ورم المخ

(تم التحويل من سرطان المخ)
Eyad
ساهم بشكل رئيسي في تحرير هذا المقال
ورم المخ
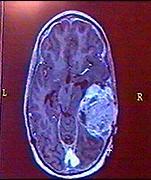
Hirnmetastase MRT-T1 KM.jpg
Brain metastasis in the right cerebral hemisphere from lung cancer shown on T1-weighted magnetic resonance imaging with intravenous contrast. (L=left, P=posterior, back of the head)
التبويب والمصادر الخارجية
التخصصعلم الأورام, جراحة المخ والأعصاب, طب الجهاز العصبي
ICD-10C71., D33.0-D33.2
ICD-9-CM191, 225.0
DiseasesDB30781
MedlinePlus007222 000768
eMedicineemerg/334
Patient UK

فشل عرض الخاصية P1461: لم يتم العثور على الخاصية P1461.

ورم المخ
MeSHD001932
ورم دماغي

سرطان الدماغ Brain Tumor، هو إنقسام غير طبيعي وغير منتظم لخلايا الدماغ سواء في المخ أو المخيخ أو الحبل الشوكي والذي يسبب إنضغاط لأجزاء الدماغ الأخرى و بالتالي فقدان لإحدى الوظائف أو ضعفها.

وأورام الدماغ الأولية (أي التي منشأها الأصلي الدماغ) نادرة جداً، بعكس أورام الدماغ الثانوية التي تكون ناتجة عن إنتشار الورم من أعضاء أخرى بالجسم وصولاً إلى الدماغ.

تقسيم سرطان الدماغ

حسب مكان ومنشأ الورد

أورام ثانوية

حسب سلوك الورم

الأورام الدماغية الحميدة

الأورام هنا لا تحتوي على خلايا سرطانية وتبدو طبيعية تحت المجهر ونموها بطيئ عادة.

الأورام الدماغية الخبيثة

وهي التي تسمى سرطان الدماغ، تنمو بسرعة وتغزو في أغلب الأحيان أو تتكاثرفي مناطق سليمة من الدماغ.

تطور الورم حسب نوع النسيج

Corresponding regions of human and shark brain are shown. The shark brain is splayed out, while the human brain is more compact. The shark brain starts with the medulla, which is surrounded by various structures, and ends with the telencephalon. The cross-section of the human brain shows the medulla at the bottom surrounded by the same structures, with the telencephalon thickly coating the top of the brain.
Main anatomical regions of the vertebrate brain

في طب الأطفال

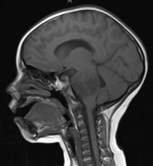
A brainstem glioma in four year old. MRI sagittal, without contrast

الأسباب

ليس له أسباب معروفه حتى الآن. ولكن قد تتدخل بعض العوامل البيئية أو الوراثية.

الهاتف النقال

في يونيو 2011 أعلنت لجنة تابعة لمنظمة الصحة العالمية إلى إمكانية وجود علاقة بين استخدام الهواتف النقالة والإصابة بسرطان المخ. وقد وضع تقرير المنظمة الهواتف النقالة في نفس فئة المبيد الحشري دي دي تي والعوادم النتائجة عن محركات البنزين. وقال العلماء ان هذه النتيجة قد تدفع منظمة الصحة العالمية لاعادة النظر في إرشاداتها بشأن الهواتف النقالة، لكنهم أضافوا أنه من الضروري اجراء مزيد من الأبحث قبل الجزم بوجود أي ارتباط محتمل.[1]

ولقيت هذه النتائج المجموعة رفضا شديدا من جانب الرابطة الدولية لصناعة الاتصالات اللاسلكية (سي تي آي إيه). وقال جوناثان سامت، رئيس مجموعة الوكالة الدولية لأبحاث السرطان، في بيان عبر الهاتف «بعد مراجعة جميع الأدلة ذات الصلة بشكل أساسي صنف فريق العمل مجالات الموجات الكهرومغناطيسية اللاسلكية على أنها يحتمل أن تسبب السرطان للبشر». وقال إن بعض الأدلة تشير إلى وجود صلة بين زيادة خطر الإصابة بورم دبقي، وهو نوع من أنواع سرطان الدماغ، واستخدام الهاتف الجوال. وقالت الرابطة في بيان «أجرت الوكالة الدولية لأبحاث السرطان مراجعات كثيرة في الماضي وطرحت النتيجة نفسها بالنسبة للخضراوات المخللة والقهوة». وأضافت أن لجنة الاتصالات الاتحادية الأميركية وإدارة الغذاء والدواء لم تعثرا على دليل علمي يربط ما بين الهواتف النقالة والإصابة بالسرطان. وقال نائب رئيس الرابطة جون وولز «هذا التصنيف لا يعني أن الهواتف لنقالة تسبب السرطان».

