سحار رئوي
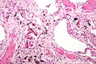
Micrograph of asbestosis (with ferruginous bodies), a type of pneumoconiosis. H&E stain. | |
ICD-10 | J60.-J65. |
ICD-9 | 500-505 |
DiseasesDB | 31746 |
MeSH | D011009 |
سحار رئوي أو تغبر الرئة pneumoconiosis هو اسم يطلق على مجموعة أذيات يسببها استنشاق جسيمات صلبة وتثبتها في الرئتين.
العدوى
يؤدي استنشاق العديد من الأغبار والأبخرة والمواد اللاعضوية في بعض المهن الخاصة أو التعرض البيئي إلى حدوث تغيرات مرضية خاصة في الرئتين ينجم عنها تليف رئوي مكتسب.
تنتقل جزيئات الغبار (بقطر0.5 إلى 6ميكرون) بعد استنشاقها عبر مخاطية القصبات إلى بؤر محدودة في النسيج اللمفاوي والأسناخ على امتداد الرئتين حيث يتم بلعمتها من قبل البالعات السنخية الكبيرةmacrophages مُحدثة درجة من السمية في هذه الخلايا تؤدي إلى هلاكها وبالتالي طرح العديد من الأنزيمات الحالّة والسامة للخلايا التي تسبب أذية في البرنشيم (المتن) الرئوي وتليفه.
لقد عرفت الإصابة بالتغبرات الرئوية منذ القديم لدى عمال مقالع الأحجار ودعيت بداء الجبال نتيجة التعرض لغبار السيليكوز (السحار السيليسي silicosis)، ولدى عمال مناجم الفحم (السحار الفحمي pneumoconiosis)، كما أن تعرض عمال بناء السفن وصناعة المواد العازلة والمقاومة للاحتراق والمراجل لمادة الأسبست (الأميانت) يؤدي إلى داء الأسبست asbestosis، ويتعرض عمال الصناعات الكهربائية والذرية والطائرات لمادة البريليوم مسببةً داء البريليوم berylliosis.
ومن المعروف أن التعرض للعديد من الأكاسيد المعدنية تسبب تغبرات رئوية حميدة (غير مليفة) وقد ذكر منها:
ـ تغبر الرئة نتيجة التعرض لأكسيد الحديد لدى عمال اللحام الكهربائي أو ما يسمى السحار الحديدي siderosis.
ـ تغبر الرئة نتيجة التعرض للباريوم ويسمى السحار الباريتي barytosis.
ـ تغبر الرئة التالي للتعرض لأكسيد القصدير (السحار القصديري stannosis) لدى عمال مناجم القصدير.
ـ استنشاق الغازات والأبخرة المختلفة.
ـ استنشاق الأغبار العضوية التي تسبب التهاب الأسناخ الأرجي allergic وانسداد الطرق التنفسية.
وعلى الرغم من التقدم الكبير في مجالات الطب الوقائي والعمالي لمخاطر التلوث البيئي والمهني لا زال الملايين من البشر معرضين لهذا التلوث على نحو يكفي لتطور الإصابة الرئوية لدى أعداد كبيرة منهم، ومن الجدير الإشارة إلى أن الأعراض المرضية للسحار الرئوي لا تظهر مباشرة بل بعد عدة أعوام من التعرض المديد للغبار اللاعضوي وبعد ترك العمل بسنوات عديدة، إذ تستمر الإصابة بالترقي والتطور في السنوات اللاحقة على الرغم من الابتعاد عن مصادر التعرض للغبار.
ويعتمد تأثير الغبار المستنشق المليف على جملة العوامل الآتية:
ـ الخواص الكيمياوية للغبار (حموضة أو قلوية أو خواص مستضدية).
ـ الخواص الفيزيائية للغبار (الشكل والحجم والكثافة والخواص من حيث الصلابة أو كونه غازاً وفعاليته الإشعاعية).
ـ تركيز المادة في الهواء المستنشق ومدة التعرض.
ـ الاستعداد الشخصي وعوامل الدفاع الذاتي التي تمنع وصول الأغبرة للأسناخ وإزالتها.
وهذا يعتمد على حالة الغشاء المخاطي وعملية التنظيف الهدبي ودور البالعات في التخلص من الغبار المتوضع في البارنشيم الرئوي، كما للتدخين دور كبير في إضعاف حركة الأهداب وعملية التنظيف.
