ورم غدي

(تم التحويل من Adenoma)
الورم الغدي
Adenoma
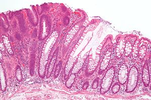
Tubular adenoma 2 intermed mag.jpg
صورة مجهرية لورم غدي أنبوبي (يسار الصورة)، أحد أنواع السلائل القولونية ونذير بسرطان القولون. الأغشية المخاطية القولونية تظهر على يمين الصورة.
التبويب والمصادر الخارجية
التخصصعلم الأورام
ICD-10D12., D35.0, D34., D35.2, and others
ICD-9-CM211.3, 211.5,223.0, 226, 227.0,
ICD-OM8140/0
Patient UK

فشل عرض الخاصية P1461: لم يتم العثور على الخاصية P1461.

ورم غدي
MeSHD000236

الورم الغدي أو الغدوم adenoma (من اليونانية القديمة αδένας، adeno-, "غدة" + -ώμα, -oma، "ورم") (/ˌæd[invalid input: 'ɨ']ˈnmə/; مفردهاadenomas أو adenomata /ˌæd[invalid input: 'ɨ']ˈnm[invalid input: 'ɨ']tə/)، هو ورم حميد في النسيج الطلائي ذو منشأ غدي، خصائص غدية، أو كلاهما. قد تنمو الأورام الغدية من الكثير من الأعضاء الغدية، وتشمل الغدد الكظرية، الغدة النخامية، الغدة الدرقية، الپروستاتا، وغيرها. تنمو بعض الأورام الغدية من النسيج الطلائي في المناطق الغير غدية التي تنتج هياكل نسيجية غدية (يمكن أن تحدث في السلائل القولونية الغدية).

تظهر الأورام الغدي في مجرى الهضم على طول المعدة وصولاً إلى المستقيم (المستقيم هو الجزء الأخير من القولون)، ولكنها شائعة جداً في القولون لدى الرجال أو النساء، بشكل عام فيما بعد الأربعين. الورم الغدي لا يشكل خطراً على حياة المريض. يكون محدوداً بشكل جيد، غير متكرر بعد الاستئصال ولا يرسل نقيلات إلى أعضاء أخرى في الجسم.

تظهر الأورام الغدية في الأعضاء المختلفة في الجسم، مثل الثدي، الكظريات، المرارة، الكبد، الغدد الدريقية، الغدد النخامية، الكلية، غدد اللعاب، الغدة الدرقية، جهاز الهضم، المعدة، الأمعاء الدقيقة والقولون.

تظهر الأورام الغدية على طول القولون. من الممكن أن تكون وحيدة، قليلة، كثيرة أو كثيرة جداً، خصوصاً في داء السلائل العائلي، ومن الممكن أن تكون الأورام الغدية صغيرة جداً، دقيقة (ملم أو اثنين)، ولكن قد يصل حجمها لـ 5-6 سم أو أكثر. من الممكن أن تكون الأورام الغدية بجذع أو بدون جذع.

بكل خلية ورم غدي يوجد (خلل تنسج - Dysplasia) تغيير بمبنى الخلايا والذي قد يكون سهلاً، متوسطاً أو صعباً. لكل ورم غدي في جهاز الهضم امكانية التحول لورم سرطاني (Carcinoma – ورم خبيث بالظهارة). يتعلق احتمال التحول لورم خبيث بعدة عوامل: حجم الورم الغدي، نوعه المجهري ودرجة الخلل التنسجي للخلايا. المدة المطلوبة لتطور الورم السرطاني في الورم الغدي هي 10 سنوات، لذلك من المهم استئصال كل سليلة في القولون وفحصها بالمجهر. كما أنه، يجب مراقبة ورصد حالة المرضى الذين يعانون من الأورام الغدية أو الذي سبق اصابة أفراد من عائلتهم بالورم الغدي. لدى المرضى الذين يعانون من داء السلائل العائلي، تظهر الأورام الغدية في جيل مبكر جداً، بأعداد كبيرة جداً، واحتمال التحول لورم سرطاني عال جداً.[1]

الهيستوپاثولوجيا

الورم الغدي هو ورم حميد في النسيج الغدي، مثل الغشاء المخاطي للمعدة، الأمعاء الدقيقة، القولون، والذي تكون فيه خلايا الورم ذات منشأ غدي أو بنى شبه غدية. قد تكون ذات هيكل أنبوبي، زغبي، أو أنبوبي-زغبي. الغشاء القاعدي و الصفيحة العضلية المخاطية تكون سليمة.

الأماكن

القولون

الأورام الغدية في القولون، تسمى أيضاً بالسلائل القولونية، وهي شائعة جداً. يتم التعرف عليها أثناء تنظير القولون. يتم إزالتها بسبب ميلها للتحول إلى أورام خبيثة وتسببها في الإصابة بسرطان القولون.

الكلى

تكون في الغالب أورام صغيرة وعرضية، وتخرج من الأنابيب الكلوية. قد تكون نذير بسرطان الكلى.

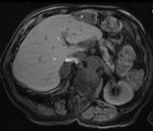
الكظرية

MRI scan T1 with fat saturation - adrenal adenoma

أورام الغدة الكظرية، وغالباً ما تنتشر في البطن، وفي العادة لا يتم التركيز على فحصها؛ وفي معظم الأحيان يتم اكتشافها بطريقة عرضية. واحدة من 10.000 منها خبيثة. وبالتالي، نادراً ما تستلزم أخذ عينة من الورم، خاصة لو كانت الآفة متجانسة وأصغر من 3 سنتيمتر. صور المتابعة لمدة تتراوح من ثلاثة إلى ستة أشهر يمكن أن تؤكد استقرار النمو.

