مرض الشريان التاجي
![]() ساهم بشكل رئيسي في تحرير هذا المقال
|
Coronary artery disease | |
---|---|
الأسماء الأخرى | Atherosclerotic heart disease,[1] atherosclerotic vascular disease,[2] coronary heart disease[3] |
![]() | |
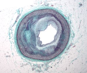
Illustration depicting atherosclerosis in a coronary artery | |
التخصص | طب القلب، جراحة القلب |
الأعراض | Chest pain, shortness of breath[4] |
المضاعفات | Heart failure, abnormal heart rhythms, myocardial infarction (heart attack), cardiogenic shock, cardiac arrest[5] |
المسببات | Atherosclerosis of the arteries of the heart[6] |
عوامل الخطر | High blood pressure, smoking, diabetes, lack of exercise, obesity, high blood cholesterol[6][7] |
الطريقة التشخيصية | Electrocardiogram, cardiac stress test, coronary computed tomographic angiography, coronary angiogram[8] |
الوقاية | Healthy diet, regular exercise, maintaining a healthy weight, not smoking[9] |
العلاج | Percutaneous coronary intervention (PCI), coronary artery bypass surgery (CABG)[10] |
الدواء | Aspirin, beta blockers, nitroglycerin, statins[10] |
التردد | 110 million (2015)[11] |
الوفيات | 8.9 million (2015)[12] |
الداء القلبي الإكليلي (التاجي) Coronary artery disease، ويشار له أيضا بداء الشريان التاجي, أو الداء القلبي الإقفاري، أو الداء القلبي التصلّبي اللويحي. وهو النتيجة النهائية لتراكم اللويحات العصيدية على الجدران الداخلية للشرايين التي تغذّي عضل القلب. ويعتبر السبب الرئيسي للموت في الولايات المتحدة الأمريكية والعالم الصناعي. وفي حين يمكن ملاحظة علامات وأعراض المرض في المراحل المتقدّمة منه، فإنّ معظم المرضى لا تظهر عليهم أي دلائل للمرض لعدّة عقود، حيث يتطوّر المرض خلالها قبل أن تظهرالأعراض للمرّة الأولى، وغالبا على شكل نوبة قلبية فجائيّة.
بمرور الزمن وبعد عقود من بداية تراكم اللويحات، قد يتمزق بعضها ويبدأ بتضييق المجرى المتاح للدم داخل الشريان المغذّي لعضلات القلب.يعدّ هذا المرض السبب الأكثر شيوعا للموت الفجائي، كما يعتبر مسؤولا عن أكبر نسبة من الوفيّات في الرجال والنساء الذين تتجاوز أعمارهم العشرين عاما. ومع تقدم درجة المرض يمكن أن يحصل أحيانا إغلاق شبه تام لتجويف الشريان التاجي (الإكليلي)، مما قد يحدّ وبشدة من تدفّق الدم المؤكسج ووصوله لعضل القلب. وعند وصول الانسداد لهذه الدرجة عادة ما يعاني المرضى من احتشاء عضل القلب، الأمر الذي قد يتكرر أكثر من مرة. كما تبدأ أعراض وعلامات إقفار (نقص التروية) الشرايين التاجية المزمن بالظهور، ومن ضمنها أعراض الذبحة الصدرية بوضع الراحة والوذمة الرئويّة الومضيّة (اللحظيّة).
من المهم أن يتمّ التمييز بين إقفار (نقص تروية) عضل القلب واحتشاء عضل القلب. الإقفار أو نقص التروية يعني أن كميّة الأوكسجين الواصل عبر الشرايين لتغذية النسيج غير كاف لتلبية احتياجات ذلك النسيج، لذا عندما يتأثر النسيج العضلي القلبي بالإقفار فإنّه يعجز عن أداء وظيفته بالطريقة الأمثل. وحين تصبح الأجزاء المتأثّرة بهذا الإقفار كبيرة, يظهر ضعف في قدرة عضل القلب على الانقباض والانبساط. وإذا ما تحسّن تدفّق الدم للنسيج، فإنّه يمكن أن يعكس إقفار العضل القلبي ويتمّ إزالة تأثيره السلبي، إي أن الإقفار هو عملية عكوسية (قابلة للعكس). أما الإحتشاء فيعني حدوث عملية نخر متعذّرة العكس في النسيج نتيجة نقص في كمية الدم المؤكسج الواصل لذلك النسيج. يمكن للشخص المريض أن يتعرّض لتمزّق في اللويحات العصيدية خلال أيّ مرحلة من مراحل المرض، والتمزّق الحاد في اللويحة ممكن أن يؤدّي لحدوث احتشاء عضل القلب الحادّ.
يعتبر المرض المسبب الأول للوفيات في الولايات المتحدة الأمريكية. يتم التنبه لأعراض وعلامات المرض في المراحل المتأخرة منه ومعظم الأفراد المصابين بمرض القلب التاجي لا تظهر لديهم أي أعراض لعقود بينما يستمر المرض في التطور خلال هذه المدة قبل ظهور أولى علاماته، غالبا في صورة ذبحة صدرية مفاجِئة.
