مخ
في الحيوانات, المخ أو الدماغ (باليونانية: Encephalon وتعني "في الرأس"), هو مركز تحكم الجهاز العصبي المركزي, المسئول عن التصرف. والمخ يقع في الرأس, محمياً بالجمجمة وقريباً من الجهاز الحسي الرئيسي vision, السمع, equilibrioception (اتزان), حاسة التذوق, والشم. وبينما كل الفقاريات لديها مخ, إلا أن معظم اللا فقاريات لديها إما مخ مركزي أو مجموعات من ganglia الفردية. الحيوانات البدائية مثل الاسفنج ليس لديها مخ على الاطلاق. والأمخاخ قد تكون معقدة للغاية. فعلى سبيل المثال, المخ البشري يحتوي على أكثر من 100 بليون neurons, each linked to as many as 10,000 other neurons.
استعراض عام
يشكل يشكل 85% من إجمالي وزن الدماغ. ويقسم شق كبير يسمى الشق الطولي المخ إلى نصفين يسميان نصف الكرة المخية الأيمن ونصف الكرة المخية الأيسر. ويتصل النصفان بحزم من الألياف العصبية ، يسمى أكبرها الجسم الثفني. وينقسم كل نصف بدوره إلى أربعة فصوص، يسمى كل منها باسم عظمة الجمجمة التي تقع فوقه. والفصوص هي:
1- الفص الجبهي في الجبهة.
2- الفص الصدغي في الجانب السفلي.
3- الفص الجداري في المنتصف.
4- الفص القذالي في المؤخرة.
وتكوِّن شقوق في القشرة المخية الحدود بين هذه الفصوص. والشقان الرئيسيان هما الشق المركزي والشق الجانبي.
وتكوِّن طبقة رقيقة من الخلايا العصبية تسمى [[القشرة المخية أو القشرة الجزء الخارجي من المخ. ويتكون معظم المخ تحت القشرة من ألياف من الخلايا العصبية. وتربط بعض هذه الألياف أجزاء القشرة بعضها ببعض، بينما تربط ألياف أخرى القشرة بالمخيخ وجذع الدماغ والحبل الشوكي.
والقشرة المخية مطوية في شكل سطح كثير النتوءات والأخاديد. ويزيد هذا الطي المساحة السطحية للقشرة، وعدد الخلايا العصبية التي تحتويها في الفراغ المحصور بالجمجمة. وتستقبل بعض مناطق القشرة المخية، المسماة القشرة الحسية الرسائل القادمة من الأعضاء الحسية، بالإضافة إلى رسائل اللمس ودرجة الحرارة من أجزاء الجسم المختلفة. وترسل مناطق في الفص الجبهي تسمى القشرة الحركية، الدفعات العصبية التي تتحكم في الحركات الإرادية لكل العضلات الهيكلية. وأكبر أجزاء القشرة حجمًا هو قشرة الترابط، حيث يحتوي كل فص على قشرة ترابط يحلل المعلومات ويعالجها ويخزنها. وقشرات الترابط هي التي تمكِّن الشخص من أداء النشاطات التي تتطلب قدرات عالية مثل التفكير والتحدث والتذكر.
الثنائية
اللافقاريات
الفقاريات
مناطق المخ في الفقاريات
الثدييات
الرئيسيات
مقالة مفصلة: قائمة مناطق المخ البشري
التركيب المهجري
التطور
الوظائف
يحدد تركيب الدماغ خبراتنا عن العالم حولنا، وتتحكم هذه الخبرات بدورها في كيفية نمو العصبونات، وارتباطها بعضها ببعض. وتتفاوت أدمغة الناس كثيرًا، اعتمادًا على خلفية كل شخص وخبرته. فالأصابع تنشط منطقة محددة من القشرة الحسية لدى كل الناس، ولكن هذه المنطقة أكبر لدى أولئك الذين يستخدمون أصابعهم أكثر، مثل العازفين على الآلات الوترية، أو الذين يقرأون بطريقة بريل (حروف من نقاط بارزة، مصممة خصيصًا للعميان).
وجد العلماء أيضًا دلائل تشير إلى أن أدمغة الرجال والنساء مختلفة. فالجسم الأصغر، أي شريط الألياف العصبية السميك الذي يربط بين نصفي الكرة المخية، كبير في النساء. وأوضحت الفحوصات الدقيقة للدماغ بعد الوفاة، أن عدد العصبونات في القشرة أكثر بنسبة 10% في النساء مقارنة بالرجال. كذلك أوضحت الدراسات التي أجريت في مجال قراءة الكلمات، والتفكير فيها، بعض الفروق بين الرجال والنساء، حيث وجد أن الرجال يستخدمون بصفة عامة نصف الكرة المخية الأيسر في معالجة اللغة، بينما تستخدم النساء النصفين.
والباحثون غير متأكدين من أن هذه الفروق العضوية بين أدمغة الرجال والنساء تعني وجود فرق في طريقة التفكير بين الجنسين. وهناك بعض الدلائل عن وجود اختلاف في القوة الذهنية بين الجنسين، حيث تشير الدراسات النفسية بصفة دائمة إلى أن أداء الرجال، في المتوسط، أفضل في المهام التي تتطلب مهارات فراغية، أي المهام التي تتطلب التعامل مع الأبعاد، مثل رؤية الأجسام بأبعادها الثلاثية، بينما تتفوق النساء على الرجال في اختبارات الكتابة والقراءة والتحصيل اللغوي. ولكن متوسط الفرق المذكور أعلاه ليس كبيرًا. فالأداء اللغوي للكثير من الرجال أفضل من متوسط أداء النساء، والكثير من النساء ذوات مهارات فراغية أفضل من متوسط مهارات الرجال.
طور العلماء طرقًا عديدة لدراسة كيفية عمل الدماغ. وقد كشفت التجارب على الحيوانات قدرًا كبيرًا من عمل أجزاء الدماغ المختلفة. وبدراسة الأدمغة المصابة توصل العلماء إلى الكثير من المعلومات عن النشاط الطبيعي للدماغ، حيث تسبب إصابة جزء معين من الدماغ مشاكل متوقعة في التحدث والحركة والقوة الذهنية.
وقد تمكن الجراحون من تخريط وظائف العديد من مناطق القشرة المخية، وذلك بالاستثارة الكهربائية للدماغ خلال الجراحة الدماغية. ولاتتطلب عمليات الدماغ أن يفقد المريض وعيه، حيث لايشعر المريض بالألم بسبب المعالجة المباشرة للدماغ، ومن ثم يستطيع أن يُخبر الجراح عن شعوره عند تنبيه مناطق معينة بالدماغ.
وقد كشفت جراحة الدماغ أنّ وظائف معينة للمخ تتم أساسًا في أحد نصفي الكرة المخية، ولذا نجح الأطباء في علاج بعض حالات الصرع عن طريق قطع الجسم الثَفَني. وتحدث هذه العملية الجراحية حالة تسمى فصل المخ، حيث ينتهي فيها الاتصال بين نصفي المخ. وقد أوضحت دراسات فصل المخ أن النصف الأيسر يتحكم في قدرات الفرد على استعمال اللغة والرياضيات والمنطق، بينما يتحكم النصف الأيمن في قدرات الفرد الموسيقية والتعرف على الوجوه والرؤية المركبة والتعبيرات الوجدانية.
