خلية دم بيضاء
| White blood cell (WBC) | |
|---|---|
A scanning electron microscope image of normal circulating human blood. In addition to the irregularly shaped leukocytes, both red blood cells and many small disc-shaped platelets are visible. | |
| Identifiers | |
| MeSH | D007962 |
| TH | TH {{{2}}}.html HH2.00.04.1.02001 .{{{2}}}.{{{3}}} |
| FMA | 62852 |
| المصطلحات التشريحية | |
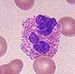
خلايا الدم البيضاء White Blood Cells تدعى أيضًا بالخلايا البيض Leukocytes وتكافح الالتهابات والمواد المؤذية التي تهاجم الجسم. معظم هذه الخلايا مستديرة وعديمة اللون ولها أحجام عديدة وتختلف أشكال نواها. تقتل بعض أنواع الكريات البيض البكتيريا وذلك بالإحاطة بها وهضمها. تنتج أنواع أخرى منها الأجسام المضادة التي هي بروتينات تقضي على البكتيريا والفيروسات ومغيرات أخرى، أو تجعلها عديمة الأذى. هناك خمسة طرز من خلايا الدم البيضاء، وهي تصنف في مجموعتين على أساس حبيبات السيتوبلازم بها ، وعلى حسب شكل النواة.
عدد الكريات البيضاء في الدم غالبا ما تكون مؤشرا على المرض. وهناك عادة بين 4000 - 11000 خلية دم بيضاء في مايكرولتر من الدم، أي ما يقارب 1٪ من الدم عند البالغين الأصحاء. أثناء تعرض الجسم لهجوم من الأنتيجينات (مولدات الضد) يرتفع هذا العدد قليلًا. في حالات مثل ابيضاض الدم (اللوكيميا) يكون عدد الكريات البيضاء أعلى من طبيعي، وفي نقص الكريات البيضاء يكون هذا العدد أقل من ذلك بكثير. الخصائص الفيزيائية للكريات البيضاء، مثل الحجم، والموصلية، والحبوبية، قد تتغير بسبب التفعيل أو بسبب وجود خلايا غير ناضجة أو خبيثة كما في ابيضاض الدم.
أصل التسمية
أطلق عليها اسم خلايا الدم البيضاء من حقيقة انه بعد إجراء التثفيل (الطرد المركزي) لعينة من الدم، فنلاحظ وجود الكريات البيضاء كطبقة رقيقة بيضاء من الخلايا المنواة بين رسابة خلايا الدم الحمراء وبلازما الدم. المصطلح العلمي كرة الدم البيضاء يعكس مباشرة هذا الوصف وهو مشتق من اليونانية leukos—الأبيض، وkytos – الخلية. بلازما الدم قد تكون أحيانا خضراء إذا كانت هناك كميات كبيرة من العدلات في العينة، ويرجع ذلك إلى الهيم – الموجود بالإنزيم Myeloperoxidase الذي تنتجه العدلات.
أنواع خلايا الدم البيضاء
هناك عدة أنواع مختلفة من خلايا الدم البيضاء. التقنية الأساسية لتصنيفها هي البحث عن وجود حبيبات، مما يسمح لتمايز الخلايا إلى فئات محببة وغير محببة.
- المحببة: تتميز الكريات البيضاء بوجود حبيبات مختلفة في الهيولى عندما ينظر إليها تحت المجهر الضوئي. هذه الحبيبات هي إنزيمات مرتبطة بالغشاء وتقوم بهضم الجسيمات المبتلعة. وهناك ثلاثة أنواع من الكريات البيضاء المحببة: خلية متعادلة، خلية قاعدية، خلية حمضية والتي سميت حسب تلون كل منها.
مكان تكوينها: تتكون في نخاع العظام الأحمر
- غير المحببة: تتميز هذه الكريات البيضاء بغياب الحبيبات في الهيولى. ورغم أن الاسم يعني عدم وجود حبيبات في هذه الخلايا لكنها تحتوي على حبيبات غير نوعية تشبه زرقة اللازورد، والتي هي الجسيمات الحالة. هذه الكريات البيضاء تشمل: اللمفاويات، وحيدات النوى، والبلاعم.
مكان تكوينها: تتكون في الأنسجة الليمفاوية كالطحال والكبد والغدد الليمفاوية
مدة حياتها
هي قصيرة جداً إذا قورنت بخلايا الدم فعمرها حوالي بضع ساعات في حالة الخلايا الليمفاوية ومن يوم إلى يومين في باقي الخلايا البيضاء، والخلايا البيضاء عادة ما تغادر الجهاز الدوري لتقوم بوظائفها بالأنسجة.
