سرطان الغدة الدرقية الجريبي الغير منتشر

سرطان الغدة الدرقية الجريبي الغير منتشر (إنگليزية: Noninvasive follicular thyroid neoplasm with papillary-like nuclear features، اختصاراً NIFTP)، هو ورم الغدة الدرقية بطئ النمو الذي تم تصنيفه سابقًا على أنه متغير جرابي مغلف ,[1] يستلزم تصنيفًا جديدًا حيث تم التعرف على أن الأورام المغلفة دون غزو (انتشار) لها السلوك البطيء,[1] وقد تتم معالجته بشكل مفرط إذا تم تصنيفه على أنه نوع من السرطان..

العلامات والأعراض

يتطابق العرض السريري للمرضى مع أورام الغدة الدرقية الأخرى ، حيث توجد عادة عقدة أو تضخم في الغدة الدرقية غير مؤلم وغير مصحوب بأعراض. اعتمادًا على الحجم ، قد تظهر أعراض إضافية لبحة في الصوت أو صعوبة في البلع أو أعراض ضغط أخرى. في جميع الحالات تقريبًا ، لا يعاني المرضى من أي خلل وظيفي في هرمون الغدة الدرقية ( فرط نشاط الغدة الدرقية أو قصور الغدة الدرقية - على التوالي ، زيادة أو انخفاض مستويات الهرمون).[citation needed]

علم الوراثة

يُظهر هذا الورم ارتباطًا عاليًا جدًا بأورام النمط الجريبي الأخرى ، مع طفرات RAS الأكثر شيوعًا. ومع ذلك ، يمكن رؤية اندماج الجينات PPARγ و THADA ، وطفرات BRAF K601E في بعض الأحيان.[2][3][4][5][6][7] لا تُرى طفرات BRAF V600E والاندماج الجيني RET الذي يشيع ظهوره في النوع الكلاسيكي من السرطان الحليمي في هذا الورم.[citation needed]

التشخيص

التصنيف

تعريف ورم الغدة الدرقية الجرابية غير الغازية ذات السمات النووية الشبيهة بالحليمة (NIFTP) : ورم غير غازي (منتشر) ينشأ من الخلايا الحويصلية للغدة الدرقية (الخلايا التي تصنع عادة هرمون الغدة الدرقية ) ، ويظهر نمط نمو جرابي في الغالب مع السمات النووية لسرطان الغدة الدرقية الحليمي . هناك عدة معايير محددة للإدراج والاستبعاد (انظر أدناه). عندما يتم استيفاء هذه الحالات ، فإن هذا الورم لديه إمكانات خبيثة منخفضة للغاية.[2]

الاختصارات:

NIFTP : ورم الغدة الدرقية الجرابي غير الغازي بسمات نووية تشبه الحليمي

EFVPTC : المتغير الجريبي المغلف لسرطان الغدة الدرقية الحليمي .

PTC : سرطان الغدة الدرقية الحليمي .

سيتم إدراج التصنيف الجديد في التصنيف الجديد لمنظمة الصحة العالمية لأورام أعضاء الغدد الصماء ، المقرر صدوره في عام 2017.[citation needed]

نتائج التصوير

عادةً ما يتم إجراء التقييم السريري من خلال دراسات الموجات فوق الصوتية ، والتي تظهر عادةً كتلة صلبة محددة جيدًا ، وغالبًا ما تظهر ظلًا محدودًا (ناقص الصدى). اعتمادًا على الطابع المحدد للموجات فوق الصوتية والنتائج السريرية الأخرى ، غالبًا ما يتم إجراء خزعة بالابرة.[citation needed]

الشفط بإبرة دقيقة

يتضمن ذلك استخراج عينة سائلة من خلال إبرة رفيعة يتم إدخالها في العقدة (الكتلة) ، وإنشاء شرائح يتم تفسيرها بعد ذلك بواسطة أخصائي أمراض الخلايا. يصعب تفسير هذه الأورام.[8][9][10][11][12] نتيجة لذلك ، من المحتمل أن يتم وضع أكثر من 90٪ من هذه الأورام في إحدى الفئات غير المحددة لنظام بيثيسدا للإبلاغ عن أمراض الغدة الدرقية الخلوية : فئات التشخيص الموصى بها [13] تشمل الفئات غير المحددة لبيثيسدا::

