حمل عنقودي

حمل عنقودي
Hydatidiform mole (1) complete type.jpg
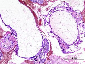
Histopathogic image of hydatidiform mole (complete type). H & E stain.
التبويب والمصادر الخارجية
التخصصعلم الأمراض
ICD-10O01., D39.2
ICD-9-CM630
ICD-OM9100/0
OMIM231090
DiseasesDB6097
MedlinePlus000909
eMedicinemed/1047 med/866
Patient UK

فشل عرض الخاصية P1461: لم يتم العثور على الخاصية P1461.

حمل عنقودي
MeSHD006828
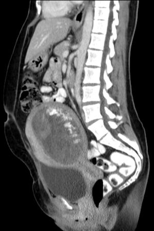
Hydatidiform mole on CT, sagittal view
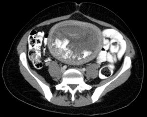
Hydatidiform mole on CT, axial view

الحمل العنقودي Molar pregnancy أو الرحى العدارية Hydatidiform mole يعتبر من الأمراض الشائعة في مجتمعنا وهو ليس بالمرض الخطير بحيث من الممكن علاجه بسهولة، لكنه يحتاج بشكل كبير إلى تعاون المريضة وتفهمها للحالة وعدم الاستعجال في الحمل مرة أخرى إلا بعد مرور 9 أشهر.

تعريف الحمل العنقودي

الحمل العنقودي هو حمل غير طبيعي، تظهر فيه محتويات الرحم على شكل حبات عنقود العنب ، ولذلك سمي بالحمل العنقودي، وفيه تتحول جذور أو شعيرات المشيمة إلى حويصلات منتفخة بالسوائل ويصبح شكلها العام مثل عناقيد العنب.

أنواع الحمل العنقودي

والحمل العنقودي نوعان إما حمل عنقودي كامل ، أو حمل عنقودي جزئي .

الحمل العنقودي الكامل

ففي الأول يقوم الحيوان المنوي بتلقيح بويضة فارغة من الكروموسومات الأنثوية ، ويتم التلقيح بأن يقوم الحيوان المنوي بالانقسام ليصبح عددهما اثنين أو حيوانين يلقحان البويضة الفارغة ، فجميع الكروموسومات في الحمل العنقودي مصدرها الرجل ، ويحدث هذا الحمل بنسبة أعلى من الحمل العنقودي الجزئي.

الحمل العنقودي الجزئي:

يحدث عندما يقوم حيوانان منويان بتلقيح بويضة سليمة ، أي فيها كروموسومات الأم ويحدث الحمل بجنين غير طبيعي ومشيمة غير طبيعية ويتكون عدد الكروموسومات في هذا الحمل 69 كروموسوماً 23 من الأم و23 من الأب من كل حيوان منوي ويصبح المجموع 69 كروموسوماً وهذا باختلاف الحمل الطبيعي 46 كروموسوماً. وأكثر مايحدث هذا الحمل بعد عمليات الإجهاض ، وخاصة عند النساء كبريات السن " فوق 40 عاماً"، ولكن هذا لايمنع أنه يحدث أيضاً عند صغيرات السن. وغالبا ما يحدث الحمل العنقودي خارج الرحم ، ومن الممكن أن يحدث بعد الولادة عند المرأة البكر التي لم يسبق لها أن حدثت لها عملية إجهاض من قبل أو حمل.

التوزيع الجغرافي للحمل العنقودي

كما تختلف نسبة الحمل العنقودي تبعاً للتوزيع الجغرافي ، بحيث تكثر في دول جنوب آسيا كإندونيسيا والفلبين والصين

