ورم أصم عصبي
| Neuroendocrine tumor | |
|---|---|
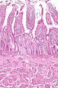
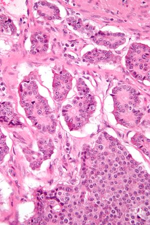
| Micrograph of a neuroendocrine tumor. H&E stain | |
| التخصص | أورام الغدد الصماء |
الأورام العصبية الصماوية ( NETs ) هي أورام تنشأ من خلايا الغدد الصماء ( الهرمونية ) والجهاز العصبي . تحدث بشكل شائع في الأمعاء ، حيث غالبا ما يطلق عليها السرطانية والأورام، ولكن توجد أيضا في البنكرياس والرئة وبقية الجسم.
على الرغم من وجود العديد من أنواع الشبكات ، إلا أنها تعامل كمجموعة من الأنسجة لأن خلايا هذه الأورام تشترك في سمات مشتركة ، مثل المظهر المتشابه ، وجود حبيبات إفرازية خاصة ، وغالبًا ما تنتج الأمينات الحيوية والهرمونات متعددة الببتيد.[1]
التصنيف
منظمة الصحة العالمية
يضع مخطط تصنيف منظمة الصحة العالمية (WHO) أورام الغدد الصماء العصبية في ثلاث فئات رئيسية ، والتي تظهر درجة الورم بدلاً من الأصل التشريحي::[2][3]
- أورام الغدد الصماء العصبية جيدة التمايز ، وتنقسم إلى أورام حميدة وأورام ذات سلوك غير مألوف
- سرطانات الغدد الصماء العصبية جيدة التمايز (الدرجة المنخفضة) مع سلوك خبيث منخفض الدرجة
- سرطانات الغدد الصم العصبية ضعيفة التمايز (الدرجة العالية) ، وهي سرطان الغدد الصماء العصبية ذو الخلايا الكبيرة وسرطان الخلايا الصغيرة.
بالإضافة إلى ذلك ، يتعرف مخطط منظمة الصحة العالمية على الأورام المختلطة مع كل من سرطانات الغدد الصم والظهارية ، مثل سرطان الخلايا الكأسية ، وهو ورم نادر في الجهاز الهضمي..[4]
يعتمد وضع ورم معين في إحدى هذه التصنيفات على السمات النسيجية المحددة جيدًا: الحجم ، والغزو اللمفاوي للأوعية الدموية ، والتعداد الانقسامي ، ومؤشر وضع العلامات Ki-67 ، وغزو الأعضاء المجاورة ، ووجود النقائل وما إذا كانت تنتج هرمونات.[2][3]
التوزيع التشريحي
تقليديا ، تم تصنيف الاورام العصبية الصماوية حسب موقعها التشريحي الأصلي. يمكن أن تظهر الاورام العصبية الصماوية في العديد من مناطق الجسم المختلفة ، وغالبًا ما توجد في الأمعاء أو البنكرياس أو الرئتين . توجد أنواع مختلفة من الخلايا التي يمكن أن تؤدي إلى ظهور اورام عصبية صماوية في الغدد الصماء وهي أيضًا منتشرة بشكل منتشر في جميع أنحاء الجسم ، وغالبًا ما تكون خلايا كولشيتسكي أو الخلايا المماثلة الشبيهة بالخلية المعوية أليفة الكروم ، والتي تكون أكثر شيوعًا نسبيًا في الجهاز الهضمي والرئوي.[5]
Nتتضمن الاورام العصبية الصماوية أورامًا معينة في الجهاز الهضمي وخلايا جزيرة البنكرياس,[1] وأورام معينة في الغدة الصعترية والرئة ، وسرطان النخاع في الخلايا المجاورة للجريب في الغدة الدرقية .[1] يتم أحيانًا تضمين الأورام ذات الخصائص الخلوية المماثلة في الغدة النخامية والغدة جارات الدرقية والغدد الكظرية[6] او استبعادها.[1]
يوجد ضمن الفئة الواسعة من أورام الغدد الصماوية العصبية أنواع مختلفة من الأورام:[7] تم تقديم هذا المخطط لتسهيل استرجاع المعلومات. أورام الغدد الصماوية العصبية غير شائعة في العديد من هذه المناطق ، وكثيرًا ما تمثل نسبة صغيرة جدًا من الأورام أو السرطانات في هذه المواقع.
- الغدة النخامية : ورم الغدد الصماء العصبية في الغدة النخامية الأمامية
- الغدة الدرقية : أورام الغدة الدرقية العصبية ، وخاصة سرطان النخاع
- أورام الغدة الجار درقية
- أورام الغدة الصعترية والسرطان المنصفية[8][9]
- أورام الغدد الصماوية العصبية الرئوية[10][11]
- القصبات الهوائية[9]
- الأورام السرطانية الرئوية: السرطانية النموذجية (TC ، درجة حرارة منخفضة) ؛ السرطاوي اللانمطي (AC ، الدرجة المتوسطة)
- سرطان الرئة صغير الخلايا (SCLC)
- سرطان الغدد الصماء العصبية ذو الخلايا الكبيرة في الرئة (LCNEC))[12]
- سرطانات الخلايا الصغيرة خارج الرئة (ESCC أو EPSCC)
- أورام الغدد الصماء المعدية المعوية والبنكرياس (GEP-NET))[13][14]
- المعى الأمامي GEP-NET (يمكن أن تشمل أورام المعى الأمامي من الناحية النظرية ليس فقط اورام صماوية عصبية من المعدة والاثني عشر القريب ، ولكن أيضًا البنكرياس ، وحتى الغدة الصعترية والرئة والشعب الهوائية))[citation needed]
- أورام الغدد الصماء في البنكرياس (إذا تم اعتبارها منفصلة عن المعى الأمامي (GEP-NET)[15]
- المعي المتوسط GEP-NET (من النصف البعيد من الجزء الثاني من الاثني عشر إلى الثلثين القريبين من القولون المستعرض)
- الزائدة الدودية,[16] بما في ذلك الاورام الصماوية العصبية المتمايزة جيدًا (الحميدة) ؛ الاورام الصماوية العصبية متباينة جيدًا (إمكانات خبيثة غير مؤكدة) ؛ سرطان الاورام الصماوية العصبية المتمايز جيدًا (مع احتمال الإصابة بأورام خبيثة منخفضة) ؛ سرطان الغدد الصماء العصبي المختلط (سرطان الخلايا الكأسية ، ويسمى أيضًا سرطاوي غدي و السرطاوي الغدي المخاطي)
- المعي الخلفي GEP-NET[17][18]
- المعى الأمامي GEP-NET (يمكن أن تشمل أورام المعى الأمامي من الناحية النظرية ليس فقط اورام صماوية عصبية من المعدة والاثني عشر القريب ، ولكن أيضًا البنكرياس ، وحتى الغدة الصعترية والرئة والشعب الهوائية))[citation needed]
- الكبد[19][20] والمرارة[21]
- أورام الغدة الكظرية ، وخاصة أورام الغدة الكظرية
- ورم القواتم
- أورام الجهاز العصبي المحيطي مثل:
- الثدي[22]
- الجهاز البولي التناسلي
- سرطان خلايا ميركل الجلدي (سرطان التربيق))
- عدة شروط موروثة:[26]
- الورم الصماوي المتعدد من النوع 1 (MEN1)
- الورم الصماوي المتعدد النوع 2 (MEN2)
- مرض فون هيبل لينداو [26]
- الورم العصبي الليفي من النوع 1 [27][28]
- التصلب الحدبي[28][29]
- مجمع كارني[30][31]
التدريج
يتم تصنيف آفات الغدد الصم العصبية من الناحية النسيجية وفقًا لعلامات الانتشار الخلوي ، بدلاً من تعدد الأشكال الخلوي. يُوصى حاليًا بخطة الدرجات التالية لجميع أورام الغدد الصماوية العصبية المعدية المعوية والبنكرياس من قبل منظمة الصحة العالمية ::[32]
| G | عدد الانقسامات الفتيلية (لكل 10 HPF ) | Ki-67 مؤشر (%) |
|---|---|---|
| GX | لا يمكن تقييم الدرجة | |
| G1 | < 2 | < 3% |
| G2 | 2 to 20 | 3% - 20% |
| G3 | > 20 | > 20% |
إذا كان العد الانقسامي و Ki-67 متعارضين ، فسيتم استخدام الرقم الذي يعطي أعلى درجة.
تسمى أورام الغدد الصم العصبية G1 و G2 أورام الغدد الصماوية العصبية (NETs) - التي كانت تُعرف سابقًا باسم الأورام السرطانية. تسمى الأورام G3 بسرطاوي الغدد الصماوية العصبية (NECs).
