المعرفة:قائمة المقالات المميزة 2008

هي هي قائمة المقالات المميزة التي نشرت في الصفحة الرئيسية بالمعرفة في عام 2008.

العنوان المحتوى تاريخ التأليف تاريخ آخر رفع
بينظير بوتو

بينظير بوتو (أردو,بینظیر بھٹو) (21 يونيو 1953 - 27 ديسمبر 2007) كانت سياسية باكستانية وابنة السياسي ورئيس باكستان السابق ذو الفقار علي بوتو. من مواليد اقليم السند. كانت بينظير أكبر أربعة أبناء لذي الفقار من زوجته الثانية نصرت إصفهاني (الإيرانية من أصل كردي) وهي شيعية المذهب اسماعيلية. ولدت بنظير بوتو في إقليم السند عام 1953، وتلقت تعليمها في جامعتي أكسفورد ببريطانيا و هارڤارد بالولايات المتحدة، واستمدت مصداقيتها كسياسية من تراث والدها. انحدرت بوتو من سلالة سياسية شهيرة في باكستان، كانت النظير لعائلة نهرو غاندي في جارتها وغريمتها الهند.

احتل والد بينظير، ذو الفقار علي بوتو، منصب رئيس وزراء باكستان في أوائل السبعينات، فكانت حكومته إحدى الحكومات القلائل التي لم يرأسها عسكري في العقود الثلاثة التي أعقبت الاستقلال.

يوم الخميس الموافق 27 ديسمبر 2007 بعد خروجها من مؤتمر انتخابي لمناصريها، وقفت في فتحة سقف سيارتها لتحية الجماهير المحتشدة، فتم إطلاق النار عليها وقتلت برصاص في العنق والصدر اتبعها عملية تفجير إنتحاري يبعد عنها 25 مترا. وقد هزّ الانفجار المنطقة التي كان يمرّ بها موكبها في مدينة روالبندي. أعلن وقتها أنّها غادرت الموكب، ثم أعلن زوجها لمحطات محلية إنّها أصيبت بجروح بالغة، ثم أضافت مصادر من حزبها إنها تخضع لعملية جراحية عاجلة. ليعاد بعد عشرين دقيقة إعلان وفاتها. حيث روت التقارير الأولية أصابتها برصاصة برأسها وأخرى بعنقها.

اما رواية السلطات الرسمية الباكستانية، فتتحدث عن وفاة جراء ارتطام رأسها بسقف السيارة المصفحة التي كانت تركبها.

13-1-2009
الإمبراطورة كاترين الثانية
تمثال من الرخام لكاترين العظمى، صنعه شوبين على شكل مينرڤا الإلهة الرومانية.

كاترين الثانية (أو العظمى) (1729 - 1796) "امبراطورة كل الروس" الألمانية، كانت امرأة تثير الإعجاب. وكانت أعوام حكمها الأربعة والثلاثون من أعظم الأعوام التي مرت بها روسيا، فلقد ازدهرت الصناعات ونمت، وخاصة الصناعات المعدنية في جبال الأورال، وبنيت المدارس والمستشفيات، بينما استولت الدولة عام 1764 على أراضي الكنيسة، التي كانت أكثر كفاءة في ادارتها. وكانت كاترين متفتحة دائما للأفكار الجديدة. ويروى أنها كانت أول من طعمت ضد الجدري في روسيا. وبالرغم مما أنجزته كاترين، إلا أنها لم تصل إلى حل أكبر مشاكل روسيا، اذ كان 90% من الشعب عبيداً في الأراضي، أو فلاحين معدمين، تحت رحمة ملاك الأراضي. وكثيرا ما كانت كاثرين تعبر عن هلعها لما هم عليه من حال مزرية، لكنه لم يكن في مقدورها صنع الكثير لأن الأشراف الذين تحتاجهم ليشدوا أزرها، كانوا أكبر ملاك للأراضي. وفي ظل حكمها، اتسعت روسيا اتساعا كبيرا، ولقد اشتركت ثلاث مرات مع حكام آخرين، لتقسيم أو توزيع بولندا بينهم، بينما فتحت كاترين مساحات شاسعة في الجنوب، بما فيها القرم التي استولت عليها من العثمانيين.

19-1-2009
Renoir21.jpg

پيير أوگست رنوار، 18413 ديسمبر, 1919) كان فناناً فرنسياً ومن أبرز الرسامين في تطوير أسلوب الحركة الانطباعية. كمحتفٍ بالجمال، وخاصة الحسية الأنثوية، فقد قيل أن "رينوار هو آخر ممثل لتقليد يجري مباشرة من روبنز إلى واتو".[1] اهتم رينوار في أعماله بتصوير الملامح البشرية ومشاهدات من الحياة العامة السعيدة ، ومن أعماله: (المرجوحة وطاحونة لا گاليت ، متحف أورساي ؛ السيدة شاربونْتْيِي وأطفالها، متحف المتروپوليتان ، نيويورك). بعد وفاة رينوار بيعت لوحتين من أعماله بما يزيد عن 70 مليون دولار أمريكي.

26-2-2009
Medvedev at Davos.jpg
فلاديمير بوتين و دميتري ميدفيديف
سڤيتلانا ميدڤيديڤا

دميتري أناتولييڤيتش ميدڤيديڤ (بالروسية: Дми́трий Анато́льевич Медве́дев) ولد 14 سبتمبر, 1965 في لنينگراد (الآن سانت بطرسبورگ)) وحالياً هو النائب الأول لرئيس وزراء روسيا, وقد تم انتخابه رئيساً لروسيا في 2 مارس 2008. النتائج الأولية للانتخابات أشارت إلى أن أكثر من 70% من الناخبين صوتوا له بنسبة تصويت تعدت 64% من الناخبين المسجلين. النتائج الرسمية للانتخابات متوقع اعلانها يوم 7 مارس, وعندها يصبح ميدڤيديڤ رسمياً الرئيس المنتخب لروسيا. ومن المتوقع أن يتولى المنصب في 7 مايو, 2008. وقد نشأ دميتري ميدڤيديڤ في مقاطعة لنينگراد. وتخرج من قسم القانون من جامعة لنينگراد في عام 1987 وحصل في عام 1990 على الدكتوراه في القانون الخاص من الجامعة نفسها.

عمل رئيساً لمجلس ادارة شركة گازپروم، قلب روسيا النابض بالنفط. وآخر قراراته الأسبوع الماضي كانت قطع الغاز عن اوكرانيا ثم اعادته لها.

ولما صادف انتخابه إعلان استقلال كوسوڤو، فقد توجه على الفور إلى بلگراد ليأخذ صوراً مع الرئيس الصربي بوريس تاديتش داخل كاتدرائية سانت ساڤا، لإظهار دعم روسيا لصربيا

وهو متزوج من سڤيتلانا ميدڤيديڤا، زميلة دراسته منذ الصف الأول الثانوي. ولديهما صبي.

8-3-2009
J-Fugger.JPG
Fugger1.jpg

ياكوب فوگر الثري Jacob Fugger (و. 14591525), أول من أرسى علاقة رأس المال بالسياسة في الرأسمالية المعاصرة الحديثة بتمويل الحملات الانتخابية (إقراضاً وتبرعاً) وما شابه، ومقابل ذلك يتسلم تسهيلات وتخصيصات تجارية بعد نجاح السياسي. وكان المصرفي الألماني عضو أسرة فوگر Fugger كذلك من افتتح عصر الرأسمالية ونمو الاحتكارات الخاصة وسيطرة رجال الأعمال بأموالهم على السادة الإقطاعيين الذين يملكون الأرض.

ولد فوگر في مدينة أوگسبورگ السوابية في الامبراطورية الرومانية المقدسة.في وقت كانت ألمانيا تخطو فيه أولى خطواتها في عالم التجارة والصناعة حيث كانت الصناعات اليدوية هي المتواجدة في البلاد ، وفي ظل سيطرة رجال الأعمال الذين يقدمون المواد الخام ويقومون بعد ذلك بشراء المنتجات من الصناع ويقومون بعد ذلك بعملية تسويقها وبيعها. كان جاكوب الثاني عبقري الأسرة لا يبارى ، فقد كان مقداماً قاسياً مجداً. ودرب نفسه ، على طريقة الرواقيين، بدراسة كل مرحلة من مراحل العمل وكل تقدم في مسك الدفاتر والصناعة والمتاجرة والتمويل. وطالب كل فرد من آل فوجر في سبيل مصلحة الأسرة وأسس المبدأ القائل بألا سلطة لأحد في المؤسسة سوى فرد من آل فوجر ولم يسمح لعلاقاته السياسية بالتأثير في قروضه. وكون اتحادات مع المؤسسات الأخرى للتحكم في سعر المنتجات المختلفة ومبيعاتها.

وكذلك نلحظ من خلال علاقته بالإمبراطور شارل الخامس وتدعيمه له بالأموال اللازمة لرشوة سبعة منتخِبين لينصبوه امبراطور روماني مقدس في 1519. في المقابل شارل الخامس أنعم على الأسرة بالنبالة ومنحها حقوقاً سيادية على أراضيهم ، بما فيها صك عملتهم الخاصة. ياكوب نجح أيضاً في الحصول على حق بيع صكوك الغفران البابوية، مما ضاعف ثرواته، التي كانت هائلة قبل ذلك، عشرة أضعاف ، مما يمكن أن نعتبره بداية لتأثير رأس المال على السلطة وتداخل الإقتصاد والسياسة وذلك في بداية القرن السادس عشر.

29-3-2009
Napoleon Bonaparte.jpg

نابليون بونابرت (15 اغسطس 1769 - 5 مايو 1821 م) قائد عسكري وإمبراطور فرنسي، ولد في جزيرة كورسيكا التي كانت فرنسا قد استولت عليها قبل ولادته بخمسة عشر شهرا. ولد نابليون بونابرت في 15 أغسطس عام 1769 م في أجاكسيو بجزيرة كورسيكا الفرنسية، وتلقى تعليمه وتدريبه العسكري في فرنسا ، حيث التحق بمدرسة فرنسية عسكرية ، ثم التحق بعد ذلك بأكاديمية باريس العسكرية وتخرج برتبة ملازم ثاني في الجيش الفرنسي وذلك في عام 1785 م. تقلد بونابرت رتبة ملازم ثاني في سلاح المدفعية بالجيش الفرنسي ، ثم قام بالخدمة في مدرسة تدريب ضباط المدفعية ، وفي عام 1791 م تم ترقيته إلى رتبة ملازم أول ومنها إلى رتبة نقيب في عام 1792 م، ونظراً لذكاء نابليون ومهارته العسكرية والحربية تدرج سريعاً في عمله، فتم تعيينه قائداً للجيش الفرنسي في عام 1794 م وذلك بعد تمكنه من حماية مدينة تولون أثناء الثورة الفرنسية. تمكن نابليون من تحقيق النصر لفرنسا والجيش الفرنسي في العديد من المعارك التي قام بخوضها وكانت البداية انتصاره في الحرب التي وقعت بينه وبين النمسا ، ثم توالت انتصاراته في عدد من الحروب الكبرى الأخرى، إلى أن وقعت فرنسا معاهدة كامبو فورميو والتي نتج عنها توسع فرنسا في أراضيها.

3-4-2009
قطاع في بلاطة كربون-كربون
IMG 2001-767390.jpg

كربون-كربون - المادة الحرارية التي أحرقت المشير أبو غزالة

كربون-كربون هي مادة مركبة تـُصنع من تقوية ألياف كربون في أرضية/مصفوفة من الگرافيت, غالباً مع طلاء كربيد السيليكون لمنع الأكسدة. وكان قد تم تطويرها لصناعة مخروط الرأس nose cone والفوهات والدروع الحرارية للصواريخ الباليستية عابرة القارات. وهي تـُحسـِّن من دقة الصواريخ بحماية مخروط الرأس من حرارة الاحتكاك الهائلة الناتجة عن معاودة دخول الغلاف الجوي. وأشهر ما تعرف به المادة هو أنها مادة صناعة مخروط الرأس وحواف المقدمة لمكوك الفضاء. فريق برابهام كانوا الرواد في استخدام الكربون-كربون في فرامل عربات سباق فورميولا ون في 1976, ومؤخراً ظهرت في فرامل بعض السيارات باهظة الثمن, مثل بوگاتي ڤايرون. كربون-كربون يناسب تماماً التطبيقات الإنشائية عند درجات الحرارة العالية, أو حيثما يكون مطلوباً الحصول على مقاومة صدمة حرارية و/أو معامل تمدد حراري منخفض. وبينما هو أقل هشاشة من العديد من الأخزاف الأخرى, فإنها تفتقد مقاومة الاصطدام; مكوك الفضاء كلومبيا تحطم بعد أن انكسرت احدى بلاطات الكربون-كربون بارتطامها بقطعة من العازل الرغوي من الخزان الخارجي لمكوك الفضاء. هذا الفشل الكارثي كان جزئياً بسبب متطلبات تصميم المكوك الأصلية التي لم تأخذ في الاعتبار احتمال مثل هذا الارتطام العنيف.

أبو غزالة (الثاني من اليمين) في الاستعراض العسكري في 1981، الذي اغتيل فيه السادات.

في يونيو عام 1988، ألقت السلطات الأمريكية بكاليفورنيا القبض على عالم الصواريخ الأمريكي المصري عبد القادر حلمي بتهمة تجنيده من قِبل المشير عبد الحليم أبو غزالة وزير الدفاع المصري آنذاك للحصول على كربون-كربون لبرنامج الصواريخ المصري بدر 2000. المشير أبو غزالة طـُرِد من منصبه مباشرة بعد طلب المحكمة الأمريكية استجوابه في أبريل 1989.

5-4-2009
Edmund Blair Leighton - Abaelard Und Seine Schülerin Heloisa.jpg
AbelardHeloiseTomb.jpg

[[أبلار|قصة حب أبلار وإلواز]]

أشهر قصة حب شهدتها العصور الوسطى سجلتها خطابات الفيلسوف الفرنسي بيتر أبلار مع تلميذته إلواز، والتي تعكس أداب وفنون وثقافات العصر. إلواز كانت من أشهر دارسات القرون الوسطى في التاريخ واللغتين اللاتينية والعبرية.

