منظم ضربات القلب

منظم ضربات القلب pacemaker (أو منظم ضربات القلب الصناعي، لعدم الخلط بينه وبين منظم ضربات القلب الطبيعي)، هو جهاز طبي يستخدم النبضات الكهربائية، ويوصلها عن طريق الأقطاب الكهربية المتصلة بعضلات القلب، لتنظيم دقات القلب
التاريخ

الحالات المستهدفة
أن القلب وهو عضو متخصص، يمتلئ بالدم وينبض بشكل متواصل ليضخ الدم المحمل بالأكسجين والغذاء اللازم إلى كافة أنحاء خلايا الجسم.
ويتم التحكم بالانقباضات القلبية من خلال مؤثرات كهربائية يكون مصدرها الجزء الأعلى من الأذين الأيمن للقلب عن طريق نوع من الخلايا الخاصة تعرف باسم خلايا العقدة الجيبية الأذنية (وهي المنظم الطبيعي للقلب) والتي ترسل بدورها شبكة من نبضات القلب الكهربائية بطريقة منتظمة فيتم انقباض الأذين الأيمن والأيسر في وقت واحد دافعين الدم إلى البطين الأيمن والأيسر. وعند امتلائهما يقومان بدورهما مره أخرى بدفع الدم إلى الشريان الرئوي والشريان الأورطي لتوصيل الدم إلى الرئتين وبقية أجزاء الجسم، وهذه العملية تتكرر مع كل نبضة قلب. في حالة الراحة يكون معدل نبضات القلب للكبار من 60-80 نبضة بالدقيقة بينما في الأطفال فيكون من 80 – 110 وقد يزداد هذا الرقم عن 100 نبضة بالدقيقة للكبار في بعض حالات الإجهاد أو الانفعال النفسي. فأثناء التمارين الرياضية مثلا تزداد حاجة عضـلات الأرجل والأذرع لكميات أكثر من الدم، وللاستجابة لهذا المطلب يستجيب القلب الطبيعي أوتوماتيكيا بزيادة عدد نبضاته في الدقيقة.[1]
في بعض الأحيان لا تكون استجابة القلب بصورة ملائمة كأن تكون السرعة بطيئة جدا أو سريعة أكثر من اللازم أو غير منتظمة، وأحياناً لاتنقل النبضات الكهربائية بشكل صحيح للجزء السفلي من القلب هذه الحالة تسمى ( حركة قلبية قليلة الضربات). وفي أي من هذه الأحوال تقل قدرة القلب على ضخ الدم إلى كافة أنحاء الجسم وهذا يؤدي إلى بعض الأعراض: مثل التعب، الإعياء، فقدان الوعي والنهجان، وفي هذه الحالة يقوم الطبيب بأختيار أفضل سبل العلاج ويكون الحل الأمثل هو زراعة منظم لضربات القلب.
مكونات الجهاز
منظم ضربات القلب هو جهاز صغير مزود ببطارية صغيرة ووظيفته إرسال تنبيهات كهربائية للقلب بصورة منتظمة والتي بدورها تؤدي إلى انقباض القلب بصورة منتظمة وملائمة ليقوم بضخ الدم إلى جميع أجزاء الجسم.
وتنحصر أجزاء المنظم في جزئين رئيسيين:
1- مولد للتنبيه: هو عبارة عن علبة معدنية صغيرة الحجم بداخلها بطارية التشغيل بالإضافة إلى العديد من الدوائر الكهربائية المعقدة التي تعمل على مراقبة تعداد ضربات القلب وكذلك قوة التنبيه الكهربائي الموجه للقلب.
2- السلك الكهربائي: هو عبارة عن سلك مرن عازل يصل بين منظم القلب والبطين الأيمن، ويقوم بنقل التنبيهات الكهربائية من وإلى القلب.
