تعويضات الأسنان
تعويضات الأسنان prosthodontics هي ذلك القسم من طب الأسنان الذي يهتم بترميم الأسنان والمحافظة على وظائف الفم وراحة المريض ومنظره وصحته، وذلك بترميم الأسنان الطبيعية الموجودة في فمه، أو بالتعويض عن الأسنان المفقودة والنسج الفموية والوجهية المحيطة بتلك الأسنان أو بكلا الأمرين معاً. وتنقسم تعويضات الأسنان إلى ثلاثة أقسام: تعويضات الأسنان المتحركة removable prosthodontics وتعويضات الأسنان الثابتة fixed prosthodontics والتعويضات الوجهية والفكية maxillofacial prosthetics.
تعويضات الأسنان المتحركة
هي ذلك القسم من تعويضات الأسنان الذي يعنى بالتعويض عن الأسنان المفقودة والنسج التشريحية المجاورة لها عند المريض الأَدْرَد الكامل edentulous، أو المريض الأدرد الجزئي partially edentulous ببدائل اصطناعية قابلة للنزع من الفم.
ومن هذا التعريف يتبين أن تعويضات الأسنان المتحركة تنقسم إلى قسمين: تعويضات الأسنان الكاملة المتحركة، وتعويضات الأسنان الجزئية المتحركة.
1ـ تعويضات الأسنان الكاملة المتحركة، وهي تشمل ما يأتي:
أ ـ الجهاز السني الكامل المتحرك removable complete denture: وهو يعوض عن كل الأسنان الطبيعية المفقودة والنسج التشريحية المجاورة لها في الفكين العلوي والسفلي. إن الأهداف الأساسية لصناعة هذا الجهاز هي إعادة الوظيفة المضغية إلى المريض وتصحيح منظر الوجه والمحافظة على صحة المريض العامة وتمكينه من التكلم بوضوح، وأن يشعر بالراحة عند وجود الجهاز في فمه. ويتألف الجهاز الكامل من الأسنان المصنوعة إما من مادة الأكريل أو من مادة الخزف ومن قاعدة الجهاز التي تصنع من الأكريل المتبلمر بالحرارة.
ب ـ الجهاز السني الكامل المباشر immediate complete denture: هو الجهاز الذي يعوض عن كامل الأسنان المفقودة والنسج التشريحية المجاورة لها ويتم صنعه مسبقاً قبل قلع أسنان المريض. يتم وضع هذا الجهاز في فم المريض مباشرة بعد قلع الأسنان ويتمّ تبطينه بإحدى المبطنات الرخوة (يمكن لهذا الجهاز أن يكون جزئياً في حال بقاء بعض الأسنان في الفم)، ومن مزاياه:
ـ يعمل الجهاز السني المباشر جبيرة لإيقاف النزف الناتج من القلع والسيطرة عليه ويمنع دخول السوائل والأطعمة في أسناخ الأسنان المقلوعة.
ـ يستطيع مريض الجهاز السني المباشر أن يمارس وظائف المضغ والبلع والكلام والتنفس على نحو أسرع من مريض الجهاز السني الكامل حتى لو بقي هذا الأخير بحالة الدرد مدة قصيرة.
ـ عدم تردد المريض في قلع أسنانه السيئة عندما يعلم بأن الجهاز المباشر سوف يعوض مباشرة عن تلك الأسنان بعد قلعها.
ـ عدم انقطاع المريض عن مزاولة عمله.
ـ لا يحدث تغيرات في وضع اللسان والشفتين والخدين بعد قلع الأسنان إذ يقوم الجهاز السني المباشر بمهمة الدعم هذه مباشرة بعد وضعه في الفم.
ـ يندر من الناحية النفسية، أن لايستطيع مريض الجهاز السني المباشر تحمل الجهاز الصناعي الكامل فيما بعد.
ج ـ الجهاز الصنعي فوق السني overdenture: هو جهاز سني كامل متحرك (ويمكن أن يكون جزئياً) يغطي إضافة إلى الارتفاع السنخي المتبقي بعض الأسنان الطبيعية أو بعض الجذور المتبقية.
