النزف الدماغي

(تم التحويل من Cerebral hemorrhage)
النزف الدماغي
Cerebral hemorrhage

تصنيفات ومصادر خارجية
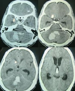
Intracerebral heamorrage 2.jpg
نزيف داخلي بالمخ
ICD-10 I61.
ICD-9 431
MeSH D002543

النزف الدماغي أو النزيف في المخ Cerebral hemorrhage هو نزف ينتج عن انفجار وعاء دموي في الدماغ، وينتج عن ذلك تسرب الدم إلى داخل الدماغ مما يؤدي بدوره إلى تلف النسيج المحيط. كما تتضرر أنسجة دماغية أخرى نتيجة انقطاع دوران الدم. ويتعرض المصاب إلى السكتة.

الأسباب

CT scan showing hemorrhage in the posterior fossa[1]

النزف الدماغي هو ثاني أكثر الأعراض حدوثاً بسبب بالصدمة، ويحدث لحوالي 30-60% من إجمالي الحالات المصابة بالصدمة في المستشفيات.[1] يزيد فرط ضغط الدم من خطورة الإصابة النزف الدماغي بست مرات.[1] وهو أكثر شيوعاً للحدوث بين البالغين عن الأطفال، النزف الدماغي بسبب الصدمة عادة ما يحدث نتيجة الصدمة النافذة في الرأس، لكنه قد يكون أيضاً بسبب كسور الجمجمة، الصدمة المتراجعة-المتسارعة،[2][3][4] التمزق الناتج عن تمدد الأوعية الدموية أو التشوه الشرياني الوريدي، والنزف داخل الأورام. وبنسبة ضئيلة بسبب الخثار الوريدي الجيبي الدماغي.

ويعاني معظم ضحايا النزف الدماغي من ارتفاع ضغط الدم، ومن تصلب الشرايين في كثير من الحالات، ذلك لأن تصلب الشرايين يجعلها متيبسة وأكثر عرضة للتمزق، بتأثير ضغط الدم المرتفع باستمرار. وفي حالات أخرى قد يكون لدى المصاب بقعة ضعيفة في جدار وعاء دموي في الدماغ. ويمكن لفرط التوتر الشرياني أن يتسبب في انتفاخ هذه البقعة الضعيفة، بحيث تصبح أشبه بالفقاعة. وتدعى هذه المنطقة المنتفخة باسم أم الدم (أنيورزم) ويمكنها أن تنفجر في نهاية الأمر. وقد يطرأ النزف الدماغي في أي سن، إلا أنه أكثر شيوعاً بين الأفراد الذين تجاوزوا سن الخمسين.

عوامل الخطر

تشمل عوامل الخطر:[5]

الأعراض

وليس هناك إنذار مسبق للنزف الدماغي. وبإمكانه أن يسبب، وفي غضون ست ساعات فقط، فقدان الوعي، وشللاً في الأطراف.

التشخيص

Spontaneous ICH with hydrocephalus on CT scan[1]

يتم التعرف على النزف الدماغي عن طريق التصوير المقطعي المحوسب حيث تظهر الدماء أكثر أفتح عن الأنسجة ويفصلها عن الجدار الداخلي للجمجمة نسيج الدماغ. الأنسجة المحيطة بالدماء عادة ما تكون أقل كثافة عن بقية الدماغ بسبب الوذمة، ومن ثم فيظهر أفتح في التصوير المطقعي المحوسب.

العلاج

يعتمد العلاج بصفة جوهرية على نوع النزف الدماغي. تستخدم التصوير المقطعي المحوسب السريع والمعايير التشخيص الأخرى تستخدم لاختيار العلاج المناسب، والذي قد يشمل العلاج الدوائي والجراحة.

العلاج الدوائي

الجراحة

يجب اللجوء للجراحة إذا ما كان التجمع الدموي أكبر من 3 سم، وعند وجود إصابة مقطعية هيكلية أو نزف فصي لدى المرضى الشباب.[6]

  • قد تمرر قسطرة إلى الأوعية الدموية بالدماغ لإغلاف أو توسيع الأوعية الدموية، تجنباً لإجراء العملية الجراحية.[7]
  • Aspiration by stereotactic surgery or endoscopic drainage may be used in basal ganglia hemorrhages, although successful reports are limited.[6]

علاجات أخرى

  • Tracheal intubation is indicated in patients with decreased level of consciousness or other risk of airway obstruction.[6]
  • IV fluids are given to maintain fluid balance, using normotonic rather than hypotonic fluids.[6]

احتمالات تطوره

The risk of death from an intraparenchymal bleed in traumatic brain injury is especially high when the injury occurs in the brain stem.[8] Intraparenchymal bleeds within the medulla are almost always fatal, because they cause damage to cranial nerve X, the vagus nerve, which plays an important role in blood circulation and breathing.[2] This kind of hemorrhage can also occur in the cortex or subcortical areas, usually in the frontal or temporal lobes when due to head injury, and sometimes in the cerebellum.[2][9]

For spontaneous ICH seen on CT scan, the death rate (mortality) is 34–50% by 30 days after the insult.[1]

انظر أيضًا

المصادر

  1. ^ أ ب ت ث ج Yadav YR, Mukerji G, Shenoy R, Basoor A, Jain G, Nelson A (2007). "Endoscopic management of hypertensive intraventricular haemorrhage with obstructive hydrocephalus". BMC Neurol. 7: 1. doi:10.1186/1471-2377-7-1. PMC 1780056. PMID 17204141.{{cite journal}}: CS1 maint: multiple names: authors list (link) CS1 maint: unflagged free DOI (link)
  2. ^ أ ب ت McCaffrey P. 2001. "The Neuroscience on the Web Series: CMSD 336 Neuropathologies of Language and Cognition." California State University, Chico. Retrieved on June 19, 2007.
  3. ^ Orlando Regional Healthcare, Education and Development. 2004. "Overview of Adult Traumatic Brain Injuries." Retrieved on 2008-01-16.
  4. ^ Shepherd S. 2004. "Head Trauma." Emedicine.com. Retrieved on June 19, 2007.
  5. ^ Major Risk Factors for Intracerebral Hemorrhage in the Young Are Modifiable Edward Feldmann, MD; Joseph P. Broderick, MD; Walter N. Kernan, MD; Catherine M. Viscoli, PhD; Lawrence M. Brass, MD; Thomas Brott, MD; Lewis B. Morgenstern, MD; Janet Lee Wilterdink, MD Ralph I. Horwitz, MD. Published in Stroke. 2005;36:1881.
  6. ^ أ ب ت ث خطأ استشهاد: وسم <ref> غير صحيح؛ لا نص تم توفيره للمراجع المسماة emedicine
  7. ^ Cedars-Sinai Health System - Cerebral Hemorrhages Retrieved on 02/25/2009
  8. ^ خطأ استشهاد: وسم <ref> غير صحيح؛ لا نص تم توفيره للمراجع المسماة Sanders and McKenna
  9. ^ Graham DI and Gennareli TA. Chapter 5, "Pathology of Brain Damage After Head Injury" Cooper P and Golfinos G. 2000. Head Injury, 4th Ed. Morgan Hill, New York.

وصلات خارجية

قالب:Neurotrauma