وتمكن تقنيتان جديدتان مأمونتان هما: التصوير المقطعي المغناطيسي بابتعاث البوزيترونات والتصوير بالرنين المغنطيسي الوظيفي، العلماء من دراسة الدماغ السليم أثناء عمله. ولاتتطلب هاتان التقنيتان اتصالاً مباشرًا بالدماغ، ولكنهما ينتجان صورًا شبيهة بصور الأشعة السينية، والتي توضح أي أجزاء الدماغ يعمل أثناء أداء الشخص نشاطًا ذهنيًا أو بدنيًا، حيث يوضح التصوير المقطعي بابتعاث البوزيترونات أجزاء الدماغ الأكثر استهلاكًا للجلوكوز، بينما يوضح التصوير بالرنين المغنطيسي الوظيفي، الأجزاء التي يشير فيها استهلاك معدلات عالية من الأكسجين إلى نشاط الجزء.
في استقبال الإشارات الحسية. تُستقبل الرسائل الحسية وتُفسر، بصفة أساسية، في القشرة المخية، حيث ترسل مختلف أعضاء الجسم دُفْعات عصبية إلى المهاد، الذي يبعثها إلى المناطق الملائمة من القشرة المخية. وتستقبل منطقة معينة من القشرة الحسية تسمى القشرة الحسية الجسدية الرسائل من مناطق الإحساس في الجسد، مثل اللمس ودرجة الحرارة، وتفسرها. وهي تقع في الفص الجداري لكل نصف، على امتداد الشق المركزي، ويتخصص كل جزء منها في استقبال وتفسير الإشارات من أجزاء معينة من الجسم.
وتستقبل الأجزاء المتخصصة الأخرى من المخ الرسائل الحسية الخاصة بالرؤية والاستماع والتذوق والشم، حيث تذهب الدفعات القادمة من العين إلى القشرة البصرية في الفص القذالي، وتستقبل أجزاء من الفص الصدغي نبضات الأذن، وتقع منطقة التذوق داخل الشق الجانبي، ومركز الشم أسفل الفص الجبهي.
الأجهزة الوظيفية الفرعية
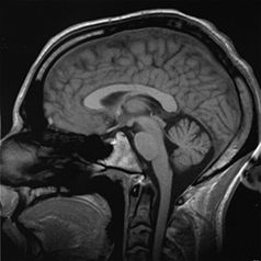
المخيخ
المخيخ جزء من الدماغ وظيفته حفظ التوازن والتنسيق. ويبين المقطع العرضي للمخيخ الورقات، وهي حزم من الخلايا العصبية تشبه أوراق النبات. المخيخ. جزء الدماغ المسؤول عن التوازن والثبات وتنسيق الحركة، ويقع أسفل الجزء الخلفي من المخ. يتكون المخيخ من كتلة كبيرة من الورقات المُخَيْخية (حِزم من الخلايا العصبية تشبه أوراق الشجر) الشديدة الترابط، وينقسم إلى نصف الكرة المخيخية الأيمن ونصف الكرة المخيخية الأيسر، وبينهما جسم يشبه الإصبع يسمى الدُّودَة. وتقوم مسارات عصبية بتوصيل نصف الكرة المخيخية الأيمن بنصف الكرة المخيخية الأيسر والجانب الأيمن من الجسم، ونصف الكرة المخيخية الأيسر بنصف الكرة المخيخية الأيمن والجانب الأيسر من الجسم.
جذع الدماغ
قالب:رئيسيس جذع الدماغ، جسم إصبعي يوصل المخ بالحبل الشوكي، وتسمى قاعدته البصلة (النخاع المستطيل). والبصلة بها مراكز عصبية للتحكم في التنفس، وضربات القلب والعديد من عمليات الجسم الحيوية. وأعلى البصلة مباشرة يوجد الجسر، وهو يصل بين نصفي المخيخ ، كما يحتوي أيضًا على ألياف عصبية تربط المخ بالمخيخ ، ويقع أعلى الجسر الدماغ الأوسط، الذي يشتمل على مراكز عصبية تساعد على التحكم في حركة العينين وحجم الحدقتين.
المهاد وتحت المهاد
مقالات مفصلة: مهاد- تحت المهاد
يقع المهاد وتحت المهاد - والأخير يسمى الوطاء أيضًا- في الجزء العلوي من جذع الدماغ. وهناك في الواقع مهادان، مهاد على الجانب الأيسر لجذع الدماغ، وآخر على الجانب الأيمن. ويستقبل كل مهاد دفعات عصبية من الأجزاء المختلفة للجسم، ثم يرسلها إلى المناطق الملائمة في القشرة المخية ، كما يقوم بنقل الدفعات من أحد أجزاء الدماغ إلى الأجزاء الأخرى فيه. وينظم تحت المهاد درجة حرارة الجسم والشعور بالجوع والأحوال الداخلية الأخرى، ويتحكم في نشاط الغدة النخامية المجاورة. وتوجد شبكة من الألياف العصبية تسمى التكوين الشبكي في عمق جذع الدماغ. ويحافظ التكوين الشبكي على مستوى وعي الدماغ، وينظمه، حيث تنبه إشارات حسية تمر عبر جذع الدماغ التكوين الشبكي، والذي بدوره يحفز الوعي والأنشطة في كل أجزاء القشرة المخية.
خلايا الدماغ
مقالة مفصلة: خلية مخية
خلايا الدماغ. يحتوي الدماغ البشري على عدد يتراوح بين 10 بلايين و100 بليون عصبون . وكل هذه العصبونات تكون موجودة خلال الأشهر القليلة الأولى من الولادة. وبعد أن يبلغ الشخص عشرين سنة يتعرض إلى فقدان بعض العصبونات، حيث يموت عدد من العصبونات أو يختفي كل يوم. وبصفة عامة، لاتعوض العصبونات الميتة خلال حياة الشخص، ولكن الفقد لايتجاوز 10% من العدد الكلي للعصبونات، طوال الحياة.
المسارات العصبية
مقالة مفصلة: مسار عصبي
المسارات العصبية يتقاطع بعضها مع بعض أثناء مرورها عبر جذع الدماغ . ويرتبط كل من نصفي الكرة المخية بالجانب المعاكس من المخيخ، ويتحكم في الجانب المعاكس من الجسم. وتتصل بلايين العصبونات بعضها ببعض، بشبكات معقدة. ويعتمد أداء كل الوظائف العقلية والجسدية على ترسُّخ الشبكات العصبونية والحفاظ عليها. فعادات الشخص ومهاراته - مثل عض الأظافر أو العزف على آلة موسيقية- تكون مغروسة في الدماغ، داخل الشبكات العصبونية، المنشطة باستمرار. وعندما يقف الشخص عن أداء نشاط معين، تتوقف الشبكات العصبية الخاصة بذلك النشاط عن العمل، وقد تختفي في النهاية.