  • حميدة
  • لانمطية ذات الأهمية غير المحددة أو الآفة الجريبية ذات الأهمية غير المحددة (بيثيسدا الفئة الثالثة) ؛
  • ورم مسامي أو مثير مشكوك للورم الجريبي (بيثيسدا الفئة الرابعة) ؛
  • شكوك حول السرطانة (بيثيسدا الفئة الخامسة).
  • خبيث (بيثيسدا الفئة IIV)

من المهم ملاحظة أنه لا يمكن إجراء تشخيص ورم الغدة الدرقية الجرابية غير الغازية ذات السمات النووية الشبيهة بالحليمة على أساس الشفط بالإبرة الدقيقة وحدها. مطلوب تقييم عينة الاستئصال الجراحي لاستبعاد النمو الغازي. إذا تم تطبيق الدراسات الجزيئية على مادة شفط الإبرة الدقيقة ، فإن طفرة RAS هي التعرف الأكثر شيوعًا.[3][14][15]

نتائج علم الأمراض

الحجم

يمكن أن تكون الأورام متغيرة الحجم تمامًا ، حيث تتراوح من 0.7 سنتيمتر (0.28 in) حتى 10 سنتيمتر (3.9 in) ، على الرغم من أن حجم الأورام بشكل عام حوالي 2–4 سنتيمتر (0.79–1.57 in) ..[2][16] كانت عتبة الحجم الحرج 1 سنتيمتر (0.39 in) ، ولكن الدراسات الداعمة خفضت هذه العتبة.[16][4] تُرى معظم الأورام في فص واحد فقط من الغدة الدرقية (وحيد البؤرة) ، ولكن يمكن رؤية الأورام متعددة المراكز (نفس الفص أو الفص المعاكس) في ما يصل إلى 38٪ من الحالات.[16]

السمات النسيجية

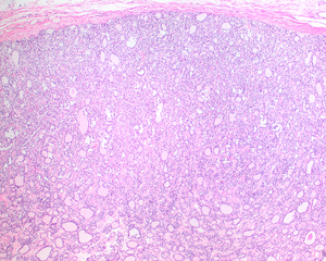
كبسولة ورم الغدة الدرقية NIFTP
لا يوجد دليل على غزو كبسولة النسيج الضام الليفي جيدة التكوين ، مما يساعد على دعم تشخيص NIFTP.
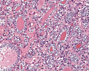
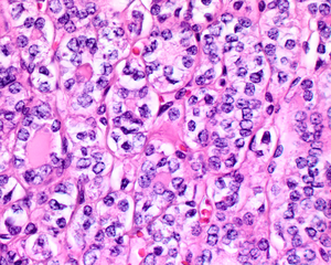
يُظهر ورم NIFTP سمات نووية محددة لسرطان الغدة الدرقية الحليمي.
السمات النووية لسرطان الغدة الدرقية الحليمي ، ولكن داخل ورم مغلف: NIFTP

يجب تحديد العديد من الميزات المحددة لتصنيف الورم في هذه الفئة الجديدة ، بينما يجب أيضًا تقييم معايير الاستبعاد.[citation needed]

1) مغلفة أو مغلفة جزئيا. عادة ما تكون الأورام محددة جيدًا أو محوطة ، مع تغليف أغلبيتها ، ومحاطة بكبسولة نسيج ضام ليفية جيدة التكوين.

2) الغياب التام للغزو من أي نوع في الورم الذي تم تقييمه بعناية باستخدام الكبسولة الكاملة للأفة الكاملة التي تم أخذ عينات منها.

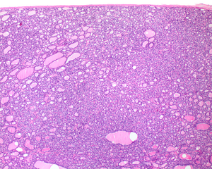
3) نمط النمو الجريبي في الغالب. لا ينبغي أن تكون الهياكل الحليمية موجودة. علاوة على ذلك ، يجب أن تكون البنية الصلبة أو المعزولة أو التربيقية أقل من 30 ٪ من الورم الكلي حتى تظل هذه الفئة سارية. يمكن التعرف بسهولة على المادة الغروانية (المادة التي تفرزها الخلايا الحويصلية للغدة الدرقية) في جميع الأنحاء.

