وذمة رئوية

(تم التحويل من Pulmonary edema)
وذمة رئوية
Pulmonary edema

تصنيفات ومصادر خارجية
APO.jpg
وذمة رئوية حادة
ICD-10 J81.
ICD-9 514 518.4
DiseasesDB 11017
MedlinePlus 000140
eMedicine med/1955  radio/581
MeSH D011654

وذمة رئوية Pulmonary edema، هي زيادة نتح السوائل (مصورة الدم) خارج جدر الأوعية الشعرية الرئوية، وتراكمها في الأنسجة الخلالية والجدر السنخية وحول الأوعية (الوذمة الخلالية) ثم امتدادها إلى الأسناخ (الوذمة السنخية)، وغالباً ما تشمل كلا الحالتين. وهي المظهر الرئيسي السريري لقصور القلب الأيسر.

تحدث الوذمة نتيجة خلل في التوازن ما بين الضغط السكوني السائلي hydrostatic ضمن الأوعية الدموية ـ الذي يعمل على دفـع السوائل خارج الأوعية ـ وبين الضغط الجرمي oncotic المرتبط بالبروتينات الذي يعمل على حفظ السوائل ضمن الأوعية. وتحدث الوذمة بزيادة الأول أو بنقص الثاني. لذا يُميز نوعان مختلفان من وذمة الرئة سريرياً.

وذمة الرئة بالضغط العالي

وهي المتلازمة المألوفة لدى الأطباء وأهم مظاهرها السريرية: الزلة التنفسية الجهدية والاضطجاعية orthopnea، وهي تجبر المريض على الجلوس إضافة إلى الزلة الانتيابية الليلية وغالباً ما تبدأ حادة بسعال وتسرع التنفس، كما تترافق في كثير من الأحيان بأزيز مع قشع رغوي زهري، قد يكون مدمى. ويصبح المريض قلقاً ومزرقاً إضافة إلى مظاهر الإصابة القلبية البدئية. ويسمع بالإصغاء خراخر رئوية بالقاعدتين قد تكون العلامة الرئوية الوحيدة، ويتلو ذلك نقص أكسجة شديد يتطلب معالجة إسعافية عاجلة.

الأعراض

التشخيص

يتضمن تشخيص وذمة الرئة بارتفاع الضغط وتفريقها عن الأسباب الأخرى المشابهة كما يرتكز على العلامات الشعاعية وتقصي الأسباب.

وتكون هناك صعوبة في بدء الإصابة وخاصة إذا ترافقت عدة حالات مع بعضها بعضاً وخاصة لدى المسنين. إن وجود تبدلات في تخطيط كهربائية القلب التي غالباً ما تكون مرافقة لوذمة الرئة الحادة القلبية المنشأ إضافة إلى العلامات الشعاعية تساعد على التفريق بين وذمة الرئة القلبية المنشأ وبين وذمة الرئة الناجمة عن زيادة النفوذية الوعائية.

الأسباب

القلبية

ـ أكثرها أهمية قصور البطين الأيسر التالي لأمراض الأوعية الإكليلية، أو تضيق الدسام التاجي أو قصوره أو الورم المخاطي الأذيني، أو آفات الدسام الأبهري أو تضيق برزخ الأبهر، أو زيادة ارتفاع ضغط الدم، أو اعتلال العضلة القلبية، أو الانسمام الدرقي، أو آفات الفتحة بين البطينين، أو القناة الشريانية الوريدية، ونادراً ضخامة النهايات acromegaly.

ـ التسرعات القلبية فوق البطينية والبطينية.

ـ ارتفاع الضغط في الأوردة الرئوية نتيجة: الآفات القلبية الولادية، وتضيق الدسام التاجي والورم المخاطي في الأذينة اليسرى، والآفات الانسدادية الوريدية، والتهاب التامور العاصر والانصباب التاموري، وفقر الدم الشديد، وزيادة حمل السوائل.

إضافة إلى أسباب أخرى كالوذمة الدماغية والقصور الكلوي وداء المرتفعات الشديد ولزيادة النفوذية دور جزئي فيه.

غير قلبية

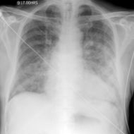
العلامات الشعاعية

تظهر العلامات الشعاعية عادة قبل ظهور العلامات السريرية وأولى هذه العلامات هي تشوش الحدود الواضحة للأوعية الرئوية الرئيسية في السرتين مع تغيم منتشر في الرئتين (منظر الغشاء المغشى).

وكلما تطورت الوذمة ظهرت كثافات عقدية إضافة إلى علامات تكثف سنخي وازدادت الكثافة في السرتين وتدعى علامة جناحي الخفاش Wing Bat’s وهي علامة مميزة.

