آلام أسفل الظهر
| آلام أسفل الظهر شكوى شائعة ومكلفة. | |
| ICD-10 | M54.5 |
| ICD-9 | 724.2 |
| MedlinePlus | 007422 007425 |
| eMedicine | pmr/73 |
| MeSH | D017116 |
آلام أسفل الظهر Low back pain أو اللومباجو lumbago /lʌmˈbeɪɡoʊ/، هو اضطراب شائع يصيب العضلات والعظام في أسفل الظهر. يعاني منه أكثر من 40% من الأشخاص في مرحلة ما من حياتهم. قد تصنف آلام أسفل الظهر حسب المدة كآلام حادة (استمرار الألم أقل من 6 أسابيع)، وشبه مزمنة (من 6 إلى 12 أسبوع)، أو مزمنة (أكثر من 12 أسبوع).
تظهر آلام الظهر في جميع الأعمار، لكن انتشارها يزيد مع تقدم العمر حتى يصل ذروته في العقد الرابع، وبعدها تقل نسبة الاصابة حتى اختفائها في العقد السابع.
الأعراض والعلامات
أعراضها عادة آلام أسفل الظهر تظهر تطورا كبيرا في غضون شهرين أو ثلاثة أشهر من بدايتها.
في عدد كبير من الأفراد، فإن آلام أسفل الظهر تميل إلى التكرر مع تفاوت نوعيتها. وفي نسبة صغيرة من الذين يعانون منها تصبح مزمنة.
وتبين الدراسات أن آلام الظهر تؤثر على معظم البالغين في مرحلة ما في حياتهم والحسابات لمزيد من الإجازات المرضية والعجز أكثر من أي حالة طبية أخرى.
قد تنجم عن إصابة حادة في أسفل الظهر نتيجة حادث ما، مثل حادث سيارة أو سقوط يحدث فجأة وضحاياه عادة ما تكون قادرة على تحديد متى حدث ذلك بالضبط.
في الحالات الحادة، من المرجح أن تكون الإصابة في الأنسجة اللينة مثل الأقراص بين فقرات، العضلات، وأربطة الأوتار.
بجانب الحوادث قد تنتج عن هشاشة العظام أو غيرها من أسباب ضعف العظام الفقري، أو أيضا من كسور في العمود الفقري أسفل الظهر.
في أسفل العمود الفقري، وبعض المرضى يعانون من ألم العصعص.
البعض الآخر من ألم المفصل العجزي الحرقفي (sacroiliac joint).
آلام أسفل الظهر المزمنة عادة لديها بداية غير محددة، تحدث على مدى فترة زمنية طويلة.
الأسباب
الأسباب المباشرة يمكن أن تشمل هشاشة العظام، روماتيزم ،التهاب المفاصل، أرثرتس، وتآكل للأقراص بين فقرات، أو فتق في قرص العمود الفقري (انزلاق غضروفي)، انكسار الفقري (مثل ترقق العظام)، أو نادرا التهاب أو ورم (بما في ذلك السرطان). وقد يكون السبب أيضا نفسي أو عاطفي أو إلى أسباب أخرى غير العوامل التشريحية.
الأسباب المحتملة من آلام أسفل الظهر عديدة منها:
ميكانيكية
- (Apophyseal) هشاشة العظام.
- مجهول العلة نشر الهيكل العظمي (Hyperostosis).
- تنكسية الأقراص (Scheuermann's kyphosis).
- فتق القرص الفقري (انزلاق غضروفي).
- العمود الفقري (Spondylolisthesis stenosis) وغيرها من التشوهات الخلقية.
- كسور غير محددة (ligamentous) العضلات أو سلالات أو الالتواء.
- الفرق بين طول الساق.
- تقييد اقتراح مفصل الورك
- مصطف خطأ الحوض—ميل الحوض، أو انكفاء anteversion
التهابات
- التهاب المفاصل الرثوانية (Seronegative spondylarthritides) مثل(ankylosing spondylitis).
- العدوى (epidural) خراج أو (osteomyelitis).
- الورم.
- العظام والأورام (الابتدائي أو (Intradural) شوكي الأورام (metastatic)).
التمثيل الغذائي
- الكسور (Osteoporotic).
- لين العظام (Chondrocalcinosis Ochronosis).
- نفسية متلازمة التوتر (myositis) بسبب المرض.
الألم المشار إليه
- الحوض / البطن المرض.
- سرطان البروستاتا.
