ورم سدي معدي معوي
| الورم السدي المعدي المعوي Gastrointestinal stromal tumor | |
|---|---|
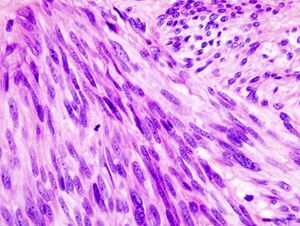
| صورة نسيجية مرضية للورم السدي المعدي المعوي. صبغة الهيماتوكسيلين-إيوزين. | |
| التخصص | علم الأورام |
| التشخيص المفاضل | الپنكرياس المنتبذ[1] |
الورم السدي المعدي المعوي (Gastrointestinal stromal tumors، اختصاراً GISTs)، هو أكثر أورام اللُحمة المتوسطة شيوعاً في الجهاز الهضمي البشري. تنشأ الأورام السدية المعدية المعوية في الخلايا الخلالية الكاخالية للعضلة الملساء، أو في الخلايا المماثلة.[2] تُعرف على أنها أورام تتحكم في سلوكها طفرات في جين KIT (85%)،[2] جين PDGFRA (10%)،[2] أو كيناز BRAF (نادراً).[2] 95% من الأورام السدية المعدية المعوية ذات صبغة إيجابية للجينKIT (CD117).[2][3] تتكون معظم هذه الأورام (66%) في المعدة، وتتمتع أورام الجهاز الهضمي المعدية بطبيعة خبيثة أقل من الأورام الموجودة في أماكن أخرى من الجهاز الهضمي.[3]
التصنيف
طُرح الورم السدي المعدي المعوي كمصطلح تشخيصي لأول مرة عام 1983.[2] حتى أواخر التسعينيات، كانت العديد من الأورام غير الظهارية في الجهاز الهضمي تُسمى "أوراماً سدية معوية". لم يتمكن أخصائيو علم أمراض الأنسجة من التمييز بدقة بين الأنواع المعروفة الآن باختلافها الجزيئي. لاحقاً، تم تحديد CD34، ولاحقاً CD117، كعلامات تُميز الأنواع المختلفة.[citation needed]
بالإضافة إلى ذلك، في غياب العلاج المحدد، كان للتصنيف التشخيصي تأثير محدود فقط على التشخيص والعلاج.[citation needed] لقد تغير فهم بيولوجيا الأورام السدية المعدية المعوية بشكل كبير مع تحديد الأساس الجزيئي لها،[2] خاصة c-KIT. تاريخياً، أكدت المراجعات الأدبية قبل التعريف الجزيئي للأورام السدية المعدية المعوية، ولفترة قصيرة بعد ذلك، أن 70-80% من الأورام السدية المعدية المعوية كانت حميدة.[4][5][6]
أدى تحديد الأساس الجزيئي للأورام السدية المعدية المعوية إلى استبعاد العديد من الأورام التي كانت تعتبر أوراماً سدية معدية معوية سابقاً، بالإضافة إلى دمج عدد أكبر بكثير من الأورام التي صُنفت على أنها أنواع أخرى من الأغران والسرطانات غير المتمايزة.[2] على سبيل المثال، يُعاد تصنيف بعض التشخيصات السابقة لأغران العضلات الملساء في المعدة والأمعاء الدقيقة (ورم خبيث في العضلات الملساء) على أنها أورام سدية معدية معوية بناءً على الصبغة المناعية الكيميائية. تُعتبر جميع الأورام السدية المعدية المعوية الآن ذات احتمالية خبيثة، ولا يمكن تصنيف أي ورم سدي معدي معوي بشكل قاطع على أنه "حميد".[7] ومن ثم، فإن جميع الأورام السدية المعدية المعوية مؤهلة لتحديد مرحلة السرطان في AJCC (الطبعة السابعة) / UICC.[8] ومع ذلك، فإن أنواع مختلفة من الأورام السدية المعدية المعوية لها تقييمات مختلفة للمخاطر فيما يتعلق بميولها إلى التكرار أو الانتشار، اعتماداً على موقع نشأتها وحجمها وعدد الأشكال الانقسامية.
طرحت دراسة متعددة الأوميكس تصنيفاً جزيئياً جديداً للأورام السدية المعدية المعوية وحددت "YLPM1"، وهو جين محتمل لكبت الورم.[9] صنّفت الدراسة الأورام السدية المعدية المعوية المتحولة بجين "KIT/PDGFRA" إلى أربعة أنواع فرعية جزيئية. يُظهر النوع الفرعي C2، المُعزز بخلايا CD8+ T، استجابةً محتملة للعلاج المناعي.[10] يمكن أن يستفيد النوع الفرعي C3، مع الانحرافات المتكررة CDKN2A، من مزيج من مثبطات KIT وCDK4/6، مما يُظهر تأثيرات تآزرية قوية.[11] بالإضافة إلى ذلك، تتوافق الأنواع الفرعية C1 وC4 مع تصنيفات المخاطر المعمول بها، مما يدعم الاستراتيجيات العلاجية الحالية والنتائج التشخيصية.[12] يوفر هذا التصنيف الجزيئي الجديد رؤى جديدة تساعد في توجيه العلاجات الشخصية.[13]
بسبب التغير في التعريف، أصبحت مسارات الرعاية السريرية قبل عام 2000 غير مفيدة إلى حد كبير في العصر الحالي.[2]
الأعراض والعلامات
قد تظهر الأورام السدية المعدية المعوية مصحوبة بصعوبة في البلع، أو النزيف المعدي المعوي، أو نقائل (خاصةً في الكبد). يُعدّ الانسداد المعوي نادراً، نظراً لنمط نمو الورم الخارجي. غالباً ما يكون هناك تاريخ من المغص أو الانزعاج المبهم، ويكون الورم قد أصبح كبيراً نسبياً عند تشخيصه.[citation needed]