ومن العلامات الشعاعية المرافقة وجود دليل على إصابة قلبية بدئية كضخامة البطين الأيسر، كما أن زيادة الضغط في الأذينة اليسرى وزيادة الضغط الخلالي قد يسببان نقصاً في ضخ الأوعية الرئوية إلى الأقسام السفلية من الرئتين وبالتالي إلى تحول الجريان إلى الأقسام العلوية.

وذمة الرئة الناجمة عن زيادة النفوذية الوعائية

وهي ظاهرة زيادة سوائل الرئة مع نقص المطاوعة الرئوية وسببها أذية البطانة الشعرية الرئوي والتي تؤدي إلى وذمة رئوية غير قلبية المنشأ.

والعامل الفيزيولوجي الأساسي هو حدوث الشنت shunt الرئوي مع اضطراب نسبة التهوية على التروية والتي تتظاهر بعدم القدرة على تصحيح نقص الأكسجة بالرغم من إعطاء تركيزات عالية من الأكسجين مما يؤدي إلى قصور تنفسي شديد.

وتتطور الوذمة بهذا الشكل على نحو أسرع وتتلو غالباً الأخماج الشديدة والانسمامات الدوائية واستنشاق الغازات السامة والأكسجين بتركيز عالٍ وكذلك استنشاق محتوى المعدة، وحالات الصدمة الشديدة الناجمة عن الإنتانات ورضوض الصدر والبطن والرأس والأطراف، كما أنها قد تتلو النزوف وحالات التآق والصمات الرئوية والتهاب البنكرياس والبريتوان الحاد ونقل الدم المتعدد والتجلط داخل الأوعية ورفض زرع الأعضاء كالكلية والقلب والرئة.

Alveolar

أسباب أخرى غير معروف


العلاج

تعتمد معالجة وذمة الرئة الحركية الدموية على إعطاء المدرات سريعة التأثير والمورفين الذي يخفف القلق وينقص التقبض الوعائي والعمل التنفسي.

كما أن إعطاء الموسعات الوعائية ينقص العود الوريدي بتوسيعها الأوعية الرئوية، هذا وإن إعطاء الأكسجين يساعد على تخفيف الوذمة إضافة إلى معالجة السبب.

أما معالجة الوذمة التالية لزيادة النفوذية الوعائية فتحتاج إلى تطبيق التهوية الاصطناعية مع تطبيق الضغط الإيجابي بنهاية الزفير Positive End Expiratory Pressure (PEEP) وهي المعالجة الأساسية.

وقد تعطى السيتروئيدات في بعض الحالات إضافة إلى الصادات والهيبارين للوقاية من الأخماج واضطرابات التخثر إضافة إلى معالجة السبب الرئيسي.

المصادر

  1. ^ Hampson NB, Dunford RG (1997). "Pulmonary edema of scuba divers". Undersea Hyperb Med. 24 (1): 29–33. PMID 9068153. Retrieved 2008-09-04.
  2. ^ Cochard G, Arvieux J, Lacour JM, Madouas G, Mongredien H, Arvieux CC (2005). "Pulmonary edema in scuba divers: recurrence and fatal outcome". Undersea Hyperb Med. 32 (1): 39–44. PMID 15796313. Retrieved 2008-09-04.{{cite journal}}: CS1 maint: multiple names: authors list (link)
  3. ^ Fremont RD, Kallet RH, Matthay MA, Ware LB (2007). "Postobstructive pulmonary edema: a case for hydrostatic mechanisms". Chest. 131 (6): 1742–6. doi:10.1378/chest.06-2934. PMC 2783608. PMID 17413051. Retrieved 2008-09-04. {{cite journal}}: Unknown parameter |month= ignored (help)CS1 maint: multiple names: authors list (link)
  4. ^ Chuang YC, Wang CH, Lin YS (2007). "Negative pressure pulmonary edema: report of three cases and review of the literature". Eur Arch Otorhinolaryngol. 264 (9): 1113–6. doi:10.1007/s00405-007-0379-9. PMID 17598119. {{cite journal}}: |access-date= requires |url= (help); Unknown parameter |month= ignored (help)CS1 maint: multiple names: authors list (link)
  5. ^ Luks AM (2008). "Do we have a "best practice" for treating high altitude pulmonary edema?". High Alt. Med. Biol. 9 (2): 111–4. doi:10.1089/ham.2008.1017. PMID 18578641. {{cite journal}}: |access-date= requires |url= (help)
  6. ^ Bates, M (2007). "High altitude pulmonary edema". Altitude Physiology Expeditions. Retrieved 2008-09-04.

انظر أيضاً

وصلات خارجية

  • HeartFailureMatters.org Animation showing How Heart Failure causes Fluid Accumulation - Created by the European Heart Failure Association