أنواع الســـحار الرئوي
1ـ السحار السيليسي (السيليكوز) silicosis: وهو تغبر رئوي مليف ناجم عن استنشاق غبار ثاني أكسيد السيليكون الكريستالي (المبلور) الحر أو جزيئات الكوارتز البلوري. ويتصف بوجود تليف رئوي عقيدي مترق ويتوضع على الأغلب في الفصوص العلوية للرئتين، وهو من أقدم الأمراض المهنية المعروفة إذ يقدر عدد العمال المعرضين لغبار السيليكات في الولايات المتحدة بين 1.2 إلى 3ملايين شخص. وأهم المهن التي يتعرض العاملون بها لغبار السيليكات هي:
صورة شعاعية لإصابة بالسحار السليسي
ـ صناعة تعدين الفحم والحديد والرصاص والقصدير والذهب والنحاس وشحذ المعادن وغيرها.
ـ صناعة الفخار والسيراميك.
ـ عمال مقالع الحجارة وشق الأنفاق عبر الصخور الحاوية على الكوارتز.
ـ صناعة الصوابين الكاشطة وقوالب السيليكا.
ـ عمال رصف الحجارة الرملية والغرانيت وتنظيف المراجل.
كما أن السيليكات تشاهد بشكل أقل أذية في الغضار والميكا وأغبرة الإسمنت والتالك التجاري.
ـ الآلية الإمراضية: بعد استنشاق أغبرة السيليكات الحرة التي لا يتجاوز قطرها 6مكرونات تبتلعها البالعات السنخية. فتحدث فيها انسماماً ثم تتلفها فتتحرر أنزيمات سامة للخلايا الرئوية تحرض حدوث التليف الرئوي. وبتكرر هذه العملية تتشكل عقيدات سيليكونية هيالينية منفصلة حيث يلتحم بعضها مع بعض لتشكل عقيدات أكبر، ويتشكل التليف في الأقسام العلوية ويحدث انكماش فيهما، كما يحدث انتفاخ قاعدي معاوض وارتكاس خلالي منتشر مع امتداد الأسناخ بمادة بروتينية مائية.
ـ الأعراض والعلامات السريرية: تظهر عادة متأخرة بعد تعرض مديد (15 إلى 20سنة) وتستمر الإصابة بالترقي والتطور برغم ترك العمل، إلا أنه شوهدت حالات من السحار السيليكوزي الحاد لدى بعض العمال بعد التعرض لمدة قصيرة (10أشهر) وأدت للوفاة بسرعة بعد أقل من سنتين على الرغم من إبعاد المريض عن بيئة التعرض.
وتكون الأعراض في المراحل المبكرة قليلة إذ يعاني المصاب من سعال وقشع بسيط يعزى لالتهاب القصبات المخرش، كما تشاهد عقيدات تليفية بالأخص في الأقسام العلوية من الرئتين تقلد تلك الموجودة لدى عمال الفحم. ويلاحظ عادة تدني قيم حجوم وظائف الرئة وهذه المرحلة تدعى بالسحار السيليكوزي العقدي البسيط simple nodular silicosis. وبتقدم الإصابة يشكو المريض من زلة تنفسية مع سعال وقشع وترتبط شدة الزلة بحجم العقيدات المتراكبة إذ تشاهد على الصورة الشعاعية عقيدات بقطر 1سم في الفصوص العلوية يندمج بعضها مع بعض لتشكل كتلاً كبيرة وانسحاب السرتين الرئويتين إلى الأعلى مع تكلس في العقد السرية في نحو 20% من الحالات.
تشير الدراسات إلى أن الأشخاص المعرضين مهنياً للسيليكات يواجهون خطورة التعرض للتدرن بنسبة تقدر بثلاثة أضعاف غيرهم، ويصابون بما يسمى بالتدرن السيليكوزي silico tuberculosis الذي يشخص بتحري عصية كوخ بالقشع بالفحص المباشر والزرع.
-التشخيص: يعتمد على قصة التعرض المهني إضافة للتبدلات الشعاعية المذكورة ويلتبس داء السيليكوز العقدي مع التدرن الدخني، والغرناوية (الساركوئيد)، والسحار الفحمي وغيرها.
