زراعة الأسنان
زراعة الأسنان Dental implant | |
---|---|
تدخل | |
![]() | |
ICD-9-CM | 23.5-23.6 |
MeSH | D003757 |
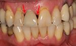
زراعة الأسنان أو غرس الأسنان dental implant، هي تدخل جراحي يتعامل مع عظام الفك أو الجمجمة لدعم تعويضات الأسنان مثل التاج، الجسر، طقم الأسنان، التعويضات الوجهيية أو التي تعمل كأداة تقويم. أساس زراعة الأسنان الحديثة هو عملية حيوية تسمى osseointegration حيث المواد مثل التيتانيوم، تشكل رابطة قوية بالأسنان.
في طب الأسنان، زراعة الأسنان هي كل مايتعلق بزرع المواد الصلبة تحت الغشاء المخاطي السنخي، أو تحت السمحاق، أو في العظم، وذلك للمساعدة على تثبيت الصفائح السنية التعويضية في الفم. والفرق الرئيس بين هذه الزروع والزروع في باقي أنحاء الجسم، كزرع صمام القلب، وعنق المفصل، أن التعامل في الزروع الأخيرة يكون مع مادة غرست في جوف مغلق، أما في الغرسة الفكية فإن بروز المهاميز عبر الغشاء المخاطي إلى جوف الفم يؤدي إلى «غرسة مفتوحة» مما يترك صلة واضحة بين جوف الفم وما فيه من جراثيم والجوف الحاوي للغرسة.
الاستخدامات الطبية
التقنية
التحضير
تتم معظم عمليات زراعة الأسنان تحت تاثير التخدير الموضعي فقط، على الرغم من أنه يمكن أيضا أن يتم اجراء زرع الأسنان تحت تاثير التخدير العام.
قبل زراعة الأسنان، يطلب من المريض اجراء فحص تصوير للأسنان، وعادة يطلب اجراء صورة خاصة (صورة أشعة بانوراما للأسنان) أو حتى فحص التصوير المقطعي المحوسب (CT)، للكشف والتشخيص عن حالات الأسنان التي ليس بالامكان رؤيتها من خلال الفحص الاعتيادي.
لدى الأشخاص الذين يتمتعون بصحة جيدة لا توجد حاجة للقيام بتحضيرات خاصة. بينما الاشخاص الذين يكونون عرضة للاصابة بالتهاب الشغاف (Endocarditis)، كالاشخاص ذوي الصمامات الاصطناعية، منقوصي المناعة (Immunocompromised) وغيرهم، يجب عليهم اعلام الجراح بذلك، من اجل تلقي مضادات حيوية قبل اجراء زراعة الأسنان.
يطلب من الأشخاص الذين يعانون من اضطرابات في تخثر الدم، اجراء فحوصات لوظائف تخثر الدم قبل العملية، لانهم اكثر عرضة للاصابة بنزيف.
اضافة الى ذلك، من اجل الحصول على افضل النتائج من الناحية التجميلية، عادة يلزم القيام بسلسلة من الاختبارات الاولية، لانشاء مبنى سن ذو لون ملمس مشابه قدر الامكان للأسنان الأصلية.
في الحالات التي تكون فيها انسجة عظم الفك غير مناسبة لتقبل الغرسات، يجب القيام بعلاجات مسبقة لعدة اشهر قبل زراعة الاسنان لانشاء منطقة مناسبة في الانسجة لتلقي الغرس (تركيب العظام).
اعتبارات عامة
أدوية البيسفوسفونات
اعتبارات حيوية ميكانيكية
الجراحات الرئيسية
يتم اجراء جراحة الأسنان في العيادة تحت ظروف معقمة، من قبل طبيب أسنان متخصص في زراعة الأسنان و/أو جراحة الفم والفك. يتم تخدير المريض بواسطة حقنة بمخدر موضعي في منطقة دواعم السن، كما هو الحال في علاجات الأسنان العادية (في بعض الأحيان هناك حاجة بتوسيع نطاق التخدير، وفقاً لموقع الغرسات).
