فرفرية هنوخ-شونلاين

فرفرية هنوخ-شونلاين
Henoch-Schönlein purpura
Henoch-schonlein-purpura.jpg
Typical purpura on lower legs and buttocks
التبويب والمصادر الخارجية
التخصصعلم المناعة
ICD-10D69.0
(ILDS D69.010)
ICD-9-CM287.0
DiseasesDB5705
MedlinePlus000425
eMedicinederm/177 emerg/767 emerg/845 ped/3020
Patient UK

فشل عرض الخاصية P1461: لم يتم العثور على الخاصية P1461.

فرفرية هنوخ-شونلاين
MeSHD011695

فرفرية هنوخ-شونلاينإنگليزية: Henoch–Schönlein purpura فرفرية تعنى طفح جلدى. وتسمى أيضا الفرفرية الناتجة عن الحساسية وهي نوع من أنواع التهابات الاوعية الدموية الصغيرة للجلد والمفاصل والأمعاء والكلية واكثر ما بصيب المرض الاطفال من عمر سنتين إلى 8 سنوات وبعض حالات هذا المرض تشفى بدون علاج سوى علاج الأعراض فقط ولكن قي 30% من الحالات تحدث لهم انتكاسة ويحدث ل 1% من الحالات قصور قي وظيفة الكلى.[1]

أسباب المرض

يحدث المرض نتيجة أسباب مناعية قد يكون العامل المحفز لها:-

  • عدوى بكتيرية أو فيروسية.
  • تناول طعام أو دواء للمريض حساسية منه.
  • لدغة حشرة.

الأعراض والعلامات

Typical purpura on lower leg
More severe case of HSP on child's foot, leg, and arm
طفح جلدى على أسفل الساق اليمنى لطفل.
  • طفح جلدى مميز يوجد غالباً على الطرف السفلى والمقعدة وعلى السطح الخلفى للطرف العلوى ويتميز بوجود حكة وتحدث قي كل الحالات أى قي 100% من الحالات المصابة.
  • ألام والتهابات قي المفاصل وتحدث قي حوالى 75% من الحالات.
  • ألم حاد جداً قي البطن مع إسهال ووجود دم قي البراز[2] وتحدث قي حوالى 50% من الحالات.

ويعتبر الطفح الجلدى وألام المفاصل وألام البطن ثلاثى تقليدى لحالة فرفرية هينوخ شونلاين.[3]

  • يصيب المرض الكلية قي 25% من الحالات ليسبب نزول البروتين أو كرات الدم الحمراء قي البول والتهاب كلوى أو التطور إلى متلازمة كلائية أو تطور المرض إلى فشل كلوى حاد وقي 1% من المرضى يصابوا بمرض كلوى مزمن.[1]

التشخيص

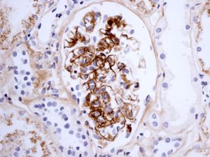
Immunostaining showing IgA in the glomerulus of a patient with Henoch-Schönlein nephritis.
  • يعتمد الشتخيص على مجموعة الأعراض والعلامات معاً لأن أمراض قليلة جداً ما تسبب هذه الأعراض والعلامات معاً.
  • أخذ عينة من الجلد وتحليلها هو التحليل المشخص لالتهابات الاوعية الدموية قي الجلد.
  • قد يرتفع مستوى الكرياتينين واليوريا قي الدم قي حالات إصابة الكلى.
  • قد يرتفع مستوى المضادات التي يفرزها الجهاز المناعى لجسم الإنسان قي الدم قي حوالى 50% من الحالات.[4]
  • ارتفاع معدلات سرعة الترسيب قي الدم ولكنها ليست مشخصة بالدرجة الأولى لفرفرية هينوخ شونلاين.
  • وجود كرات دم حمراء وبروتين قي البول قي حالات إصابة الكلى.

التاريخ

والمرض مسمى على اسم مكتشفه طبيب الأطفال الألماني إدوارد هاينريش هنوخ (1820-1910) وأستاذه يوهان لوكاس شونلاين (1793-1864) الذي وصف المرض في عقد 1860. وليام اوسلر كان أول من تعرف على آلية الحساسية التي يقوم عليها المرض.[5]

المراجع

  1. ^ أ ب Saulsbury FT (2001). "Henoch-Schönlein purpura". Curr Opin Rheumatol. 13 (1): 35–40. doi:10.1097/00002281-200101000-00006. PMID 11148713.
  2. ^ Fauci AS (1987). "269:The Vasculitis Syndromes". In Braunwald E, Isselbacher KJ, Petersdorf RG, Wilson JD, Martin JB, Fauci AS (ed.). Harrison's Book of Internal Medicine. Vol. 2 (11th ed.). McGraw Hill. p. 1441. ISBN 0-07-079454-5.{{cite book}}: CS1 maint: multiple names: editors list (link)
  3. ^ Kraft DM, Mckee D, Scott C (1998). "Henoch-Schönlein purpura: a review". Am Fam Physician. 58 (2): 405–8, 411. PMID 9713395.{{cite journal}}: CS1 maint: multiple names: authors list (link)
  4. ^ Rai A, Nast C, Adler S (1 December 1999). "Henoch-Schönlein purpura nephritis". J. Am. Soc. Nephrol. 10 (12): 2637–44. PMID 10589705.{{cite journal}}: CS1 maint: multiple names: authors list (link)
  5. ^ Schönlein-Henoch purpura at Who Named It?
Star of life.svg هذه بذرة مقالة عن العلوم الطبية تحتاج للنمو والتحسين، فساهم في إثرائها بالمشاركة في تحريرها.
الكلمات الدالة: