غدوم الجار درقية

غدوم الجار درقية
Blausen 0533 Parathyroid adenoma.png
ورم غدي في الجار درقية
التخصصعلم الأورام Edit this on Marefadata

غدوم الجار درقية هو ورم حميد في الغدة الجار درقية. عادة ما يسبب فرط نشاط جارات الدرقية. هناك عدد قليل جدًا من التقارير عن غدومات الجار درقية التي لم تكن مرتبطة بفرط نشاط جارات الدرقية.[1]

عادة ما يكون لدى الإنسان أربع غدد جارات درقية تقع على السطح الخلفي للغدة الدرقية في الرقبة. من أجل الحفاظ على استقلاب الكالسيوم ، تفرز الغدد جارات الدرقية هرمون الغدة الجار درقية (PTH) الذي يحفز العظام على إطلاق الكالسيوم والكلى لإعادة امتصاصه من البول إلى الدم ، وبالتالي زيادة مستوى الكالسيوم في المصل. يتعارض عمل الكالسيتونين مع هرمون الجار درقية. عندما يتسبب غدوم الجار درقية في فرط نشاط جارات الدرقية ، يتم إفراز المزيد من هرمون الغدة الجار درقية ، مما يؤدي إلى ارتفاع تركيز الكالسيوم في الدم ، مما يؤدي إلى فرط كالسيوم الدم.[2]

العلامات والاعراض

يمكن أن تشمل العلامات الأولى لغدوم الجار درقية وفرط نشاط جارات الدرقية الأولي كسور العظام وحصى المسالك البولية مثل حصوات الكلى.[1]

في كثير من الأحيان ، يتم تشخيص غدوم الجار درقية من خلال اكتشاف عرضي في اختبارات الدم التي تكشف عن مستويات عالية من الكالسيوم.[3] قد لا يعاني المرضى من أي أعراض ملحوظة ولكن يمكن أن ينتجوا كميات زائدة من الكالسيوم وفي النهاية يعانون من مشاكل في وقت لاحق في الحياة إذا لم يتم علاجهم. ومع ذلك ، إذا كانت مصحوبة باعراض ، يمكن أن يعاني المرضى من: ألم أو عدم راحة في المفاصل والعضلات والبطن. الاكتئاب وتغيرات المزاج بسبب الاختلال الهرموني.;[4] الإمساك. إالتعب؛ وتلف الكلى.[4]

الجينات

يمكن أن يترافق غدوم الجار درقية مع الإفراط في التعبير عن الجين سيكلين دي1.[5] كما أنه يرتبط أيضًا بأورام الغدد الصماء المتعددة (MEN)).[6]

التشخيص

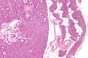
صورة مجهرية لغدوم الجار درقية (يسار) وغدة جارات درقية طبيعية (يمين). صبغة الهيماتوكسيلين واليوزين.

يتم تأكيد فرط نشاط جارات الدرقية عن طريق اختبارات الدم مثل مستويات الكالسيوم وهرمون الغدة الدرقية. اختبار محدد لغدوم الجار درقية هو التصوير الومضاني لغدة الجار درقية سيستاميبي. تكشف تقنية التصوير النووي هذه عن وجود وموقع أنسجة جارات الدرقية المرضية.[7]

العلاج

الجراحة هي العلاج الوحيد لغدوم الجار درقية.[8] إنه ناجح حوالي 95٪ اغلب الوقت استئصال جارات الدرقية هو إزالة الغدة (الغدد) المصابة. كان معيار علاج فرط نشاط جارات الدرقية الأولي في السابق أسلوبًا جراحيًا يسمى استكشاف الرقبة الثنائي ، حيث يتم فتح الرقبة من كلا الجانبين ، وتحديد الغدة الجار درقية ، وإزالة الأنسجة المصابة.[9] بحلول الثمانينيات ، أصبح الاستكشاف من جانب واحد أكثر شيوعًا.[9] يمكن الآن إجراء استئصال جارات الدرقية بأسلوب طفيف التوغل ، ويرجع ذلك أساسًا إلى أن تقنيات التصوير يمكن أن تحدد موقع الأنسجة.[9] تشمل التقنيات الأقل توغلاً الإجراءات المفتوحة الأصغر ، والإجراءات الموجَّهة بالراديو والتي تتم بمساعدة الفيديو ، والجراحة بالمنظار بالكامل.[9]