خصائص الأورام


الأعراض والعلامات

أورام الدماغ سواءً كانت حميدة او خبيثة تتسبب بأعراض متشابهة والتي تختلف بحسب مكان حدوثها من الدماغ. ومن هذه الأعراض:

  • الصداع خاصةً الذي يصيب الشخص صباحاً.
  • الغثيان و التقيؤ.
  • حدوث تشنجات.
  • ضعف بعض الأطراف كالعلوية أو السفلية.
  • ضعف بعض الحواس أو تأثرها.
الإشارات المزعجة السبب المحتمل ليُستقصَى
أول شكوى من صداع من مريض فوق الخمسين arteriïtis temporalis]
أول نوبة صداع نصفي في مريض فوق الأربعين ورم في المخ
صداع من مريض تحت السادسة ورم في المخ، hydrocephalus
مريض عجوز مع ألم في الصدغين arteriïtis temporalis
حمل مع صداع غير معروف pre-eclampsia
increased headaches after trauma sub/epidural hematoma
high-pitched headaches with high blood pressure malign hypertension
acute high pitched headache meningitis, CVA (Cerebrovascular accident or stroke), subarachnoidal hemorrhage
headache and fever (with reduced consciousness) meningitis
Stiffness of the neck/neurological dysfunction meningitis, ورم في المخ
headache with signs of elevated intracranial pressure ورم في المخ
focal neurological dysfunction ورم في المخ
early morning vomiting or vomiting unrelated to headache or other illness ورم في المخ
behavioral changes or rapid decline in school results ورم في المخ
aura migraine always at one side ورم في المخ

ورم أرومي دبقي

ورم الدبقيات القليلة التغصن

التشخيص

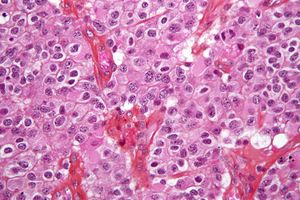
[Micrograph

of an oligodendroglioma, a type of brain cancer. Brain biopsy. H&E stain.]]

عن عمل أشعة مقطعية للرأس للتأكد من وجود ورم بعد عمل الفحص السريري. كما ان فحص الجهاز العصبي مهم حتى يمكن معرفة مكان الإصابة في الدماغ.

ومن الفحوص الأخرى التي يمكن اجراؤها هو حقن مادة ملونة في احد الشرايين المغذية للمخ ثم تصوير الرأس حيث تظهر كافة الشرايين هناك، وهذا الفحص يجرى عادةً إذا كان هناك نية لإجراء عملية جراحية لاستئصال الورم.

العلاج

العلاج الجراجي

التدخل الجراحي لإستئصال الورم إذا كان موضعي لإزالة الضغط الواقع على الأجزاء الأخرى. ولكن احياناً يكون من الصعب اجراء العملية اذا كان الورم قريب من مكان حيوي هام في المخ.

العلاج الإشعاعي

العلاج الإشعاعي وقد تم في العقدين الماضيين تطوير تقنيات جديدة في العلاج الإشعاعي بحيث يتم استهداف منطقة الورم الدماغي دون أذية الأنسجة السليمة المجاورة يستعمل في العلاج الإشعاعي التقليدي أشعة خارجية كالأشعة السينية أو أشعة غاما أو بروتونات تستهدف الورم لقتل خلايا السرطان وتقلص الأورام الدماغية. إن العلاج يعطي عادة على فترة عدة أسابيع.

العلاج الكيميائي

العلاج الكيميائي مع ان الفائدة منه محدودة حيث ان العقاقير والمواد الفعالة لا يمكنها الدخول الى المخ عن طريق الأوعية الدموية بسبب الحاجز الدماغي الدموي ولكن يمكن حقن العقار أو الدواء في السائل الدماغي الشوكي.

أنواع أخرى

الإنتشار

القياس الجنس DASR كل الأعمار تحت 1 1-4 5-9 10-14 15-19 20-24 25-29 30-34 35-39 40-44 45-49 50-54 55-59 60-64 65-69 70-74 75-79 80-84 85+
أرقام مطلقة ذ 2.13 7 34 39 31 37 33 48 61 87 100 116.1 142 242 264 258 237 193 128 73
م 1.598 7 42 39 37 28 25 37 50 42 73 87 99 140 191 166 169 158 111 97
المعدلات لكل 100.000 نسمة M 7,7 8,5 2,1 2,8 2,7 2,0 2,1 1,9 2,8 3,7 4,6 5,1 6,6 9,3 15,7 18,6 24,0 25,8 26,7 26,6 21,2
F 5,3 6,2 2,2 3,6 2,8 2,5 1,7 1,5 2,2 3,0 2,2 3,7 4,9 6,3 8,8 12,9 14,3 16,2 17,1 15,1 12,8

انظر أيضا

المصادر

  1. ^ "مصنعون يشككون في وجود علاقة بين الهواتف الجوالة والإصابة بالسرطان". جريدة الشرق الأوسط. 2011-06-03. Retrieved 2011-06-03.

وصلات خارجية