تصوير مقطعي حاسوبي

(تم التحويل من CT scan)
A patient is receiving a CT scan for cancer. Outside the scanning room is the imaging computers that reveal a 3D image of inside the body.

التصوير المَقْطَعي الحاسوبيX-ray computed tomography نظام تصوير بالأشعة السينية، يُسْتخدم لتصوير مختلف أجزاء الجسم مثل الرأس والقلب والبطن. ويستعين الأطباء بالتصوير المقطعي الحاسوبي على تشخيص الأمراض وعلاجها. وتسمى هذه التقنية أيضًا التصوير المقطعي المحوسب أو التصوير المقطعي المحوري المحوسب.

وللحصول على صورة أشعة مقطعية، يرقد المريض على طاولة تمر من خلال آلة فحص دائرية، تسمى المِسْند. وتوضع الطاولة بحيث يكون العضو المراد فحصه واقعًا عند منتصف المسند. وعن طريق أنبوب على المسند، تخرج أشعة سينية مخترقةً جسد المريض، ثم تدخل إلى مكشافات خاصة تقوم بتحليل الصورة التي ظهرت. ويدور المسند حول المريض للحصول على كثير من الصور من زوايا مختلفة. وبعد ذلك، يعالج الحاسوب المعلومات الآتية من المكشافات، لينتج صورة مقطعية مستعرضة على شاشة فيديو. وعن طريق تحريك الطاولة داخل المسْند، يمكن للأطباء الحصول على العديد من الفحوص للعضو نفسه، أو للجسد كله.

وفي بعض الأحيان، يُحقن في الجسد محلول اليود ويسمى عامل التباين ، حتى يساعد على ظهور أعضاء معيّنة بوضوح في التصوير المقطعي الحاسوبي. ولفحص البطن والحوض، يشرب المريض مزيج الباريوم (الذي لا يُنفِذ الأشعة السينية) لتحديد الأسطح الداخلية للمعدة والأمعاء.

ويستعمل الأطباء فحوص التصوير المقطعي الحاسوبي لتشخيص كثير من الحالات مثل الأورام والإصابات وتجلطات الدم وكسور العظام. ويساعد التصوير المقطعي الحاسوبي أيضًا في معالجة بعض الأمراض، التي قد تتطلب جراحة بطريقة أخرى. فمثلا،ً يمكن للأطباء استعمال التصوير المقطعي الحاسوبي لإرشادهم إلى إدخال القثطار (أنبوب رفيع) إلى خُرّآج في الجسم لسحب الصديد من المنطقة الملوثّة.

تعود تسميتها إلى كون هذه الطريقة تعطى صورًا شعاعية على شكل مقاطع للجسم، يجري التصوير المقطعي المحوسب بواسطة جهاز خاص، يسمى جهاز التصوير المقطعي المحوسب أو الماسحة المقطعية المحوسبة، تتميز هذه الطريقة بدقتها، تعطي صورًا واضحة، ويمكن أن تعطي صورًا لأماكن قد تكون من الصعب تصويرها بالتصوير الشعاعي التقليدي، كذلك يمكن عملها بشكل سريع ودقيق.

The prototype CT scanner
A historic EMI-Scanner

طريقة العمل

يكشف ماسح التصوير المقطعي الحاسوبي بدون غلافه عن مدى تعقيد الجهاز أثناء عمله. الصورة مقدمة من [1]

يمكن للأطباء أن ينظروا داخل جسم المريض عن طريق طلب إجراء مسح للعظام والأوعية الدموية والأدمغة والأنسجة الرخوة بفضل ماسح التصوير المقطعي الحاسوبي (CT). بعد إجراء أول فحص طبي بالأشعة المقطعية للمريض في عام 1971، استخدم أطباء الأشعة عمليات المسح لتشخيص الأورام والصدمات والتخطيط للعلاج الطبي والجراحي والإشعاعي في جميع أجزاء جسم الإنسان تقريباً.

داخل الجهاز على شكل كعكة الدونات، حيث يستلقي المرضى على الطاولة بينما يتحرك ببطء عبر الماسح الضوئي، تدور الآلة حولها. أثناء دورانه، يرسل شعاعاً رفيعاً من الأشعة السينية عبر الجسم، والذي يتم جمعه على الجانب الآخر من الجهاز ونقله إلى برنامج حاسوب، حيث يتم تحميله على شاشة لعرضها على تقنيي التصوير المقطعي المحوسب.

يتحول إلى صورة مقطعية أو مسح ضوئي أو "شريحة" لجسم الإنسان، ويستغرق في بعض الجلسات أقل من 15 دقيقة لإكمال الفحص بالأشعة المقطعية. لقد أصبحت ممارسة طبية موثوقة وروتينية على مر السنين. من عام 1996 إلى عام 2010، تضاعفت معدلات التصوير المقطعي المحوسب ثلاث مرات، مما أدى إلى إضافة ما يصل إلى 149 فحصاً لكل 1000 مريض يدخلون المستشفى.[2]

الاستخدامات

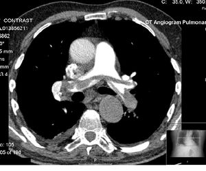
Example of a CTPA, demonstrating a saddle embolus (dark horizontal line) occluding the pulmonary arteries (bright white triangle)

يستخدم التصوير المقطعي المحوسب في تشخيص الأورام الخبيثة والحميدة في مناطق مختلفة في الجسم.