لقد تم اقتراح أن يتم فصل فئة G3 الحالية إلى أورام متباينة بشكل جيد من الناحية النسيجية وغير متمايزة بشكل سيئ لتعكس التشخيص بشكل أفضل.[33]
المراحل
لا يوجد حاليًا نظام موحد لجميع الأورام الصماوية العصبية . بشكل عام الآفات المتمايزة بشكل جيد لها نظام التدريج الخاص بها بناءً على الموقع التشريحي ، في حين يتم تنظيم الآفات المتمايزة بشكل سيئ والمختلطة على أنها سرطاوات في هذا الموقع. على سبيل المثال ، يتم تصنيف سرطانات المعدة والأورام الغدية الصماء المختلطة كسرطان أولي في المعدة.[34]
يكون تصنيف TNM لأورام الغدد الصماء العصبية من الدرجة الأولى والثانية على النحو التالي:
| الورم الرئيسي (T) | |
|---|---|
| فئة T | معايير الورم |
| TX | لا يمكن تقييم الورم الأولي |
| T0 | لا يوجد دليل على وجود ورم أولي |
| T1 | يغزو الصفيحة المخصوصة أو تحت المخاطية ، وأقل من أو يساوي 1 سم في الحجم |
| T2 | يغزو العضلية المخصوصة ، أو أكبر من 1 سم في الحجم |
| T3 | يغزو من خلال العضلية المخصوصة في الأنسجة تحت المشيماء دون اختراق المشيماء المغطاة |
| T4 | يغزو الصفاق الحشوي (المشيماء) أو الأعضاء الأخرى أو الهياكل المجاورة |
| العقدة الليمفاوية الإقليمية (N) | |
| فئة N | معايير N |
| NX | لا يمكن تقييم الغدد الليمفاوية الإقليمية |
| N0 | لا توجد نقائل في العقدة الليمفاوية الإقليمية |
| N1 | نقائل في العقدة الليمفاوية الإقليمية |
| نقيلة بعيدة (M) | |
| M فئة | M معايير |
| M0 | لا نقيلة بعيدة |
| M1 | نقيلة بعيدة |
| M1a | نقيلة تقتصر علي الكبد |
| M1b | نقيلة في موقع خارج الكبد على الأقل |
| M1c | كل من النقائل الكبدية وخارج الكبد |
| AJCC مجموعات مرحلة المآل | |
| مرحلة | معايير |
| I | T1, N0, M0 |
| II | T2 or T3, N0, M0 |
| III | Any T, N1, M0; T4, N0, M0 |
| IV | Any T, any N, M1 |
| الورم الأولي (T) | |
|---|---|
| فئة T | معايير الورم |
| TX | لا يمكن تقييم الورم الأولي |
| T1 | يغزو الغشاء المخاطي أو تحت المخاطية فقط ، وأقل من أو يساوي 1 سم في الحجم (أورام الاثني عشر)
محصور داخل مصرة لأودي ، وأقل من أو يساوي 1 سم في الحجم (أورام أمبولية) |
| T2 | يغزو المخصوصة العضلية ، أو يكون> 1 سم (الاثني عشر)
يغزو من خلال العضلة العاصرة تحت المخاطية الاثني عشرية أو البروبريا العضلية ، أو> 1 سم (أمبولي) |
| T3 | يغزو البنكرياس أو الأنسجة الدهنية حول البنكرياس |
| T4 | يغزو الصفاق الحشوي (المشيماء) أو الأعضاء الأخرى |
| العقدة الليمفاوية الإقليمية (N) | |
| فئة N | معايير N |
| NX | لا يمكن تقييم الغدد الليمفاوية الإقليمية |
| N0 | لا يوجد نقيلة في العقدة الليمفاوية الإقليمية |
| N1 | نقيلة في العقدة الليمفاوية الإقليمية |
| نقيلة بعيدة (M) | |
| Mفئة | M معايير |
| M0 | لا يوجد نقيلة بعيدة |
| M1 | نقيلة بعيدة |
| M1a | نقيلة تقتصر علي الكبد |
| M1b | نقيلة في موقع خارج الكبد على الأقل |
| M1c | كل من النقائل الكبدية وخارج الكبد |
| AJCC مجموعات مرحلة المآل | |
| مرحلة | معايير |
| I | T1, N0, M0 |
| II | T2 or T3, N0, M0 |
| III | T4, N0, M0; Any T, N1, M0 |
| IV | Any T, any N, M1 |
| الورم الأولي (T) | |
|---|---|
| T فئة | معايير الورم |
| TX | لا يمكن تقييم الورم الأولي |
| T0 | لا يوجد دليل على وجود ورم أولي |
| T1 | يغزو الصفيحة المخصوصة أو تحت المخاطية ، وأقل من أو يساوي 1 سم في الحجم |
| T2 | يغزو المخصوصة العضلية ، أو أكبر من 1 سم في الحجم |
| T3 | يغزو من خلال المخصوصة العضلية في الأنسجة تحت المصلية دون اختراق المصل المغطي |
| T4 | يغزو الصفاق الحشوي (المصلي) أو الأعضاء الأخرى أو الهياكل المجاورة |
| العقدة الليمفاوية الإقليمية (N) | |
| N فئة | N معايير |
| NX | لا يمكن تقييم الغدد الليمفاوية الإقليمية |
| N0 | لا توجد نقيلة في العقدة الليمفاوية الإقليمية |
| N1 | نقيلة في العقدة الليمفاوية الإقليمية أقل من 12 عقدة |
| N2 | الكتل المساريقية الكبيرة (> 2 سم) و / أو الرواسب العقدية الواسعة (12 أو أكثر) ، خاصة تلك التي تغلف الأوعية المساريقية العلوية |
| نقيلة بعيدة (M) | |
| M فئة | M معايير |
| M0 | لا نقيلة بعيدة |
| M1 | نقيلة بعيدة |
| M1a | نقيلة مقتصرة علي الكبد |
| M1b | نقيلة في موقع خارج الكبد على الأقل |
| M1c | كل من النقائل الكبدية وخارج الكبد |
| AJCC مجموعات مرحلة المآل | |
| المرحلة | معايير |
| I | T1, N0, M0 |
| II | T2 or T3, N0, M0 |
| III | Any T, N1 or N2, M0; T4, N0, M0; |
| IV | Any T, any N, M1 |
| الورم الأولي (T) | |
|---|---|
| T فئة | معايير الورم |
| TX | لا يمكن تقييم الورم الأولي |
| T0 | لا يوجد دليل على وجود ورم أولي |
| T1 | 2 سم أو أقل في البعد الأكبر |
| T2 | ورم أكثر من 2 سم ولكن أقل من أو يساوي 4 سم |
| T3 | ورم أكثر من 4 سم أو مع الغزو تحت المصل أو تورط الزائدة الدودية المتوسط |
| T4 | يخترق الغشاء البريتوني أو يغزو الأعضاء أو الهياكل الأخرى مباشرة (باستثناء التمديد الجداري المباشر لتحت المصلية المجاورة للأمعاء المجاورة) |
| العقدة الليمفاوية الإقليمية (N) | |
| N فئة | N معايير |
| NX | لا يمكن تقييم الغدد الليمفاوية الإقليمية |
| N0 | لا يوجد نقيلة في الغدد الليمفاوية الإقليمية |
| N1 | نقيلة في العقدة الليمفاوية الإقليمية |
| نقيلة بعيدة (M) | |
| M فئة | M معايير |
| M0 | لا نقيلة بعيدة |
| M1 | نقيلة بعيدة |
| M1a | نقيلة مقتصرة علي الكبد |
| M1b | نقيلة في موقع خارج الكبد على الأقل |
| M1c | كل من النقائل الكبدية وخارج الكبد |
| AJCC مجموعات مرحلة المآل | |
| المرحلة | المعايير |
| I | T1, N0, M0 |
| II | T2 or T3, N0, M0 |
| III | Any T, N1, M0; T4, N1, M0 |
| IV | Any T, any N, M1 |
| الورم الأولي (T) | |
|---|---|
| T فئة | معايير الورم |
| TX | لا يمكن تقييم الورم الأولي |
| T0 | لا يوجد دليل على وجود ورم أولي |
| T1 | يغزو الصفيحة المخصوصة أو تحت المخاطية ، وأقل من أو يساوي 2 سم |
| T1a | أقل من 1 سم في البعد الأكبر |
| T1b | 1-2 سم في البعد الأكبر |
| T2 | يغزو المخصوصة العضلية ، أو أكبر من 2 سم مع غزو الصفيحة المخصوصة أو تحت المخاطية |
| T3 | يغزو من خلال المخصوصة العضلية في الأنسجة تحت المصلية دون اختراق المصل المغطي |
| T4 | يغزو الصفاق الحشوي (المصلي) أو الأعضاء الأخرى أو الهياكل المجاورة |
| العقدة الليمفاوية الإقليمية (N) | |
| N فئة | N معايير |
| NX | لا يمكن تقييم الغدد الليمفاوية الإقليمية |
| N0 | لا توجد نقيلة في العقدة الليمفاوية الإقليمية |
| N1 | نقيلة في العقدة الليمفاوية الإقليمية |
| نقيلة بعيدة (M) | |
| M فئة | M معايير |
| M0 | لا نقيلة بعيدة |
| M1 | نقيلة بعيدة |
| M1a | نقيلة مقتصرة علي الكبد |
| M1b | نقيلة في موقع خارج الكبد على الأقل |
| M1c | كل من النقائل الكبدية وخارج الكبد |
| AJCC مجموعات مرحلة المآل | |
| المرحلة | معايير |
| I | T1, N0, M0 |
| IIA | T2, N0, M0 |
| IIB | T3, N0, M0 |
| IIIA | T4, N0, M0 |
| IIIB | Any T, N1, M0 |
| IV | Any T, any N, M1 |
| الورم الأولي (T) | |
|---|---|
| T فئة | معايير الورم |
| TX | لا يمكن تقييم الورم الأولي |
| T1 | يقتصر على البنكرياس ، أصغر من أو يساوي 2 سم في الحجم |
| T2 | يقتصر على البنكرياس ، 2-4 سم في الحجم |
| T3 | يقتصر على البنكرياس ،> 4 سم؛ أو غزو الاثني عشر أو القناة الصفراوية |
| T4 | غزو الأعضاء المجاورة أو جدار الأوعية الكبيرة |
| العقدة الليمفاوية الإقليمية (N) | |
| N فئة | Nمعايير |
| NX | لا يمكن تقييم الغدد الليمفاوية الإقليمية |
| N0 | لا تدخل العقدة الليمفاوية الإقليمية |
| N1 | لا تدخل العقدة الليمفاوية الإقليمية |
| نقيلة بعيدة (M) | |
| M فئة | M معايير |
| M0 | لا نقيلة بعيدة |
| M1 | نقيلة بعيدة |
| M1a | نقيلة مقتصرة علي الكبد |
| M1b | نقيلة في موقع خارج الكبد على الأقل |
| M1c | كل من النقائل الكبدية وخارج الكبد |
| AJCC مجموعات مرحلة المآل | |
| المرحلة | معايير |
| I | T1, N0, M0 |
| II | T2 or T3, N0, M0 |
| III | Any T, N1, M0; T4, N0, M0 |
| IV | Any T, any N, M1 |
العلامات والأعراض
الأورام الصماء العصبية المعدية المعوية (GEP-NET)
من الناحية المفاهيمية ، هناك نوعان رئيسيان من NET داخل فئة أورام الغدد الصماء العصبية المعدية المعوية (GEP-NET): تلك التي تنشأ من الجهاز الهضمي (GI) وتلك التي تنشأ من البنكرياس . في الاستخدام ، غالبًا ما يتم تطبيق مصطلح "السرطاوي" على كليهما ، على الرغم من أنه يتم تطبيقه في بعض الأحيان بشكل مقيد على أورام الغدد الصماء العصبية من أصل الجهاز الهضمي (كما هو موضح هنا) ، أو بدلاً من ذلك على تلك الأورام التي تفرز هرمونات وظيفية أو عديد ببتيدات مرتبطة بالأعراض السريرية ، كما تمت مناقشته. .[citation needed]
اورام سرطاوية
تؤثر السرطاوات بشكل شائع على الأمعاء الدقيقة، وخاصة المعي اللفائفي، وهي معظم الأورام الخبيثة شيوعا من الزائدة الدودية . العديد من السرطاوات بدون أعراض ولا يتم اكتشافها إلا بعد الجراحة لأسباب غير ذات صلة. هذه السرطاوات العرضية شائعة. وجدت إحدى الدراسات أن شخصًا واحدًا من كل عشرة يمتلكها.[41] العديد من الأورام لا تسبب أعراضًا حتى عندما تنتشر..[42] يمكن أن تنتج الأورام الأخرى ، حتى لو كانت صغيرة جدًا ، آثارًا ضائرة عن طريق إفراز الهرمونات.[43]
عشرة في المائة (10٪))[44] أو أقل من السرطاوي ، وخاصة بعض السرطاوات المعوي المتوسطة ، تفرز مستويات زائدة من مجموعة من الهرمونات ، وعلى الأخص السيروتونين (5-HT) أو المادة P ,[45]مسببة معقد من الأعراض تسمى المتلازمة السرطاوية ::
- احمرار
- اسهال
- ربو أو الصفير
- قصور القلب (CHF)
- التشنج في البطن
- وذمة محيطية
- خفقان القلب
يمكن أن تحدث أزمة سرطاوية مع احمرار عميق وتشنج قصبي وعدم انتظام دقات القلب وتقلب ضغط الدم على نطاق واسع وسريع[1] إذا تم إفراز كميات كبيرة من الهرمون بشكل حاد,[45] والتي تحدث أحيانًا بسبب عوامل مثل النظام الغذائي,[45] الكحول,[45] الجراحة[1][45] العلاج الكيميائي,[45] العلاج بالانصمام أو الاستئصال بالترددات الراديوية.[1]
يتسبب التعرض المزمن لمستويات عالية من السروتونين في زيادة سماكة صمامات القلب ، وخاصة الصمام ثلاثي الشرفات والصمامات الرئوية ، ويمكن أن يؤدي على مدى فترة طويلة إلى قصور القلب الاحتقاني.[45] ومع ذلك ، نادرًا ما تكون هناك حاجة إلى استبدال الصمام..[46] ومع ذلك ، نادرًا ما تكون هناك حاجة إلى استبدال الصمام. [47] يمكن أن يؤدي التدفق المفرط للسروتونين إلى استنفاد التربتوفان مما يؤدي إلى نقص النياسين ، وبالتالي الپلاگرا,[1] المرتبط بالتهاب الجلد والخرف والإسهال. يمكن إفراز العديد من الهرمونات الأخرى عن طريق بعض هذه الأورام ، وأكثرها شيوعًا هرمون النمو الذي يمكن أن يسبب ضخامة الاطراف، أو الكورتيزول ، والذي يمكن أن يسبب متلازمة كوشينگ.[citation needed]
في بعض الأحيان ، يكون النزف أو آثار كتلة الورم هي الأعراض الحالية. يمكن أن يحدث انسداد في الأمعاء ، أحيانًا بسبب التأثيرات الليفية لمنتجات الاورام الصماوية العصبية الإفرازية [43]مع تفاعل التربط في موقع الورم ، أو المساريق.