4) يجب أن يتمتع بالسمات النووية المميزة لسرطان الغدة الدرقية الحليمي ، على الرغم من أنه في بعض الأحيان تكون السمات غير منتظمة في التوزيع دون أن يظهر الورم هذه السمات. يمكن تقسيم الميزات النووية إلى ثلاث فئات رئيسية:

  • الحجم والشكل النوويان : التوسيع النووي ، والاستطالة النووية ، والتداخل والازدحام النووي. يعد فقدان القطبية النووية ، مع وجود نوى في المنطقة التجويف أو الوسطى أو القاعدية للخلايا اكتشافًا مفيدًا أيضًا.
  • الانحرافات في الأغشية النووية : ملامح نووية غير منتظمة ، أخاديد وطيات نووية ، "عضات الفئران" أو تكوينات نصفية هلالية ، ووجود مشتملات هيولية داخل النواة.
  • خصائص الكروماتين النووي: تنقية الكروماتين النووي ، غالبًا مع التكثيف أو التهامش على طول الأغشية النووية ، مما ينتج عنه هوامش نووية بارزة ، أو نوى زجاجية ، أو كروماتين نووي ناعم ، وحتى غباري.

تم التحقق من صحة هذه الميزات مؤخرًا من قبل مجموعة دولية من أخصائيي علم الأمراض الجراحي العام الممارسين ، مما يدل على وجود اتفاق كبير بين المراقبين مع تطبيق نظام تسجيل نووي موحد.[17]

معايير الاستبعاد

1) أي غزو.

2) وجود أي متغير آخر من سرطان الغدة الدرقية الحليمي (تشمل الأمثلة الخلية الطويلة ، والخلية العمودية ، والتوتية المصفوية ، والتصلب المنتشر ، إلخ. ).

3) الهياكل الحليمية الحقيقية (قلب ليفي وعائي محاط بالخلايا الورمية). بينما يقتصر في الأصل على <1٪ ، تشير البيانات الأحدث إلى أنه لا ينبغي السماح بتركيبات حليمية[4][14]

4) أجسام رملية . هذه هي بقايا متكلسة من الهياكل الحليمية ، وبالتالي إذا كان الجسم الرملي موجودًا في أي مكان داخل الورم (في الموقع الصحيح) ، فلا يمكن تشخيص NIFTP.

5) نخر الورم : إذا كان هناك نخر حقيقي للورم غير مرتبط بشفط إبرة دقيقة.

6) زيادة انقسام الحلية : إذا كان هناك 3 انقسامات لكل 10 حقول عالية الطاقة ، فلا يمكن استخدام هذه الفئة.

المعالجة

كل ما يبدو مطلوبًا حاليًا هو استئصال الفص أو الاستئصال الجراحي لنصف الغدة الدرقية التي تحتوي على العقدة. ومع ذلك ، من المهم أن ندرك أن العديد من الظروف السريرية تلعب دورًا عند التفكير في الخيارات الجراحية. إذا كانت هناك أعراض ضغط أو مشاكل تجميلية أو بحة في الصوت أو عوامل أخرى في التاريخ السريري للمريض (عوامل الخطر العائلية ، الإشعاع السابق لاضطراب مختلف ، وما إلى ذلك) ، فقد يكون استئصال الغدة الدرقية هو المعالجة الصائمة. ومع ذلك ، لا يلزم إجراء جراحة إضافية. علاوة على ذلك ، فإن العلاج الإشعاعي الذي يُعطى باليود المشع ليس ضروريًا لأنه لا يغير النتيجة الإجمالية للمريض ، بينما يرتبط بالآثار الجانبية المحتملة. أصدرت جمعية الغدة الدرقية الأمريكية إرشادات حول إدارة أورام الغدة الدرقية ، إرشادات ATA لعام 2015 حول سرطان الغدة الدرقية المتمايز ، والتي يمكن استخدامها كدليل للمعالجة الشاملة.[18]

المآل

طالما تمت إزالة الورم بالكامل ، وتم تقييم محيط الورم بالكامل بواسطة الميكروسكوب - من الورم إلى الكبسولة إلى المتن ، أو من الورم إلى المتن في حالة عدم وجود كبسولة - بواسطة أخصائي علم الأمراض ، من قبل أخصائي علم الأمراض القادر على توثيق عدم وجود غزو كبسولي أو لمفاوي ثم لا يتطور خطر التكرار أو الحدوث.[19]

