القرنية المخروطية

(تم التحويل من Keratoconus)
القرنية المخروطية
Keratoconus
الأسماء الأخرىKC, KCN, conical cornea[1]
Keratoconus-with-Munsons-sign-USA-1965.jpg
"القرنية مخروطية الشكل" هي السمة المميزة للقرنية المرخوطية.
النطق
  • KEHR-uh- toh-KOH-nus[2]
التخصصطب العيون، تصحيح الإبصار
الأعراضزغللة العين، قصر النظر، الحساسية للضوء[3]
البداية المعتادةأوائل سن البلوغ[3]
المسبباتغير معروف[3]
الطريقة التشخيصيةفحص المصباح الشقي [3]
العلاجالنظارة الطبية، العدسات اللاصقة، الجراحة[3]
التردد~1 من بين 2.000 شخص[3]

القرنية المخروطية، هو اضطراب يصيب العين نتيجة حدوث ترقق تدريجي في القرنية.[3] قد يتسبب هذا الاضطراب في زغللة العين، ازدواج الرؤية قصر النظر، اللابؤرية، والحساسية للضوء.[3] وعادة ما تتأثر كلا العينين بالمرض.[3] في الحالات الأكثر حدة قد يظهر تندب أو دائرة داخل القرنية.

رغم عدم معرفة سبب هذا الاضطراب، إلا أنه يعتقد بأنه يحدث بسبب عوامل وراثية، بيئية، وهرمونية مجتمعة.[3] حوالي سبعة في المائة من المصابين لديهم تاريخ عائلي للإصابة بالمرض.[3] وتشمل العوامل البيئية المقترحة فرك العين والحساسية.[4] تنطوي الآلية الأساسية للتغيرات تحول القرنية للشكل المخروطي.[3] يتم تشخيص المرض طريق الفحص بالمصباح الشقي.[3]

في بداية المرض عادة ما يتم تصحيح الإبصار عن طريق النظارات الطبية أو العدسات اللاصقة المرنة.[3] مع تقدم المرض قد يلزم استخدام عدسات خاصة.[3] في معظم الأشخاص يستقر المرض بعد بضعة سنوات بدون مشكلات في الرؤية.[3] في عدد صغير من الأشخاص يحدث تندب في القرنية ويلزم إجراء زرع قرنية.[3]

يصيب اضطراب القرنية المخروطية 1 من بين 2000 شخص تقريباً.[3][4] وعادة ما يحدث في أواخر مرحلة الطفولة وبداية سن البلوغ.[3] رغم أنه يصيب جميع الأشخاص إلى أنه قد ينتشر بشكل أكثر تواتراً في بعض الجماعات العرقية مثل الجماعات العرقية ذات الأصل الآسيوي.[4]

الأعراض والعلامات

تعدد الرؤيا

الأشخاص الذين يعانون من القرنية المخروطية المبكرة عادة ما يلاحظ لديهم عدم وضوح طفيف في الرؤيا، فيأتون إلى الطبيب لأجل العدسات التصحيحية للقراءة أو القيادة.[5][6] في البداية لا تختلف أعراض القرنية المخروطية عن أي من اضطرابات الانكسار الأخرى من العين. مع تقدم المرض، تتدهور الرؤية، وأحيانا بسرعة. كما تنخفض قيمة حدة البصر في جميع المسافات، وغالبا ما تكون الرؤية الليلية ضعيفة. بعض الاشخاص المصابين لديهم الرؤية في عين أسوأ بشكل ملحوظ من العين الأخرى. هذا المرض غالبا ما يصيب كلتا العينين،ولكنه احيانا يصيب احدى العينين فقط. كما يصاب بعض الاشخاص بحساسية للضوء الساطع، إجهاد العين من التحديق لأجل القراءة، أو حكة في العين،[5] مع ذلك يكون الألم قليلا او حتى معدوما.قد يسبب هذا المرض ظهور اجسام اسطوانية مضيئة بنفس الشدة وفي جميع الاتجاهات. من أشهر أعراض القرنية المخروطية هو تضاعف الرؤية. ويعتبر هذا التأثير أكثر وضوحا مع حقل التباين العالي، مثل نقطة ضوء على خلفية داكنة. فبدلا من رؤية نقطة واحدة فقط، يرى المريض العديد من الصور لهذه النقطة، تنتشر في نمط غير منتظم. ولا يتغير هذا النمط عادة من يوم إلى يوم، ولكن مع مرور الوقت، وعادة ما يأخذ أشكالا جديدة. عادة ما يلاحظ المرضى تشويه حول مصادر الضوء. حتى ان بعضهم لاحظ ان الصور تتحرك تزامنا مع ضربات قلوبهم. ان التشويه البصري الذي يعاني منه المريض يأتي من مصدرين، أحدهما عدم انتظام سطح القرنية، واما الاخر تندب التي تحدث على نقاط مرتفعة على سطحها معرضة للخطر. هذه العوامل تعمل على تشكيل المناطق على القرنية التي تعين صورة إلى مواقع مختلفة على شبكية العين. التأثير يمكن أن يزداد سوءا في ظروف الإضاءة المنخفضة، حيث أن البؤبؤ المتكيف مع الإضاءة المعتمة يتوسع و يكشف مناطق أكبر من سطح القرنية غير المنتظم .[7][8]

تشخيص المرض

Keratoconus.svg

في كثير من الأحيان يبدأ طبيب العيون بالاستفسار عن التاريخ الطبي للمريض، وخاصة الشكوى الرئيسية وأعراض بصرية أخرى، و وجود أي تاريخ للمرض أو إصابة العين مما قد يؤثر على الرؤية، و وجود أي تاريخ عائلي من أمراض العين. مخطط العين، مثل مخطط سنيلين (Snellen chart) وهو أحرف تصغر تدريجيا، يتم استخدامها لتحديد حدة المريض البصرية.وقد يتم فحص العين لقياس انحناء القرنية عن طريق مقياس تقوس القرنية اليدوي،[9] ان الكشف عن اصابة المريض بالاستجماتيزم (astigmatism) يدل على إمكانية اصابته بالقرنية المخروطية. يمكن للحالات الشديدة ان تتجاوز قدرة قياس الآلة.[6] كما يمكن توفير معلومات أخرى عن طريق تنظير الشبكية، والتي تركز شعاع ضوء في شبكية العين المريض والتفكير، أو ردة الفعل، لاحظ كما الفاحص يميل مصدر الضوء ذهابا وإيابا.[6][10] القرنية المخروطية هو من بين الشروط العيون التي تظهر في العمل مقص المنعكس من شريطين تتجه نحو وبعيدا عن بعضها البعض مثل ريش من زوج من مقص. إذا اشتبه القرنية المخروطية، فإن طبيب العيون يبحث عن النتائج المميزة الأخرى للمرض عن طريق فحص المصباح الشقي للقرنية.[11] الحالات المتقدمة من المرض يسهل تشخيصها من قبل الفاحص ، كما أنها تفضي إلى التشخيص قبل استخدام فحوصات أكثر تخصصا . تحت الفحص الدقيق، حلقة من الأصفر والبني المائل إلى اللون الزيتي والمعروفة باسم حلقة فلايشر يمكن ملاحظتها في ما يقرب نصف العيون المصابة و تعرف باسم حلقة فلايشر،[12] والناجمة عن ترسب من هيموسيديرين أكسيد الحديد داخل ظهارة القرنية، غير خفية وربما لا تكون كشفها بسهولة في جميع الحالات، ولكنه يصبح أكثر وضوحا عندما ينظر إليها في إطار تصفية الأزرق الكوبالت.[6] وبالمثل، حوالي 50٪ من المواضيع يحمل السطور فوغت، وخطوط الضغط داخل القرنية الناتجة عن التمدد والترقيق.[12] السطور تختفي مؤقتا في حين يتم تطبيق ضغط طفيف على مقلة العين.[6] ويمكن للمخروط وضوحا عاليا خلق المسافة البادئة على شكل حرف V في الجفن السفلي عندما يتم توجيه نظر المريض إلى أسفل، والمعروفة باسم علامة مونسون و[5] وعادة ما يكون عرض علامات سريرية أخرى من القرنية المخروطية نفسها لفترة طويلة قبل أن يصبح علامة مونسون على ما يبدو، [13] وحتى هذه النتيجة، على الرغم من إشارة كلاسيكية من المرض، لا يميل إلى أن تكون ذات أهمية التشخيص الأولية.