الأورام الصماء العصبية الپنكرياسية
غالبًا ما يشار إلى أورام الغدد الصماء العصبية البنكرياسية (PanNETs) باسم "أورام الخلايا الجزيرية"",[48][49] أو "أورام الغدد الصماء البنكرياسية"[2]
تتماشى فئة أورام الغدد الصماء العصبية البنكرياسية مع المبادئ التوجيهية الحالية لمنظمة الصحة العالمية . من الناحية التاريخية ، تمت الإشارة إلى أورام الغدد الصماء العصبية البنكرياسية أيضًا بمصطلحات متنوعة ، ولا يزال يطلق عليها غالبًا "أورام الخلايا الجزيرية" أو "أورام الغدد الصماء البنكرياسية"..[50] تنشأ داخل البنكرياس. تختلف أورام الغدد الصماء العصبية البنكرياسية تمامًا عن الشكل المعتاد لسرطان البنكرياس ، وهو السرطان الغدي ، الذي ينشأ في البنكرياس الخارجي. حوالي 95 في المئة من أورام البنكرياس هي سرطان غدي. فقط 1 أو 2 ٪ من أورام البنكرياس المهمة سريريًا هي GEP-NETs.[citation needed]
تسمى أحيانًا أورام الغدد الصماء العصبية البنكرياسية المتمايزة بشكل جيد أو متوسط أورام الخلايا الجزيرية ؛ سرطان الغدد الصم العصبية (NEC) (مرادف لسرطان الخلايا الجزيرية) هو أكثر عدوانية. ما يصل إلى 60 ٪ من أورام الغدد الصماء العصبية البنكرياسية غير إفرازية أو غير وظيفية ، والتي إما لا تفرز ، أو كمية أو نوع المنتجات مثل عديد ببتيد البنكرياس (PPoma) وكروموجرانين A والنوروتنسين لا تسبب متلازمة سريرية ، على الرغم من أن مستويات الدم قد تكون كذلك مرتفع.[26] غالبًا ما يتم تصنيف الأورام الوظيفية حسب الهرمون الذي يفرزه ورم الغدد الصماء العصبية في البنكرياس ، كما نوقش في هذا المقال الرئيسي.
غيرهم
بالإضافة إلى الفئتين الرئيسيتين من الأورام الصماء العصبية المعدية المعوية ، هناك أشكال نادرة من أورام الغدد الصم العصبية التي تظهر في أي مكان في الجسم ، بما في ذلك داخل الرئة والغدة الصعترية والغدة الدرقية. يمكن أن يتسبب سرطان القصبات الهوائية في انسداد مجرى الهواء والالتهاب الرئوي والتهاب الجنبة وصعوبة التنفس والسعال ونفث الدم ، أو قد يترافق مع الضعف والغثيان وفقدان الوزن والتعرق الليلي والألم العصبي ومتلازمة كوشينغ. بعضها بدون أعراض.[citation needed]
تشمل أورام الغدد الصم العصبية الحيوانية سرطان الغدد الصم العصبية للكبد في الكلاب ، ومرض ورم الوجه الشيطاني في شياطين تسمانيا ..[51][52][53]
المتلازمات العائلية
معظم أورام الغدد الصماء العصبية البنكرياس فرادي.[48] ومع ذلك ، يمكن رؤية أورام الغدد الصم العصبية في العديد من المتلازمات العائلية الموروثة ، بما في ذلك::[26]
- تكون الورم الصماوي المتعدد النوع 1 (MEN1)
- تكون الورم الصماوي المتعدد النوع 2 (MEN2)
- مرض فون هيبل لينداو [26]
- الورم العصبي الليفي من النوع [27]
- التصلب الحدبي[28][29]
- معقد كارني [30][31]
بالنظر إلى هذه الارتباطات ، تتضمن التوصيات الواردة في أورام الغدد الصماء العصبية تقييم تاريخ العائلة ، وتقييم الأورام الثانية ، وفي ظروف محددة اختبار طفرات السلالة الجرثومية مثل MEN1..[1]
الفيزيولوجيا المرضية
يُعتقد أن أورام الغدد الصماء العصبية تنشأ من العديد من خلايا الغدد الصم العصبية التي تتمثل وظيفتها الطبيعية في الخدمة في واجهة الغدد الصم العصبية . لا توجد خلايا الغدد الصماء العصبية فقط في الغدد الصماء في جميع أنحاء الجسم التي تنتج الهرمونات ، ولكنها توجد في جميع أنسجة الجسم..[54]
التشخيص
هذا section يحتاج المزيد من الأسانيد للتحقق. (November 2015) (Learn how and when to remove this template message) |
العلامات
قد تؤدي الأعراض الناتجة عن إفراز الهرمونات إلى قياس الهرمونات المقابلة في الدم أو المنتجات البولية المرتبطة بها ، للتشخيص الأولي أو لتقييم التغيير الفاصل في الورم. يختلف نشاط إفراز الخلايا السرطانية أحيانًا عن نشاط مناعة الأنسجة لهرمونات معينة.[55]
بالنظر إلى النشاط الإفرازي المتنوع لأورام الغدد الصماء العصبية ، هناك العديد من العلامات المحتملة الأخرى ، ولكن عادةً ما تكون اللوحة المحدودة كافية للأغراض السريرية.[1] بصرف النظر عن هرمونات الأورام الإفرازية ، فإن أهم العلامات هي:
- الكروموجرانين (A )(CgA) ، موجود في 99٪ من الأورام السرطاوية المنتشرة[56]
- حمض البول 5-هيدروكسي إندوليتيك (5-HIAA)
- إنولاز خاص بالعصبونات (NSE ، جاما-جاما ديمر)
- سينابتوفيزين (P38)
تتضمن العلامات الأحدث المتغير N-الطرفي اقتطاع لـ Hsp70 الموجود في لأورام الغدد الصماء العصبية ولكنه غائب في جزر البنكرياس العادية.[57] مستويات عالية من CDX2 ، منتج الجينات المثلية ضروري لتطور الأمعاء والتمايز ، شوهدت في شبكات الأمعاء. يُلاحظ بروتين إفراز الغدد الصماء العصبية -55 ، وهو عضو في عائلة الكروموجرانين ، في أورام الغدد الصماء في البنكرياس ولكن ليس في لأورام الغدد الصماء العصبية المعوية.[57]
التصوير
يعد التصوير المقطعي المحوسب ، والتصوير بالرنين المغناطيسي ، والتصوير بالموجات فوق الصوتية (الموجات فوق الصوتية) ، والتنظير (بما في ذلك الموجات فوق الصوتية بالمنظار) أدوات تشخيصية شائعة. يمكن لفحص التصوير المقطعي المحوسب باستخدام وسيط التباين اكتشاف 95 بالمائة من الأورام التي يزيد حجمها عن 3 سم ، ولكن بشكل عام لا تكتشف الأورام التي يقل حجمها عن 1 سم..[3]
أدى التقدم في تصوير الطب النووي ، المعروف أيضًا باسم التصوير الجزيئي ، إلى تحسين نماذج التشخيص والعلاج لدى مرضى أورام الغدد الصم العصبية. هذا بسبب قدرته ليس فقط على تحديد مواقع المرض ولكن أيضًا توصيفها. تعبر أورام الغدد الصماء عن مستقبلات السوماتوستاتين مما يوفر هدفًا فريدًا للتصوير. أوكتريوتيد عبارة عن تعديلات تركيبية للسوماتوستاتين مع عمر نصف أطول[citation needed] OctreoScan ، المعروف أيضًا باسم التخطيط الومضاني لمستقبلات السوماتوستاتين (SRS أو SSRS) ، يستخدم أوكتريوتيد المعطى عن طريق الوريد المرتبط كيميائيًا بمادة مشعة ، غالبًا الإنديوم -111 ، لاكتشاف الآفات الكبيرة مع الخلايا السرطانية التي تتوق إلى الأوكتريوتيد.[citation needed]
يمكن الآن إجراء تصوير مستقبلات السوماتوستاتين باستخدام التصوير المقطعي بالإصدار البوزيتروني (PET) الذي يوفر دقة أعلى وتصوير ثلاثي الأبعاد وأكثر سرعة. مستقبل الگاليوم -68 تصوير مقطعي بابتعاث البوزيترونات -CT أكثر دقة من OctreoScan.[58]
قد يكون التصوير باستخدام fluorine-18 fluorodeoxyglucose (FDG) PET مفيدًا لتصوير بعض أورام الغدد الصم العصبية.[59] يتم إجراء هذا الفحص عن طريق حقن السكر المشع عن طريق الوريد. الأورام التي تنمو بسرعة أكبر تستخدم المزيد من السكر. باستخدام هذا الفحص ، يمكن تقييم شدة الورم.[citation needed]
إن الجمع بين مستقبلات السوماتوستاتين وتصوير FDG PET قادر على تحديد تعبير سطح خلية مستقبلات السوماتوستاتين (SSTR) واستقلاب السكر ، على التوالي.[59] القدرة على القيام بذلك كدراسة للجسم كله تسلط الضوء على قيود الاعتماد على التشريح المرضي الذي تم الحصول عليه من موقع واحد. هذا يسمح باختيار أفضل للعلاج الأنسب لمريض فردي.[60]
علم التشريح المرضي
سمات شائعة
أورام الغدد الصم العصبية ، على الرغم من اختلاف الأصل الجنيني ، لها خصائص نمطية مشتركة. تُظهر أورام الغدد الصم العصبية نشاطًا مناعيًا للأنسجة لعلامات تمايز الغدد الصم العصبية (علامات نسيج الغدد الصم العصبية الشاملة) وقد تفرز ببتيدات وهرمونات مختلفة. هناك قائمة طويلة من العلامات المحتملة في أورام الغدد الصم العصبية. توفر العديد من المراجعات المساعدة في فهم هذه العلامات.[61][55] علامات نسيج الغدد الصماء العصبية المستخدمة على نطاق واسع هي الكروموجرينات المختلفة ، سينابتوفيسين و PGP9.5 . إينولاز الخاص بالخلايا العصبية (NSE) أقل تحديدًا .[1][5] أثبت البروتين -1 المرتبط بالورم العصبي الصماوي النووي (INSM1) أنه حساس ومخصص للغاية لتمايز الغدد الصم العصبية.[62]