بعد مضي عقود والمرض في تطور مستمر، قد تتمزق إحدى الصفائح الدهنية (بالإضافة إلى تنَشّط عناصر تخثر الدم) معيقة بذلك مرور الدم خلال الشريان التاجي وبالتالي إلى عضلة القلب. يعتبر المرض أكثر الأسباب شيوعا للموت المفاجئ.، بالإضافة إلى وفاة الأفراد من الجنسين فوق سن العشرين. تبعاً للاعتقاد السائد حالياً في الولايات المتحدة الأمريكية، فإن نصف الذكور الأصحاء فوق سن الأربعين سيصابون بمرض القلب التاجي، وواحدة من ثلاثة نساء فوق سن الأربعين ستصاب به مستقبلا. طبقاً لما ورد في موسوعة غينيس للأرقام القياسية، فإن شمال ايرلندا لديه أعلى معدل بالإصابة بمرض تصلب الشرايين التاجية، ومدينة مساري بأفريقيا لديها اقل معدل على مستوى العالم
نظرة عامة على المرض
يمكن اعتبار مرض تصلب شرايين القلب مجموعة من الأمراض التي تصيب القلب. واحدة من هذه صور هذا المرض هو شخص بلا أعراض وجدران شرايين قلبه التاجية مبطنة من الداخل بخطوط من الدهون atheromatous streaks. يمثل ظهور هذه الخطوط المرحلة الأولى من مرض القلب التاجي ولكنها لا تعيق تدفق الدم خلال الشريان. إذا تم عمل تصوير الشرايين التاجية Coronary Angiogram خلال هذه المرحلة من المرض فانه من المحتمل ألا يظهر أي دليل على وجود مرض تصلب الشرايين القلبية وذلك لان قطر تجويف الشريان لم يقل. خلال عدة سنوات، تزداد هذه الخطوط الدهنية سماكة، وازدياد سماكتها مبطِنة جدار الشريان يؤدي في النهاية إلى صغر تجويفه وبالتالي يعوق مسار الدم خلاله. اُعتقد في السابق أن عملية تكوّن الصفائح الدهنية عملية بطيئة وتدريجية، لكن ظهرت دلائل حديثة على أن التكون التدريجي لهذه الصفائح يُسرّعُه تمزقات صغيرة تحدث فيها مما يؤدي إلى ازدياد حجم الصفيحة الدهنية نتيجة تراكم المواد المتخثرة عليها. من النادر أن تسبب الصفائح الدهنية التي تسد أقل من 70 في المائة من تجويف الشريان أعراض مرض انسداد الشرايين التاجية. في حال ازدياد حجم الصفيحة مسببة انسداد الشريان بنسبة تزيد عن 70 في المائة، تظهر في الشخص في هذه المرحلة أعراض انسداد الشرايين التاجية. يمكن القول في هذه المرحلة من المرض أن الشخص لديه مرض نقص التروية القلبية ischemic heart disease. تُلاحظ أولى أعراض مرض نقص التروية القلبية خلال الأوقات التي يزيد فيها الضغط على عمل القلب. كمثال على ذلك، الم الذبحة الصدرية الجُهدية exertional angina أو تراجع قدرته على تحمل التمارين البدنية. قد يتطور المرض فيما بعد ليصل إلى الحد الذي يُسد فيه تجويف الوعاء الدموي بشكل شبه كامل، معيقاً وصول الدم حامل الأكسجين إلى عضلة القلب. المصابون بهذه الدرجة من مرض الشريان التاجي يكونون قد عانوا من جلطة قلبية (ذبحة صدرية) مرة أو اثنتان، وقد يكون لديهم أعراض أو علامات مرض الشريان التاجي المزمن، متضمنا الم الذبحة الصدرية بدون أي مجهود بدني angina at rest أو الاستسقاء الرئويflash pulmonary edema. يجب أن يتم التمييز بين كلٍ من مرض نقص التروية القلبية myocardial ischemia والجلطة القلبية (احتشاء عضلة القلب) myocardial infarction. نقص التروية معناه أن كمية الأكسجين التي تصل إلى عضلة القلب غير كافية لتلبية احتياجه. عندما تنقص تروية عضلة القلب فإنها لا تعمل بالشكل الأمثل، وإذا نقصت التروية لمساحة كبيرة من عضلة القلب فان ذلك قد يؤدي إلى عدم قدرة العضلة على الانقباض والانبساط. إذا تحسن تدفق الدم إلى العضلة فان نقص التروية يمكن عكسه. بينما الجلطة القلبية معناها أن نسيج العضلة قد مات ولا يمكن عكس ذلك لقلة تدفق الدم المشبع بالأكسجين إليها. قد يحدث للشخص تمزق للصفيحة الدهنية في أي مرحلة من مراحل المرض. التمزق المفاجئ للصفيحة قد يؤدي إلى جلطة قلبية مفاجِئة (ذبحة صدرية).
فسيولوجية المرض

إعاقة وصول الدم إلى القلب يسبب نقصا في تروية (موت الخلايا نتيجة نقص الأكسجين) الخلايا القلبية. عندما تموت الخلايا القلبية من نقص الأكسجين، تسمى هذه الحالة بالجلطة القلبية (تُعرف بالذبحة الصدرية). تؤدي الجلطة القلبية إلى تضرر عضلة القلب، موتها ولاحقا تكون ندبة في مكان الجلطة لا تستطيع الخلايا النمو فيها مجدداً. تحدث الجلطة القلبية غالباً نتيجة انسداد مفاجئ لشريان تاجي عند تمزق صفيحة عصيدية، والتي تسبب تنشيط جهاز التجلط الدموي، فينسد تجويف الشريان بالصفيحة الدهنية التي تفاعلت مع عناصر التجلط النشطة ليصل إلى مرحلة الانسداد الكامل المفاجئ. تمثل نسبة تضيق تجويف شريان القلب قبل الانسداد المفاجئ حوالي 20% من قطر التجويف، وذلك طبقا لدراسة إكلينيكية انتهت في أواخر التسعينات من القرن الماضي باستخدام جهاز الموجات فوق الصوتية لأوعية الدم Intravascular ultrasound خلال 6 أشهر قبل حدوث النوبة القلبية. وُجد أن انسداد تجويف الشريان بنسبة تزيد عن 75%، والتي تم رصدها باستخدام جهاز فحص الجهد القلبي Cardiac stress test، مسئول عن حالات النوبات القلبية بنسبة 14% فقط، بقية النسبة نتيجة تمزق الصفيحة الدهنية أو حدوث تقلص في الشريان في منطقة التصاق الصفيحة. الأسباب التي تؤدي إلى تمزق الصفيحة الدهنية تبقى غير مفهومة تماماً. أيضا يتسبب في حدوث الجلطة القلبية، ولكن بنسبة اقل، تقلص جدار الشريان، وهي حالة تصاحب الصفيحات الدهنية وأمراض الشرايين التاجية. يرتبط حدوث أمراض الشرايين التاجية مع التدخين، السمنة، ارتفاع ضغط الدم، والنقص المزمن في فيتامين سي. يعتبر وجود تاريخ عائلي بالإصابة بأمراض الشرايين التاجية مؤشر قوي لاحتمال الإصابة بالمرض. يتضمن المسح عن أمراض الشرايين التاجية معرفة مستوى الهيموسِستين homocysteine، مستوى البروتينات الدهنية عالية الكثافة HDL، مستوى البروتينات الدهنية منخفضة الكثافة LDL ومستوى الدهون الثلاثية Triglyceride.