منظار القرنية المحمولة التي تعرف أحيانا باسم "قرص بلاسيدو"، ويمكن أن توفر التصور موسع بسيط من سطح القرنية من خلال إبراز سلسلة من حلقات متحدة المركز من الضوء على القرنية. ويمكن الحصول على تشخيص أكثر دقة باستخدام تضاريس القرنية، يوجد فيها ايضا صك آلي لمشاريع النمط المضيئة على القرنية ويحدد طوبولوجيا لها من تحليل الصور الرقمية. الخريطة الطبوغرافية تشير أي تشوهات أو تندب في القرنية، مع القرنية المخروطية التي كشفت عنها لانحدار مميزة الانحناء التي عادة ما تكون أقل من خط المنتصف للعين.[14] وتقنية يمكن أن تسجل لقطة لدرجة ومدى تشوه باعتباره معيارا لتقييم معدل التقدم. فمن ذا قيمة خاصة في الكشف عن اضطراب في مراحله المبكرة عندما علامات أخرى لم تقدم بعد.[15] مرة واحدة وقد تم تشخيص القرنية المخروطية، ويمكن تصنيف درجة من خلال عدة مقاييس:[16]

  • شدة الانحدار من أكبر انحناء من 'معتدل' (<45 D)، 'تقدم' (تصل إلى 52 D) أو "شديد" (> 52 D)؛
  • مورفولوجية مخروط: "الحلمة" (صغير: 5 مم وشبه المركزي)، "البيضاوي" (أكبر، دون الوسط، وغالبا ما ترهل)، أو "كروي " (أكثر من 75٪ من القرنية المتضررة)؛
  • سمك القرنية من معتدل (> 506 ميكرون) إلى المتقدم (<446 ميكرون).

وقد أدى الاستخدام المتزايد للتضاريس القرنية إلى انخفاض في استخدام هذه المصطلحات.[16]

مراحل المرض

تضاريس القرنية في مصاب بالمرحلة الثانية من القرنية المخروطية
المرحلة الخصائص[17][18]
المرحلة 1
  • غريب الأطوار انحدار المستحثة قصر النظر و / أو الاستجماتيزم (اللابؤرية ) من <= 5.0 D
  • K-قراءة <= 48.00 D
  • خطوط فوغت، وتضاريس نموذجية
المرحلة 2
  • قصر النظر التي يسببها و / أو الاستجماتيزم> 5.00 إلى <= 8.00 D
  • K-قراءة <= 53.00 D
  • Pachymetry> = 400 µm
المرحلة 3
  • قصر النظر التي يسببها و / أو الاستجماتيزم> 8.00 إلى <= 10.00 D
  • K-القراءة> 53.00 D
  • Pachymetry 200-400 µm
المرحلة 4
  • انكسار لا يمكن قياسه
  • K-القراءة> 55.00 D
  • ندوب المركزية
  • Pachymetry <= 200 µm
يتم تحديد المرحلة من خلال انطباق إحدى الخصائص على الحالة.

سمك القرنية هو أنحف نقطة قياس للقرنية.

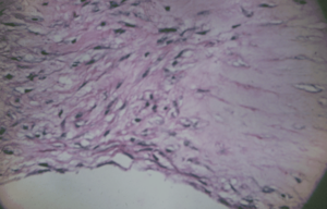
الفسيولوجيا المرضية

عينة من القرنية المخروطية أخرجت بعد ست سنوات من التشخيص: سدى رقيقة، والتجاعيد على السطح الخلفي

على الرغم من القدر الكبير من البحث عن مسببات القرنية المخروطية إلا أن السبب لا يزال غير واضح.[14] عدة مصادر تشير إلى أن القرنية المخروطية المرجح تنشأ من عدد من العوامل المختلفة: الوراثية والبيئية أو الخلوية، أي من التالية قد تؤدي إلى التسبب بظهور المرض .[19][20][21] تكون بداية المرض من تحلل طبقة بومان، [6] التي تقع بين ظهارة القرنية والسدى. وعند تلامس الطبقتين يؤدي ذلك إلى التغيرات الخلوية والهيكلية في القرنية التي تؤثر سلبا على سلامة المريض و تسبب انتفاخا وتندبا . في أي حالة مفردة من القرنية المخروطية يمكن ملاحظة مناطق من الترقق ومناطق متحللة تتواجد مع المناطق التي يحدث فيها التئام للجروح و يعد التندب جانبا من جوانب تدهور القرنية . ومع ذلك، تشير دراسة أخيرة من مراكز عدة بأن التآكل بواسطة العدسات اللاصقة قد تزيد من احتمال حدوث هذه النتيجة بمعامل أكثر من الضعف .[22][23]

وقد أشار عدد من الدراسات أن القرنيات المخروطية تظهر مؤشرات على تزايد النشاط البروتياز،[19] وهي عبارة عن فئة من الإنزيمات التي تكسر بعض الكولاجين عبر الروابط في سدى، مع خفض التعبير المتزامن لمثبطات الأنزيم البروتيني.[24] اضافة إلى دراسات أخرى التي أشارت إلى أن انخفاض النشاط من قبل نازعة انزيم ألدهيد قد تكون مسؤولة عن تراكم الجذور الحرة المؤكسدة والأنواع في القرنية.[25] بغض النظر عن الارتباط الجيني المسبب للمرض فإن الأضرار الناجمة عن النشاط ضمن النتائج المحتملة في القرنيه المخروطيه هي خفض سمك وقوة النشاط الحيوي. على مستوى التركيب البنائي للقرنية فإنه يؤدي إلى ضعف الأنسجة القرنية مع اختلال الترتيب المنتظم لطبقات الكولاجين والكولاجين ليفية التوجه.[26] في حين أن القرنية المخروطية لا تعتبر من الأمراض المسببة للالتهاب ، تبين إحدى الدراسات أن ارتداء العدسات اللاصقة الصلبة من قبل المرضى يؤدي إلى زيادة في السيتوكينات التي تسبب الالتهاب ، مثل IL-6، TNF-ألفا، ICAM-1، وVCAM-1 وذلك في السائل المسيل للدموع.[27] قد لوحظ وجود استعداد وراثي للقرنيه المخروطية، في عائلات معينة،[28] والحالات المبلغ عنها تحدث في التوائم المتماثلة. لم يتم تعريف تواتر حدوث في أفراد الأسرة المقربين بشكل واضح،[29] على الرغم من أنه ومن المعروف أن تكون أعلى بكثير من تلك التي في عموم السكان، وحصلوا على دراسات التقديرات تتراوح بين 6٪ و 19٪.[30] في دراستين على مجتمعات معزولة و متماثلة التوالد إلى حد كبير وجد بأن مواقع الجينات المفترضة للكروموسومات 16q و 20 q توجد في مواقع معكوسة . معظم الدراسات الجينية تتفق على أن وراثة المرض تتبع نمط وراثي سائد . ويتسبب أحد الأنماط الوراثية السائدة من المرض بشكل نادر من القرنية المخروطية الشديدة مع الساد القطبي الأمامي عن طفرة في المنطقة المصنفة مير-184، وهو الرنا الميكروي و يعبر عنه بشكل كبير في القرنية والعدسة الأمامية .[31] يتم تشخيص القرنية المخروطية في كثير من الأحيان في الناس الذين يعانون من متلازمة داون، على الرغم من أن أسباب هذا الارتباط لم يتحدد.[32] ارتبطت القرنية المخروطية مع أمراض الجلد التأتبي، والتي تشمل الربو، والحساسية، والأكزيما، وليس من غير المألوف بالنسبة للعديد من أو كل هذه الأمراض أن تؤثر على شخص واحد. وترتبط القرنية المخروطية أيضا مع متلازمة آلبورت و متلازمة داون ومتلازمة مارفان.[33] وهناك عدد من الدراسات تشير ان فرك العين يساهم بقوة في تطور القرنية المخروطية، ويجب عدم تشجيع المرضى على هذه الممارسة.[34][35][36][37][38][39] القرنية المخروطية تختلف عن التوسع الوعائي والذي كان سببه جراحة العيون الليزك. ينتج التوسع الوعائي بعد عملية الليزك بسبب إزالة الأنسجة الزائدة من السرير السدوي للعين خلال العملية الجراحية.