اذا كان العظم على استعداد لتلقي الزرع (أحيانا بعد سلسلة علاجات مسبقة)، يمكن البدء بعملية زرع الاسنان. يتم تثبيت المسامير المعدنية اللولبيه براغي، بعظم الفك. في سلسلة اخرى من العلاجات بعد فترة من ادخال البراغي، تبدا عمليات اعادة البناء عن طريق أخذ القياسات وانشاء التاج/الجسر. عندما يدور الحديث عن فترة الانتظار بين تركيب الغرسات وبين تنفيذ الاستبناء النهائي، فان هنالك اكثر من نهج واحد. النهج المتبع غالبا هو الانتظار لمدة 6 أسابيع على الأقل حتى تلتئم الانسجة، وأحيانا تصل فترة الانتظار لعدة شهور.
جراحات إضافية
الشفاء
الجراحات التعويضية للتركيبات الغير ثابتة
صيانة التركيبات
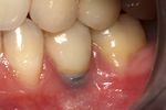
المخاطر والمضاعفات
أثناء الجراحة
- عدوى في الشق الجراحي – تكون عادة سطحية ويتم علاجها بشكل موضعي، في بعض الحالات النادرة قد تظهر عدوى اكثر خطورة والتي قد تصل الى مجرى الدم مسببة حدوث الانتان (Sepsis)، وقد تصل العدوى الى صمامات القلب مؤدية لحدوث التهاب الشغاف (Endocarditis) وغيرها، ونادرا ما يتطلب الامر اعادة فتح الشق الجراحي في دواعم السن لازالة البقايا الجرثومية.
- النزيف - خاصة في منطقة العملية نتيجة لتعرض الانسجة للرضح. يمكن ان يحدث النزيف فورا بعد الجراحة، وقد يحدث بعد 24 ساعة من الجراحة وفي حالات نادرة بعد اسابيع او اشهر. يحدث النزيف نتيجة تمزق ونزف احد الاوعية الدموية في دواعم السن. اذا كان النزيف شديدا، الامر الذي يعتبر نادرا، يجب القيام بنزحه.
يحدث النزيف عندما تنفتح الاوعية الدموية الصغيرة في اللثة وتنزف. في الحالات التي يشتد فيها النزيف هناك حاجة بالتصريف لكن هذا نادر جدا. مخاطر التخدير – عادة تكون الاعراض مرتبطة بفرط التحسس تجاه ادوية التخدير (استجابة ارجية). في بعض الحالات النادرة، قد يظهر رد فعل خطير يتمثل بهبوط شديد في ضغط الدم (صدمة تاقية - Anaphylactic shock).[1]
- الحاق الضرر بالعصب – مما قد يسبب فقدان الاحساس / خدر في الفم او تضرر حاسة التذوق. نادر الحدوث ويكون مؤقتا في معظم الحالات.
الحساسية تجاه الحرارة / البرودة في تجويف الفم – غالبا ما يختفي بعد وضع المبنى.
أول ستة أشهر
لا داعي لان يبقى المريض تحت المراقبة بعد عملية زراعة الاسنان . يجب عليه ان يتجنب الاكل او الشرب لمدة ساعتين بعد الجراحة، حتى ينتهي تاثير التخدير. قد يشعر بالم في المنطقة، وخصوصا في اليوم الاول بعد زرع الغرسات المعدنية، ويمكن استخدام المسكنات حسب الحاجة. قد تنتفخ منطقة دواعم السن لعدة ايام.
من اجل الحصول على النتائج الافضل بعد زرع الاسنان، يجب العناية بالاسنان وتنظيف الفم بشكل منتظم، بما في ذلك تنظيف الاسنان بواسطة فرشاة ناعمة (لمنع اصابة دواعم السن) والتنظيف بواسطة معدات خاصة. اذا كان هناك ارتفاع في درجة الحرارة، الم شديد، نزيف او افرازات موضعية من الفم، يجب التوجه للطبيب فورا.
