تقران مثي Seborrheic keratosis

(تم التحويل من Seborrheic keratosis)
Seborrheic keratosis
الأسماء الأخرىSeborrheic verruca, basal cell papilloma, senile wart[1][2]:767[3]:637
Seborrheic keratosis on human back.jpg
Multiple seborrheic keratoses on the back of a patient with Leser–Trélat sign
التخصصDermatology
الطريقة التشخيصيةBased on clinical examination, skin biopsy
العلاجElectrodesiccation and curettage, cryotherapy

A seborrheic keratosis is a non-cancerous (benign) skin tumour that originates from cells, namely keratinocytes, in the outer layer of the skin called the epidermis. Like liver spots, seborrheic keratoses are seen more often as people age.[4]

The tumours (also called lesions) appear in various colours, from light tan to black. They are round or oval, feel flat or slightly elevated, like the scab from a healing wound, and range in size from very small to more than 2.5 سنتيمتر (1 in) across.[5] They are often associated with other skin conditions, including basal cell carcinoma.[6] Sometimes, seborrheic keratosis and basal cell carcinoma occur at the same location.[7][8] At clinical examination, a differential diagnosis considers warts and melanomas.[4] Because only the top layers of the epidermis are involved, seborrheic keratoses are often described as having a "pasted on" appearance. Some dermatologists refer to seborrheic keratoses as "seborrheic warts", because they resemble warts, but strictly speaking, the term "warts" refers to lesions that are caused by the human papillomavirus.[9]

Cause

The cause of seborrheic keratosis is not known. The only definitive association is that its prevalence increases with age.[4]

Diagnosis

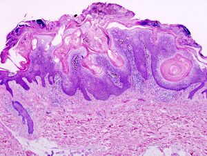
Micrograph of a seborrheic keratosis (H&E stain, scanning magnification)
Seborrheic keratosis close-up

Visual diagnosis is made by the "stuck on" appearance, horny pearls or cysts embedded in the structure. Darkly pigmented lesions can be challenging to distinguish from nodular melanomas.[10] Furthermore, thin seborrheic keratoses on facial skin can be very difficult to differentiate from lentigo maligna even with dermatoscopy. Clinically, epidermal nevi are similar to seborrheic keratoses in appearance. Epidermal nevi are usually present at or near birth. Condylomas and warts can clinically resemble seborrheic keratoses, and dermatoscopy can be helpful to differentiate them. On the penis and genital skin, condylomas and seborrheic keratoses can be difficult to differentiate, even on biopsy.[citation needed]

A study examining over 4,000 biopsied skin lesions identified clinically as seborrheic keratoses showed 3.1% were malignancies. Two-thirds of those were squamous cell carcinoma.[11] To date, the gold standard in the diagnosis of seborrheic keratosis is represented by the histolopathologic analysis of a skin biopsy.[12]

Subtypes

Seborrheic keratoses may be divided into the following types:[2][13][14]

Subtype (and alternative names) Characteristics Image
Common seborrheic keratosis (basal cell papilloma, solid seborrheic keratosis) Dull or lackluster surface.[2]:769
Reticulated seborrheic keratosis (adenoid seborrheic keratosis) Dull or lackluster surface, and with keratin cysts seen histologically.[2]:769
Stucco keratosis (deratosis alba,[15] digitate seborrheic keratosis, hyperkeratotic seborrheic keratosis, serrated seborrheic keratosis, verrucous seborrheic keratosis) Common. Dull or lackluster surface, and with church-spire-like projections of epidermal cells around collagen seen histologically.[2][3] Stucco keratoses are often light brown to off-white, and are no larger than a few millimeters in diameter. They are often found on the distal tibia, ankle, and foot.[14]
Clonal seborrheic keratosis Dull or lackluster surface, and with round, loosely packed nests of cells seen histologically.[2]:769
Irritated seborrheic keratosis (inflamed seborrheic keratosis, basosquamous cell acanthoma) Dull or lackluster surface.[2]:769
Seborrheic keratosis with squamous atypia Dull or lackluster surface, and with round, loosely packed nests of cells seen histologically.[2]:770
Melanoacanthoma (pigmented seborrheic keratosis) Dull or lackluster surface.[2]:770[3]:687 It involves a proliferation of keratinocytes and melanocytes.[16]
Inverted follicular keratosis[notes 1] Asymptomatic, firm, white–tan to pink papules[15] Microscopically it is characterized as a well-circumscribed inverted acanthotic squamous proliferation containing squamous eddies and without significant atypia.[17] SkinTumors-P6190325.JPG

