سرطان العظم
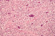
| Micrograph of an osteosarcoma, a malignant primary bone tumor. | |
| ICD-10 | C40.-C41. |
| MeSH | D001859 |
سرطان العظام Bone tumor هو سرطان يبدأ في العظم نفسه (سرطان عظم أولي) وهو سرطان نادر الحدوث. فأقل من 2500 أميركي يتم شخيص إصابته بهذا النوع من السرطان كل عام. هذه السرطانات تصيب الاطفال أكثر من الكبار.
أكثر أنواع سرطان العظام الأولية شيوعا هي :
- ساركومة عظمية Osteosarcoma، وهي أصابة تحدث أساسا ضمن انسجه العظام النامية.
- ساركومة غضروفية Chondrosarcoma، وهي أصابة تحدث ضمن الغضروف
- ساركومة يوينغ Ewing's sarcoma، وهي إصابة تنشأ في الانسجه غير الناضجه في نخاع العظام
الساركومة العظمية وساركومة يوينغ يصيبان معظم الأحيان الاطفال والمراهقين والشباب، الذين تتراوح أعمارهم بين 10 و 20. بينما نوع الساركومة الغضروفية أكثر شيوعا عند البالغين الأكبر من 50 عام.
علاج سرطان العظم يتوقف على نوع من سرطان العظم، موقع الإصابة ووحجمها.
العلامات والاعراض
الألم هو أكثر أعراض سرطان العظم شيوعا. يمكن لسرطان العظم ان ينشأ في اي من عظام الجسم، إلا أنه وفي معظم الأحيان يبدأ في العظام الطويلة في الذراعين والساقين. أعراض وعلامات سرطان العظم يمكن أن تشمل :
- ضعف العظام، مما قد يؤدى في بعض الأحيان إلى الكسور
- تورم المفاصل الألم بها (عند حصول اورام في المفاصل أو بالقرب منها)
- الاعياء
- الحمى
- نقص وزن غير متعمد
- أنيميا
الاسباب
يختلف سبب السرطان في العظم حسب نشأته وهو يقسم إلى نوعين، سرطان العظم الأولي وسرطان العظم الثانوي أو ما يطلق عليه سرطان عظم نقيلي. في حالة السرطان الثانوي أو النقيلي ينشأ السرطان في مكان مختلف ولكنه وفي مرحلة لاحقة ينتقل إلى العظام. على سبيل المثال، شخص ما مصاب بسرطان البروستاتا قد قد يصاب بسرطان العظم ولكن يبقى ذلك السرطان هو سرطان بروستاتا بالرغم أنتقاله إلى العظام.
سرطان العظم النقيلي هو أكثر شيوعا من سرطان العظام الأولي. يجب ملاحظة أن مصطلح سرطان العظم الأولي لا يشير إلى السرطان الذي يصيب خلايا نخاع العظم الناضجة (خلايا طرية داخل العظم وظيفتها تصنيع خلايا الدم). سرطانات نخاع العظم تشمل امراض مثل المايلوما المتعددة واللوكيميا.
بصفة عامة، لا يوجد سبب علمي واضح لنشئ معظم سرطانات العظم الأولية. البالغون المصابون بداء باجيت ضمن عظامهم (حالة تؤدي إلى إنتاج شاذ لخلايا العظام الجديدة)، يمكن ان يكونوا في خطر أكبر للإصابة بساركومة عظمية. كما وفي حالات قليلة، قد يكون للعنصر الوراثي أثر في الإصابة بسرطان العظم مثل :
- متلازمه لي-فراوميني (Li-Fraumeni syndrome). هذه الحالة تتميز بخطر متزايد للإصابة بالعديد من أنواع السرطان المختلفة، بما في ذلك ساركومة عظمية في العظم، سرطان الثدي، وسرطان المخ وغيرها.
- متلازمة روثموند تومسون (Rothmund-Thomson syndrome). هذا الحالة تؤدي إلى مشاكل في الهيكل العظمي وبعض مشاكل الطفح، وهو أيضا يزيد من خطر سرطان العظام.
- الورم الأرومي الشبكي Hereditary retinoblastoma. الاطفال المصابون بهذا النوع النادر من سرطان العين هم في أكثر عرضة للإصابة بسرطان osteosarcoma في العظم
- الأعران المتعددة Multiple exostoses. الاطفال حاملوا مورثة هذه الحالة والتي تؤدي إلى تكوين كتل غضروفية على العظم قد يكونوا في خطر أعلى للإصابة بساركومة غضروفية في العظم.
المصادر
انظر أيضا
- Osteosarcoma (the most common form of bone cancer)
- Ewing's sarcoma
- Neoplasm
- Amputation
- Ama Sumani
المصادر
وصلات خارجية
- UMDNJ Introduces trainees in Pathology to the basic concepts in diagnosis of bone tumors
- Information for patients and doctors about the symptoms, diagnosis, and treatment of most bone tumors
- Bone cancer information at Cancer.net