-المعالجة عرضية محض إلا أنه يجب معالجة التدرن الفعال لدى تشخيصه، ويقترح بعضهم إعطاء الايزونيازيد وقائياً لمدة سنة للمصابين بالسيليكوز من ذوي التفاعل السليني الإيجابي.
2ـ السحار بالأسبست (الأميانت) asbestosis: وهو تغبر الرئتين بغبار الأميانت وهي سيليكات معدنية ليفية تدخل في الصناعات العديدة، والتي تقدر بأكثر من ثلاثة آلاف مهنة في أوربا تستخدم ألياف الأسبست التي منها أنواع عديدة:
ـ الاسبست الأبيض white asbestos أو الكريزوبوتيل chryspotil والذي يتألف من ألياف مرنة قابلة للانثناء ويشكل 90% من الانتاج العالمي من الأميانت.
ـ ألياف الأمفيبول amphibole وهي قاسية صعبة الانثناء وتشكل 10% من الإنتاج العالمي للأميانت ومنها عدة أنواع: الاسبست الأزرق crocidolite والاسبست الرمادي amosite والتريموليت tremolite.
وتستخدم ألياف الأسبست على نحو واسع في الصناعة لخواصها الجيدة العازلة للحرارة، ولكونها غير قابلة للاحتراق، وتتحمل الشد والاحتكاك مما دعي لتسميتها بالحرير الصخري.
وأكثر الصناعات التي تستخدم ألياف الأسبست هي: صناعة العوازل الحرارية وأنظمة الأمان والمراجل، وصناعة السيارات وخاصة في أماكن الاحتكاك كمبطنات المكابح وغيرها، وصناعة بناء السفن كعازل لجدران السفن، وفي البناء: صناعة الإسمنت والقرميد وتبطين المداخن والتمديدات الصحية.
تحدث الأذية الرئوية نتيجة الاستنشاق المديد لغبار الأسبست (10 إلى 20سنة) وترتبط بشدة التعرض ولا تظهر الأعراض عادة إلا بعد التعرض المديد وخلال فترة طويلة من ترك العمل تتجاوز العشرين سنة أحياناً. ويشكو المصابون زلة تنفسية ويلاحظ تبقرط الأصابع clubbing (أي زيادة عرض السلامة الأخيرة وتحدب الأظافر نحو راحة اليد مما يعطي الأصابع شكل مضرب الطبل) وقد لوحظ أن الإصابة لا تقتصر على الأشخاص الذين هم باحتكاك مباشر مع غبار الأسبست فقد سجلت حالات عديدة لدى تعرضهم تعرضاً معتدلاً كعمال الدهان والكهرباء الذين يعملون جنباً إلى جنب مع عمال العزل في أحواض بناء السفن وحتى لدى زوجات العاملين في تحضير وتصنيع ألياف الاسبست واللواتي يغسلن ثياب أزواجهن، كما شوهدت حالات من الميزوتليوما الجنبية (أورام الوريقة المتوسطة) لدى القاطنين إلى جوار مصنع الأسبست في لندن والقاطنين بجوار مصنع تعدين الأسبست في جنوب أفريقيا.
إن الإصابة الرئوية التالية لاستنشاق الأسبست تشمل مايلي: حدوث التليف الرئوي الكتلي المترقي progressive massive fibrosis، وسرطان الرئة lung cancer، وورم المتوسطة الجنبية mesothelioma، وانصبابات الجنب pleural effusion، ولويحات الجنب الحميدة أو تليف الجنب pleural fibrosis.
أ ـ التليف الرئوي الكتلي المترقي P.M.F ويتظاهر بالبدء التدريجي مع ترقي زلة جهديه ونقص في تحمل الجهد إضافة لبعض الأعراض كالسعال والقشع عند غير المدخنين. ويعتمد التشخيص على وجود المظاهر الشعاعية من كثافات عقيدية وارتشاحات خطية غير منتظمة تظهر في الأقسام السفلية من الرئتين في البدء ثم تمتد للساحات الوسطى والعلوية مع تقدم الإصابة. ويتطور التليف الرئوي لدى 12 إلى 15% من الأشخاص المعرضين إذ يشاهد منظر الزجاج المغشى، ومع ترقي الإصابة يلاحظ منظر عش النحل بشكل ارتشاحات عقيدية مع ظلال فراغية هوائية، كما يكشف وجود تبقرط الأصابع في40% من الحالات. ويتطور القلب الرئوي في المراحل المتقدمة من التليف الرئوي كما تلاحظ الزرقة الشديدة.