وبعد قصة حب مطولة وصراع غير قليل لمواجهة مجتمع يحرم فيه على القسيسين الزواج إلا اذا ترهبنت الزوجة وفي ظل رفض الواز الدائم لتلك الزيجة التي ستؤثر كثيرا على حياة أبلار ومستقبله الفكري وكيف كان عرضها عليه بالبقاء كعشيقة سرية خوفا من منع فرصته للترقي في الكنيسة. ولكنه أقنعها بأن وعدها ألا يعرف الزواج إلا عدد قليل من أوثق الناس صلة بهما. وتركا اسطرلاب ابنهما مع أخت أبلار وعادا إلى باريس وتزوجا بحضور فلبير.

ودبرت المؤامرة تلو الأخرى للإنتقام من أبلار و إلواز من جنب عمها فليبر ؛ وبينما كن أبلار نائماً ذات ليلة. في حجرة سرية بمسكنه، إذا اقتحموا الحجرة وانتقموا منه انتقاما شنيعاً. لأنهم بتروا أعضاء من جسمه إنتقاما له لزواجه من إلواز. ولاذوا بالفرار بعد أن فعلوا فعلتهم. ولم يكن في وسع أعدائه أن يختاروا له عقاباً أدل على مكرهم من هذا العقاب. نعم أنه لم يحط من منزلته لساعته ، فأن باريس كلها بمن فيها من رجال الدين عطفت عليه. واقبل عليه طلابه يواسونه، وأنكمش فلبير واختفى وجر عليه النسيان ذيوله ، وصار الأسقف أملاكه. ولكن أبلار أدرك أن قد قضى عليه ، وأن (قصة هذا الاعتداء الشنيع حتى تبلغ أطراف الأرض). ولم يعد يستطيع التفكير في الرقى في مناصب الكنيسة، وأحس أن سمعته الطيبة قد "محيت من الوجود محواً تاما"، وأنه سيكون مضغة في أفواه الأجيال المقبلة. وشعر بأن في سقوطه هذا قسطاً من العدالة الطبيعية غير الشعرية، فقد اجتث من لحمه ذلك الجزء الذي أذنب، وغدر به نفس الرجل الذي غدر هو به من قبل. وأمر إلواز أن تلبس النقاب وتترهب، وذهب هو إلى دير القديس دنيس وأقسم يمين الرهبنة.

11-4-2009
Egg3.jpg

شموش النسيم .. عيد الربيع [[ عيد شم النسيم]] هو أحد أعياد مصر الفرعونية، وترجع بداية الاحتفال به إلى ما يقرب من خمسة آلاف عام ، أي نحو عام 2700 ق.م ، وبالتحديد إلى أواخر الأسرة الثالثة الفرعونية. وكانوا يعتقدون - كما ورد في كتابهم المقدس عندهم – أن ذلك اليوم هو أول الزمان ، أو بدء خلق العالم. وأطلق الفراعنة على ذلك العيد اسم عيد شموش أي بعث الحياة ، وحُرِّف الاسم على مر الزمن ، وخاصة في العصر القبطي إلى اسم (شم) وأضيفت إليه كلمة النسيم نسبة إلى نسمة الربيع التي تعلن وصوله. وقد تعرَّض الاسم للتحريف على مرِّ العصور ، وأضيفت إليه كلمة "النسيم" لارتباط هذا الفصل باعتدال الجو ، وطيب النسيم ، وما يصاحب الاحتفال بذلك العيد من الخروج إلى الحدائق والمتنزهات والاستمتاع بجمال الطبيعة. وكان قدماء المصريون يحتفلون بهذا العيد بالذهاب إلى الأهرام من بداية الشروق حتى الغروب في تلك اللحظة يحدث شيء عجيب ، حيث تخترق أشعة الشمس قمة الهرم ، فتبدو واجهة الهرم أمام أعين المشاهدين وقد انشطرت إلى قسمين. وما زالت هذه الظاهرة العجيبة تحدث مع مقدم الربيع في الحادي والعشرين من مارس كل عام ، في الدقائق الأخيرة من الساعة السادسة مساءً ، نتيجة سقوط أشعة الشمس بزاوية معينة على الواجهة الجنوبية للهرم ، فتكشف أشعتها الخافتة الخط الفاصل بين مثلثي الواجهة اللذين يتبادلان الضوء والظلال فتبدو وكأنها شطران.

Bemalt straussenei aegyptisch gross.jpg

أما في العصر الحديث فيتحول الاحتفال بعيد شم النسيم إلى مهرجان شعبي ، تشترك فيه طوائف الشعب المختلفة ، فيخرج الناس إلى الحدائق و الحقول و المتنزهات ، حاملين معهم أنواع معينة من الأطعمة التي يتناولونها في ذلك اليوم، مثل: البيض ، و الفسيخ (السمك المملح) ، و الخَس ، و البصل ، و الملانة (الحُمُّص الأخضر). وهي أطعمة مصرية ذات طابع خاص ارتبطت بمدلول الاحتفال بذلك اليوم – عند الفراعنة - بما يمثله عندهم من الخلق والخصب والحياة.

قد أخذ اليهود عن المصريين احتفالهم بهذا العيد ، فقد كان وقت خروجهم من مصر – في عهد موسى عليه السلام – مواكبًا لاحتفال المصريين بعيدهم. واتخذ اليهود ذلك اليوم عيدًا لهم ، وجعلوه رأسًا للسنة العبرية، وأطلقوا عليه اسم عيد الفصح. وعندما دخلت المسيحية مصر جاء عيد القيامة موافقًا لاحتفال المصريين بعيدهم، فكان احتفال النصارى بعيد الفصح – أو عيد القيامة – في يوم الأحد ، ويليه مباشرة عيد شم النسيم يوم الإثنين ، وذلك في شهر برمودة من كل عام.

28-4-2009
EKV prototype launch.jpg

الدرع الصاروخي الأمريكي United States missile defense ، هو نظام يتم فيه بناء شبكات حماية مكونة من أنظمة صواريخ أرضية, مستندة إلى نقاط ارتكاز جغرافية عدة, قادرة على إسقاط أي صاروخ بالستي عابر للقارات يستهدف الأراضي الأمريكية. فقد ظلت علاقات الأمن عبر الأطلنطي راسخة لما يقترب من مرور عقد علي انتهاء الحرب الباردة. لكن وفي الوقت نفسه ظهرت اختلافات لا يمكن غض الطرف عنها فيما يتعلق بالرؤى والمصالح المباشرة. ومن بين هذه الاختلافات ، العلاقة بين حلف شمال الأطلنطي والبعد الدفاعي للإتحاد الأوروبي ، بالإضافة إلي السياسة تجاه إيران. وعلي الرغم من ذلك يجب أن نقول أن نظام الدفاع الصاروخي الأمريكي يعتبر أكثر القضايا الأمنية التي يمكنها أن تحدث خلافات بين الولايات المتحدة وحلفائها الأوروبيين، من جهة وروسيا من جهة أخري. وتمتلك الولايات المتحدة الأمريكية نوعين من الدفاعات الصاروخية (حاليا في طور التطوير) هما؛ نظام الدفاع الصاروخي لمسرح العمليات ؛ ونظام الدفاع الصاروخي القومي.

خريطة تبين مشروع الدرع الصاروخي الأمريكي والذي ينتهي في 2013

ومن المتوقع أن تخلق الانعكاسات المترتبة على هذا النظام على المستوى العالمي مناخا شبيها بأجواء الحرب الباردة حيث التهديدات الأمنية العالمية المتبادلة تكون قارية وتدفع بسباق التسلح أشواطا هائلة إلى الأمام، ويرجع ذلك إلى جملة من الاعتبارات الإستراتيجية المهمة من أهمها الإخلال بالتوازن الإستراتيجي تحديدا مع الصين وروسيا بشكل لا يمكن احتماله من قبل هاتين الدولتين. وكذلك التخوف من أن هذا النظام لن يقتصر على حماية الأراضي الأميركية تحديدا, وأنه لن يكون سوى المرحلة الأولى من إستراتيجية أمنية أميركية معولمة أخطر مما قد يبدو للوهلة الأولى.

15-5-2009
صخرة الحسيمة كما تبدو من الشاطئ المغربي

صخرة الحسيمة أو Peñón de Alhucemas) هي جزيرة اسبانية محاطة من جميع الأطراف بالمياه المغربية. مساحة الصخرة هي 70 متر * 50 متر. وترتفع عن سطح البحر بمسافة 27 متر. تستعمر إسبانيا هذه الجزيرة منذ عام 1559.

تقع صخرة الحسيمة إلى الغرب قليلا من جزر الحسيمة، التي تبعد 300 متر من المدينة المغربية الحسيمة. ومسافة 146 كم غرب سبتة، و 84 كم غرب مليلية. وهي جزيرة صغيرة بها حصن، وكنيسة، والعديد من المنازل. وتقع الصخرة أيضا بالقرب من مهبط طائرات كانت تستخدمه القوات الأسبانية والفرنسية أثناء حرب الريف عام 1920.

يرجع تاريخ حكم أسبانيا لصخرة الحسيمة لعام 1559، وذلك عندما قدم السعديون العديد من الأراضي للأسبان مقابل حمايتهم من الدولة العثمانية. في عام 1673، بعثت إسبانيا حامية عسكرية إسبانية لجزيرة الحسيمة، واحتلت الجزيرة منذ ذلك الحين. اليوم يضم الحصن الذي بني في الجزيرة الحامية العسكرية الأسبانية وقوامها 60 فرداً.

16-5-2009
معركة أكتيوم, بريشة لورنزو كاسترو, سنة 1672.
كليوپاترا (لندسي مارشال) والحية من المسلسل التلفزيوني روما من انتاج HBO.

معركة أكتيوم كانت نهاية التاريخ القديم (المصري واليوناني) وفيها انتصرت الجمهورية الرومانية بقيادة اوكتاڤيان ضد القوات المشتركة لكل من مارك أنتوني وكليوپاترا، ملكة مصر البطلمية. وقد نشبت في 2 سبتمبر 31 ق.م., في البحر الأيوني بالقرب من المستعمرة الرومانية أكتيوم في اليونان.

نتيجة لفقدان أسطوله, فجيش مارك أنطونيو, الذي بدأ كندٍ مساوٍ لجيش اوكتاڤيان, هجره جنوده بأعداد غفيرة. فقد خسر 19 فيلق مشاة و 12,000 من الفرسان تحت جنح الظلام قبل أن تتاح له فرصة ملاقاة اوكتاڤيان على الأرض. الأمر الذي تركه بدون قوة فعالة لقتال اوكتاڤيان. أنطونيو حاول بعد ذلك أن يهرب من المعركة. وفي اختراق لخطوط اتصالاته, فقد دس أعداؤه رسالة كاذبة مفادها إلقاء القبض على كليوپاترا, ولذلك فقد انتحر.

سمعت كليوپاترا بأخبار أنطونيو, وبدلاً من المخاطرة بالسقوط في أيدي اوكتاڤيان, فقد انتحرت, في 12 أغسطس 30 ق.م.. فقد تركت صل مصري سام ليعضها، وكان مخبأ لها في سلة تين. أما اوكتاڤيان فقد قتل طفلها قيصريون لاحقاً في ذلك العام, ليبقى هو 'الابن' الوحيد ليوليوس قيصر.

مكن النصر اوكتاڤيان من استجماع سلطاته على كافة مؤسسات الإدارة الرومانية, ك "أغسطس قيصر", مشيراً إلى انتقال روما من الجمهورية إلى الامبراطورية.

22-5-2009
مسجد قرطبة, أعظم ما خلفة الأمويون في قرطبة.

نهاية الخلافة الأموية في قرطبة

بعد مقتل يحيى بن علي بن حمود عام 1026، شهدت قرطبة فراغاً سياسياً آخر إلى أن "أجمع أهلها على خلع العلويين لميلهم إلى البربر، وإعادة الخلافة بالأندلس إلى بني أمية". فبايع أهل قرطبة هشام بن محمد وتلقب بالمعتد بالله، وكان قد فر بعد أن غدر العامريون بأخيه المرتضى.

وفي عام 420 هـ استوزر حكم بن سعيد القزاز. وكان هذا الوزير نذير شؤم على المعتد بالله، إذ كان مكروهاً من أهل قرطبة لاستبداده برأيه وتعسفه بأحكامه، ومخالفته لآراء الوزراء السابقين، كما أنه كان ميالاً إلى البربر، فقام كبار رجال قرطبة بقتله.

انتهز أمية بن عبد الرحمن بن هشام بن سليمان، أحد أمراء بني مروان، فرصة قتل الوزير، ليحرض العامة على المعتد بالله سعياً لإسقاطه، وتولي الخلافة. وثار وراءه بنو أمية، وحاصروا قصر الخلافة في 12 ذو الحجة سنة 422 هـ. واُخرج هشام من قصره هو ونساؤه وأبناؤه، واُنزل إلى ساباط المسجد الجامع المؤدي إلى المقصورة، وظل هناك أسيراً ذليلاً، يترقب الموت في كل لحظة. ولكن أمية بن عبد الرحمن لم يبلغ غايته في الوصول إلى الخلافة فقرر أهل قرطبة إخراج أمية مع المعتد بالله عن قرطبة مع أن أمية كان حريصاً على الظفر بالخلافة ولم يخطر بباله أن تنتهي الأمور إلى هذا الحال. إذ أن أحداً من أهل قرطبة قال له: إن السعادة قد ولت عنكم، فقال أمية: بايعوني اليوم، واقتلوني غداً.