العلاج

العدسات

في المراحل المبكرة من القرنية المخروطية، يمكن للنظارات أو العدسات اللاصقة اللينة ان تكفي لتصحيح الاستجماتيزم (اللابؤرية ) المعتدل. ولكن اذا تقدمت الحالة، قد لا توفر العدسات للمريض درجة مرضية من حدة البصر، وسوف يقوم معظم الممارسين السريرين بالانتقال إلى إدارة الحالة مع العدسات اللاصقة الصلبة، والمعروفة باسم العدسات الصلبة القابلة لتمرير الغازات (RGP). توفر العدسات RGP مستوى جيد من تصحيح البصر، ولكن لا توقف تطور هذه الحالة.[40]

في المرضى الذين يعانون من القرنية المخروطية، فان العدسات اللاصقة الصلبة تحسن الرؤية عن طريق السوائل الدمعية التي تعمل على سد الفجوة بين سطح القرنية والسطح الداخلي العادي السلس للعدسة، وبالتالي خلق تأثير من القرنية أكثر سلاسة. لقد طور العديد من الانواع المتخصصة من العدسات اللاصقة للقرنية المخروطية، يحتاج المصابون إلى كل من الأطباء المتخصصين في ظروف القرنية، واخصائيي العدسات اللاصقة الذين لديهم خبرة في التعامل مع المرضى الذين يعانون من القرنية المخروطية. يمثل المخروط الغير منتظم تحديا حيث يعمل الاخصائيين على إنتاج عدسة ذات اتصال واستقرار مثاليين.تقليديا، كانت العدسات اللاصقة للقرنية المخروطية و'الصلبة' أو RGP متنوعة، على الرغم من أن الشركات المصنعة قد تنتج أيضا العدسات "اللينة" أو العدسات المائية المتخصصة.لقد استخدمت مؤخرا عدسات السيليكون الهيدروجيلية.ان العدسة اللينة لديها ميل لتتوافق مع الشكل المخروطي للقرنية، مما يقلل تأثيرها. لمواجهة هذا المرض .صنعت العدسات الهجينة التي تكون صلبة الوسط والتي تحيط بها حلقة لينة. ومع ذلك، فإن العدسات اللينة أو العدسات الهجينة الجيل لم تثبت فعالية لكل المرضى.[41] وقد تم وقف العدسات الجيل المبكر مثل(SoftPerm).[42] ان الجيل الرابع من تكنولوجيا العدسات الهجينة قد تحسن بشكل ملحوظ، مما يتيح للمزيد من المرضى الخيار الذي يجمع بين راحة عدسة لينة مع حدة البصر من عدسة (RGP).[43] ان الجيل الجديد من التكنولوجيا قد أصلح المشكلات السائدة في الأجيال السابقة وأتاح لغالبية المرضى الاستفادة من العدسات اللاصقة. هذه التقنية من المفاهيم المختلطة كما اتخذت المحطة الجديدة مع تضافر جهود بعض المصنعين، وهم: CooperVision، SyngerEyes، Eyetrust. لقد وجد بعض المرضى أيضا على تصحيح الرؤية والراحة مع دمج عدسات "piggyback" ، حيث يتم ارتداء العدسات RGP على العدسات اللينة، حيث ان كلتاهما تعملان على تصحيح الرؤية. توصف العدسات الصلبة أحيانا لحالات القرنية المخروطية المتقدمة أو غير منتظمة جدا. وتغطي هذه العدسات نسبة أكبر من سطح العين، وبالتالي يمكن أن تعمل على تحسين الاستقرار .الحجم الكبير للعدسات قد يجعلها غير جذابة أو غير مريحة للبعض؛[44] ومع ذلك، يمكن تسهيل التعامل بها قد تجدها لصالح المرضى الذين يعانون من انخفاض القدرة الحركية، مثل كبار السن. PROS (استبدال الاجزاء التالفة من سطح العين باجزاء صناعية): العلاج يمكن أن يحسن أداء البصر والرؤية، وتخفيف الاعراض للمرضى الذين يعانون من الأمراض التي تسبب توسع القرنية، بما في ذلك القرنية المخروطية. يستخدم PROS لتحسين الرؤية من خلال اخفاء العيوب على سطح القرنية ونقل صورة حادة إلى الجزء الخلفي من العين.

ان أحد تأثيرات القرنية المخروطية هو الرؤية الضبابية وعدم وجود القدرة على الحصول على وصفة طبية التي تسمح للمريض لمعرفة 20/20. أحد الأسباب هو الشكل الحاد والغريب للقرنية، وكذلك الترقق المفرط اللازم لتصحيح الرؤية المرضى تماما.

التدخل الجراحي

تصالب الألياف الكولاجينية

يتضمن استخدام محلول الريبوفلافين للعين مرة واحدة ثم يتم تفعيلها من خلال الإضاءة مع الأشعة فوق البنفسجية لمدة 30 دقيقة تقريبا. يعمل الريبوفلافين على تشكيل روابط جديدة لتشكيل عبر خيوط الكولاجين المجاورة في طبقة انسجة القرنية، الذي يستعيد ويحفظ بعض من قوة القرنية الميكانيكية. تتم إزالة الطبقة الظهارية للقرنية لزيادة تغلغل الريبوفلافين إلى سدى العين بشكل عام.

بدأت التجارب السريرية في ألمانيا في عام 1998 وإيطاليا في عام 2004، ولقدمت الربط المتبادل النجاح في تأخير أو وقف تطور المرض. نتائج من دراسة أسترالية نشرت في عام 2008 أظهرت تحقيق الاستقرار في كل العيون المعالجة، وتصحيح طفيف في حدة البصر في معظم المرضى. العملية دون إزالة ظهارة أجريت لأول مرة في عام 2004 في بيفرلي هيلز. ، وقدمت الموافقة على استخدامها في جميع أنحاء أوروبا، وبدأت التجارب السريرية في الولايات المتحدة الأمريكية في عام 2008 .[45] وبحلول عام 2010، تم علاج أكثر من 300 مريض في الولايات المتحدة في تلك التجارب. في بعض الحالات، يستخدم تصالب الألياف الكولاجينية مع العلاجات الأخرى لتحسين تباين القرنية والانكسار الضوئي أو قوة القرنية. وتشمل طرق العلاج الناجحة البسيطة مثل بضع القرنية الشعاعي اللامتناظر .وفي الحالة الأخيرة يتم حقن الريبوفلافين في حيز القرنية لتجنب الظهارة، حيث لا يشترط ازالة الظهارة، وبالتالي، فإن هذا أسلوب للعلاج غير مؤلم. هناك حاجة للعدسات التصحيحية عادة بعد هذه العلاجات، ولكن مع أصغر، وصفات أكثر طبيعية. زيادة التماثل في القرنية يجعل ارتداء العدسات اللاصقة أكثر راحة. قد يكون لهذه الأساليب الجديدة دورا هاما في الحد من تدهور الرؤية، وزيادة الرؤية المجردة وغير المصححة، والحد من حالة لزرع القرنية.

زراعة حلقة داخل القرنية

زوج من Intacs بعد الإدراج في القرنية

هي عملية بديلة لزرع القرنية وهي زرع حلقة داخل السدى. حيث يتم إجراء شق صغير في محيط القرنية واثنين من أقواس رقيقة من مادة بولي مثيل ميثاكريلات يدخلان بين طبقات السدى على جانبي البؤبؤ قبل إغلاق الشق بالخياطة.[46] تدفع هذه القطع للخارج بها ضد انحناء القرنية، حيث تعمل على تسطيح ذروة المخروط وإعادته إلى شكل أكثر طبيعية. تنفذ هذه العملية في العيادة الخارجية تحت التخدير الموضعي، كما انها لا تتضمن على أي إزالة لأنسجة العين،لذلك يمكن ازلتها او تبديلها.[46][47]

الدراسات السريرية حول فعالية هذه الحلقات داخل السدى على القرنية المخروطية هي في مراحلها المبكرة، وكانت النتائج حتى الآن مشجعة عموما، على الرغم من أنها لديها حتى الآن قبول واسع مع مجتمع جراحة الانكسار. من الشائع استخدام ادوات تصحيح النظر على شكل نظارات أو عدسات لاصقة بعد العملية الجراحية في القرنية. وتشمل المضاعفات المحتملة لهذه الحلقات الااختراق العرضي للغرفة الأمامية عند تشكيل القناة، والعدوى بعد الجراحة القرنية، والهجرة للحلقات بما في ذلك ذوبان القرنية، وتقدم هذه الحلقات فرصة جيدة لتحسين الرؤية حتى عند صعوبة ذلك، ولكن النتائج غير مضمونة ، وفي بعض الحالات قد تزداد سوءا.