التشخيص
For symptomatic people, stress echocardiography can be used to make a diagnosis for obstructive coronary artery disease.[13] The use of echocardiography, stress cardiac imaging, and/or advanced non-invasive imaging is not recommended on individuals who are exhibiting no symptoms and are otherwise at low risk for developing coronary disease.[13][14]
The diagnosis of "Cardiac Syndrome X" – the rare coronary artery disease that is more common in women, as mentioned, is a diagnosis of exclusion. Therefore, usually, the same tests are used as in any person with the suspected of having coronary artery disease:[15]
- Baseline electrocardiography (ECG)
- Exercise ECG – Stress test
- Exercise radioisotope test (nuclear stress test, myocardial scintigraphy)
- Echocardiography (including stress echocardiography)
- Coronary angiography
- Intravascular ultrasound
- Magnetic resonance imaging (MRI)
The diagnosis of coronary disease underlying particular symptoms depends largely on the nature of the symptoms. The first investigation is an electrocardiogram (ECG/EKG), both for "stable" angina and acute coronary syndrome. An X-ray of the chest and blood tests may be performed.[16]
الذبحة المستقرة
In "stable" angina, chest pain with typical features occurring at predictable levels of exertion, various forms of cardiac stress tests may be used to induce both symptoms and detect changes by way of electrocardiography (using an ECG), echocardiography (using ultrasound of the heart) or scintigraphy (using uptake of radionuclide by the heart muscle). If part of the heart seems to receive an insufficient blood supply, coronary angiography may be used to identify stenosis of the coronary arteries and suitability for angioplasty or bypass surgery.[17]
Stable coronary artery disease (SCAD) is also often called stable ischemic heart disease (SIHD).[18] A 2015 monograph explains that "Regardless of the nomenclature, stable angina is the chief manifestation of SIHD or SCAD."[18] There are U.S. and European clinical practice guidelines for SIHD/SCAD.[19][20]
المتلازمة التاجية الحادة
Diagnosis of acute coronary syndrome generally takes place in the emergency department, where ECGs may be performed sequentially to identify "evolving changes" (indicating ongoing damage to the heart muscle). Diagnosis is clear-cut if ECGs show elevation of the "ST segment", which in the context of severe typical chest pain is strongly indicative of an acute myocardial infarction (MI); this is termed a STEMI (ST-elevation MI) and is treated as an emergency with either urgent coronary angiography and percutaneous coronary intervention (angioplasty with or without stent insertion) or with thrombolysis ("clot buster" medication), whichever is available. In the absence of ST-segment elevation, heart damage is detected by cardiac markers (blood tests that identify heart muscle damage). If there is evidence of damage (infarction), the chest pain is attributed to a "non-ST elevation MI" (NSTEMI). If there is no evidence of damage, the term "unstable angina" is used. This process usually necessitates hospital admission and close observation on a coronary care unit for possible complications (such as cardiac arrhythmias – irregularities in the heart rate). Depending on the risk assessment, stress testing or angiography may be used to identify and treat coronary artery disease in patients who have had an NSTEMI or unstable angina.[بحاجة لمصدر]
تقدير المخاطرة
There are various risk assessment systems for determining the risk of coronary artery disease, with various emphasis on different variables above. A notable example is Framingham Score, used in the Framingham Heart Study. It is mainly based on age, gender, diabetes, total cholesterol, HDL cholesterol, tobacco smoking, and systolic blood pressure. When it comes to predicting risk in younger adults (18–39 years old), Framingham Risk Score remains below 10-12% for all deciles of baseline-predicted risk.[21]
Polygenic score is another way of risk assessment. In one study the relative risk of incident coronary events was 91% higher among participants at high genetic risk than among those at low genetic risk.[22]
الخناق
يسمى الخناق (وهو الألم الذي يشعر به المريض عندما يقل وصول الأكسجين إلى القلب، ألم ضاغط أو حاد يشعر به في منطقة الصدر وقد يمتد ليصل إلى الذراع الأيسر والفك) بخناق الصدر المستقر إذا حدث أثناء مزاولة النشاطات اليومية، أو عند الاستيقاظ أو عند أي وقت آخر يستطيع المريض التنبؤ به والذي يحدث مع حالات ضيق الشريان التاجي المتقدمة. يتم معالجة أعراض الخنّاق عن طريق إعطاء مستحضرات النترات مثل النتروجليسرين nitroglycerin والذي يوجد في صورتين قصير المفعول short-acting وطويل المفعول long-acting، ويمكن إعطاؤه تحت الجلد، تحت اللسان أو عن طريق الفم. تم تطوير العديد من العلاجات أكثر فعالية خصوصا لعلاج الصفيحات الدهنية التي تصاحب الألم. يسمى الخنّاق إذا تغيرت شدته، صفته أو عدد مرّات حدوثه بخناق الصدر غير المستقر. قد يسبق خناق الصدر غير المستقر حدوث الذبحة الصدرية ويحتاج عندها عناية طبية عاجلة. يتم علاجه في العادة بالمورفين morphine، الأكسجين، النتروجليسرين عن طريق الوريد والأسبرين aspirin. قد يتم اللجوء إلى عملية توسيع الشريان التاجي أو قسطرة القلب Angioplasty في بعض الأحيان.