وهكذا انتهت الخلافة الأموية في قرطبة، بل نادى البعض بضرورة طرد جميع بني أمية من قرطبة، محذراً من يبقى منهم، ومتوعداً من يتواطأ معهم. وفي ذلك يقول ابن الخطيب (ومشى البريد في الأسواق والأرباض بأن لا يبقى أحد بقرطبة من بني أمية، ولا يكنفنهم أحد)، وفي منتصف ذي الحجة سنة 422 هـ، اجتمع شيوخ قرطبة والوزراء برئاسة ابن حزم بن جهور، واتفقوا على خلع المعتد بالله، وإبطال مرسوم الخلافة جملةً. وابن حزم كان من وزراء الدولة العامرية، قديم الرياسة، موصوفاً بالدهاء والعقل، ولم يدخل في شيء من الفتن، بل كان يتصاون عنها. وأسلموا الحكم إلى ابن حزم بن جهور وكان جديراً بهذه المهمة، وقبل أن يتسلم مقاليد الأمر على أن يجعلها شورى.

وهكذا تحول الحكم في قرطبة إلى نظام شبيه بالحكم الجمهوري، عـُرِف في كتب التاريخ بحكم الجماعة.

بعد سقوط الخلافة في 1031، تشظت أراضي دولة الخلافة إلى 22 دويلة - التي انكمشت كثيراً في قرنها الأخير، إلى العديد من ممالك الطوائف الضعيفة عسكرياً، ولكن اليانعة ثقافياً (مثل الحال في المشرق العربي).

3-6-2009
كرة منجنيز
كرة متعددة المعادن

كرات المنجنيز .. في قاع المحيط

كرات المنجنيز أو عقد المنجنيز ، هي كرات تحتوي على معادن نادرة يشكل المنجنيز النسبة الأكبر فيها ويشاركه الكوبلت و النحاس و النيكل إضافة إلى كمية قليلة من عشران المعادن والعناصر غير المعروفة. وتوجد على أعماق كبيرة من مياه المحيطات قد تصل من أربعة إلى ستة آلاف متر.

تتكون كرات المنجنيز في أعماق تتراوح من أربعة إلى ستة آلاف متر ، وتتكون من عنصري المنجنيز وأكسيد الحديد يلتفان حول جسم مركزي، وهذا الجسم المركزي قد يكون قطعة صخر أو سن سمكة قرش أو عظمة حوت أو بعضاً من كرة منجنيز متفتتة، ويلتحم المنجنيز بهذه الأجسام على شكل طبقات دائرية، ويحتاج تشكل كرة بهذا الحجم إلى عشرة أو خمسة عشر مليون سنة، وتكون كرات المنجنيز في الأعماق بهذا الحجم عادة، وأما حجمها فمن المعلوم أنه يتراوح بين واحد وأربعة سنتيمترات تقريباً.

والمنجنيز هو عنصر كيميائي في الجدول الدوري، رمزه Mn، ورقمه الذري 25. وهو من العناصر الإنتقالية ويوجد فى الدورة الطويلة الأولى من الجدول الدورى , حيث يقع بين الكروميوم والحديد . للمنجنيز خواص مميزة مع كلا من هذه العناصر . على الرغم من محدودية ما عرف عنه وعن استخداماته وهو فى الحالة النقية فإن للمنجنيز أهمية عظمى من الناحية العملية وذلك فى صناعة الصلب .

14-6-2009
شاشة برنامج بيوس
رقيقة بيوس على اللوحة الأم

نظام بيوس Bios وتعني (basic input output system) نظام الادخال و الاخراج الأساسي ، هو نظام مهمته أن يستقبل الأوامر الخاصة بالإدخال والإخراج من نظام التشغيل ويقوم بتنفيذها. والهدف الرئيسي من البيوس هو البدء بعملية اقلاع الحاسوب و التحضير اللازم لتنزيل نظام التشغيل في ذاكرة الحاسوب.

والبايوس ككل أجزاء الكمبيوتر مكون من شقين أحدهما صلب ذاكرة من النوع ROM (READ ONLY MEMORY( والآخر وهو جزء برمجي وهو الـ BIOS ويتكون من شقين أحدهما ثابت وهو الـ BIOS ويكون مخزن على الـ ROM وهو غير قابل للتعديل أما الآخر فهو الـ CMOS ويمكن تعديله بمعرفة المستخدم لتغيير إعدادات بدء الجهاز.

تخزن على رقاقة السيموس معلومات هامة عن الجهاز مثل حجم ونوع الأقراص المرنة والصلبة وكذلك التاريخ والوقت وكذلك بعض الخيارات الأخرى مثل: هل تريد الإقلاع من القرص المرن أم من القرص الصلب أولاً ..إلخ ويكون حجمها في حدود مئات البايتات.

يتم تصنيع رقاقات البيوس من قبل العديد من المصنعين أبرزهم شركات فونكس "phoenix" وشركة "أوورد award " و شركة "american megatrends" وإذا نظرت إلى أي لوحة أم فسوف تجد عليها رقاقة البيوس ومكتوب عليها اسم الشركة المصنعة لها.

16-6-2009
المغنسيوم ينقص وزن السيارة إلى الربع عام 2009
سيارة السباق هوندا F1 موديل RA302 ذات الجسم المصنوع من المغنسيوم ترتطم وتشتعل أثناء گران پري الفرنسي عام 1968.
سيارة 1-لتر ستطرحها فولكس واجن من المغنسيوم عام 2009، يقودها رئيسا الشركة السابق والحالي.

المغنسيوم (بكثافة 1.7 جم/سم³) أخف من الألومنيوم (2.7 جم/سم³), وحرارة انصهاره (8.5 ك ج/مول) لا تقل كثيراً عن تلك للحديد (13.8) في حين أن كثافة الحديد هي 7.8 جم/سم³. لذلك بدأ علماء الفضاء الألمان في ح.ع.2 باستخدام سبائكه في صناعة محركات الصواريخ والطائرات. لاحقاً انتشر استخدامه في صناعة أجزاء من محركات السيارات. ولكن المغنسيوم قابل للاشتعال بدرجة كبيرة. والمغنسيوم المشتعل أو المصهور يتفاعل بعنف مع الماء.

ففي سباق گران پري 1968 بفرنسا، تفوقت سيارة السباق هوندا موديل RA302 ذات الجسم المصنوع من المغنسيوم على مثيلاتها من السيارات الأخرى، لكنها سرعان ما إرتطمت واشتعلت فيها النيران. ولدى محاولة اطفاء النيران بالمياه انفجرت السيارة. أما پورشه فواصلت سعيها الدءوب لإنقاص وزن سيارات السباق لديها أدى بها لاستعمال هياكل من المغنسيوم في موديلها الشهير 917/053 الذي فاز في سباق لومان عام 1971, ومازال يحتفظ بالرقم القياسي المطلق للمسافة حتى اليوم.

استعملت فولكس واگن المغنسيوم في مكونات محركاتها للعديد من السنوات. وفي أكتوبر 2007 فاجئت العالم بنيتها صناعة سيارة بالكامل من المغنسيوم بربع وزن مثيلتها من الصلب ولذلك فهي أسرع ولكن تستهلك وقوداً أقل، أي أنها ستولد ك أ2 أقل ولذلك فهي حقاً سيارة صديقة للبيئة. ومن الجدير بالذكر أن عند البدء في تنفيذ الفكرة كان العائق الأساسي هو إرتفاع سعر السيارة حيث بلغ تقريبا 35,000 يورو. وذلك بسبب ارتفاع سعر المغنسيوم المنتج بالتحليل المائي من البحر الميت بإسرائيل الذي كانت فولكس واگن تنوي شراءه، عن ضعف سعر المغنسيوم الصيني المنتج عن طريق عملية پيدجن دون فارق في المواصفات.

21-6-2009
حقل خريص، رد السعودية على المضاربين
حقل خريص النفطي
مشروع مجمع خريص يتكلف 10 بليون دولار ويعمل فيه 26,000 عامل

خريص، هو حقل نفط بمنطقة الأحساء في المملكة العربية السعودية يبلغ احتياطيه 27 بليون برميل نفط. سيبدأ ضخ النفط منه في منتصف 2009، بمعدل 1.2 مليون برميل يومياً. تبلغ تكلفة مجمع خريص 10 بليون دولار ويعمل في انشائه 26,000 عامل. حقل خريص تم اكتشافه في 1957، إلا أن استغلاله كان محدوداً بسبب صعوبة الوصول للنفط فيه مقارنة بحقل غوار العملاق المجاور له، الذي هو أكبر حقل نفطي في العالم.

وتوظف أرامكو في المشروع تقنيات حديثة لاستخراج النفط المتواجد على عمق ميل تحت الأرض. سيتم حمل ماء البحر عبر شبكة أنابيب من الخليج العربي لحقنه في الصخر الحامل للنفط لدفع النفط لأعلى. وعادة ما تضخ أرامكو ماء البحر في الحقول النفطية بعد عدة سنوات من الانتاج. أرامكو ستستعمل الحفر العرضي كذلك للوصول إلى بعض النقاط. ويتشكك البعض من أن يحقق المشروع معدل الانتاج المرجو بسبب صعوبة الوصول للنفط في الحقل.

2-7-2009
مصطلح "الشرق الأوسط"
الشرق الأوسط مصطلح له العديد من التعريفات والحدود
ألفريد ثاير ماهان

الشرق الأوسط هو مصطلح قد يكون تم صكه في عقد 1850 في مكتب الهند البريطاني ثم أصبح أكثر استعمالاً عندما استخدمه الاستراتيجي البحري الأمريكي ألفريد ثاير ماهان أثناء ذلك الوقت، كانت الامبراطوريتان البريطانية والروسية تتصارعان على النفوذ في وسط آسيا, ذلك التنافس الذي صار معروفاً باسم اللعبة الكبرى. استوعب ماهان ليس فقط الأهمية الاستراتيجية للمنطقة, بل أيضاً أن مركزها هو الخليج العربي. فقد أطلق على المنطقة المحيطة بالخليج العربي اسم "الشرق الأوسط", وقد قال أنها بعد قناة السويس, هي أهم ممر يجب أن تسيطر عليه بريطانيا لتمنع الروس من التقدم نحو الهند.

الشرق الأوسط, لو كان بإمكاني اتخاذ مصطلح لم أره من قبل, سيحتاج في يوم ما مالطاه, وكذلك جبل طارقه; ولا يعني ذلك أن أحداهما سيكون في الخليج العربي . وللقوة البحرية ميزة القدرة على الحركة التي تحمل معها امتياز الغياب المؤقت; ولكن يجب عليها أن تعثر في كل مسرح عمليات قواعد ثابتة للتجهيز, والإمداد, وفي حالة الكوارث, الأمن. ويجب على البحرية البريطانية أن يكون لديها القدرة على تركيز قواتها عند الحاجة, حوالي عدن, الهند, والخليج العربي.[2]

مقالة ماهان اُعيد طبعها في The Times وتبعها في اكتوبر بسلسلة من 20 مقالة بعنوان "مسألة الشرق الأوسط," بقلم السير إيگناتيوس ڤالنتاين كايرول. أثناء تلك السلسلة, وسـَّع كايرول تعريف "الشرق الأوسط" ليتضمن "ليتضمن تلك المناطق من آسيا التي تمتد إلى حدود الهند وتلك التي تتحكم في المداخل إلى الهند."[3] وبانتهاء السلسلة في 1903, جريدة التايمز أزالت علامات التنصيص من حول الاستخدامات اللاحقة للتعبير.[4]

وحتى الحرب العالمية الثانية, كان من المعتاد الإشارة إلى المناطق حول تركيا والساحل الشرقي للبحر المتوسط باسم "الشرق الأدني," بينما تركز "الشرق الأقصى" حول الصين. وكان الشرق الأوسط في ذلك الوقت يعني المنطقة من بلاد الرافدين إلى بورما, أي المنطقة بين الشرق الأدني والشرق الأقصى. مسرح العمليات الموصوف في هذه المقالة تحوَّر أثناء الحرب, ربما بتأثير الفكرة القديمة عن كون البحر المتوسط هو حقاً "البحر الذي هو في الوسط".

9-7-2009
"الإمبراطور النابه .. تانگ شوانزونگ"
الإمبراطور تانگ شوانزونگ
تمثال يانگ گويْ-فـِيْ

تانگ شوانزونگ هو سادس امبراطور في أسرة تانگ في الصين, وحكم من 712 إلى 756. فترة حكمه كانت الأطول في أسرة تانگ, ويـُنسب إليه فضل الارتقاء بصين أسرة تانگ إلى قمة الثقافة والقوة. آخر سني حكمه تأثرت بنفوذ يانگ گويـْفـِيْ Yang Guifei, أحدى زوجاته, ثم انتهى حكمه على يد تمرد عسكري هائل وكارثي.

حكم الصين نحو أربعين عاماً تخللتها فترات قصيرة كان فيها بعيداً عن العرش (713- 756 ب.م). وكان هذا الإمبراطور رجلاً اجتمعت فيه كثير من المتناقضات البشرية ؛ فقد كان يقرض الشعر ويشن الحرب على البلاد النائية ، ومن أعماله أنه فرض الجزية على تركستان الشرقية و فارس و سمرقند ، وألغى حكم الإعدام وأصلح إدارة السجون والمحاكم ، ولم يرحم من لا يبادر بأداء الضرائب ، وكان يتحمل راضياً مسروراً عنت الشعراء والفنانين والعلماء ؛ وأنشأ كلية لتعليم الموسيقى في حديقة له تسمى "حديقة شجرة الكمثرى" ، وقد بدأ حكمه متقشفاً متزمتاً ، أغلق مصانع الحرير وحرم على نساء القصر التحلي بالجواهر أو الملابس المطرزة.

