ورم مخاطي حليمي داخل قناة الپنكرياس
ورم مخاطي حليمي داخل قناة الپنكرياس Intraductal papillary mucinous neoplasm | |
---|---|
![]() | |
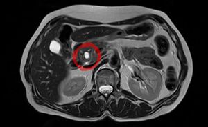
ورم مخاطي حليمي داخل قناة الپنكرياس يظهر في تصوير بالرنين المغناطيسي. | |
التبويب والمصادر الخارجية | |
ICD-10 | D13.6{{{2}}}.{{{3}}} |
Patient UK | فشل عرض الخاصية P1461: لم يتم العثور على الخاصية P1461. ورم مخاطي حليمي داخل قناة الپنكرياسIntraductal papillary mucinous neoplasm |
ورم مخاطي حليمي داخل قناة الپنكرياس (Intraductal papillary mucinous neoplasm؛ IPMN) هو نوع من الأورام التي يمكن أن تحدث داخل خلايا قناة الپنكرياس. تُنتج هذه النوعية من الأورام مخاطاً،[1] وهذا المخاط يمكن أن يشكـِّل كيسات پنكرياسية.[2] وبالرغم من أن الأورام المخاطية الحليمية داخل قناة البنكرياس هي أورام حميدة، فيمكنهم أن يتطوروا إلى سرطان الپنكرياس.[1] ولذلك يُنظر إلى IPMN على أنها ورم محتمل الخباثة.[3] وبمجرد أن يـُعثر على ورم مخاطي حليمي داخل قناة البنكرياس، فإن خيارات الإدارة تتضمن المراقبة اللصيقة والجراحة الوقائية.[بحاجة للاستشهاد الطبي]

العلاج
العلاج المختار للأورام المخاطية الحليمية في القناة الرئيسية هو الاستئصال الجزئي بسبب أن احتمال تطورها لورم خبيث يناهز 50%. الأورام المخاطية الحليمية في فرع جانبي أحياناً تُتابَع بين الفينة والأخرى بانتظام باستخدام الآشعة المقطعية أو تصوير الرنين المغناطيسي، ولكن معظمهم في النهاية يجري استئصاله جزئياً، وتبلغ نسبة الأورام الخبيثة بين الأورام المستأصلة نحو 30%. الحياة لخمس سنوات بعد الاستئصال الجزئي لـ IPMN بدون ورم خبيث هو تقريباً 80%، 85% بورم خبيث بدون الانتشار إلى الغدد اللمفاوية و 0% في حال ورم خبيث منتشر إلى الغدد اللمفاوية.[4] الجراحة قد تتضمن استئصال رأس البنكرياس (a pancreaticoduodenectomy)، إزالة جسم وذيل البنكرياس (distal pancreatectomy)، أو نادراً إزالة كل البنكرياس (استئصال البنكرياس بالكامل).[5] في حالات مختارة الجراحة يمكن إجراؤها باستخدام تقنيات أقل توغل مثل تنظير البطن laparoscopy[6] أو الجراحة الروبوتية. أظهرت دراسة باستخدام المراقبة، علم الأوبئة، وبيانات سجل النتائج النهائية أن زيادة العد العقدة الليمفاوية التي حصدت أثناء الجراحة ارتبطت ببقاء أفضل لدى الحالات المصابة بالورم المخاطي الحليمي داخل قناة الپنكرياس.[7]
التاريخ
عام 1982، أشار كازوهيكو أوهاشي من المؤسسة اليابانية لأبحاث السرطان للورم المخاطي الحليمي داخل قناة الپنكرياس "بالورم المنتج للمخاط".
انظر أيضاً
الهامش
- ^ أ ب "Intraductal Papillary Mucinous Neoplasms of the Pancreas". Johns Hopkins University. Retrieved 7 September 2009.
- ^ Campbell, NM; Katz, SS; Escalon, JG; Do, RK (March 2015). "Imaging patterns of intraductal papillary mucinous neoplasms of the pancreas: an illustrated discussion of the International Consensus Guidelines for the Management of IPMN". Abdominal Imaging. 40 (3): 663–77. doi:10.1007/s00261-014-0236-4. PMID 25219664.
- ^ "Precancerous conditions of the pancreas - Canadian Cancer Society". www.cancer.ca (in الإنجليزية). Retrieved 5 November 2017.
- ^ Sohn, Taylor (June 2004). "Intraductal Papillary Mucinous Neoplasms of the Pancreas". Annals of Surgery. 239 (6): 788–799. doi:10.1097/01.sla.0000128306.90650.aa. PMC 1356287. PMID 15166958.
- ^ "Pancreatic Surgery". Johns Hopkins University. Retrieved 7 September 2009.
- ^ "Laproscopic Pancreatic Surgery". Johns Hopkins University. Retrieved 7 September 2009.
- ^ Wu, WM (Sep 2014). "An increased total resected lymph node count benefits survival following pancreas invasive intraductal papillary mucinous neoplasms resection: an analysis using the surveillance, epidemiology, and end result registry database". PLOS ONE. 9 (9): e107962. doi:10.1371/journal.pone.0107962. PMC 4179272. PMID 25264746.
{{cite journal}}
: CS1 maint: unflagged free DOI (link)