أنواع منظامت ضربات القلب
يوجد نوعان من المنظمات القلبية، المنظم ذو غرفة واحدة والمنظم ذو غرفتين والطبيب هو الذي يحدد نوع المنظم المراد تركيبه للمريض حسب ملاءمته لحالته. ومعظم المنظمات الحديثة تكون مبرمجة بحيث يمكنها اكتساب الكثير من الصفات العادية مثل معدل التنبيه وقوة الومضة الكهربائية ويمكن تعديل هذه الصفات لتتناسب مع المتطلبات الخاصة لكل مريض. وهذه المنظمات الحديثة يمكن التحكم في عملها بجهاز خارجي ((المبرمج)) فيمكن تغيير صفاتها كما هو الحال عند التحكم في جهاز التلفزيون عن بعد، وعليه فيمكن للطبيب تغيير عمل المنظم حسب حاجة المريض دون الحاجة لتغيير هذا المنظم.
1- المنظم ذو غرفة واحدة: هذا النوع يتصل بالقلب بواسطة سلك كهربائي واحد لتوصيل الومضات الكهربائية من وإلى المولد الكهربائي والقلب، وهذه المنظمات تنبه الغرفة السفلي للقلب (البطين).
2 - المنظم ذو غرفتين: هذا النوع من المنظمات يكون متصل بالقلب بواسطة سلكين كهربائيين يتصل أحدهما بالغرفة العليا (الأذين) والآخر بالغرفة السفلي للقلب (البطين) وهذه المنظمات بإمكانها الإحساس بالإنقباض الطبيعي للقلب وتنبيه إحدى أو كلا الغرفتين. معظم المرضى الذين يحتاجون لهذه المنظمات يكون لا يزال لديهم بعض التنبيهات القلبية الطبيعية، وفي هذه الحالة يقتصر عمل منظم القلب على الاحتياج الفعلي حسب حاجة القلب.
المنظمات القادرة على الاستجابة السريعة لمتغيرات الجسم
من المنظمات الحديثة لها القدرة على تغيير الإيقاع القلبي وضبط أرسال الومضات الكهربائية حسب حاجة المريض سواء كان في حالة راحة أو في حالة جهد بدني، ففي الحالة الأولى يعمل المنظم على الخفض من التنبيه وفي الحالة الثانية، أي في حالة العمل يزيد قوة وعدد التنبيهات، والطبيب هو الوحيد الذي يقرر نوعية المنظم الملائمة لكل مريض حسب احتياجه.
وتعتمد المنظمات ذو العامل الحسي على عدة عوامل أهمها الحركة الجسدية حيث تزداد التنبيهات أو تقل تبعا للزيادة او النقصان في حركة المريض، والعامل الآخر هو( تنفس الإنسان بالدقيقة الواحدة) وهذا العامل الحسي يراقب ويعتمد عدد مرات التنفس وعمقها كالتالي:
كلما كان التنفس سريعا وعميقا كما هي الحالة أثناء ممارسة التمرينات الرياضية يكون هذا حافزا لمنظم القلب لزيادة التنبيهات وعليه تزداد سرعة نبضات القلب.
وعند تناقص وتباطئ عدد مرات التنفس كما هي الحالة أثناء النوم أو الراحة يكون هذا حافزا لمنظم القلب لتقليل عدد التنبيهات وعلية تقل التنبيهات وتقل سرعة نبضات القلب. ويوجد أنواع أخرى من المنظمات تعتمد على عوامل أخرى مثل درجة الحموضة وغيرها.