يعتمد التشخيص على وجود قصة التعرض المهني المديد وإجراء التصوير الطبقي المحوري المليمتري ويتم تأكيد الإصابة بالخزعة الرئوية.
ب ـ سرطان الرئة: يظهر بعد فترة تعرض تمتد من 15 إلى20سنة ويزداد خطر الإصابة لدى العمال المعرضين بالمشاركة مع التدخين، وأكثر الأورام مصادفة هو الورم شائك الخلايا الذي ينشأ على القصبات المركزية ضمن لمعتها مما يسهل كشفه المبكر، كما أنه قد ينتقل إلى الأعضاء البعيدة في المراحل المتقدمة.
تعتمد المظاهر السريرية للورم البدئي على مكان توضعه وانتقالاته وتشمل الأعراض الأكثر مشاهدة وجود النفث الدموي والألم الصدري والزلة التنفسية إضافة إلى بحة الصوت ونقص الوزن. كما يحدث الانخماص الرئوي في الأورام المركزية السادة للقصبات. وقد ينتشر الورم إلى الجنب فيحدث انصباب جنب أو ينتشر إلى العقد اللمفية السرية أو خارج الرئوية كما يلاحظ تبقرط الأصابع.
يؤكد التشخيص بتنظير القصبات وأخذ الخزع المناسبة إضافة لغسالة القصبات لتحري الخلايا الشاذة أو أخذ خزعات عبر جدار الصدر، كما يفيد إجراء التصوير الطبقي في تحديد مكان الإصابة وانتشارها.
ج ـ ورم المتوسطة الجنبية: وهي أورام جنبية بدئية تنمو على السطوح المبطنة لوريقات الجنب في 80% من الحالات أو على الصفاق في 20% من الحالات وهي خبيثة غالباً ومنتشرة، في حين يظل ربع الحالات سليما.ً وهي تصيب الرجال أكثر من النساء بنسبة 3 إلى 1.
تنجم الإصابة في غالبية الحالات عن التعرض لغبار الأسبست الأزرق والرمادي لفترة تتجاوز العشرين سنة، إلا أنه لوحظ أحياناً بعد فترة تعرض قصيرة تمتد من سنة إلى سنتين. ويسبب الغزو الموضعي للورم ألماً شديداً في جدار الصدر، ويرتشح الجنب بشكل واسع بالخلايا الورمية، ويترافق بانصباب جنبي نتحي مدمى بشدة. ويتميز باحتوائه على بلورات الحمض الهيالوريني. ويكون الانصباب محجباً عادة يمنع من انزياح المنصف.
ويعتمد التشخيص على وجود علامات الانصباب وطبيعته المدماة إضافة إلى تبقرط الأصابع في 40% من الحالات. وتكشف الصورة الشعاعية وجود تسمك جنبي وحيد الجانب معقد وغير منتظم مع درجات متفاوتة في الانصباب. ويفيد التصوير الطبقي المحوري في إظهار انتشار الإصابة ومقدار الانصباب. كما أن إجراء خزعة الجنب المفتوحة تساعد على الحصول على عينة مناسبة للتشخيص النسيجي برغم صعوبة التمييز بين الآفات الخبيثة والحميدة.
يكون تطور ورم المتوسطة الجنبية سريعاً إذ ينتشر على امتداد سطح الجنب ويمتد إلى التامور والمنصف وإلى الجهة المقابلة. وقد يمتد لخارج الصدر وينتشر إلى العقد البطنية ويبلغ المعدل الوسطي للحياة بعد ظهور الإصابة من 8 إلى 14شهراً ولا توجد معالجة ناجحة عموماً.
د ـ انصباب الجنب بالأسبست: تتطور الإصابة في نحو 3% من المعرضين إلى انصباب جنب نتحي بعد 5 إلى 20سنة من التعرض، وغالباً ما يزول الانصباب بعد عدة أشهر إلا أنه قد يتطور في نحو 20% من الحالات إلى تليف جنبي وقليلاً ما يتطور إلى ميزوتليوما خبيثة.