الدراسات المبكرة لهذه الحلقات تضمنت استخدام جزأين لتسبب تسطيح عام للقرنية. وقد أفادت دراسة لاحقة انه يمكن الحصول على نتائج أفضل بالنسبة المخاريط الطرفية للقرنية باستخدام شريحة Intacs واحدة. وهذا يؤدي إلى تسطيح للمخروط أدناه، ولكن أيضا لانحدار الجزء العلوي للقرنية.

الحلقة العضلية

هي حلقة متواصلة كاملة تزرع في حيز القرنية لعلاج قصر النظر وجميع حالات القرنية المخروطية. الحلقة العضلية هي جهاز له براءة اختراع دولية.كما انه معتمد للعلاج كجهاز طبي في الاتحاد الأوروبي منذ عام 2006 والعديد من البلدان الأخرى خارج الاتحاد الأوروبي. ان الحلقة العضلية يمكن أن تحل محل جراحة القرنية في معظم حالات القرنية المخروطية. تعمل على تحسين القرنية كما انها طريقة امنة . لا يمكن أن تستخدم إذا كان سمك القرنية أقل من 350 ميكرون. يمكن استخدام الحلقة العضلية مع تصلب القرنية .

عملية "كيرافليكس"

تستخدم لعلاج القرنية المخروطية حيث انها تعمل على تسطيح القرنية (تقليل تحدب القرنية)باستخدام الموجات القصيرة (الميكروويف). حيث تسبب هذه الامواج تقلص ألياف الكولاجين ، وبالتالي إنتاج تسطيح القرنية، ثم وضع قطرات الريبوفلافين فوق المنطقة المعالجة بالاضافة إلى ضوء الأشعة فوق البنفسجية لتكوين روابط الكولاجين والحفاظ على القرنية مسطحة.

حتى الآن، لا يوجد دليل ملموس على مدى بقاء القرنية مستقرة بعد العلاج باستخدام كيرافليكس والتداخل الارتباطي. تمت معالجة الدفعة الأولى من المرضى في أواخر نوفمبر 2009، وبيانات الاستقرار غير متوفرة حتى الآن. عولج فوج أكبر في يناير كانون الثاني عام 2010.[48]

بضع القرنية الشعاعية

بضع القرنية الشعاعية هو إجراء جراحة الانكسار التي وضعها الاخصائي (Svyatoslav Fyodorov) سفياتوسلاف فيودوروف الروسي في عام 1974، حيث يحدث الجراح شقوق على نمط اضلاع في القرنية لتعديل شكلها. ان هذا الخيار الجراحي المبكر لقصر النظر قد حل إلى حد كبير الليزك وغيرها من الإجراءات المماثلة. الليزك ممنوع استخدامه في القرنية المخروطية وغيرها من الشروط ترقق القرنية كما إزالة الأنسجة اللحمية القرنية سوف يلحق المزيد من الضرر بالقرنية الرقيقة بالفعل والضعيفة.[49]

لأسباب مماثلة، بضع القرنية الشعاعية لم تستخدم لمرضى القرنية المخروطية.[50][51]
'بضع القرنية الشعاعي اللامتناظر شعاعي غير المتماثلة مصغرة بضع القرنية هي تقنية جراحية وضعها اخصائي العيون الايطالي Marco Abbondanza في عام 1993 تتألف من سلسلة من الشقوق الصغيرة باستخدام سكين من الماس، وتهدف لإحداث ندبات مدروسة في القرنية، حيث يتغير سمك وشكل القرنية . هذا الإجراء، في حال القيام به بشكل صحيح، قادر على تصحيح اللابؤرية ويسمح في تصحيح مؤقت للقرنية المخروطية اذا كانت أقل من المرحلة الأولى والثانية ، وتأجيل الحاجة إلى عملية زرع القرنية.

زراعة القرنية

زرع القرنية بعد سنة واحدة من العلاج، واثنين من الغرز مرئية
زرع القرنية لمصاب بالقرنية المخروطية، وبعد ما يقرب من أسبوع واحد لعملية جراحية - تشير انعكاسات الضوء متعددة الطيات في القرنية التي تحل في وقت لاحق.

بين 11٪ و 27٪ من حالات القرنية المخروطية تتقدم إلى نقطة حيث لا يمكن تصحيح الرؤية ممكنا,[20][52][53] او ترقق القرنية بشكل المفرط، أو يحصل تندب نتيجة ارتداء العدسات. في هذه الحاله يجب زراعة القرنية أو اختراق في القرنية. القرنية المخروطية هي الأسباب الأكثر شيوعا بنسبة 25% لإجراء العمليات في القرنية.[54] جراح القرنية يعمل على حفر جزء من نسيج القرنية (lenticule) ومن ثم زرع قرنية المتبرع إلى أنسجة العين الموجودة، وعادة ما يستخدم مزيج من الغرز المتواصل والغرز الفردية. لا يوجد للقرنية إمدادات الدم مباشرة، لذلك ليس من المطلوب من الأنسجة المانحة إلى أن تكون فصيلة الدم مطابقة. بنوك العيون تعمل على خلو القرنيات المتبرعة من أي مرض. فترة عودة الرؤية الابتدائية يمكن أن يستغرق 4-6 أسابيع، و غالبا ما يكون استقرار الرؤية الكامل بعد العملية الجراحية سنة أو أكثر، ولكن معظم عمليات زراعة مستقرة جدا على المدى الطويل.[53] وتفيد المؤسسة الوطنية القرنية المخروطية بأن العمليات التي تخترق القرنية تكون له أنجح النتائج في جميع عمليات زرع، وعندما يقوم في العين المصابة فقط بالقرنية المخروطية يكون معدل نجاحها 95٪ أو أكثر.[20] والغرز المستخدمة عادة ما تختفي و تذوب على مدى فترة من 3-5 سنوات، ويمكن إزالة الغرز الفردية خلال عملية الشفاء إذا ما كانت تسبب تهيج للمريض. في الولايات المتحدة الأمريكية، عادة ما يتم إجراء عمليات زرع القرنية (المعروفة أيضا باسم ترقيع القرنية (corneal graft)) للقرنية المخروطية تحت التخدير كما جراحة المرضى الغير مقيمين. في بلدان أخرى، مثل أستراليا والمملكة المتحدة، يتم تنفيذ العملية عادة مع خضوع المريض لتخدير عام. جميع الحالات تتطلب المتابعة الدقيقة مع طبيب العيون لعدد من السنوات. عادةَ، يتم تحسين الرؤية بشكل كبير بعد الجراحة، ولكن حتى لو كانت حدة البصر الفعلية لم تتحسن، لأن القرنية هي شكل أكثر طبيعية بعد اكتمال الشفاء، يمكن للمرضى بشكل أكثر سهولة تركيب العدسات التصحيحية. مضاعفات زرع القرنية هي في معظمها ذات الصلة إلى الأوعية الدموية في الأنسجة القرنية ورفض القرنية المانحة. فقدان الرؤية هي نادرة جدا، على الرغم من ذلك يوجد امكانية للرؤية التي يصعب تصحيحها. عندما يكون الرفض للقرنية المانحة شديد، نحاول تكرار زراعة، و في كثير من الأحيان سوف تكون ناجحة.[55] القرنية المخروطية لا تتكرر عادة في القرنية المزروعة؛ وقد لوحظت حالات من هذا، ولكن عادة ما تعزى إلى الاستئصال غير الكامل للقرنية الأصلية أو عدم فحص كافي للأنسجة المانحة.[56] التوقعات طويلة الأجل لعمليات زرع القرنية المؤدية للقرنية المخروطية هو عادة ممتازة بمجرد الانتهاء من فترة الشفاء الأولية وعدد قليل من السنوات قد انقضت عليها دون مشاكل.[57]

رأب القرنية الصفاحي

طريقة واحدة للحد من خطر الرفض هي استخدام تقنية تسمى رَأْبُ القَرْنِيَّةِ الصُّفَاحِي الأمامي العميق (DALK). في الزراعة عن طريق DALK فقط الجزء الأبعد عن الداخل والأكبر من القرنية، و السدى يتم استبدالهما. يتم ترك الجزء الطبقة الداخلية للمريض وغشاء ديسميه (Descemet's membrane)، لتعطي بعض السلامة الهيكلية للقرنية المانحة. وعلاوة على ذلك، فمن الممكن زراعة الأنسجة المانحة التي تم حفظها عن طريق التجميد المجفف. عملية التجميد والتجفيف يضمن ان هذا النسيج ميت، حتى لا يكون هناك أي فرصة للرفض. بعض الجراحين يفضلون إزالة الظهارة للقرنية المانحة، البعض الآخر يتركها في مكانها، إزالته يؤدي إلى تحسن طفيف في الرؤية الشاملة، ولكن بالمقابل تزيد من وقت الانتعاش البصرية.