الفسيولوجيا المرضية
الأورام السدية المعدية المعوية هي أورام في النسيج الضام، أي الأغران؛ وعلى عكس معظم الأورام المعدية المعوية، فهي غير ظهارية. يحدث حوالي 70% منها في المعدة، و20% في الأمعاء الدقيقة، وأقل من 10% في المريء. الأورام الصغيرة غير عدوانية عموماً، خاصةً عندما يكون معدل انقسام الخلايا بطيئاً. تنتشر الأورام السدية المعدية المعوية عادة إلى الكبد (في 28% من الحالات) و/أو إلى الثرب الكبير، أو الثرب الصغير، أو المساريقا (في 30% من الحالات). تشمل المناطق الأقل شيوعاً للنقائل الرئتين، أو الأنسجة تحت الجلد، أو العقد اللمفاوية، أو العظام.[14]
يُعتقد أن الأورام السدية المعدية المعوية تنشأ من الخلايا الخلالية الكاخالية (ICC)، والتي تعد عادةً جزءاً من الجهاز العصبي التلقائي للأمعاء.[3] وهي تؤدي وظيفة منظم ضربات القلب في التحكم بالحركة.[citation needed]
علم الوراثة
معظم الأورام السدية المعدية المعوية متقطعة (أي تحدث بشكل غير منتظم لا نمطي). أقل من 5% منها تحدث كجزء من متلازمات وراثية عائلية أو مجهولة السبب متعددة الأورام. وتشمل هذه، بترتيب تنازلي للتكرار، الورم الليفي العصبي ركلينگهاوس (NF-1)، وثالوث كارني (الورم السدي المعدي المعوي، الورم الغضروفي الرئوي، وورم المستقتمات الكظرية)، طفرات اكتساب الوظيفة في الخط الجنسي في الجين c-KIT/PDGFRA، ومتلازمة كارني-ستراتاكيس.[15] متلازمة كارني ستراتاكيس هي ثنائي من الورم السدي المعدي المعوي وورم المستقتمات، والتي تسببها طفرات الخط الجنسي في مسار الجين المثبط للورم في المتقدرة والذي يتضمن وحدات فرعية من إنزيم ديهيدروجينيز سكسينات (SDH) ووحدات فرعية من SDHD، SDHC وSDHB.[16]
طفرات الجين c-KIT
يرتبط حوالي 85% من حالات الأورام السدية المعدية المعوية بمسار غير طبيعي لجين c-KIT. الجين c-KIT هو جين يُشفّر مستقبلاً غشائياً لعامل نمو يُسمى "عامل الخلايا الجذعية" (scf). ينشأ مسار c-KIT غير الطبيعي في أغلب الأحيان (85%) من طفرة الجين نفسه؛ مجموعة فرعية أصغر من الأورام السدية المعدية المعوية المرتبطة بالجين c-KIT مرتبطة بالنشاط التكويني للمسار الإنزيمي للجين KIT، والذي أُكتشف عن طريق اللطخة المناعية.[2] يُعبَّر عن مُنتَج c-KIT/CD117 في خلايا ICC وعدد كبير من الخلايا الأخرى، وخاصةً خلايا نخاع العظم، الخلايا الصارية، الخلايا الميلانينية، والعديد من الخلايا الأخرى. ومع ذلك، في الأمعاء، يُرجَّح أن تكون الكتلة المُلوَّنة إيجابياً لـ CD117 ورماً سدياً معدياً معوياً، ناشئاً من خلايا ICC.[citation needed]
يتألف جزيء c-KIT من نطاق خارج خلوي طويل، قطاع عبر غشائي، وجزء داخل خلوي. تحدث الطفرات عادةً في الدنا الذي يُشفّر الجزء داخل الخلوي (الإكسون 11)، والذي يعمل ككيناز تيروسين لتنشيط إنزيمات أخرى. تجعل الطفرات وظيفة c-KIT مستقلة عن التنشيط بواسطة عامل الخلية الجذعية (scf)، مما يؤدي إلى ارتفاع معدل انقسام الخلايا وربما عدم استقرار جينومي. من المرجح أن تكون هناك حاجة إلى طفرات إضافية لتطور خلية بها طفرة في c-KIT إلى ورم سدي معدي معوي، لكن طفرة c-KIT هي على الأرجح الخطوة الأولى في هذه العملية.[citation needed]
من المعروف حدوث طفرات في الإكسونات 11 و9، ونادراً 13 و17 من الجين c-KIT في أورام الجهاز الهضمي المعدي المعوي. وتُعد وظيفة كيناز التيروسين في الجين c-KIT مهمة في العلاج الطبي للأورام السدية المعدية المعوية، كما هو موضح أدناه.
- الطفرات النقطية لـ KIT-D816V في إكسون 17 لـلجين c-KIT مسؤولة عن مقاومة أدوية العلاج المستهدفة مثل ميسيلات الإيماتينيب، وهو مثبط كيناز التيروسين.
- KIT-p.D419del (إكسون 8) - مجموعة فرعية من الأورام السدية المعدية المعوية التي كانت تُعتبر سابقاً أوراماً من النوع البري تحمل طفرات تنشيطية جسدية في إكسون KIT 8 (p.D419del).[17]
طفرات PDGFRA
معظم خلايا الأورام السدية المعدية المعوية ذات النمط البري (أي غير المتحور) من الجين c-KIT تحتوي على طفرة في جين آخر، وهو PDGFR-α (مستقبل عامل النمو المشتق من الصفائح الدموية ألفا)، وهو كيناز تيروسين ذو صلة. الطفرات في الجين c-KIT و"PDGFrA" استثنائية, [4] [5][dead link].