إن الهدف من صنع الجهاز فوق السني هو المحافظة على الارتفاع السنخي المتبقي بترك جذور الأسنان فيه ومن ثم زيادة دعم الجهاز فوق السني وتثبيته. إضافة إلى ذلك فإن المريض يستطيع التحكم في الجهاز الصنعي فوق السني الموجود في فمه على نحو أفضل إذ إن بقاء الأسنان يؤدي إلى المحافظة على الرباط السنخي السني ومن ثم المحافظة على النهايات الحسية الموجودة فيه.
2 ـ تعويضات الأسنان الجزئية المتحركة، وهي تشمل ما يلي:
أ ـ الجهاز الانتقالي transitional denture: وهو جهاز سني جزئي متحرك يضاف إليه بالتدريج أسنان صنعية كلما فقدت أسنان طبيعية من الفم. توضع الأسنان الصنعية على الجهاز السني الانتقالي بعد شفاء الجروح الناتجة من القلع. وبعد انتهاء قلع الأسنان وإضافة الأسنان الصنعية إلى الجهاز السني الانتقالي يدعى الجهاز عندئذ بالجهاز السني المؤقت.
ب ـ الجهاز السني المؤقت interim denture: وهو جهاز سني جزئي مؤقت ومتحرك يستعمل مدة قصيرة من الزمن ريثما يصبح المريض جاهزاً ومهيئاً لتقبل المعالجة النهائية بالجهاز السني الجزئي المتحرك.
ج ـ الجهاز السني الجزئي المتحرك partial dentur removable: ويدعى أيضاً بالصفيحة السنية الجزئية المتحركة. وهو يعوض عن بعض الأسنان المفقودة والنسج المجاورة لها في القوس السنية ذات الدرد الجزئي.
وهناك نوعان من الأجهزة السنية الجزئية المتحركة:
النوع الأول وفيه يرتكز الجهاز السني الجزئي المتحرك كلياً على الأسنان المجاورة للمناطق الدرداء. والنوع الثاني يستمد دعمه من الأسنان المجاورة للمناطق الدرداء في الأمام ومن النسج الرخوة المغطية للارتفاعات السنخية المتبقية في الخلف. وهذا ما يدعى بالجهاز السني الجزئي المتحرك ذي النهايات الحرة.
يحافظ الجهاز السني الجزئي المتحرك على بقية الأسنان واللثة والعظم السنخي في القوس السنية ويسهم في تحسين المضغ والكلام والمنظر التجميلي.
أما أجزاء الجهاز السني الجزئي المتحرك فهي:
ـ المهماز rest: وهو امتداد قاسٍ من الجهاز الجزئي يمس أسناناً محدودة لتوزيع القوى الإطباقية. ومن أهم وظائفه منع حركة الجهاز الجزئي باتجاه النسج الرخوة والإبقاء على الأجزاء المثبتة من الضامات (المشابك) clasps في مكانها المحدد.
ـ سطوح الإرشاد وصفائح التوجيه guiding surfaces and guiding plates : وهي على الترتيب السطوح العمودية الموازية للدعامات السنية والأجزاء المعدنية العمودية المقابلة لها والتي تمسها من الصفيحة المعدنية.
تقوم سطوح الإرشاد وصفائح التوجيه في تحديد خط إدخال الجهاز السني الجزئي المتحرك وإخراجه.
ـ الوصلات الكبرى major connector: وهي التي تربط أجزاء الجهاز الموجودة على جانب من القوس السنية بالأجزاء الأخرى الموجودة على الجانب الآخر للقوس نفسها.
ـ الوصلات الصغرى minor connector: وهي أجزاء قاسية من الجهاز الجزئي تربط المهاميز والمثبتات غير المباشرة وجذع الضامات وقاعدة الجهاز الأكريلية بالوصلات الكبرى.
ـ المثبتات retainers: وهي الأجزاء التي يعزى إليها ثبات الجهاز السني الجزئي المتحرك في الفم وهي على نوعين:
مثبتات تقع خارج التاج extracoronal retainers وهي الضامات.
ومثبتات تقع داخل التاج intracoronal retainers وهي التي تستعمل لتحسين منظر الجهاز السني الجزئي المتحرك.
ـ المثبتات غير المباشرة indirect retainers: وهي أجزاء قاسية من الجهاز السني الجزئي تمنع ابتعاد قاعدة الجهاز الأكريلية عن النسج المخاطية.
ـ الأجزاء المثبتة للقاعدة الأكريلية denture base retentive elementes: وهي في الحقيقة وصلات صغرى تربط قاعدة الجهاز الاكريلية بالوصلة الكبرى للجهاز.