غالبًا ما تكون أورام الغدد الصم العصبية عبارة عن كتل صغيرة أو صفراء أو بنية اللون ، وغالبًا ما توجد في الطبقة تحت المخاطية أو بشكل أعمق داخل الجسد ، ويمكن أن تكون شديدة الصلابة بسبب التفاعل الشديد المصاحب لها. قد يكون الغشاء المخاطي المغطي إما سليمًا أو متقرحًا . تغزو بعض الأورام الصماء العصبية المعدية المعوية GEP-NET بعمق لتشمل المساريق.[citation needed] من الناحية النسيجية ، تعد أورام الغدد الصم العصبية مثالاً على "أورام الخلايا الزرقاء الصغيرة" ، حيث تُظهر الخلايا المنتظمة التي لها نواة مستديرة إلى بيضاوية الشكل وسيتوبلازم حبيبي وردي ضئيل. قد تتراصف الخلايا بشكل مختلف في الجزر أو الغدد أومصفوفات . يُظهر فحص الطاقة العالية الباثولوجيا الخلوية الخفيفة. يمكن للمجهر الإلكتروني تحديد الحبيبات الإفرازية. عادة ما يكون هناك حد أدنى من تعدد الأشكال ولكن أقل شيوعًا يمكن أن يكون هناك فقد التمايز الخلوي ونشاط انقسام ونخر.[citation needed]
تمتلك بعض خلايا أورام الغدد الصم العصبية مستقبلات هرمونية قوية بشكل خاص ، مثل مستقبلات السوماتوستاتين وهرمونات الامتصاص بقوة. يمكن أن تساعد هذه الرغابة في التشخيص وقد تجعل بعض الأورام عرضة للعلاجات الموجهة بالهرمونات.[citation needed]
الأرجنتافين وإفراز الهرمون
غالبًا ما تُظهر أورام الغدد الصم العصبية من أصل تشريحي معين سلوكًا مشابهًا للمجموعة ، مثل المعى الأمامي (الذي يتضمن من الناحية النظرية البنكرياس ، وحتى الغدة الصعترية ، والشبكات الهوائية والرئة) ، والمعى المتوسط والمعى الخلفي ؛ يمكن أن تختلف الأورام الفردية داخل هذه المواقع عن معايير المجموعة هذه
- أورام الغدد الصم العصبية للمعى الأمامي سلبية الأرجنتافين . على الرغم من انخفاض محتوى السيروتونين ، فإنها غالبًا ما تفرز 5-هيدروكسي تريبتوفان (5-HTP) ، والهستامين ، والعديد من الهرمونات متعددة الببتيد. قد يكون هناك متلازمة سرطاوية غير نمطية مرتبطة ، ضخامة الاطراف ، مرض كوشينغ ، اضطرابات الغدد الصماء الأخرى ، توسع الشعيرات ، أو تضخم الجلد في الوجه وأعلى الرقبة.[63] يمكن أن تنتقل هذه الأورام إلى العظام.
- تعد أورام الغدد الصم العصبية للمعي المتوسط إيجابية للأرجنتافين ، ويمكن أن تنتج مستويات عالية من السيروتونين 5-هيدروكسي تريبتامين (5-HT) ، والكينين ، والبروستاجلاندين ، والمادة P (SP) ، والببتيدات الأخرى النشطة في الأوعية ، وأحيانًا تنتج الهرمون الموجه لقشر الكظر (سابقًا هرمون قشر الكظر [ACTH]). النقيلة في العظام غير شائعة.
- تعد أورام الغدد الصم العصبية للمعي الخلفي سالبة الأرجنتافين ونادراً ما تفرز 5-HT أو 5-HTP أو أي ببتيدات أخرى نشطة في الأوعية. النقائل العظمية ليست شائعة.
العلاج
تساعد العديد من المشكلات في تحديد العلاج المناسب لورم الغدد الصم العصبية ، بما في ذلك موقعه ، والغزو ، وإفراز الهرمونات ، والورم النقيلي. قد تهدف العلاجات إلى علاج المرض أو تخفيف الأعراض ( التسكين ). قد تكون المراقبة مجدية في حالة أورام الغدد الصم العصبية منخفضة الدرجة التي لا تعمل. إذا كان الورم متقدمًا محليًا أو انتشر ، ولكنه مع ذلك ينمو ببطء ، فقد يُفضل العلاج الذي يخفف الأعراض غالبًا على العمليات الجراحية الصعبة الفورية.[citation needed]
عادةً ما يتم علاج الأورام المتوسطة والعالية (noncarcinoids) بشكل أفضل من خلال التدخلات المبكرة المختلفة (العلاج الفعال) بدلاً من الملاحظة (نهج الانتظار والترقب)).[64]
تحسنت العلاجات على مدى العقود العديدة الماضية ، والنتائج تتحسن.[43] في الأورام السرطاوية الخبيثة المصابة بالمتلازمة السرطاوية ، تحسن متوسط البقاء على قيد الحياة من عامين إلى أكثر من ثماني سنوات.[65]
تتوفر إرشادات مفصلة لمعالجة أورام الغدد الصم العصبية من ESMO,[66] NCCN[67] ولجنة المملكة المتحدة.[1] يحتوي المعهد القومي للسرطان على إرشادات لفئات عديدة من أورام الغدد الصم العصبية: أورام الخلايا الجزيرية في البنكرياس ,[68] سرطانات الجهاز الهضمي,[69] أورام خلايا ميركل[70]وورم القواتم / ورم المستقتمات.[71]
الجراحة
حتى إذا تقدم الورم وانتشر ، مما يجعل الجراحة العلاجية غير مجدية ، فغالبًا ما يكون للجراحة دور في سرطانات الغدد الصم العصبية لتخفيف الأعراض وربما زيادة العمر..[64]
يوصى باستئصال المرارة إذا كان هناك اعتبار للعلاج طويل الأمد باستخدام نظائر السوماتوستاتين.[72]
تخفيف الأعراض
في الأورام الإفرازية ، تخفف نظائر السوماتوستاتين التي تُعطى تحت الجلد أو العضل الأعراض عن طريق منع إفراز الهرمون. أبلغت مراجعة إجماع عن استخدام نظائر السوماتوستاتين لـ GEP-NETs.[73]
قد تعمل هذه الأدوية أيضًا على استقرار الأورام أو تقليصها من الناحية التشريحية ، على النحو الذي اقترحته دراسة PROMID (دراسة عشوائية مستقبلية يتم التحكم فيها بالغفل عن الفعالية المضادة للتكاثر لـ Octreotide LAR في المرضى الذين يعانون من أورام معوية متوسطة العصبية المنتشرة): على الأقل في هذه المجموعة الفرعية من أورام الغدد الصم العصبية ، متوسط استقرار الورم كان 14.3 شهرًا مقارنة بـ 6 أشهر للدواء الغفل.[74]
أظهرت دراسة CLARINET (دراسة عشوائية ، مزدوجة التعمية ، خاضعة للتحكم الغفل حول التأثيرات المضادة للتكاثر من اللانريوتيد في المرضى الذين يعانون من أورام الغدد الصماء العصبية المعوية) قدرة اللانريوتيد المضادة للتكاثر ، وهو نظير السوماتوستاتين وعلاج FDA المعتمد مؤخرًا لـ GEP-NETS. في هذه الدراسة ، أظهر لانريوتيد تحسنًا ذا دلالة إحصائية في البقاء على قيد الحياة بدون تقدم ، وتلبية نقطة النهاية الأولية. لم يتطور المرض في 65 في المائة من المرضى الذين عولجوا باللانريوتيد في الدراسة أو تسبب في الوفاة عند 96 أسبوعًا ، وينطبق الشيء نفسه على 33 ٪ من المرضى الذين عولجوا بدواء غفل. يمثل هذا انخفاضًا بنسبة 53 ٪ في خطر تطور المرض أو الوفاة باستخدام اللانريوتيد على أساس نسبة الخطر .47.[75]
اللانريوتيد هو العلاج الأول والوحيد الذي تمت الموافقة عليه من قِبل إدارة الأغذية والدواء (FDA) والذي يوضح فائدة البقاء على قيد الحياة الخالية من التقدم إحصائيًا في مجموعة مجتمعة من المرضى الذين يعانون من GEP-NETS.[citation needed]
يمكن للأدوية الأخرى التي تمنع تأثيرات إفرازية معينة أن تخفف الأعراض أحيانًا.[46]
العلاج الكيماوي
يستخدم الإنترفيرون أحيانًا لعلاج GEP-NETs.[76] فعاليته غير مؤكدة إلى حد ما ، ولكن يمكن معايرة الجرعات المنخفضة داخل كل شخص ، مع الأخذ في الاعتبار تأثيره على عدد كريات الدم البيضاء;[76] غالبًا ما يستخدم الإنترفيرون مع عوامل أخرى ، وخاصة نظائر السوماتوستاتين مثل أوكتريوتيد[citation needed]
الأورام الصماء العصبية المعدية المعوية
تميل معظم الأورام السرطانية المعدية المعوية إلى عدم الاستجابة لعوامل العلاج الكيميائي,[46] تظهر معدلات استجابة من 10 إلى 20٪ والتي تكون عادةً أقل من 6 أشهر. لم يكن الجمع بين أدوية العلاج الكيميائي عادةً ذا تحسن كبير [46] أظهرت معدلات استجابة تتراوح من 25 إلى 35٪ والتي تكون عادةً أقل من 9 أشهر
الاستثناءات متباينة بشكل سيئ ( درجة عالية أو فقد التمايز الخلوي ) ، حيث يمكن استخدام سيسبلاتين مع إيتوبوسيد[46] والأورام السلبية لمستقبلات سوماتوستاتين (SSRS) التي لديها معدل استجابة يزيد عن 70٪ مقارنة بـ 10٪ بقوة. الأورام السرطانية SRSS الإيجابية..[1]
الأورام الصماء العصبية الپنكرياسية