وظائفها
تقوم خلايا الدم البيضاء بالعديد من الوظائف الهامة وهي:
1- الوظيفة الأساسية لها هي الدفاع ضد غزو الميكروبات.
2- تفرز خلايا الأزينوفيل مادة الهمستامين التي تؤثر على الأوعية الدموية فتسبب اتساعها كما تزيد في حالات الحساسية بالجسم.
3- تفرز البيزوفيل مادة الهيبارين التي تمنع تجلط الدم.
4- تفرز الخلايا الليمفاوية الأجسام المضادة التي إما أن تعادل سموم الميكروبات أو تعمل على ترسيب الميكروبات.
5- وظيفة المونوسايت: فهي مثل النيتروفيل تقوم بالتهام البكتريا ولكنها لكبر حجمها فهي تستطيع أيضاً التهام البروتوزوا المختلفة كالأميبيا وغيرها وكذلك تساعد على التئام الأنسجة.
جدول شامل
- خلايا الدم البيضاء المحببة Granular Leucocytes or Granulocytes
- خلايا الدم البيضاء غير المحببة Nongranular Leucocytes (Granulocytes)
The functions and morphology of these cells are as follows:[1]
| النوع | صورة | رسم تفصيلي | ~% في البشر | الوصف |
| خلية محببة متعادلة Neutrophil | ![]() |
65% | Neutrophils deal with defense against bacterial or fungal infection and other very small inflammatory processes and are usually first responders to microbial infection; their activity and death in large numbers forms pus. | |
| خلية محببة إيوسينية Eosinophil | 4% | Eosinophils primarily deal with parasitic infections and an increase in them may indicate such. | ||
| خلية محببة قاعدة Basophil | <1% | Basophils are chiefly responsible for allergic and antigen response by releasing the chemical histamine causing inflammation. | ||
| خلية ليمفية Lymphocyte | ![]() |
25% | Lymphocytes are much more common in the lymphatic system. The blood has three types of lymphocytes:
| |
| وحيدة Monocyte | ![]() |
6% | Monocytes share the "vacuum cleaner" (phagocytosis) function of neutrophils, but are much longer lived as they have an additional role: they present pieces of pathogens to T cells so that the pathogens may be recognized again and killed, or so that an antibody response may be mounted. | |
| بالعة Macrophage | ![]() |
![]() |
(see above) | Monocytes are able to develop into the professional phagocytosing macrophage cell after they migrate from the bloodstream into the tissue and undergo differentiation. |
الخلايا المتعادلة
الموضوع الأساسي خلية متعادلة
المتعادلة إنگليزية: Neutrophil أو المبلعمة مصطلح المبلعمة يرجع إلى أن الخلايا نشطة في البلعمة. تتعامل مع الدفاع ضد العدوى الجرثومية أو الفطرية وغيرها من العمليات الالتهابية الصغيرة. وعادة ما تكون أول المستجيبين إلى العدوى الميكروبية. حيث نشاطها ووفاتها بأعداد كبيرة يساهم بتشكيل القيح. لها نواة مفصصة ولذلك قد تبدو مثل خلية متعددة النوى، ومن هنا جاء اسم كرة الدم البيضاء متعددة النواة. الهيولى قد تبدو شفافة بسبب صغر الحبيبات المتلونة باللون الوردي الخفيف.
هذه الخلايا ليست قادرة على تجديد الجسيمات الحالة المستخدمة في هضم الميكروبات لذلك تموت بعد هضم عدد قليل من مسببات الأمراض. وهذا يشرح لماذا توجد في المقام الأول في القيح، وليس في الأنسجة.
الخلية القاعدية
الموضوع الأساسي خلية قاعدية
الخلية القاعدية إنگليزية: Basophil هي المسؤولة بالدرجة الأولى للاستجابة للحساسية وللمستضد عن طريق إفراز مواد كيميائية كالهستامين
الخلية الحمضية
الموضوع الأساسي خلية حمضية
الخلايا الحمضية إنگليزية: Eosinophil تتعامل أساسا مع العدوى الطفيلية. وزيادة عددها يمكن أن يكون مؤشر للإصابة الطفيلية. كما أنها الخلايا الالتهابية العالبة الاستجابات الحساسية. أهم أسباب كثرة الأيوزينيات (تشمل الحساسية مثل الربو، وحمى القش ،الطفح الجلدي؛ وأيضا الإصابة الطفيلية) تحتوي عموما على النواة ثنائية الفصيصات. الهيولى فيها مليء بالحبيبات التي تحمل لون وردي- برتقالي عند التلوين بالأيوزين.