هــ ـ اللويحات الجنبية وتليف الجنب: يؤدي حدوث تليف الجنب المنتشر وتطور الصفيحات الجنبية المتكلسة وتسمك الجنب إلى آفة رئوية حاضرة وأذية دائمة.
يعتمد التشخيص على قصة التعرض والأعراض السريرية إضافة للموجودات على الصور الشعاعية واختبارات وظائف الرئة.
تعتمد الوقاية من الإصابة على تخفيف حدة التعرض ومدته وذلك باستخدام المراشح وشافطات الغبار وإيقاف التدخين لدى العاملين، ومعالجة الأخماج التنفسية باكراً إضافة لإعطاء اللقاحات الواقية من النزلة الوافدة والمكورات الرئوية للمعرضين، مع إجراء فحوص دورية ومراقبة شعاعية وقياس وظائف الرئة بغية الكشف المبكر للإصابات ومنع تطورها.
3ـ السحار بالبريليوم (داء البريليوز) berylliosis: ينجم عن استنشاق الغبار أو الدخان الحاوي على مركبات البريليوم ومشتقاته فهو يسبب ارتكاساً حبيبومياً يتظاهر بالتهاب رئة حاد أو التهاب رئة خلالي مزمن وهو الأكثر شيوعاً ويتميز عن بقية تغبرات الرئة بإمكانية حدوثه بعد تعرض قليل الأمد نسبياً مع تأخر ظهور المرض لما بعد عشر سنوات.
وأكثر ما يصادف لدى العاملين في الصناعات الرلكترونية والأدوات الكيمياوية والمصابيح المتألقة fluorescent كما يشيع انتشاره لدى العاملين في صناعة الطائرات والصناعات الفضائية.
يشابه داء البريليوز التهابات الرئة الكيماوية ويترافق مع إصابات في الأنسجة الأخرى كالجلد والملتحمة، ويتصف تشريحياً بارتشاحات التهابية منتشرة في البرنشيم الرئوي مع وذمة غير نوعية داخل الأسناخ، مما يؤدي إلى تشكل حبيبومات مبكرة مع وجود خلايا وحيدة النوى وخلايا عرطلة.
ـ الأعراض: يشكو المريض في الشكل الحاد من داء البريليوز من زلة تنفسية وسعال مع نقص وزن. وتبدي الصورة الشعاعية للصدر وجود تكثف سنخي منتشر وغالباً ما يكون هذا الشكل الحاد مميتاً إلا أن الإنذار لدى الناجين منه يكون عادة جيداً.
أما في الشكل المزمن فتكون الزلة التنفسية بشكل تدريجي ومترقية إضافة للسعال والألم الصدري مع الشعور بالوهن ونقص الوزن. وتظهر الصورة الشعاعية ارتشاحات منتشرة مع إصابة العقد اللمفية السرية مقلدة الساركوئيد (الداء الغرواني). وتتطور الإصابة في النهاية إلى حدوث القلب الرئوي والوفاة.
ـ التشخيص: يعتمد على قصة التعرض مع التظاهرات السريرية والشعاعية إلا أنه يصعب تفريقه عن الداء الغرواني، ويعتمد في ذلك على استخدام التقانات المناعية المتقدمة ومعايرة مستوى البريليوم في الأنسجة.
ـ العلاج: الأساس فيه الوقاية من التعرض وتخفيف شدة التعرض باستخدام شافطات الغبار الصناعي وكشف الإصابة المبكر وإبعاد المصابين، وقد يحتاج الأمر لدى المصابين بالحالات الحادة إلى التهوية الآلية الداعمة والمعالجة المبكرة تجعل التظاهرات قصيرة الأمد وعكوسة ويكون الإنذار لدى الناجين جيداً.