الأورام برية النوع
يبدو أن أعداداً أقل من الأورام السدية المعدية المعوية لا ترتبط بطفرات c-KIT أو PDGFR-α.[2] تحمل حوالي 10-15% من الأورام السدية المعدية المعوية تسلسلات من النوع البري في جميع المناطق النشطة للجين KIT ومستقبل عامل النمو المشتق من الصفائح الدموية ألفا (PDGFRA) (wt-GISTs). تُعرّف هذه الأورام حالياً بعدم وجود طفرات في الإكسونات 9 و11 و13 و17 من الجين KIT والإكسونات 12 و14 و18 من الجين PDGFRA.[17]
التشخيص
لتشخيص الأورام السدية المعدية المعوية غالباً ما يُجرى التصوير المقطعي المحوسب (انظر قسم علم الأشعة). إن الصبغة الكيميائية النسيجية المناعية للبيتا-كاتينين في نوى الخلايا هو نتيجة ثابتة في الأورام الليفية الرحمية، ويساعد في التمييز بين مثل هذه الأورام وأورام الخلايا المغزلية الموجبة للبيتا كاتينين.[18]
يُجرى التشخيص النهائي بأخذ خزعة، يمكن الحصول عليها بالمنظار الداخلي، أو عن طريق الجلد باستخدام الأشعة المقطعية أو الموجات فوق الصوتية، أو أثناء الجراحة. يُفحص طبيب أخصائي علم الأمراض عينة الخزعة تحت المجهر . يفحص أخصائي علم أمراض الأنسجة النسيج المرضي لتحديد خصائص الأورام السدية المعدية المعوية (خلايا مغزلية بنسبة 70-80%، وظهارية بنسبة 20-30%). عادةً ما تقتصر الأورام الصغيرة على الطبقة العضلية المخصوصة لجدار الأمعاء. تنمو الأورام الكبيرة، غالبًا نحو الخارج، من جدار الأمعاء حتى تتجاوز إمدادها الدموي وتموت من الداخل، مشكلةً تجويفًا قد يتصل بتجويف الأمعاء.[citation needed]
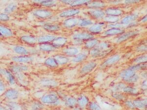
عند الاشتباه في وجود ورم سدي معدي معوي- على عكس الأسباب الأخرى للأورام المشابهة - يمكن لأخصائي علم الأمراض استخدام كيمياء الأنسجة المناعية (أجسام مضادة محددة تصبغ جزيء CD117 [المعروف أيضاً باسم c-KIT] - انظر أدناه). 95% من جميع الأورام السدية المعدية المعوية إيجابية لـ CD117 (تشمل العلامات المحتملة الأخرى CD34، المكتشف في GIST-1 (DOG1)،[19] دسمين، وڤيمنتين). الخلايا الأخرى التي تظهر إيجابية CD117 هي الخلايا الصارية.
إذا كانت نتيجة صبغة CD117 سلبية، واستمر الشك في أن الورم هو ورم سدي معدي معوي، فيمكن استخدام الجسم المضاد الأحدث DOG1. كما يمكن استخدام تسلسل الجين KIT وPDGFRA لإثبات التشخيص.
التصوير الطبي
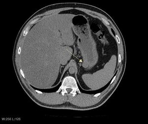
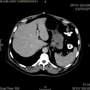
الغرض من التصوير الإشعاعي هو تحديد موقع الآفة، وتقييم علامات الغزو، والكشف عن النقائل. تختلف سمات الأورام السدية المعدية المعوية باختلاف حجم الورم والعضو المنشأ. يمكن أن يتراوح قطرها من بضعة مليمترات إلى أكثر من 30 سم. عادةً ما تُسبب الأورام الأكبر أعراضاً، على عكس تلك التي تُكتشف بالصدفة، والتي عادةً ما تكون أصغر حجماً وذات تشخيص أفضل.[4][20] تميل الأورام الكبيرة إلى إظهار سلوك خبيث لكن الأورام السدية المعدية المعوية الصغيرة قد تظهر أيضاً سلوكاً عدوانياً سريرياً.[21]
لا تفيد الصور الإشعاعية العادية في تقييم الأورام السدية المعدية المعوية. إذا لوحظ أي خلل، فسيكون ذلك علامة غير مباشرة نتيجة تأثير كتلة الورم على الأعضاء المجاورة. في الأشعة السينية للبطن، قد تظهر الأورام السدية المعدية المعوية في المعدة ككتلة معتمة تُغير شكل ظل الهواء المعدي. قد تُزيح الأورام السدية المعدية المعوية حلقات الأمعاء، وقد تُعيق الأورام الأكبر حجماً الأمعاء، وتُظهر الصور الإشعاعية نمطاً انسدادياً. في حال وجود تجويف، تُظهر الصور الشعاعية العادية تجمعات هوائية داخل الورم.[22] يُعد التكلس سمة غير عادية للأورام السدية المعدية المعوية، لكن إن وُجد، يُمكن رؤيته في الصور الإشعاعية العادية.
تُستخدم فحوصات الباريوم الفلوري والتصوير المقطعي المحوسب عادةً لتقييم المرضى الذين يعانون من مشاكل في البطن. تُظهر صور الباريوم الفلوري وجود تشوهات في 80% من حالات الأورام السدية المعدية المعوية.[21] مع ذلك، قد تحدث بعض الأورام السدية المعدية المعوية خارج تجويف الأمعاء تماماً، ولا يُمكن تشخيصها بفحص الباريوم. حتى في الحالات التي يكون فيها فحص الباريوم غير طبيعي، يجب إجراء تصوير بالرنين المغناطيسي أو التصوير المقطعي المحوسب، إذ يستحيل تقييم تجاويف البطن وأعضاء البطن الأخرى بفحص الباريوم وحده. في التصوير المقطعي المحوسب، قد تُلاحظ تشوهات لدى 87% من المرضى، ويجب إجراؤه باستخدام مادة تباين فموية وريدية.[21] من بين دراسات التصوير، يُعدّ التصوير بالرنين المغناطيسي أفضل تباين للأنسجة، مما يُساعد في تحديد الكتل داخل الجهاز الهضمي (الكتل داخل الجدار). يلزم حقن مادة تباين وريدية لتقييم الأوعية الدموية في الآفة.
