التهاب الفقار المقسط
التهاب الفقار المقسط | |
---|---|
![]() | |
An ankylosing spine in which the vertebrae become fused together. | |
التبويب والمصادر الخارجية | |
التخصص | طب المفاصل |
ICD-10 | M08.1, M45. |
ICD-9-CM | 720.0 |
OMIM | 106300 |
DiseasesDB | 728 |
MedlinePlus | 000420 |
eMedicine | radio/41 |
Patient UK | فشل عرض الخاصية P1461: لم يتم العثور على الخاصية P1461. التهاب الفقار المقسط |
MeSH | D013167 |
التهاب الفقار المقسط أو اللاصق Ankylosing spondylitis باليونانيةankylos, stiff; spondylos, vertebrae), تسمى قديماًBekhterev's disease, Bekhterev syndrome, و Marie-Strümpell disease هو نوع من التهاب المفصل في العمود الفقري. وهو يسبب تورماً بين الفقرات، والفقرات هي الأجزاء الأسطوانية التي تكون العمود الفقري، كما يسبب تورماً في المفاصل بين العمود الفقري والحوض. إن التهاب الفقار المقسط أو اللاصق هو أحد أمراض المناعة الذاتية. إن الجهاز المناعي المسؤول عن حماية الجسم من العدوى يقوم بمهاجمة أنسجة الجسم نفسها في حالة أمراض المناعة الذاتية. ويكون التهاب الفقار اللاصق أكثر انتشاراً وخطورة عند الرجال. وكثيراً ما يكون مرضاً ينتقل عن طريق الوراثة.[1]
ومن أعراضه المبكرة ألم الظهر والتيبس. وهي تبدأ غالباً في مرحلة المراهقة المتأخرة أو أوائل البلوغ. ومع مرور الوقت يمكن لالتهاب الفقار اللاصق أن يؤدي إلى التحام الفقرات مما يقيد حركتها. يمكن أن تتفاقم الأعراض كما يمكن أن تتراجع أو تختفي تماماً. إن هذا المرض غير قابل للشفاء، لكن الأدوية يمكن أن تهدئ الألم والتورم والأعراض الأخرى. ويمكن أن تكون التمارين الرياضية مفيدة أيضاً.
ويقدر انتشار التهاب الفقار المقسط بـ 1 % من السكان البيض، ويكون الانتشار في الأمريكان السود 1 /4 نسبته في البيض. وتتساوى نسبة إصابة الرجال والنساء في التهاب المفصلين العجزيين الحرقفيين، إلا أن هذه النسبة تصل إلى 1/3 في التهاب الفقار. يبدأ المرض عادة في العقدين الثاني والثالث، مع وقوع عائلي واضح في أقارب الدرجة الأولى للمصابين باعتلالات المفاصل الفقارية.
العلامات والأعراض
يبدأ التهاب الفقار المقسط في صغار البالغين بألم مبهم في أسفل الظهر، ويبوسة مديدة تالية للراحة تتحسن جزئياً بالحركة والتمارين الرياضية. ينتشر الألم إلى الاليتين والقسم الخلقي من الساقين. كما يحدث ألم في القفص الصدري بإصابة المفاصل الغضروفية المركزية فيه، وقد يكون لهذا الألم صفات جنبية، ويظهر الألم أيضاً في مفاصل قبضة القص Manubriosternal والمفاصل القصية الترقوية. إن التهاب ارتكازات الأربطة والأوتار عرض بارز وقد يكون العرض الأول. وينجم الألم عن التهاب الأصابع Dactylitis ' أو وتر أشيل، أو اللفافة الأخمصية، أو عرف الحرقفة iac أ I Crest. تكون الإصابة المفصلية بشكل الام مفصلية، أو التهاب مفاصل عديد، يصيب المفاصل الزليلة الدانية وبشكل غير متناظر كالكتفين والمرفقين والركبتين ونادرا المفاصل الصغيرة القاصية. وتترافق هذه الإصابة بيبوسة صباحية مديدة وأحياناً بتورم الا أنه من غير الشائع حدوث إصابة مفصلية تاكلية شديدة.