علم الاوبئة

الورم ليس جديدًا ، فقد تم إعادة تصنيفه حديثًا ، وسيتم الآن تصنيف الأورام التي تم تشخيصها سابقًا على أنها البديل الجريبي المغلف غير الغازي لسرطان الغدة الدرقية الحليمي وفقًا للمصطلحات الجديدة. بشكل عام ، سيتم الآن تصنيف حوالي 20٪ من جميع "سرطانات" الغدة الدرقية على أنها NIFTP.[20][21] ومع ذلك ، من المهم أن نلاحظ أنه في اليابان على وجه التحديد ، كانت معايير التشخيص والتسميات لهذه الأورام مختلفة ، وبالتالي فإن حدوث هذا النوع من الورم مختلف. غالبية المرضى هم من الإناث (3-4: 1إناث: ذكور) ، مما يؤثر على مجموعة عمرية كبيرة من المرضى ، على الرغم من أن معظمهم موجودون خلال العقود من الرابع إلى السادس من العمر.[2][16]

التاريخ

كان يُنظر إلى المرضى في الماضي البعيد الذين يعانون من هذه الآفة على أنهم يظهرون علامات على وجود آفة حميدة ، ورم غدي جريبي . ومع ذلك ، بمرور الوقت ومع التقييم الإضافي والاختبار الجزيئي ، تم اعتبار هذه الآفات على أنها تظهر سمات سرطان الغدة الدرقية الحليمي بسبب نوى نوع السرطان الحليمي. وهكذا ، تم تسمية "المتغير الجريبي" للورم الذي يظهر عادة بنية حليمية وخصائص نووية حليمية. على مر السنين ، تبين أن تلك الحالات التي لا تظهر غزوًا لكبسولة الورم أو الأوعية الموجودة في الكبسولة ، تتصرف بطريقة بطيئة ، مع حالات نادرة فقط من المرض المنتشر.[citation needed]

على مدى فترة زمنية متعددة السنوات ، تم تنفيذ مشروع إجماع دولي لإعادة تحديد المعايير المرضية للمتغير الجريبي المغلف لسرطان الغدة الدرقية الحليمي. بناءً على مراجعة دقيقة للمنشورات ومراجعة متعددة المراكز للعديد من الحالات مع متابعة طويلة الأجل (بحد أدنى 10 سنوات) جنبًا إلى جنب مع التحليل الجزيئي لبعض الأورام ، حددت مجموعة العمل هذه أن الأورام المصنفة سابقًا على أنها جرابية مغلفة متغير من السرطان الحليمي - بدون أي دليل على غزو المحفظة أو الأوعية الدموية ، بشرط أن يتم أخذ عينات من محيط الورم بالكامل (الكبسولة إذا كانت مغلفة أو المحيط إذا تم تقييدها جيدًا) - يمكن إعادة تصنيفها على أنها أورام الغدة الدرقية الجرابية غير الغازية ذات السمات النووية الحليمية . هناك العديد من معايير الإدراج والاستبعاد الرئيسية.[2]بالإجماع ، يجب أن يكون حجم الأورام أكثر من 1 سنتيمتر (0.39 in) في الحجم ، مع عدم وجود غزو الأوعية الدموية أو المحفظة في ورم تم أخذ عينات منه بشكل كافٍ ، ولا توجد أورام غازية أخرى في الغدة ، ولا يوجد علاج باليود إشعاعي ، ومع 10 سنوات على الأقل من المتابعة. مع إجراء بحث إضافي ، تم اكتشاف أقل من 1 سم سريريًا قد يكون ورم مؤهلًا ، ولكن نظرًا لوجود تخصيص "مجهري" لهذه الأورام بالفعل ، فإن التصنيف الفرعي الإضافي ليس ضروريًا.[citation needed]