رأب القرنية

نادرا ما تستخدم و هي عملية رأب القرنية بطريقة غير نافذة ، يمكن أداؤها في حالات القرنية المخروطية. ظهارة القرنية تتم إزالتها و جزء من القرنية المانحة توضع عليها.[19] الإجراء يتطلب مستوى أعلى من المهارات من جانب الجراح، ويتم اجرائها بشكل أقل كثيرا من أداء القرنية اختراق، وكانت النتيجة هي عموما أقل تفيضل. ومع ذلك، يمكن أن ينظر إليها كخيار في عدد من الحالات، وخاصة بالنسبة للمرضى الشباب.[58]

التنبؤ

تمزق صغير في غشاء ديسميه

المرضى الذين يعانون من القرنية المخروطية عادة تكون في البداية مع الابؤرية معتدلة وقصر النظر، عادة في بداية سن البلوغ، ويتم تشخيص قبل سنوات المراهقة المتأخرة أو أوائل العشرينات.[6] المرض يمكن، مع ذلك، حصوله في أي سن. في حالات نادرة، يمكن أن القرنية المخروطية تحدث في الأطفال أو حتى سن البلوغ. تشخيص المرض في سن مبكرة قد تشير إلى وجود خطر أكبر في شدة المرض في باقي حياة المريض.[14][59] رؤية المرضى سوف تغير على مدى أشهر، وهذا يقود لتغيير صفات العدسة في كثير من الأحيان، ولكن كما تزداد الحالة سوءا، يطلب وضع العدسات اللاصقة في معظم الحالات. مسار المرض يمكن أن يكون متغير تماما، مع بعض المرضى يبقون مستقرون لسنوات أو للأبد، في حين أن آخرين تتقدم بسرعة أو يتعرضون لتفاقم بين الحين والآخر خلال دورة طويلة وثابتة على خلاف ذلك. غالبا، القرنية المخروطية تستمر لمدة من 10 إلى 20 سنة قبل ان يتوقف المرض يتوقف عادة في العقدين الثالث والرابع من العمر.[13]

تموه القرنية

تموه القرنية بسبب القرنية المخروطية

في الحالات المتقدمة، يمكن ان يسبب انتفاخ القرنية إلى تمزق غشاء المترجمة من ديسميه، وهي الطبقة الداخلية للقرنية. الخلط المائي من الغرفة الأمامية للعين تنسكب في القرنية قبل اغلاق غشاء ديسميه. المريض يشعر الألم وبعكر شديد مفاجئ في الرؤية، مع اتخاذ القرنية على مظهر حليبي أبيض شفاف يعرف بموه القرنية (corneal hydrops).[60] وعلى الرغم من الإحباط للمريض، يكون التأثير مؤقت بشكل طبيعي وبعد فترة من ستة إلى ثمانية أسابيع، القرنية عادة ما يعود إلى شفافيتها السابقة. الانتعاش يمكن بمساعدة غير شراحية من قبل الضماد مع محلول ملحي الاسموزي. على الرغم من أن الموه (hydrop) عادة ما يتسبب تندب زيادة القرنية، أحيانا أنه سوف يستفيد المريض من خلال خلق مخروط تملق ومساعدته في تركيب العدسات اللاصقة.[60] لا يتم زرع القرنية عادة خلال تموه القرنية.

مدى انتشار المرض

أفادت تقارير المعهد الوطني للعيون ان القرنية المخروطية هو ضمور القرنية الأكثر شيوعا في الولايات المتحدة، مما يؤثر على حوالي واحد في (2000) الأمريكيين، [61][62] ولكن تضع بعض التقارير أن الرقم يصل إلى واحد لكل (500).[63][64] قد يكون التناقض بسبب الاختلافات في معايير التشخيص، مع بعض حالات الاستجماتيزم الشديدة تفسر على أنها القرنية المخروطية، والعكس صحيح.[13][65] وجدت دراسة طويلة الأمد ان معدل الإصابة (2.0 )حالة جديدة لكل (100000) من السكان سنويا.[62] وقد اقترحت بعض الدراسات ارتفاع حالات الإصابة بين الإناث، أو أن الناس من العرق الجنوب آسيوي هي (4.4 )مرات من المحتمل أن تعاني من القرنية المخروطية كما القوقازيين،[66] وأيضا أكثر عرضة للتأثر يعانون من هذه الحالة في وقت سابق.[67] القرنية المخروطية تؤثر على كلتا العينين على الرغم من أن التشويه هو عادة يصيب عين واحدة ونادرا ما يكون مطابقا تماما في كلا القرنيتين.[6] الحالات من جانب واحد تميل إلى أن تكون غير المألوف، وربما تكون في الواقع نادرة جدا و تكون الاصابة خفيفة جدا في العين الجيدة حتى ان التشخيص السريري لا يستطيع كشفها.[13] ومن الشائع أن مصاب القرنية المخروطية يتم تشخيص حالته لأول مرة في عين واحدة. وكلما تقدمت الحالة في كلتا العينين، فإن الرؤية في العين المصابة كثير من الأحيان تبقى أقل قدرة على الرؤية من العين الأخرى.

تاريخ المرض

قدم طبيب العيون الألماني بورشار ماوخارت وصفا في وقت مبكر من العام (1748) مناقشة الدكتوراه على حالة القرنية المخروطية، التي وصفها بأنها ( diaphanum staphyloma ).[14] ومع ذلك، لم تكن معروفة حتى 1854 حيث قدم الطبيب البريطاني جون نوتنغهام (1801-1856). وصفا واضحا القرنية المخروطية وميزها عن غيرها من اصابات القرنية،[14] وصف نوتنغهام حالات "القرنية المخروطية" ، ووصف العديد من الميزات الكلاسيكية للمرض، بما في ذلك تضاعف الرؤية الوحيد، وضعف القرنية، وصعوبة مطابقة العدسات التصحيحية لرؤية المريض.[68] في عام 1859 استخدم الجراح البريطاني وليام بومان منظار العين (اخترع مؤخرا هيرمان فون هيلمهولتز) لتشخيص القرنية المخروطية ، ووصف كيفية وضع زاوية مرآة المنظار وذلك لمعرفة أفضل شكل مخروطي من القرنية.[69] حاول بومان أيضا استعادة الرؤية عن طريق السحب على القزحية مع ربط من خلال القرنية بأداة منجلية الشكل وتشد البؤبؤ إلى شق عمودي ، مثلها في ذلك مثل القطة. وذكر أنه كان له قدر من النجاح مع هذه التقنية، واستعادة رؤية لامرأة تبلغ من العمر (18 ) عاما التي كانت في السابق غير قادرة على عد الأصابع على بعد (8) بوصة (20 سم).بحلول عام (1869)، عندما كتب طبيب العيون السويسري يوهان هورنر أطروحة بعنوان( في علاج القرنية المخروطية)،[70] اكتسب الاضطراب اسمه الحالي. كان العلاج في ذلك الوقت، الذي أقره طبيب العيون الألماني ألبرشت فون غريف،حيث كان محاولة لإعادة تشكيل القرنية جسديا عن طريق الكي الكيميائي مع محلول نترات الفضة وتطبيق العوامل المسببة لتضييق الحدقة مع تطبيق الضغط.[14] في عام (1888) أصبح علاج القرنية المخروطية واحدة من التطبيقات العملية الأولى للعدسات اللاصقة، ثم اخترع حديثا الطبيب الفرنسي أوجين كالت تصنيع قرنية صلبوية الزجاج التي تحسن الرؤية عن طريق ضغط القرنية في شكل أكثر انتظاما.[71] ومنذ بداية في القرن (20)، والبحث على القرنية المخروطية لفهم أفضل للمرض وتوسيع خيارات العلاج. وقد تم أول زرع قرنية ناجح لعلاج القرنية المخروطية في عام (1936) من قبل رامون كاستروفيجيو.[72][73]