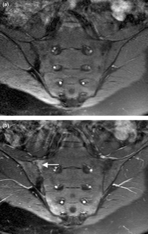
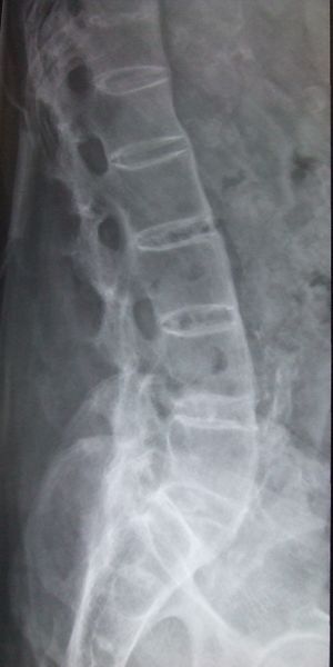
يحدث التهاب العنبية الأمامي في حوالي ربع المرضى، ويتظاهر بألم واحمرار وخوف من الضياء، وتكون هذه الإصابة نوبية، وحيدة أو ثنائية الجانب. يبدي الفحص السريري نقصاً في حركية العمود الفقري، مع فقد تام أو جزئي للقعس القطني الفيزبولوجي، وزيادة في الحدب الظهري. أما المظاهر المتأخرة فتشمل تحدد حركة جدار الصدر في الشهيق العميق (أقل من 2.5 سم) مع انحناء تدريجي، وثبات العمود الفقري والرأس في وضعية العطف. ويمشى المريض جاراً قدميه Shuffling Gait مع تفاوت شدة إصابة المفاصل المحيطة.[2]
الفيزيولوجيا المرضية
التشخيص

العلاج
الدواء
التدخل الجراحي
العلاج الطبيعي
الإنذار
Factors that may affect recovery
قالب:Rewrite section Prognosis may not be favorable if the following symptoms continue:
- Hip involvement
- Plus 3 of the following in the first 2 years of disease:
- ESR >30 mm/h
- Unresponsive to NSAIDs
- Limitation of lumbar spine
- Sausage-like fingers or toes
- Oligoarthritis
- Onset <16 years old
علم الأوبئة
التاريخ
الأبحاث
مشاهير اصيبوا بالتهاب الفقار المقسط
- John Addey,[3] an English astrologer who lived from 1920 to 1982.
- Kenneth Andreassen,[4] a Norwegian football midfielder born in 1985 and who currently plays for Ull/Kisa.
- Mike Atherton,[5] a broadcaster, journalist and retired England international cricketer born in 1968.
- Rico Brogna,[6] a former Major League Baseball first baseman born in 1970.
- Jay Chou,[7][8] a Taiwanese musician, singer-songwriter, music and film producer, actor and director who was born in 1979 and has won the World Music Award four times.
- Norman Cousins,[9] an American political journalist, author, professor. Wrote Anatomy of an Illness, a best-seller, describing how he cured himself of the disease, which is, however, incurable. Most likely he had reactive arthritis.
- Bruce Furniss,[10] an American swimmer born in 1957.
- Andrew George,[11] a British Liberal Democrat politician born in 1958.
- Bryan Gunn,[12] a Scottish former professional goalkeeper and football manager born in 1963.
- Edward Hubbard,[13] an English architectural historian who worked with Nikolaus Pevsner in compiling volumes of the Buildings of England and lived from 1937 to 1989.
- Lee Hurst,[14] an English stand-up comedian born in 1962.
- Michael King,[15] an English professional golfer born in 1950.
- Vladimir Kramnik,[16] a Russian chess grandmaster born in 1975.
- Paul Kuhr,[17] an American musician, vocalist, lyricist, author, and graphic designer who was born in 1971 and was a founding member of the band Novembers Doom.
- Iain Macleod,[18] a British Conservative Party politician and government minister who lived from 1913 to 1970.
- Mick Mars,[19] lead guitarist for American heavy metal band Mötley Crüe who was born in 1951.
- Nikolai Ostrovsky,[20] a Soviet socialist realist writer, who published his works during the Stalin era and lived from 1904 to 1936.
- Michael Slater,[21] a former Australian cricketer who played in 74 Tests and 42 ODIs for the Australian cricket team from 1993 to 2001 and was born in 1971.
- Chris Small,[22] a retired Scottish professional snooker player born in 1973.
- William Soutar,[23] a Scottish poet born in 1898 and died in 1943.
- David Oswald Thomas,.[24] a Welsh philosopher, born in Rhuthun, Denbighshire in 1924 and died in 2005.
- Leonard Trask,[25] born in 1805 and who condition provided the first American description of ankylosing spondylitis.
- Ian Woosnam,[26] a Welsh professional golfer born in 1958.
التهاب الفقار المقسط في الأدب
انظر أيضاً
- NIAMS, the National Institute of Arthritis and Musculoskeletal and Skin Diseases
- SAA, Spondylitis Association of America
- AF, Arthritis Foundation
المصادر
- ^ Ankylosing Spondylitis - التهاب الفَقار المقسِّط، المفسر
- ^ التهاب الفقار المقسط، لمسة شفا
- ^ Mann, A. T. (2004). The future of astrology. p. 41. ISBN 1931044872. OCLC 57641554. Retrieved 18 ديسمبر 2011.
{{cite book}}
: More than one of|pages=
and|page=
specified (help) - ^ Helbostad, Trym (7 يونيو 2006). "Endelig på banen igjen". Romerikes Blad (in Norwegian). Retrieved 26 مارس 2009.
{{cite news}}
: CS1 maint: unrecognized language (link) - ^ Nick Gough (2005). Puzzling Out General Medicine, Part 2. Remedica. p. 60. ISBN 1901346870. Retrieved 18 ديسمبر 2011.