طرق الإنظام
إنظام صادم
إنظام عن طريق الجلد
إنظام نخابي (مؤقت)

إنظام عن طريق الوريد (مؤقت)
الإنظام الدائم
الوظائف الأساسية
I | II | III | IV | V |
---|---|---|---|---|
حجرة الإنظام | حجرة الاستشعار | الاستجابة للاستشعار | تشكيل المعدل | الإنظام متعدد المواقع |
O = لا يوجد | O = لا يوجد | O = لا يوجد | O = لا يوجد | O = لا يوجد |
A = Atrium | A = Atrium | T = Triggered | R = Rate modulation | A = Atrium |
V = Ventricle | V = Ventricle | I = Inhibited | V = Ventricle | |
D = Dual (A+V) | D = Dual (A+V) | D = Dual (T+I) | D = Dual (A+V) |
الإنظام البطيني

تقدم الوظائف

اعتبارات
الزرع
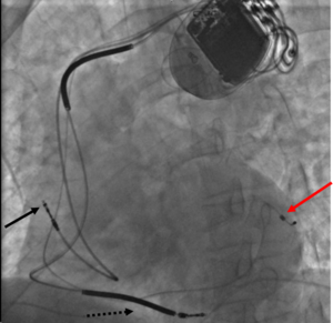
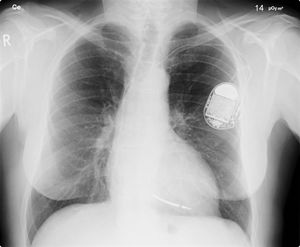
إن معظم منظمات ضربات القلب تركب في الجزء الأعلى من الصدر من خلال عملية تستغرق حوالي ساعة واحدة تجرى تحت تأثير التخدير الموضعي فقط، حيث يقوم الطبيب المختص بعمل فتحة صغيرة في الجلد ومن ثم يتم إدخال المنظم تحت الجلد بعد إتمام عملية توصيل السلك الكهربائي في المكان الخاص به بالقلب عن طريق الأوردة ومن ثـم يتـم إغلاق هذه الفتحة بالخيوط الجراحية.
وأثناء عملية التركيب هذه يقوم الطبيب بمراقبة حركة السلك من خلال شاشة تلفزيونية تحت الأشعة السينية لوضع السلك الكهربائي في مكانه المحدد بالقلب.
بعد ذلك يقوم الطبيب بمراقبة الجهاز قبل وبعد خروج المريض من المستشفى حيث تتم أولا المراقبة الأولى للتأكد التام من شفاء والتئام الجرح وكذلك مراقبة عمل المنظم حسب البرمجة التي عملت له والجواب على أسئلة واستفسارات المريض.
وبعد المراقبة الأولى تتم عملية المتابعة العادية في المستشفى أو في عيادة الطبيب المعالج. ويجب على المريض أخذ العلاج الموصوف له بواسطة الطبيب واتباع تعليماته وفي نفس الوقت إبلاغه عن أي مشاكل قد تعترضه مثل: احمرار الجرح أو عدم جفافه، وجود سخونة أو ألم في مكان الجرح وارتفاع درجة حرارته.
بطاقة التعريف لحامل المنظم
يحصل المريض المزود بمنظم ضربات القلب عاده على بطاقة تعريف تحتوي على تعريف شخصي للمريض ومعلومات أساسيه عن المنظم المزروع واسم الطبيب المعالج ورقم هاتفه.
وفي حالة حصول حادث فأن هذه البطاقة تكون محتوية على المعلومات الهامة ويجب أن تكون مع المريض في جميع الأوقات،وفي حالة السفر تبرز البطاقة للإيضاح في حالة أكتشاف المنظم عبر نقاط التفتيش بواسطة كاشف المعادن، علما بأن الأجهزة المستخدمة في نقاط التفتيش لاتؤثر على منظم ضربات القلب.
التعايش مع منظم ضربات القلب
بعض المرضى يشعرون في غالب الأحيان بتحسن كبير وفوري بعد عملية التركيب مباشرة، والبعض يحتاج إلى فترة ليبدأ معها التحسن الفعلي. وفي خلال أسابيع قليلة يكون المريض قادرا على استعادة جميع قدراته وحيويته التي كانت موجودة سابقا قبل احتياجه للمنظم.