العصبونات
مقالة مفصلة: عصبون
والعصبونات، مثل سائر الخلايا، محاطة بغشاء رقيق يكون الطبقة الخارجية، مع فارق أن غشاء العصبونات مُعَد بشكل خاص لنقل الدُفْعات العصبية. ويتكون العصبون من جسم خلوي وعدد من الألياف الأنبوبية الشكل. ويحمل أطول الألياف، الذي يسمى الجسم الخلوي، الدفعات العصبية من الجسم الخلوي إلى العَصْبُونات الأخرى. وتلتقط الألياف المتفرعة القصيرة، والتي تسمى التغصنات، الدُفْعات العصبية من محاوير العصبونات الأخرى إلى الجسم الخلوي. أما المشابك فهي المواضع التي تنتقل فيها الدُفعات العصبية بين الفروع العصبونية. وقد يكوِّن كل عصبون مشابك مع آلاف الخلايا العصبية الأخرى.
الميلين
مقالة مفصلة: ميلين
تغطي بعض المحاوير طبقة من مادة دهنية تسمى الميلين، وظيفتها عزل الألياف العصبية وتسريع انتقال الدُفْعات العصبية على سطحها. والميلين أبيض اللون، وتكوِّن المحاوير البيضاء المحزومة بإحكام داخل الميلين ما يعرف باسم المادة البيضاء. أما أجسام الخلايا العصبونية والمحاوير الخالية من الميلين، فهي تكوِّن المادة الرمادية للدماغ. وتتكون القشرة المخية من المادة الرمادية ، بينما يتكون معظم الجزء الباقي من المخ من المادة البيضاء .
الخلايا الدبقية
مقالة مفصلة: خلية دبقية
تحاط العصبونات ب الخلايا الدبقية، وهي خلايا يعتقد أنها الإطار الداعم للعصبونات. وتؤدي الخلايا الدبقية أيضًا وظائف أخرى هامة. فبعضها، على سبيل المثال، يجعل الدماغ خاليًا من العصبونات المصابة أو المريضة؛ وذلك بابتلاعها وهضمها. وبعض الخلايا الدبقية تنتج أغطية الميلين التي تعزل بعض المحاوير. وتشير بعض الدراسات المعملية إلى أن الخلايا الدبقية، تنقل أيضًا، مثل العصبونات، بعض الدفعات العصبية.
الأجهزة الحركية
في السيطرة على الحركة
بعض الأفعال المنعكسة لا تمر بالدماغ. فإذا لمس فرد مصدرًا ساخنًا مثلاً، تنتقل نبضات الألم إلى الحبل الشوكي، الذي يبعث رسالة ليسحب الفرد يده. وبالرغم من ذلك يؤدي الدماغ الدور الرئيسي في التحكم في حركاتنا الإرادية واللاإرادية. ويوجد داخل المخ تجمعات منفصلة من العصبونات تسمى العقد القاعدية أو النوى القاعدية. وتساعد هذه العُقَد في التحكم في الحركات اللاإرادية المتتالية لبعض النشاطات مثل المشي والأكل، بينما تتحكم مناطق أخرى في جذع الدماغ في حركة العضلات اللاإرادية التي تبطن جُدران المعدة والأمعاء والأوعية الدموية.
الحركات الإرادية
ينظم المخيخ والقشرة المخية معًا الحركات الإرادية، إلى حد كبير، حيث ترسل القشرة الحركية في كل من نصفي الكرة المخية دُفعات عصبية إلى العضلات الخاصة بنشاط معين، مثل الكتابة أو قذف الكرة. وتقع القشرة الحركية في الفص الجبهي أمام الشق المركزي. وتتحكم كل منطقة من القشرة الحركية في حركات جزء معين من الجسم. وتتحكم أكبر أجزاء القشرة في الأجزاء التي تؤدي أكثر الحركات تعقيدًا وتحديدًا - مثل الشفتين واللسان- التي تؤدي حركات مركبة أثناء عملية الكلام، بينما تتحكم الأجزاء الأصغر في الحركات الأبسط نسبيًا، مثل حركة الكتف والظهر.
وتتقاطع المسارات الحركية إلى الجسم فوق جذع الدماغ، وعليه تتحكم القشرة الحركية لنصف الكرة الأيسر في حركة الجانب الأيمن من الجسم. وبنفس الطريقة توجه القشرة الحركية اليمنى حركات الجانب الأيسر من الجسم. ويستعمل أكثر من 90% من البشر اليد اليمنى لأن القشرة الحركية اليسرى التي توجه اليد اليمنى تهيمن على القشرة الحركية اليمنى التي توجه اليد اليسرى.
وينسق المخيخ بين حركات العضلات التي تأمر بها القشرة الحركية، حيث تنبه دفعات عصبية المخيخ، عندما تأمر القشرة الحركية جزءًا من الجسم بأداء عمل معين. فعندما يصل الأمر إلى العضو المعين، تنبه دفعات عصبية من العضو، على الفور، المخيخ إلى الكيفية التي يؤدي بها العمل. ويقارن المخيخ الحركة بالحركة المطلوبة، ثم يتصل بالقشرة المخية لتقوم بتصحيح اللازم. وبهذه الطريقة يتأكد المخيخ من أن الجسم يتحرك بكفاءة وسهولة.
في استعمال اللغة
في أواخر القرن التاسع عشر، لاحظ العلماء أن تدمير جزء معين من الدماغ، يسبب نفس العجز اللغوي في معظم المرضى. فالتدمير الذي يصيب الفص الجبهي الأيسر في منطقة بروكا، والتي سميت على اسم الجراح الفرنسي بيير باول بروكا، يدمر بدوره القدرة على الكلام، بينما يسبب التدمير الذي يلحق بالفص الصدغي الأيسر، في منطقة فيرنك، التي سميت على اسم عالم الأعصاب الألماني كارل فيرنك، صعوبات في فهم اللغة. وقد قادت هذه الملاحظات العلماء إلى الاعتقاد بأن الدماغ يعالج الكلمات في مراحل منظمة، عبر سلسلة من المناطق ذات الصلة باللغة. ولكن باستخدام تقنيات تصوير معينة، مثل التصوير المقطعي بابتعاث البوزيترونات والتصوير بالرنين المغنطيسي الوظيفي، يستطيع العلماء مراقبة الدماغ مباشرة أثناء التحدث أو الاستماع أو القراءة أو التفكير. وقد أوضحت الدراسات المبنية على هذه التقنيات أن معالجة اللغة أمر بالغ التعقيد. فمناطق اللغة تحتل مساحات واسعة من الدماغ، وتنشط أنواع متباينة من المهام اللغوية هذه المناطق بطرق وأنماط مختلفة.
العمليات الحيوية
في تنظيم عمليات الجسم
توجد مراكز تنظيم عمليات الجسم الرئيسية بجذع الدماغ. فالمراكز العصبية في البَصَلة تنظم عمليات التنفس وضربات القلب وتدفق الدم، بينما تنظم مناطق جذع الدماغ الأخرى عمليات البلع وحركة المعدة والأمعاء.