المدى الطويل
موانع الاستطباب
حالة الفم الصحية السيئة، والأمراض العامة الحادة والمزمنة، والتهاب النسج الداعمة paradontisis، والتهاب النسج الداعمة الحفافية، وفي حالة الضياع المادي الرضي لأكثر من ثلث الصفيحة السنخية الدهليزية.
إن أمام عملية غرس البدائل للأسنان طريقاً وعرة، إذ إنه مع تطور المواد المغروسة وحسن تقبلها من الأنسجة العظمية المحيطة، تبقى مشكلة بروز المهماز من الغرسة من خلال الغشاء المخاطي إلى جوف الفم قائمة، مما يجعل للغرسة وضعاً خاصاً تكون فيه على صلة بجوف الفم وبما يحمله من مجموعات جرثومية مؤذية لا يمكن منعها من اجتياز المنطقة المحيطة بعنق الغرسة إلى العظم. وتدل الإحصاءات العالمية الحديثة لنتائج الغرسات المطوَّرة من مادة التيتان، على وصول نسبة النجاح إلى 85% في خمس سنوات فما فوق من تطبيق الغرسة.
وفي الأسواق اليوم نماذج كثيرة من الزرعات التيتانية التي أصبحت الشكل الوحيد المقبول للتعويض عن فقدان الأسنان، وهناك تقنيات عدة لتثبيتها منها ما يعتمد على الغرس بطورين من الزمن؛ تبقى الزرعة في الطور الأول مطمورة في العظم ويثبت الجزء البارز من اللثة في الطور الثاني، ومنها ما يأخذ شكله النهائي مباشرة في عمل جراحي واحد. وتثبت الإحصاءات نجاح النمط الأول بنسبة أعلى من النمط الآخر.
التاريخ

There is archeological evidence that humans have attempted to replacing missing teeth with root form implants for thousands of years. Remains from ancient China (dating 4000 years ago) have carved bamboo pegs, tapped into the bone, to replace lost teeth, and 2000 year old remains from ancient Egypt have similarly shaped pegs made of precious metals. Some Egyptian mummies were found to have transplanted human teeth, and in other instances, teeth made of ivory.[2][3][4]
One of the most remarkable archeological finds was by Wilson Popenoe and his wife in 1931, at a site in Honduras dating back to 600 AD. The lower mandible of a young Mayan woman, with three missing incisors replaced by pieces of shell, shaped to resemble teeth. Bone growth around two of the implants, and the formation of calculus, indicates that they were functional as well as esthetic. The fragment is currently part of the Osteological Collection of the Peabody Museum of Archaeology and Ethnology at Harvard University.[2][3]
In the 1950s research was being conducted at Cambridge University in England to study blood flow in vivo. These workers devised a method of constructing a chamber of titanium which was then embedded into the soft tissue of the ears of rabbits. In 1952 the Swedish orthopaedic surgeon, Per-Ingvar Brånemark, was interested in studying bone healing and regeneration. During his research time at Lund University he adopted the Cambridge designed "rabbit ear chamber" for use in the rabbit femur. Following the study, he attempted to retrieve these expensive chambers from the rabbits and found that he was unable to remove them. Brånemark observed that bone had grown into such close proximity with the titanium that it effectively adhered to the metal. Brånemark carried out further studies into this phenomenon, using both animal and human subjects, which all confirmed this unique property of titanium.
Although Brånemark had originally considered that the first work should centre on knee and hip surgery, he finally decided that the mouth was more accessible for continued clinical observations and the high rate of edentulism in the general population offered more subjects for widespread study. He termed the clinically observed adherence of bone with titanium as "osseointegration". In 1965 Brånemark, who was by then the Professor of Anatomy at Gothenburg University in Sweden, placed his first titanium dental implant into a human volunteer.[5]
أظهرت أبحاث بودين (1956) أن التعويض عن فقد الأسنان بسن أو أسنان مغروسة في الأنسجة الحية، قد عرف قبل الميلاد، كما تحدث رينگلمان (1824) عن محاولتين لغرس الأسنان، الأولى كانت في الفك العلوي بغرس سن كلب وتثبيتها بأسلاك من الذهب، والثانية بغرس أسنان ذات جذور ذهبية وتثبيتها في مكان قلع السن مباشرة وكان الإخفاق نصيب الحالتين، ويمكن القول إن الغرس الفكي قد أخذ منحاه العلمي منذ نحو خمسة وثلاثين عاماً.[6]
تكون الغرسة مفردة أو متعددة أو شاملة، ويميز في طب الأسنان بين أربعة أنواع من الغرسات: التثبيت بالغرسة عبر السن transdental fixation والغرسة تحت الغشاء المخاطي submucosal implant والغرسة تحت السمحاق subperiosteal implant والغرسة في العظم enossal implant.
