سرطان الغدة الدرقية في الخلايا الحرشفية

سرطان الغدة الدرقية في الخلايا الحرشفية
الأسماء الأخرىSCTC
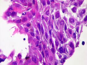
Squamous cell carcinoma 4.jpg
Micrograph of squamous-cell carcinoma (H&E stain)
التخصصعلم الأورام

سرطان الغدة الدرقية في الخلايا الحرشفية (إنگليزية: Squamous-cell thyroid carcinomaسرطان الغدة الدرقية في الخلايا الحرشفية هو ورم خبيث نادر في الغدة الدرقية يظهر الخلايا السرطانية ذات التمايز الحرشفية المتميزة. نسبة حدوث سرطان الغدة الدرقية في الخلايا الحرشفية أقل من 1٪ من أورام الغدة الدرقية الخبيثة .[1]

علم التشريح المرضي

لا توجد الخلايا الظهارية الحرشفية في الغدة الدرقية الطبيعية ، وبالتالي فإن أصل سرطان الغدة الدرقية في الخلايا الحرشفية غير واضح. ومع ذلك ، قد يكون مشتقًا من البقايا الجنينية مثل القناة الدرقية اللسانية أو الشقوق الخيشومية. غالبًا ما يتم تشخيص سرطان الغدة الدرقية في الخلايا الحرشفية في أحد فصوص الغدة الدرقية ، ولكن ليس في الفص الهرمي. يمكن أن تكون طريقة أخرى ممكنة لتطوير سرطان الغدة الدرقية في الخلايا الحرشفية من خلال حؤول الخلايا الحرشفية. ومع ذلك ، فإن هذه النظرية مثيرة للجدل أيضًا [مطلوب توضيح] نظرًا لأن التهاب الغدة الدرقية هاشيموتو والتهاب الغدة الدرقية الليمفاوي المزمن (يجب إظهار الأورام  الحؤول الحرشفية) غير مرتبط بـسرطان الغدة الدرقية في الخلايا الحرشفية. عادة ما يتم تشخيص سرطان الغدة الدرقية في الخلايا الحرشفية الأولية في كل من فصوص الغدة الدرقية. يُظهر التشريح المرضي لسرطان الغدة الدرقية في الخلايا الحرشفية تمايزًا حرفيًا للخلايا السرطانية..

التشخيص

يُعد سرطان الغدة الدرقية في الخلايا الحرشفية ورمًا خبيثًا عدوانيًا بيولوجيًا يرتبط بالنمو السريع لكتلة الرقبة يليه تسلل إلى الهياكل المجاورة للغدة الدرقية. عادة ما يظهر المرضى عسر البلع وضيق التنفس وتغيرات الصوت ، وكذلك الألم الموضعي في الرقبة.

خزعة بالإبرة

يجب إجراء خزعة بالإبرة الموجه بالموجات فوق الصوتية للتحقق من سرطان الغدة الدرقية في الخلايا الحرشفية.

الفحص بالأشعة

لا توجد اختبارات إشعاعية محددة للتحقق من سرطان الغدة الدرقية في الخلايا الحرشفية. ومع ذلك ، قد تكون هذه الاختبارات مفيدة في تحديد حدود الورم وفي التخطيط لعملية جراحية.

دلالات الأورام

يتم إجراء الكيمياء الانسجة المناعية كاختبار إضافي. تم عرض التعبير الإيجابي القوي للسيتوكيراتين 19 في سرطان الغدة الدرقية في الخلايا الحرشفية الأولي ، والسلبي في سرطان الغدة الدرقية في الخلايا الحرشفية النقيلي.

العلاج

يُظهر استئصال الغدة الدرقية وتشريح الرقبة نتائج جيدة في المراحل المبكرة من سرطان الغدة الدرقية في الخلايا الحرشفية. ومع ذلك ، بسبب النمط الظاهري شديد العدوانية ، فإن العلاج الجراحي غير ممكن دائمًا. إن سرطان الغدة الدرقية في الخلايا الحرشفية هو ورم حراري لليود المشع. قد يكون العلاج الإشعاعي فعالًا في بعض الحالات ، مما يؤدي إلى معدل بقاء و جودة حياة أفضل نسبيًا. فينكريستين ، أدرياميسين ، و بليوميسين يستخدموا في العلاج الكيميائي المساعد، ولكن آثارها ليست جيدة بما فيه الكفاية وفقا لسلسلة المنشورة.

المآل

يُظهرسرطان الغدة الدرقية في الخلايا الحرشفية نمطًا ظاهريًا شديد العدوانية ، وبالتالي فإن تشخيص هذا الورم الخبيث ضعيف للغاية. معدل البقاء على قيد الحياة أقل من عام واحد في معظم الحالات.[2]

المصادر

  1. ^ MI Syed; M Stewart; S Syed; S Dahill; C Adams; DR Mclellan; LJ Clark (2011). "Squamous cell carcinoma of the thyroid gland: primary or secondary disease?". The Journal of Laryngology & Otology. 125 (1): 3–9. doi:10.1017/S0022215110002070. PMID 20950510.
  2. ^ Booya F, Sebo TJ, Kasperbauer JL, Fatourechi V (2006). "Primary squamous cell carcinoma of the thyroid: report of ten cases". Thyroid. 16 (1): 89–93. doi:10.1089/thy.2006.16.89. PMID 16487020.

روابط خارجية

Classification
V · T · D
External resources