الدرجة | التعريف |
---|---|
CCS 0 | لا توجد Angina pectoris، حتى مع أقوى ضغط جسماني |
CCS I | Angina pectoris nur bei sehr starker körperlicher Belastung |
CCS II | Angina pectoris bei mäßiger körperlicher Belastung, z. B. bei raschem Treppensteigen |
CCS III | Angina pectoris bei normalen täglichen Aktivitäten (z. B. bei längerem Gehen) |
CCS IV | Angina pectoris bei jeder körperlichen Belastung oder bereits in Ruhe |
أمراض القلب التاجية عند النساء
حقائق
بعض أمراض القلب وخاصة أمراض القلب التاجية عند النساء لا تظهر بذات الأعراض التي تظهر على الرجال؛ ولهذا فإن تشخيص هذه الأمراض عند النساء غالبا ما يفقد أو يتأخر. هذه بعض الحقائق:
أمراض القلب هي السبب الرئيسي لموت النساء الأمريكيات، بحيث تشكل 32% من إجمالي الوفيات في السنة. ما يقارب من 366,000 امرأة تموت في أمريكا سنويا نتيجة للأمراض القلبية. 8 ملايين امرأة أمريكية يعشن مصابات بأمراض قلبية، 6 ملايين منهن لهن تاريخ عائلي لأمراض القلب. أقل من نصف النساء فقط هن اللاتي تعرفن أن أمراض القلب هي القاتل الأول للنساء الأمريكيات، معظم النساء يعتقدن أن المسبب الرئيسي لوفاة النساء هو مرض السرطان. في الولايات المتحدة الأمريكية، يزيد عدد ما تحصده أمراض القلب الوعائية من حياة النساء كل سنة عما تحصده مسببات الوفاة الستة عشر التالية، ويبلغ تقريبا ضعف ما تحصده جميع أنواع السرطانات. واحدة من ثلاثة من النساء سيمتن من أمراض القلب الوعائية بينما ستموت من سرطان الثدي واحدة من بين خمس وعشرين سيدة. منذ عام 1984، أصبح عدد النساء اللاتي يمتن بسبب أمراض القلب والأوعية الدموية كل سنة يفوق عدد الرجال. لم توجد أي أدلة سابقة على الإصابة بأمراض القلب التاجية لدى 63 % من النساء اللاتي توفين بهذا المرض فجأة. التدخين هو عامل الإصابة الأهم والأكثر قابلية للمنع من عوامل الإصابة بأمراض القلب الوعائية لدى النساء الأصغر سنا من 45 سنة. 40 -50 % من النساء الأكبر سنا من 45 عاما يعانين من ارتفاع في ضغط الدم وارتفاع في المستوى الكلي للكولسترول في الدم، وكلا الأمرين مسجلان كعوامل إصابة بأمراض القلب الوعائية. إذا أخذنا بالاعتبار جميع الوفيات الناتجة عن أي من أمراض القلب الوعائية سنرى أن 461,000 امرأة تموت كل سنة في الولايات المتحدة مقابل 410,000 رجل. كما أن انتشار جميع أمراض القلب الوعائية في الولايات المتحدة أعلى بين النساء منه بين الرجال، ويزيد هذا الانتشار مع زيادة العمر.
فيسيولوجية مرضية خاصة
تحدث أمراض القلب التاجية عندما تصاب الطبقة العضلية المرنة في الشرايين التاجية _ الشرايين التي تغذي القلب _ بتصلب الشرايين. مع تصلب الشرايين تقسو بطانة الشرايين وتتيبس وتنتفخ بكل أنواع "الـترسبات"، شاملة ترسبات الكالسيوم، وتراكمات الدهون وخلايا التهابية غير سوية ليكونوا معًا صفيحة. هذه الصفائح تشبه بثرة كبيرة تبرز إلى قناة الشريان مسببة انسداد جزئي يعيق تدفق الدم. يختلف عدد هذه الصفائح عند المصابين بأمراض القلب التاجية فبعضهم يملك فقط صفيحة واحدة أو اثنتين والبعض الآخر قد يعاني من دزينة من الصفائح موزعة في الشرايين التاجية. متلازمة X القلبية مصطلح طبي يصف الانزعاج والخناق والألم الصدري لدى بعض الأشخاص بالرغم من أن رسم الأوعية التاجية لهم لا يظهر أي علامات لوجود أي انسداد في الشرايين التاجية الكبيرة. ما يزال مسبب متلازمة X القلبية الدقيق مجهولا لكن من المستبعد أن يكون وراءها سبب واحد فقط. اليوم، أصبحنا نعرف أن العامل الرئيسي المسبب للمتلازمة هو الاختلال الوظيفي في الأوعية الدموية بالغة الصغر والتي تعني هنا الشريينات والشعيرات الدموية المغذية للقلب.أظهرت الدراسات أيضا أن الإدراك الحسي للألم لدى المصابين بمتزامنة X القلبية _ وغالبا من النساء _ معزز، مما يعني أنهم يشعرون بآلام الصدر بشكل أكثر شدة وكثافة مما يشعر به غيرهم.
الأسبرين(Aspirin)
يمكن للأسبرين بجرعات أقل من 75–81 mg/d أن يقلل من حدوث الأمراض القلبية وأمراض الأوعية الدموية. حيث تُوصي اللجنة الأمريكية للخدمات الوقائية (U.S. Preventive Services Task Force) الأطباء بضرورة مناقشة استخدام الأسبرين كعلاج كيميائي وقائي للأشخاص البالغين الذي لديهم خطر الإصابة بمرض أوعية القلب التاجية (coronary heart disease). حيث حددت اللجنة الأفراد الذين لديهم ازدياد خطر الإصابة لأمراض القلب مع اعتبار الأسبرين كعلاج لهم كالتالي: الرجال فوق سن الأربعين-النساء في سن اليأس أو بعد انقطاع الدورة الشهرية (postmenopausal)-والأشخاص الأصغر سنا الذين يمتلكون عوامل خطر أخرى لمرض أوعية القلب التاجية مثل(ارتفاع ضغط الدم (hypertension)-مرض السكري(diabetes)-التدخين). وفي ما يتعلق بالنساء الذين يتمتعون بصحة جيدة، فإن أحدث دراسة لصحة المرأة وجدت أنه لاتوجد فائدة مهمّة ولها قيمة في استخدام الأسبرين لتخفيض الإصابة بحوادث القلب، ومع ذلك فإن للأسبرين فائدة مهمّة في تخفيض الإصابة بالسكتة (stroke).كما أظهرت دراسة تحليلية أخرى أن جميع الفوائد للأسبرين تُعزى للنساء فوق الخمسة والستين سنة. وبالرغم من عدم وجود فائدة قيّمة للأسبرين للنساء الأقل من 65 سنة ،فإن الجمعية الأمريكية للقلب (American Heart Association) تطالب الأخذ بعين الاعتبار الأسبرين للنساء ذو الصحة الجيدة اللاتي لم يتجاوز عمرهن الخمسة والستين سنة.وذلك بسبب الفائدة في استخدام الأسبرين في الوقاية من السكتة نتيجة فقر الدم الموضعي (ischemic stroke) ترجح على النتائج الضارة من استخدامه كعلاج.
