حؤول
الصفحة قالب:-plasia/styles.css ليس بها محتوى.
التنسج و-التغذية |
---|
|
|
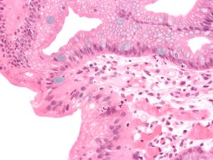
Micrograph of a gastro-esophageal junction with pancreatic acinar metaplasia. The esophageal mucosa (stratified squamous epithelium) is seen on the right. The gastric mucosa (simple columnar epithelium) is seen on the left. The metaplastic epithelial is at the junction (center of image) and has an intensely eosinophilic (bright pink) cytoplasm. H&E stain. | |
MeSH | D008679 |
الحوؤل ( Metaplasia ) هو استبدال خلايا متمايزة ((differentiated cells من نوع معين بخلايا متمابزة من نوع آخر. الحوؤل مختلف عن خلل التنسج (dysplasia ) كما انه مختلف عن السرطان .
يؤدي الحوؤل إلى تغيير مآل الخلايا في مطلع حياتها ولا يغير الخلايا المتمايزة (differentiated cells).
الحوؤل عكوس (reversible ) وينجم عادة كاستجابة لالتهاب وتخريش مزمن ، ويتيح استبدال الخلايا باخرى اقدر على العيش في ظروف لاتحتملها الخلية الاصلية. و الحوؤل ليس ضارا في حد ذاته ولكنه يمكن أن يؤثر على بطانة اعضاء مختلفة كالقصبات (الطرق الهوائية) والمثانه. فالحوؤل في عنق الرحم يحدث تآكلا يمكن الكشف عنه باختبار لطاخة عنق الرحم.
الأهمية الطبية للحوؤل هي أن الخلايا قد تتطور من حوؤل إلى خلل تنسج ومن ثم إلى سرطان. و يحدث ذلك في مواقع عديدة من الجسم كالمثانه وعنق الرحم واسفل المريء. وعندما يكتشف الحوؤل في هذه المواقع ، نسعى سعيا جادا لازالة العوامل المسببة ، وبذلك نقلل من خطر ترقي الحوؤل إلى آفة خبيثة . ينبغي متابعة الناحية المصابة بالحؤول متابعة دقيقة لضمان كشف بدايات اي خلل تنسج الذي ان تطورت في العضو تطورا ملحوظا يستطب حينها ازالة المنطقة المصابة لمنع تطورها إلى سرطان.
الأمثلة

النسيج | العادي | الحؤول | الحث |
---|---|---|---|
Airways | Pseudostratified columnar epithelium | Squamous epithelium | تدخين السجائر |
المثانة | Transitional epithelium | Squamous epithelium | حصوة في المثانة |
المريء | Squamous epithelium | Columnar epithelium | ارتجاع معدي-مريئي (مريء بارِت) |
ملاحظات
- The AMA Home Medical Encyclopedia, Random House, p.683
- Robbins and Cotran - Pathologic Basis of Disease, 7th Edition, Saunders, p. 10