خلية سيرتولي
خلية سيرتولي | |
---|---|
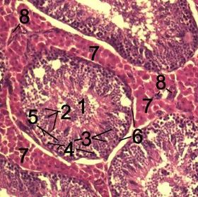
![]() Germinal epithelium of the testicle. 1: basal lamina 2: spermatogonia 3: spermatocyte 1st order 4: spermatocyte 2nd order 5: spermatid 6: mature spermatid 7: Sertoli cell 8: tight junction (blood testis barrier) | |
![]() Histological section through testicular parenchyma of a boar. 1 Lumen of Tubulus seminiferus contortus 2 spermatids 3 spermatocytes 4 spermatogonia 5 Sertoli cell 6 Myofibroblasts 7 Leydig cells 8 capillaries | |
جرايز | موضوع 258 1243 |
ع.م.ط | Sertoli+Cells |
تعديل ![]() |
خلية سيرتولي إنگليزية: Sertoli cell هي مجموعة خلايا موجوده في الخصية. وعملها يتأثر بهرمون منبه للجريب.
الوظائف
لأن عملها الرئيسي هو تغذية خلايا النطاف المتطورة عبر مراحل التطور المنوي للنطاف, فإن خلايا سيرتولي تدعى أيضا بالخلايا الأم أو الحاضنة(fghh). خلايا سيرتولي تعمل أيضا كخلايا بلعمية, مستهلكة السايتوبلازما(الهيولى) المتبقية خلال عملية تكوين النطاف, نقل الخلايا الجرثومية من قاعدة الأنابيب المنوية إلى تجويف الأنابيب المنوية يحدث بواسطة تغيرات تشكيلية في الأطراف الهامشية الجانبية لخلايا سيرتولي.
إفرازيه
إن خلايا سيرتولي تفرز المواد التالية :
- مضاد هرمون AMH الذي يفرز خلال المراحل المبكرة من الحياة في الجنين.
- الإنهبتين والأكتيفين اللذان يفرزان بعد البلوغ الجنسي ويعملان معا لتنظيم افراز هرمون الـFSH
- البروتين المرتبط بالأندروجين والذي يدعى أيضا بالغلوبيولين المرتبط بالتستوستيرون: يزيد من تركيز التستوستيرون في الأنابيب المنوية ليحرض بذلك عملية إنتاج النطاف.
- الاستراديول أو الاروماتيز من خلايا سيرتولي يحول هرمون التستوستيرون إلى (17 بيتا استراديول) لتوجيه عملية إنتاج النطاف.
- خط الخلية الغروية المستمدة من عامل التغذية العصبية(GDNF) وقد تبين أنها تعمل في تعزيز أمهات المني غير المتمايزة، والتي تضمن الخلايا الجذعية الذاتية التجدد خلال فترة ما حول الولادة.
الجزيء المرتبط بالـEts (عامل النسخ ERM) واللازم لأجل الحفاظ على خلايا إنتاج النطاف الجذعية في الخصى البالغة.
- الترانسفيرين وهو بروتين بلازما الدم المسؤول عن نقل أيونات الحديد [1]
بنائيه
The tight junctions of Sertoli cells form the blood-testis barrier, a structure that partitions the interstitial blood compartment of the testis from the adluminal compartment of the seminiferous tubules. Because of the apical progression of the spermatogonia, the tight junctions must be dynamically reformed and broken to allow the immunoidentical spermatogonia to cross through the blood-testis barrier so they can become immunologically unique. Sertoli cells control the entry and exit of nutrients, hormones and other chemicals into the tubules of the testis as well as make the adluminal compartment an immune-privileged site.
The cell is also responsible for establishing and maintaining the spermatogonial stem cell niche, which ensures the renewal of stem cells and the differentiation of spermatogonia into mature germ cells that progress stepwise through the long process of spermatogenesis, ending in the release of spermatozoa. Sertoli cells bind to spermatogonial cells via N-cadherins and galctosyltransferase (via carbohydrate residues).
وظائف أخرى
During the Maturation phase of spermiogenesis, the Sertoli cells consume the unneeded portions of the spermatozoa.
إنتاج خلايا سيرتولي
Once fully differentiated, the Sertoli cell is unable to proliferate. Therefore, once spermatogenesis has begun, no more Sertoli cells are created. Recently however, some scientists have found a way to grow these cells outside of the body. This gives rise to the possibility of repairing some defects that cause male infertility.
المصطلحات
Sertoli cells are called so because of their eponym Enrico Sertoli, an Italian physiologist who discovered them while studying medicine in the University of Pavia, Italy.[2] He published a description of this cell in 1865. The cell was discovered by Sertoli with a Belthle microscope purchased in 1862, which he used while studying medicine. In the 1865 publication, his first description used the terms "tree-like cell" or "stringy cell" and most importantly he referred to these "mother cells." It was other scientists who used Enrico's family name, Sertoli, to label these cell in publications, starting in 1888. As of 2006, two textbooks that are devoted specifically to the Sertoli cell have been published.
الأنسجة
On slides, using standard staining, it can be easy to confuse the Sertoli cells with the other cells of the germinal epithelium. The most distinctive feature of the Sertoli cells is the dark nucleolus.[3]
الأمراض
Sertoli-Leydig cell tumour are part of the sex cord-stromal tumour group of ovarian neoplasms.
صور إضافية
انظر أيضا
مراجع
- ^ .
- [[>Xiong X, Wang A, Liu G, Liu H, Wang C, Xia T, Chen X, Yang K (2006). "Effects of p,p'-dichlorodiphenyldichloroethylene on the expressions of transferrin and androgen-binding protein in rat Sertoli cells". Environ Res. 101 (3): 334–9. doi:10.1016/j.envres.2005.11.003. PMID 16380112.
{{cite journal}}
: CS1 maint: multiple names: authors list (link)
- [[>Xiong X, Wang A, Liu G, Liu H, Wang C, Xia T, Chen X, Yang K (2006). "Effects of p,p'-dichlorodiphenyldichloroethylene on the expressions of transferrin and androgen-binding protein in rat Sertoli cells". Environ Res. 101 (3): 334–9. doi:10.1016/j.envres.2005.11.003. PMID 16380112.
- ^ synd/518 at Who Named It?
- ^ OSU Center for Veterinary Health Sciences - OSU-CVHS Home