المريء. قد يكون الألم الصدري هو العرض الذي يراجع به بعض المرضى بشكل مشابه للألم القلبي. يذكر أيضا أن بعض المرضى الذين يراجعون الطبيب بما يعرف باللقمة الهستيرية يعانون من من تعذر الارتخاء المريئي.[2][4][5]
التشخيص
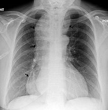
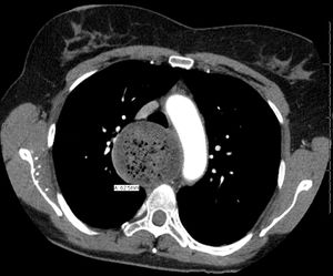
ابتلاع الباريوم
قياس الضغط المريئي
خزعة
العلاج
مصادر
- ^ Park W, Vaezi M (2005). "Etiology and pathogenesis of achalasia: the current understanding". Am J Gastroenterol. 100 (6): 1404–14. doi:10.1111/j.1572-0241.2005.41775.x. PMID 15929777.
- ^ أ ب UpToDate v16.3:Clinical manifestations and diagnosis of achalasia. by Stuart J Spechler, MD
- ^ MedStudy - INTERNAL MEDICINE REVIEW, 12 edition, book 1
- ^ أ ب http://www.medicinenet.com/achalasia/page3.htm
- ^ Moser, G, Wenzel-Abatzi, TA, Stelzeneder, M, et al. Globus sensation: Pharyngoesophageal function, psychometric and psychiatric findings, and follow-up in 88 patients. Arch Intern Med 1998; 158:1365.
وصلات خارجية
- تعذر الارتخاء المريئي at the Open Directory Project
- U.S. Society for Surgery of the Alimentary Tract - Achalasia treatment guidelines