الفحوصات الدورية لمنظمات ضربات القلب
قبل مغادرة المستشفى يقوم الطبيب المعالج بإبلاغ المريض بأول موعد لتقويم على المنظم والذي يكون عادة في عيادة القلب الخاصة بالمنظمات للتأكد من التئام الجرح وكفاءة وعمل المنظم . بعد عملية التقويم الأولي يطلب الطبيب من المريض الحضور في مواعيد محدده لإعادة التقويم للتأكد من كفاءة عمل المنظم وتسجيل ذلك في سجلات العيادة.
وإذا توفرت خدمة المتابعة عن طريق الهاتف… يقوم جهاز الهاتف بنقل صورة كاملة عن رسم القلب ونقلها إلى عيادة المنظمات حيث تظهر على شاشة تلفزيونية لدى الطبيب وهذه الطريقة تقلل من زيارات المريض إلى مكتب الطبيب المعالج.
المؤشرات الجسدية التي تدل على عدم كفاءة عمل الجهاز المنظم
تكون هذه المؤشرات عاده هي نفس المؤشرات التي كان يشعر بها المريض قبل تركيب المنظم وتشتمل على: صعوبة في التنفس، انتفاخ في القدمين والكعبين ومفصل الرسغ، شعور متواصل بالتعب والإرهاق، ألم في الصدر، الإجهاد، عدم انتظام في ضربات القلب، الدوخة والإغماء.
اعتبارات خاصة بأسلوب الحياة
النشاط اليومي الطبيعي
من المهم استشارة الطبيب عن مدى سرعة عودة المريض لممارسة نشاطه العادي أو إذا كان هناك بعض التحفظات لبعض الأنشطة مثل: الاستحمام، ممارسة الحياة الجنسية الطبيعة و العودة للعمل أو المدرسة و قيادة السيارة. وبإمكان المريض السفر حسبما يريد ولكن بموافقة الطبيب مسبقا خاصة إذا كان ينوي السفر في رحلة طويلة. هذا ويجب التنويه أن الأجهزة الإشعاعية المتواجدة في المطارات لا تؤثر على وظيفة المنظم، ولكن من الأفضل إعلام المسؤولين بالمطار عن وجود المنظم لأنه ربما يصدر علامة أنذار عند المرور من خلال نقاط التفتيش والمراقبة.
التمارين الرياضية
يجب عدم حمل الأثقال أو إجراء التمارين الشديدة على الأقل لمدة أسبوعين أو ثلاثة أسابيع من تاريخ تركيب المنظم أو لحين موافقة الطبيب المعالج. حيث يستطيع المريض ممارسة معظم نشاطاته العادية التي كان يزاولها قبل تركيب المنظم بما في ذلك السباحة وحمل الأثقال مع بعض التحفظات من زيادة العنف والحركة في مفاصل الكتف التي ربما تتسبب في إحداث مشاكل في نقطة توصيل السلك بالمنظم وربما ينفصل التوصيل .
تأثير الآلات الكهربائية
إن منظمات ضربات القلب الحديثة محمية من كل تأثير ناتج عن الآلات الكهربائية. يمكن للمريض بأمان استعمال جميع الآلات المنزلية طالما أن هذه الآلات سليمة وفي حالة جيدة وهذه تشمل: أفران الميكرويف، مجفف الشعر، البطاريات الكهربائية، آلات الحدادة الخفيفة، والكمبيوتر.
التحذيرات
- يجب أن يكون المريض على علم تام بأن تواجده في مجال كهرومغناطيسي عالي قد يؤثر على منظم ضربات القلب مثل القرب من محطات البث الإذاعي والتلفزيوني ومحطات الرادار.
- كذلك قد يحدث تأثير على عمل المنظم في حالة تواجد المريض بالقرب من مصادر الإشعاع مثل محطات الطاقة، والكهرومغانطيسية. وبهذا يستطيع المريض تجنب التأثر بالابتعاد عن مثل هذه المصادر المؤثرة وتعتمد المسافة على قوة هذه المصادر.