الأحماض الدهنية-أوميجا3(Omega-3 fatty acids)
الاستفادة من زيت السمك على محل الخلاف بسبب نتائج كلا من الدراستين المتعارضين وهما: النتيجة السلبية في عدم الفائدة من زيت السمك والتي أجريت من قِبل تعاون كوكران العالمي (international Cochrane Collaboration). والنتيجة الأخرى الإيجابية لفائدة زيت السمك جزئيا والتي أُجريت من قِبل الوكالة لجودة وأبحاث العناية الصحيّة (Agency for Healthcare Research and Quality). توجد الأحماض الدهنية-أوميجا3 في بعض مصادر النباتات الذي تشمل زيت بذرة الكتان (flax seed oil) زيت بذرة القنب (hemp seed oil) والجوز (walnuts). وقد تكون مصادر النباتية أكثر أمانا؛ حيث أن منتجات السمك أظهرت احتوائها على المعادن الثقيلة وبعض الملوثات المذّوّبة بالدهن (fat soluble pollutants).
الوقاية الثانوية
هي الوقاية من مضاعفات أخرى لمرض موجود أصلا. وبالنسبة لأمراض القلب التاجيّة فإنها تعني التحكّم في عوامل الخطر أثناء إعادة التأهيل للقلب (cardiac rehabilitation)؛ حيث يتم البدء بأربعة مراحل في المستشفى بعد الإصابة بالجلطة القلبية(Myocardial infarction). كإجراء عملية جراحية للأوعية الدموية (angioplasty) أو القلب، كذلك فإن التمارين الرياضية مع الحمية الغذائية تعتبران العامل الأساسي في إعادة تأهيل القلب، وكذلك التوقف عن التدخين والتحكم في ضبط مستوى الكلسترول وضغط الدم.بالإضافة إلى استخدام محصرات بيتا Beta blockers.
العلاج باستخدام مضادات الصفائح الدموية(Anti-platelet therapy)
وجدت الدراسة التي أجريت بواسطة تعاون كوكران العالمي (international Cochrane Collaboration)أن هناك علاقة بين استخدام الكلوبيدوجريل (clopidogrel) مع الأسبرين مع انخفاض معدل خطر الإصابة بالإصابات القلبية الوعائية بالمقارنة مع المرضى الذين يستخدمون الأسبرين فقط.
العلاج-مبادئ العلاج
تستند الخيارات العلاجية للأمراض التاجية القلبية على ثلاثة مبادئ: 1-العلاج الطبي-الدواء (nitroglycerin، beta-blockers، calcium antagonists.)وغيرها. 2-التدخّل في الأوعية التاجية للقلب مثل: عملية جراحية للأوعية الدموية (angioplasty) وزراعة دعامة أو أنبوب داخل الأوعية الدموية بعملية التمييل (stent-implantation). 3-العملية الجراحية لزرع أوعية دموية أخرى من الجسم في الأوعية التاجية للقلب Coronary artery bypass grafting - coronary artery bypass surgery كما أن الأبحاث الجديدة تركّز على العلاج الناشئ من الأوعية الدموية أو ما يسمى بتكوّن الأوعية الدموية (angiogenesis) وكذلك العلاج بالخلايا الجذعية (stem cell)
الأبحاث الحديثة
حدد الباحثون بمتشفى كليفلند (Cleveland Clinic) في دراسة تمت سنة 2006،منطقة في كروموسوم 17 مختصة بالعائلات التي تصاب بعدة حالات من الجلطة القلبية(myocardial infarction). كما يوجد خلاف حول العلاقة بين الإصابة بمرض تصلب الأوعية الدموية (atherosclerosis) والعدوى بالبكتيريا Chlamydophila pneumoniae،بينما أُثبت وجود هذه البكتيريا الذي تعيش داخل الخلية في صفيحة الكولسترول لدى المرضى المصابين بتصلب الأوعية، فما زالت هذه البراهين غير حاسمة فيما إن كانت هذه البكتيريا بحد ذاتها عامل مسبب للمرض. لم يظهر العلاج بالمضادات الحيوية (antibiotics) لمرضى تصلب الأوعية الدموية أي تقليل لخطر الإصابة بالنوبة القلبية (heart attacks) أو أمراض الأوعية التاجية الأخرى. منذ سنة 1990 والبحث جاري نحو خيارات جديدة للعلاج لأمراض أوعية القلب التاجية تُركز على استخدام ما يسمى تكوّن الأوعية الدمويةangiogenesis والخلايا الجذعية stem cell. حيث أجريت الكثير من التجارب السريرية إما بتطبيق العلاج ببروتين عامل النمو لتكوّن الأوعية الدموية (angiogenic growth factor) مثل: FGF-1 أو VEGF ،أو العلاج بالخلايا باستخدام أنواع مختلفة من الخلايا الجذعية. وما زالت الأبحاث قائمة توعد بمستقبل مشرق للعلاج خصوصا فيما يتعلق ب FGF-1 والانتفاع الخلايا المُولدّة للخلايا المبطّنة للأوعية الدموية endothelial) progenitor cells).