واختتم شوانزونگ حكمه أبيقورياً يستمتع بكل وسيلة من وسائل الترف ، وضحى آخر الأمر بعرشه لينعم ببسمات يانگ گويْ-فـِيْ Yanggui Fei. وكان حين التقى بها في سن الستين ، أما هي فكانت في السابعة والعشرين. وكانت قد قضت عشر سنين محظية لابنه الثامن عشر ، الأمير شو Shou 壽王. وكانت بدينة ذات شعر مستعار ، ولكن الإمبراطور أحبها لأنها كانت عنيدة ، ذات أطوار شاذة ، متغطرسة وقحة ، وتقبلت منه إعجابه بها بقبول حسن. أمر شوانزونگ بطلاق ابنه منها، ثم أدخلها دير للراهبات الطاويات لمدة عامين، حتى يستطيع أخذها خليلة ملكية بدون عار. وقام بإعادة بناء قصر الينابيع الساخنة على سفح جبل ليشان لخليلته وشقيقاتها، وسمى القصر "هوا تشينگ".

14-7-2009
السودان يتفكك: مورينو-اوكامپو والبشير
شعار المحكمة الجنائية الدولية
لويز مورينو-اوكامبو
عمر البشير

في 31 مارس 2005 أصدر مجلس الأمن القرار 1593 الذي أحال الوضع في دارفور، منذ 1 يوليو 2002، إلى المحكمة الجنائية الدولية. وفي فبراير 2007، اتهم المدعي العام مورينو-اوكامپو المسئولين السودانيين، هارون وقشيب، بالتورط في النزاع وارتكابهما جرائم حرب وجرائم ضد الإنسانية. وفي 27 أبريل 2007 أصدرت المحكمة أمراً بإلقاء القبض عليهما. إلا أن الأمر لم يـُنـَفـَّذ بعد.

والآن يواجه الرئيس السوداني عمر البشير إتهاماً من المدعي العام للمحكمة الجنائية الدولية لويز مورينو-اوكامپو بأنه الرأس المدبر لجرائم ابادة (مزعومة) لقبائل افريقية في دارفور وبتزعم حملة قتل و اغتصاب وتهجير. وبذلك يكون البشير هو ثالث الرؤساء الذين توجه لهم تهمة إرتكاب جرائم حرب وإبادة جماعية وإنتهاك حقوق الإنسان وهم سلوبودان ميلوسوفيتش الذي توفي أثناء محاكمته وتشارلز تايلور الذي يحاكم حتى الآن. وسـَيـَبت قضاة المحكمة الجنائية الدولية فيما إذا كانوا سيصدروا مذكرة توقيف في حق البشير، إذا اعتبروا أن الأدلة التي قدمها مورينو-اوكامپو كافية ومبررة، أم أنهم سيدعونه للمثول أمامهم.

لويز مورينو-اوكامپو هو رجل قانون أرجنتيني مشهور، مشهور بدفاعه ضد الحكام (السابقين) عن حقوق الإنسان. يشغل منصب المدعى العام للمحكمة الجنائية الدولية. وهو مسؤول عن إجراء التحقيقات وجمع المعلومات وتقديم الإدعاء بشكله النهائي بالنسبة للأشخاص الذي يقومون بجرائم حرب أو جرائم ضد الإنسانية أو جرائم إبادة جماعية. يؤخذ عليه اتباع الميول السياسية الغربية في تحقيقاته منذ مطلع عمله القانوني. فقد ادعى ضد جنرالات الأرجنتين الذين حاربوا بريطانيا، بعد خلعهم. وتحقيقاته في الكونغو لم تتعرض للمذابح التي قام بها الجيشان الحكوميان الرواندي والاوغندي (المدعومان من الغرب) في الكونغو، رغم كونها السبب الأكبر للخسائر البشرية.

15-7-2009
لماذا بـُنيت قـبـة الصـخـرة بهذه الفخامة؟
صورة لقبة الصخرة
صورة لقبة الصخرة

تعتبر قبة الصخرة من أهم المعالم الإسلامية في فلسطين، لمكانتها الدينية والتاريخية، وقد بنى قبة الصخرة المباركة الخليفة الأموي عبد الملك بن مروان، حيث بدأ العمل في بنائها سنة 66هـ/685م، وتم الفراغ منها سنة 72هـ/691م. وقد اشرف على بنائها المهندسان العربيان رجاء بن حيوة وهو من بيسان فلسطين ويزيد بن سلام مولى عبد الملك بن مروان وهو من القدس.

لأهمية القدس عند المسلمين فقد أراد الخليفة عبد الملك بن مروان أن يكون فيها مسجداً للمسلمين لا يقل فخامة عن كنيسة القبر المقدس حين جددت بعد أن دمرها كسرى أبرويز، فاستخدم خراج مصر في تشييد عدة صروح تعرف في مجموعها باسم الحرم الشريف، وشيد في الطرف الجنوبي من المدينة (691-694) المسجد الأقصى. وقد دمر زلزال هذا المسجد في عام 746، ثم أعيد بناؤه في عام 785، وأدخلت عليه فيما بعد تعديلات كثيرة، ولكن القبلة لا تزال كما كانت في أيام عبد الملك، كما أن معظم العمد مأخوذ من بازيليكا جستنيان التي كانت قائمة في القدس. ويرى المقدسي أن بيت المقدس أجمل من المسجد الأموي العظيم المقام في دمشق. ويؤمن المسلمون إن النبي (صلى الله عليه وسلم) قد التقى فيهِ بإبراهيم، وموسى، وعيسى، وأنه صلى فيه معهم، وانه رأى بالقرب منه الصخرة (التي يعتقد بنو إسرائيل أنها "سرة الدنيا") والتي أراد إبراهيم أن يضحي عندها بإسحق (حسب المعتقد اليهودي)، والتي شاد عندها سليمان وهيرود هيكلهما. ويؤمن المسلمون أن النبي محمد Mohamed peace be upon him.svg أسري به عندها إلى السماء، بل ويعتقد بعض المسلمين أن الإنسان لو أوتي إيماناً قوياً لأبصر في الصخرة أثار قدميه. وما أن استولى عبد الله بن الزبير، في عام 684، على مكة وما يدخل فيها من إيراد الحج، أراد عبد الملك أن يجتذب إلى الشام أموال الحج، وأن يحج الناس إلى الصخرة بدلاً من أن يحجوا إلى الكعبة، فأقام صناعه على بناء هذه التحفة التاريخية (691) "قبة الصخرة" الشهيرة على الطراز البيزنطي-السوري، وسرعان ما أضحت هذه القبة "رابعة عجائب العالم الإسلامي" (والثلاث الأخرى هي مساجد مكة والمدينة ودمشق). فلو أجرينا حسابات للمبالغ الطائلة التي أنفقت لبناء هذا المعلم الحضاري، والذي رصد لبنائه خراج أكبر ولاية إسلامية (مصر) ولمدة سبع سنوات فإننا سنجدها اليوم تقدر بملايين الدولارات. وإن دل هذا على شيء فإنما يدل على الاستقرار والرخاء الذي كان يعم الخلافة الإسلامية في الفترة الأموية والتي تعكس تأثير القوة الاقتصادية لهذه الخلافة الإسلامية الحديثة أمام الإمبراطوريتين العظميين البيزنطية والفارسية في ذلك الوقت .

وقد أخفق عبد الملك فيما كان يسعى من إحلال هذه الصخرة عند المسلمين محل الكعبة. ويقول ول ديورانت في قصة الحضارة: "ولو أنه نجح فيما كان يبتغيه لأضحى بيت المقدس مركز الأديان الثلاثة التي كانت تتنافس في الاستحواذ على روح الإنسان في العصور الوسطى."

18-7-2009
علي لاريجاني، ملاح برنامج إيران النووي ورئيسها المقبل
علي لاريجاني

[[علي لاريجاني|علي أردشير لاريجاني]] (و.1958)، هو فيلسوف وسياسي إيراني. وهو حاليا رئيس مجلس إيران التشريعي. وقبل ذلك كان أمين المجلس الأعلى للأمن القومي من 2005 إلى 2007 وكبير المفاوضين حول البرنامج النووي الإيراني.

وعلي لاريجاني هو ابن آية الله هاشم آملي ومتزوج من ابنة آية الله مرتضى مطهري أحد المقربين لآية الله خميني، وشقيقه حجة الإسلام صادق لاريجاني عضو مجلس صيانة الدستور. بعد أن حصل على بكالوريوس في الرياضيات وعلوم الحاسب من جامعة شريف للتكنولوجيا، حصل على ماجستير ودكتوراه في الفلسفة الغربية من جامعة طهران. وقد نشر عدة كتب عن الفيلسوف الألماني إمانويل كانت. وكثيراً ما ينوب شخصياً عن المرشد الأعلى علي خامنئي في جلسات مجلسي صيانة الدستور وتشخيص مصلحة النظام وهما قمة الهرم السياسي في الجمهورية الإسلامية.

ورغم ان أحمدي نجاد هو اسميا رئيس المجلس الأعلى للأمن القومي فان لاريجاني كان يتلقى اوامره من مرشد الجمهورية علي خامنئي الذي تمتع لاريجاني بثقته. وأدار لاريجاني لشهور مفاوضات على درجة كبيرة من الحساسية مع منسق السياسات الخارجية للإتحاد الأوروبي خاڤيير سولانا حول الملف النووي الايراني.

21-7-2009
قطة شرودنگر .. الحية الميتة
قطة شرودنگر:تجربة ذهنية قدمها إرڤين شرودنگر ليبين فيها تأثير الوعي الإنساني في عملية الرصد والقياس الفيزيائي خصوصا في الحالات الكمومية.

قطة شرودنگر مفهوم قدمه الفيزيائي النظري الألماني إرڤين شرودنگر، ليشرح من خلاله تصوراً مختلفاً وغريباً في مقالة مطولة شهيرة حول تفسير ميكانيكا الكم.

تخيل شرودنگر تجربة ذهنية تم فيها حبس قطة داخل صندوق مزود بغطاء, وكان مع القطة عداد جيجر وكمية ضئيلة من مادة مشعة بحيث يكون احتمال تحلل ذرة واحدة خلال ساعة واحدة خمسين بالمائة تماما. إذا تحللت ذرة فان عداد جيجر سوف يسجل لحظيا سلسلة من الحوادث يسفر عنها تحرير كمية من حمض الهيدروسيانيك كافية لقتل القطة فوراً. وعندما يحاول الملاحظ توقع ما سيرى عند رفع الغطاء بمنظور ميكانيكا الكم عندما تنقضي الساعة، فإنه لن يستطيع إلا أن يعزى إلى المنظومة كلها -الصندوق ومحتوياته - دالة موجية تصف القطة بأنها في حالتي تراكب متساويتين. أي أن إحتمالات كون القطة ميتة تساوي إحتمالات كونها حية وبما أن ليس هناك مبرر لإهمال أي من الإحتمالين بالتالي فإن القطة تصبح حية وميتة.

موضوع التراكب معروف بالنسبة للذرات، أما بالنسبة للقطة، فإذا نظر ملاحظ خارجي إلى الصندوق بعد إنقضاء الساعة فإنه سيجد إحدى النتيجتين: القطة ميتة، أو حية.

لا توجد ملاحظة فيزيائية معروفة تناظر حالة التراكب، أي أن حالة التراكب ليست حالة مميزة أو ذاتية لأي كمية واقعية يمكن تخيلها ورصدها. ذلك أن الملاحظ مجبر على الإختيار بين حياة أو موت القطة.

23-7-2009
محاولة لإنتصار اليورو .. في بورصة جزيرة كيش
موقع جزيرة كيش
نادي الخليج للشلالات المائية

كيش هي جزيرة سياحية في الخليج العربي. وهي جزء من محافظة هرمزگان بإيران. وبسبب كونها منطقة تجارة حرة فإنها كثيراً ما توصف بأنها جنة المتسوقين, بأسواقها التجارية المتعددة, ومراكز التسوق, عناصر الجذب السياحي, وفنادق الاستجمام. ويقدر عدد سكانها بنحو 20,000 ويزورها 1.5 مليون سائح سنوياً. وجزيرة كيش توصف بأنها ثالث أكثر المدن ذات الطراز الغربي من حيث عدد الزوار في الشرق الأوسط, بعد شرم الشيخ ودبي.

وفي مارس 2008 تم إفتتاح المرحلة الأولى لبورصة النفط الدولية في الجزيرة. وتأتي أهمية بورصة النفط الدولية في الجزيرة إذ لا توجد الآن سوى بورصتين كبيرتين هما نايمكس NYMEX في نيويورك و آيب IPE في لندن حيث النفط هو السلعة الرئيسية المتداولة بالإضافة للمعادن الهامة والتعامل فيهما مقصور على الدولار الأميركي والصفقات التي تعقد فيهما تشكل القاعدة التي تتحرك عليها أسعار تلك السلع كما يدفعها الناس في كل مكان. ويشكل تداول تلك البورصتين جزءاً معتبراً من حجم الطلب على الدولار.

وتنوي إيران إستخدام اليورو في ميزان المدفوعات في سوق البورصة النفطية الدولية في جزيرة كريش وعلى ذلك فإنها تكون البورصة الأولى التي تخرج عن نظام الدفع بالدولار الأمريكي في العالم. وإذا سمح لهذه البورصة أن تنجح فستتحول آلية تسعير النفط إلى قاعدة اليورو ما سيفضي مع الوقت إلى كسر طوق نايمكس وآيب على السوق المالي العالمي وذهاب الدولار إلى التهلكة. بعيد إطلاق بورصة كيش أطلقت دبي بورصة دبي السلعية Dubai Mercantile Exchange لتعمل بالدولار الأمريكي والتي نجحت في اجتذاب نفط عُمان، بعيداً عن بورصة كيش.