Differential diagnoses

Dermatosis papulosa nigra (DPN) is a condition of many small, benign skin lesions on the face, a condition generally presenting on darker-skinned individuals.[3]:638–9 DPN is extremely common, affecting up to 30% of black people in the United States.[18]

Treatment

Medical reasons for removing seborrheic keratoses include irritation and bleeding. They may also be removed for cosmetic reasons.[19][4] Generally, lesions can be treated with electrodesiccation and curettage, or cryosurgery. When correctly performed, removal of seborrheic keratoses will not cause much visible scarring.[20]

Epidemiology

Seborrheic keratosis is the most common benign skin tumor. Incidence increases with age. There is less prevalence in people with darker skin.[21] In large-cohort studies, all patients aged 50 and older had at least one seborrheic keratosis.[22] Onset is usually in middle age, although they are common in younger patients too, as they are found in 12% of 15-year-olds to 25-year-olds, which makes the term "senile keratosis" a misnomer.[23]

انظر أيضاً

Notes

  1. ^ Inverted follicular keratosis is generally thought to be a rare variant of seborrheic keratosis, but this position is not universally accepted.
    - Karadag, AyseSerap; Ozlu, Emin; Uzuncakmak, TugbaKevser; Akdeniz, Necmettin; Cobanoglu, Bengu; Oman, Berkant (2016). "Inverted follicular keratosis successfully treated with imiquimod". Indian Dermatology Online Journal. 7 (3): 177–9. doi:10.4103/2229-5178.182354. PMC 4886589. PMID 27294052.