طرق التصوير المفضلة في تقييم الأورام السدية المعدية المعوية هي التصوير المقطعي المحوسب والتصوير بالرنين المغناطيسي،[23] وفي حالات معينة، الموجات فوق الصوتية بالمنظار. تشمل مزايا التصوير المقطعي المحوسب قدرته على إظهار أدلة على غزو الأعضاء المجاورة، والاستسقاء، والنقائل. كما أن قدرة التصوير بالرنين المغناطيسي على إنتاج صور في مستويات متعددة تُساعد في تحديد الأمعاء كعضو منشأ (وهو أمر صعب عندما يكون الورم كبيراً جداً)، مما يُسهّل التشخيص.
الأورام السدية المعدية المعوية الصغيرة
بما أن الأورام السدية المعدية المعوية تنشأ من طبقة الأمعاء المسماة بالطبقة العضلية (وهي أعمق من الغشاء المخاطي وتحت المخاطي من منظور التجويف)، فإن تصوير الأورام السدية المعدية المعوية الصغيرة عادةً ما يشير إلى نتوء تحت مخاطي أو كتلة داخل جدار الأمعاء. في دراسات تصوير الجهاز الهضمي بالباريوم، تظهر الأورام السدية المعدية المعوية الصغيرة هذه عادةً بحواف ناعمة تُشكل زوايا قائمة أو منفرجة مع جدار الأمعاء القريب، كما هو الحال مع أي كتلة داخلية أخرى. عادةً ما يكون السطح المخاطي سليماً باستثناء مناطق التقرح، والتي توجد عادةً في 50% من الأورام السدية المعدية المعوية. تمتلئ التقرحات بالباريوم مما يتسبب في ظهور عين الثور أو الآفة المستهدفة. في التصوير الطبقي المحوسب المعزز بالتباين، تُرى الأورام السدية المعدية المعوية الصغيرة على شكل كتل داخلية ناعمة ومحددة بوضوح مع توهين متجانس.
الأورام السدية المعدية المعوية الكبيرة
مع نمو الورم، قد يبرز خارج الأمعاء (نمو خارجي) و/أو داخلها (نمو داخل التجويف)، لكن في أغلب الأحيان ينمو الورم خارجياً بحيث يبرز الجزء الأكبر منه في تجويف البطن. إذا تجاوز الورم إمداده الدموي، فقد ينخر داخلياً، مكوّناً تجويفاً مركزياً مملوءاً بالسوائل مع نزيف وتجويفات قد تتقرح في النهاية وتتصل بتجويف الأمعاء. في هذه الحالة، قد يُظهر فحص الباريوم وجود هواء، أو مستويات هواء-سوائل، أو تراكماً لوسائط التباين الفموية في هذه المناطق.[21][25] قد تظهر أيضاً تقرحات مخاطية. في صور الأشعة المقطعية المحسنة بالتباين، تظهر أورام الجهاز الهضمي المعدية الكبيرة ككتل غير متجانسة بسبب وجود مناطق من خلايا الورم الحية المحيطة بالنزيف أو النخر أو الأكياس، والتي تُرى شعاعيًا كنمط تعزيز محيطي بمركز توهين منخفض.[20] في دراسات التصوير بالرنين المغناطيسي، تؤثر درجة النخر والنزيف على نمط شدة الإشارة. تختلف شدة الإشارة في مناطق النزيف داخل الورم تبعًا لتاريخ حدوث النزيف. عادةً ما تكون شدة الإشارة في الأجزاء الصلبة من الورم منخفضة في صور الرنين المغناطيسي الموزونة بـ T1، وتكون شدة الإشارة فيها عالية في صور الرنين المغناطيسي الموزونة بـ T2، وتزداد بعد إعطاء الگادولينيوم. توجد فراغات ذات شدة إشارة في حال وجود غاز داخل مناطق الورم النخرية.[22][26][27]
سمات الخباثة
تتميز الأورام الخبيثة بالغزو الموضعي والانتشار، عادةً إلى الكبد، والثرب، والصفاق. ومع ذلك، فقد لوحظت حالات انتشار الورم إلى العظام، والتجويف الجنبي، والرئتين، وخلف الصفاق. بخلاف السرطانة الغدية المعدية أو سرطان الغدد اللمفاوية في المعدة/الأمعاء الدقيقة، فإن تضخم العقد الليمفاوية الخبيث نادر (<10%)، وبالتالي يُظهر التصوير عادة غياب تضخم العقد الليمفاوية.[20] إذا لم تكن النقائل موجودة، فإن السمات الشعاعية الأخرى التي تشير إلى الخباثة تشمل: الحجم (>5 سم)، والتعزيز غير المتجانس بعد إعطاء التباين، والتقرحات.[4][20][28] كما أن السلوك الخبيث الواضح (على النقيض من احتمالية الخباثة بدرجة أقل) أقل شيوعاً في أورام المعدة، حيث تبلغ نسبة من السلوك الحميد إلى السلوك الخبيث الواضح تتراوح بين 3-5.[4] حتى لو كانت السمات الخبيثة الشعاعية موجودة، فإن هذه النتائج قد تمثل أيضاً أوراماً أخرى ويجب إجراء التشخيص النهائي كيميائياً مناعياً.