- ^ Doug Glanville (2010). The Game from Where I Stand: A Ballplayer's Inside View. Macmillan. p. 188. ISBN 1429947209. Retrieved 18 ديسمبر 2011.
{{cite book}}
: More than one of|pages=
and|page=
specified (help) - ^ (صينية) "Jay Chou discusses the wonder of life in illness 二度造访心情电视 周杰伦谈病痛中的精彩人生" (News article). sina.com.cn. 28 أبريل 2003. Retrieved 2 يونيو 2007.
- ^ (صينية) "Jacky Wu: Jay Chou takes 12 painkillers 吴宗宪:周杰伦一度服12颗止痛药" (News article). zaobao.com. 25 فبراير 2006. Retrieved 2 يونيو 2007.
- ^ Siân Griffiths (2005). Change and Development in Specialist Public Health Practice: Leadership, Partnership and Delivery. Radcliffe Publishing. p. 43. ISBN 1857756975. Retrieved 18 ديسمبر 2011.
{{cite book}}
: More than one of|pages=
and|page=
specified (help) - ^ Jean, Dorthy (ديسمبر 1999). "You Gotta Play Hurt". Orange Coast Magazine. Emmis Communications. 25 (12): 20. ISSN 0279-0483. Retrieved 18 ديسمبر 2011.
{{cite journal}}
: More than one of|pages=
and|page=
specified (help) - ^ Andrew George (19 سبتمبر 2010). "Toothache in my hips; MP Andrew George tells how it feels to have the rheumatic disease ankylosing spondylitis". The Mail on Sunday. Retrieved 18 ديسمبر 2011.
- ^ Forsyth, Paul (25 يناير 2009). "Interview: Gunn slings his hat in the ring at City". Scotland on Sunday. Edinburgh. Retrieved 15 مارس 2011.
- ^ Edward Hubbard (1991). The work of John Douglas (illustrated ed.). Victorian Society. p. introduction. ISBN 0901657166. Retrieved 18 ديسمبر 2011.
{{cite book}}
: More than one of|pages=
and|page=
specified (help) - ^ "Probe into arthritis pain". BBC News. BBC News. 24 أغسطس 2002. Retrieved 6 سبتمبر 2007.
- ^ Casey, Phil (29 يوليو 2006). "New treatment puts Woosnam back in title hunt". The Independent. Retrieved 18 ديسمبر 2011.
- ^ "ChessBase.com - Chess News - Kramnik drops out of Wijk Super-Tournament". Chessbase.com. Retrieved 4 نوفمبر 2008.
- ^ "Study Finds Arthritis Genes". International Business Times. 15 يوليو 2002. Retrieved 18 ديسمبر 2011.
- ^ Nigel Fisher (1973). Iain Macleod. Deutsch. p. 46. ISBN 0233963243. Retrieved 18 ديسمبر 2011.
{{cite book}}
: More than one of|pages=
and|page=
specified (help) - ^ Lee, Tommy; Strauss, Neil (2002) [2001]. The Dirt: Confessions of the World's Most Notorious Rock Band (reprint, illustrated ed.). HarperCollins. p. 186. ISBN 0060989157. OCLC 212381899. Retrieved 18 ديسمبر 2011.
{{cite book}}
:|contributor=
requires|contribution=
(help); More than one of|pages=
and|page=
specified (help); Unknown parameter|coauthors=
ignored (|author=
suggested) (help) - ^ Dan Richardson (2001). The rough guide to Moscow. Rough Guides. p. 135. ISBN 1858287006.
- ^ "Michael Slater". Presenters: Andrew Denton and Michael Slater. Enough Rope with Andrew Denton. ABC Television, Australia. March 14, 2005. 30 minutes in. Transcript.
- ^ "Small forced to give up snooker. Former World No.12 Chris Small has retired from snooker due to a degenerative spinal disease". BBC News. BBC. 23 سبتمبر 2005. Retrieved 18 ديسمبر 2011.
- ^ University of Edinburgh. Graduates' Associatio (1995). University of Edinburgh journal, Volumes 37-38. University of Edinburgh. p. 239. OCLC 1831427.
- ^ Martin Fitzpatrick and W. Bernard Peach; Enlightenment and Dissent; Aberystwyth; 19, 2000, vii-xiii; and 21, 2002 vii.
- ^ Jayson MI (مارس 2003). "Leonard Trask: the wonderful invalid: the first American description of ankylosing spondylitis". Rheumatology (journal). British Society for Rheumatology. 48 (3): 612–613. PMID 12632411. Retrieved 18 ديسمبر 2011.
- ^ Casey, Phil (29 يوليو 2006). "New treatment puts Woosnam back in title hunt". The Independent. Retrieved 18 ديسمبر 2011.
وصلات خارجية
- التهاب الفقار المقسط at the Open Directory Project
- NASS - National Anklosying Spondylitis Society
أدوات التشخيص
- Bath Ankylosing Spondylitis Disease Activity Index Calculator (BASDAI)
- Bath Ankylosing Spondylitis Functional Index Calculator (BASFI)