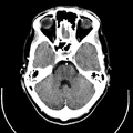
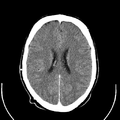
أشعة مقطعية للرأس توضح صورة المخ

وتستخدم في تصوير الشريان والأوردة بدل من الأشعة التداخلية وهي أكثر أمانًا وتستغرق وقت قصير وتشخيص الجلطة الرئوية بدل التصوير النووي

أجيال جهاز المسح المقطعي

CT Scan of 11 cm Wilms' tumor of right kidney in 13 month old patient.

تصنف أجهزة المسح المقطعي إلى عدة أجيال حسب تطور آلية المسح وسرعته والمدة الزمنية المستغرقة لتكوين الصورة، وسوف نستعرض هذه الأجيال ونناقش مراحل تطورها.

الجيل الأول

CT scanner with cover removed to show the principle of operation

استخدم الجيل الأول من الماسحات المقطعية شعاع بسمك قلم الرصاص يوجه إلى الجسم ويتم رصده بواسطة كاشف واحد أو اثنين فقط. والصور يتم تجميعها من خلال مسح دوراني وانتقالي حيث يكون مصدر أشعة إكس والكاشف مثبتان في جهاز يسمى الجانتري gantry ويدوران بالنسبة لبعضهما البعض بحيث يكون جسم الإنسان في محور الدوران لهما، وتقدر المدة الزمنية للصورة الواحدة حوالي 4 دقائق حيث يكون الجانتري قد عمل دورة كاملة 360 درجة ثم ينتقل الجانتري لمسح جزء آخر من جسم الإنسان، وكان استخدام هذا الجيل يتطلب غمر جسم المريض في حوض مائي لتقليل تعرضه لأشعة إكس.

الجيل الثاني

Typical screen layout for diagnostic software, showing one 3D and three MPR views

تم تطوير جهاز المسح المقطعي بحيث زاد عدد الكواشف وأصبح شعاع أشعة إكس أكثر اتساعًا ليغطي الكواشف المقابلة له، طريقة المسح لا زالت شبيه بطريقة المسح المستخدمة في الجيل الأول، وتكون عن طريق مسح دائري وانتقالي حول جسم الإنسان، وزيادة عدد الكواشف وزيادة اتساع أشعة إكس أدى إلى أن تكون دورة المسح لكل مقطع من مقاطع الجسم تغطي 180 درجة بانتقال 30 درجة بدلًا من درجة واحدة كما كان في الجيل الأول مما أدى إلى تقليل زمن المسح.

الجيل الثالث

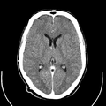
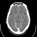
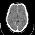
Computed tomography of human brain, from base of the skull to top. Taken with intravenous contrast medium.

طرأ تطور ملحوظ على الجيل الثالث من حيث السرعة في الحصول على الصورة، وذلك بإلغاء الحركة الانتقالية وجعل الحركة دائرية فقط، مما جعل زمن المسح ثانية واحدة فقط. وللتخلص من الحركة الانتقالية أثناء المسح في الجيل الثالث تم تصميم الكواشف التي ترصد أشعة إكس التي تنفذ من جسم الإنسان على شكل قوس مما يحافظ على مسافة ثابتة بين مصدر أشعة إكس والكواشف أثناء الدوران. كما تم إضافة حواجز بين المريض وأشعة إكس وبين المريض والكواشف لنضمن حزمة رقيقة من أشعة إكس التي تنفذ إلى جسم الإنسان مما يقلل من تعرضه للأشعة


الجيل الرابع

Bone reconstructed in 3D

تم تصميم الجيل الرابع مشابهًا للجيل الثالث من ناحية المسح بحركة دائرية فقط، والإضافة التي طرأت هي على الكواشف التي تم تثبيتها على كامل محيط الجانتري والتي بلغ عددها 1000 كاشف، مما جعل الحركة مقصورة على مصدر أشعة إكس فقط مع ثبات الكواشف لأنها تحيط كامل الجانتري. هذا التصميم جعل مسح مقطع كامل للجسم لا يستغرق أكثر من ثانية واحدة، وبهذه الطريقة يكون الجهاز قد صور باستخدام الأشعة السينية كل المنطقة.

جرعات مسح نموذجي

Examination Typical effective dose (mSv) (millirem)
Chest X-ray 0.1 10
Head CT 1.5[3] 150
Screening mammography 3[4] 300
Abdomen CT 5.3[3] 530
Chest CT 5.8[3] 580
CT colonography (virtual colonoscopy) 3.6–8.8 360–880
Chest, abdomen and pelvis CT 9.9[3] 990
Cardiac CT angiogram 6.7-13[5] 670–1300
Barium enema 15[4] 1500
Neonatal abdominal CT 20[4] 2000

معرض الصور

}}

انظر أيضا

المصادر

  1. ^ Shannonauntlero
  2. ^ Samantha Olson (2015-12-02). "CT Scanner Without Its Cover Demonstrates How It Works; Inside The Machine That Reveals Your Insides". www.medicaldaily.com.
  3. ^ أ ب ت ث Shrimpton, P.C; Miller, H.C; Lewis, M.A; Dunn, M. Doses from Computed Tomography (CT) examinations in the UK - 2003 Review
  4. ^ أ ب ت خطأ استشهاد: وسم <ref> غير صحيح؛ لا نص تم توفيره للمراجع المسماة NEJM-radiation
  5. ^ "Radiation Exposure during Cardiac CT: Effective Doses at Multi–Detector Row CT and Electron-Beam CT". Radiology.rsnajnls.org. 2002-11-21. Retrieved 2009-10-13.

وصلات خارجية

مرئيات

يوضح ماسح التصوير المقطعي الحاسوبي بدون غلافه

كيف يعمل؛ داخل الجهاز الذي يكشف عن داخلك