المصادر

  1. ^ أ ب Ganly, I.; Wang, L.; Tuttle, RM.; Katabi, N.; Ceballos, GA.; Harach, HR.; Ghossein, R. (May 2015). "Invasion rather than nuclear features correlates with outcome in encapsulated follicular tumors: further evidence for the reclassification of the encapsulated papillary thyroid carcinoma follicular variant". Human Pathology. 46 (5): 657–64. doi:10.1016/j.humpath.2015.01.010. PMC 4981329. PMID 25721865.
  2. ^ أ ب ت ث ج "Nomenclature Revision for encapsulated follicular variant of papillary thyroid carcinoma: A Paradigm Shift to Reduce Overtreatment of Indolent Tumors". JAMA Oncol. 2 (8): 1023–9. 14 April 2016. doi:10.1001/jamaoncol.2016.0386. PMC 5539411. PMID 27078145. {{cite journal}}: Cite uses deprecated parameter |authors= (help)
  3. ^ أ ب "Integrated genomic characterization of papillary thyroid carcinoma". Cell. 159 (3): 676–90. 23 October 2014. doi:10.1016/j.cell.2014.09.050. PMC 4243044. PMID 25417114. {{cite journal}}: Cite uses deprecated parameter |authors= (help)
  4. ^ أ ب ت "Noninvasive Follicular Thyroid Neoplasm with Papillary-like Nuclear Features: A review for pathologists". Mod Pathol. 31 (1): 39–55. 20 October 2017. doi:10.1038/modpathol.2017.130. PMID 29052599. {{cite journal}}: Cite uses deprecated parameter |authors= (help)
  5. ^ "Molecular pathogenesis and mechanisms of thyroid cancer". Nat Rev Cancer. 13 (3): 184–99. March 2013. doi:10.1038/nrc3431. PMC 3791171. PMID 23429735. {{cite journal}}: Cite uses deprecated parameter |authors= (help)
  6. ^ "Molecular genotyping of papillary thyroid carcinoma follicular variant according to its histological subtypes (encapsulated vs infiltrative) reveals distinct BRAF and RAS mutation patterns". Mod Pathol. 23 (9): 1191–200. September 2010. doi:10.1038/modpathol.2010.112. PMC 4573468. PMID 20526288. {{cite journal}}: Cite uses deprecated parameter |authors= (help)
  7. ^ Johnson, Daniel N.; Furtado, Larissa V.; Long, Bradley C.; Zhen, Chao Jie; Wurst, Michelle; Mujacic, Ibro; Kadri, Sabah; Segal, Jeremy P.; Antic, Tatjana (2018-03-27). "Noninvasive Follicular Thyroid Neoplasms With Papillary-Like Nuclear Features (NIFTPs) Are Genetically and Biologically Similar to Adenomatous Nodules and Distinct From Papillary Thyroid Carcinomas With Extensive Follicular Growth". Archives of Pathology & Laboratory Medicine. 142 (7): 838–850. doi:10.5858/arpa.2017-0118-OA. ISSN 1543-2165. PMID 29582677.
  8. ^ "Follicular variant of papillary thyroid carcinoma: a comparative study of histopathologic features and cytology results in 141 patients". Endocr Pract. 7 (2): 79–84. March 2001. doi:10.4158/EP.7.2.79. PMID 11421549. {{cite journal}}: Cite uses deprecated parameter |authors= (help)
  9. ^ Chang HY, Lin JD, Chou SC, Chao TC, Hsueh C (November 2006). "Clinical presentations and outcomes of surgical treatment of follicular variant of the papillary thyroid carcinomas". Jpn J Clin Oncol. 36 (11): 688–93. doi:10.1093/jjco/hyl093. PMID 17000702.
  10. ^ "Preoperative RAS mutational analysis is of great value in predicting follicular variant of papillary thyroid carcinoma". Biomed Res Int. 2015: 697068. 12 January 2015. doi:10.1155/2015/697068. PMC 4306358. PMID 25648502. {{cite journal}}: Cite uses deprecated parameter |authors= (help)CS1 maint: unflagged free DOI (link)
  11. ^ "Follicular variant of papillary thyroid carcinoma: clinical-pathological characterization and long-term follow-up". Cancer J. 12 (4): 275–82. July 2006. doi:10.1097/00130404-200607000-00005. PMID 16925971. S2CID 44293613. {{cite journal}}: Cite uses deprecated parameter |authors= (help)
