الپنكرياس المنتبذ

(تم التحويل من Ectopic pancreas)
الپنكرياس المنتبذ
الأسماء الأخرىHeterotopic pancreas,
Accessory pancreas,
Aberrant pancreas,
Pancreatic rest,
Myoepithelial hamartoma
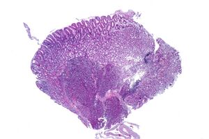
Stomach with pancreatic heterotopia, low mag.2.jpg
خزعة معدة تُظهر وجود حالة پنكرياس منتبذ في الغشاء المخاطي تحت المخاطي. صبغة الهيماتوكسيلين والأيوزين.
التخصصطب الجهاز الهضمي
الأعراضغالباً ما يكون بدون أعراض، وقد يسبب مغص وانتفاخ
الطريقة التشخيصيةالخزعة والتقييم النسيجي
التشخيص المفاضلالورم السدي المعدي المعوي (GIST)[1]
العلاجالجراحة في حالة ظهور أعراض
الدواءلا يوجد
الترددغير شائع[1]

الپنكرياس المنتبذ (Ectopic pancreas)، هو خلل تشريحي حيث ينمو نسيج پنكرياسي خارج موقعه الطبيعي (انتباذ) وبدون أي وصلات وعائية أو تشريحية أخرى بالپنكرياس.[2] ويعتبر مرضاً خلقياً[2] ويعرف أيضًا بالپنكرياس المتغاير أو الإضافي أو الشاذ.[3]

الأعراض والعلامات

غالبًا ما يكون الپنكرياس المنتبذ بدون أعراض. عند وجوده، قد تشمل الأعراض المغص وانتفاخ البطن.[1] من الشائع التعرف على الپنكرياس المنتبذ عرضياً عند مراجعة الصور الطبية التي أجريت لسبب غير ذي صلة. قد يظهر النسيج الپنكرياس المنتبذ في أي مكان في تجويف البطن، على الرغم من أن أكثر من 90% منه يوجد في المعدة، الاثني عشر، أو الصائم.[1] يظهر عادةً كعقدة ملساء أو سرة. نادراً، قد يوجد نسيج پنكرياسي منتبذ في القولون أو الطحال أو الكبد.[1]

نسيج پنكرياسي في تجويف المعدة.

التشخيص

قد يكون تشخيص الپنكرياس المنتبذ صعباً. يتطلب تأكيد التشخيص أخذ عينة من الأنسجة، إما عن طريق الخزعة أو الاستئصال الجراحي.

العلاج

إذا لم تظهر أي أعراض، فلا داعي للعلاج. أما إذا ظهرت الأعراض، فيتمثل العلاج في الاستئصال الجراحي.[1]

الانتشار

معدل وقوع حالات الپنكرياس المنتبذ منخفض نسبياً.[1]

المصادر

  1. ^ أ ب ت ث ج ح خ Yuan, Z; Chen, J; Zheng, Q; Huang, XY; Yang, Z; Tang, J (7 August 2009). "Heterotopic pancreas in the gastrointestinal tract". World Journal of Gastroenterology. 15 (29): 3701–3. doi:10.3748/wjg.15.3701. PMC 2721251. PMID 19653355.
  2. ^ أ ب Perera, Eranga (26 April 2010). "Ectopic Pancreas". Imaging Science Today. Archived from the original on 25 November 2010.
  3. ^ Kim, Ji Young; et al. (2009). "Ectopic Pancreas: CT Findings with Emphasis on Differentiation from Small Gastrointestinal Stromal Tumor and Leiomyoma". Radiology. Radiological Society of North America. 252 (1): 92–100. doi:10.1148/radiol.2521081441. PMID 19561251.

وصلات خارجية

Classification
V · T · D
External resources