الوبائيات

As of 2010, CAD was the leading cause of death globally resulting in over 7 million deaths.[25] This increased from 5.2 million deaths from CAD worldwide in 1990.[25] It may affect individuals at any age but becomes dramatically more common at progressively older ages, with approximately a tripling with each decade of life.[26] Males are affected more often than females.[26]
It is estimated that 60% of the world's cardiovascular disease burden will occur in the South Asian subcontinent despite only accounting for 20% of the world's population. This may be secondary to a combination of genetic predisposition and environmental factors. Organizations such as the Indian Heart Association are working with the World Heart Federation to raise awareness about this issue.[27]
Coronary artery disease is the leading cause of death for both men and women and accounts for approximately 600,000 deaths in the United States every year.[28] According to present trends in the United States, half of healthy 40-year-old men will develop CAD in the future, and one in three healthy 40-year-old women.[29] It is the most common reason for death of men and women over 20 years of age in the United States.[30]
مصادر ومراجع
study of the causes of "natural" sudden death Heart Association: Heart Disease and Stroke Statistics Heart Disease and Stroke Statistics-2007 Update: A Report From the American Heart Association Statistics Committee and Stroke Statistics Subcommittee - Rosamond et al. 115 (5): e69 - Circulation Shaw, L.J., Merz, C.N.B., Pepine, C.J., MD, Reis, S.E., Bittner, V., Kelsey, Olson, M., Johnson, D., Mankad, S., Sharaf, B.L., Rogers W.J., Wessel, T.R., Arant, C.B., Pohost, G.M., Lerman, A., Quyyumi, A.A., Sopko, G.: Insights From the NHLBI-Sponsored Women’s Ischemia Syndrome Evaluation (WISE) Study. Part I: Gender Differences in Traditional and Novel Risk Factors, Symptom Evaluation, and Gender-Optimized Diagnostic Strategies. J Am Coll Cardiol 47: 4S–20S, 2006 Merz, C.N.B., Shaw, L.J., Reis, S.E., Bittner, V., Kelsey, S.F., Olson, M., Johnson, D., Pepine, C.J., Mankad, S., Sharaf, B.L., Rogers, W.J., Pohost, G.M., Lerman, A., Quyyumi, A.A., Sopko, G.: Insights From the NHLBI-Sponsored Women’s Ischemia Syndrome Evaluation (WISE) Study. Part II: Gender Differences in Presentation, Diagnosis, and Outcome With Regard to Gender-Based Pathophysiology of Atherosclerosis and Macrovascular and Microvascular Coronary Disease. J Am Coll Cardiol 47: 21S–29S, 2006 Lanza, G.A.: Cardiac syndrome X: A critical overview and future perspectives. Heart 93:159-166, 2007 Kaski, J.C.: Pathophysiology and management of patients with chest pain and normal coronary arteriograms (cardiac syndrome X). Circulation 109: 568-572, 2004 Stegmann, T.J.: New Vessels for the Heart. Angiogenesis as New Treatment for Coronary Heart Disease: The Story of its Discovery and Development. Henderson, Nevada 89012, USA, 2004. ISBN 978-0-9765583-0-9 Stegmann, T.J.: Protein promise in heart disease. GCPj, March 2007, 21-24 Simon, Harvey B. (2002). The Harvard Medical School guide to men's health. New York: Free Press, 37-8.0-684-87181-5. "Women and heart disease - includes related information on heart attack, gender bias in research, and tests for coronary artery disease. 5. Population nutrient intake goals for preventing diet-related chronic diseases Geleijnse JM, Vermeer C, Grobbee DE, et al (2004). "Dietary intake of menaquinone is associated with a reduced risk of coronary heart disease: the Rotterdam Study". J. Nutr. 134 (11): 3100–5.15514282. Erkkilä AT, Booth SL (2008). "Vitamin K intake and atherosclerosis". Curr. Opin. Lipidol. 19 (1): 39–42. 18196985. Wallin R, Schurgers L, Wajih N (2008). "Effects of the blood coagulation vitamin K as an inhibitor of arterial calcification". Thromb. Res..18234293. Behavioral counseling in primary care to promote physical activity: recommendation and rationale" (2002). Ann. Intern. Med. 137 (3): 205-7. 12160370. Thompson PD, Buchner D, Pina IL, et al (2003). "Exercise and physical activity in the prevention and treatment of atherosclerotic cardiovascular disease: a statement from the Council on Clinical Cardiology (Subcommittee on Exercise, Rehabilitation, and Prevention) and the Council on Nutrition, Physical Activity, and Metabolism (Subcommittee on Physical Activity)". Circulation 107 (24): 3109-16.PMID 12821592 Ornish D, Brown SE, Scherwitz LW, Billings JH, Armstrong WT, Ports TA, McLanahan SM, Kirkeeide RL, Brand RJ, Gould KL. (1990). "Can lifestyle changes reverse coronary heart disease? The Lifestyle Heart Trial.". Lancet 336 (8708): 129-33.1973470 Key TJ, Fraser GE, Thorogood M, Appleby PN, Beral V, Reeves G, Burr ML, Chang-Claude J, Frentzel-Beyme R, Kuzma JW, Mann J, McPherson K (1998). "Mortality in vegetarians and non-vegetarians: a collaborative analysis of 8300 deaths among 76,000 men and women in five prospective studies.". Public Health Nutr 1 (1): 33-41.PMID 10555529 Willett WC, Sacks F, Trichopoulou A, Drescher G, Ferro-Luzzi A, Helsing E, Trichopoulos D. (1995). "Mediterranean diet pyramid: a cultural model for healthy eating.". Am J Clin Nutr 61 (6 Suppl): 1402S-1406S.7754995 Perez-Llamas, F., et.al., J Hum Nutr Diet, Dec 1996, 9:6:463-471 Alberti-Fidanza A, Paolacci CA, Chiuchiu MP, Coli R, Fruttini D, Verducci G, Fidanza F. (1994). "Dietary studies on two rural Italian population groups of the Seven Countries Study. 1. Food and nutrient intake at the thirty-first year follow-up in 1991.". Eur J Clin Nutr 48 (2): 85-91. [http://www.ncbi.nlm.nih.gov/pubmed/8194497 PMID 8194497 Lopez-Garcia E, Schulze MB, Meigs JB, Manson JE, Rifai N, Stampfer MJ, Willett WC, Hu FB. (2005). "Consumption of trans fatty acids is related to plasma biomarkers of inflammation and endothelial dysfunction.". J Nutr 135 (3): 562-6.15735094. Campbell CL, Smyth S, Montalescot G, Steinhubl SR (2007). "Aspirin dose for the prevention of cardiovascular disease: a systematic review". JAMA 297 (18): 2018-24.17488967. Berger J, Roncaglioni M, Avanzini F, Pangrazzi I, Tognoni G, Brown D (2006). "Aspirin for the primary prevention of cardiovascular events in women and men: a sex-specific meta-analysis of randomized controlled trials".JAMA 295 (3): 306-13. 