  12. ^ "Cytological features of "non-invasive follicular thyroid neoplasm with papillary-like nuclear features" and their correlation with tumor histology". Hum Pathol. 54: 134–42. 13 April 2016. doi:10.1016/j.humpath.2016.03.014. hdl:2318/1568646. PMID 27085556. {{cite journal}}: Cite uses deprecated parameter |authors= (help)
  13. ^ "The Bethesda System For Reporting Thyroid Cytopathology". Am J Clin Pathol. 132 (5): 658–65. November 2009. doi:10.1309/AJCPPHLWMI3JV4LA. PMID 19846805. {{cite journal}}: Cite uses deprecated parameter |authors= (help)
  14. ^ أ ب "Unsettled Issues in Non-Invasive Encapsulated/Well-circumscribed Follicular Thyroid Neoplasm with Papillary-like Nuclear Features (NIFTP) and Precursor Thyroid Tumors". J Basic Clin Med. 6 (1). June 2017. {{cite journal}}: Cite uses deprecated parameter |authors= (help)
  15. ^ "Thyroid FNA cytology in Asian practice—Active surveillance for indeterminate thyroid nodules reduces overtreatment of thyroid carcinomas". Cytopathology. 28 (6): 455–466. 8 September 2017. doi:10.1111/cyt.12491. PMID 29094782. {{cite journal}}: Cite uses deprecated parameter |authors= (help)
  16. ^ أ ب ت ث "Ninety-four cases of encapsulated follicular variant of papillary thyroid carcinoma: A name change to Noninvasive Follicular Thyroid Neoplasm with Papillary-like Nuclear Features would help prevent overtreatment". Mod Pathol. 29 (7): 698–707: http://rdcu.be/u2SI. 22 April 2016. doi:10.1038/modpathol.2016.65. PMID 27102347. {{cite journal}}: Cite uses deprecated parameter |authors= (help)
  17. ^ "An International Interobserver Variability Reporting of the Nuclear Scoring Criteria to Diagnose Noninvasive Follicular Thyroid Neoplasm with Papillary-Like Nuclear Features: a Validation Study". Endocr Pathol. 29 (3): 242–249. March 2018. doi:10.1007/s12022-018-9520-0. PMID 29508145. S2CID 3731502. {{cite journal}}: Cite uses deprecated parameter |authors= (help)
  18. ^ "2015 American Thyroid Association Management Guidelines for Adult Patients with Thyroid Nodules and Differentiated Thyroid Cancer: The American Thyroid Association Guidelines Task Force on Thyroid Nodules and Differentiated Thyroid Cancer". Thyroid. 26 (1): 1–133. January 2016. doi:10.1089/thy.2015.0020. PMC 4739132. PMID 26462967. {{cite journal}}: Cite uses deprecated parameter |authors= (help)
  19. ^ "Risk stratification of follicular variant of papillary thyroid carcinoma". Thyroid. 23 (3): 273–9. March 2013. doi:10.1089/thy.2012.0369. PMID 23025507. {{cite journal}}: Cite uses deprecated parameter |authors= (help)
  20. ^ "The increase in thyroid cancer incidence during the last four decades is accompanied by a high frequency of BRAF mutations and a sharp increase in RAS mutations". J Clin Endocrinol Metab. 99 (2): E276–85. February 2014. doi:10.1210/jc.2013-2503. PMC 3913801. PMID 24248188. {{cite journal}}: Cite uses deprecated parameter |authors= (help)
  21. ^ "Association of BRAF V600E mutation with poor clinicopathological outcomes in 500 consecutive cases of papillary thyroid carcinoma". J Clin Endocrinol Metab. 92 (11): 4085–90. November 2007. doi:10.1210/jc.2007-1179. PMID 17785355. {{cite journal}}: Cite uses deprecated parameter |authors= (help)

قراءات إضافية

  • Nikiforov YE, Biddinger PW, Thompson LDR (Editors). Diagnostic Pathology and Molecular Genetics of the Thyroid. 3rd Edition, Lippincott Williams & Wilkins, 2019. ISBN 978-1496396532
  • Thompson, Lester D.R. (2016), Diagnostic Pathology: Head and Neck, 2e, Elsevier, ISBN 978-0323392556 

وصلات خارجية

Classification
V · T · D
External resources