تمت الموافقة على العلاج الموجه باستخدام إيفيروليموس (أفينيتور ) و سونيتينيب (سوتينت) من قبل إدارة الغذاء والدواء في الأورام الصماء العصبية الپنكرياسيةغير القابلة للاكتشاف والمتقدمة محليًا أو المنتشرة . بعض أورام الصماء العصبية الپنكرياسية أكثر استجابة للعلاج الكيميائي من الأورام السرطانية المعدية المعوية. وقد أظهرت العديد من العوامل النشاط[46]والجمع بين عدة أدوية، ولا سيما دوكسوروبيسين مع ستربتوزوتوسين و فلورويوراسيل (5-FU أو f5U)، غالبا ما تكون أكثر فعالية. على الرغم من فعاليته بشكل هامشي في الأورام العصبية الپنكرياسية جيدة التمايز ، إلا أن سيسبلاتين مع إيتوبوسيد نشط في سرطانات الغدد الصم العصبية ضعيفة التباين (PDNECs)..[46]
العلاج بالنيوكليدات المشعة
العلاج بالنيوكليوتيدات المشعة لمستقبلات الببتيد (PRRT) هو نوع من العلاج بالنظائر المشعة (RIT)[6] حيث يتم إعطاء الببتيد أو الهرمون المترافق مع النيوكليدات المشعة أو اللجين المشع عن طريق الوريد ، وقد أظهر هرمون الببتيد أو هرمون النوروامين سابقًا امتصاصًا جيدًا لجرعة التتبع ، باستخدام تصوير مستقبلات السوماتوستاتين كما هو مفصل أعلاه. هذا النوع من العلاج الإشعاعي هو علاج جهازي وسيؤثر على مرض السوماتوستاتين الإيجابي[77] [78] قد يرتبط مستقبل الببتيد بـ لوتيتيوم-177 و يوتيتريوم-90 و أنديوم-111 والنظائر الأخرى بما في ذلك بواعث ألفا.[79] هذا علاج هادف وفعال للغاية مع الحد الأدنى من الآثار الجانبية للأورام ذات المستويات العالية من التعبير السطحي لخلايا السوماتوستاتين ، لأن الإشعاع يتم امتصاصه في مواقع الورم ، أو يفرز في البول تدخل الهرمونات المميزة إشعاعيًا إلى الخلايا السرطانية التي تتضرر مع الخلايا المجاورة بسبب الإشعاع المرفق. لم يتم قتل جميع الخلايا على الفور ؛ يمكن أن يستمر موت الخلايا لمدة تصل إلى عامين.[citation needed]
تم استخدام PRRT في البداية للشبكات ذات الدرجة المنخفضة. كما أنه مفيد جدًا في الشبكات الأكثر عدوانية مثل شبكات الدرجة 2 و 3[80][81] بشرط أن تظهر امتصاصًا عاليًا لتصوير SSTR لاقتراح الفائدة..
الشريان الكبدي
يمكن معالجة النقائل التي تصيب الكبد بعدة أنواع من علاجات الشريان الكبدي بناءً على ملاحظة أن الخلايا السرطانية تحصل على جميع العناصر الغذائية تقريبًا من الشريان الكبدي ، بينما تحصل الخلايا الطبيعية للكبد على حوالي 70-80 بالمائة من العناصر الغذائية و 50٪ إمدادهم بالأكسجين من الوريد البابي ، وبالتالي يمكنهم البقاء على قيد الحياة مع انسداد الشريان الكبدي بشكل فعال.[43][82]
- يعمل إصمام الشريان الكبدي (HAE) على سد تدفق الدم إلى الأورام ، مما يؤدي إلى انكماش الورم بدرجة كبيرة بنسبة تزيد عن 80٪.[45] في العلاج الكيميائي للشريان الكبدي ، تُعطى عوامل العلاج الكيميائي في الشريان الكبدي ، غالبًا عن طريق التسريب المستمر على مدار ساعات أو حتى أيام. بالمقارنة مع العلاج الكيميائي الجهازي ، فإن نسبة أعلى من عوامل العلاج الكيميائي (نظريًا) يتم توصيلها للآفات في الكبد.[82]
- الإنصمام الكيميائي للشريان الكبدي (HACE) ، الذي يُطلق عليه أحيانًا الانصمام الكيميائي عبر الشريان (TACE) ، يجمع بين انصمام الشريان الكبدي مع التسريب الكيميائي للشريان الكبدي: أغشية مرتبطة بعوامل العلاج الكيميائي ، تُحقن في الشريان الكبدي ، وتستقر في الشعيرات الدموية في اتجاه مجرى النهر. لا تعمل الكريات على منع تدفق الدم إلى الآفات فحسب ، ولكن عن طريق إيقاف عوامل العلاج الكيميائي في جوار الآفات ، فإنها توفر تأثير استهداف أفضل بكثير مما يوفره التسريب الكيميائي.[citation needed]
- العلاج الإشعاعي الداخلي الانتقائي (SIRT)[83] لانبثاث الغدد الصم العصبية إلى الكبد[84] يسلم العلاج المجهري المشع (RMT) عن طريق الحقن في الشريان الكبدي ، والسكن (كما هو الحال مع HAE و HACE) في الشعيرات الدموية في مجرى النهر. على عكس العلاج الإشعاعي الهرموني ، فإن الآفات لا تحتاج إلى إفراط في التعبير عن مستقبلات الببتيد. يوصل الاستهداف الميكانيكي الإشعاع من الكرات المجهرية التي تحمل علامة الإيتريوم بشكل انتقائي إلى الأورام دون التأثير غير الضروري على الكبد الطبيعي.[85] هذا النوع من العلاج معتمد من إدارة الغذاء والدواء (FDA) لانبثاث الكبد الثانوي لسرطان القولون والمستقيم ، وهو قيد التحقيق لعلاج الأورام الخبيثة الأخرى في الكبد ، بما في ذلك الأورام الخبيثة في الغدد الصم العصبية.[83]
علاجات أخرى
يُستخدم الاستئصال بالترددات الراديوية (RFA) عندما يكون لدى المريض عدد قليل نسبيًا من النقائل.[citation needed] في RFA ، يتم إدخال إبرة في مركز الآفة ويتم تطبيق التيار لتوليد الحرارة ؛ يتم قتل الخلايا السرطانية عن طريق الطهي.[citation needed]
الاستئصال بالتبريد يشبه RFA ؛ مادة ماصة للحرارة[citation needed] يتم حقن الأورام لقتلها بالتجميد. كان الاستئصال بالتبريد أقل نجاحًا في شبكات GEP-NET من RFA.[citation needed]
AdVince ، تم استخدام نوع من العلاج الجيني باستخدام فيروس غدي مُحلل وراثيًا[86] وبدعم من حملة التمويل الجماعي [87] في تجربة المرحلة الأولى ضد NET في عام 2016.[88]
معدل الحدوث
على الرغم من اختلاف التقديرات ، فإن الحدوث السنوي لأورام الغدد الصماء العصبية المهمة سريريًا هو 2.5-5 لكل 100.000 ;[89] ثلثي الأورام السرطانية والثلث من الأورام الشبكية الأخرى
تم تقدير معدل الانتشار بـ 35 لكل 100000,[89] وقد يكون أعلى بكثير إذا تم تضمين الأورام الصامتة سريريًا. اكتشفت دراسة تشريح جثة البنكرياس في الأشخاص الذين ماتوا لأسباب غير ذات صلة ارتفاعًا ملحوظًا في حدوث شبكات صغيرة بدون أعراض. وجدت الدراسة المجهرية الروتينية لثلاثة أقسام عشوائية من البنكرياس وجود أورام الغدد الصم العصبية في 1.6 ٪ ، وحددت أقسام متعددة أورام الغدد الصم العصبية في 10 ٪..[90] مع زيادة حساسية التصوير التشخيصي ، مثل التصوير بالموجات فوق الصوتية بالمنظار ، قد يتم اكتشاف شبكات صغيرة جدًا وغير مهمة سريريًا بالصدفة ؛ كونها غير مرتبطة بالأعراض ، قد لا تتطلب هذه الأورام الازالة الجراحية.[citation needed]
التاريخ
تم تمييز أورام الغدد الصماء العصبية المعوية الدقيقة لأول مرة عن الأورام الأخرى في عام 1907.[91][42] تم تسميتها بالأورام السرطانية لأن نموها البطيء كان يعتبر "شبيهاً بالسرطان" وليس سرطانياً حقاً.[42]
ومع ذلك ، في عام 1938 تم التعرف على أن بعض أورام الأمعاء الدقيقة يمكن أن تكون خبيثة.[91][42] على الرغم من الاختلافات بين هاتين الفئتين الأصليتين ، والمزيد من التعقيدات بسبب التضمين اللاحق لأورام الغدد الصماء العصبية أخرى من البنكرياس والأصل الرئوي ، فإن جميع أورام الغدد الصماء العصبية في بعض الأحيان (بشكل غير صحيح) تندرج في مصطلح "السرطانات".[citation needed]
تم تحديد خلايا معوية أليفة الكروم ، التي تؤدي إلى ظهور الأورام السرطانية ، في عام 1897 بواسطة نيكولاي كوليشتسكي وتم إنشاء إفرازها من السروتونين في عام 1953 [91] عندما أصبح تأثير "البيغ" للسيروتونين معترفًا به سريريًا. تم التعرف على مرض القلب السرطاوي في عام 1952 ، والتليف السرطاني في عام 1961.[91]
كانت تسمى أورام الغدد الصم العصبية أحيانا APUDomas لأن هذه الخلايا غالبا ما تظهر أمين بدائي ( ل-دوبا و 5-هيدروكسيتريبتوفان ) امتصاص ونزع الكربوكسيل لإنتاج الأمينات الاحيائية مثل الكاتيكولامينات و السروتونين . على الرغم من أن هذا السلوك كان أيضًا جزءًا من الفرضية التي تم إثبات دحضها بأن هذه الخلايا قد تنشأ جميعًا بشكل جنيني من القمة العصبية,[54][64][65] تنتج خلايا الغدد الصم العصبية أحيانًا أنواعًا مختلفة من الهرمونات والأمينات,[65] ويمكن أن تحتوي أيضًا على مستقبلات قوية للهرمونات الأخرى التي تستجيب لها..