- يجب على المريض عدم الاقتراب من أجهزة الرنين المغناطيسي MRI بالمستشفيات وإذا صادف وجوده في مكان ما وشعر بإحساس غير عادي بسبب تواجد آلات كهربائية قوية المجال فيجب عليه الابتعاد في الحال لكي يعود المنظم لعمله ووظيفته الطبيعية، ومـن الأفضل إعلام الطبيب بذلك.
- يجب على المريض عدم استخدام الهاتف الجوال باليد التي يوجد المنظم بقربها مع أن الغالبية العظمى من منظمات ضربات القلب الحديثة محمية من التأثير الناتج عن الهاتف الجوال.
إغلاق منظم ضربات القلب
السلامة والأمان
المضاعفات
العمر الافتراضي للمنظم
حيث أن منظم ضربات القلب يأخذ طاقته من البطارية الموجودة داخل العلبة ولهذه البطارية فترة عمل محدودة ككل البطاريات لذا فإن مدة العمر الافتراضي لمعظم المنبهات القلبية تتــراوح بين 4- 8 ويمكن للطبيب معرفة الوقت المناسب لتبديل المنظم قبل انتهاء مدة عمله بسهولة وذلك عن طريق التقويم المستمر على البطارية من خلال زيارات المتابعة الدورية.
إن تركيب منظم جديد لضربات القلب يتم بسهولة وبمدة قصيرة جدا حيث يحتاج إلى تخدير موضعي بسيط ويتم أستبدال المنظم ( المولد ) فقط بعد التأكد من سلامة الأسلاك الخاصة بالمنظم وكفائتها يقوم الطبيب بتوصيلها بالمولد الجديد دون الحاجة إلى استبدالها.
أجهزة أخرى لها نفس الوظيفة
I | II | III | IV |
---|---|---|---|
Shock chamber | Antitachycardia pacing chamber | Tachycardia detection | Antibradycardia pacing chamber |
O = None | O = None | E = Electrogram | O = None |
A = Atrium | A = Atrium | H = Hemodynamic | A = Atrium |
V = Ventricle | V = Ventricle | V = Ventricle | |
D = Dual (A+V) | D = Dual (A+V) | D = Dual (A+V) |
ICD-S | ICD with shock capability only |
ICD-B | ICD with bradycardia pacing as well as shock |
ICD-T | ICD with tachycardia (and bradycardia) pacing as well as shock |
انظر أيضاً
- منظم ضربات القلب الحيوي
- طب القلب
- Electrical conduction system of the heart
- Transcutaneous pacing
- متلازمة منظم ضربات القلب
- Infective endocarditis
المصادر
- ^ د. محمد علي حباب. "منظمات ضربات القلب ( البيسميكرز)". جمعية القلب السعودية. Retrieved 2012-10-09.
- ^ Bernstein A, Daubert J, Fletcher R, Hayes D, Lüderitz B, Reynolds D, Schoenfeld M, Sutton R (2002). "The revised NASPE/BPEG generic code for antibradycardia, adaptive-rate, and multisite pacing. North American Society of Pacing and Electrophysiology/British Pacing and Electrophysiology Group". Pacing Clin Electrophysiol. 25 (2): 260–4. PMID 11916002.
{{cite journal}}
: CS1 maint: multiple names: authors list (link) - ^ أ ب Bernstein A, Camm A, Fisher J, Fletcher R, Mead R, Nathan A, Parsonnet V, Rickards A, Smyth N, Sutton R (1993). "North American Society of Pacing and Electrophysiology policy statement. NASPE/BPEG defibrillator code". Pacing Clin Electrophysiol. 16 (9): 1776–80. PMID 7692407.
{{cite journal}}
: CS1 maint: multiple names: authors list (link)
وصلات خارجية
- Implantable Cardioverter Defibrillator from National Heart, Lung and Blood Institute
- Biventricular Pacemaker: What is Cardiac Resynchronization Therapy? Podcast from the Medical University of South Carolina
- Current indications for CRT-P and CRT-D: Webinar from the European Heart Rhythm Association (EHRA)