ـ الأسنان teeth: وهي إما أن تكون من الأكريل أو تكون من الخزف. وتفضل الأسنان الأكريلية على الخزفية لالتحامها الكيمياوي بالقاعدة الاكريلية للجهاز السني الجزئي المتحرك ولسهولة تعديل شكلها وإطباقها، في حين تعتمد الأسنان الخزفية في تثبيتها على وسائط ميكانيكية، كما أنها عرضة للانكسار والتشظي.
تعويضات الأسنان الثابتة
هي ذلك القسم من تعويضات الأسنان الذي يعنى بترميم الأسنان أو التعويض عن المفقود منها أو بكلا الأمرين ببدائل صنعية لايمكن نزعها من الفم. ويشار إلى التعريفات الآتية:
ـ التاج crown: هو البديل الصنعي الذي يرمم نسج السن المفقودة بإحاطة معظم نسج السن المتبقية أو كلها بمادة مثل المعدن المصبوب أو الخزف أو المعدن والخزف. وأفضل المعادن المستخدمة هو الذهب. ويهدف التاج إلى أن يعيد إلى السن المرممة شكلها ووظيفتها وفي بعض الحالات إلى بناء المنظر التجميلي للسن وتحسينه.
ـ الجسر الثابت fixed bridge أو الجهاز السني الجزئي الثابت fixed partial denture: وهو تعويض سني لا يمكن نزعه من الفم ومثبت بقوة على دعامة سنية أو أكثر وذلك للتعويض عن سن واحدة مفقودة أو أكثر.
ـ الدعامة abutment: وهي السن الطبيعية أو مجموعة الأسنان الطبيعية التي تدعم الجسر ويلتصق عليها.
ـ المثبتة retaine: وغالباً ما تكون تاجاً، وتعيد بناء الدعامة السنية المحضرة وتؤلف إحدى مكونات الجسر التي يلتصق بوساطتها على الدعامة السنية المحضرة. وهي ترتبط بالدمية pontic التي هي البديل عن السن المفقودة تجميلياً ووظيفياً.
1 ـ أنواع التيجان: للتيجان أربعة أنواع هي:
أ ـ التاج الكامل المصبوب the complete cast crown: وهو واحد من أكثر الترميمات السنية المستطبة للأسنان الخلفية. يمكن استخدامه من أجل ترميم سن واحدة أو مثبتة لجسر ثابت، وهو يتمتع بمتانة كبيرة ولا يمكن نزعه من على الأسنان بسهولة. يشمل تحضير السن لاستقبال التاج الكامل المصبوب كل جدران السن المحورية والسطح الإطباقي للتاج السريري للسن المراد تحضيرها. وهو يستطب:
ـ عند وجود تخرب كبير في تاج السن ناتج من النخر أو ضياع مادي رضي.
ـ الأسنان المعالجة لبياً لضعف مقاومتها.
ـ وجود حشوات كبيرة على الأسنان.
ـ الأسنان القصيرة لضمان التثبيت الكافي.
ـ تغيير شكل السطوح المحورية للأسنان لاستقبال جهاز سني جزئي متحرك.
ـ تصحيح الإطباق.
ومن مساوئ هذا النوع من التيجان: أنه لا يمكن إجراء الفحوصات اللبية من خلاله، وكذلك فقد يتأثر لب السن بسبب التحضير، والنسيج اللِّثوَي بسبب قرب حوافه من اللثة إضافة إلى أنه غير تجميلي.
ب ـ التاج الخزفي المعدني the metal ceramic crown: يتطلب تحضير السن لاستقبال التاج الخزفي المعدني إزالة جزء كبير من نسج السن وذلك ليتمكن الطبيب المعالج من تغطية المعدن ذي اللون القاتم بسماكة كافية من الخزف قادرة على إخفاء لون المعدن وتوفير النواحي التجميلية والمظهر المنسجم مع الأسنان المجاورة. وهو يستطب في الأسنان التي تحتاج إلى تغطية كاملة وعندما يكون هناك متطلبات تجميلية كما في الأسنان الأمامية العلوية. كما أن استطبابات التاج الخزفي المعدني تشابه استطبابات التاج الكامل المصبوب. ويمكن للتاج الخزفي المعدني أن يكون مرممة لجسر ثابت.