كان هناك العديد من أنظمة التسمية لهذه الأورام,[2] وكانت الاختلافات بين هذه المخططات غالبًا محيرة. ومع ذلك، فإن هذه النظم يميز كل بين جيدا متباينة (منخفضة والمتوسطة المدى في التصنيف سيئة متباينة (عالية الجودة) المستجدة) و. معدل التكاثر الخلوي له أهمية كبيرة في هذا التقييم المآل.[2]
الهامش
- ^ أ ب ت ث ج ح خ د ذ ر ز س ش Ramage JK, Davies AH, Ardill J, et al. (June 2005). "Guidelines for the management of gastroenteropancreatic neuroendocrine (including carcinoid) tumours". Gut. 54. 54 (Suppl 4): iv1–iv16. doi:10.1136/gut.2004.053314. PMC 1867801. PMID 15888809. Archived from the original on 2008-12-09.
{{cite journal}}: Unknown parameter|deadurl=ignored (|url-status=suggested) (help) - ^ أ ب ت ث ج Klimstra, D.S.; Modlin, I.R.; Coppola, D.; Lloyd, R.V.; Suster, S. (2010). "The Pathologic Classification of Neuroendocrine Tumors". Pancreas. 39 (6): 707–12. doi:10.1097/MPA.0b013e3181ec124e. PMID 20664470.
- ^ أ ب ت Tan, E.H.; Tan, C. (2011). "Imaging of gastroenteropancreatic neuroendocrine tumors". World Journal of Clinical Oncology. 2 (1): 28–43. doi:10.5306/wjco.v2.i1.28. PMC 3095463. PMID 21603312.
{{cite journal}}: CS1 maint: unflagged free DOI (link) - ^ Van Eeden, S.; Offerhaus, G.J.A.; Hart, A.A.M.; Boerrigter, L.; Nederlof, P.M.; Porter, E.; Van Velthuysen, M.L.F. (2007). "Goblet cell carcinoid of the appendix: A specific type of carcinoma". Histopathology. 51 (6): 763–73. doi:10.1111/j.1365-2559.2007.02883.x. PMID 18042066.
- ^ أ ب Liu Y, Sturgis CD, Grzybicki DM, et al. (September 2001). "Microtubule-associated protein-2: a new sensitive and specific marker for pulmonary carcinoid tumor and small cell carcinoma". Mod. Pathol. 14 (9): 880–85. doi:10.1038/modpathol.3880406. PMID 11557784. Archived from the original on January 13, 2016. Retrieved November 8, 2015.
{{cite journal}}: Unknown parameter|deadurl=ignored (|url-status=suggested) (help) - ^ أ ب Rufini V, Calcagni ML, Baum RP (July 2006). "Imaging of neuroendocrine tumors". Semin Nucl Med. 36 (3): 228–47. doi:10.1053/j.semnuclmed.2006.03.007. PMID 16762613.
- ^ Soga, J. (2003). "Carcinoids and their variant endocrinomas. An analysis of 11842 reported cases". Journal of Experimental & Clinical Cancer Research. 22 (4): 517–30. PMID 15053292.
- ^ Soga, J.; Yakuwa, Y.; Osaka, M. (1999). "Evaluation of 342 cases of mediastinal/thymic carcinoids collected from literature: A comparative study between typical carcinoids and atypical varieties". Annals of Thoracic and Cardiovascular Surgery. 5 (5): 285–92. PMID 10550713.
- ^ أ ب Oberg, K.; Jelic, S.; Esmo Guidelines Working, G. (2008). "Neuroendocrine bronchial and thymic tumors: ESMO Clinical Recommendation for diagnosis, treatment and follow-up". Annals of Oncology. 19: ii102–ii103. doi:10.1093/annonc/mdn116. PMID 18456740.
- ^ Beasley, M.; Brambilla, E.; Travis, W. (2005). "The 2004 World Health Organization classification of lung tumors". Seminars in Roentgenology. 40 (2): 90–97. doi:10.1053/j.ro.2005.01.001. PMID 15898407.
- ^ Gustafsson, B.I.; Kidd, M.; Chan, A.; Malfertheiner, M.V.; Modlin, I.M. (2008). "Bronchopulmonary neuroendocrine tumors". Cancer. 113 (1): 5–21. doi:10.1002/cncr.23542. PMID 18473355.
- ^ Wick, M.; Berg, L.; Hertz, M. (1992). "Large cell carcinoma of the lung with neuroendocrine differentiation. A comparison with large cell "undifferentiated" pulmonary tumors". American Journal of Clinical Pathology. 97 (6): 796–805. doi:10.1093/ajcp/97.6.796. PMID 1317668.
- ^ Massironi, S.; Sciola, V.; Peracchi, M.; Ciafardini, C.; Spampatti, M.; Conte, D. (2008). "Neuroendocrine tumors of the gastro-entero-pancreatic system". World Journal of Gastroenterology. 14 (35): 5377–84. doi:10.3748/wjg.14.5377. PMC 2744160. PMID 18803349.
{{cite journal}}: CS1 maint: unflagged free DOI (link) - ^ Modlin, I.M.; Oberg, K.; Chung, D.C.; Jensen, R.T.; De Herder, W.W.; Thakker, R.V.; Caplin, M.; Delle Fave, G.; Kaltsas, G.A.; Krenning, E.P.; Moss, S.F.; Nilsson, O.; Rindi, G.; Salazar, R.; Ruszniewski, P.; Sundin, A. (2008). "Gastroenteropancreatic neuroendocrine tumours". The Lancet Oncology. 9 (1): 61–72. doi:10.1016/S1470-2045(07)70410-2. PMID 18177818.
- ^ Metz, D.C.; Jensen, R.T. (2008). "Gastrointestinal Neuroendocrine Tumors: Pancreatic Endocrine Tumors". Gastroenterology. 135 (5): 1469–92. doi:10.1053/j.gastro.2008.05.047. PMC 2612755. PMID 18703061.
- ^ Griniatsos, J.; Michail, O. (2010). "Appendiceal neuroendocrine tumors: Recent insights and clinical implications". World Journal of Gastrointestinal Oncology. 2 (4): 192–96. doi:10.4251/wjgo.v2.i4.192. PMC 2999180. PMID 21160597.
{{cite journal}}: CS1 maint: unflagged free DOI (link) - ^ Ni, S.; Sheng, W.; Du, X. (2010). "Pathologic research update of colorectal neuroendocrine tumors". World Journal of Gastroenterology. 16 (14): 1713–19. doi:10.3748/wjg.v16.i14.1713. PMC 2852818. PMID 20380002.
{{cite journal}}: CS1 maint: unflagged free DOI (link) - ^ Konishi, T.; Watanabe, T.; Nagawa, H.; Oya, M.; Ueno, M.; Kuroyanagi, H.; Fujimoto, Y.; Akiyoshi, T.; Yamaguchi, T.; Muto, T. (2010). "Treatment of colorectal carcinoids: A new paradigm". World Journal of Gastrointestinal Surgery. 2 (5): 153–56. doi:10.4240/wjgs.v2.i5.153. PMC 2999232. PMID 21160865.
{{cite journal}}: CS1 maint: unflagged free DOI (link) - ^ C., C.; M., N.; V., M. (2004). "Primary hepatic carcinoid tumours". HPB. 6 (1): 13–17. doi:10.1080/13651820310017228. PMC 2020649. PMID 18333038.
- ^ Moriura, S.; Ikeda, S.; Hirai, M.; Naiki, K.; Fujioka, T.; Yokochi, K.; Gotou, S. (1993). "Hepatic gastronoma". Cancer. 72 (5): 1547–50. doi:10.1002/1097-0142(19930901)72:5<1547::AID-CNCR2820720510>3.0.CO;2-C. PMID 8348490.
- ^ Soga, J. (2003). "Primary endocrinomas (carcinoids and variant neoplasms) of the gallbladder. A statistical evaluation of 138 reported cases". Journal of Experimental & Clinical Cancer Research. 22 (1): 5–15. PMID 12725316.
- ^ Soga, J.; Osaka, M.; Yakuwa, Y. (2001). "Gut-endocrinomas (carcinoids and related endocrine variants) of the breast: An analysis of 310 reported cases". International Surgery. 86 (1): 26–32. PMID 11890336.
- ^ Murali, R.; Kneale, K.; Lalak, N.; Delprado, W. (2006). "Carcinoid tumors of the urinary tract and prostate". Archives of Pathology & Laboratory Medicine. 130 (11): 1693–1706. doi:10.1043/1543-2165(2006)130[1693:CTOTUT]2.0.CO;2 (inactive 2018-09-21). ISSN 1543-2165. PMID 17076534.
{{cite journal}}: CS1 maint: DOI inactive as of سبتمبر 2018 (link) - ^ Mikuz, G. (1993). "Non-urothelial tumors of the urinary tract". Verhandlungen der Deutschen Gesellschaft für Pathologie. 77: 180–98. PMID 7511278.