18-8-2008
صراعات عرقية .. أم قوى عظمى
موقع اوستيا الجنوبية
مواجهات بين الجيش الروسي والقوات الجورجية

تعد اوستيا الجنوبية من الناحية الواقعية منطقة مستقلة عن جورجيا منذ سقوط الاتحاد السوفيتي في عام 1991. لكن في وقت سابق من هذا العام تعهد الرئيس الجورجي ميخئيل سآكاشفيلي، المنتخب بعد انقلاب الزهور الذي أتى به، باعادتها تحت حكم مركزي. تزامن ذلك مع انتهاء شركات النفط الغربية من إنشاء أول خط أنابيب نفط من آسيا الوسطى لا يمر عبر روسيا، بل يصل للبحر المتوسط عبر جورجيا. ومنذ ذلك الحين تصاعدت حدة التوتر بين القوات الجورجية والقوات الاوستية الجنوبية وهناك مخاوف حاليا من أن يتدهور الوضع بما أنذر بنشوب حرب شاملة. وفى أوائل أغسطس 2008 أرسلت جورجيا جيشها لإخضاع اوستيا الجنوبية بالقوة وضرب الداعين للانفصال بدعوى أن ذوي الأصول الروسية في الإقليم وراء محاولات الانفصال، ما أثار غضب روسيا التي سارعت لإرسال قواتها المحتشدة قرب إقليم أبخازيا – المتمرد أيضا على جورجيا والمنفصل عنها – لتندلع حرب طاحنة انتهت بسيطرة الجيش الروسي على اوستيا الجنوبية وتحطيم آمال جورجيا في استعادة هذا الإقليم قبل أن تنضم لحلف الناتو، والأهم من ذلك توقف خطوط الأنابيب الثلاثة للغاز والنفط المارة عبر جورجيا عن العمل..

وخلال افتتاح قمة الناتو في بوخارست أبريل 2008، وردا على دعوة الرئيس بوش لضم جورجيا و اوكرانيا للحلف ، قال وزير الخارجية الروسي سيرجي لاڤروڤ أن بلاده "لن تقف مكتوفة الأيدي أمام قرار توسيع الحلف باتجاه اوكرانيا وجورجيا، وأن موسكو لن ترد على طريقة طفل صغير تعرض للضرب في المدرسة واكتفى بصفع الباب والذهاب إلى غرفة الصف باكيا"!.

ولهذا تكاد تكون الحرب الروسية الحالية على القوات الجورجية في اوستيا ستار لحرب أخرى – بالوكالة الجورجية – بين روسيا وأمريكا، رغم أنها تأخذ الطابع العرقي بسبب الصراع على ضم منطقتين عرقيتين، وما عجل بها هو سعي روسيا لمد جسور التعاون الاقتصادي والتجاري مع المنطقتين الانفصاليتين عن جورجيا (اوستيا وأبخازيا) من جهة، وسعي جورجيا لحسم مسألة استقرار أراضيها وإنهاء مظاهر التمرد والتوتر في هذه الأقاليم والتي كانت السبب وراء رفض حلف الناتو في قمة بوخارست الأخيرة في أبريل 2008 ضمها للحلف قبل حسم هذه القضايا. كما حذرت روسيا رسميا حلف شمال الأطلسي من التوسع لضم اوكرانيا وجورجيا وتعتبر موسكو ذلك "تعديا على منطقة نفوذها".

13-8-2008
أولمبياد 2008
اللوحة الأولمبية المنصوبة بشارع وانجفوجينج المسمى أيضا بشارع الذهب ، والذي يعد أكثر شارع حداثة وازدهارا ببكين
التشيك تفوز بأول ذهبية في أولمبياد 2008

الألعاب الأولمبية الصيفية 2008 ، أو الدورة 29 للأولمبياد هي دورة للألعاب الأولمبية الصيفية تقام في مدينة بكين الصينية في الفترة من 8 إلى 24 أغسطس وتُقام خلالها 302 مسابقة في 28 نوع من الرياضة يُشارك فيها نحو 10500 رياضي. شرف تنظيم الدورة فازت به بكين في 13 يوليو 2001. يُنظّم الجزء الأكبر من المنافسات الأولمبية في العاصمة بكين، بينما تُقام أنواع أخرى من الرياضات الأولمبية، مثل كرة القدم والقوارب الشراعية والفروسية في مدن أخرى، وذلك لأسباب تنظيمية وإدارية.

تم إيقاد الشعلة الأولمبية في منطقة أولمبيا في أثينا في اليونان في يوم الإثنين 24 مارس 2008 ، و إستغرقت مسيرة الشعلة الأولمبية في العالم خمسة أشهر ، و انتهت في يوم 8 أغسطس 2008 يوم إفتتاح الألعاب الأولمبية ، و أول من حمل الشعلة الأولمبية اليوناني ألكسندروس نيكولايديس الحاصل على الميدالية الفضية في التايكوندو في ألعاب أولمبية صيفية 2004 في أثينا، و قد تخلل مهرجان إيقاد الشعلة الأولمبية بعض مظاهر الإحتجاج على الأحداث التي تحصل في التبت ، في يوم 31 مارس 2008 وصلت الشعلة الأولمبية إلى بكين ، و قد حملها الرئيس الصيني هو جينتاو و سلمها إلى العداء الصيني ليو جيانگ بطل سباقات 110 متر حواجز ، و قد طالب العديد من الناس بمقاطعة الألعاب الأولمبية مثلما حدث في الألعاب الأولمبية الصيفية 1980 في موسكو و الألعاب الأولمبية الصيفية 1984 في لوس أنجلوس، و قالت كوندليزا رايس وزيرة الخارجية الأميركية بأن مقاطعة الألعاب الأولمبية الصيفية 1980 كانت عقيمة ، و قال وزير الخارجية الألماني فرانك فالتر بأن ألمانيا لن تقاطع الألعاب الأولمبية.

11-8-2008
عش الطائر: يستقبل اولمبياد 2008
استاد بكين الوطني يستقبل دورة الألعاب الأولمبية الصيفية 2008.
الشعار الرسمي دورة الألعاب الأولمبية الصيفية 2008.

تجري في 8/8/2008 فعاليات إفتتاح اولمبياد 2008 المقامة في بكين و يستقبلها استاد بكين الوطني ويعرف أيضا بالاستاد الدولي ، ولقب باستاد عش الطائر نظرا للهيكل البنائي الذي يقوم عليه التصميم ويشبه عشر الطائر. وهو عبارة عن استاد للألعاب الرياضية بني في بكين ، الصين ، وذلك لإستضافة الدورة الاوليمبية الصيفية 2008. سعة إستاد بكين الوطني تصل إلى 100 000 متفرج وذلك سيكون قمة الإشغار أثناء عقد الألعاب وسوف تنخفض هذه السعة لتصل إلى 85 000 وذلك بعد إنقضاء الأوليمبياد. ويصل طول إستاد بكين الوطني إلى 330 متر وعرضه إلى 220 متر ، وإرتفاع 69.2 متر. كما تم فرش أرض الإستاد بمساحة 250 000 متر مربع من العشب الأخضر. وتم عمل التصميم الكامل للإستاد بتكلفة 36 كم من الحديد المشغل بما يعادل 45.000 طن من الحديد. وبذلك يصل إجمالي تكاليف الإستاد 3.5 بليون يوان صيني أي حوالي 423 مليون دولار أمريكي ، 325 يورو.

8-8-2008
معـركة رمـانـة: على ضفة قناة السويس، البريطانيون يبيدون جيشاً عثمانياً ألمانيا "لتحرير مصر" عام 1916
القوات البريطانية محتشدة عند واحة اوغراتين.

معركة رمانة هي معركة وقعت في نهاية حملة ترعة السويس الثانية التي شنتها الدولة العثمانية في 27 يوليو 1916 بإرسال آلاي قوامه 18,000 جندي بقيادة جمال باشا والعقيد كريس فون كرسنشتاين. الهدف المعلن للعرب والمسلمين كان تحرير قناة السويس من الإحتلال البريطاني. أما الهدف المعلن مع القوات المركزية (ألمانيا) فكان قطع طرق المواصلات بين بريطانيا ومستعمراتها الآسيوية. وقد منيت بالفشل في معركة رمانة على ضفاف قناة السويس في 3 أغسطس 1916 حيث سقط 9,200 جندي عثماني قتلى.

5-8-2008
نبيلة التونسي .. المرأة الحديدية
المهندسة نبيلة التونسي.

نبيلة التونسي هي مهندسة سعودية في أرامكو السعودية. وتشغل حاليا منصب مديرة قطاع الهندسة في مشروع مصفاة راس تنورة العملاق الذي يبلغ تكلفته 25 بليون دولار وتعتبر أول وأكبر المصافي بالمملكة العربية السعودية حيث أنشئت عام 1949 م ، وقد تدرجت سعتها وقدرتها التكريرية لتصل إلى 525,000 برميل/ي بنهاية التوسعة الكبرى الحالية، لتصبح أكبر مصفاة ب الشرق الأوسط .

وفد اختيرت نبيلة التونسي ضمن قائمة أفضل 25 امرأة ذات أثر فعال في إدارة المشاريع على مستوى العالم لعام 2006 من قبل معهد إدارة المشاريع الأمريكي ، الذي يضم 200 ألف عضو من جميع أنحاء العالم. نبيلة التونسي هي إبنة اللواء مكي التونسي وقد تركت الرياض وهي في السابعة عشر من عمرها إلى الولايات المتحدة وإلتحقت بكلية لويس أند كلارك لدراسة الهندسة الكهربائية. ثم حصلت على الماجستير في علوم الحاسب من جامعة بورتلاند. بدأت نبيلة التونسي عملها في أرامكو السعودية عام 1982 م كمهندسة نظم معلومات بعد حصولها على درجة الماجستير في هندسة الكمبيوتر. وبعد ان نمت معرفتها بأعمال بالشركة، التحقت بقطاع اعمال الهندسة وإدارة المشاريع في شهر مارس من عام 1984م.

1-8-2008
طبيب المتمردين .. خليل إبراهيم
خليل إبراهيم رئيس حركة العدل والمساواة
شعار حركة العدل والمساواة

خليل إبراهيم طبيب سوداني شاء له القدر أن يصبح مجاهدا ومتمردا تقتفي أثره الحكومة السودانية. هو نفس القدر الذي جعله ينشأ في قلب دارفور وعلى الحدود السودانية التشادية ، وإختار خليل إبراهيم أن يدخل مستشفى أم درمان على رأس قواته من دارفور بعد أن كان طبيبا بها.

ورئيس حركة العدل والمساواة الطبيب خليل إبراهيم رئيس ، ولد في قرية الطينة شمالي دارفور على الحدود مع تشاد ، وينتمي لقبيلة الزغاوة نفس القبيلة التي ينتمي إليها الرئيس التشادي ادريس ديبي ويقال ن لديه صلة قرابة دم معه ولذلك يتم اتهامه بانه يلقى الدعم المالي والعسكري من حكومة ديبي وهو ما ظل ينفيه.

بدأ خليل إبراهيم نشاطه السياسي العملي مع حكومة البشير في اوائل التسعينات ، وبعد فترة عمله في مهنة الطب ، تم تعينه وزيراً للصحة في حكومة ولاية دارفور الكبرى ، قبل تقسيمها الى ثلاث ولايات، ثم وزيراً للتعليم ، ونقل الى ولاية النيل الأزرق ـ جنوب شرق السودان ـ مستشاراً في حكومة ولايتها، ونقل كذلك للعمل مع حكومة تنسيق الولايات الجنوبية. وحين حدث الإنشقاق في صفوف الإسلاميين بين الرئيس عمر البشير وبين الترابي ، كان خليل أحد ثمانية من أبناء الحركة الإسلامية الذين انحازوا للترابي. وبحكم العلاقة الوثيقة بينهما ، فإنه دائما ما يرى المراقبون أن خليل يعول على الترابي لكي يكون منبرا في الخرطوم لمطالب الدارفوريين.

ومن أقوال د. خليل التي تلخص مطالب العدل والمساواة: "حركتنا ليست انفصالية ، ونطالب فقط بتوزيع عادل للسلطات والثروات، وليست لدينا مشكلة دين فنحن مسلمون ، وليست لدينا مشكلة هوية ولا قضية عنصرية ، قضيتنا هي قسمة السلطة والثروة بعدالة ومساواة" ، "سنطالب بالانفصال (عن الخرطوم) إذا لم نتوصل إلى اتفاق" ، "حدود دارفور تشمل أم درمان و دنقلا و كوستي والحدود المصرية". ويؤكد خليل أن لـ"شعب دارفور مطالب متواضعة وموضوعية لا هامش للتنازل عنها"، وهي: حكم ذاتي إقليمي ، ونائب لرئيس الجمهورية من أهل دارفور ، ومشاركة في السلطة بحجم سكان الإقليم على مستوى القطر كله، وإذا لم يكن رئيس الجمهورية من دارفور ، يكون محافظ العاصمة القومية من أبناء الإقليم.

30-7-2008
زوينـْـگـْـلي وعقلنة الكنيسة
هولدريخ زوينگلي في بورتريه زيتي سنة 1531 بريشة هانز آسپر; Kunstmuseum وينترثور.

هولدريخ زْوينـْگــْلي (1484-1531) كان أحد زعماء إصلاح الكنيسة. وُلد في زمن بزوغ الحس الوطني السويسري, وقد التحق بجامعة ڤيينا وجامعة بازل, التي كانت مركزاً دراسياً للنزعة الإنسانية. وقد واصل دراساته بينما كان يعمل قساً حيث تأثر بكتابات إرازموس.

دعا زوينگلي لإصلاح الكنيسة. وكان أول جدل يثيره في 1522, عندما هاجم طقس الصوم أثناء الأربعين يوماً Lent السابقة لعيد القيامة. وفي مطبوعاته, كشف فساد الكهنوت الكنسي, ونادى بزواج القساوسة, وهاجم استعمال الصور في أماكن العبادة. وفي 1525, قدَّم زوينگلي قداساً جديداً لتناول القربان المقدس ليستبدل الصلاة. واصطدم زوينگلي كذلك مع الجناح المتطرف من الإصلاح, ونادى إلى لتجريمهم.