وتوجد في تحت المهاد أيضًا مراكز عصبية تتحكم في بعض عمليات الجسم. ومعظم هذه المراكز تحافظ على استقرار الحالة الداخلية للجسم. فبعض المراكز، على سبيل المثال، تتحكم في كمية الماء في الجسم، حيث ترصد عصبونات معينة تغيرات مستوى الماء في الدم والأنسجة، وتنقل هذه المعلومات إلى تحت المهاد. فإذا كان مستوى الماء منخفضًا، ينتج تحت المهاد الإحساس بالعطش، مما يدفع الفرد إلى شرب الماء. وفي نفس الوقت يرسل تحت المهاد رسائل إلى الكليتين لخفض كميات المياه المفقودة من الجسم. وفي حالة ازدياد مستوى الماء في الجسم يرسل تحت المهاد رسائل تزيل الإحساس بالعطش، وتزيد كمية الماء المفقودة عن طريق الكليتين. وتعمل المراكز الأخرى في تحت المهاد - حسب المبدأ نفسه- لتنظيم عملية الجوع ودرجة حرارة الجسم.
استهلاك طاقة المخ
المخ والعقل
حماية المخ
تحمي الجمجمة (قحف الرأس) - وهي غطاء عظمي سميك وصلب -الدماغ من الضربات التي قد تؤدي إلى إحداث إصابات خطرة. وبالإضافة إلى ذلك تغطي الدماغ ثلاثة أغشية واقية تسمى السحايا ، وهي: الأم الجافية ، وتمثل الغشاء الخارجي الصلب الذي يبطن السطح الداخلي للجمجمة، والغشاء العنكبوتي ، الذي يقع أسفل الأم الجافية، ثم الأم الحنون، وهو غشاء رقيق يغطي الدماغ مباشرة، ويتطابق مع طيات سطح الدماغ، ويحتوي على الأوعية الدموية التي تحمل الدم من القشرة المخية وإليها. ويفصل الأم الحنون عن الغشاء العنكبوتي، سائل صاف يسمى السائل الدماغي الشوكي ، يكوِّن وسادة لينة بين الأغشية الدماغية الرقيقة وعظام الجمجمة الصلبة.
يحمي الحاجز الدموي الدماغي أنسجة الدماغ من التلف الذي قد يحدث بسبب الاحتكاك بجزيئات معينة كبيرة في مسار الدم. فالمواد المحمولة في الدم تصل إلى الأنسجة عبر الجدران الرقيقة للأوعية الدموية المسماة الشعيرات الدموية. وتحدث نسبة كبيرة من هذا الانسياب خلال الفراغات بين الخلايا التي تكوِّن جدران الشعيرات الدموية. وتتميز الخلايا المكونة للشعيرات الدموية للدماغ بأنها أكثر إحكامًا من خلايا الشعيرات الأخرى، مما يجعل مرور المواد المحمولة في الدم إلى خلايا الدماغ محددًا بدقة. وبسبب حاجة الدماغ إلى بعض الجزيئات الكبيرة للتغذية، تحتوي جدران الشعيرات الدموية على بعض الإنزيمات التي تمكن هذه الجزيئات من المرور خلالها إلى الدماغ.
كيمياء الدماغ
شبكات العصبونات (الخلفية) تكوِّن دوائر معالجة المعلومات في الدماغ. تنتقل المعلومات في شكل مواد كيميائية تسمى الناقلات العصبية من عصبون إلى آخر في المشبك(الإطار). وتترك الناقلات العصبية محوار العصبون الناقل وتدخل في مواقع استقبال معينة في غشاء التغصن المستقبل. كما هو الحال في كل الخلايا الأخرى، تحدث العديد من العمليات الكيميائية داخل العصبونات، ولكن بعض العمليات الخاصة تحدث فقط داخل العصبونات وبينها. ويحاول العلماء التوصل إلى فهم أعمق لهذه العمليات وعلاقتها بنقل الدُفعات العصبية.
والدفعة العصبية عملية كهربائية كيميائية يتحكم فيها غشاء الخلية العصبية، وتدخل في هذه العملية أيونات (ذرات مشحونة كهربائيًا) عناصر كيميائية مثل البوتاسيوم والصوديوم. ويحافظ الغشاء، الذي يحتوي على ثغور، على التركيزات المتغيرة لهذه الأيونات داخل العصبون والسوائل المحيطة به. وفي الوقت الذي يسمح فيه الغشاء بدخول الأيونات إلى الخلية والخروج منها، انتقائيًا، تتحرك شحنة كهربائية ـ دفعة عصبية ـ عبر الخلية العصبية. لمزيد من التفاصيل، انظر: الجهاز العصبي. يناقش باقي هذا الجزء الكيميائيات التي تنقل الدفعات من عصبون إلى آخر.
رسائل الدماغ الكيميائية
تسمى المواد الكيميائية التي تنقل الدفعات العصبية من محوار عصبون إلى تغصنات عصبون آخر الناقلات العصبية. ولاتنتقل الدفعات العصبية كهربائيًا عبر الفلح المشبكي، أي الفراغ الضيق بين المحوار والتغصنات. وعوضًا عن ذلك تنبه الدفعة العصبية، عند وصولها إلى نهاية المحوار، إطلاق جزيئات الناقلات العصبية في الخلية. وتعبر هذه الجزيئات الفلح المشبكي، وتلتصق بمواقع في تغصنات الخلية الأخرى تسمى المستقبلات. ويغير هذا النشاط الكهربائي للعصبون المستقبل بإحدى طريقتين. ففي إحدى هاتين الطريقتين تنبه الناقلات العصبون إلى إنتاج الدفعة العصبية، وفي الطريقة الأخرى تمنع الناقلات العصبون من إنتاج الدفعة العصبية.
وقد تصنع العصبونات أكثر من ناقل عصبي واحد، وقد تحتوي أسطحها الغشائية مستقبلات لأكثر من ناقل عصبي واحد. وقد "يتعلم" العصبون من الخبرات الماضية، وبناء على ذلك تغير نسب الناقلات العصبية والمستقبلات المتنوعة. ولذا فإن الدماغ مرن جدًا، ويمكنه تغيير استجابته تجاه الظروف المختلفة على مدى فترات تمتد من عدة ثوان إلى عدة عقود.
ينتج الدماغ أنواعًا عديدة من المواد الكيميائية التي تستخدم كناقلات عصبية، وأهمها: الاستيلكولين، والدوبامين والنورأدرينالين والسيروتونين. وهذه المواد لا تنتشر في الدماغ بالتساوي، ولكن كلاً منها يوجد في مناطق خاصة، أو يتركز أكثر في مناطق خاصة. فالأجسام الخلوية للعصبونات التي تحتوي على الدوبامين مثلاً، توجد في الجزء الأوسط من جذع الدماغ. وتصل محاوير هذه الخلايا إلى مناطق أخرى كالفص الجبهي من المخ، ومنطقة تقع بالقرب من منتصف الدماغ تسمى الجسم المخطط. وتؤدي مسارات الدوبامين دورًا في تنظيم الانفعالات والتحكم في الحركات المعقدة.