- ^ Soga, J.; Osaka, M.; Yakuwa, Y. (2001). "Gut-endocrinomas (carcinoids and related endocrine variants) of the uterine cervix: An analysis of 205 reported cases". Journal of Experimental & Clinical Cancer Research. 20 (3): 327–34. PMID 11718210.
- ^ أ ب ت ث ج Jensen, R.T.; Berna, M.J.; Bingham, D.B.; Norton, J.A. (2008). "Inherited pancreatic endocrine tumor syndromes: Advances in molecular pathogenesis, diagnosis, management, and controversies". Cancer. 113 (7 Suppl): 1807–43. doi:10.1002/cncr.23648. PMC 2574000. PMID 18798544.
- ^ أ ب Hirsch, N.P.; Murphy, A.; Radcliffe, J. (2001). "Neurofibromatosis: Clinical presentations and anaesthetic implications". British Journal of Anaesthesia. 86 (4): 555–64. doi:10.1093/bja/86.4.555. PMID 11573632.
- ^ أ ب ت Lodish, M.B.; Stratakis, C.A. (2010). "Endocrine tumours in neurofibromatosis type 1, tuberous sclerosis and related syndromes". Best Practice & Research Clinical Endocrinology & Metabolism. 24 (3): 439–49. doi:10.1016/j.beem.2010.02.002. PMC 2939061. PMID 20833335.
- ^ أ ب Dworakowska, D.; Grossman, A.B. (2008). "Are neuroendocrine tumours a feature of tuberous sclerosis? A systematic review". Endocrine Related Cancer. 16 (1): 45–58. doi:10.1677/ERC-08-0142. PMID 18978035.
- ^ أ ب OMIM - Online Mendelian Inheritance in Man. Carney Complex, type 1; CNC1 (OMIM 160980) omim.org
- ^ أ ب OMIM—Online Mendelian Inheritance in Man. Carney Complex, type 2; CNC2 (OMIM 605244)
- ^ >Bosman, Fred T.; Carneiro, Fatima; Hruban, Ralph H.; Theise, Neil D., eds. (2010). WHO Classification of Tumours of the Digestive System (4 ed.). Lyon: International Agency for Research on Cancer. pp. 13–14. ISBN 978-92-832-2432-7.
- ^ Basturk, O; Yang, Z; Tang, LH; Hruban, RH; Adsay, V; McCall, CM; Krasinskas, AM; Jang, KT; Frankel, WL; Balci, S; Sigel, C; Klimstra, DS (2015). "The high-grade (WHO G3) pancreatic neuroendocrine tumor category is morphologically and biologically heterogenous and includes both well differentiated and poorly differentiated neoplasms". The American Journal of Surgical Pathology. 39 (5): 683–90. doi:10.1097/PAS.0000000000000408. PMC 4398606. PMID 25723112.
- ^ Amin, Mahul B., ed. (2017). AJCC Cancer Staging Manual (8 ed.). Springer. p. 351. ISBN 978-3-319-40617-6.
- ^ Amin, Mahul B., ed. (2017). "29 - Neuroendocrine Tumors of the Stomach". AJCC Cancer Staging Manual (8 ed.). Springer. p. 355. ISBN 978-3-319-40617-6.
- ^ Amin, Mahul B., ed. (2017). "30 - Neuroendocrine Tumors of the Duodenum & Ampulla of Vater". AJCC Cancer Staging Manual (8 ed.). Springer. p. 369. ISBN 978-3-319-40617-6.
- ^ Amin, Mahul B., ed. (2017). "31 - Neuroendocrine Tumors of the Jejunum and Ileum". AJCC Cancer Staging Manual (8 ed.). Springer. pp. 379–380. ISBN 978-3-319-40617-6.
- ^ Amin, Mahul B., ed. (2017). "32 - Neuroendocrine Tumors of the Appendix". AJCC Cancer Staging Manual (8 ed.). Springer. p. 392. ISBN 978-3-319-40617-6.
- ^ Amin, Mahul B., ed. (2017). "33 - Neuroendocrine Tumors of the Colon and Rectum". AJCC Cancer Staging Manual (8 ed.). Springer. p. 399. ISBN 978-3-319-40617-6.
- ^ Amin, Mahul B., ed. (2017). "30 - Neuroendocrine Tumors of the Pancreas". AJCC Cancer Staging Manual (8 ed.). Springer. pp. 415–416. ISBN 978-3-319-40617-6.
- ^ Kimura W, Kuroda A, Morioka Y (July 1991). "Clinical pathology of endocrine tumors of the pancreas. Analysis of autopsy cases". Dig. Dis. Sci. 36 (7): 933–42. doi:10.1007/BF01297144. PMID 2070707. "[In] 800 autopsy cases, ... incidence of tumor was 10% (6/60) in individuals having histiological studies of all sections of the pancreas"
- ^ أ ب ت ث Arnold R, Göke R, Wied M, Behr T (2003). "Chapter 15 Neuroendocrine Gastro-Entero-Pancreatic (GEP) Tumors". In Scheppach W, Bresalier RS, Tytgat GN (eds.). Gastrointestinal and Liver Tumors. Berlin: Springer. pp. 195–233. ISBN 978-3-540-43462-7.
- ^ أ ب ت ث Pommier R. 2003. The role of surgery and chemoembolization in the management of carcinoid. California Carcinoid Fighters Conference. October 25, carcinoid.org Archived 2015-09-15 at the Wayback Machine
- ^ Health Communities. Carcinoid Tumor Overview. healthcommunities.com Archived 2012-03-03 at the Wayback Machine
- ^ أ ب ت ث ج ح خ د Kvols LK. 2002. Carcinoid Tumors and the Carcinoid Syndrome: What's New in the Therapeutic Pipeline. (The Carcinoid Cancer Foundation: Carcinoid Symposium 2002) carcinoid.org Archived 2015-01-05 at the Wayback Machine
- ^ أ ب ت ث ج ح خ Benson AB, Myerson RJ, and Sasson AR. Pancreatic, neuroendocrine GI, and adrenal cancers. Cancer Management: A Multidisciplinary Approach 13th edition 2010; ISBN 978-0-615-41824-7 Text is available electronically (but may require free registration) at Infosite Archived 2011-05-15 at the Wayback Machine, cancernetwork.com; accessed November 8, 2015.
- ^ Benson AB, Myerson RJ, and Sasson AR. Pancreatic, neuroendocrine GI, and adrenal cancers. Cancer Management: A Multidisciplinary Approach 13th edition 2010; ISBN 978-0-615-41824-7 Text is available electronically (but may require free registration) at Infosite Archived 2011-05-15 at the Wayback Machine, cancernetwork.com; accessed November 8, 2015.
- ^ أ ب Pancreatic Neuroendocrine Tumors (Islet Cell Tumors) Treatment (PDQ) Health Professional Version. National Cancer Institute. March 7, 2014. ncbi.nlm.nih.gov
- ^ Burns WR, Edil BH (March 2012). "Neuroendocrine pancreatic tumors: guidelines for management and update". Current Treatment Options in Oncology. 13 (1): 24–34. doi:10.1007/s11864-011-0172-2. PMID 22198808.
- ^ Klimstra DS, Modlin IR, Coppola D, et al. (August 2010). "The pathologic classification of neuroendocrine tumors: a review of nomenclature, grading, and staging systems" (PDF). Pancreas. 39 (6): 707–12. doi:10.1097/MPA.0b013e3181ec124e. PMID 20664470.
- ^ Bostanci A (2005). "Wildlife biology. A devil of a disease". Science. 307 (5712): 1035. doi:10.1126/science.307.5712.1035. PMID 15718445.
The tumors [of Devil facial tumor disease] have been characterized as a neuroendocrine cancer
- ^ Kinver, Mark (January 1, 2010). "Tasmanian devil facial cancer origins 'identified'". BBC. Archived from the original on January 2, 2010.
{{cite news}}: Unknown parameter|deadurl=ignored (|url-status=suggested) (help) - ^ Walsh, Bryan (January 1, 2010). "Decoding the Tasmanian Devil's Deadly Cancer". Time. Archived from the original on January 8, 2010.
{{cite news}}: Unknown parameter|deadurl=ignored (|url-status=suggested) (help) - ^ أ ب Langley, K. (1994). "The Neuroendocrine Concept Today". Annals of the New York Academy of Sciences. 733 (1): 1–17. Bibcode:1994NYASA.733....1L. doi:10.1111/j.1749-6632.1994.tb17251.x. PMID 7978856.
- ^ أ ب Ferolla, P.; Faggiano, A.; Mansueto, G.; Avenia, N.; Cantelmi, M.; Giovenali, P.; Del Basso De Caro ML; Milone, F.; Scarpelli, G.; Masone, S.; Santeusanio, F.; Lombardi, G.; Angeletti, G.; Colao, A. (2008). "The biological characterization of neuroendocrine tumors: The role of neuroendocrine markers". Journal of Endocrinological Investigation. 31 (3): 277–86. doi:10.1007/bf03345602. PMID 18401212.
- ^ Prince, Jim McMorran, Damian Crowther, Stew McMorran, Steve Youngmin, Ian Wacogne, Jon Pleat, Clive. "investigations - General Practice Notebook". www.gpnotebook.co.uk (in الإنجليزية). Archived from the original on 2017-02-24. Retrieved 2017-02-23.
{{cite web}}: Unknown parameter|deadurl=ignored (|url-status=suggested) (help)CS1 maint: multiple names: authors list (link) - ^ أ ب Oberg, K (July 2005). "Neuroendocrine tumors of the gastrointestinal tract: recent advances in molecular genetics, diagnosis, and treatment". Current Opinion in Oncology. 17 (4): 386–91. doi:10.1097/01.cco.0000167739.56948.a9. PMID 15933475.
- ^ Hofman, M.S.; Kong, G.; Neels, O.C.; Eu, P.; Hong, E.; Hicks, R.J. (2012). "High management impact of Ga-68 DOTATATE (GaTate) PET/CT for imaging neuroendocrine and other somatostatin expressing tumours". Journal of Medical Imaging and Radiation Oncology. 56 (1): 40–47. doi:10.1111/j.1754-9485.2011.02327.x. PMID 22339744.
- ^ أ ب Hofman, M.S.; Hicks, R.J. (2012). "Changing paradigms with molecular imaging of neuroendocrine tumors". Discovery Medicine. 14 (74): 71–81. PMID 22846204. Retrieved November 8, 2015.