في النوع الأول تمر الغرسة العصوية الشكل عبر قناة بعد توسيعها، لتتجاوز ذروتها وتنغرز في عظم الفك فتثبت السن إلى العظم إن كانت متحركة.
والنوع الثاني أجراه دال عام 1943 بغرس قطعة بشكل الزر تحت الغشاء المخاطي لقبة الحنك، واستفاد منها لتثبيت صفيحة علوية كاملة الأسنان، غير أن الآراء قد أجمعت على أن هذه الطريقة قد أخفقت من كل النواحي.
أما النوع الثالث، فأول من جربه مولّر عام 1937، إذ قام بزرع شبك معدني تحت السمحاق على طول الحافة السنخية للفك السفلي، مع بروز أربعة مهاميز خارج الغشاء المخاطي إلى جوف الفم لتحمل الجسر التعويضي. طوَّر دال الطريقة عام 1943 فصنع الشبكة من الكروم - كوبالت، غير أن عدم التطابق الكامل بين سطح الشبكة وسطح العظم الحامل لها يؤدي إلى خلل التوزع في الضغط، مما دعا الباحثين إلى كشف العظم وأخذ طبعة حقيقية لسطحه، والعودة إليه بعد صنع شبكة مطابقة له، وهذا يعني اللجوء إلى عمليتين لتحقيق الغاية بما في ذلك من رض.
وأخذ النوع الرابع شأنه الكبير في الستينات من القرن العشرين، وكان ستروك (1939) أول من قام بغرس لولب في العظم للتعويض عن سن مقلوعة.
في عام 1962 غرس شيرشيڤ لولباً من التيتانيوم في العظم، وفي عام 1971 حول هاينريش مادة اللولب إلى التانتال في الوقت الذي قام فيه ساندهاوس بتجربة غرسة أكسيد السيراميك ceramic oxide أما سيالوم (عام 1962) فقد جعل الغرسة ثلاثة جذور متباعدة من التانتال.
من عيوب الغرسات داخل العظم مساحة سطحها المحدودة في تماسها مع العظم وبالتالي نقلها الضغط عند المضغ إلى مساحات محدودة من العظم، علماً بأن ثبات الغرسة يكون أكبر ونجاحها أعظم، كلما كان سطح تماسها مع العظم أوسع، ولذلك قام لينكوڤ عام 1966 بصنع شفرات من التيتان أسماها بالغرسة الانبساطية، وقد أضاف إليها هاينريش عام 1976 مخالب جانبية تجعل الغرسة خليطاً من الشكلين الثالث والرابع.
في عام 1976 صنع كوخ الغرسة الأسطوانية، وتمتاز بما يلي:
- تحضير الفتحة العظمية سهل إذ يتم بوساطة سنبلة خاصة مما يحقق تماساً جيداً بين الغرسة والعظم.
- يمكن فصل الجزء البارز خارج العظم عن الغرسة بحركة لولبية مما يحقق لمنطقة الغرسة المغلقة تحت الغشاء المخاطي والسمحاق شفاء جيداً.
- يمتص الغشاء المصنوع من اللدائن والمغطي للمهماز الخارجي شدة الصدمة الواقعة على الغرسة في أثناء المضغ.
لقد كانت المشكلة المشتركة بين كل الغراس أنها أجسام غريبة مزروعة في عظم حي، فإن لم يلفظها الجسم، بقيت في حالة عدم استقرار، واستحال شفاء المنطقة المحيطة بها شفاء صحيحاً، وتبقى الغرسة محاطة بطبقة ليفية تفصلها عن العظم.
