شبكة هيولية باطنة

(تم التحويل من Endoplasmic reticulum)
1 النواة     2 مسم pore النواة     3 الشبكة الهيولية الخشنة (ش.هـ.خ. rER)     4 الشبكة الهيولية الملساء (sER)     5 ريبوسوم على ش.هـ. الخشنة     6 البروتينات المنقولة     7 النقل حويصلة     8 جهاز گولجي     9 وجه مقرون Cis لجهاز گولجي    10 وجه مفروق Trans لجهاز گولجي    11 صهاريج Cisternae جهاز گولجي
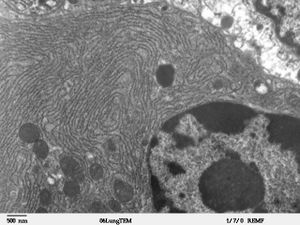
Micrograph of rough endoplasmic reticulum network around the nucleus (shown in lower right-hand side of the picture). Dark small circles in the network are mitochondria.

الشبكة الهيولية الباطنة أو الشبكة الإندوبلازمية Endoplasmic Reticulum هي عضي النقل في الخلية اذ أنه عبارة عن شبكة من الانابيب يتم من خلالها نقل المواد بين أجزاء الخلية وهي نوعان : شبكة اندوبلازمية خشنة وشبكة اندوبلازمية ملساء والفرق بينهما هو ان الشبكة الاندوبلازمية الخشنة تحتوي على الرايبوسمات التي تقوم بصنع البروتينات وبواسطة انابيب الشبكة يتم نقل هذا البروتتين إلى أجسام گولجي .

تبدو الشبكة الإندوبلازمية بإستخدام المجهر الإلكتروني كحويصلات قد تكون مفلطحة أو أنبوبية أو مستديرة ، وتتصل هذه الحويصلات معا وتمتد لتكون غلاف النواة ، كما أنها قد تمتد لتصل إلى الغشاء الخلوي. وتعمل الشكبة الإندوبلازمية على تقسيم السيتوبلازم إلى حيزين رئيسيين ، أحدهما يقع محصورا داخل الشبكة ، والثاني يقع خارج الشبكة الإندوبلازمية في موجد السيتوبلازم Cytoplasmic Matrix or Cytosol. وتمثل الشبكة الإندوبلازمية مخزنا داخل خلوي للكالسيوم. ويعرف طرازان من هذه الشبكة هما الملساء والخشنة. وتتميز الشبكة الإندوبلازمية الخشنة rough Endoplasmic Reticulum - rER بوجود الريبوسومات على السطح الخارجي لأغشيتها ، بينما تفقد الشبكة الإندوبلازمية الملساء smooth Endoplasmic Reticulum - sER هذه الريبوسومات.

وتوجد الشبكة الإندوبلازمية الخشنة بوفرة في الخلايا البنكرياسية ذات الإفراز الخارجي التي تعطي إفرازا غنيا بالبروتينات. ويتم في تجويف الشبكة الإندوبلازمية معالجة البروتينات المخلقة حديثا بإضافة الكربوهيدرات على سبيل المثال ، وفي النهاية تنفصل عن الشبكة حويصلات محملة بالمنتج النهائي. وفي خلايا قشرة الغدة فوق الكلى، تقوم الشبكة الإندوبلازمية الملساء بتخليق الهرمونات الإسترويدية. وفي الخلايا الكبدية تقوم هذه الشبكة بتخليق الجليكوجين، وتساهم هذه الشبكة في الألياف العضلية الهيكلية بالإرتباط بالكالسيوم، وبهذا يكون لها دور في إنقباض العضلات. ويوجد الطرازان من الشبكة الإندوبلازمية معاً في عديد من الخلايا مثل الخلايا الكبدية.

التاريخ

الأغشية الموشاة للشبكة الهيولية الباطنة شوهدت لأول مرة في 1945 من قِبل كيث پورتر وألبرت كلود، و برودي مسكرز و إرنست فولم، باستخدام مجهر إلكتروني.[1] كلمة reticulum، التي تعني "شبكة"، استُخدِمت لوصف هذا النسيج من الأغشية.

البنية

رسم ثلاثي الأبعاد للشبكة الهيولية الباطنة


الشبكة الهيولية الباطنة الخشنة

تحريك يبين كيف أن بروتين destined for the secretory pathway is synthesized into the rough endoplasmic reticulum (which appears at upper right in animation when approximately half of animation is done). الوقت الإجمالي للتحريك هو نحو دقيقتين.

Sarcoplasmic reticulum

Skeletal muscle fiber, with sarcoplasmic reticulum colored بالأزرق.


الأهمية الاكلينيكية

Abnormalities in XBP1 lead to a heightened endoplasmic reticulum stress response and subsequently causes a higher susceptibility for inflammatory processes that may even contribute to Alzheimer's disease.[2] In the colon, XBP1 anomalies have been linked to the inflammatory bowel diseases including Crohn's disease.[3]

The unfolded protein response (UPR) is a cellular stress response related to the endoplasmic reticulum.[4] The UPR is activated in response to an accumulation of unfolded or misfolded proteins in the lumen of the endoplasmic reticulum. The UPR functions to restore normal function of the cell by halting protein translation, degrading misfolded proteins, and activating the signaling pathways that lead to increasing the production of molecular chaperones involved in protein folding. Sustained overactivation of the UPR has been implicated in prion diseases as well as several other neurodegenerative diseases and the inhibition of the UPR could become a treatment for those diseases.[5]


المصادر

  1. ^ Porter KR, Claude A, Fullam EF (March 1945). "A study of tissue culture cells by electron microscopy". J Exp Med. 81 (3): 233–246. doi:10.1084/jem.81.3.233. PMC 2135493. PMID 19871454.
  2. ^ Casas-Tinto, S; Zhang, Y; Sanchez-Garcia, J; Gomez-Velazquez, M; Rincon-Limas, DE; Fernandez-Funez, P (25 March 2011). "The ER stress factor XBP1s prevents amyloid-{beta} neurotoxicity". Human Molecular Genetics. 20 (11): 2144–60. doi:10.1093/hmg/ddr100. PMC 3090193. PMID 21389082.
  3. ^ Kaser A, Lee AH, Franke A, Glickman JN, Zeissig S, Tilg H, Nieuwenhuis EE, Higgins DE, Schreiber S, Glimcher LH, Blumberg RS (September 2008). "XBP1 links ER stress to intestinal inflammation and confers genetic risk for human inflammatory bowel disease". Cell. 134 (5): 743–56. doi:10.1016/j.cell.2008.07.021. PMC 2586148. PMID 18775308.
  4. ^ Walter, Peter. "Peter Walter's short talk: Unfolding the UPR". iBiology.
  5. ^ Moreno, J. A.; Halliday, M.; Molloy, C.; Radford, H.; Verity, N.; Axten, J. M.; Ortori, C. A.; Willis, A. E.; Fischer, P. M.; Barrett, D. A.; Mallucci, G. R. (2013). "Oral Treatment Targeting the Unfolded Protein Response Prevents Neurodegeneration and Clinical Disease in Prion-Infected Mice". Science Translational Medicine. 5 (206): 206ra138. doi:10.1126/scitranslmed.3006767. PMID 24107777.