وفي 1531 وجه إلى فرانسس الأول رسالة يعبر فيها عن اقتناعه الإرازموسي بأن أي مسيحي سوف يجد عند وصوله إلى الفردوس كثيراً من اليهود والوثنيين الأجلاء، إنه لن يجد آدم وإبراهيم وإسحق وموسى وإشعيا فحسب ... ولكنه سيجد أيضاً هرقل وتيزيوس وسقراط وأرستيد ونوما وكاميلوس وكاتو الكبير والصغير وسيبيو الكبير والصغير، وقال: "وباختصار ليس هناك رجل صالح ولا عقل مقدس ولا روح مخلصة، منذ بداية العالم إلى نهايته، لن نراها هناك مع الله. ماذا يمكن أن نتصور أنه أكثر بهجة للنفس ومسرة الفؤاد وسمواً بالروح من هذا المنظر". وذعر لوثر لهذه الفقرة إلى حد أنه انتهى إلى أن زونجلى لابد أن يكون "وثنياً"، واتفق الأسقف بوسويه في الرأي في هذه المرة مع لوثر، فاستشهد بهذه الفقرة ليثبت أن زوينجلى كافر لا أمل في إستتابته.

في 1531 قام تحالف زوينگلي بفرض حصار فاشل لحظر وصول الطعام إلى الكانتونات الكاثوليكية. تلك الكانتونات ردت بهجوم في لحظة لم تكن زيورخ مستعدة لصده. لقي زوينگلي مصرعه في المعركة عن 47 عاماً. ومازالت ذكراه باقية في الإعترافات والقداس والتعاليم الكنسية في الكنائس الإصلاحية حتى اليوم.

2008-10-13 2008-11-18
سليم الأول نهب المشرق والتفت بنوه غرباً
سليم الأول ياڤوز.
أضاف سليم 60% من أقصى مساحة ودخل للدولة.

سليم الأول ياڤـوز (1470-1520) سلطان الدولة العثمانية استنجد به السلطان الغوري لقتال البرتغاليين، في ديو، بعد أن قطعوا التجارة عن موانئ المسلمين فلم ينجدهم. ولكنه علم بضعف المماليك. فأماطهم عن المشرق العربي الذي شكل 60% من أقصى اتساع للدولة العثمانية. وما زالت غنائمه (من العرب) مضرب أمثال تركية ليومنا هذا. وللأربع قرون التالية استخدم العثمانيين خراج المشرق للتوسع في اوروبا، دون أي إنتباه للعرب (العبيد). فكان منصبا شيخ الإسلام والصدر الأعظم يعطيا لأرمن وصرب اعتنقوا الإسلام لسنوات قليلة.

كان سليم عصبي المزاج ذا شخصية دموية. وكان يتوقع الكثير من مرؤسيه, وقد أعدم العديد من كبار وزرائه (وقد طلب أحد وزرائه مازحاً بإخباره قبل إعدامه بفترة, حتى يرتب أموره, وقد رد سليم على ذلك بأنه في الواقع كان يفكر لمدة من الوقت في إعدامه إلا أنه لم يجد بعد البديل المناسب, ولكنه وعده بإخباره بمجرد العثور على البديل.).

هناك مأثورة شهيرة مفادها أن سليم قد ملأ الخزينة الملكية حتى اتخمت ثم أقفلها بختمه الشخصي. ثم أصدر قراراً إذا استطاع شخصاً أن يملأ الخزينة أكثر من ذلك, فبإمكانه أن يقفلها بختمه (بدلأ من ختم سليم)." الخزينة ظلت مغلقة بختم سليم حتى انهيار الدولة العثمانية بعد 400 سنة.

وكان سليم أيضاً شاعراً متميزاً بكل من التركية والفارسية وكان يقرض الشعر تحت الاسم المستعار مـَهـْلـَس سليمي; ومازالت مجموعة من أشعاره بالفارسية باقية حتى اليوم. في أحد هذه القصائد كتب يقول;

إن سجادة تكفي صوفيـَين اثنين, ولكن العالَم كله لا يكفي لملكين.

— ياووز سلطان سليم
2008-09-14 2008-11-18
نظام تحديد المواقع العالمي
مثال بصري لكوكبة ن ت ع GPS متحركين والأرض تدور. لاحظ كيف أن عدد السواتل التي ترى نقطة معينةعلى سطح الأرض, في هذا المثال 45°N, تتغير مع الوقت.
أحد مستقبلات ن ت ع في هاتف محمول.

أو نظام التموقع العالمي ويرمز له بالرمز ن ت ع أو GPS ، هو نظام سواتل الملاحة العالمية الوحيد الذي تعمل كافة وظائفه. ويستخدم كوكبة من ما لا يقل عن 24 ساتل ذوي مدار أرضي متوسط ينقلون اشارات ميكرو ويڤ دقيقة, يمكـّن هذا النظام ، مستقبل ن.ت.ع من تحديد موقعه, سرعته, اتجاهه, والوقت.

وقد أنشأت وزارة الدفاع الأمريكية نظام لتحديد المواقع تحت المسمى الرسمي NAVSTAR GPS وتدار مجموعة السواتل عن طريق القوات الجوية الأمريكية. ثمن صيانة النظام هو حوالي US$750 مليون دولار في السنة, بما فيه استبدال السواتل الهرمة, والأبحاث والتطوير.

بعد إسقاط رحلة الخطوط الجوية الكورية رقم 007 عام 1983, أصدر الرئيس رونالد ريگان أمراً بإتاحة النظام مجاناً للإستعمالات المدنية. منذ ذلك الحين, أصبحت نظم تحديد المواقع مستعملة على نطاق واسع كمساعد للملاحة في جميع أنجاء العالم, وكأداة مفيدة لعمل الخرائط, ولمساحة الأراضي, والتجارة, والاستخدامات العلمية. ن ت ع GPS تعطي مرجعاً زمنياً دقيقاً يـُستعمل في تطبيقات عديدة منها الدراسة العلمية للزلازل, وتزامن شبكات الاتصالات.

2008-10-13 2008-11-18
أرخميدس
"لا تفسدوا دوائري" - مصرع أرخميدس

أرخميدس (باليونانية: Αρχιμήδης) ولد سنة 287 ق.م.، في سيراقوسة بصقلية) ويعتبر أحد أهم مفكّري العصر القديم، وقد صاغ نظرتنا إلى الفيزياء.

توفي أرخميدس ح. 212 ق.م. أثناء الحرب البونيقية الثانية, عندما استولت القوات الرومانية تحت قيادة الجنرال ماركوس كلاوديوس مرسلوس بالإستيلاء على مدينة سيراقوسة بعد حصار دام سنتين. وحسب قصة شهيرة يرويها پلوتارخ, فإن أرخميدس كان يقوم بحل مشكلة رياضية هندسية عندما تم الاستيلاء على المدينة. أتاه جندي روماني يأمره بالحضور للقاء جنرال مرسلوس إلا أن أرخميدس رفض, قائلاً أن عليه أن ينتهي من المسألة الرياضية أولاً. الجندي غضب من ذلك وقتله بالسيف. پلوتارخ يعطي كذلك رواية أخرى أقل شهرة عن مقتل أرخميدس، وتقول تلك الرواية أن أرخميدس قد يكون قد قـُتل بينما كان يحاول الاستسلام للجندي الروماني. وحسب تلك الرواية, فأرخميدس كان يحمل أدواتاً هندسية, وقتله الجندي ظناً منه أنه يحاول الفرار بأشياء ثمينة. ويروى أن الجنرال مرسلوس غضب لمصرع أرخميدس, إذ أنه قد أمر مسبقاً ألا يؤذى.

آخر كلمات تُنسب لأرخميدس "لا تفسدوا دوائري" (باليونانية: μή μου τούς κύκλους τάραττε), في إشارة إلى الدوائر التي كان يرسمها أثناء حله للمشكلة الرياضية حين دخل عليه الجندي الروماني. هذا القول صار مأثوراً باللاتينية: "Noli turbare circulos meos", ويقال للمنشغل عن أمر جلل. إلا أنه ليس هنالك من دليل على أن أرخميدس قال تلك الكلمات حسب رواية پلوتارخ.

2008-10-13 2008-11-18
رئيس أركان ح. تركيا الجديد، يهودي أم مجرد سياسي حاذق؟
إلكر باشبوغ يصلي لدى حائط المبكى
باشبوغ (يمين) مع سلفه بويوك أنيت.

الجنرال إلكر باشبوغ (1943) هو رئيس الأركان رقم 26، للقوات المسلحة التركية, منذ 28 أغسطس 2008، خلفاً ليشار بويوك أنيت. وقد حذر في خطاب توليه رئاسة أركان حرب تركيا بتحذير من تصاعد التدين. ويأتي هذا التحذير في غمار التحقيق في شبكة إرگنقون المكونة من جنرالات متقاعدين وهي متهمة بالعمل على زعزعة الأمن بالقيام والتخطيط بالعديد من التفجيرات والإغتيالات.

وقد اثار باشبوغ جدلاً كبيراً عندما نشرت جريدة وقت Vakit المحافظة صورة له وهو يصلي أمام حائط المبكى بالقدس, مدعية أنه قد يكون من أصل يهودي. إلا أنه بعد بضعة أيام, نشرت جريدة حريات اليومية الكمالية صورة أخرى له وهو يزور المسجد الأقصى.

2008-10-13 2008-11-18
مصطفى السيد أول عربي يحصل على الوسام الوطني للعلوم بأمريكا
الدكتور مصطفى عمرو السيد
الدكتور السيد مع طالبين.

مصطفى عمرو السيد عالم فيزياء كيميائية مصري-أمريكي, وأحد رواد علم النانوية, وعضو الأكاديمية الوطنية للعلوم والحائز على الميدالية الوطنية للعلم. واشتهر أيضاً بقاعدة في spectroscopy سـُميـَّت باسمه, قاعدة السيد El-Sayed rule.

ويعد الدكتور السيد واحدا من أبرز علماء العالم في مجال تطبيقات الوسائل الطيفية الجزئية وتقنيات الليزر الحديثة لدراسة التحولات الحركية في الجزيئات الكيماوية والمجموعات الذرية الغازية والأجسام الصلبة والأنظمة الحيوية ، وتحولات الطاقة في مختلف الأنظمة الضوء-كيماوية. وهو في طليعة الباحثين في علوم التكنولوجيا الدقيقة "النانو"، وقد اشتهر بقانون التنظير الطيفي المسمى "قاعدة السيد" كما قام مع فريقه بتطوير تقنيات جديدة للتنظير الطيفي واستخدام أمواج فائقة السرعة من أشعة الليزر لدراسة الخواص الكيميائية والفيزيائية للمواد على مستوى النانو والاستفادة من ذلك في مجالات علمية وطبية مختلفة أبرزها معالجة السرطان باستخدام مركبات الذهب الدقيقة.

كرم الرئيس الأميركي جورج بوش ثمانية من العلماء الأميركيين بمنحهم أوسمة لإسهاماتهم وإنجازاتهم العلمية والتكنولوجية لصالح البشرية. ومن بين الذين تلقوا الأوسمة في حفل خاص أقيم في البيت الأبيض يوم الاثنين العالم الأميركي-المصري مصطفى عمرو السيد ، الذي تلقى قلادة العلوم القومية الأميركية ، وهي أعلى وسام علمي تمنحه الولايات المتحدة للعلماء. وقالت حيثيات منحه الوسام القومي للتكنولوجيا والإبداع لعام 2007 ، وهو أعلى وسام علمي في الولايات المتحدة ، إنه يأتي تقديرا لإسهاماته في التعرف على وفهم الخصائص الإلكترونية والبصرية للمواد النانوية وتطبيقها في التحفيز النانوي والطب النانوي ولجهوده الإنسانية للتبادل بين الدول ولدوره في تطوير قيادات علوم المستقبل. ويرشح لهذه الجائزة التي تمنح سنويا في مختلف مجالات العلوم ثمانية من العلماء الأميركيين. والدكتور مصطفى السيد هو أول عالم أميركي من أصل عربي مصري يحصل على هذا الوسام في الولايات المتحدة.

2008-10-13 2008-11-18
ألپ أرسلان يأسر الإمبراطور رومانوس
.

معركة ملاذ كرد (463هـ/1071م) بين جيش السلاجقة المسلمين بقيادة السلطان ألپ أرسلان والروم بقيادة إمبراطورها رومانوس الرابع, هُزم الروم شر هزيمة وكانت هذة هي البداية انتهاء الدولة الرومية واندحارها.

عندما اُحضـِر الامبراطور رومانوس الرابع إلى ألپ أرسلان, لم يصدق أرسلان أن الرجل الجريح ذو الملابس الممزقة المغطى بالوحل هو امبراطور الروم القوي.[5] وبعد تأكده من أن الأسير هو الامبراطور, نقلت عدة مصادر الحوار الشهير التالي الذي دار بينهما:

ألپ أرسلان: "ماذا كنت ستفعل لو أحضروني أسيراً إليك؟"
رومانوس: "ربما كنت سأقتلك, أو أعرضك في شوارع القسطنطينية."
ألپ أرسلان: "عقوبتي ستكون أشد قسوة. سأعفو عنك, وأطلق سراحك."

وبعد أن وضع السلطان السلجوقي حذاءه على رقبة الإمبراطور وأجبره على تقبيل الأرض, عامله برفق ملحوظ وأعاد عرض شروط السلام نفسها التي عرضها عليه قبل المعركة.

ظل رومانوس أسيراً لدى السلطان لمدة أسبوع. خلاله, كان يتناول الطعام على مائدة السلطان بينما كان التفاوض يجري حول تنازل البيزنطيين عن أنطاكية, إدسـّا, هيراپوليس و ملاذ كرد. ولم تمس التنازلات قلب الأناضول الهام للبيزنطيين. طلب ألپ أرسلان فدية قدرها 10 مليون قطعة ذهب للإفراج عن الامبراطور، الذي اعتراض على فداحة المبلغ. فخفض السلطان المبلغ إلى فدية فورية قدرها 1.5 مليون قطعة ذهب يتبعها مبلغ سنوي قدره 360,000 قطعة ذهبية. وأخيراً, يزوج رومانوس احدى بناته للسلطان. وبعد ذلك أعطى السلطان الامبراطور العديد من الهدايا وسمح له بالعودة برفقة أميرين ومئة مملوك إلى القسطنطينية.