وقد اكتشف العلماء في السبعينيات من القرن العشرين، أن المورفين والعقاقير المرتبطة به تزيل الألم عن طريق الالتصاق بمستقبلات مناطق معينة في الدماغ. ويعني هذا الاكتشاف أن الدماغ ينتج مانعات الألم الخاصة به، والتي تلتصق بنفس هذه المستقبلات. وقد أدت الأبحاث اللاحقة إلى اكتشاف الإندورفينات والإنكفالينات: وهما نوعان من الناقلات العصبية، يلتصقان بهذه المستقبلات.
وفي الثمانينات من القرن العشرين وجد الباحثون أن المستقبلات توجد في عائلات، وأن كل عضو أو نوع في عائلة معينة مسؤول عن أداء وظيفة معينة. فقد اكتشف العلماء، على سبيل المثال، أكثر من اثني عشر نوعًا من السيروتونين، وأدى هذا الاكتشاف إلى تطوير عقاقير تؤثر على مستقبلات سيروتونين معينة، مثل عقاقير الميجرين، ومضادات الكآبة الأخرى. ويعتقد العلماء أن اكتشاف أنواع مستقبلات أخرى قد يؤدي إلى تطوير عقاقير تعالج اضطرابات التفكير والمزاج والسلوك بكفاءة أكثر.
اضطرابات الدماغ
قد تؤدي الإصابات والأمراض والاضطرابات الموروثة إلى تلف الدماغ، ولكن خطورة التلف تعتمد أساسًا على المنطقة المصابة، أكثر من اعتمادها على المسبب. فالاضطرابات التي تدمر خلايا الدماغ مثلاً، شديدة الخطورة، لأن الجسم لا يستطيع تعويض الخلايا المصابة. ولكن قد يحدث أحيانًا أن تؤدي المناطق التي لم تتعرض للتلف بعض الوظائف التي كانت تؤديها المناطق التالفة.
وقد مكنت الأجهزة والتقنيات الحديثة الأطباء من تشخيص اضطرابات الدماغ مبكرًا، وبشكل أكثر دقة مما كان في الماضي. فالجهاز المسمى مخطاط كهربائية الدماغ، مثلاً، يقيس أنماط النشاط الكهربائي الناتج عن الدماغ، وقد تشير الفروق عن الأنماط الطبيعية لمخطاط كهربائية القلب إلى حدوث تلف بالدماغ، وقد يساعد في تحديد منطقة الإصابة. ويمكن لمخطاط كهربائية القلب المدعوم بالحاسوب، رصد وتنظيم كميات كبيرة من البيانات الكهربائية، كما يمكنه أيضًا قياس استجابات الدماغ لبعض المؤثرات البصرية والسمعية واللمسية. ويستطيع العلماء تشخيص الاضطرابات بمقارنة هذه الاستجابات مع متوسط النتائج المأخوذة من عدد كبير من الناس. وتنطوي تقنية أخرى تسمى التصوير المقطعي الحاسوبي على تصوير الدماغ بالتفصيل من عدة زوايا باستخدام الأشعة السينية. ويقوم الحاسوب بتحليل بيانات الأشعة السينية، ويرسم صورة مقطعية للدماغ على شاشة تلفازية. وتستخدم تقنية أخرى تسمى التصوير بالرنين المغنطيسي المجالات المغنطيسية والموجات الراديوية لإنتاج صور عن تركيب الدماغ.
الإصابات
هي المسبب الرئيسي لتلف الدماغ بين من هم أقل من 50 عامًا. فالضربة الموجهة إلى الرأس قد تسبب فقدان الوعي مؤقتًا دون إحداث تلف دائم، ولكن إصابات الرأس الشديدة قد تسبب تلفًا دماغيًا خطيرًا. وتسبب إصابات الرأس التي تحدث قبل الولادة وأثناءها، أو بعدها مباشرة، ما يُعرف بالشلل المُخي. وهناك عدة أنواع من الشلل المخي، تنطوي كلها على ضعف في التحكم في حركة العضلات.
السكتات الدماغية
مقالة مفصلة: ستة دماغية
السَكْتَات أو السكتة الدماغية هي أهم وأخطر اضطرابات الدماغ. وتحدث السكتة الدماغية عندما ينقطع إمداد الدم عن جزء من الدماغ، حيث تموت الخلايا العصبية في المناطق المتأثرة، ويفقد المريض القدرة على أداء الوظائف التي تتحكم فيها هذه المناطق. ويعاني كثير من ضحايا السكتات من شلل في أحد جانبي الجسم، وأعراض أخرى تشمل صعوبة في الكلام أو في فهم اللغة. وتنتج معظم السكتات الدماغية عن تلف في الأوعية الدموية بسبب ارتفاع ضغط الدم أو تصلب الشرايين. وقد يموت بعض ضحايا السكتات الخطيرة، ولكن الكثيرين من ضحايا السكتات يعيشون ويتحسنون جزئيًا على الأقل.
الأورام
الأورام. نموات شاذة قد تسبب تلفًا حادًا للدماغ. وتعتمد تأثيرات الورم على حجمه ومكانه في الدماغ. فقد يدمر الورم الخلايا الدماغية في المنطقة المحيطة به. وقد ينتج ضغطًا أثناء نموه، والذي يؤدي بدوره إلى تدمير مناطق أخرى من الدماغ، أو على الأقل، التأثير على وظائفها الطبيعية. وتشمل أعراض الورم الصداع ونوبات من التشنجات والنوم لفترات طويلة وتغييرًا في الشخصية واضطرابًا في الإحـسـاس وخللاً في الكلام.
وتُعالج الجراحة بعض الأورام، ولعلاج الأورام السرطانية يستخدم الأطباء الأدوية والإشعاع مع العمليات. ويستخدم نوع من الإشعاع يسمى الجراحة الراديوية التجسيمية أحيانًا، بدلاً عن الجراحة التقليدية. وفي هذا النوع من الجراحة يستخدم الأطباء الحواسيب، والتصوير المقطعي الحاسوبي أو التصوير بالرنين المغنطيسي، لإنتاج صورة ثلاثية الأبعاد للدماغ. بعد ذلك تسلط حزم من الإشعاع على هدف قد يكون ورمًا أو تشوهًا في وعاء دموي. ويجب أن تكون هذه الحزم قصيرة جدًا أو ضعيفة جدًا، وذلك لضمان عدم الإضرار بمناطق الدماغ الواقعة على مسار الإشعاع، وبحيث تؤدي مجتمعة إلى تدمير الهدف. وهذه الخطوات سريعة وغير مؤلمة، وتتيح للمرضى استعادة نشاطهم العادي في نفس اليوم.
الأمراض المُعدِيَة
قد تؤدي الأمراض الفيروسية والبكتيرية التي تصيب الدماغ إلى تلف الدماغ. وأهم هذه الأمراض المعدية التهاب الدماغ، والالتهاب السحائي، وينتج كل منهما عن الإصابات البكتيرية أو الفيروسية. والالتهاب السحائي هو التهاب السحايا، أي الأغشية التي تغطي الدماغ والنخاع الشوكي. والرقاص مرض يصيب الدماغ عند الأطفال الذين تتراوح أعمارهم بين 7 أعوام و15 عامًا. وتحدث أغلب حالات الرقاص مع الحمى الروماتيزمية، وقد تسببهما نفس البكتيريا. ويهاجم فيروس شلل الأطفال (التهاب سنجابية الدماغ) الدماغ والحبل الشوكي. وقد تم اكتشاف اللقاح الواقي من شلل الأطفال في الخمسينيات من القرن العشرين.