قبل إجراء الجراحة ، يجب تحديد مكان النسيج الغدي المصاب. على الرغم من أن الغدد الجار درقية تقع عادة في الجزء الخلفي من الغدة الدرقية ، إلا أن وضعها متغير. يعاني بعض الأشخاص من غدة جارات درقية واحدة أو أكثر في مكان آخر في تشريح الرقبة أو في الصدر. حوالي 10٪ من غدومات الجار درقية تكون منتبذة ، و لا تقع على طول الجزء الخلفي من الغدة الدرقية ولكن في أماكن أخرى في الجسم، وأحيانا في المنصف من الصدر.[8] هذا يمكن أن يجعل من الصعب تحديد موقعهم ، لذلك يتم استخدام تقنيات التصوير المختلفة ، مثل مسح سيستاميبي ، والتصوير المقطعي المحوسب بإصدار فوتون واحد (SPECT) ، والموجات فوق الصوتية ، والتصوير بالرنين المغناطيسي،[8] والتصوير المقطعي المحوسب.[8][10] بعض الأحيان يمكن استئصال غدوم الجار درقية عن طريق حقن الإيثانول أو الليزر أو الترددات الراديوية الموجهة بالموجات فوق الصوتية.

الصور المجهرية

انظر ايضا

المصادر

  1. ^ أ ب Sekine O, Hozumi Y, Takemoto N, Kiyozaki H, Yamada S, Konishi F (March 2004). "Parathyroid adenoma without hyperparathyroidism". Japanese Journal of Clinical Oncology. 34 (3): 155–8. doi:10.1093/jjco/hyh028. PMID 15078912.
  2. ^ Felsenfeld AJ, Rodríguez M, Aguilera-Tejero E (November 2007). "Dynamics of parathyroid hormone secretion in health and secondary hyperparathyroidism". Clinical Journal of the American Society of Nephrology. 2 (6): 1283–305. doi:10.2215/CJN.01520407. PMID 17942777.
  3. ^ (2012) The New York Times, Health Guideقالب:Vs
  4. ^ أ ب "Parathyroid adenoma: Diagnosis & treatment". Cleveland Clinic. June 11, 2012.
  5. ^ Hsi ED, Zukerberg LR, Yang WI, Arnold A (May 1996). "Cyclin D1/PRAD1 expression in parathyroid adenomas: an immunohistochemical study". The Journal of Clinical Endocrinology and Metabolism. 81 (5): 1736–9. doi:10.1210/jcem.81.5.8626826. PMID 8626826.
  6. ^ "Multiple Endocrine Neoplasia". The Lecturio Medical Concept Library. Retrieved 11 August 2021.
  7. ^ Goldstein RE, Billheimer D, Martin WH, Richards K (May 2003). "Sestamibi scanning and minimally invasive radioguided parathyroidectomy without intraoperative parathyroid hormone measurement". Annals of Surgery. 237 (5): 722–30, discussion 730–1. doi:10.1097/01.SLA.0000064362.58751.59. PMC 1514518. PMID 12724639.
  8. ^ أ ب ت ث Dsouza, Caren; Gopalakrishnan; Bhagavan, KR; Rakesh, K (2012). "Ectopic parathyroid adenoma". Thyroid Research and Practice. 9 (2): 68–70. doi:10.4103/0973-0354.96061.{{cite journal}}: CS1 maint: unflagged free DOI (link)
  9. ^ أ ب ت ث Bellantone R, Raffaelli M, DE Crea C, Traini E, Lombardi CP (August 2011). "Minimally-invasive parathyroid surgery". Acta Otorhinolaryngologica Italica. 31 (4): 207–15. PMC 3203720. PMID 22065831.
  10. ^ Zald PB, Hamilton BE, Larsen ML, Cohen JI (August 2008). "The role of computed tomography for localization of parathyroid adenomas". The Laryngoscope. 118 (8): 1405–10. doi:10.1097/MLG.0b013e318177098c. PMID 18528308. S2CID 46264400.

وصلات خارجية

Classification
V · T · D
External resources