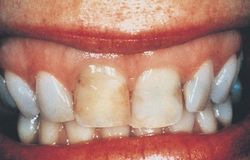
ج ـ التاج الخزفي الكامل the complete ceramic crown: وهو التاج الأكثر جمالاً في التعويضات السنية الثابتة على الإطلاق. ولغياب المعدن تحت الخزف فإنه لا يوجد عائق لمرور الضوء من خلال التاج الخزفي إلى السن المحضرة ومن ثم يكون التاج الخزفي الكامل أكثر انسجاماً مع الأسنان الطبيعية المجاورة من حيث اللون والشفوف.
يستطب هذا التاج عندما تكون هناك متطلبات تجميلية عالية، وعندما تكون الحشوات التجميلية من مادة الكمبوزيت غير قادرة على إخفاء العيوب الناتجة من النخر والتبقع والحشوات الأخرى الموجودة في السن، كما يستطب في الأسنان المعالجة لبياً (الشكل 1 و2).
لا يستطب هذا التاج عندما تكون المتانة هي المطلوبة بالدرجة الأولى ويستبدل بهذا التاج عندئذ التاج الخزفي المعدني. كما أنه لا يستطب عند وجود نخور كبيرة في السن وعندما تكون نسج السن متهدمة غير قادرة على إعطاء الدعم الكافي للتاج الخزفي الكامل. ولا يستطب كذلك في الأسنان ذات البعد الدهليزي اللساني القليل.
د ـ التاج الجزئي المصبوب the partial vneer crown: وهو تاج معدني يغطي كل سطوح السن عدا السطح الدهليزي. وهو يصلح لأن يكون تاجاً لسن واحدة أو مثبتة لجسر ثابت. ويمكن استعماله في الأسنان الأمامية كما هو الحال في ثلاثة أرباع التاج وسبعة أثمان التاج.
يستطب هذا النوع من التيجان في الأسنان الأمامية ذوات التاج السريري الطويل والخالية من النخور من الناحية الدهليزية التي ليست بحاجة إلى تعديل سطحها الدهليزي. وهو لا يستطب إذا كان معدل النخر عالياً عند المريض وفي الأسنان القليلة الثخانة والمتهدمة.
يمتاز هذا التاج بإمكانية إجراء الفحوص الحيوية اللبية من خلاله وانطباقه الجيد على الدعامة السنية لسهولة خروج الإسمنت اللاصق من منطقة الحواف.
التعويضات الوجهية والفكية
التعويضات الوجية الفكية maxillofacial prosthetics هي ذلك القسم من تعويضات الأسنان الذي يعنى ببناء الفم والفكين والنسج الوجهية المحيطة أو ترميمها أو ببنائها وترميمها في آن واحد ببدائل صنعية قابلة أو غير قابلة للنزع من مكانها.
قد تكون المناطق المراد ترميمها مصابة بتشوهات وضياع مادي نتيجة حوادث رضية أو أسباب تشريحية مرضية (السرطان) أو بسبب تشوهات خلقية (انشقاق قبة الحنك).
وتستطب التعويضات الوجهية والفكية في حال:
ـ وجود تشوه وضياع مادي كبير لا يمكن ترميمه بالنسج الحية بالجراحة الترميمية والتجميلية.
ـ نقص التوعية الدموية في المنطقة المراد ترميمها وخاصة إذا كانت المنطقة معرضة للمعالجة الشعاعية.
ـ رغبة الجراح في استئصال الورم ومراقبة حوافه من النكس.
ـ تقدم عمر المريض وسوء حالته الصحية وعدم إمكانية إجراء التخدير العام من أجل الجراحة الترميمية والتجميلية إضافة إلى عدم رغبة المريض في الدخول إلى غرفة العمليات وتلقي المزيد من الجراحة.
الأجهزة الصنعية المتحركة التالية لاستئصالات أورام الفم والفكين، وهي تشمل ما يلي:
أ ـ السدادة obturator: تعرف السدادة على أنها تعويض صنعي يستعمل لإغلاق الفتحات المكتسبة أو الخلقية الولادية في قبة الحنك ليتمكن المريض من تناول طعامه وشرابه والتكلم على نحو طبيعي.