References

  1. ^ Hafner, C; Vogt, T (Aug 2008). "Seborrheic keratosis". Journal der Deutschen Dermatologischen Gesellschaft. 6 (8): 664–77. doi:10.1111/j.1610-0387.2008.06788.x. PMID 18801147. S2CID 205857121.
  2. ^ أ ب ت ث ج ح خ د ذ Fitzpatrick, T.B.; Freedberg, I.M. (2003). Fitzpatrick's Dermatology in General Medicine (6th ed.). McGraw-Hill. ISBN 0-07-138076-0.
  3. ^ أ ب ت ث James, William D.; Berger, Timothy G. (2006). Andrews' Diseases of the Skin: Clinical Dermatology. Saunders Elsevier. ISBN 978-0-7216-2921-6.
  4. ^ أ ب ت ث "Moles, Freckles, Skin Tags, Benign Lentigines, and Seborrheic Keratoses". Cleveland Clinic. Archived from the original on 2015-05-22.
  5. ^ "Seborrheic keratosis-Seborrheic keratosis - Symptoms & causes". Mayo Clinic (in الإنجليزية). Mayo Clinic. Retrieved 7 August 2023.
  6. ^ Fusco, N.; Lopez, G.; Gianelli, U. (2015). "Basal Cell Carcinoma and Seborrheic Keratosis: When Opposites Attract". International Journal of Surgical Pathology. 23 (6): 464. doi:10.1177/1066896915593802. PMID 26135529. S2CID 206650583.
  7. ^ Lim, Cathy (May 2006). "Seborrhoeic keratoses with associated lesions: a retrospective analysis of 85 lesions". The Australasian Journal of Dermatology. 47 (2): 109–113. doi:10.1111/j.1440-0960.2006.00258.x. ISSN 0004-8380. Retrieved 5 October 2024.
  8. ^ Vun, Yin; De’Ambrosis, Brian; Spelman, Lynda; Muir, James B; Yong‐Gee, Simon; Wagner, Godfrey; Lun, Karyn (May 2006). "Seborrhoeic keratosis and malignancy: Collision tumour or malignant transformation?". Australasian Journal of Dermatology. 47 (2): 106–108. doi:10.1111/j.1440-0960.2006.00242.x. Retrieved 5 October 2024.
  9. ^ Reutter, Jason C.; Geisinger, Kim R.; Laudadio, Jennifer (2014). "Vulvar Seborrheic Keratosis". Journal of Lower Genital Tract Disease. 18 (2): 190–4. doi:10.1097/LGT.0b013e3182952357. PMID 24556611. S2CID 26756807.
  10. ^ Luba MC, Bangs SA, Mohler AM, Stulberg DL (2003). "Common benign skin tumors". Am Fam Physician. 67 (4): 729–738. PMID 12613727. §Seborrheic Keratosis: ... Differentiating between seborrheic keratoses and melanomas is a challenge. Both have variable dark colors, the potential for large size, and irregularity.
  11. ^ Chen, Tiffany Y.; Morrison, Annie O.; Cockerell, Clay J. (2017-09-01). "Cutaneous malignancies simulating seborrheic keratoses: An underappreciated phenomenon?". Journal of Cutaneous Pathology. 44 (9): 747–8. doi:10.1111/cup.12975. PMID 28589622. S2CID 11350866.
  12. ^ Hanlon, Allison (2018). A Practical Guide to Skin Cancer (in الإنجليزية). Springer. p. 80. ISBN 9783319749037. Retrieved 22 September 2018.
  13. ^ Dermatosis Papulosa Nigra at eMedicine
  14. ^ أ ب Stucco Keratosis at eMedicine
  15. ^ أ ب Rapini, Ronald P.; Bolognia, Jean L.; Jorizzo, Joseph L. (2007). Dermatology: 2-Volume Set. St. Louis: Mosby. p. 1665. ISBN 978-1-4160-2999-1.
  16. ^ "Cutaneous Melanoacanthoma: eMedicine Dermatology". 22 March 2023.
  17. ^ Tan, Kong-Bing; Tan, Sze-Hwa; Aw, Derrick Chen-Wee; Jaffar, Huma; Lim, Thiam-Chye; Lee, Shu-Jin; Lee, Yoke-Sun (2013). "Simulators of Squamous Cell Carcinoma of the Skin: Diagnostic Challenges on Small Biopsies and Clinicopathological Correlation". Journal of Skin Cancer. 2013: 1–10. doi:10.1155/2013/752864. PMC 3708441. PMID 23878739.
  18. ^ Grimes PE, Arora S, Minus HR, Kenney JA Jr (1983). "Dermatosis papulosa nigra". Cutis. 32 (4): 385–6, 392. PMID 6226495.
  19. ^ "Seborrheic keratosis-Seborrheic keratosis - Diagnosis & treatment". Mayo Clinic (in الإنجليزية). Retrieved 7 August 2023.
  20. ^ "Seborrheic keratoses". American Academy of Dermatology. Retrieved 22 September 2018.
  21. ^ Zhang, Ru-Zhi; Zhu, Wen-Yuan (2011). "Seborrheic keratoses in five elderly patients: An appearance of raindrops and streams". Indian Journal of Dermatology. 56 (4): 432–434. doi:10.4103/0019-5154.84754. PMC 3179013. PMID 21965858.
  22. ^ Yeatman JM, Kilkenny M, Marks R (September 1997). "The prevalence of seborrhoeic keratoses in an Australian population: does exposure to sunlight play a part in their frequency?". Br J Dermatol. 137 (3): 411–4. doi:10.1111/j.1365-2133.1997.tb03748.x. PMID 9349339.
  23. ^ Gill D, Dorevitch A, Marks R (Jun 2000). "The prevalence of seborrheic keratoses in people aged 15 to 30 years: is the term senile keratosis redundant?". Arch Dermatol. 136 (6): 759–62. doi:10.1001/archderm.136.6.759. PMID 10871940.

External links

Classification
V · T · D
External resources