الاضطرابات الوراثية
مقالة مفصلة: أمراض وراثية
تحمل المورثات (أي الجينات، وهي المادة الوراثية في الخلايا) أوامر نمو الجسم، بما في ذلك الدماغ. وهذه الأوامر معقدة إلى حد كبير، ولذا قد تحدث أخطاء ربما تؤدي إلى خلل في تركيب وظائف الدماغ. ويكون بعض الرضع مصابين بالتخلف العقلي عند الولادة، وذلك لأن الأخطاء الوراثية أدت إلى عدم النمو الطبيعي للدماغ أثناء الحمل. ففي متلازمة داون مثلاً، يوجد صبْغي زائد ـ والصبغيات أجسام داخل نواة الخلية تحتوي على المورثات. ويسبب الصبْغي الزائد التخلف العقلي والعيوب الجسمانية. ومن الاضطرابات التي تسبب التخلف العقلي متلازمة السين الهش، والتي تنتج عن شذوذ في الصبغي س، وهو أحد الصّبغيين اللذين يحددان جنس الشخص. ويصاب بعض الأطفال بتلف دماغي شديد بعد الولادة، بسبب نقص وراثي في إنزيم يحتاجه الجسم لتمثيل الغذاء بطريقة صحيحة. فالطفل المصاب بالبيلة الفنيلية الكيتونية مثلاً، يعاني من نقص إنزيم يحتاجه الجسم لتحويل حمض أميني (بروتين) معين إلى شكل يستخدمه الجسم. ولذا يتراكم هذا الحمض الأميني الذي يسمى الفنيل ألانين في الدم، ويتلف أنسجة الدماغ النامية. وقد يمنع الغذاء الخالي من الفينيل ألانين تلف الدماغ في ضحايا البيلة الفنيلية الكيتونية. وهناك اضطرابات وراثية أخرى لاتسبب تلفًا لخلايا الدماغ إلا في مرحلة متأخرة من العمر. فمرض هنتنجتون مثلا، يصيب أغلب ضحاياه في منتصف العمر، ويسبب ذبول مناطق عديدة في المخ والعقد القاعدية. ومن أهم الأعراض الأولية لهذا المرض، التشنجات غير الإرادية. ولكنه يؤدي في نهاية الأمر إلى مرض عقلي غير قابل للشفاء.
ويعتقد العلماء أن العوامل الوراثية تؤدي دورًا مهمًا في معظم حالات مرض ألزهايمر، وهو مرض يصيب كبار السن الذين تجاوزا الستين، ويميزه فقدان حاد للذاكرة والقدرات الذهنية الأخرى. ويصبح معظم ضحايا هذا المرض، في نهاية الأمر، غير قادرين على العناية بأنفسهم، ويلزمون الفراش.
تؤدي الوراثة أيضًا دورًا مهمًا في بعض الأمراض العقلية. فالعديد من أطفال مرضى الفصام يرثون القابلية للإصابة بهذا الداء. وأوضحت الدراسات أيضًا قابلية انتقال الاضطراب الثنائي القطب بالوراثة. وقد تشمل هذه القابليات انتقال اختلالات كيمياء الدماغ بالوراثة. ويواصل الباحثون دراسة هذه القابليات، وكيفية تفاعلها مع الظروف البيئية، لإحداث الخلل العقلي.
التاريخ
انظر أيضا
الهوامش
المصادر
- Abbott, LF (2001). Theoretical Neuroscience: Computational and Mathematical Modeling of Neural Systems. MIT Press. ISBN 9780262541855.
{{cite book}}: Unknown parameter|coauthors=ignored (|author=suggested) (help) - Aboitiz, F; Morales, D; Montiel, J (2003). "The evolutionary origin of the mammalian isocortex: Towards an integrated developmental and functional approach". Behav Brain Sci. 26 (5): 535–52. doi:10.1017/S0140525X03000128. PMID 15179935.
- Alonso-Nanclares L, Gonzalez-Soriano J, Rodriguez JR, DeFelipe J (2008). "Gender differences in human cortical synaptic density". Proc Nat Acad Sci U.S.A. 105 (38): 14615–9. doi:10.1073/pnas.0803652105. PMC 2567215. PMID 18779570.
{{cite journal}}: CS1 maint: multiple names: authors list (link) - Antle, MC; Silver, R (2005). "Orchestrating time: arrangements of the brain circadian clock". Trends Neurosci (PDF). 28 (3): 145–51. doi:10.1016/j.tins.2005.01.003. PMID 15749168.
{{cite journal}}:|format=requires|url=(help) - Armstrong, E (1983). "Relative brain size and metabolism in mammals". Science. 220 (4603): 1302–4. doi:10.1126/science.6407108. PMID 6407108.
- Azevedo, FA; Carvalho, LR; Grinberg, LT; Farfel, JM; Ferretti, RE; Leite, RE; Jacob Filho, W; Lent, R; Herculano-Houzel, S (2009). "Equal numbers of neuronal and nonneuronal cells make the human brain an isometrically scaled-up primate brain". J Comp Neurol. 5 (5): 532–41. doi:10.1002/cne.21974. PMID 19226510.
- Balavoine, G (2003). "The segmented Urbilateria: A testable scenario". Int Comp Biology. 43: 137–47. doi:10.1093/icb/43.1.137.
- Barton, RA; Harvey, PH (2000). "Mosaic evolution of brain structure in mammals". Nature. 405 (6790): 1055–8. doi:10.1038/35016580. PMID 10890446.
- Bear, MF (2007). Neuroscience: Exploring the Brain. Lippincott Williams & Wilkins. ISBN 9780781760034.
{{cite book}}: Unknown parameter|coauthors=ignored (|author=suggested) (help) - Bloom, FE (1975). The Neurosciences, Paths of Discovery. MIT Press. ISBN 9780262230728.
{{cite book}}: Unknown parameter|editors=ignored (|editor=suggested) (help) - Boake, C; Diller, L (2005). "History of rehabilitation for traumatic brain injury". Rehabilitation for Traumatic Brain Injury. Oxford [Oxfordshire]: Oxford University Press. ISBN 0-19-517355-4.
{{cite book}}: Unknown parameter|editors=ignored (|editor=suggested) (help) - Butler, AB (2000). "Chordate Evolution and the Origin of Craniates: An Old Brain in a New Head". Anat Rec. 261 (3): 111–25. doi:10.1002/1097-0185(20000615)261:3<111::AID-AR6>3.0.CO;2-F. PMID 10867629.
- Calvin, WH (1996). How Brains Think. Basic Books. ISBN 9780465072781.
- Carew, TJ (2000). Behavioral Neurobiology: the Cellular Organization of Natural Behavior. Sinauer Associates. ISBN 9780878930920.
- Churchland, PS (1989). Neurophilosophy. MIT Press. ISBN 9780262530859.
