خلية نواء
| ' | |
|---|---|
![]() الخلية النواء | |
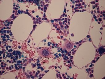
الخلايا النواء في نخاع العظم | |
| Details | |
| Identifiers | |
| اللاتينية | megakaryocytus |
| MeSH | D008533 |
| TH | TH {{{2}}}.html HH2.00.04.3.05003 .{{{2}}}.{{{3}}} |
| FMA | 83555 |
| المصطلحات التشريحية | |
خلية نواء Megakaryocyte هي أحد خلايا نخاع العظم وهي المسؤولة عن إنتاج الصفائح الدموية اللازمة لعملية التخثر. وتشكل خلية النواء ما يقارب ١ لكل ١٠٠٠ من خلايا نخاع العظم.
التركيب
خلية النواء هي أكبر خلايا نخاع العظم حجماً بقطر يتراوح بين 5٠ -١٠٠ ميكرومتر (μم)، أي ١٠-١5 ضعف حجم كرة الدم الحمراء. ولخلية النواء القدرة على مضاعفة عدد الدنا دون انقسام الخلية مما يجعل حجم النواة كبير مقارنة بالحجم الكلي للخلية. وقد يصل عدد الرنا إلى ٣٢ ضعف العدد الطبيعي في الخلايا الأخرى (64 N).
تطور الخلية النواء
اطلاق الصفائح الدموية
تقوم خلية النواء بإنتاج الصفائح الدموية تحت تأثير هرمون الثرمبوبيوتين الناتج من الكبد. و الصفائح الدموية عبارة عن أجزاء من سيتوبلازم خلية النواء محاطة بجزء من الغشاء الخلوي.
وصلات خارجية
- Megakaryocytes: Mature Many microscopic images of mature megakaryocytes including in disease settings.
- Cell size comparison
- CAMT Specific Infant Bone Marrow Transplant Journal
الهامش
This article may include material from Wikimedia licensed under CC BY-SA 4.0. Please comply with the license terms.