المصادر

  1. ^ "Keratoconus". NORD (National Organization for Rare Disorders). Archived from the original on 19 فبراير 2017. {{cite web}}: Unknown parameter |deadurl= ignored (|url-status= suggested) (help)
  2. ^ "Keratoconus" (PDF). The University of Texas Health Science Center at San Antonio. Archived from the original (PDF) on 8 سبتمبر 2017. {{cite web}}: Unknown parameter |deadurl= ignored (|url-status= suggested) (help)
  3. ^ أ ب ت ث ج ح خ د ذ ر ز س ش ص ض ط ظ ع غ "Facts About the Cornea and Corneal Disease". NEI. مايو 2016. Archived from the original on 22 نوفمبر 2016. Retrieved 5 نوفمبر 2016. {{cite web}}: Unknown parameter |deadurl= ignored (|url-status= suggested) (help)
  4. ^ أ ب ت Romero-Jiménez, Miguel; Santodomingo-Rubido, Jacinto; Wolffsohn, James S. (1 August 2010). "Keratoconus: a review". Contact Lens & Anterior Eye: The Journal of the British Contact Lens Association. 33 (4): 157–166, quiz 205. doi:10.1016/j.clae.2010.04.006. ISSN 1476-5411. PMID 20537579.
  5. ^ أ ب ت Cornea. Mosby. 2005. {{cite book}}: Cite has empty unknown parameters: |lay-date=, |subscription=, |nopp=, |last-author-amp=, |name-list-format=, |lay-source=, |registration=, and |lay-summary= (help)
  6. ^ أ ب ت ث ج ح خ د {{cite web}}: Empty citation (help)
  7. ^ Ophthalmology. 114 (11). doi:10.1016/j.ophtha.2007.01.008. PMID 17553566. {{cite journal}}: Missing or empty |title= (help); Unknown parameter |التاريخ= ignored (help); Unknown parameter |الصفحات= ignored (help); Unknown parameter |العنوان= ignored (help); Unknown parameter |المؤلف= ignored (help)
  8. ^ Investigative Ophthalmology & Visual Science. 50 (6). doi:10.1167/iovs.08-2754. PMID 19029032. {{cite journal}}: Invalid |display-authors=3 (help); Missing or empty |title= (help); Unknown parameter |الأخير4= ignored (help); Unknown parameter |الأخير5= ignored (help); Unknown parameter |الأول4= ignored (help); Unknown parameter |الأول5= ignored (help); Unknown parameter |التاريخ= ignored (help); Unknown parameter |الصفحات= ignored (help); Unknown parameter |العنوان= ignored (help); Unknown parameter |المؤلف2= ignored (help); Unknown parameter |المؤلف3= ignored (help); Unknown parameter |المؤلف= ignored (help)
  9. ^ International Ophthalmology Clinics. 37 (1). doi:10.1097/00004397-199703710-00005. PMID 9101345. {{cite journal}}: Missing or empty |title= (help); Unknown parameter |السنة= ignored (help); Unknown parameter |الصفحات= ignored (help); Unknown parameter |العنوان= ignored (help); Unknown parameter |المؤلف= ignored (help)
  10. ^ The ocular examination : measurements and findings. Philadelphia: W.B. Saunders. 1997. {{cite book}}: Cite has empty unknown parameters: |lay-date=, |subscription=, |nopp=, |last-author-amp=, |name-list-format=, |lay-source=, |registration=, and |lay-summary= (help)
  11. ^ The Cornea. Philadelphia: Lippincott Williams & Wilkins. 2004. pp. 889–911. {{cite book}}: Cite has empty unknown parameters: |lay-date=, |subscription=, |nopp=, |last-author-amp=, |name-list-format=, |lay-source=, |registration=, and |lay-summary= (help)
  12. ^ أ ب Optometry Clinics. 4 (3). PMID 7767020. {{cite journal}}: Missing or empty |title= (help); Unknown parameter |السنة= ignored (help); Unknown parameter |الصفحات= ignored (help); Unknown parameter |العنوان= ignored (help); Unknown parameter |المؤلف= ignored (help)
  13. ^ أ ب ت ث Survey of Ophthalmology. 28 (4). doi:10.1016/0039-6257(84)90094-8. PMID 6230745. {{cite journal}}: Missing or empty |title= (help); Unknown parameter |السنة= ignored (help); Unknown parameter |الصفحات= ignored (help); Unknown parameter |العنوان= ignored (help); Unknown parameter |المؤلف= ignored (help)
  14. ^ أ ب ت ث ج ح {{cite web}}: Empty citation (help)
  15. ^ American Journal of Ophthalmology. 108 (2). doi:10.1016/0002-9394(89)90001-9. PMID 2757091. {{cite journal}}: Missing or empty |title= (help); Unknown parameter |التاريخ= ignored (help); Unknown parameter |الصفحات= ignored (help); Unknown parameter |العنوان= ignored (help); Unknown parameter |المؤلف= ignored (help)
  16. ^ أ ب {{cite web}}: Empty citation (help)
  17. ^ J. Refract. Surg. 25 (4). doi:10.3928/1081597x-20090401-07. PMID 9431926. {{cite journal}}: Cite uses deprecated parameter |authors= (help); Missing or empty |title= (help); Unknown parameter |التاريخ= ignored (help); Unknown parameter |الصفحات= ignored (help); Unknown parameter |العنوان= ignored (help)
  18. ^ Klin. Monbl. Augenheilkd. 211 (2). doi:10.1055/s-2008-1035103. PMID 9379645. {{cite journal}}: Cite uses deprecated parameter |authors= (help); Missing or empty |title= (help); Unknown parameter |التاريخ= ignored (help); Unknown parameter |الصفحات= ignored (help); Unknown parameter |العنوان المترجم= ignored (help); Unknown parameter |العنوان= ignored (help); Unknown parameter |اللغة= ignored (help)
  19. ^ أ ب ت Grayson's Diseases of the Cornea. Chap. 17. Mosby. 1997. pp. 452–454. {{cite book}}: Cite has empty unknown parameters: |lay-date=, |subscription=, |nopp=, |last-author-amp=, |name-list-format=, |lay-source=, |registration=, and |lay-summary= (help)
  20. ^ أ ب ت Brown D. National Keratoconus Foundation: Research Overview. http://www.nkcf.org. Accessed 12 February 2006.
  21. ^ Warren, Catherine. What Causes Keratoconus? National Keratoconus Foundation. http://www.nkcf.org/what-is-keratoconus/ (March 14th, 2015)
  22. ^ Cornea. 25 (1). doi:10.1097/01.ico.0000164831.87593.08. PMID 16331035. {{cite journal}}: Invalid |display-authors=3 (help); Missing or empty |title= (help); Unknown parameter |الأخير4= ignored (help); Unknown parameter |الأخير5= ignored (help); Unknown parameter |الأول4= ignored (help); Unknown parameter |الأول5= ignored (help); Unknown parameter |التاريخ= ignored (help); Unknown parameter |الصفحات= ignored (help); Unknown parameter |العنوان= ignored (help); Unknown parameter |المؤلف2= ignored (help); Unknown parameter |المؤلف3= ignored (help); Unknown parameter |المؤلف= ignored (help)
  23. ^ {{cite web}}: Empty citation (help)
  24. ^ Current Eye Research. 29 (1). doi:10.1080/02713680490513182. PMID 15370365. {{cite journal}}: Missing or empty |title= (help); Unknown parameter |التاريخ= ignored (help); Unknown parameter |الصفحات= ignored (help); Unknown parameter |العنوان= ignored (help); Unknown parameter |المؤلف= ignored (help)
  25. ^ Cornea. 12 (2). doi:10.1097/00003226-199303000-00010. PMID 8500322. {{cite journal}}: Invalid |display-authors=3 (help); Missing or empty |title= (help); Unknown parameter |الأخير4= ignored (help); Unknown parameter |الأخير5= ignored (help); Unknown parameter |الأول4= ignored (help); Unknown parameter |الأول5= ignored (help); Unknown parameter |التاريخ= ignored (help); Unknown parameter |الصفحات= ignored (help); Unknown parameter |العنوان= ignored (help); Unknown parameter |المؤلف2= ignored (help); Unknown parameter |المؤلف3= ignored (help); Unknown parameter |المؤلف= ignored (help)