اللمفاوية
الموضوع الأساسي خلية لمفية
اللمفاويات إنگليزية: Lymphocyte هي أكثر الكريات البيضاء شيوعا في الجهاز اللمفاوي. اللمفاويات تتميز بأن نواتها غامقة غير مركزية، وتحتوي كمية قليلة نسبيا من الهيولى.
الدم يحتوي ثلاثة أنماط من اللمفاويات:
- الخلايا البائية B cells: تنتج الخلايا البائية الأضداد التي ترتبط بمسببات الأمراض لتدميرها. وإضافة لوظيفة الربط بعد هجوم لمسبب مرض فإن بعض الخلايا البائية يصبح لها القدرة على إنتاج الأجسام المضادة النوعية لمسبب المرض لتكون بمثابة الذاكرة لجهاز المناعة وتسمى خلايا الذاكرة
- الخلايا التائية T cells :
- خلايا CD4 والخلايا المساعدة لها دور تنسيق الاستجابة المناعية وأهميتها في الدفاع ضد الجراثيم داخل الخلوية.
- الخلايا السمية و CD8 قادرة على قتل الخلايا المصابة بفيروس والخلايا الورمية.
- الخلايا القاتلة الطبيعية Natural killer cells: هي قادرة على قتل خلايا الجسم التي ترسل إشارات عند إصابتها من قبل فيروس أو عندما تصبح سرطانية.
الوحيدة
الموضوع الأساسي خلية وحيدة
الخلية وحيدة النواة إنگليزية: Monocyte نواتها لها شكل الكلية وتملك هيولى غزيرة. وظيفتها تشبه وظيفة "المكنسة الكهربائية" للخلايا العدلات، ولكن عمرها أطول بكثير لأن لها دور إضافي. حيث تقدم مسببات الأمراض إلى الخلايا ت ليتم تشكيل الجسم المضاد أو حتى يتم تذكر مسبب الأمراض هذا مرة أخرى عند تعرض الجسم له. كما يمكن للخلايا وحيدة النواة مغادرة مجرى الدم إلى الأنسجة لتتحول إلى خلية بالعة لتزيل حطام الخلايا الميتة فضلا عن مهاجمة الأحياء الدقيقة الممرضة.
إن أيا من هذين الوظيفتين لا يمكن القيام بها من قبل العدلات بنفس كفاءة وحيدات النواة. وخلافا للعدلات، فإن وحيدات النواة قادرة على تعويض جسيماتها الحالة يعد استعمالها ولهذا السبب يعتقد أن عمرها أطول من عمر العدلات.
الخلايا البالعة
البلعم إنگليزية: Macrophage خلية وحيدة النواة تمايزت إلى خلية بالعة بعد هجرتها من مجرى الدم إلى الأنسجة.
أدوية تسبب نقص الكريات البيضاء
بعض الأدوية يمكن أن يكون لها تأثير على عدد ووظيفة خلايا الدم البيضاء. نقص الكريات البيضاء هو انخفاض في عدد خلايا الدم البيضاء قد يؤثر على مجمل تعداد الخلايا البيضاء أو نوع مجدد منها. فعلى سبيل المثال، إذا كان عدد العدلات منخفض، تكون الحالة قلة العدلات وبالمثل يكون تدني مستويات الخلايا اللمفية حالة قلة اللمفاويات.
الأدوية التي يمكن أن تسبب نقص الكريات البيض تشمل Clozapine وهو من الأدوية المضادة للذهان من آثاره غير المرغوبة غياب الكامل لجميع المحببات (العدلة، الأسسة، الحمضة). أدوية أخرى تشمل مثبطات المناعة مثل Sirolimus ،Mycophenolate Mofetil ،Tacrolimus، وCyclosporine. وأيضا الإنترفيرونات المستخدمة لعلاج التصلب العديد، مثل Rebif ،Avonex، وBetaseron يمكن أن تسبب نقص الكريات البيضاء.
صور اضافية
انظر أيضاً
المصادر
- ^ خطأ استشهاد: وسم
<ref>غير صحيح؛ لا نص تم توفيره للمراجع المسماةalberts_table




