جنف
جنف | |
---|---|
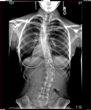
جنف فتاة قوقازية عمرها 16 سنة؛ آشعة سينية أمامية، واقفة، بملابسها | |
التبويب والمصادر الخارجية | |
التخصص | الأورتوبيديا |
ICD-10 | M41. |
Patient UK | فشل عرض الخاصية P1461: لم يتم العثور على الخاصية P1461. جنف |
الجنف Scoliosis قوس جانبي يصيب العمود الفقري. وفي معظم الحالات يصبح هذا الوضع ظاهرًا في فترة المراهقة أو قبل ذلك. ويصيب الجنف البنات أكثر من البنين، لكن الأطباء لا يعرفون سببًا لذلك. وقد تؤدي الحالات المتقدمة أيضًا إلى تشوه شديد قد يؤثر في القلب والرئتين والجهاز العصبي. وهذا التشوه يمكن أن يؤدي أيضًا إلى مشاكل نفسية. والأطباء لا يعرفون سبب الإصابة في معظم الحالات، لذلك فإن بعض الحالات تنتج من أمراض في العضلات أو نتيجة تشوهات خلقية عند الميلاد.

الاصابة والعلاج
وكثير من الناس مصابون بأحد أشكال الجنَف، لكن نسبة قليلة فقط تحتاج إلى علاج طبي. والحالات المتوسطة يتم الكشف عليها بانتظام للتأكد من عدم تفاقمها. ويصف جراحو تقويم الأعضاء عمومًا دعامة أو رباطاً للظهر وتمرينات معينة، لتقويم الجنف عند الصغار الذين لم يكتمل نمو هيكلهم العظمي. وفي أوائل ثمانينيات القرن العشرين، بدأ كثير من الأطباء تجربة الجلسات الكهربائية، بدلاً من الدعامة أو الرباط لتقويم الجنف. وفي هذا الإجراء يتم توصيل أجهزة إرسال كهربائية بأقطاب توضع على ظهر المريض، أو تتم زراعتها جراحيًا تحت الجلد. وتقوم الأجهزة الكهربائية بحثّ العضلات الخلفية الداخلية؛ حتى تنقبض وتشد العمود الفقري إلى الخط.
وقد يتطلب الجنف الحاد الجراحة لتقويم الفقرات وضمها في منطقة التقوس. وفي كثير من الحالات، يتم توصيل قضيب معدني إلى العمود الفقري بصفة دائمة، ويرتدي المريض قالبًا جسديًا لعدة أشهر، بعدها يمكن استئناف معظم الأنشطة الطبيعية.
الاعراض
وفي معظم الحالات، يغني الكشف المبكر وعلاج الجنف عن الجراحة. وتقوم بعض الدول بإجراء الاختبارات على التلاميذ من سن 10 إلى 15 سنة لكشف أعراض الجنَف وتشمل أعراض هذا المرض الوركين، والكتفين غير المستويين، والعظم الكتفي البارز، وحدبة في الظهر.