وبـُعيد عودته إلى رعيته, وجد رومانوس حكمه في أزمة خطيرة. وبالرغم من محاولاته لحشد قوات موالية له, فقد هـُزِم ثلاث مرات في معارك ضد أسرة دوكاس وخـُلِع عن العرش, وثـُمِلت عيناه ونـُفـِي إلى جزيرة پروتي; وبعد ذلك بفترة وجيزة, توفي نتيجة الإصابة أثناء العملية الوحشية لثمل عينيه. وآخر مرة شاهد فيها رومانوس قلب الأناضول الذي أمضى حياته مدافعاً عنه كانت مهينة له إذ وُضـِع على حمار مشوه الوجه لإهانته.

2008-10-13 2008-11-18
العهدة الشريفة .. ورحلتها إلى تركيا
نقش على غطاء لقبر رسول الله.
زمزمية من الجلد استعملت اثناء استعادة قبر الرسول الكريم.

أثر النبي أو العهدة الشريفة هي بمتعلقات شخصية للرسول Mohamed peace be upon him.svg ، احتفظت بها مصر في مسجد أثر النبي بساحل أثر النبي بجنوب القاهرة. وقد ظلت المتعلقات في هذا القصر حتى وقع الفتح العثماني عام 1517 حين هزم السلطانُ العثماني سليم الأول السلطان المملوكي قانصوه الغوري وقتله في معركة مرج دابق ثم أعدم طومان باي إثر معركة الريدانية ودخل القاهرة وأسر المتوكل الثالث، خليفة المسلمين، وأخذه إلى اسطنبول ومعه كل أثر النبي.

وفي اسطنبول ، وافق المتوكل على الله على أن يتنازل عند موته للسلطان العثماني عن لقب "خليفة المسلمين" ومعه آثار الرسول ومنها سيفه وبـُردته.

وبموت المتوكل عام 1534، انتقلت الخلافة الإسلامية إلى العثمانيين لتمكث في دولتهم حتى 1924 . وقد خصص العثمانيون القصر الثالث في قصر طوپ قپو لعرض المتعلقات، ومازالت هناك حتى اليوم.

2008-10-14 2008-11-18
مؤسس ماليزيا وُلـِد تحت كذبة
تونكو عبد الرحمن.

تونكو عبد الرحمن پوترا الحاج بن المرحوم سلطان عبد الحميد حليم شاه وكذلك يـُدعى باپا كـِمـِردِكآن (أبو الإستقلال) أو باپا ماليزيا (أبو ماليزيا), كان كبير الوزراء لاتحاد ماليزيا من 1955, وأول رئيس وزراء للبلاد منذ الإستقلال في 1957. وقد ظل رئيساً للوزراء بعد انضمام كل من صباح وسرواك وسنغافورة في 1963 ليشكلوا ماليزيا.

وُلِد عام 1903 في إستانا پلامين, ألور ستار, قدح, عبد الرحمن كان الابن الرابع عشر والطفل العشرين للسلطان عبد الحميد حليم شاه, سلطان قدح الرابع وعشرين. أمه, چيك منجالارا, كانت الزوجة السادسة للسلطان وابنة النبيل السيامي, لوانگ نارابوريراك (كـْلـِب), وهو ضابط إقليمي أثناء حكم الملك راما الخامس من تايلاند.

ومن كل رؤساء الوزراء, يتميز تونكو بقصة ولادة هي الأكثر إثارة. ففي عام 1902, تم الكشف عن أن حامل الختم السلطاني أساء استخدام الثقة التي انيطت به وباع أراضي الدولة لمصلحته الشخصية. لذا كان على السلطان أن يفكر في العقاب الملائم، فقرر إعدامه، كما قرر أن يـُبتر إبهام كل من زوجة المختلس وكل طفل من أطفاله، حتى يـُنبذوا بقية حياتهم.

أسرعت زوجة حامل الختم إلى منجالارا, الزوجة المحظية للسلطان وتوسلت لها أن تشفع لها. منجالارا, متبعة غريزة الأمومة, وافقت على التدخل. فطلبت لقاءً مع زوجها السلطان وأخبرته أنها حامل مرة أخرى, إلا أنها تخاف أن يلحق بوليدها سوءاً إذا ما نفذ السلطان العقوبة بحامل الختم وأسرته.

منجالارا كانت امرأة ذكية ماهرة. وهناك تطير لدى الملايو من قيام الزوج بأي شرور أثناء حمل الزوجة, خوفاً من أن تحل روح شريرة جسد الجنين في رحم أمه.

السلطان عبد الحميد غمرته السعادة بأن زوجته ستهديه طفلاً آخر، وكان مهتماً بألا يحيق بالوليد أي ضرر أو سوء طالع، لذا فقد أمر بحبس حامل الختم بدلاً من إعدامه وألغى عقوبة الأسرة.

إلا أن الحقيقة, كانت أن منجالارا لم تكن حاملاً في ذلك الوقت. ولكنها حملت بعد ذلك بفترة قصيرة, والوليد كان هو عبد الرحمن الذي كان يحب أن يقول طيلة حياته أنه “وُلـِد بكذبة”.

2008-10-14 2008-11-18
مشروع احتجاز ثاني أكسيد الكربون في عين صالح
مشروع إحتجاز ثاني أكسيد الكربون في عين صالح

مشروع احتجاز ثاني أكسيد الكربون في عين صالح هو أكبر مشروع تطوير غاز طبيعي في الجزائر، وأضخم مشروع احتجاز ثاني أكسيد الكربون في العالم. ويتضمن المشروع تطوير احتياطيات غاز تـُقدّر بنحو 200 بليون متر مكعب من الغاز الجاف في جنوب وسط الجزائر. "غاز عين صالح" هو شركة مشتركة بين ب پ وسوناطراك, شركة النفط والغاز الحكومية الجزائرية وستاتويل. المشروع يتضمن: الضغط; فصل ك أ2 ثم إعادة حقنه; وبناء قدرات لتثبيت المكثـَفات في أربع مواقع ضمن حقول الغاز البالغ مساحتها 23,000 كم2 في الصحراء الكبرى. من كريشبة Krechba, أقصى الأجزاء شمالاً في حقول غاز عين صالح حيث يـُخـّزَّن ك أ2, يـُنقـَل الغاز في خط أنابيب يبلغ طوله 455 كم إلى حاسي الرمل ثم يـُصـَدّر عبر إيطاليا إلى الأسواق الاوروبية.

وقد تعدت تكلفة مشروع عين صالح مبلغ 2.5 بليون دولار وهو أول عملية تخزين ك أ2 في خزان غاز منتج. ويجري المشروع في ظروق صحراوية قاسية، إذ تتعدى درجة حرارة السطح في الكثير من الأيام 60 درجة مئوية ودرجة حرارة الجو تكون في أعالي 50 درجة مئوية, وأقرب بنية تحتية للعمران تبعد نحو 500 كم. مما دفع العاملين في الشروع للعمل بين الغروب والفجر.

2008-10-22 2008-11-18
إحترس من .. ضيفك الصامت
الوجبات السريعة .
.

الدهن التقابلي هو ضيفنا الصامت المتخفي الذي نراه عند شربنا لقهوة الصباح ونرحب به ظهرا على موائدنا ونوثق صلته بأولادنا عندما نصاحبهم لتناول أحد الوجبات السريعة. من منا لم يرى عبارة خالي من الكوليسترول ؟ وفرح بذلك ، أو يحتوي على زيوت مهدرجة؟ ولم يعرها إنتباها .. الكثير .. حسنا هذه هي علامة الخطر ، فالأطعمة التي تحتوي على تلك الزيوت المهدرجة أو ما تسمى الدهون التقابلية هي الخطر الذي يتجول بيننا دون أن ندري ، وهو نوع من أنواع الدهون الغير مشبعة يوجد في بعض الأغذية لكن بنسبة طبيعية لا تدعو للخطر ويصنع عن طريق هدرجة الزيوت النباتية وتدخل في العديد من المنتجات الغذائية مثل مبيضات القهوة ، الخبز بجميع أنواع ، البطاطس المقلية ، معظم الوجبات السريعة ، الكعك ، البسكويت ، وغيرها من المنتجات التي نستعملها بشكل يومي ويدخل في صنعها هذا النوع من الدهن نظرا لإنخفاض سعره عن الزيوت النباتية البكر ، وكذلك لأنه يزيد من مدة الصلاحية للمنتجات المصنوعة منه. وفي حقيقة الأمر فإن هذا النوع من الدهون الغير مشبعة سببا للكثير من الأمراض القاتلة مثل السرطان ، مرض السكر ، السمنة ، إختلال وظائف الكبد ، العقم ، ويعد مسبب رئيسي لأمراض شرايين القلب.

ويوجد بدائل كثير يمكن أن محل الدهن التقابلي ، منها البدائل الحيوانية مثل السمن والزبد والقشدة ، والنباتية وتتمثل في زيوت الذرة ، عباد الشمس ، بذرة القطن ، زيت النخيل و زيت الزيتون.

وقد إتجهت الكثير من الدول لفرض حظر على إستخدام تلك الأنواع من الدهون التقابلية ، ومنها الدنمارك و المملكة المتحدة و الولايات المتحدة الأمريكية ، وتم إستبدال تلك الدهون بأنواع أخرى أقل خطرا وهناك من الدول من فرض تقنين لإستخدام كميات الدهون التقابلية وخلطها مع الدهون البديلة بنسبة صحية غير ضارة. وكذلك نجد الكثير من سلاسل المطاعم العالمية المتخصصة في تقديم الوجبات السريعة تسير في نفس الإتجاه وتعلن عن ذلك في مطاعمها أو بواسطة ملصقات على المنتج نفسه لضمان خلوه من الدهون التقابلية الغير مشبعة.

2008-11-18
جاك فيلبي

هاري سانت جون بريدجر فيلبي Harry St. John Bridger Philby (و.3 ابريل 1885 - 30 سبتمبر 1960)، ويعرف أيضاً بجاك فيلبي أو الشيخ عبد الله، هو مستعرب، مستكشف، كاتب، وعميل مخابرات بمكتب المستعمرات البريطاني. لعب دوراً محورياً في ازاحة العثمانيين عن المشرق العربي ثم قام بإنشاء الدول المعاصرة فيه, وخاصة السعودية والعراق والأردن وإسرائيل. أعلن إسلامه وخطب الجمعة في الحرم المكي عن فضائل آل سعود على الهاشميين. خلق أرامكو. يبدو أنه غير ولاءه من بريطانيا إلى الولايات المتحدة في ثلاثينات القرن العشرين, مما دفع المخابرات البريطانية والروسية للتجسس عليه لدوره المحوري في المشرق العربي بتجنيد ابنه كيم وغيره. ارتقى ابنه سلم المناصب في المخابرات الريطانية حتى رشح رسمياً لرئاستها عام 1963, وعندها انكشف أنه عميل للسوڤييت كانت فضيحة مدوية. ويعد فيلبي أحد الأشخاص شديدي التأثير على تشكيل تاريخ العرب الحديث بالرغم من قلة ذكر اسمه.

خطة فيلبي

في مقابلة في فبراير 1939 في لندن مع بن گوريون ووايزمان، عرض فيلبي موافقة السعودية على رفع كبير لمستوى الهجرة اليهودية إلى فلسطين إذا وافق المسئولان اليهوديان على دعم فيصل بن عبد العزيز كملك لفلسطين. بعد عدة شهور, مصحوباً بمسئول الخارجية السعودية, فؤاد بك حمزة, اقترح فيلبي على وايزمان وموشيه شرتوك (لاحقاً شاريت) أن يدفعوا لابن سعود مبلغ 20 مليون جنيه استرليني لاستخدامها في إعادة توطين عرب فلسطين (في مكان آخر). وايزمان قال أنه سيبحث الخطة مع الرئيس روزڤلت. كيم فيلبي أيضاً كان حاضراً تلك المقابلة.

حسب فيلبي فإن القيادة الصهيونية قبلت "خطة فيلبي" في مطلع اكتوبر. إلا أنه بسبب الوضع الخاص للملكة العربية السعودية كمقر الحرمين الشريفين, فإن الخطة تم تكذيبها عندما سرّبها فيلبي. الموضوع لم يبحث بعد ذلك لمدة ثلاث سنوات.

2008-11-18 2009-03-04
مصطلح "الشرق الأوسط"
الشرق الأوسط مصطلح له العديد من التعريفات والحدود
ألفريد ثاير ماهان

الشرق الأوسط هو مصطلح قد يكون تم صكه في عقد 1850 في مكتب الهند البريطاني ثم أصبح أكثر استعمالاً عندما استخدمه الاستراتيجي البحري الأمريكي ألفريد ثاير ماهان أثناء ذلك الوقت، كانت الامبراطوريتان البريطانية والروسية تتصارعان على النفوذ في وسط آسيا, ذلك التنافس الذي صار معروفاً باسم اللعبة الكبرى. استوعب ماهان ليس فقط الأهمية الاستراتيجية للمنطقة, بل أيضاً أن مركزها هو الخليج العربي. فقد أطلق على المنطقة المحيطة بالخليج العربي اسم "الشرق الأوسط", وقد قال أنها بعد قناة السويس, هي أهم ممر يجب أن تسيطر عليه بريطانيا لتمنع الروس من التقدم نحو الهند.

