التهاب رئوي
الالتهاب الرئوي Pneumonia | |
---|---|
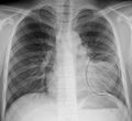
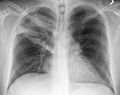
A chest X-ray showing a very prominent wedge shaped pneumonia in the right lung. | |
التبويب والمصادر الخارجية | |
التخصص | طب الصدر, الأمراض المعدية (تخصص طبي) |
ICD-10 | J12., J13., J14., J15., J16., J17., J18., P23. |
ICD-9-CM | 480-486, 770.0 |
DiseasesDB | 10166 |
eMedicine | topic list |
Patient UK | فشل عرض الخاصية P1461: لم يتم العثور على الخاصية P1461. التهاب رئوي |
MeSH | D011014 |
الالتهاب الرئوي مرض يصيب الرئتين. ومعظم حالات الالتهاب الرئوي، تحدث نتيجة عدوى بالفيروسات، والبكتيريا، والفطريات أو أية جراثيم أخرى. وهناك حالات قليلة تحدث نتيجة حساسية، أو من استنشاق مواد كيميائية مُهيجة. وتختص هذه المقالة، بمناقشة الالتهاب الرئوي الذي تحدثه الفيروسات أو البكتيريا، وهما مسؤولان معًا عن معظم الحالات.
كان مرض الالتهاب الرئوي يقتل حوالي ثلث ضحاياه، قبل تطور المضادات الحيوية في فترة الأربعينيات من القرن العشرين. أما اليوم ـ مع توفر العلاج الطبي السليم ـ فإن أكثر من 95% من المرضى يحصلون على الشفاء منه بإذن الله. ولكن مازال مرض الالتهاب الرئوي في مقدمة الأسباب التي تؤدي إلى الوفاة في كثير من البلدان. وتعد الإصابة بمرض الالتهاب الرئوي، بالنسبة لمن يعانون أمراضًا خطيرة أخرى من أكبر الأخطار التي تهددهم، إذ يصعب عليهم جدًا الشفاء منه. ومن ضمن الحالات التي تزيد من خطورة المرض حالات انتفاخ الحويصلات الهوائية، وأمراض القلب، وتعاطي الكحوليات، بالإضافة إلى أنواع أخرى من الأمراض التي تضعف مقاومة الجسم للأمراض. وبالنسبة للأطفال، وكبار السن، فإن درجة تعرضهم لمخاطر الالتهاب الرئوي أكبر من المعدل العادي.
تطور الالتهاب الرئوي

تحدث الإصابة في معظم الحالات عندما يستنشق شخص ما بعض الرذاذات القليلة التي تحتوي على الفيروس الضار، أو البكتيريا. ويتطاير هذا الرذاذ أو ينتشر في الهواء بمجرد أن يسعل شخص مصاب أو يعطس. وتحدث كثير من الإصابات عندما تبدأ البكتيريا التي تعيش طبيعيًا في الفم والأنف، والحنجرة بغزو الرئتين. والمعتاد أن تقوم أجهزة الدفاع الطبيعي في الجسم بمنع هذه البكتيريا من الوصول إلى الرئتين، ولكن إذا ضعفت فمن الممكن حدوث نوع حاد من الالتهاب الرئوي. وهذه الأنواع من العدوى تحدث عمومًا بين أولئك الذين أودعوا في المستشفى بسبب أمراض أخرى خطيرة.
هناك أنواع كثيرة من الفيروسات المسببة لأمراض الرئة، من بينها فيروسات الأنفلونزا ذاتها، وعدوى الجهاز التنفسي الأخرى. وكثير من أنواع البكتيريا أيضًا، يتسبب في الإصابة بالالتهاب الرئوي. لكن معظم حالات البكتيريا تنتج عن طريق العدوى بنوع منها يُسمّى المكورة الرئوية وتُعرف أيضًا باسم العنقوديات وهناك نوع من البكتيريا يسمى الميكوبلازما الرئوية يسبب نوعًا شائعاً آخر من الالتهاب الرئوي، يحدث أساسا بين الأطفال، والشباب البالغين.
تسكن الجراثيم المسببة للالتهاب الرئوي في الجيوب الهوائية حيث يقوم الدم بعلمية استبدال ثاني أكسيد الكربون بالأكسجين. وهناك تتكاثر هذه البكتيريا سريعًا، وسرعان ماتمتلئ الجيوب الهوائية بسائل، وبكرات الدم البيضاء التي ينتجها الجسم لمحاربة العدوى.
الأعراض والتشخيص

تختلف أعراض الالتهاب الرئوي باختلاف نوع البكتيريا المسبب له، وباختلاف الحالة الصحية العامة للمريض، قبل إصابته بالمرض. عمومًا، فإن التهاب الرئة الناتج عن البكتيريا تكون أعراضه أكثر حدة وتبدأ بصورة فجائية أكثر من تلك الحالات التي تسببها الفيروسات. فمعظم الحالات المتسببة عن البكتيريا تبدأ برعشة مفاجئة، مصحوبة بارتفاع درجة الحرارة، وبآلام الصدر. كذلك يعاني المرضى سعالاً جافًا مؤلمًا يخرج بلغمًا صدئ اللون. بينما تكون حالات الإصابة بالفيروس في معظمها معتدلة. ومن بين أعراضها ارتفاع درجة الحرارة، وضعف حالة المريض والسعال، وإخراج البلغم.