إدارة المرض
بالنسبة للأورام السدية المعدية المعوية الموضعية القابلة للاستئصال لدى البالغين، إذا كان ذلك ممكناً تشريحياً وفسيولوجياً، فإن الجراحة هي العلاج الأساسي المختار.[23] يمكن أن تكون الجراحة علاجاً محتملاً، لكن يمكن النظر في الانتظار اليقظ في حالة الأورام الصغيرة في المواقف المختارة بعناية.[29] وقد يوصى بالعلاج المساعد بعد الجراحة.[30] نقائل العقد الليمفاوية نادرة، واستئصال العقد الليمفاوية بشكل روتيني ليست ضرورياً عادة.[31] لقد ثبت أن جراحة المناظير، وهي عملية جراحية طفيفة التوغل في البطن باستخدام التلسكوبات والأدوات المتخصصة، فعالة في استئصال هذه الأورام دون الحاجة إلى شقوق كبيرة.[32] إن استئصال الورم بهامش 1 سم كافي، والاستئصالات الأكثر جذرية تضيف اعتلالاً دون فائدة.[31] تُعدّ المسائل السريرية المتعلقة بالمؤشرات الجراحية الدقيقة لحجم الورم موضع جدل. ويتأثر قرار الجراحة التنظيرية المناسبة بحجم الورم وموقعه ونمط نموه.[33]
لم يكن العلاج الإشعاعي فعالاً تاريخياً لعلاج الأورام السدية المعدية المعوية[34] ولا تستجيب الأورام السدية المعدية المعوية لمعظم أدوية العلاج الكيميائي،[34] حيث تبلغ نسبة الاستجابة أقل من 5%.[2] ومع ذلك، تم تحديد العديد من الأدوية ذات الفائدة السريرية في علاج الأورام السدية المعدية المعوية: الإيمينتاب، السونيتينيب، الريگورافنيب، الريپرتينيب والأڤابريتينيب.
الإيماتينيب (الگيلڤك/الگليڤك)، هو دواء يُؤخذ عن طريق الفم وسُوّق في البداية لعلاج ابيضاض الدم النقوي المزمن، ويعتمد على تثبيط الكروموسوم bcr-abl، كما يثبط طفرات كيناز التيروسين "c-KIT" وطفرات PDGFRA الأخرى غير D842V، وهو مفيد في علاج الأورام السدية المعدية المعوية في عدة حالات. استُخدم الإيماتينيب في حالات مُحددة من العلاج المبدئي المساعد.[35][23] في إطار العلاج المساعد، تُعالج غالبية الأورام السدية المعدية المعوية عن طريق الجراحة ولا تحتاج إلى علاج مساعد.[36][37]
يُستثنى من ذلك الحالات التي يتطلب فيها الوضع التشريحي للورم إجراء عملية جراحية صعبة أو معقدة من الناحية التقنية. على سبيل المثال، غالباً ما يتطلب الورم السدي المعدي المعوي المستقيمي جراحة جذرية لتحقيق الاستئصال الكامل، بما في ذلك الاستئصال البطني العجاني وفغرة دائمة. في هذه الحالات، يمكن للإيماتينيب المساعد أن يقلل بشكل كبير من حجم الورم ونشاطه الانقسامي، ويسمح بإجراء جراحة أقل جذرية للحفاظ على العضلة العاصرة.[35]
تتمتع نسبة كبيرة من الأورام السدية المعدية المعوية بخطر كبير للتكرار، كما هو مقدر من خلال عدد من مخططات تصنيف المخاطر المعتمدة، ويمكن النظر في علاجها كعلاج مساعد.[37][38] معايير الاختيار التي تدعم القرار بشأن الاستخدام المحتمل للإيماتينيب في هذه الأوضاع، بما في ذلك تقييم المخاطر بناءً على العوامل المرضية مثل حجم الورم ومعدل انقسامه وموقعه، يمكن استخدامها للتنبؤ بخطر تكرار الإصابة بالأورام السدية المعدية المعوية. أظهرت الأورام التي يقل حجمها عن 2 سم، والتي يبلغ معدل انقسامها الخلوي أقل من 5/50 من عامل نمو الورم، انخفاضاً في خطر تكرار المرض مقارنةً بالأورام الأكبر حجماً أو الأكثر عدوانية. بعد الاستئصال الجراحي للأورام السدية المعدية المعوية، يُقلل العلاج المساعد بالإيماتينيب من خطر تكرار المرض في الفئات الأكثر عرضة للخطر.[citation needed] في حالات مختارة ذات مخاطر أعلى، يوصى باستخدام الإيماتينيب لمدة 3 سنوات.[39]
في 1 فبراير 2002 اعتمدت إدارة الغذاء والدواء الأمريكية الإيماتينيب لعلاج الأورام السدية المعدية المعوية النقيلية وغير القابلة للاستئصال. ارتفعت معدلات البقاء على قيد الحياة لمدة عامين للمرضى في حالة متقدمة إلى 75-80% بعد العلاج بالإيماتينيب.[40]
في حالة مواجهة مقاومة للإيماتينيب، يمكن النظر في استخدام مثبط كيناز التيروسين المتعدد، السونيتينيب (المسوق باسم سوتنت).[23][41]
تعتمد فعالية الإيماتينيب والسونيتينيب على النمط الجيني.[42] عادةً ما تكون الأورام السدية المعدية المعوية السالبة لطفرة c-KIT وPDGFRA مقاومة للعلاج بالإيماتينيب،[16] كما هو الحال المرتبط بالأورام السدية المعدية المعوية من النوع البري المرتبطة بالورم الليفي العصبي-1.[37] هناك نوع فرعي محدد من طفرة PDGFRA، D842V، غير حساس أيضاً للإيماتينيب.[37][43] في الآونة الأخيرة، اعتمدت إدارة الغذاء والدواء الأمريكية دواء الأڤاپريتينيب في حالات الورم السدي المعدي المعوي المرتبط بطفرة الجين PDGFRA.[44] والآن تأتي البيانات الواقعية للأڤاپريتينيب أيضاً.[45]
عام 2013 اعتمدت إدارة الغذاء والدواء دواء الرگورافنيب (الستيڤارگا) لعلاج الأورام السدية المعدية المعوية المتقدمة التي لا يمكن استئصالها جراحياً، والتي لم تعد تستجيب للإيماتينيب والسونيتينيب.[46]
الانتشار
تحدث الأورام السدية المعدية المعوية لدى 10-20 شخصاً لكل مليون شخص. قد يكون معدل الإصابة الحقيقي أعلى، نظراً لأن الطرق المعملية الحديثة أكثر دقة في تشخيص الأورام السدية المعدية المعوية.[citation needed] يُقدر معدل الإصابة بالأورام السدية المعدية المعوية في الولايات المتحدة بحوالي 5000 حالة سنوياً.[2] وهذا يجعل الأورام السدية المعدية المعوية الشكل الأكثر شيوعاً من الأغران، والتي تشكل أكثر من 70 نوعاً من السرطان.