وتمّ بعد ذلك صنع غرسات متطورة من الخزف (السيراميك) (أكسيد الألمنيوم Al2O3) ويعد الأكثر مثالية بين الأكاسيد الخزفية ويبدي بالمقارنة بالأكاسيد المعدنية، ولا سيما المواد الخزفية المشابهة في التركيب من حيث الجزيئات، أدق أشكال المسافات الجزيئية، وهذا مايؤدي إلى قوة التصاق عالية، وثبات ميكانيكي جيد. كما تبدو الجزيئات في شبكات الكريستال الخزفية بحالة تشرد وعدم حركة مما يجعلها عالية المقاومة الكهربائية بالمقارنة بالمعادن، وإن امتياز أكسيد الألمنيوم بعدم حمله للشحنات يجعل قابلية احتماله من الأنسجة المحيطة أكبر، وهذه الخاصة دعت لاستعماله منذ أكثر من 25 سنة في مجال الإلكترونيات وتركيب الآلات عازلاً ممتازاً.
من أشهر النماذج المصنوعة من هذه المادة نموذج توبينگن إذ تبين بالدراسات المجراة على الكلاب أولاً، ثم على البشر فيما بعد أن للخزف (السيراميك) المطور بحسب نموذج «توبينگن» من الصفات مايجعل قابلية احتماله من العظم المحيط به عالية، وشوهد دخول العظم الإسفنجي والعظم الأصم في سطح هذه الغرسة كما شوهد بقاء الأنسجة اللثوية المحيطة بعنق الغرسة في حالة صحية جيدة.
من الغرسات الحديثة، غرسة الأسطوانة الغاطسة المغطاة بطبقة التيتان، وكان تصميمها قائماً على الدراسات حول الشكل المجهري للغرسة مع الانتباه للمتطلبات الجراحية والحالة السريرية للمريض، وقد ثبت أن نجاح الغرسة يقوم على الملاءمة الحيوية للمعدن الوسيط من ناحية، وللشكل المجهري لتركيب سطح الغرسة من ناحية ثانية.
صنفت المواد في مواد ذات فعالية حيوية سلبية biopassive مثل التانتال والتيتان وأكسيد الألمنيوم ومواد ذات فعالية حيوية إيجابية bioactive مثل الزجاج الحيوي bioglass والأباتيت apatite (فوسفات الكلسيوم الطبيعي المشتمل على الفلور والكلور)، واستناداً إلى ذلك قامت دراسات استمرت 6 سنوات على مواد مختلفة للغرس، مثل التيتان والفحم الزجاجي glass coal وأكسيد الألمنيوم والزجاج الحيوي.
استخدم هذا النوع على شكل غرسة أسطوانية من معدن التيتان ذات ثقوب تنتهي في الأعلى بمهماز وهي مفتوحة من الأسفل ومطلية بجزيئات التيتان التي يقذف بها سطح الغرسة، ثم تحمى في حرارة عالية، فتتماسك الجزيئات مشكلة سطحاً خشناً يحمل تجاويف ونواتئ تساعد على الاشتباك بالعظم.
تستعمل سنبلة خاصة أسطوانية لتفريغ العظم بشكل يناسب الغرسة، ويشترط في هذه الطريقة اتباع الأمور التالية:
أن يفرغ العظم بشكل أسطوانة، ويترك العظم في مركز الأسطوانة سليماً وأن ينخفض سطح الغرسة الخارجي عن سطح العظم المغروسة فيه مسافة 5 - 8 مم ولا يجوز بأي حال أن يبرز مهماز الغرسة في منطقةٍ غشاؤها المخاطي متحرك، ويجب أن تكون دائماً في منطقة مغطاة بغشاء مخاطي متقرن.
تكون الغرسة وحيدة الأسطوانة أو ثنائيتها أو ثلاثيتها، وقد جربت هذه الغرسات مدة عام، ثم أجريت دراسة مجهرية على الفك والعظم المحيط بالغرسة، فتبين وجود التصاق كامل بين العظم والسطح المطلي بجزيئات التيتان، كما تبين وجود تشكلات عظمية في الفجوات الموجودة على محيط الأسطوانة المغروسة.