الأعراض

وتبدأ أعراض هذا الحمل بانقطاع الدورة الشهرية ، وتشعر المريضة بالغثيان والاستفراغ ، وتدريجياً تزداد أعراض الغثيان بشدة مصاحبة لحالات استفرغ متكررة ، وهذا يعود إلى زيادة إفراز هرمون الحمل بكمية عالية أكثر من الطبيعي ، بحيث يكون الرحم أكبر من معدله الطبيعي أيضاً فيسبب تقلصات شديدة ، ويحدث في بداية الحمل نزول نقط بسيطة من الدم من المهبل ويزداد إلى أن يصبح بشكل نزيف ، وعادة مايكون الدم داكن اللون ويصاحبه نزول حويصلات مهبلية. ومن المضاعفات الأخرى التي تحصل أثناء الحمل العنقودي - ولكن بشكل نادر- اضطرابات الغدة الدرقية وتسمم الحمل المبكر ، أي الارتفاع في ضغط الدم وزلال البول وزيادة السوائل في الجسم ، وإذا وجدت هذه المضاعفات فيجب التأكد من أن الحمل عنقودي أو البحث عن أسباب أخرى كمشاكل في الكلى.

تشخيص الحمل العنقودي

أما كيف يشخص الحمل العنقودي ، فعن طريق إجراء تحاليل لمعرفة نسبة هرمون الحمل التي غالباً ما تكون عالية جداً بالمقارنة مع الحمل الطبيعي• وهناك طريقة أخرى ، وهي إجراء الفحص بالأشعة الصوتية ، بحيث يكون مايشبه العاصفة الثلجية ، وهذا يدل على أن المشيمة غير طبيعية ، وإذا وجدت جنين فهذا قد يدل على أنه حمل عنقودي جزئي وعادة ما يكون الجنين غير طبيعي ويتوفى داخل الرحم في الأشهر الأولى من الحمل •

العلاج

ثم تتم إزالة هذا الحمل بإجراء عملية شفط للحمل العنقودي الموجود داخل الرحم ، وذلك عن طريق استخدام جهاز لشفطه وبعد توسيع عنق الرحم تحت التخدير العام . وبعد عملية تنظيف الرحم تحتاج المريضة للمتابعة الدقيقة وتنصح بإستخدام حبوب منع الحمل لمدة 6-9 أشهر وذلك للتأكد من سلامة الرحم وعدم رجوع الحمل العنقودي.

أما في حال وجود بقايا للحمل العنقودي ، فيجب إزالتها بالعملية أيضاَ أو استخدام علاج كيميائي ، وهو عبارة عن مستحضر < الميثوتركسيت > ويعطى بجرعات متكررة إلى أن يتم إختفاء خلايا الحمل العنقودي . وإذا استمر وجود خلايا الحمل العنقودي في النساء اللواتي في سن متقدمة فمن الأفضل إجراء عملية استئصال الرحم.

المشكلات التي يواجهها الطبيب المعالج

ومن المشكلات التي يواجهها الطبيب المعالج أثناء هذه العملية أنه قد تخترق الخلايا أحياناً جدار الرحم وتبقى في عضلاته ، وهي بهذا تسمى الحمل العنقودي الغازي ، وهذه المشكلة تحتاج إلى علاج كيميائي لأن عملية تنظيف الرحم تكون غير كافية ، كما قد يحدث أن توجد الخلايا في مناطق أخرى خارج الرحم ، وهنا يجب إجراء أشعة سينية للرئة لأن هذه الخلايا قد توجد في الرئة ، وقد تتطور هذه المشكلة- ولكن بنسبة ضئيلة جداً - إلى سرطان مشيمي وهذا النوع من السرطان يمكن علاجه باستخدام العلاج الكيميائي ، وتصل نسبة نجاحه عند النساء إلى 100% وأخيراً ، لابد بعد العملية من إجراء فحص هرمون الحمل الذي يعتبر الدليل على استجابة المريضة للعلاج. ويكون بشكل أسبوعي إلى أن تصبح نسبته صفراً ، بعدها يتم إجراؤه شهرياً لمدة عام واحد مع الالتزام باستخدام موانع الحمل الأكيدة. ولابد أيضاً من إجراء فحوصات الأشعة السينية للصدر شكل روتيني وكذلك الأشعة الصوتية للرحم والحوض.

انظر أيضاً

الهامش

روابط خارجية

قالب:Germ cell tumors