4ـ سحار عمال مناجم الفحم coal- workers pneumoconiosis: ينجم هذا الداء عن التعرض المديد لغبار الفحم واستنشاقه وقد دعي بداء الرئة السوداء black lung disease أو السحار الفحمي anthracosis، فهو يصيب نحو 12% من العاملين في تعدين الفحم الحجري ونحو 15% من العاملين في مناجم فحم الانتراسيت بعد التعرض المديد مدة تراوح بين 10 إلى 20سنة، ويتعلق التأهب بكثافة غبار الفحم وما يحويه من سيليكات الكوارتز فإذا زادت هذه النسبة عن 10% من الكوارتز فإنه يتطور إلى تغبر رئوي بعنصر الفحم مشابه للسيليكوز.
يتصف السحار الفحمي بتوضع عقيدي منتشر لغبار الفحم حول القصبات، كما يحدث النفاخ الرئوي حولها نتيجة عامل الانكماش والتمدد. ويميز نوعان من السحار بغبار الفحم: التغبر الفحمي الرئوي البسيط simple anthracosis، والشكل المعقد المترقي complicated الذي يدعى بالتليف الكتلي المترقي progressive massive fibrosis.
وبغية تحديد درجة إصابة العمل فإن التشخيص يُبنى على الموجودات الشعاعية وقياس وظائف الرئة وليس على المظاهر السريرية.
أ ـ السحار الفحمي البسيط: وتكون فيه الأعراض السريرية قليلة من سعال وقشع نتيجة التخريش القصبي، ونادراً ما يترافق باضطرابات وظيفية بالرئتين أو أعراض تنفسية صريحة على الرغم من وجود تبدلات على الصورة الشعاعية للصدر بشكل ارتشاحات خلالية شبكية غير منتظمة، وأحياناً ببعض الارتشاحات العقيدية (1ـ 5ملم). وتتوضع غالباً في النصف العلوي للساحتين الرئويتين ويصنف شعاعياً إلى ثلاث درجات اعتماداً على حجم وانتشار العقد ولا يتطور هذا الشكل عادة إذا ما ترك العامل المهنة وابتعد عن التعرض.
ب ـ السحار الفحمي الكتلي المترقي: وهو يتطور لدى نسبة قليلة تراوح بين 5 إلى 15% من عمال الفحم بشكل كثافات بارانشمية (متنية) عقيدية دائرية قطرها يتجاوز 10ملم تتوضع في الفصوص العلوية بالأخص وقد تتكهف أحياناً وقد تختلط بالتدرن الرئوي كأحد مضاعفاتها. وعلى الرغم من أن آلية حدوثه غير واضحة إلا أنها تعزى إلى:
ـ وجود كثافة عالية من السيليكات الحرة من غبار الفحم ومدة تعرض مديدة.
ـ عدم قدرة آلية التنظيف الرئوي الطبيعية على التخلص من غبار الفحم الزائدة المتراكمة في الرئتين.
ـ حدوث ارتكاس مناعي ذاتي بين ذرات غبار الفحم و النسيج الرئوي المصاب.
وتصادف المتفطرات الدرنية اللانموذجية بشكل أكثر لدى عمال تعدين الفحم بالمقارنة مع مرضى السحار السيليسي حيث يتعرضون للإصابة بالمتفطرات العادية أكثر.
كما أن التليف الكتلي المترقي قد يغزو السرير الوعائي والسبل الهوائية ويخربها.[1]
ـ الوقاية والمعالجة: الوقاية بتجنب التعرض أو تخفيف شدته بشفط الغبار بساحبات الغبار وعدم تجاوز العمل في المناجم تحت الأرض لأكثر من خمس سنوات. ولا توجد عادة معالجة نوعية وإنما معالجة عرضية ملطفة.
عمل أخر له صلة بأمراض الرئة
المراجع الثقافة الشعبية
انظر أيضاً
المصادر
A Cochrane and M Blythe (1989) "One Man's Medicine, an autobiography of Professor Archie Cochrane". London, BMJ Books. (Paperback edition, 2009, by Cardiff University Publications (available from the Cochrane Library, Cardiff).
وصلات خارجية
- NIOSH Safety and Health Topic: Pneumoconioses
- Black Lung Benefits Act - U.S. Department of Labor
- Coal Workers' Pneumoconiosis - The Merck Manuals: Online Medical Library
- Black Lung - United Mine Workers of America
- Black Lung - U.S. Department of Labor Mine Safety and Health Administration
- A Conversation about Mining and Black Lung Disease
- Flavorings-Related Lung Disease