تظهر غالبية حالات الأورام السدية المعدية المعوية في الفئة العمرية 50-70 عاماً. وفي معظم الفئات العمرية، يكون معدل الإصابة بها متشابهاً بين الرجال والنساء.[34]
تعتبر الأورام السدية المعدية المعوية لدى البالغين نادرة قبل سن الأربعين. أما الأورام السدية المعدية المعوية لدى الأطفال فتعتبر مميزة بيولوجياً.[47] على عكس الأورام السدية المعدية المعوية في الأعمار الأخرى، فإن الأورام السدية المعدية المعوية عند الأطفال أكثر شيوعاً لدى الفتيات والشابات. ويبدو أنها تفتقر إلى طفرات كيناز التيروزين المنشطة للسرطان في كل من KIT وPDGFRA. على الرغم من أن التعريف المقبول عموماً للورم السدي المعدي المعوي عند الأطفال هو الورم الذي يُشخص في سن 18 عاماً أو أقل،[47] يمكن رؤية الأورام السدية المعدية المعوية "الطفولية" لدى البالغين، مما يؤثر على تقييم المخاطر ودور استئصال العقدة الليمفاوية واختيار العلاج.[48]
المصادر
- ^ Yuan, Z; Chen, J; Zheng, Q; Huang, XY; Yang, Z; Tang, J (7 August 2009). "Heterotopic pancreas in the gastrointestinal tract". World Journal of Gastroenterology. 15 (29): 3701–3. doi:10.3748/wjg.15.3701. PMC 2721251. PMID 19653355.
- ^ أ ب ت ث ج ح خ د ذ ر ز س ش Demetri, G. (2011). "Gastrointestinal Stromal Tumor". In DeVita, L; Lawrence, TS; Rosenberg, SA (eds.). DeVita, Hellman, and Rosenberg's Cancer: Principles and Practice of Oncology (9th ed.). Wolters Kluwer Health/Lippincott Williams & Wilkins. ISBN 978-1-4511-0545-2.
- ^ أ ب ت Miettinen M, Lasota J (2006). "Gastrointestinal stromal tumors: review on morphology, molecular pathology, prognosis, and differential diagnosis". Arch Pathol Lab Med. 130 (10): 1466–78. doi:10.5858/2006-130-1466-GSTROM. PMID 17090188.
- ^ أ ب ت ث Burkill GJ, Badran M, Al-Muderis O, Meirion Thomas J, Judson IR, Fisher C, Moskovic EC (2003). "Malignant gastrointestinal stromal tumor: distribution, imaging features, and pattern of metastatic spread". Radiology. 226 (2): 527–32. doi:10.1148/radiol.2262011880. PMID 12563150.
- ^ Nishida T, Hirota S (2000). "Biological and clinical review of stromal tumors in the gastrointestinal tract". Histol Histopathol. 15 (4): 1293–301. PMID 11005253.
- ^ Miettinen M, Lasota J (2001). "Gastrointestinal stromal tumors--definition, clinical, histological, immunohistochemical, and molecular genetic features and differential diagnosis". Virchows Arch. 438 (1): 1–12. doi:10.1007/s004280000338. PMID 11213830. S2CID 7598241.
- ^ Raut, Chandrajit; Dematteo, Ronald (March 2008). "Evidence-Guided Surgical Management of GIST: Beyond a Simple Case of Benign and Malignant". Ann. Surg. Oncol. 15 (5): 1542–1543. doi:10.1245/s10434-008-9817-1. S2CID 12586147.
- ^ AJCC manual
- ^ Xie, Feifei; Luo, Shuzhen; Liu, Dongbing; Lu, Xiaojing; Wang, Ming; Liu, Xiaoxiao; Jia, Fujian; Pang, Yuzhi; Shen, Yanying; Zeng, Chunling; Ma, Xinli; Tang, Daoqiang; Tu, Lin; Yang, Linxi; Cheng, Yumei (2024-11-03). "Genomic and transcriptomic landscape of human gastrointestinal stromal tumors". Nature Communications (in الإنجليزية). 15 (1): 9495. Bibcode:2024NatCo..15.9495X. doi:10.1038/s41467-024-53821-1. ISSN 2041-1723. PMC 11532483. PMID 39489749.
{{cite journal}}: Check|pmc=value (help); Check|pmid=value (help) - ^ "Multi-omics-based classification of gastrointestinal stromal tumors lays groundwork for precision treatment". News-Medical (in الإنجليزية). 2024-11-05. Retrieved 2024-11-15.
- ^ Genomics, B. G. I. "New classification of gastrointestinal stromal tumors guides precision treatment". medicalxpress.com (in الإنجليزية). Retrieved 2024-11-15.
- ^ "New Classification of Gastrointestinal Stromal Tumors Guides Precision Treatment | Nature Communications". www.bgi.com. Retrieved 2024-11-15.
- ^ abigailcraig (2024-11-11). "Genetic Map Paves Way for Targeted GIST Treatment". European Medical Journal (in الإنجليزية البريطانية). Retrieved 2024-11-15.
- ^ Parab, Trisha M.; DeRogatis, Michael J.; Boaz, Alexander M.; Grasso, Salvatore A.; Issack, Paul S.; Duarte, David A.; Urayeneza, Olivier; Vahdat, Saloomeh; Qiao, Jian-Hua; Hinika, Gudata S. (February 2019). "Gastrointestinal stromal tumors: a comprehensive review". Journal of Gastrointestinal Oncology. 10 (1): 144–154. doi:10.21037/jgo.2018.08.20. PMC 6351301. PMID 30788170.
- ^ Agaimy A, Hartmann A (2010). "Hereditary and non-hereditary syndromic gastointestinal stromal tumours". Pathologe (in الألمانية). 31 (6): 430–7. doi:10.1007/s00292-010-1354-6. PMID 20848108. S2CID 9295361.