الشرق الأوسط, لو كان بإمكاني اتخاذ مصطلح لم أره من قبل, سيحتاج في يوم ما مالطاه, وكذلك جبل طارقه; ولا يعني ذلك أن أحداهما سيكون في الخليج العربي . وللقوة البحرية ميزة القدرة على الحركة التي تحمل معها امتياز الغياب المؤقت; ولكن يجب عليها أن تعثر في كل مسرح عمليات قواعد ثابتة للتجهيز, والإمداد, وفي حالة الكوارث, الأمن. ويجب على البحرية البريطانية أن يكون لديها القدرة على تركيز قواتها عند الحاجة, حوالي عدن, الهند, والخليج العربي.[6]

مقالة ماهان اُعيد طبعها في The Times وتبعها في اكتوبر بسلسلة من 20 مقالة بعنوان "مسألة الشرق الأوسط," بقلم السير إيگناتيوس ڤالنتاين كايرول. أثناء تلك السلسلة, وسـَّع كايرول تعريف "الشرق الأوسط" ليتضمن "ليتضمن تلك المناطق من آسيا التي تمتد إلى حدود الهند وتلك التي تتحكم في المداخل إلى الهند."[7] وبانتهاء السلسلة في 1903, جريدة التايمز أزالت علامات التنصيص من حول الاستخدامات اللاحقة للتعبير.[8]

وحتى الحرب العالمية الثانية, كان من المعتاد الإشارة إلى المناطق حول تركيا والساحل الشرقي للبحر المتوسط باسم "الشرق الأدني," بينما تركز "الشرق الأقصى" حول الصين. وكان الشرق الأوسط في ذلك الوقت يعني المنطقة من بلاد الرافدين إلى بورما, أي المنطقة بين الشرق الأدني والشرق الأقصى. مسرح العمليات الموصوف في هذه المقالة تحوَّر أثناء الحرب, ربما بتأثير الفكرة القديمة عن كون البحر المتوسط هو حقاً "البحر الذي هو في الوسط".

2008-11-18
شعوب "الهاوسا"
أحد عازفي موسيقى من قبائل الهاوسا الأفريقية

الهاوسا ، هي شعوب تعيش في مناطق غرب أفريقيا في شمال نيجيريا وجنوب غرب النيجر. ويوجد جماعات تابعة للهاوسا أيضا في السودان, الكاميرون, غانا, ساحل العاج, و تشاد ويوجد مجتمعات صغيرة لهم في غرب أفريقيا. وقد إنتقلت جماعات كبيرة من الهوسا إلى المدن الساحلية في غرب أفريقيا مثل لاجوس, أكرا, كماسي و كوتونو, ولبعض الدول مثل ليبيا. تتجمع قبائل الهوسا في قرى صغيرة تعيش على الزراعة التربية الماشية. ويتحدثون لغة الهاوسا, وهي واحدة من مجموعة اللغة التشادية, والتي تنحدر من عائلة اللغة الأفرو-آسيوية. وتعتبر الهوسا أكبر التجمعات العرقية النيجيرية إذ تبلغ نسبتهم حسب بعض التقديرات ربع سكان البلاد. وقد دخل أبناء هذه القبيلة الدين الإسلامي أفواجا منذ عهود قديمة، وتقدر نسبة المسلمين بينهم بـ98%.

يمارس الهوسا الزراعة ويستقرون في حواضر من أبرزها مدينة كانو شمال نيجيريا والتي ظلت منذ عشرة قرون مركزا للإشعاع الإسلامي والثقافة العربية، وكذلك سوكوتو و كامينا و كادونا و عبادان. وقد تمازجت معهم عن طريق المصاهرات والمساكنات مجموعات عرقية أخرى مثل الفولاني المشهورة بممارسة نشاط الرعي والحل والترحال خلف قطعان البقر. ويقدر تعداد الهوسا بحوالي 20 مليون نسمة، أما قبيلة الفولاني المتصاهرة معها فيقدر أفرادها بخمسة ملايين.

2008-12-1
أزمة المسلمين في الهند
المسلمون في الهند.

الإسلام في الهند هو ثاني أكثر الديانات إنتشارا بعد الهندوسية. ويوجد في الهند تقريبا حوالي 154 مليون مسلم من إجمالي عدد سكان الهندي الذي قدر في 2008 بحوالي 1.147.995.904 نسمة. وينتشر المسلمون في جميع أنحاء الهند لا سيما في مدن الشمال التي يمثل المسلمون ما يقرب من ثلثي سكانها. بالإضافة إلى جامو وكشمير وجزيرة لاكشاد دويب التي يمثل المسلمون نحو ثلثي سكانها، في حين يعيش ما يقرب من ربع مسلمي الهند في ولاية اوتار پرادش.

وحسب تقرير حكومي نـُشر في 2006 ، يسمى تقرير سچار، يعاني المسلمون نقص نسبي حاد في تمثيلهم في مختلف مناطق الحكومة والمجتمع.[9][10][11] وبين الحقائق الأخرى، اكتشفت اللجنة أنه في ولاية غرب البنغال ، حيث يشكل المسلمون 27% من السكان، فإنهم يشغلون أقل من 3% من الوظائف الحكومية.

وقد أثار تقرير سچار ردود فعل شديدة من وسائل الإعلام الهندية، بما فيها اتهامات للجنة الحكومية بالتحيز لصالح المسلمين.[12] وقد أشار التقرير أن المسئولية عن الحاضر الحالك للمسلمين في الهند تقع بالكامل على عاتق كل من الحركات الهندوسية وحزب المؤتمر. وقد أشار منتقدو التقرير إلى أنه يشجع "الفصل العاطفي (بين المسلمين والهندوس) الأمر الذي لن يمكـِّن المسلمين من المشاركة في المعجزة الهندية".[13]ويـُتهم التقرير بإساءة تفسير البيانات والأرقام، والتحيز و"إساءة تفسير التفاوت بين المسلمين والهندوس".[14] وكذلك انتقد زعماء حزب بهاراتيا جناتا تقرير سچار، لكونه "مشوه، ذا دوافع سياسية وخطير"، كما أشاروا إلى أن اقتراحات نظام حاص لإعطاء الملسمين حقوقهم special reservation سيأذي الدولة ككل, وانتقدوا موافقهة حكومة التحالف التقدمي المتحد على توصيات التقرير لكونها انتقاد ضمني لجهود حكومات BJP السابقة لمساعدة المجتمعات الإسلامية.[15][16] زعيم BJP مورلي مانوهار جوشي قال أن نبرة وملمس لجنة سچار لهما تشابه أخاذ مع رابطة المسلمين في عصر ما قبل استقلال الهند. للأسف، فالحكومة تتبع بلاعقلانية سياسة غوغائية عمياء، تهدد بانقسام الأمة."[15]

2008-12-1
ثرثرة حول گـِنجي
قصة گـِنجي من الأدب الياباني

گـِنجي مونوگاتاري (源氏物語) هي رواية يابانية كتبت عام 1021، ويعتبرها الكثيرون أول رواية في تاريخ البشرية والأشهر على الإطلاق في الأدب الياباني. صاحبة الرواية "موراساكي شيكيبو" (紫 式部) (و.973-1025 م.) عاشت أثناء فترة هـِيـْآن التاريخية.

تدور أحداث القصة حول شخصية "هيكارو نو گـِنجي" (光の源氏)، و حسب الرواية دائماً هذا الشخص من النبلاء وينتمي إلى عائلة "ميناموتو". رغم أنه ابن أحد الأباطرة إلا أنه ولأسباب سياسية، تم إبعاده من البلاط ثم أسندت إليه مهام إدارية. تبدأ القصة في سرد الأحداث الرومانسية التي يتعرض لها البطل، كما تصور العادات و التقاليد السائدة آنذاك.

تبدو الرواية و كأنها كتبت بأسلوب خاص لم بعهد من قبل ، و لعل السبب في ذلك راجع لكون الرواية أوجدت لمهمة خاصة، و هي تسلية نساء البلاط، و قد تجلت لأول مرة كل عناصر الرواية الحقيقية في هذه القصة، الأحداث المتتالية في إطار زمني ثم الراوي الذي يشرح هذه الأحداث. شخصيات الرواية ليس لهم أسماء شخصية، بل يشار لكل منهم بوظيفته (مثل وزير اليسار) أو لقبها الرسمي (مثل "جليسة الامبراطورة").|

2008-12-16
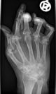
الرومـاتوتـيد
يد عليها أعراض مرض الروماتويد
أشعة اكس على يد مصابة بالروماتويد

التهاب المفاصل الرثياني أو الروماتويد Rheumatoid arthritis (RA) ، هو أحد الالتهابات المزمنة التي تنشأ من خلل في الجهاز المناعي للجسم، وتصيب الأغشية المبطنة للمفاصل ، خاصة المفاصل الصغيرة مثل مفاصل اليدين و الرسغين ، وفي الحالات المتأخرة قد يزيد الوضع ويتفاقم ليحدث تلفاً تدريجياً للمفاصل واعوجاجاً وتشوهاً في بعضها. هذا المرض يصيب الإناث أكثر من الذكور والسبب الأساسي غير معروف ولكن هناك دراسات تشير إلى عمل جهاز المناعة ضد أنسجة الجسم من ضمنها المفاصل.

ويتميز مرض الروماتويد بأنه يبدأ تدريجياً بتيبس والتهاب مفاصل اليدين والساقين في الصباح الباكر، ثم يلاحظ انحراف في مسار اليد عكس الجسم مع خلع في مفاصل اليد، ووجود بثور على سطح الجلد للساقين بنسبة 20%، مع الآم متواصلة، خاصة أثناء النوم وفقدان حركة المفصل، وأخيراً إصابة المفاصل في أنحاء متفرقة من الجسم بتشوهات مثل مفاصل اليدين والركبتين والكاحلين والرقبة والحوض.

ويتم التأكد من التشخيص بعمل فحص للدم والذي يشير هنا إلى ارتفاع في نسبة ترسب الدم ESR ووجود عامل الروماتويد RF وكذلك وجود سي ـ ر ـ بروتين CRP وكذلك عمل أشعة سينية وهي توضح هنا تغيرات في المفاصل مثل تآكل المفاصل وتشوهها وهشاشة العظام.

أماالعلاج فيبدأ تحفظياً بإعطاء المريض المسكنات ومضادات الالتهابات الخاصة بالروماتيود، إضافة إلى العلاج الطبيعي بصفة مستمرة مع عمل تمارين على أداء الأعمال اليومية، ولبس ساندات خاصة بالروماتويد للمساعدة على منع ازدياد التشوهات وعلى أداء عمل المفاصل.

ويجب التعامل مع هذا المرض مبكراً منذ بداية اكتشافه وبأكثر من دواء في نفس الوقت مثل أقراص الميثوتركسات وأدوية الملاريا والكورتيزون الذي يجب أن يستخدم بإشراف الطبيب وبطريقة حذرة ومقننة. وأخيراً العلاج الجراحي للحالات المستعصية ومنها زراعة المفاصل.

2008-12-16
الأزمة المالية العالمية 2008 .. إلى أين؟
Money market fund.png

الأزمة المالية العالمية 2008 2008, وتعرف أيضا بإنهيار سوق الأوراق المالية 2008, وهي أزمة مالية كبيرة, وتعتبر الأسوء من نوعها منذ أزمة الكساد الكبير, والتي لا تزال مستمرة إلى ديسمبر 2008. وقد بدأت في الظهور في شهر سبتمبر 2008 بإنهيار, وتعثر عدد كبير من شركات مقرها الولايات المتحدة الأمريكية. والأسباب الكامنة التي أدت إلى هذه الأزمة قد تم الإعلان عنها في مجلات أعمال من عدة شهور قبل شهر سبتمبر, مع التركيز على البنوك الإستثمارية الرائدة وشركات التأمين وبنوك الرهن العقاري بالولايات المتحدة واوروبا, وتاثرها بأزمة الرهن العقاري.

وبدأت الأزمة المالية العالمية بتعثر مؤسسات مالية كبيرة في الولايات المتحدة, وسرعان ما تفاقمت لتصبح أزمة عالمية أدت لإنهيار الكثير من البنوك الاوروبية وإنخفاض في مؤشر البورصة, وإنخفاض كبير في القيمة الشرائية للأسهم والسلع في جميع أنحاء العالم. وأدت الأزمة إلى مشكلة في السيولة والتمويل المالي لمؤسسات عديدة خاصة في الولايات المتحدة واوروبا, الأمر الذي أدى بها إلى مواجهة أزمة السيولة. وقام القادة السياسيون ووزراء المالية القومية ومديري البنوك المركزية بالتعاون من أجل التخفيف من وطأة الأزمة المالية لكن الأزمة لازالت مستمرة, وتفاقمت في اكتوبر 2008, ليمتد تأثيرها مسببة أزمة العملات واسعة النطاق على موارد المؤسسات الاستثمارية العالمية وعلى عملات قوية مثل الين والدولار والفرانك السويسري, وأدى لذلك لبعض الإقتصاديات الناشئة بطلب المساعدات من صندوق النقد الدولي.

وقد ظهرت الأزمة المالية العالمية بسبب أزمة الرهن العقاري وتشكل المرحلة الحادة من الأزمة المالية 2007-2008.


انظر أيضا

  1. ^ Read, Herbert: The Meaning of Art, page 127. Faber, 1931.
  2. ^ Adelson, Roger. London and the Invention of the Middle East: Money, Power, and War, 1902-1922. New Haven: Yale University Press, 1995. ISBN 0-300-06094-7 p. 22-23
  3. ^ Adelson, 24.
  4. ^ Adelson, 26.
  5. ^ خطأ استشهاد: وسم <ref> غير صحيح؛ لا نص تم توفيره للمراجع المسماة Norwich240
  6. ^ Adelson, Roger. London and the Invention of the Middle East: Money, Power, and War, 1902-1922. New Haven: Yale University Press, 1995. ISBN 0-300-06094-7 p. 22-23
  7. ^ Adelson, 24.
  8. ^ Adelson, 26.
  9. ^ Summarised Sachar Report on Status of Indian Muslims
  10. ^ Sachar report to be implemented in full
  11. ^ The Missing Muslim, the Sunday Express. Full coverage on Sachar Report
  12. ^ Welcome to Dasu Krishnamoorthy Media Site
  13. ^ Media Response to Sachar Report, Dasu Krishnamoorthy
  14. '^ Sachar Report, Myth and reality,Rediff.com
  15. ^ أ ب BJP criticized govt on Sachar report,Rediff.com
  16. ^ BJP leader criticized Sachar report,The Hindu