- Clark, DD (1999). Siegel GJ, Agranoff BW, Albers RW, Fisher SK, Uhler MD (ed.). Basic Neurochemistry: Molecular, Cellular and Medical Aspects. Philadelphia: Lippincott. pp. 637–70. ISBN 9780397518203.
{{cite book}}: Unknown parameter|coauthors=ignored (|author=suggested) (help)CS1 maint: multiple names: editors list (link) - Cooper, JR (2003). The Biochemical Basis of Neuropharmacology. Oxford University Press US. ISBN 9780195140088.
{{cite book}}: Unknown parameter|coauthors=ignored (|author=suggested) (help) - Descartes, R (1991). "The description of the human body". The Philosophical Writings Of Descartes. Cambridge University Press. ISBN 9780521423502.
{{cite book}}: Unknown parameter|editors=ignored (|editor=suggested) (help) - Dowling, JE (2001). Neurons and Networks. Harvard University Press. ISBN 9780674004627.
- Finger, S (2001). Origins of Neuroscience. Oxford University Press. ISBN 9780195146943.
- Finlay, BL; Darlington, RB; Nicastro, N (2001). "Developmental structure in brain evolution". Behav Brain Sci (PDF). 20 (2): 263–308. PMID 11530543.
{{cite journal}}:|format=requires|url=(help) - Gehring, WJ (2005). "New Perspectives on Eye Development and the Evolution of Eyes and Photoreceptors: The Evolution of Eyes and Brain" (Full text). J Heredity. 96 (3): 171–184. doi:10.1093/jhered/esi027. PMID 15653558. Retrieved 2008-04-26.
- Grillner, S; Hellgren, J; Ménard, A; Saitoh, K; Wikström, MA (2005). "Mechanisms for selection of basic motor programs—roles for the striatum and pallidum". Trends Neurosci. 28 (7): 364–70. doi:10.1016/j.tins.2005.05.004. PMID 15935487.
- Grillner, S; Wallén, P (2002). "Cellular bases of a vertebrate locomotor system-steering, intersegmental and segmental co-ordination and sensory control". Brain Res Brain Res Rev. 40 (1–3): 92–106. doi:10.1016/S0165-0173(02)00193-5. PMID 12589909.
- Gurney, K; Prescott, TJ; Wickens, JR; Redgrave, P (2004). "Computational models of the basal ganglia: from robots to membranes". Trends Neurosci. 27 (8): 453–9. doi:10.1016/j.tins.2004.06.003. PMID 15271492.
- Hart, WD (1996). Guttenplan S (ed.). A Companion to the Philosophy of Mind. Blackwell. pp. 265–7.
- Hendrickson, R (2000). The Facts on File Encyclopedia of Word and Phrase Origins. New York: Facts on File. ISBN 978-0816040889.
- Hippocrates (400 B.C.E.). On the Sacred Disease. Francis Adams.
{{cite book}}: Check date values in:|year=(help) - Hobert, O (2005). The C. elegans Research Community (ed.). "Wormbook". WormBook: 1–19. doi:10.1895/wormbook.1.12.1. PMID 18050401.
{{cite journal}}:|contribution=ignored (help) - Jerison, HJ (1973). Evolution of the Brain and Intelligence. Academic Press. ISBN 9780123852502.
- Jones, EG (1985). The Thalamus. Plenum Press. ISBN 9780306418563.
- Kandel, ER (2000). Principles of Neural Science. McGraw-Hill Professional. ISBN 9780838577011.
{{cite book}}: Unknown parameter|coauthors=ignored (|author=suggested) (help) - Kandel, ER (2007). In Search of Memory: The Emergence of a New Science of Mind. WW Norton. ISBN 9780393329377.
- Kleitman, N (1938, revised 1963, reprinted 1987). Sleep and Wakefulness. The University of Chicago Press, Midway Reprints series. ISBN 0-226-44073-7.
{{cite book}}: Check date values in:|year=(help) - Kolb, B (2008). Fundamentals of Human Neuropsychology. Macmillan. ISBN 9780716795865.
{{cite book}}: Unknown parameter|coauthors=ignored (|author=suggested) (help) - Konopka, RJ; Benzer, S (1971). "Clock mutants of Drosophila melanogaster". Proc Nat Acad Sci U.S.A. 68 (9): 2112–6. doi:10.1073/pnas.68.9.2112. PMC 389363. PMID 5002428.
- Lacey, A (1996). A Dictionary of Philosophy. Routledge.
- Marner, L; Nyengaard, JR; Tang, Y; Pakkenberg, B (2003). "Marked loss of myelinated nerve fibers in the human brain with age". J Comp Neurol. 462 (2): 144–52. doi:10.1002/cne.10714. PMID 12794739.
- McGeer, PL; McGeer, EG (1989). "Chapter 15, Amino acid neurotransmitters". In G. Siegel; et al. (eds.). Basic Neurochemistry. New York: Raven Press. ISBN 9780881673432.
{{cite book}}: Explicit use of et al. in:|editor=(help) - Nickel, M (2002). "Dynamics and cellular movements in the locomotion of the sponge Tethya wilhelma". Integr Comp Biol. 42: 1285.
- Northcutt, RG (1981). "Evolution of the telencephalon in nonmammals". Ann Rev Neurosci. 4: 301–50. doi:10.1146/annurev.ne.04.030181.001505. PMID 7013637.
- Northcutt, RG (2008). "Forebrain evolution in bony fishes". Brain Res Bull. 75 (2–4): 191–205. doi:10.1016/j.brainresbull.2007.10.058. PMID 18331871.
- Parent, A (1995). Carpenter's Human Neuroanatomy. Williams & Wilkins. ISBN 9780683067521.
{{cite book}}: Unknown parameter|coauthors=ignored (|author=suggested) (help) - Paus, T; Collins, DL; Evans, AC; Leonard, G; Pike, B; Zijdenbos, A (2001). "Maturation of white matter in the human brain: a review of magnetic resonance studies". Brain Res Bull. 54 (3): 255–66. doi:10.1016/S0361-9230(00)00434-2. PMID 11287130.
- PMID 17544173 (PubMed)
Citation will be completed automatically in a few minutes.
Jump the queue or expand by hand
- Piccolino, M (2002). "Fifty years of the Hodgkin-Huxley era". Trends Neurosci (PDF). 25 (11): 552–3. doi:10.1016/S0166-2236(02)02276-2. PMID 12392928.
{{cite journal}}:|access-date=requires|url=(help);|format=requires|url=(help) - Puelles, L (2001). "Thoughts on the development, structure and evolution of the mammalian and avian telencephalic pallium". Philos Trans R Soc Lond B Biol Sci. 356 (1414): 1583–98. doi:10.1098/rstb.2001.0973. PMC 1088538. PMID 11604125.
- Purves, D (1985). Principles of Neural Development. Sinauer Associates. ISBN 9780878937448.
{{cite book}}: Unknown parameter|coauthors=ignored (|author=suggested) (help) - Raichle, M; Gusnard, DA (2002). "Appraising the brain's energy budget". Proc Nat Acad Sci U.S.A. 99 (16): 10237–9. doi:10.1073/pnas.172399499. PMC 124895. PMID 12149485.