- ^ أ ب Stratakis CA, Carney JA (Jul 2009). "The triad of paragangliomas, gastric stromal tumours and pulmonary chondromas (Carney triad), and the dyad of paragangliomas and gastric stromal sarcomas (Carney-Stratakis syndrome): molecular genetics and clinical implications". J Intern Med. 266 (1): 43–52. doi:10.1111/j.1365-2796.2009.02110.x. PMC 3129547. PMID 19522824.
- ^ أ ب Huss, S; Künstlinger, H; Wardelmann, E; Kleine, M. A.; Binot, E; Merkelbach-Bruse, S; Rüdiger, T; Mittler, J; Hartmann, W; Büttner, R; Schildhaus, H. U. (2013). "A subset of gastrointestinal stromal tumors previously regarded as wild-type tumors carries somatic activating mutations in KIT exon 8 (p.D419del)". Modern Pathology. 26 (7): 1004–12. doi:10.1038/modpathol.2013.47. PMC 3701292. PMID 23599150.
- ^ El Sabeh M, Saha SK, Afrin S, Islam MS, Borahay MA (2021). "Wnt/β-catenin signaling pathway in uterine leiomyoma: role in tumor biology and targeting opportunities". Mol Cell Biochem. 476 (9): 3513–36. doi:10.1007/s11010-021-04174-6. PMC 9235413. PMID 33999334.
- ^ Kim, Younghoon; Lee, Sung Hak (2024). "Pathologic diagnosis and molecular features of gastrointestinal stromal tumors: a mini-review". Frontiers in Oncology. 14 1487467. doi:10.3389/fonc.2024.1487467. ISSN 2234-943X. PMC 11611718. PMID 39629000.
{{cite journal}}: Check|pmc=value (help); Check|pmid=value (help) - ^ أ ب ت ث Hersh MR, Choi J, Garrett C, Clark R (2005). "Imaging Gastrointestinal Stromal Tumors". Cancer Control. 12 (2): 111–115. doi:10.1177/107327480501200206. PMID 15855894. S2CID 26071847.
- ^ أ ب ت ث Pidhorecky I, Cheney RT, Kraybill WG, Gibbs JF (2000). "Gastrointestinal stromal tumors: current diagnosis, biologic behavior, and management". Ann Surg Oncol. 7 (9): 705–12. doi:10.1007/s10434-000-0705-6. PMID 11034250. S2CID 663887.
- ^ أ ب Shojaku H, Futatsuya R, Seto H, et al. (1997). "Malignant gastrointestinal stromal tumor of the small intestine: radiologic-pathologic correlation". Radiat Med. 15 (3): 189–92. PMID 9278378.
- ^ أ ب ت ث NCCN Clinical Practice Guidelines in Oncology Soft Tissue Sarcomas, version 3.2012. National Comprehensive Cancer Network.[1] Archived 2007-06-30 at the Wayback Machine
- ^ Carlson JW, Fletcher CD (2007). "Immunohistochemistry for beta-catenin in the differential diagnosis of spindle cell lesions: analysis of a series and review of the literature". Histopathology. 51 (4): 509–14. doi:10.1111/j.1365-2559.2007.02794.x. PMID 17711447.
- ^ Lehnert T (1998). "Gastrointestinal sarcoma (GIST)--a review of surgical management". Ann Chir Gynaecol. 87 (4): 297–305. PMID 9891770.
- ^ Levine MS, Buck JL, Pantongrag-Brown L, et al. (1996). "Leiomyosarcoma of the esophagus: radiographic findings in 10 patients". AJR Am J Roentgenol. 167 (1): 27–32. doi:10.2214/ajr.167.1.8659399. PMID 8659399.
- ^ Tervahartiala P, Halavaara J (1998). "Radiology of GIST. Gastrointestinal stromal tumours". Ann Chir Gynaecol. 87 (4): 291–2. PMID 9891768.
- ^ Ulusan S, Koc Z, Kayaselcuk F (2008). "Gastrointestinal stromal tumours: CT findings". Br J Radiol. 81 (968): 618–623. doi:10.1259/bjr/90134736. PMID 18628330.
- ^ Casali PG, Blay JY (2010). "Gastrointestinal stromal tumours: ESMO Clinical Practice Guidelines for diagnosis, treatment and follow-up". Annals of Oncology. 21 (suppl 5): v98–v102. doi:10.1093/annonc/mdq208. PMID 20555113.[2]
- ^ Bamboat ZM (2012). "Updates on the management of gastrointestinal stromal tumors". Surg Oncol Clin N Am. 21 (2): 301–16. doi:10.1016/j.soc.2011.12.004. PMC 3386646. PMID 22365521.
- ^ أ ب Rice, Daniel; Rattner, David (2024). "Laparoscopic resection of gastric GIST tumor". J Med Insight. 2024 (129). doi:10.24296/jomi/129.
- ^ Nguyen SQ, Divino CM, Wang JL, Dikman SH (May 2006). "Laparoscopic management of gastrointestinal stromal tumors". Surg Endosc. 20 (5): 713–6. doi:10.1007/s00464-005-0435-8. PMID 16502196. S2CID 12838290.
- ^ Lee, Chung-Ho; Hyun, Myung-Han; Kwon, Ye-Ji; Cho, Sung-Il; Park, Sung-Soo (2012). "Deciding Laparoscopic Approaches for Wedge Resection in Gastric Submucosal Tumors: A Suggestive Flow Chart Using Three Major Determinants". Journal of the American College of Surgeons. 215 (6): 831–840. doi:10.1016/j.jamcollsurg.2012.07.009. PMID 22951033.
- ^ أ ب ت Kantarjian, HM; Wolff, RA; Koller, CA. (2011). The MD Anderson Manual of Medical Oncology (2nd ed.). McGraw-Hill. ISBN 978-0-07-170106-8.