  26. ^ Invest Ophthalmol Vis Sci. 38. {{cite journal}}: Cite has empty unknown parameter: |المسار= (help); Missing or empty |title= (help); Unknown parameter |السنة= ignored (help); Unknown parameter |الصفحات= ignored (help); Unknown parameter |العنوان= ignored (help); Unknown parameter |المؤلف= ignored (help)
  27. ^ Cornea. 27 (7). doi:10.1097/ICO.0b013e31816a3591. PMID 18650659. {{cite journal}}: Missing or empty |title= (help); Unknown parameter |التاريخ= ignored (help); Unknown parameter |الصفحات= ignored (help); Unknown parameter |العنوان= ignored (help); Unknown parameter |المؤلف= ignored (help)
  28. ^ Clinical & Experimental Ophthalmology. 29 (6). doi:10.1046/j.1442-9071.2001.d01-16.x. PMID 11778802. {{cite journal}}: Missing or empty |title= (help); Unknown parameter |التاريخ= ignored (help); Unknown parameter |الصفحات= ignored (help); Unknown parameter |العنوان= ignored (help); Unknown parameter |المؤلف= ignored (help)
  29. ^ Investigative Ophthalmology & Visual Science. 39 (13). PMID 9856763. {{cite journal}}: Invalid |display-authors=3 (help); Missing or empty |title= (help); Unknown parameter |الأخير4= ignored (help); Unknown parameter |الأخير5= ignored (help); Unknown parameter |الأول4= ignored (help); Unknown parameter |الأول5= ignored (help); Unknown parameter |التاريخ= ignored (help); Unknown parameter |الصفحات= ignored (help); Unknown parameter |العنوان= ignored (help); Unknown parameter |المؤلف2= ignored (help); Unknown parameter |المؤلف3= ignored (help); Unknown parameter |المؤلف= ignored (help); Unknown parameter |المسار= ignored (help)
  30. ^ Inherited Eye Disorders: Diagnosis and Management. Boca Raton: Taylor & Francis. 2005. {{cite book}}: Cite has empty unknown parameters: |lay-date=, |subscription=, |nopp=, |last-author-amp=, |name-list-format=, |lay-source=, |registration=, and |lay-summary= (help)
  31. ^ The American Journal of Human Genetics. 32 (8). doi:10.1016/j.ajhg.2011.09.014. PMC 3213395. PMID 21996275 https://www.ncbi.nlm.nih.gov/pmc/articles/PMC3213395. {{cite journal}}: Missing or empty |title= (help); Unknown parameter |السنة= ignored (help); Unknown parameter |الصفحات= ignored (help); Unknown parameter |العنوان= ignored (help); Unknown parameter |المؤلف= ignored (help); Unknown parameter |المسار= ignored (help); Unknown parameter |تاريخ الوصول= ignored (help)
  32. ^ Survey of Ophthalmology. 42 (4). doi:10.1016/S0039-6257(97)00119-7. PMID 9493273. {{cite journal}}: Missing or empty |title= (help); Unknown parameter |السنة= ignored (help); Unknown parameter |الصفحات= ignored (help); Unknown parameter |العنوان= ignored (help); Unknown parameter |المؤلف= ignored (help)
  33. ^ Robbins Basic Pathology. Philadelphia: Saunders/Elsevier. 2007. {{cite book}}: Cite has empty unknown parameters: |lay-date=, |subscription=, |nopp=, |last-author-amp=, |name-list-format=, |lay-source=, |registration=, and |lay-summary= (help)
  34. ^ Eye & Contact Lens. 34 (6). doi:10.1097/ICL.0b013e31818c25eb. PMID 18997547. {{cite journal}}: Missing or empty |title= (help); Unknown parameter |التاريخ= ignored (help); Unknown parameter |الصفحات= ignored (help); Unknown parameter |العنوان= ignored (help); Unknown parameter |المؤلف= ignored (help)
  35. ^ Clinical & Experimental Optometry. 86 (6). doi:10.1111/j.1444-0938.2003.tb03082.x. PMID 14632614. {{cite journal}}: Missing or empty |title= (help); Unknown parameter |التاريخ= ignored (help); Unknown parameter |الصفحات= ignored (help); Unknown parameter |العنوان= ignored (help); Unknown parameter |المؤلف= ignored (help)
  36. ^ The British Journal of Ophthalmology. 84 (8). doi:10.1136/bjo.84.8.834. PMC 1723585. PMID 10906086 https://www.ncbi.nlm.nih.gov/pmc/articles/PMC1723585. {{cite journal}}: Missing or empty |title= (help); Unknown parameter |التاريخ= ignored (help); Unknown parameter |الصفحات= ignored (help); Unknown parameter |العنوان= ignored (help); Unknown parameter |المؤلف= ignored (help)
  37. ^ Cornea. 23 (6). doi:10.1097/01.ico.0000121711.58571.8d. PMID 15256993. {{cite journal}}: Missing or empty |title= (help); Unknown parameter |التاريخ= ignored (help); Unknown parameter |الصفحات= ignored (help); Unknown parameter |العنوان= ignored (help); Unknown parameter |المؤلف= ignored (help)
  38. ^ American Journal of Ophthalmology. 139 (2). doi:10.1016/j.ajo.2004.07.044. PMID 15734005. {{cite journal}}: Missing or empty |title= (help); Unknown parameter |التاريخ= ignored (help); Unknown parameter |الصفحات= ignored (help); Unknown parameter |العنوان= ignored (help); Unknown parameter |المؤلف= ignored (help)
  39. ^ Cornea. 19 (4). doi:10.1097/00003226-200007000-00034. PMID 10928781. {{cite journal}}: Missing or empty |title= (help); Unknown parameter |التاريخ= ignored (help); Unknown parameter |الصفحات= ignored (help); Unknown parameter |العنوان= ignored (help); Unknown parameter |المؤلف= ignored (help)
  40. ^ {{cite web}}: Empty citation (help)
  41. ^ Contact Lens & Anterior Eye. 22 (3). doi:10.1016/S1367-0484(99)80044-7. PMID 16303411. {{cite journal}}: Missing or empty |title= (help); Unknown parameter |السنة= ignored (help); Unknown parameter |الصفحات= ignored (help); Unknown parameter |العنوان= ignored (help); Unknown parameter |المؤلف= ignored (help)
  42. ^ {{cite web}}: Empty citation (help)
  43. ^ Davis Robert, Eiden Barry. Hybrid Contact Lens Management. Contact Lens Spectrum: [1]. Archived 2011-09-28 at the Wayback Machine
  44. ^ Cornea. 16 (6). doi:10.1097/00003226-199711000-00003. PMID 9395869. {{cite journal}}: Missing or empty |title= (help); Unknown parameter |التاريخ= ignored (help); Unknown parameter |الصفحات= ignored (help); Unknown parameter |العنوان= ignored (help); Unknown parameter |المؤلف= ignored (help)
  45. ^ Hasson, Matt (25 January 2008). "FDA backs launch of collagen cross-linking clinical trials". Ocular Surgery News. Retrieved 26 February 2008.
  46. ^ أ ب Ophthalmology. Mosby. 2004. {{cite book}}: Cite has empty unknown parameters: |lay-date=, |subscription=, |nopp=, |last-author-amp=, |name-list-format=, |lay-source=, |registration=, and |lay-summary= (help)
  47. ^ Current opinion in ophthalmology. 26 (4). doi:10.1097/icu.0000000000000163. PMID 26058024. {{cite journal}}: Missing or empty |title= (help); Unknown parameter |الأخير1= ignored (help); Unknown parameter |الأخير2= ignored (help); Unknown parameter |الأول1= ignored (help); Unknown parameter |الأول2= ignored (help); Unknown parameter |التاريخ= ignored (help); Unknown parameter |الصفحات= ignored (help); Unknown parameter |العنوان= ignored (help)
  48. ^ 93. ^ Laura Straub (March 2010). "Thermo-Biomechanics for Treating Keratoconus and Refractive Errors". Cataract & Refractive Surgery Today Europe.
  49. ^ Archives of Ophthalmology. 119 (11). doi:10.1001/archopht.119.11.1714. PMID 11709027. {{cite journal}}: Missing or empty |title= (help); Unknown parameter |التاريخ= ignored (help); Unknown parameter |الصفحات= ignored (help); Unknown parameter |العنوان= ignored (help); Unknown parameter |المؤلف= ignored (help)