تعيد السدادة الشكل التشريحي لقبة الحنك وتفصل حفرة الفم عن حفرة الأنف كما أنها تحسن الناحية النفسية عند المريض. وهي على ثلاثة أنواع:
ـ السدادة الجراحية surgical obturator: وهي جهاز صنعي يوضع داخل الفم بعد الانتهاء من العمل الجراحي مباشرة ضمن غرفة العمليات بهدف إغلاق الفتحة المحدثة في قبة الحنك وتبقى في فم المريض مدة أسبوع إلى أسبوعين.
ـ السدادة المؤقتة interim obturator: وهي التي توضع في فم المريض بعد نزع السدادة الجراحية. وتبقى في فم المريض إبان مرحلة شفاء النسج داخل الفم وفي أثناء تلقي المريض للمعالجة الشعاعية وتراوح هذه المدة بين 6-12 شهر.
ـ السدادة النهائية definitive obturator: وهي التي توضع في فم المريض بعد انتهاء شفاء النسج داخل الفم (3 ،4، 5).
ب ـ الجهاز المساعد على الكلام speech aid prosthesis: وهو جهاز صنعي يعوض عن النسج الرخوة المفقودة في قبة الحنك الرخوة.
يتمكن المريض من إصدار الأصوات من دون هروب الهواء من أنفه وبالتالي من دون حدوث خنة في صوته أثناء الكلام.
ج ـ الجهاز الرافع لشراع الحنك palatal lift prosthesis: يرفع هذا الجهاز نسج شراع الحنك الرخوة التي أصيبت بشلل نتيجة حادث رضي دماغي ويساعد المريض على تحسين كلامه.
د ـ الجهاز الخافض لقبة الحنك drop prosthesis palatal: ويستعمل هذا الجهاز في حالات استئصالات أورام اللسان الكبيرة. يصبح اللسان بعد العمل الجراحي عاجزاً عن الحركة إلى حد كبير وغير قادر على التماس مع قبة الحنك الصلبة. لذا تخفض قبة الحنك الصلبة بوساطة هذا الجهاز الصنعي وتسهل مهمة اللسان في الكلام كما تسهل عملية البلع عند المريض.
2ـ التعويضات الوجهية: وهي التعويضات الصنعية التي تعوض عن بعض الأجزاء المفقودة من الوجه مثل الأنف والأذن، وتصنع هذه التعويضات أساساً من مادة السيليكون silicone grade medical القابلة للتلوين لتماثل لون جلد وجه المريض.
يتصف هذا السيليكون بثبات الأبعاد ضمن تغيرات درجات حرارة الجو الخارجي وتتقبله النسج إلا أنه لا يملك المرونة الكافية حتى يتغير شكله ويعمل بتنسيق مع النسج المتحركة للوجه. كما أن حوافه غير متينة قابلة للتمزق خاصة إذا كانت رقيقة.
يتم تثبيت التعويضات الوجهية في مكانها على الوجه إما بمواد إلصاق طبية خاصة أو باستعمال الزرعات السنية.
انظر أيضا

| Prosthodontics
]].المصادر
وصلات خارجية
جمعيات ومنظمات
- UCLA Health System Dental Services
- About Prosthodontics
- Academy of Australian and New Zealand Prosthodontists
- The Academy of Dental Materials
- Academy of Osseointegration
- The Academy of Prosthodontics
- The American Academy of Esthetic Dentistry
- The American Academy of Fixed Prosthodontics
- American Academy of Maxillofacial Prosthetics
- American Board of Prosthodontics
- American College of Prosthodontists
- American Dental Association
- American Prosthodontic Society
- The Association of Prosthodontists of Canada
- Australian Dental Association
- Australian Prosthodontic Society
- British Society of Oral Implantology
- British Society for the Study of Prosthetic Dentistry
- Dental Council of India
- International College of Prosthodontists
- The Japan Prosthodontic Society
- Journal of Indian Prosthodontic Society
- Prosthodontic Society of Ireland
Scientific journals
- British Dental Journal
- Dental Materials
- European Journal of Oral Implantology
- The International Journal of Prosthodontics
- The Journal of Adhesive Dentistry
- The Journal of Dental Research
- The Journal of Indian Prosthodontic Society
- The International Journal of Oral and Maxillofacial Implants
- Journal of Orofacial Pain
- Journal of Prosthetic Dentistry
- The Journal of Prosthodontics