16418466. "Aspirin for the primary prevention of cardiovascular events: recommendation and rationale". (2002). Ann Intern Med 136 (2): 157-60.PMID 11790071 to Med-decisions! Ridker P, Cook N, Lee I, Gordon D, Gaziano J, Manson J, Hennekens C, Buring J (2005). "A randomized trial of low-dose aspirin in the primary prevention of cardiovascular disease in women". N Engl J Med 352 (13): 1293-304.15753114. Guidelines for Cardiovascular Disease Prevention in Women: 2007 Update - Mosca et al., 10.1161/CIRCULATIONAHA.107.181546 - Circulation Hooper L, Thompson RL, Harrison RA, Summerbell CD, Ness AR, Moore HJ, Worthington HV, Durrington PN, Higgins JP, Capps NE, Riemersma RA, Ebrahim SB, Davey Smith G (2006). "Risks and benefits of omega 3 fats for mortality, cardiovascular disease, and cancer: systematic review". BMJ 332 (7544): 752-60.16565093 Wang C, Harris WS, Chung M, Lichtenstein AH, Balk EM, Kupelnick B, Jordan HS, Lau J (2006). "n-3 Fatty acids from fish or fish-oil supplements, but not alpha-linolenic acid, benefit cardiovascular disease outcomes in primary- and secondary-prevention studies: a systematic review". Am. J. Clin. Nutr. 84 (1): 5-17 PMID 16825676 Yokoyama M, Origasa H, Matsuzaki M, et al (2007). "Effects of eicosapentaenoic acid on major coronary events in hypercholesterolaemic patients (JELIS): a randomised open-label, blinded endpoint analysis". Lancet 369 (9567): 1090-8.17398308. Awtry, Eric H.; Joseph Loscalzo (2004). "Coronary Heart Disease", Cecil Essentials of Medicine, 6, Philadelphia, PA Saunders, 87-108.978-0-7216-0147-2. Keller T, Squizzato A, Middeldorp S (2007). "Clopidogrel plus aspirin versus aspirin alone for preventing cardiovascular disease". Cochrane database of systematic reviews (Online) (3): CD005158.17636787. Kasper, D.L., Braunwald, E., Fauci, A.S., Hauser, S.L., Longo, D.L., Jameson, J.L. (Eds.): Harrison's principles of internal medicine. 16th edition, McGraw-Hill, New York, 2005 Farrall M, Green FR, Peden JF, Olsson PG, Clarke R, Hellenius ML, Rust S, Lagercrantz J, Franzosi MG, Schulte H, Carey A, Olsson G, Assmann G, Tognoni G, Collins R, Hamsten A, Watkins H, on behalf of the PROCARDIS Consortium (2006). "Genome-Wide Mapping of Susceptibility to Coronary Artery Disease Identifies a Novel Replicated Locus on Chromosome 17".16710446. Saikku P, Leinonen M, Tenkanen L, Linnanmaki E, Ekman MR, Manninen V, Manttari M, Frick MH, Huttunen JK. (1992). "Chronic Chlamydia pneumoniae infection as a risk factor for coronary heart disease in the Helsinki Heart Study.". Ann Intern Med 116 (4): 273-8.PMID 1733381. Andraws R, Berger JS, Brown DL. (2005). "Effects of antibiotic therapy on outcomes of patients with coronary artery disease: a meta-analysis of randomized controlled trials.". JAMA 293 (21): 2641-7. 15928286. Simons, M., Bonow, R.O., Chronos, N.A., Cohen, D.J., Giordano, F.J., Hammond, H.K., Laham, R.J., Li, W., Pike, M., Sellke, F.W., Stegmann, T.J., Udelson, J.E., Rosengart, T.K.: Clinical trials in coronary angiogenesis: issues, problems, consensus: an expert panel summary. Circulation. 2000; 102: E73-E86 Stegmann, T.J.: A human growth factor in the induction of neoangiogenesis. Exp.Opin.Invest.Drugs 7: 2011-2015, 1998 Wagoner, L.E., Merrill, W., Jacobs, J., Conway, G., Boehmer, J., Thomas, K., Stegmann, T.J.: Angiogenesis Protein Therapy With Human Fibroblast Growth Factor (FGF-1): Results Of A Phase I Open Label, Dose Escalation Study In Subjects With CAD Not Eligible For PCI Or CABG. Circulation 116: 443, 2007
انظر أيضاً
وصلات خارجية
- Risk Assessment of having a heart attack or dying of coronary artery disease, from the American Heart Association.
- Risk Assessment Tool for Estimating 10-year Risk of Developing Hard CHD using Framingham score
- The InVision Guide to a Healthy Heart An interactive website on the development and function of the cardiovascular system and cardiovascular diseases and consequences. The website also features treatment options and preventative measures for maintaining a healthy heart.
- A Mechanism of a Metabolic Induction of Coronary Artery Disease in Chronic Kidney Disease, Rainer K. Liedtke, MD
- ^ "Coronary heart disease – causes, symptoms, prevention". Southern Cross Healthcare Group. Archived from the original on 3 March 2014. Retrieved 15 September 2013.
- ^ Faxon DP, Creager MA, Smith SC, Pasternak RC, Olin JW, Bettmann MA, et al. (June 2004). "Atherosclerotic Vascular Disease Conference: Executive summary: Atherosclerotic Vascular Disease Conference proceeding for healthcare professionals from a special writing group of the American Heart Association". Circulation. 109 (21): 2595–604. doi:10.1161/01.CIR.0000128517.52533.DB. PMID 15173041.
- ^ MedlinePlus Encyclopedia: Coronary heart disease
- ^ خطأ استشهاد: وسم
<ref>
غير صحيح؛ لا نص تم توفيره للمراجع المسماةHLB2014
- ^ خطأ استشهاد: وسم
<ref>
غير صحيح؛ لا نص تم توفيره للمراجع المسماةCDC2013
- ^ أ ب خطأ استشهاد: وسم
<ref>
غير صحيح؛ لا نص تم توفيره للمراجع المسماةWHO2011
- ^ خطأ استشهاد: وسم
<ref>
غير صحيح؛ لا نص تم توفيره للمراجع المسماةMeh2014
- ^ خطأ استشهاد: وسم
<ref>
غير صحيح؛ لا نص تم توفيره للمراجع المسماةNIH2014Diag
- ^ خطأ استشهاد: وسم
<ref>
غير صحيح؛ لا نص تم توفيره للمراجع المسماةHLB2013P
- ^ أ ب خطأ استشهاد: وسم
<ref>
غير صحيح؛ لا نص تم توفيره للمراجع المسماةHLB2013Tr
- ^ خطأ استشهاد: وسم
<ref>
غير صحيح؛ لا نص تم توفيره للمراجع المسماةGBD2015Pre
- ^ خطأ استشهاد: وسم
<ref>
غير صحيح؛ لا نص تم توفيره للمراجع المسماةGBD2015De
- ^ أ ب American Society of Echocardiography (20 December 2012). "Five Things Physicians and Patients Should Question". Choosing Wisely: An Initiative of the ABIM Foundation. Archived from the original on 26 February 2013. Retrieved 27 February 2013., citing
- Douglas PS, Garcia MJ, Haines DE, Lai WW, Manning WJ, Patel AR, et al. (March 2011). "ACCF/ASE/AHA/ASNC/HFSA/HRS/SCAI/SCCM/SCCT/SCMR 2011 Appropriate Use Criteria for Echocardiography. A Report of the American College of Cardiology Foundation Appropriate Use Criteria Task Force, American Society of Echocardiography, American Heart Association, American Society of Nuclear Cardiology, Heart Failure Society of America, Heart Rhythm Society, Society for Cardiovascular Angiography and Interventions, Society of Critical Care Medicine, Society of Cardiovascular Computed Tomography, and Society for Cardiovascular Magnetic Resonance Endorsed by the American College of Chest Physicians". Journal of the American College of Cardiology. 57 (9): 1126–66. doi:10.1016/j.jacc.2010.11.002. PMID 21349406.