وعن طريق السماعة الطبية، يستطيع الطبيب أن يسمع أصواتًا مميزة آتية من الرئة تدل على وجود المرض. ويمكن لأشعة إكس (الأشعة السينية)، والاختبارات المعملية، أن تؤكد صحة التشخيص. أما تحديد نوع الميكروب المسبب للمرض، فإنه يتم عن طريق الاختبارات المعملية، إذ يقوم العامل الفني المتخصص بفحص عينة من بلغم المريض تحت المجهر. كما يعالج البلغم أيضًا بطرق مختلفة، حتى يمكن تنمية الكائن العضوي المُسبِّب للعدوى داخل المعمل، بحيث يمكن التعرف عليه.
العلاج والوقاية
في علاج كل أنواع الالتهاب الرئوي، من الضروري أن يحصل المريض على راحة كاملة على الأقل لمدة يومين، أو ثلاثة، بعد انخفاض درجة الحرارة. بالنسبة لمرض التهاب الرئة الفيروسي، فليس هناك أي علاج محدد. ومعظم الحالات تشفى من تلقاء نفسها، خلال فترة زمنية تتراوح بين أيام وأسابيع قليلة. أما في علاج الالتهاب الرئوي البكتيري، فإن الأطباء يستعملون المضادات الحيوية. ويحقق البنسلين نتائج أفضل في علاج الحالات الناتجة عن المكورات الرئوية، لكن المضادات الحيوية الأخرى، تُعد أكثر فاعلية في علاج أنواع أخرى من التهاب الرئة البكتيري.
وتعطي لقاحات الأنفلونزا الجسم وقاية من الالتهاب الرئوي الذي تسببه فيروسات الأنفلونزا، وهناك لقاح آخر يحمي الجسم من الالتهاب الرئوي الناتج عن عدوى المكورات الرئوية. لكن الأطباء يصفونه لكبار السن فقط، والمرضى الذين يعانون طويلا هذا المرض،وأيضا لأولئك الأكثر تعرضا للإصابة بالالتهاب الرئوي.
تفشي المرض
الصين 2020
في يناير 2020 بدات السلطات الصينية التحقيق في تقارير حول انتشار نوع غامض من الالتهاب الرئوي في مدينة ووهان وسط البلاد. وقال مسؤولون إن 44 شخصاً أصيبوا بالعدوى حتى الآن مع تصنيف 11 حالة منهم بأنها خطرة.[1]
ودفع انتشار هذا النوع غير المعروف من الالتهاب الرئوي سنغافورة وهونگ كونگ لإخضاع القادمين من ووهان لفحص طبي مشدد. يأتي ذلك وسط مخاوف من أن يكون هذا المرض مرتبطاً بعودة انتشار متلازمة الالتهاب الرئوي الحاد (سارس)، أو بأعراض قاتلة لمرض تنفسي آخر.
وفتكت حمى سارس القاتلة، التي لها نفس أعراض الإنفلونزا، بحوالي 700 شخص في الفترة من 2002 إلى 2003 بعد ظهورها للمرة الأولى في الصين.
وقالت الشرطة في مدينة ووهان إن ثمانية أشخاص خضعوا للتحقيق "لنشر و تداول معلومات غير صحيحة عبر الإنترنت دون التحقق منها." وقالت مفوضية الصحة في المدينة الصينية الكبرى إنها فتحت تحقيقا الجمعة في انتشار العدوى التي أصابت العشرات.
وأضافت، في بيان نشرته على موقعها الإلكتروني، أن التحقيقات توصلت إلى أن أعراض المرض ليست مثل الإنفلونزا العادية، ولا إنفلونزا الطيور، كما أنها ليست مشابهة لأعراض أمراض الجهاز التنفسي التقليدية، لكن البيان لم يذكر السارس في هذه القائمة.
وأكد البيان أن حالات لانتقال العدوى من إنسان إلى إنسان لم تظهر، لكن مجموعة من المصابين كانوا يعملون في سوق للمأكولات البحرية، مما دعا السلطات إلى تطهير المنطقة بأكملها.
وقال متحدث باسم منظمة الصحة العالمية إن المنظمة الدولية على علم بانتشار هذه العدوى وإنها على اتصال بالحكومة الصينية بخصوص ذلك.
وأضاف: "هناك العديد من الأسباب المحتملة للالتهاب الرئوي المعدي، والتي يُعد أغلبها أكثر شيوعا من أعراض فيروس كورونا القاتل الذي يصيب الجهاز التنفسي"، مؤكدا أن منظمة الصحة العالمية "تراقب عن كثب تطور الأحداث."
معرض الصور
انظر أيضاً
المصادر
- ^ "التهاب رئوي "غامض" ينتشر في أجزاء من الصين". بي بي سي. 2020-01-04. Retrieved 2020-01-04.