  50. ^ Journal of Cataract and Refractive Surgery. 29 (2). doi:10.1016/S0886-3350(02)01968-5. PMID 12648653. {{cite journal}}: Missing or empty |title= (help); Unknown parameter |التاريخ= ignored (help); Unknown parameter |الصفحات= ignored (help); Unknown parameter |العنوان= ignored (help); Unknown parameter |المؤلف= ignored (help)
  51. ^ Contact Lens & Anterior Eye. 22 (1). doi:10.1016/S1367-0484(99)80024-1. PMID 16303397. {{cite journal}}: Missing or empty |title= (help); Unknown parameter |السنة= ignored (help); Unknown parameter |الصفحات= ignored (help); Unknown parameter |العنوان= ignored (help); Unknown parameter |المؤلف= ignored (help)
  52. ^ Arquivos Brasileiros De Oftalmologia. 68 (2). PMID 15905944. {{cite journal}}: Missing or empty |title= (help); Unknown parameter |السنة= ignored (help); Unknown parameter |الصفحات= ignored (help); Unknown parameter |العنوان= ignored (help); Unknown parameter |اللغة= ignored (help); Unknown parameter |المؤلف= ignored (help)
  53. ^ أ ب Cornea. 24 (8). doi:10.1097/01.ico.0000159730.45177.cd. PMID 16227837. {{cite journal}}: Invalid |display-authors=3 (help); Missing or empty |title= (help); Unknown parameter |الأخير4= ignored (help); Unknown parameter |الأخير5= ignored (help); Unknown parameter |الأول4= ignored (help); Unknown parameter |الأول5= ignored (help); Unknown parameter |التاريخ= ignored (help); Unknown parameter |الصفحات= ignored (help); Unknown parameter |العنوان= ignored (help); Unknown parameter |المؤلف2= ignored (help); Unknown parameter |المؤلف3= ignored (help); Unknown parameter |المؤلف= ignored (help)
  54. ^ Archives of Ophthalmology. 110 (10). doi:10.1001/archopht.1992.01080220071023. PMID 1417539. {{cite journal}}: Missing or empty |title= (help); Unknown parameter |التاريخ= ignored (help); Unknown parameter |الصفحات= ignored (help); Unknown parameter |العنوان= ignored (help); Unknown parameter |المؤلف= ignored (help); Unknown parameter |المسار= ignored (help)
  55. ^ The British Journal of Ophthalmology. 90 (3). doi:10.1136/bjo.2005.079624. PMC 1856933. PMID 16488955 https://www.ncbi.nlm.nih.gov/pmc/articles/PMC1856933. {{cite journal}}: Missing or empty |title= (help); Unknown parameter |التاريخ= ignored (help); Unknown parameter |الصفحات= ignored (help); Unknown parameter |العنوان= ignored (help); Unknown parameter |المؤلف= ignored (help)
  56. ^ Ophthalmic Surgery. 21 (6). PMID 2381677. {{cite journal}}: Missing or empty |title= (help); Unknown parameter |التاريخ= ignored (help); Unknown parameter |الصفحات= ignored (help); Unknown parameter |العنوان= ignored (help); Unknown parameter |المؤلف= ignored (help)
  57. ^ . IV. {{cite journal}}: Cite journal requires |journal= (help); Missing or empty |title= (help); Unknown parameter |الأخير= ignored (help); Unknown parameter |الأول= ignored (help); Unknown parameter |السنة= ignored (help); Unknown parameter |الصفحات= ignored (help); Unknown parameter |العنوان= ignored (help)
  58. ^ Journal of Refractive Surgery. 17 (2). PMID 11310764. {{cite journal}}: Missing or empty |title= (help); Unknown parameter |السنة= ignored (help); Unknown parameter |الصفحات= ignored (help); Unknown parameter |العنوان= ignored (help); Unknown parameter |المؤلف= ignored (help)
  59. ^ Clinical Eye and Vision Care. 9. doi:10.1016/S0953-4431(96)00201-9. {{cite journal}}: Missing or empty |title= (help); Unknown parameter |الأخير1= ignored (help); Unknown parameter |الأول1= ignored (help); Unknown parameter |السنة= ignored (help); Unknown parameter |الصفحات= ignored (help); Unknown parameter |العنوان= ignored (help)
  60. ^ أ ب Transactions of the American Ophthalmological Society. 97. PMC 1298260. PMID 10703124 https://www.ncbi.nlm.nih.gov/pmc/articles/PMC1298260. {{cite journal}}: Missing or empty |title= (help); Unknown parameter |السنة= ignored (help); Unknown parameter |الصفحات= ignored (help); Unknown parameter |العنوان= ignored (help); Unknown parameter |المؤلف= ignored (help)
  61. ^ US National Eye Institute, Facts About The Cornea and Corneal Disease Keratoconus. Accessed 12 February 2006.[[تصنيف:مقالات ذات وصلات خارجية مكسورة from خطأ: زمن غير صحيح.]]<span title=" منذ خطأ: زمن غير صحيح." style="white-space: nowrap;">[وصلة مكسورة] Archived 2014-06-28 at the Wayback Machine
  62. ^ أ ب American Journal of Ophthalmology. 101 (3). doi:10.1016/0002-9394(86)90817-2. PMID 3513592. {{cite journal}}: Missing or empty |title= (help); Unknown parameter |التاريخ= ignored (help); Unknown parameter |الصفحات= ignored (help); Unknown parameter |العنوان= ignored (help); Unknown parameter |المؤلف= ignored (help)
  63. ^ Medscape: Medscape Access Archived 2017-09-09 at the Wayback Machine
  64. ^ Weissman BA, Yeung KK. Keratoconus. eMedicine: Keratoconus. Accessed 24 December 2011. Archived 2008-12-01 at the Wayback Machine
  65. ^ Keratoconus and related noninflammatory corneal thinning disorders - Survey of Ophthalmology
  66. ^ American Journal of Ophthalmology. 140 (3). doi:10.1016/j.ajo.2005.03.078. PMID 16083843. {{cite journal}}: Invalid |display-authors=3 (help); Missing or empty |title= (help); Unknown parameter |الأخير4= ignored (help); Unknown parameter |الأخير5= ignored (help); Unknown parameter |الأول4= ignored (help); Unknown parameter |الأول5= ignored (help); Unknown parameter |التاريخ= ignored (help); Unknown parameter |الصفحات= ignored (help); Unknown parameter |العنوان= ignored (help); Unknown parameter |المؤلف2= ignored (help); Unknown parameter |المؤلف3= ignored (help); Unknown parameter |المؤلف= ignored (help)
  67. ^ Eye. 14 (4). doi:10.1038/eye.2000.154. PMID 11040911. {{cite journal}}: Missing or empty |title= (help); Unknown parameter |التاريخ= ignored (help); Unknown parameter |الصفحات= ignored (help); Unknown parameter |العنوان= ignored (help); Unknown parameter |المؤلف= ignored (help)
  68. ^ Nottingham J. Practical observations on conical cornea: and on the short sight, and other defects of vision connected with it. London: J. Churchill, 1854.
  69. ^ Bowman W, On conical cornea and its treatment by operation. Ophthalmic Hosp Rep and J R Lond Ophthalmic Hosp. 1859;9:157.
  70. ^ Horner JF, Zur Behandlung des Keratoconus. Klinische Monatsblätter für Augenheilkunde. 1869.
  71. ^ Optometry and Vision Science. 66 (9). doi:10.1097/00006324-198909000-00011. PMID 2677884. {{cite journal}}: Missing or empty |title= (help); Unknown parameter |التاريخ= ignored (help); Unknown parameter |الصفحات= ignored (help); Unknown parameter |العنوان= ignored (help); Unknown parameter |المؤلف= ignored (help)
  72. ^ Transactions of the American Ophthalmological Society. 46. PMC 1312756. PMID 16693468 https://www.ncbi.nlm.nih.gov/pmc/articles/PMC1312756. {{cite journal}}: Missing or empty |title= (help); Unknown parameter |السنة= ignored (help); Unknown parameter |الصفحات= ignored (help); Unknown parameter |العنوان= ignored (help); Unknown parameter |المؤلف= ignored (help)
  73. ^ Castroviejo, R.: International Abstract of Surgery, 65:5, December 1937.

وصلات خارجية

Classification
V · T · D
External resources