بينما لا تفرز فيه أورام الغدد الكظرية أية هرمونات على الإطلاق، يفرز بعضها الكولسترول، مسبباً متلازمة كوشينگ، الألدوستيرون مسبباً متلازمة كون، أو الأندروجين مسبباً فرط الأندروجينية.

الدرقية

حوالي شخص من بين 10 أشخاص لديهم عقيدات درقية مفردة. الفحص مطلوب حيث هناك نسبة ضئيلة منها مسرطنة. عادة ما يؤكد إجراء جمع العينات ما إذا كان النمو ورماً غدياً، لكن، في بعض الأحياء، يكون الاستصال مطلوباً، خاصة عندما يكتشف من خلال العينات أنها من النوع الجريبي.

النخامية

تنتشر الأورام النخامية بين 10% من مرضى الأعصاب. وهناك الكثير منها لم يشخص بعد. عادة ما يكون العلاج جراحياً، والذي يظهر نتائج جيدة عند معظم المرضى. أكثر أنواع الأورام النخامية شيوعاً، الپرولاكتينوما، وينتشر بصفة خاصة بين النساء، وكثيراً ما يشخص أثناء الحمل حيث يعمل هرمون الپروجسترون على زيادة حجمه. العلاج الطبي بالكابرگولين أو البروموكريپتين يكون نجاحاً في القضاء على الپرولاكتينومات؛ ليس هناك ما يؤكد نجاح العلاج بمضادات الپروجسترون.

الجار درقية

أورام الغدة الجار درقية قد تفرز كميات كبيرة من هرمون الدريقات ومن ثم يتسبب في الإصابة بفرط الدرقية الأولي.

الكبد

انظر الأورام الغدية الكبدية. الأورام الكبدية هي أورام حميدة نادرة في الكبد، ويسبب في تضخم الكبد وأعراض أخرى.

الثدي

الأورام الغدية الثديية تسمى بالأورام الغدية الليفية. وعادة ما تكون صغيرة للغاية ومن الصعب اكتشافها. لا يوجد لها أي أعراض. يتضمن العلاج أخذ العينات بالإبرة و/أو إزالتها.

الزائدة الدودية

تظهر الأورام الغدية أيضاً في الزائدة الدودية. وتعتبر من الحالات النادرة. أكثرها شيوعاً هي الأورام الغدية الكيسية. تكتشف عادة أثناء فحص الأنسجة في أعقاب إزالة الزائدة الدودية. إذا تم إزالة الزائدة الدودية ولا يزال الورم موجوداً، يؤدي هذا إلى تغيرات، خاصة لو كانت الخلايا السرطانية قد تشكلت وبالتالي يمكن أن تنتشر في البطن.

القصبة الهوائية

الأورام الشعبية هي أورام غدية في القصبة الهوائية. قد تسبب المتلازمة السرطاوية، نوع من متلازمة الأباعد الورمية.[2]

الزهمية

الورم الغدي الزهمي هو مرض جلدي يتميز بظهور ورم بطيء النمو، تبدو عادة على شكل حطاطة أو عقيدة قرمزية، أو بلون اللحم أو صفراء اللون.

الغدد اللعابية

الأورام الغدية اللعابية الصغيرة أو الكبيرة تعتبر أيضاً شائعة؛ أورام الغدة النكافية أكثر ميلاً للتحول إلى أورام سرطانية.

العلاج

تختلف استجاب الطبيب في فحص الورم الغدي عند المريض تبعاً لنوع ومكان الورم الغدي وعوامل أخرى.[citation needed] تنمو الأورام الغدية المختلفة بمعدلات مختلفة، لكن عادة يمكن للطبيب توقع معدل النمو لأن بعض الأنواع الأكثر شيوعاً تتقدم بطريقة متشابهة في معظم الحالات.[citation needed] الإستجابتان الشائعتان هما إزالة الورم الغدي جراحياً ثم مراقبة المريض وفقاً للمبادئ التوجهية المحددة.[citation needed]

أحد الأمثلة الشائعة للعلاج هي الإستجابة الموصى بها من قبل [[منظمات مهنية|المنظمات المهنية المتخصصة بإزالة سلائل الأورام الغدية من جسم المريض. في معظم حالات إزالة واحدة أو اثنتين من هذه السلائل من القولون والتي لا تشكل عوامل خطر محطط للسرطان، ويفضل بعد ذلك عمل تنظير قولوني بعد 5-10 سنوات rather than repeating it more frequently than the standard recommendation.[3][4][5]

انظر أيضاً

المصادر

  1. ^ اورام الغدة، طبيب دوت كوم
  2. ^ Table 6-5 in: Mitchell, Richard Sheppard; Kumar, Vinay; Abbas, Abul K.; Fausto, Nelson. Robbins Basic Pathology. Philadelphia: Saunders. ISBN 1-4160-2973-7.{{cite book}}: CS1 maint: multiple names: authors list (link) 8th edition.
  3. ^ American Gastroenterological Association, Five Things Physicians and Patients Should Question, American Gastroenterological Association, http://choosingwisely.org/wp-content/uploads/2012/04/5things_12_factsheet_AGA.pdf, retrieved on August 17, 2012 
  4. ^ قالب:Cite PMID
  5. ^ قالب:Cite PMID

وصلات خارجية