ورم خلوي صنوبري
| ورم خلوي صنوبري | |
|---|---|
| الأسماء الأخرى | ورم الغدة الصنوبرية |
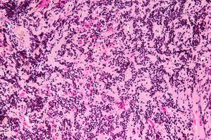
| صورة مجهرية لورم صنوبري خلوي. صبغة هيماتوكسلين فلوكسين الصفراء. | |
| التخصص | علم الأورام |
ورم خلوي صنوبري، هو حميد، ورم ينمو ببطء من الغدة الصنوبرية. على عكس حالة كيس الغدة الصنوبرية، فهو غير شائع.
التشخيص
يتم تشخيص الأورام الخلوية الصنوبرية من الأنسجة،مثل خزعة الدماغ
وهي تتكون من:
- خلايا حميدة خلويًا (ذات نوى ذات حجم موحد، وأغشية نووية منتظمة، وكروماتين خفيف))[citation needed]
- لها الوردية الخلوية الصنوبرية / الوردية الخلوية العصبية المميزة، وهي عبارة عن ترتيب دائري / شبيه بالزهور غير منتظم للخلايا مع شبكة كبيرة من الألياف ( اللبد العصبي ) في المركز.[1] الوردية الخلوية الصنوبرية / الوردية الخلوية العصبية تشبه بشكل سطحي وردة هوميروس رايت. ومع ذلك، فهي تختلف عن وردة هوميروس رايت لأنها تحتوي على (1) المزيد من اللبد العصبي في مركز الوردة و (2) حافة الشبكة العصبية غير المنتظمة / المتموجة
المعالجة
هذا القسم فارغ. بإمكانك المساعدة بأن تضيف إليه. (November 2017) |
انظر ايضا
المراجع
الروابط الخارجية
| Classification | |
|---|---|
| External resources |
This article contains content from Wikimedia licensed under CC BY-SA 4.0. Please comply with the license terms.