- الموقف.
- الاكتئاب.
- قلة الأكسجين.
علم الأمراض
التشخيص
تشخيص السبب الكامن وراء آلام أسفل الظهر عادة ما يقوم به طبيب،(osteopathic physician), أخصائي العلاج الطبيعي (الطبيب) أو عن طريق مقوم العظام.
في كثير من الأحيان، الحصول على تشخيص السبب الكامن وراء آلام أسفل الظهر أو الأعراض المرتبطة به معقد جدا.
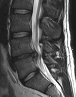
التشخيص الكامل عادة من خلال مزيج من التاريخ الطبي للمريض، والفحص البدني، وعند الاقتضاء، الاختبارات التشخيصية، مثل أشعة الرنين المغناطيسي أو الأشعة السينية.
وهناك عدد من العاملين في مجال الرعاية الصحية يتخصصون في تشخيص وعلاج آلام أسفل الظهر، بما فيها الأمراض بتقويم العمود الفقري يدويا، التقويم الطبي، العلاج البدني (العلاج الطبيعي)، (physiatrists) ،(anesthesiologists) / أطباء الألم، جراحين العظام أو جراحي الأعصاب. وتبين البحوث أن وجود اختلاف طول الساق لا يعني بالضرورة حدوث آلام الظهر.
تشخيص الحركة المقيدة لدوران الفخذ الداخلية أمرا سهلا.
- استلقي على بطنك مع ضم الساقين معا.
- احني ركبتيك 90 درجة حتى تشير القدمين إلى السقف.
- مع حفظ الركبتين معا، باعد بين قدميك بحيث تشكل الساقين حرف 7.
- دع شخص يقوم بقياس الزاوية بين الساق والخط العمودي.
الزاوية يجب أن تكون واحدة لكلا الساقين. ينبغي أن يكون الحد الأدنى لكل ساق من 40 درجة أو 40 درجة إذا كنت تلعب الغولف أو التنس.
دكتور "فاد" ومساعديه، وجد أن الحركة الدورانية الداخلية المقيدة للفخذ مرتبطة بألم أسفل الظهر للاعبي الغولف.
الأعلام الحمراء
| Red flag[1] | Possible cause[2] |
|---|---|
| التاريخ السابق للسرطان | السرطان |
| Unintentional weight loss | |
| Loss of bladder or bowel control | Cauda equina syndrome |
| Significant motor weakness or sensory problems | |
| Loss of sensation in the buttocks (saddle anesthesia) | |
| Significant trauma related to age | Fracture |
| Chronic corticosteroid use | |
| Osteoporosis | |
| Severe pain after lumbar surgery in past year |
العدوى |
| الحمى | |
| Urinary tract infection | |
| Immunosuppression | |
| Intravenous drug use |
الاختبارات
الوقاية
العلاج
الخطة العلاجية لعرق النسا أو الأم أسفل الظهر توقف عادةً على التشخيص الأكلينيكي للسبب المحدثة له
العلاج التحفظي
بالنسبة للغالبية العظمى من المرضى، من آلام أسفل الظهر (عرق النسا) يمكن معالجتها بالرعاية غير الجراحية.
بالنسبة لهؤلاء الذين يعانون من الالام الحادة قصيرة الأجل، بعض وسائل الانتصاف المنزل ([3]) قد يكون فعالا.
استعرضت بصورة منتظمة تجارب عشوائية محكومة نشرت خلال أبريل 2004 واستنتجت:
العلاج المحتمل أن يكون مفيدا.
-المسكنات مثل مضادات الالتهاب اللاإستيرويدية أو عقار أسيتامينوفين.
-دعم القوس (Arch support).
-تقنية ألكسندر في المملكة المتحدة أظهرت تجربة إكلنيكة ذات فوائد على المدى الطويل للمرضى الذين يعانون من آلام الظهر المزمنة.
-تطويع العمود الفقري للآلام الحادة أو المزمنة.
وهناك قاعدة "التنبؤ الدليل الاكلينيكي" (clinical prediction) يمكن أن تحدد من هم الذين يستجيبون لهذه الطريقة.
مرخيات العضلات للآلام الحادة أو المزمنة.
مضادات الاكتئاب لآلام أسفل الظهر المزمنة.
البقاء نشطا بدنيا.
التمارين الرياضية للألم المزمن.
برامج مكثفة متعددة التخصصات قد تساعد لعلاج subacute أو مزمنة من آلام أسفل الظهر.