- ^ Nilica, Bernhard; Waitz, Dietmar; Stevanovic, Vlado; Uprimny, Christian; Kendler, Dorota; Buxbaum, Sabine; Warwitz, Boris; Gerardo, Llanos; Henninger, Benjamin (2016-08-01). "Direct comparison of 68Ga-DOTA-TOC and 18F-FDG PET/CT in the follow-up of patients with neuroendocrine tumour treated with the first full peptide receptor radionuclide therapy cycle". European Journal of Nuclear Medicine and Molecular Imaging (in الإنجليزية). 43 (9): 1585–1592. doi:10.1007/s00259-016-3328-2. ISSN 1619-7070. PMC 4932132. PMID 26922350.
- ^ Berretta, M. (2010). "Biomarkers in neuroendocrine tumors". Frontiers in Bioscience. S2: 32. doi:10.2741/s68.
- ^ Mukhopadhyay S, Dermawan JK, Lanigan CP, Farver CF (August 2018). "Insulinoma-associated protein 1 (INSM1) is a sensitive and highly specific marker of neuroendocrine differentiation in primary lung neoplasms: an immunohistochemical study of 345 cases, including 292 whole-tissue sections". Modern Pathology. Epub ahead of print. doi:10.1038/s41379-018-0122-7. PMID 30154579.
- ^ Cameron K Tebbi, MD; Chief Editor: Max J Coppes, MD, PhD, MBA; et al. (1 Apr 2014). "Carcinoid Tumor". Medscape.com. WebMD LLC. Archived from the original on 15 December 2014. Retrieved 3 September 2014.
{{cite web}}:|author=has generic name (help); Unknown parameter|deadurl=ignored (|url-status=suggested) (help)CS1 maint: multiple names: authors list (link) - ^ أ ب ت Warner, R.R.P. (2005). "Enteroendocrine Tumors Other Than Carcinoid: A Review of Clinically Significant Advances". Gastroenterology. 128 (6): 1668–84. doi:10.1053/j.gastro.2005.03.078. PMID 15887158.
- ^ أ ب ت Öberg, K. (1998). "Carcinoid Tumors: Current Concepts in Diagnosis and Treatment". The Oncologist. 3 (5): 339–45. PMID 10388123.
- ^ Oberg, K.; Akerstrom, G.; Rindi, G.; Jelic, S.; Esmo Guidelines Working, G. (2010). "Neuroendocrine gastroenteropancreatic tumours: ESMO Clinical Practice Guidelines for diagnosis, treatment and follow-up". Annals of Oncology. 21: v223–v227. doi:10.1093/annonc/mdq192. PMID 20555086.
- ^ nccn.org
- ^ National Cancer Institute. Islet Cell Tumors (Endocrine Pancreas) cancer.gov Archived 2011-06-07 at the Wayback Machine
- ^ National Cancer Institute. Gastrointestinal Carcinoid Tumors Treatment cancer.gov Archived 2011-06-27 at the Wayback Machine
- ^ National Cancer Institute. Merkel cell tumors, cancer.gov Archived 2011-06-07 at the Wayback Machine
- ^ National Cancer Institute. Pheochromocytoma and Paraganglioma cancer.gov Archived 2011-06-07 at the Wayback Machine
- ^ "Neuroendocrine tumors, NCCN Guidelines Version 1.2015" (PDF). NCCN Guidelines. National Comprehensive Cancer Network, Inc. November 11, 2014. Retrieved December 25, 2014.
- ^ Oberg, K.; Kvols, L.; Caplin, M.; Delle Fave, G.; De Herder, W.; Rindi, G.; Ruszniewski, P.; Woltering, E.; Wiedenmann, B. (2004). "Consensus report on the use of somatostatin analogs for the management of neuroendocrine tumors of the gastroenteropancreatic system". Annals of Oncology. 15 (6): 966–73. doi:10.1093/annonc/mdh216. PMID 15151956.
- ^ asco.org Archived 2012-03-23 at the Wayback Machine; accessed November 8, 2015.
- ^ Caplin ME, Pavel M, Cwikla JB, et al. (July 17, 2014). "Lanreotide in Metastatic Enteropancreatic Neuroendocrine Tumors". The New England Journal of Medicine. 371 (3): 224–33. doi:10.1056/NEJMoa1316158. PMID 25014687.
- ^ أ ب Öberg K. Neuroendocrine Gastroenteropancreatic Tumours: Current Views on Diagnosis and Treatment. Business Briefing. European Oncology Review 2005; pp. 1–6.
- ^ Strosberg, Jonathan; El-Haddad, Ghassan; Wolin, Edward; Hendifar, Andrew; Yao, James; Chasen, Beth; Mittra, Erik; Kunz, Pamela L.; Kulke, Matthew H. (2017-01-11). "Phase 3 Trial of 177Lu-Dotatate for Midgut Neuroendocrine Tumors". New England Journal of Medicine (in الإنجليزية). 376 (2): 125–135. doi:10.1056/nejmoa1607427. PMC 5895095. PMID 28076709.
- ^ Strosberg, Jonathan; El-Haddad, Ghassan; Wolin, Edward; Hendifar, Andrew; Yao, James; Chasen, Beth; Mittra, Erik; Kunz, Pamela L.; Kulke, Matthew H. (2017-01-11). "Phase 3 Trial of 177Lu-Dotatate for Midgut Neuroendocrine Tumors". New England Journal of Medicine (in الإنجليزية). 376 (2): 125–35. doi:10.1056/nejmoa1607427. PMID 28076709.
{{cite journal}}: Unknown parameter|PMCID=ignored (|pmc=suggested) (help) - ^ Kratochwil, C.; Giesel, F. L.; Bruchertseifer, F.; Mier, W.; Apostolidis, C.; Boll, R.; Murphy, K.; Haberkorn, U.; Morgenstern, A. (2014-11-01). "213Bi-DOTATOC receptor-targeted alpha-radionuclide therapy induces remission in neuroendocrine tumours refractory to beta radiation: a first-in-human experience". European Journal of Nuclear Medicine and Molecular Imaging (in الإنجليزية). 41 (11): 2106–2119. doi:10.1007/s00259-014-2857-9. ISSN 1619-7070. PMC 4525192. PMID 25070685.
- ^ Kashyap, R; Hofman, M. S.; Michael, M; Kong, G; Akhurst, T; Eu, P; Zannino, D; Hicks, R. J. (2015). "Favourable outcomes of (177)Lu-octreotate peptide receptor chemoradionuclide therapy in patients with FDG-avid neuroendocrine tumours". European Journal of Nuclear Medicine and Molecular Imaging. 42 (2): 176–85. doi:10.1007/s00259-014-2906-4. PMID 25209134.
- ^ Hofman, M. S.; Michael, M; Kashyap, R; Hicks, R. J. (2015). "Modifying the Poor Prognosis Associated with 18F-FDG-Avid NET with Peptide Receptor Chemo-Radionuclide Therapy (PRCRT)". Journal of Nuclear Medicine. 56 (6): 968–9. doi:10.2967/jnumed.115.154500. PMID 25814516.
- ^ أ ب Fong, T and Schoenfield LJ. Arterial Chemotherapy Infusion of the Liver (and) Chemoembolization of the Liver (TACE) medicinenet.com Archived 2014-12-24 at the Wayback Machine; accessed November 8, 2015.
- ^ أ ب Welsh, J.; Kennedy, A.; Thomadsen, B. (2006). "Selective internal radiation therapy (SIRT) for liver metastases secondary to colorectal adenocarcinoma". International Journal of Radiation OncologyBiologyPhysics. 66 (2): S62–S73. doi:10.1016/j.ijrobp.2005.09.011. PMID 16979443.
- ^ Van De Wiele, C.; Defreyne, L.; Peeters, M.; Lambert, B. (2009). "Yttrium-90 labelled resin microspheres for treatment of primary and secondary malignant liver tumors". The Quarterly Journal of Nuclear Medicine and Molecular Imaging. 53 (3): 317–24. PMID 19521311.
- ^ Salem, R.; Thurston, K.; Carr, B.; Goin, J.; Geschwind, J. (2002). "Yttrium-90 microspheres: Radiation therapy for unresectable liver cancer". Journal of Vascular and Interventional Radiology. 13 (9 Pt 2): S223–S229. doi:10.1016/S1051-0443(07)61790-4. PMID 12354840.
- ^ Masters, Alexander (2014-10-14). "A plutocratic proposal". Mosaic. The Wellcome Trust. Archived from the original on 2016-05-29. Retrieved 2016-07-03.
{{cite web}}: Unknown parameter|deadurl=ignored (|url-status=suggested) (help) - ^ "iCancer web site". icancer.org.uk. Archived from the original on 2016-07-14. Retrieved 2016-07-03.
{{cite web}}: Unknown parameter|deadurl=ignored (|url-status=suggested) (help) - ^ Masters, Alexander (2016-07-02). "Can crowdfunding really cure cancer? Alexander Masters investigates a pioneering new project". The Telegraph. Archived from the original on 2016-07-03. Retrieved 2016-07-03.
{{cite web}}: Unknown parameter|deadurl=ignored (|url-status=suggested) (help) - ^ أ ب Öberg, K.; Castellano, D. (2011). "Current knowledge on diagnosis and staging of neuroendocrine tumors". Cancer and Metastasis Reviews. 30: 3–7. doi:10.1007/s10555-011-9292-1. PMID 21311954.
- ^ Kimura, W.; Kuroda, A.; Morioka, Y. (1991). "Clinical pathology of endocrine tumors of the pancreas". Digestive Diseases and Sciences. 36 (7): 933–42. doi:10.1007/BF01297144. PMID 2070707.
- ^ أ ب ت ث Modlin, I.M.; Shapiro, M.D.; Kidd, M. (2004). "Siegfried oberndorfer: Origins and perspectives of carcinoid tumors". Human Pathology. 35 (12): 1440–51. doi:10.1016/j.humpath.2004.09.018. PMID 15619202.
وصلات خارجية
| Classification | |
|---|---|
| External resources |
- CS1 errors: unsupported parameter
- CS1 maint: unflagged free DOI
- CS1 maint: DOI inactive as of سبتمبر 2018
- CS1 errors: generic name
- الصفحات بخصائص غير محلولة
- Short description is different from Wikidata
- Articles with unsourced statements from November 2015
- Articles needing additional references from November 2015
- All articles needing additional references
- Articles with unsourced statements from May 2011
- Articles with unsourced statements from October 2012
- Articles with unsourced statements from January 2012
- صفحات بها وصلات إنترويكي
- أورام الجهاز العصبي
- تصنيف:أورام الغدد الصماء
- سرطان الپنكرياس
- أسباب معدية للسرطان
- Neuroendocrinology