- Reiner, A; Yamamoto, K; Karten, HJ (2005). "Organization and evolution of the avian forebrain". Anat Rec a Discov Mol Cell Evol Biol. 287 (1): 1080–102. doi:10.1002/ar.a.20253. PMID 16206213. Retrieved 2008-10-12.
- Ridley, M (2003). Nature via Nurture: Genes, Experience, and What Makes Us Human. Forth Estate. ISBN 9780060006785.
- Safi, K; Seid, MA; Dechmann, DK (2005). "Bigger is not always better: when brains get smaller". Biol Lett. 1 (3): 283–6. doi:10.1098/rsbl.2005.0333. PMC 1617168. PMID 17148188.
- Saitoh, K; Ménard, A; Grillner, S (2007). "Tectal control of locomotion, steering, and eye movements in lamprey". J Neurophysiol. 97 (4): 3093–108. doi:10.1152/jn.00639.2006. PMID 17303814.
- Salas, C; Broglio, C; Rodríguez, F (2003). "Evolution of forebrain and spatial cognition in vertebrates: conservation across diversity". Brain Behav Evol. 62 (2): 72–82. doi:10.1159/000072438. PMID 12937346.
- Savage, MV; Gillooly, J. F.; Woodruff, W. H.; West, G. B.; Allen, A. P.; Enquist, B. J.; Brown, J. H. (2004). "The predominance of quarter-power scaling in biology". Functional Ecol. 18: 257–82. doi:10.1111/j.0269-8463.2004.00856.x.
- Schmidt-Rhaesa, A (2007). The Evolution of Organ Systems. Oxford University Press. ISBN 9780198566694.
- Searle, J (1999). Mind, Language and Society. Basic Books. ISBN 9780465045211.
- Shepherd GM (1994). Neurobiology. Oxford University Press. ISBN 9780195088434.
- Shin, HS; Bargiello, TA; Clark, BT; Jackson, FR; Young, MW (1985). "An unusual coding sequence from a Drosophila clock gene is conserved in vertebrates". Nature. 317 (6036): 445–8. doi:10.1038/317445a0. PMID 2413365.
- Shu DG, Morris SC, Han J, Zhang Z-F (2003). "Head and backbone of the Early Cambrian vertebrate Haikouichthys". Nature. 421 (6922): 526–9. doi:10.1038/nature01264. PMID 12556891.
{{cite journal}}: CS1 maint: multiple names: authors list (link) - Storrow, HA (1969). Outline of Clinical Psychiatry. Appleton-Century-Crofts. ISBN 9780390850751.
- Striedter, GF (2005). Principles of Brain Evolution. Sinauer Associates. ISBN 9780878938209.
- Swaab, DF (2003). The Human Hypothalamus. Elsevier. ISBN 9780444513571.
{{cite book}}: Unknown parameter|coauthors=ignored (|author=suggested) (help) - Tonegawa, S; Nakazawa, K; Wilson, MA (2003). "Genetic neuroscience of mammalian learning and memory". Philos Trans R Soc Lond B Biol Sci. 358 (1432): 787–95. doi:10.1098/rstb.2002.1243. PMC 1693163. PMID 12740125.
- van Hemmen, JL (2005). 23 Problems in Systems Neuroscience. Oxford University Press. ISBN 9780195148220.
{{cite book}}: Unknown parameter|coauthors=ignored (|author=suggested) (help) - van Praag, H; Kempermann, G; Gage, FH (2000). "Neural consequences of environmental enrichment". Nat Rev Neurosci. 1 (3): 191–8. doi:10.1038/35044558. PMID 11257907.
- von Neumann, J (2000). The computer and the brain. Yale Univ. Press. ISBN 0-300-08473-0.
{{cite book}}: Unknown parameter|coauthors=ignored (|author=suggested) (help) - Wiesel, T (1982). "Postnatal development of the visual cortex and the influence of environment" (PDF). Nature. 299 (5884): 583–91. doi:10.1038/299583a0. PMID 6811951.
- White, JG; Southgate, E.; Thomson, J. N.; Brenner, S. (1986). "The Structure of the Nervous System of the Nematode Caenorhabditis elegans". Phil Trans Roy Soc London (Biol). 314: 1–340. doi:10.1098/rstb.1986.0056.
- Willmer P (1990). Invertebrate Relationships: Patterns in Animal Evolution. Cambridge University Press. ISBN 9780521337120.
- Wong, R (1999). "Retinal waves and visual system development". Ann Rev Neurosci. 22: 29–47. doi:10.1146/annurev.neuro.22.1.29. PMID 10202531.
- Wyllie, E (2005). The Treatment of Epilepsy: Principles and Practice. Lippincott Williams & Wilkins. ISBN 9780781749954.
{{cite book}}: Unknown parameter|coauthors=ignored (|author=suggested) (help) - "Flybrain: An online atlas and database of the drosophila nervous system".
- "WormBook: The online review of c. elegans biology".
قراءات إضافية
- Bear, Mark F. (2006). Neuroscience. Philadelphia, Pennsylvania: Lippincott Williams & Wilkins. ISBN 9780781760034. OCLC 62509134.
{{cite book}}: Unknown parameter|coauthors=ignored (|author=suggested) (help) - Blackmore, Susan M. (2006). Conversations on Consciousness. Oxford; New York: Oxford University Press. ISBN 9780195179583. OCLC 62555307.
- Buzsaki, Gyorgy (2006). Rhythms of the Brain. Oxford; New York: Oxford University Press. ISBN 9780195301069. OCLC 63279497.
- Calvin, William H. (2001). The River That Flows Uphill: A Journey from the Big Bang to the Big Brain. Lincoln, Nebraska: Iuniverse.com. ISBN 9780595167005. OCLC 48962546.
- Della Sala, Sergio (1999). Mind myths: Exploring popular assumptions about the mind and brain. Chichester England; New York: J. Wiley & Sons. ISBN 0471983039. OCLC 39700332.
- Restak, Richard (2001). The Secret Life of the Brain. Washington, DC: Joseph Henry Press. ISBN 9780309074353. OCLC 47863192.
- Shepherd, Gordon M. (2004). The Synaptic Organization of the Brain (Fifth ed.). Oxford; New York: Oxford University Press. ISBN 9780195159561. OCLC 51769076.
Written for children 8 and older:
- Simon, Seymour (2000). The Brain. New York: Morrow Junior. ISBN 9780688170608. OCLC 35686089.
وصلات خارجية
- The Society for Neuroscience
- IBRO (International Brain Research Organization)
- The HOPES Brain Tutorial at hopes.stanford.edu
- Comparative Mammalian Brain Collection
- Brain Research News from ScienceDaily
- BrainInfo for Neuroanatomy
- Neuroscience for kids
- BrainMaps.org, interactive high-resolution digital brain atlas based on scanned images of serial sections of both primate and non-primate brains
- The Brain from Top to Bottom
- The Department of Neuroscience at Wikiversity
- The Secret Life of the Brain : History of the Brain from PBS
- University of Washington 3D animations of brain regions - click through from "Click for copyright"
- 7 circuits of the Brain
- Cell Centered Database