- Gibbons RJ, Abrams J, Chatterjee K, Daley J, Deedwania PC, Douglas JS, et al. (January 2003). "ACC/AHA 2002 guideline update for the management of patients with chronic stable angina--summary article: a report of the American College of Cardiology/American Heart Association Task Force on practice guidelines (Committee on the Management of Patients With Chronic Stable Angina)". Journal of the American College of Cardiology. 41 (1): 159–68. doi:10.1016/S0735-1097(02)02848-6. PMID 12570960.
- Greenland P, Alpert JS, Beller GA, Benjamin EJ, Budoff MJ, Fayad ZA, et al. (December 2010). "2010 ACCF/AHA guideline for assessment of cardiovascular risk in asymptomatic adults: a report of the American College of Cardiology Foundation/American Heart Association Task Force on Practice Guidelines". Journal of the American College of Cardiology. 56 (25): e50-103. doi:10.1016/j.jacc.2010.09.001. PMID 21144964.
- ^ American College of Cardiology (September 2013), Five Things Physicians and Patients Should Question, American College of Cardiology, http://www.choosingwisely.org/doctor-patient-lists/american-college-of-cardiology, retrieved on 10 February 2014
- ^ Agrawal S, Mehta PK, Bairey Merz CN (August 2014). "Cardiac Syndrome X: update 2014". Cardiology Clinics. 32 (3): 463–78. doi:10.1016/j.ccl.2014.04.006. PMC 4122947. PMID 25091971.
- ^ "Coronary Artery Disease Diagnosis and Treatment". Mayo Clinic.
- ^ "Coronary Angiography". National Heart, Blood, and Lung Institute. Retrieved 10 December 2017.
- ^ أ ب Li YR (2015). "Overview of ischemic heart disease, stable angina, and drug therapy". Cardiovascular Diseases: From Molecular Pharmacology to Evidence-Based Therapeutics. John Wiley & Sons. pp. 245–253. ISBN 978-0-470-91537-0.
- ^ Fihn SD, Blankenship JC, Alexander KP, Bittl JA, Byrne JG, Fletcher BJ, et al. (November 2014). "2014 ACC/AHA/AATS/PCNA/SCAI/STS focused update of the guideline for the diagnosis and management of patients with stable ischemic heart disease: a report of the American College of Cardiology/American Heart Association Task Force on Practice Guidelines, and the American Association for Thoracic Surgery, Preventive Cardiovascular Nurses Association, Society for Cardiovascular Angiography and Interventions, and Society of Thoracic Surgeons". Circulation. 130 (19): 1749–67. doi:10.1161/CIR.0000000000000095. PMID 25070666.
- ^ "ESC Guidelines on Chronic Coronary Syndromes (Previously titled Stable Coronary Artery Disease)". European Society of Cardiology.
- ^ Berry JD, Lloyd-Jones DM, Garside DB, Greenland P (July 2007). "Framingham risk score and prediction of coronary heart disease death in young men". American Heart Journal. 154 (1): 80–6. doi:10.1016/j.ahj.2007.03.042. PMC 2279177. PMID 17584558.
- ^ Khera AV, Emdin CA, Drake I, Natarajan P, Bick AG, Cook NR, et al. (December 2016). "Genetic Risk, Adherence to a Healthy Lifestyle, and Coronary Disease". The New England Journal of Medicine. 375 (24): 2349–2358. doi:10.1056/NEJMoa1605086. PMC 5338864. PMID 27959714.
- ^ خطأ استشهاد: وسم
<ref>
غير صحيح؛ لا نص تم توفيره للمراجع المسماةBasislehrbuch
- ^ "WHO Disease and injury country estimates". World Health Organization. 2009. Archived from the original on 11 November 2009. Retrieved 11 November 2009.
- ^ أ ب Lozano R, Naghavi M, Foreman K, Lim S, Shibuya K, Aboyans V, et al. (December 2012). "Global and regional mortality from 235 causes of death for 20 age groups in 1990 and 2010: a systematic analysis for the Global Burden of Disease Study 2010". Lancet. 380 (9859): 2095–128. doi:10.1016/S0140-6736(12)61728-0. hdl:10536/DRO/DU:30050819. PMID 23245604. S2CID 1541253.
- ^ أ ب Finegold JA, Asaria P, Francis DP (September 2013). "Mortality from ischaemic heart disease by country, region, and age: statistics from World Health Organisation and United Nations". International Journal of Cardiology. 168 (2): 934–45. doi:10.1016/j.ijcard.2012.10.046. PMC 3819990. PMID 23218570.
- ^ Indian Heart Association Why South Asians Facts Archived 18 مايو 2015 at the Wayback Machine, 29 April 2015; accessed 26 October 2015.
- ^ Kochanek KD, Xu J, Murphy SL, Miniño AM, Kung HC (December 2011). "Deaths: final data for 2009" (PDF). National Vital Statistics Reports. 60 (3): 1–116. PMID 24974587.
- ^ Rosamond W, Flegal K, Friday G, Furie K, Go A, Greenlund K, et al. (February 2007). "Heart disease and stroke statistics--2007 update: a report from the American Heart Association Statistics Committee and Stroke Statistics Subcommittee". Circulation. 115 (5): e69-171. doi:10.1161/CIRCULATIONAHA.106.179918. PMID 17194875.
- ^ American Heart Association:Heart Disease and Stroke Statistics-2007 Update. AHA, Dallas, Texas, 2007 Archived 1 يوليو 2007 at the Wayback Machine