- ^ أ ب Wilkinson MJ, Fitzgerald JE, Strauss DC, Hayes AJ, Thomas JM, Messiou C, Fisher C, Benson C, Tekkis PP, Judson I (August 2015). "Surgical treatment of gastrointestinal stromal tumour of the rectum in the era of imatinib". Br J Surg. 102 (8): 965–971. doi:10.1002/bjs.9818. PMID 25970743. S2CID 2810885.
- ^ Joensuu, Heikki (2012-06-01). "Adjuvant treatment of GIST: patient selection and treatment strategies". Nature Reviews. Clinical Oncology. 9 (6): 351–8. doi:10.1038/nrclinonc.2012.74. ISSN 1759-4782. PMID 22525709. S2CID 12733166.
- ^ أ ب ت ث Joensuu, Heikki (2012-10-22). "Adjuvant therapy for high-risk gastrointestinal stromal tumour: considerations for optimal management". Drugs. 72 (15): 1953–63. doi:10.2165/11635590-000000000-00000. ISSN 0012-6667. PMID 22994537. S2CID 43794982.
- ^ Reichardt P, Blay JY, Boukovinas I, et al. (2012). "Adjuvant therapy in primary GIST: state-of-the-art". Annals of Oncology. 23 (11): 2776–2781. doi:10.1093/annonc/mds198. PMID 22831984.
- ^ Cohen MH, Johnson JR, Justice R, Pazdur R (2012). "Approval summary: imatinib mesylate for one or three years in the adjuvant treatment of gastrointestinal stromal tumors. U.S. Food and Drug Administration, Silver Spring, MD 20993-0002, USA". Oncologist. 17 (7): 992–997. doi:10.1634/theoncologist.2012-0109. PMC 3399657. PMID 22643537.
- ^ Patel Shreyaskumar R; Wong Patrick (2009). "The Efficacy of Imatinib in Unresectable/Metastatic Gastrointestinal Stromal Tumors". US Oncology. 5 (1): 61–4. doi:10.17925/ohr.2009.05.1.61. S2CID 78453531.
- ^ Okuno, S (14 Sep 2011). "The Use of Tyrosine Kinase Inhibitors for Gastrointestinal Stromal Tumors (GIST)". Contemporary Oncology. Spring 2011. 3.
- ^ "News: Genetic Variations in GI Tumors Determine Which Medications Are Efficacious". Genetic Engineering & Biotechnology News. 13 Nov 2008.
- ^ ASCO-SEP 3rd ed
- ^ "FDA approves avapritinib for gastrointestinal stromal tumor with a rare mutation". FDA. 9 January 2020.
- ^ Verma S, Reddy R, Chandrashekhara SH, Shamim SA, Tripathy S, Rastogi S (2021). "Avapritinib in advanced gastrointestinal stromal tumor: case series and review of the literature from a tertiary care center in India". Future Sci OA. 7 (4): FSO676. doi:10.2144/fsoa-2020-0178. PMC 8015663. PMID 33815822.
- ^ Pazdur, Richard. FDA Approval for Regorafenib. National Cancer Institute.[3] Archived 2014-07-05 at the Wayback Machine
- ^ أ ب Pappo AS, Janeway KA (Feb 2009). "Pediatric gastrointestinal stromal tumors". Hematol Oncol Clin North Am. 23 (1): 15–34. doi:10.1016/j.hoc.2008.11.005. PMID 19248968.
- ^ Rege TA, Wagner AJ, Corless CL, Heinrich MC, Hornick JL (Apr 2011). ""Pediatric-type" gastrointestinal stromal tumors in adults: distinctive histology predicts genotype and clinical behavior". Am J Surg Pathol. 35 (4): 495–504. doi:10.1097/PAS.0b013e31820e5f7d. PMID 21358303. S2CID 40111082.
<ref> ذو الاسم "Kelly2013" المُعرّف في <references> غير مستخدم في النص السابق.المراجع
- de Silva CM, Reid R (2003). "Gastrointestinal stromal tumors (GIST): c-KIT mutations, CD117 expression, differential diagnosis and targeted cancer therapy with Imatinib" (PDF). Pathol Oncol Res. 9 (1): 13–9. doi:10.1007/BF03033708. PMID 12704441. S2CID 3814815.
- Kitamura Y, Hirota S, Nishida T (Apr 2003). "Gastrointestinal stromal tumors (GIST): a model for molecule-based diagnosis and treatment of solid tumors". Cancer Sci. 94 (4): 315–20. doi:10.1111/j.1349-7006.2003.tb01439.x. PMC 11160165. PMID 12824897. S2CID 31070671.
{{cite journal}}: Check|pmc=value (help) - Serrano C, Martín-Broto J, Asencio-Pascual JM, López-Guerrero JA, Rubió-Casadevall J, Bagué S, García-Del-Muro X, Fernández-Hernández JÁ, Herrero L, López-Pousa A, Poveda A, Martínez-Marín V (August 2023). "GEIS Guidelines for gastrointestinal stromal tumors". Ther Adv Med Oncol. 15 17588359231192388. doi:10.1177/17588359231192388. PMC 10467260. PMID 37655207.
وصلات خارجية
- GIST Cancer UK
- Surgery Questions in GIST ESUN (August 15, 2006)
- SPAEN (Sarcoma Patients EuroNet) - European Network of Sarcoma, GIST and Desmoid Patient Advocacy Groups
- GIST Support International
- Life Raft Group International GIST Advocacy Organization
- American Cancer Society Patient Guide to GIST tumors.
- Cancer.Net: Gastrointestinal Stromal Tumor
| Classification | |
|---|---|
| External resources |
- CS1 errors: PMC
- CS1 errors: PMID
- CS1 الإنجليزية البريطانية-language sources (en-gb)
- CS1 الألمانية-language sources (de)
- الصفحات بخصائص غير محلولة
- Short description is different from Wikidata
- Articles with unsourced statements from September 2014
- Articles with unsourced statements from April 2025
- Articles with dead external links from April 2016
- سرطان الجهاز الهضمي