وإذا قدر للغرس أن يبلغ النجاح المطلوب تكون استطباباته في الحالات التالية:
فقدان سن بسبب حادث أو وجود ورم حبيبي granuloma تحت أحد الأسنان مع امتداد رباطي، أو وجود أسنان متموتة اللب مع التهاب الذروة لا ينجح فيها العلاج المحافظ أو العلاج الجراحي، والأسنان ذات الجذور الممتصة، ومكان سن مقلوعة عند صلاح الحالة للغرس، وبعد شفاء مكان القلع، والغرسات الفورية بعد القلع وكحوامل للجسور أو الصفائح.
المصادر
- ^ زراعة الأسنان، وب طب
- ^ أ ب خطأ استشهاد: وسم
<ref>
غير صحيح؛ لا نص تم توفيره للمراجع المسماةMisch
- ^ أ ب Balaji, S. M. (2007). Textbook of Oral and Maxillofacial Surgery. New Delhi: Elsevier India. pp. 301–302. ISBN 9788131203002.
- ^ Anusavice, Kenneth J. (2003). Phillips' Science of Dental Materials. St. Louis, Missouri: Saunders Elsevier. p. 6. ISBN 978-0-7020-2903-5.
- ^ خطأ استشهاد: وسم
<ref>
غير صحيح؛ لا نص تم توفيره للمراجع المسماةNewman
- ^ مختار الطنطاوي. "الأسنان (غرس ـ)". الموسوعة العربية. Retrieved 2014-12-28.
المراجع
- The International Journal of Oral & Maxillofacial Implants, No:2 (1991 (.
- c Branemark, Per-Ingvar; Zarb, George (1989). Tissue-integrated prostheses (in English). Berlin, German: Quintessence Books. ISBN 0867151293.
{{cite book}}
: CS1 maint: multiple names: authors list (link) - Branemark, Per-Ingvar Worthington, Philip, ed (1992). Advanced osseointegration surgery: applications in the maxillofacial region (in english). Carol Stream, Illinois: Quintessence Books. ISBN 0867152427.
{{cite book}}
:|author=
has generic name (help)CS1 maint: multiple names: authors list (link) - Laskin, Daniel (2007). Decision making in oral and maxillofacial surgery. Chicago, IL: Quintessence Pub. Co. ISBN 9780867154634.
- Lee, SL (2007). Applications of orthodontic mini implants. Hanover Park, IL: Quintessence Publishing Co, Inc. pp. 1–11. ISBN 9780867154658.
- Sclar, Anthony (2003). Soft tissue and esthetic considerations in implant dentistry (in english). Carol Stream, IL: Quintessence Books. ISBN 0867153547.
- Buser, Daniel; Schenk, Robert K (1994). Guided bone regeneration in implant dentistry (in english). Hong Kong: Quintessence Books. ISBN 0867152494.
{{cite book}}
: CS1 maint: multiple names: authors list (link) - Pallaci, Patrick (1995). Optimal implant positioning and soft tissue management for the Branemark system (in english). Germany: Quintessence Books. ISBN 0867153083.
- Renouard, Frank (1999). Risk Factors in Implant Dentistry: Simplified Clinical Analysis for Predictable Treatment. Paris, France: Quintessence International. ISBN 0867153555.
- Lindhe, Jan; Lang, Niklaus P; Karring, Thorkild, eds. (2008). Clinical Periodontology and Implant Dentistry 5th edition (in English). Oxford, UK: Blackwell Munksgaard. ISBN 9781405160995.
{{cite book}}
:|author=
has generic name (help)CS1 maint: multiple names: authors list (link) - Newman, Michael; Takei, Henry; Klokkevold, Perry, eds. (2012). Carranza's Clinical Periodontology (in English). St. Louis, Missouri: Elsevier Saunders. ISBN 9781437704167.
{{cite book}}
:|author=
has generic name (help)CS1 maint: multiple names: authors list (link)