العلاج السلوكي
الوخز بالإبر (Acupuncture) يمكن أن تساعد الألم المزمن، إلا أن تجربة عشوائية أحدث أوصت بأن الفرق غير ملحوظ بين الأثر الحقيقي وخدعة الوخز بالإبر.
العلاجات الأخرى
العلاجات الإضافية وقد تم في الآونة الأخيرة التي استعرضها مركز كوشرين:
-العلاج بالتدليك قد يستفيد بعض المرضى.
-تطبيق الثلج و/ أو الحرارة (أو الحرارة الرطبة) غير مؤكد الفائدة.
-تجارب فردية عشوائية محكومة قد أظهرت فائدة لـ:
تصحيح الفرق بين طول الساق ويمكن أن تساعد.
تصحيح الفرق بين طول الساق، تدرج من المطاط الصلب وكورك أو منصة في كعب الحذاء من ساقه قصيرة إذا كان الفرق بين الإثنين هو ساقيه 3/8ths بوصة أو أقل.
وإذا كان أكثر، أحذية إصلاح بناء ونقطة الضعف الوحيدة. الاستدقاق لتجنب بثلاثة أضعاف. وإذا كان أكثر من 3 / 4 بوصة، مع بداية 1 / 2 من ذلك ما تحتاج أن جسمك يمكن تعديل.
تقنية الطاقة في العضلات (اجتمع) قد تساعد (دراسة صغيرة). العلاجات الأخرى التي لم تكن هي
موقف التعليم والتكيف (TMS) -زيادة دوران الفخذ الداخلية -زيادة الداخلية الفخذ أو تناوب مع تدليك النسيج الضام -القنب الطبية -ونظرا للاختلافات في منهجية الدراسة السريرية، واستعراض الدراسات السريرية في أي مجال واحد ليست بالضرورة قاطعة.
لأي شرط واحد، قد يكون من الضروري لمحاولة مجموعة متنوعة من العلاجات لإيجاد أفضل واحد (أو الجمع) لأفضل إدارة الألم. وفي جميع الحالات تقريبا، والعلاج الفيزيائي و/أو ممارسة التمارين الرياضية بانتظام ويشمل البرنامج أن تمتد، وتقوية القلب وأثر التكييف المنخفضة سيكون جزءا من برنامج العلاج وإعادة التأهيل.
دور المخدرات لآلام أسفل الظهر المزمنة غير مؤكد.
جراحة يوصى بالجراحة عند عدم فاعلية العلاج التحفظي أو عند تطور الحالة بحيث يؤثر على الأعصاب مثل ضعف الساقين أو المثانة أو الأمعاء والتي ترى في حالة الانزلاق الغضروفي، أو في حالة خراج العمود الفقري أو حالة (cauda equina).
المؤشرات الأخرى لعمل جراحة تشمل ما يلي:
- المرض الشديد انحلالي للقرص.
- العمود الفقري.
- الجنف.
- عدم الاستقرار في العمود الفقري.
- نزيف العمود الفقري.
- ورم خبيث بالعمود الفقري (سرطان).
- العمود الفقري (hematoma).
- انزلاق فقرة بالعمود الفقري.
وأكثر الأنواع شيوعاً للعمليات الجراحية تشمل (foraminotomy) ،(microdiscectomy) ،(discectomy) ،(laminectomy)أو الانصهار في العمود الفقري.
نوع آخر أقل شيوعاً هو جراحية تقنية تتألف من زرع الحبل الشوكي وعادة ما يستخدم لأعراض مزمنة (radiculopathy) (عرق النساء).
استبدال القرص بالفقرات القطنية هو أحدث تقنية جراحية للعلاج من الأمراض التنكسية القرص، وكذلك مجموعة متنوعة من الإجراءات الجراحية التي تهدف إلى الحفاظ على الحركة في العمود الفقري.
التنبؤ
علم الأوبئة
التاريخ
المجتمع والثقافة
الأبحاث
المصادر
- ^ Davis PC, Wippold II FJ, Cornelius RS; et al. (2011). "American College of Radiology ACR Appropriateness Criteria – Low Back Pain" (PDF).
{{cite journal}}: Cite journal requires|journal=(help); Explicit use of et al. in:|author=(help)CS1 maint: multiple names: authors list (link) - ^ خطأ استشهاد: وسم
<ref>غير صحيح؛ لا نص تم توفيره للمراجع المسماةcasazza_2012
